Leukocyte composition of immune organs of Coregonus migratorius, infected Dibothriocephalus dendriticus
- Authors: Mazur O.E.1, Kutyrev I.A.1, Tolochko L.V.1
-
Affiliations:
- Institute of General and Experimental Biology, Siberian Branch, Russian Academy of Sciences
- Issue: No 5 (2024)
- Pages: 610–620
- Section: ZOOLOGY
- URL: https://bakhtiniada.ru/1026-3470/article/view/274171
- DOI: https://doi.org/10.31857/S1026347024050062
- EDN: https://elibrary.ru/ulhvqo
- ID: 274171
Cite item
Full Text
Abstract
For the first time, an analysis of leukocyte changes in the immune organs (pronephros, mesonephros and spleen) of the Baikal omul Coregonus migratorius (Georgi, 1775) (Salmoniformes: Coregonidae) infected with Dibothriocephalus dendriticus (Nitsch, 1824) (syn. Diphyllobothrium dendriticum) (Cestoda: Diphyllobothriidea) is presented in natural habitat conditions. In the pronephros of infected fish, the number of poorly differentiated neutrophils (myelocytes and metamyelocytes) was significantly higher than in uninfected fish, which indicated inflammatory processes. D. dendriticus triggered the immunoregulatory processes in the body of infected fish, as evidenced by the decrease in the total number of lymphocytes and prolymphocytes (B-lymphocytes) in the pronephros and the increase in prolymphocytes in the spleen. The other effector elements (cells of the monocyte-macrophage lineage, basophils and eosinophils) were hardly involved in antiparasitic defense.
Keywords
Full Text
Dibothriocephalus dendriticus (Nitsch, 1824) (син. Diphyllobothrium dendriticum) (Cestoda: Diphyllobothriidea) является паразитом лососевых рыб на стадии плероцеркоида (второй промежуточный хозяин) и на рыбоядных птицах на стадии имаго (окончательный хозяин) в Голарктике и Палеарктике (Куклина, Куклин, 2016; Scholz, Kuchta, 2016), первыми промежуточными хозяевами служат пресноводные копеподы (Делямуре и др., 1985). D. dendriticus также использует млекопитающих в качестве своих естественных окончательных хозяев (Scholz, Kuchta, 2016). Человек заражается этим паразитом при употреблении в пищу сырой или частично приготовленной рыбы, содержащей плероцеркоиды, что обосновывает большое эпидемиологическое значение этого паразита.
Байкальский омуль (Coregonus migratorius, Georgi, 1775) (Salmoniformes: Coregonidae) – сиговая рыба, эндемичная для озера Байкал (Восточная Сибирь, Россия) (Teterina et al., 2020), является значимым видом в формировании биоразнообразия ихтиофауны озера. Благодаря своей высокой промысловой ценности он является широко эксплуатируемым видом (Базов, Базова, 2016). Байкальский омуль также занимает доминирующую позицию как второй промежуточный хозяин D. dendriticus, составляя 99% всей гемипопуляции цестод (Пронин и др., 2009).
В организме хозяина мигрирующие плероцеркоиды проникают через стенку желудочно-кишечного тракта и инкапсулируются во внешней оболочке. Наиболее распространенными локациями являются пищевод, желудок, пилорические отростки, печень и висцеральный жир (Пронина, Пронин, 1988; Torres et al., 2012). У промежуточных хозяев в зависимости от локализации, Dibothriocephalus spp. оказывают различные патологические эффекты, есть данные об элиминации зараженных рыб (Hoffman, Dunbar, 1961; Rodger, 1991; Sharp et al., 1992; Rahkonen et al., 1996; Santoro et al., 2013). Имеется широкий ряд гистопатологических исследований внутренних органов зараженных рыб (Пронина, Пронин, 1988; Фомина, Пронина, 2015), однако системный иммунный ответ омуля и других представителей семейства лососевых при этой инвазии изучен мало. Лишь в нескольких исследованиях рассматривалось влияние D. dendriticus на иммунную систему рыб. В этих работах в экспериментальных условиях in vitro были описаны иммунорегуляторные вещества, секретируемые цестодами и популяциями клеток рыб, участвующих в иммунном ответе против паразита (Sharp et al., 1992; Dezfuli et al., 2007; Kutyrev et al., 2014; 2017), а также индукция специфических антител у рыб при естественном заражении дифиллоботриидами (Sharp et al., 1989). В то же время многие вопросы, связанные с функционированием иммунной системы в условиях естественной инвазии этими цестодами, остаются открытыми.
Несмотря на очевидную патогенность цестод, им не выгодно убивать своего хозяина (Sitjà-Bobadilla, 2008). Они также используют различные методы, чтобы обойти иммунный ответ, что позволяет им выживать в организме хозяина в течение длительных периодов времени. В зараженном организме активируется ряд иммунных защитных механизмов: врожденных и адаптивных. Почки и селезенка рыб являются основными органами иммунопоэза. Лейкоциты, входящие в состав этих органов, играют решающую эффекторную роль в иммунном ответе (Лапирова и др., 2017; Nakanishi et al., 2018). Важным звеном врожденной иммунной системы рыб, принимающим участие в противопаразитарной защите, является гранулоцитарный росток гемопоэза (Alvarez-Pellitero, 2008). Так, повышенная мобилизация и активация нейтрофилов и эозинофилов была обнаружена у карповых при инвазии Bothriocephalus acheilognathi (Nie, Hoole, 2000), активация нейтрофилов была обнаружена у радужной форели при дифиллоботриозе (Sharp et al., 1992) и европейских угрей при заражении Anguillicola crassus (Knopf et al., 2008). В настоящее время известно, что адаптивный иммунитет у костистых рыб характеризуется наличием Т- и В-лимфоцитов, иммуноглобулинов, Т-клеточных антигенных рецепторов и молекул главного комплекса гистосовместимости (Alvarez-Pellitero, 2008; Nakanishi et al., 2018; Stosik et al., 2021). В последние годы, достигнут значительный прогресс в понимании специфических иммунных механизмов у рыб в ответ на паразитарную инвазию (Dezfuli et al., 2016; Souza et al., 2019; Scholz et al., 2021; Buchmann, 2022). Однако эти знания ограничены и варьируются в зависимости от вида рыб и факторов окружающей среды, влияющих на возникновение и распространение болезней у рыб. В целом, именно отсутствие информации об этих явлениях сдерживает разработку эффективных методов борьбы с паразитарными заболеваниями.
Наша работа является частью серии работ по изучению взаимоотношений в системе «C. migratorius – D. dendriticus», в которой впервые приведены сведения об изменениях лейкоцитарного состава основных иммунных органов байкальского омуля, незараженного и зараженного цестодой в естественных условиях среды обитания.
МАТЕРИАЛЫ И МЕТОДЫ
Исследуемый биологический материал был получен от особей байкальского омуля придонного глубоководного морфотипа в октябре 2008 г. (р. Селенга, Байкальский бассейн, Кабанский район, Республика Бурятия). В выборку вошли зараженные D. dendriticus (n = 10) и незараженные (n = 10) особи одинакового размера и возраста. Для всех рыб проведен морфобиологический анализ, включающий измерение длины тела по Смиту, измерение массы тела (Правдин, 1966) и определение возраста (Чугунова, 1959) (табл. 1). Возраст рыб определяли по количеству годичных колец на чешуе рыб с помощью микроскопа при увеличении 2Х.
Таблица 1. Морфометрические параметры байкальского омуля (Coregonus migratorius) зараженных и не зараженных Dibothriocephallus dendriticus
Показатель | Незараженные рыбы | Зараженные рыбы |
Длина тела до конца средних лучей | 325–365 | 353–383 |
Вес полный, г | 450–528 | 495–594 |
Возраст, годы | 10–11 | 10–11 |
Число исследованных рыб, экз. | 10 | 10 |
Примечание. Лимиты (минимум-максимум).
В полевых условиях у каждой рыбы, наркотизированной бензокаином (1 г/10 л), отбирали образцы тканей почек (пронефрос и мезонефрос) и селезенки. Кожу, плавники и жабры каждой рыбы исследовали на наличие эктопаразитов. Затем глаза, мышцы, полость тела, внутренние органы рыб препарировали и исследовали на наличие эндопаразитов. Гельминтов исследовали в чашках Петри с 0.65% физиологическим раствором для холоднокровных животных. Идентификацию паразитов проводили по существующим определителям (Бауэр, 1984, 1985, 1987). Полость тела и желудочно-кишечный тракт исследовали на наличие капсул, содержащих D. dendriticus. Плероцеркоиды цестод выделяли, переносили в 0.65%-ный физиологический раствор и с помощью игл удаляли из окружающих капсул. Морфологическая идентификация плероцеркоидов основывалась на форме и размерах сколекса и шейки стробилы (Делямуре и др., 1985; Бауэр, 1987). Интенсивность инвазии (экз.) и численность паразитов (экз.) использовались для количественной оценки заражения (Bush et al., 1997) и представлены в табл. 2. В связи с отсутствием рыб, свободных от гельминтов, и наличием у них смешанной инвазии, в сравниваемые группы вошли особи со схожей и минимальной интенсивностью заражения паразитами (табл. 2).
Таблица 2. Параметры зараженности байкальского омуля (Coregonus migratorius) паразитами
Паразит | Незараженные D. dendriticus рыбы | Зараженные D. dendriticus рыбы | ||
ИИ | ИО | ИИ | ИО | |
Dibothriocephalus dendriticus (Nitsch, 1824) | 0 | 0 | 11–33 | 17.9 (2.3) |
Proteocephalus longicollis (Cestoda) (Zeder, 1800) | 4–25 | 11.5 (9.5) | 3–28 | 12.8 (7) |
Contracaecum osculatum baicalensis | 1–3 | 0.6 (0) | 1–3 | 0.5 (0) |
Diplostomum spp. (Trematoda) | 2 | 0.4 (0) | 1 | 0.1 (0) |
Phillodistomum umblae (Trematoda) (Fabricius, 1780) | 1–3 | 0.6 (0) | 0 | 0 |
Salmincola extumescens (Crustacea) (Gadd, 1901) | 0 | 0 | 1 | 0.1 (0) |
Примечание. ИИ – интенсивность инвазии (лимиты), экз.; ИО – индекс обилия и медиана численного ряда паразитов (в скобках), экз.
Образцы почки (пронефрос и мезонефрос) и селезенки использовали для изготовления отпечатков органов (по три препарата на рыбу). Отпечатки сушили на воздухе, фиксировали в красителе Май-Грюнвальда и затем окрашивали азур-эозином по методу Романовского-Гимзы (Сборник…, 1999). Подсчет клеток осуществляли с помощью светового микроскопа MC300 (Micros, Австрия) при увеличении в 1350 раз. Для каждой группы рыб (незараженных и зараженных) был проведен подсчет 3000 клеток.
Все процедуры, проводимые в этой работе, соответствуют этическим стандартам соответствующих национальных и институциональных руководств по уходу и использованию животных.
Данные анализировались с использованием пакета программ Statistica 6.0. Нормальность распределения количественных данных определяли с помощью теста Шапиро-Уилка и визуального контроля гистограмм. Группы данных, не являющиеся нормально распределенными, сравнивались с использованием критерия Манна–Уитни (the Mann−Whitney U-test).
РЕЗУЛЬТАТЫ ИССЛЕДОВАНИЙ
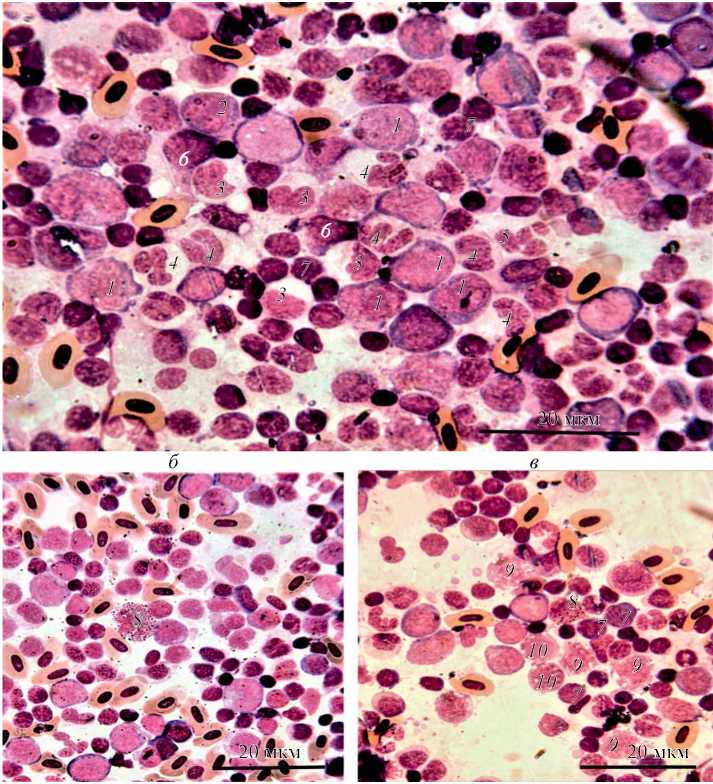
Лейкоциты в иммунных органах всех особей байкальского омуля были представлены тремя группами клеток: бластными клетками (рис.), гранулоцитами и агранулоцитами. Гранулоциты находились на разных стадиях дифференцировки: промиелоциты, миелоциты, метамиелоциты, палочкоядерные и сегментоядерные нейтрофилы (рис. 1а), миелоциты и метамиелоциты базофильные (рис. 1а,б). Агранулоциты были представлены лимфоидными и моноцитарными клеточными линиями. Лимфоидные клеточные линии состояли из пролимфоцитов и зрелых лимфоцитов (рис.1а,в), тогда как моноцитарные линии были представлены промоноцитами и зрелыми моноцитами (рис. 1в).
Рис 1. Лейкоциты пронефроса (а, б, в ) Coregonus migratorius, окраска азур-эозином: 1 – бласт, 2 – миелоцит, 3 – метамиелоцит, 4 – палочкоядерный нейтрофил, 5 – сегментоядерный нейтрофил, 6 – пролимфоцит, 7 – лимфоцит, 8 – базофил, 9 – промоноцит, 10 – моноцит.
Лимфоидные клеточные линии доминировали в лейкоцитарном составе пронефроса в обеих группах (табл. 3). На активацию лейкопоэза в кроветворной ткани указывало высокое число бластных клеток. Кроме того, обнаружены элементы моноцитарного и гранулоцитарного линий (нейтрофилы и базофилы). Число гранулоцитов у особей, зараженных D. dendriticus, значимо увеличилось в 1.6 раза по сравнению с таковыми в незараженной группе. Такой результат обусловлен увеличением числа нейтрофилов (в 1.6 раза), в основном нейтрофильных метамиелоцитов (в 1.1 раза). Напротив, число лейкоцитов в лимфоидных клеточных линиях значимо уменьшилось в 1.1 раза за счет числа пролимфоцитов (в 1.2 раза) (табл. 3).
В лейкоцитарном составе мезонефроса рыб, зараженных плероцеркоидами D. dendriticus, существенных изменений не наблюдалось (табл. 3), он характеризовался тем же соотношением популяций лейкоцитов, что и в пронефросе. Среди лейкоцитов туловищной почки количественно преобладали лимфоциты, затем бластные элементы и гранулоциты. Фиксировались единичные моноциты.
Таблица 3. Лейкоцитарный состав пронефроса и мезонефроса байкальского омуля (Coregonus migratorius) незараженных и зараженных Dibothriocephallus dendriticus (М ± mx)
Показатель, % | Пронефрос | P | Мезонефрос | P | |||
незараженные рыбы | зараженные рыбы | тренд изменений | незараженные рыбы | зараженные рыбы | |||
Бластные клетки | 12.3 ± 0.86 | 15.5 ± 2.03 | ― | 0.80 | 8.0 ± 1.36 | 8.9 ± 1.95 | 0.65 |
Гранулоциты | 7.3 ± 0.42 | 11.6 ± 1.29 | ↑ | 0.01 | 4.0 ± 0.69 | 4.0 ± 0.75 | 0.72 |
Нейтрофилы | 7.2 ± 0. 97 | 11.3 ± 1.68 | ↑ | 0.03 | 4.0 ± 0.69 | 4.0 ± 0.75 | 0.72 |
Миелоциты | 0.8 ± 0.33 | 1.3 ± 0.42 | ― | 0.3 | 0.9 ± 0.32 | 0.8 ± 0.29 | 0.72 |
Метамиелоциты | 2.2 ± 0.36 | 3.7 ± 0.70 | ↑ | 0.04 | 1.0 ± 0.42 | 1.4 ± 0.56 | 0.58 |
Палочкоядерные | 2.1 ± 0.53 | 2.9 ± 0.57 | ― | 0.29 | 0.9 ± 0.32 | 0.8 ± 0.29 | 0.82 |
Сегментоядерные | 2.1 ± 0.51 | 3.3 ± 0.97 | ― | 0.26 | 1.2 ± 0.40 | 1.0 ± 0.37 | 0.71 |
Базофилы | 0.1 ± 0.09 | 0.3 ± 0.14 | ― | 0.29 | 0 | 0 | ― |
Миелоциты | 0 | 0.2 ± 0.12 | ― | 0.11 | 0 | 0 | ― |
Метамиелоциты | 0.1 ± 0.09 | 0.1 ± 0.10 | ― | 0.95 | 0 | 0 | ― |
Агранулоциты | 80.7 ± 1.58 | 72.9 ± 3.49 | ↓ | 0.04 | 88.0 ± 1.38 | 87.2 ± 1.54 | 0.68 |
Лимфоциты | 80.0 ± 1.62 | 72.7 ± 3.49 | ↓ | 0.04 | 85.9 ± 1.51 | 84.8 ± 1.63 | 0.61 |
Пролимфоциты | 70.2 ± 2.48 | 58.3 ± 4.45 | ↓ | 0.02 | 69.5 ± 2.24 | 68.9 ± 2.85 | 0.86 |
Лимфоциты (зрелые) | 9.8 ± 2.11 | 14.3 ± 2.55 | ― | 0.18 | 16.4 ± 1.75 | 15.8 ± 2.54 | 0.85 |
Моноциты | 0.7 ± 0.25 | 0.2 ± 0.14 | ― | 0.11 | 2.1 ± 0.71 | 2.4 ± 0.67 | 0.75 |
Промоноциты Моноциты (зрелые) | 0.1 ± 0.12 0.6 ± 0.20 | 0.1 ± 0.07 0.1 ± 0.13 | ― ― | 0.65 0.37 | 1.7 ± 0.63 0.4 ± 0.19 | 1.2 ± 0.47 1.2 ± 0.37 | 0.48 0.15 |
Примечание. (М ± mx) – среднее значение показателя и его ошибка. Тренд изменений: ↑ увеличение; ↓ – снижение; P – уровень значимости; для табл. 3, 4.
Таблица 4. Лейкоцитарный состав селезенки байкальского омуля (Coregonus migratorius) зараженных и незараженных Dibothriocephallus dendriticus (М ± mx)
Показатель, % | Незараженные рыбы | Зараженные рыбы | P | |
Бластные клетки | 13.3 ± 2.70 | 12.0 ± 2.23 | ― | 0.58 |
Нейтрофилы | 12.1 ± 1.68 | 4.9 ± 1.17 | ↓ | 0.001 |
Миелоциты | 4.1 ± 0.85 | 1.4 ± 0.45 | ↓ | 0.009 |
Метамиелоциты | 5.5 ± 1.1 | 2.5 ± 0.79 | ↓ | 0.03 |
Палочкоядерные | 0.8 ± 0.29 | 0.3 ± 0.22 | ― | 0.22 |
Сегментоядерные | 1.7 ± 0.71 | 0.8 ± 0.35 | ― | 0.29 |
Лимфоциты | 74.6 ± 2.10 | 82.9 ± 2.32 | ↓ | 0.01 |
Пролимфоциты | 56.5 ± 2.95 | 73.8 ± 2.52 | ↓ | 0.00007 |
Лимфоциты | 18.1 ± 2.49 | 9.1 ± 1.63 | ↓ | 0.005 |
Среди лейкоцитов селезенки у всех исследуемых особей байкальского омуля преобладали лимфоциты, в том числе пролиферирующие молодые их формы (табл. 4). Различия по количеству бластных клеток между группами не были значимыми. Лейкоцитарный состав селезенки особей, зараженных D. dendriticus, отличался от такового у незараженных особей (табл. 4). Число нейтрофилов значимо снизилось в 2.5 раза преимущественно за счет малодифференцированных форм – миелоцитов и метамиелоцитов, число которых уменьшилось в 2.9 и 2.2 раза соответственно. Число лейкоцитов в лимфоидных клеточных линиях значимо увеличилось в 1.1 раза главным образом за счет числа незрелых форм (пролимфоцитов) в 1.3 раза, напротив, процент зрелых лимфоцитов снизился в 2 раза.
ОБСУЖДЕНИЕ РЕЗУЛЬТАТОВ
В основе противогельминтного иммунитета у рыб лежат процессы трансформаций иммунокомпетентных клеток хозяина под влиянием антигенов, секретируемых паразитом. В этом контексте продукция, мобилизация и активация лейкоцитов являются наиболее важными фазами защитной реакции у рыб при паразитозах (Nie, Hoole, 2000; Scharsack et al., 2004; Knopf et al., 2008; Souza et al., 2019). Лейкоциты в иммунных органах рыб, происходящие из одной гемопоэтической стволовой клетки, пролиферируют и дифференцируются в гранулоцитарную, моноцитарную и лимфоцитарную линии (Kobayashi et al., 2016). Эти клеточные элементы обнаруживают морфологические и цитохимические различия на разных стадиях своего созревания и дифференцировки. Это обстоятельство позволяет успешно идентифицировать их с помощью различных методов окраски (Иванова, 1983; Головина и др., 2003). Поскольку разработанных молекулярных маркеров клеток крови рыб не существует, а методами проточно-цитометрического исследования можно определить лишь ограниченное количество клеточных популяций (Inoue et al., 2002; Franke et al., 2014; Parrino et al., 2018; Fazio et al., 2019), метод световой микроскопии остается достаточно информативным при изучении субпопуляций лейкоцитов рыб. Следует отметить, что лейкоцитарные реакции в ответ на антигенный стимул, в том числе паразитарный, характеризуются достаточно высокой чувствительностью (Головина, Тромбицкий, 1989; Серпунин, 2002; Buchmann, 2022). Определенные иммунные клетки реагируют на воспалительные сигналы и мигрируют к очагам поражения, тогда как другие циркулируют через кровь от первичных иммунных органов к вторичным лимфоидным тканям, выполняя адаптивный иммунный ответ (Nie, Hoole, 2000; Nakanishi et al., 2018; Buchmann, 2022). Исследования на клеточном уровне позволяют выявить адаптивные и компенсаторные изменения иммунных процессов даже в тех случаях, когда клетки морфологически не изменяются (Furtado et al., 2019; Нгуен и др., 2021).
Цестоды оказывают иммуномодулирующее воздействие на организм хозяина для достижения компромисса в паразитарной системе (Sitjà-Bobadilla, 2008; McSorley et al., 2013). В ходе эволюции D. dendriticus выработал стратегию роста и развития в своем хозяине. В организме плероцеркоиды мигрируют, а затем инкапсулируются в желудочно-кишечном тракте, что обеспечивает их выживание (Dezfuli et al., 2007). Капсула физиологически активна, она способствует интенсивному транспорту питательных веществ из крови хозяина к паразиту (Березанцев и др., 1989; Sharp et al., 1992). Физиологическую активность капсулы поддерживают биологически активные вещества, выделяемые паразитом в виде экзометаболитов (Березанцев и др., 1989). Вместе с тем, определенную роль в регуляции патологического процесса играют иммунные механизмы организма хозяина, подавляя рост паразитов или элиминируя их.
Байкальский омуль является промежуточным хозяином D. dendriticus, плероцеркоиды которого оказывают патогенное действие во время миграции и инкапсуляции (Пронина, Пронин, 1988). Авторы наблюдали кровоизлияния в мышечную оболочку желудка, эрозии и язвы в слизистой оболочке желудка, местные иммунные реакции (лейкоцитарную инфильтрацию серозной оболочки желудка и оболочек пищевода). А.С. Фоминой и С.В. Прониной (2015) выявлено в селезенке, зараженных D. dendriticus рыб, значительное снижение площади и числа меланомакрофагальных центров, склероз стенок сосудов и их облитерацию. В целом, работ по изучению системного иммунитета байкальского омуля в ответ на естественное заражение D. dendriticus единично.
В отличие от почек млекопитающих, почки рыб являются основным органом иммуно- и гемопоэза (Nakanishi et al., 2018; Souza et al., 2019). Пронефрос (головная почка) – орган, продуцирующий преимущественно иммунокомпетентные клетки, тогда как мезонефрос (туловищная почка) – многофункциональный орган, участвующий как в кроветворении, так и в мочеобразовании (Флерова, 2012). Селезенка является вторичным лимфоидным органом и местом миелопоэза у костистых рыб (Alvarez-Pellitero, 2008; Flajnik, 2018). Эти выводы согласуются с нашими результатами. У всех исследуемых особей про- и мезонефрос имел одинаковый лимфоидно-миелоидный состав с явным преобладанием лимфоцитов. Лейкоциты селезенки у омуля были представлены бластами, лимфоцитами и нейтрофилами, проходящими все стадии гранулоцитопоэза.
Лейкоцитарный состав пронефроса C. migratorius, зараженных D. dendriticus характеризовался более высоким числом нейтрофилов и нейтрофильных метамиелоцитов. В наших предыдущих исследованиях в крови байкальского омуля, зараженного D. dendriticus было выявлено аналогичное увеличение процента метамиелоцитов (Мазур, Толочко, 2015). По-видимому, инфильтрация пронефроса незрелыми нейтрофилами и увеличение числа нейтрофилов в крови являются компенсаторной реакцией, связанной с миграцией этих микрофагов к месту воспаления и капсулообразования. Нейтрофилы являются первыми клетками, которые мигрируют к развивающимся плероцеркоидам D. dendriticus (Sharp et al., 1992; Dezfuli et al., 2016). Эти клетки, наделенные эффекторными функциями фагоцитоза и элиминации чужеродных элементов и обладающие способностью продуцировать иммунорегуляторные цитокины и хемокины, являются важнейшими компонентами врожденного иммунитета (Male et al., 2006; Zou, Secombes, 2016; Makesh et al., 2022).
Наши данные, согласуются с результатами других исследований (Furtado et al., 2019; Souza et al., 2019; Buchmann, 2022), демонстрирующие активную миграцию гранулоцитов к очагу воспаления, индуцированную червями разных классов. Во внутренних органах лососевых рыб, зараженных дифиллоботриумами, было обнаружено хроническое воспаление с признаками фиброза, инфильтрацию тканей гранулоцитами, в том числе нейтрофилами (Sharp et al., 1989; Dezfuli et al., 2007; Santoro et al., 2013). Исследования Е.М. Скоробреховой и В.П. Никишина (2013) показали, что активное участие нейтрофилов в инкапсуляции, например, Corynosoma strumosum, сохраняется даже в образовавшихся капсулах. Изучая микроморфологические изменения органов зараженного байкальского омуля, С.В. Пронина и Н.М. Пронин (1988) наблюдали наличие нейтрофилов и базофилов в стенках паразитарных капсул, а также гранулоцитарную инфильтрацию окружающей их ткани. Также в селезенке мы обнаружили более низкое общее число нейтрофилов и их незрелых форм — нейтрофильных миелоцитов и метамиелоцитов. Поэтому на основании полученных результатов мы предполагаем, что нейтропения явилась результатом обширного перемещения нейтрофилов из селезенки в кровоток и к месту образования капсул и поврежденных тканей, и свидетельствовало о воспалительных процессах.
Также мы исследовали лимфоцитарный состав пронефроса и селезенки зараженного омуля с целью определить участие этих клеток в иммунном ответе против D. dendriticus. Лимфоциты, основные эффекторные клетки иммунной системы, инициируют начало адаптивного иммунного ответа на стимуляцию антигеном. Образование лимфоцитов в иммунных органах и их циркуляция в кровотоке происходят последовательно и связаны с функциями разных клеточных популяций. Лимфоциты подразделяются на Т- и В-клетки на основании наличия поверхностных рецепторов (Zapata et al., 2006; García-Ayala, Chaves-Pozo, 2009). У рыб Т-клетки дифференцируются на субпопуляции, которые проявляют цитотоксическую и хелперную активность и опосредуют клеточный иммунный ответ (Flajnik, 2018; Nakanishi et al., 2018). Кроме того, эти клетки производят цитокины, участвующие в воспалительных процессах и реакциях при иммуносупрессии (Zou, Secombes, 2016). Между тем, В-клетки участвуют в гуморальном иммунном ответе, в основном продуцируемые пронефросом (Rombout, 2005). Экспрессия и секреция иммуноглобулинов (антител) плазматическими клетками (позднедифференцированные В-лимфоциты) имеют решающее значение для разрушения антигенов (Male et al., 2006). Считается, что в селезенке присутствуют как Т-, так и В-лимфоциты (Zapata et al., 2006; Kum, Sekkin, 2011).
В нашем исследовании D. dendriticus запускал иммунорегуляторные процессы, о чем свидетельствовало снижение общего количества лимфоцитов и пролимфоцитов (В-клеток) в пронефросе и увеличение пролимфоцитов в селезенке зараженных рыб. Эти данные позволяют предположить миграцию лимфоцитов в селезенку зараженных рыб, которая является основным местом презентации антигена и запуска адаптивного иммунного ответа (Flajnik, 2018). Увеличение лимфоидной ткани селезенки после антигенной стимуляции было показано и другими исследованиями (Noga, 2006; Kum, Sekkin 2011). У зараженного D. dendriticus омуля при гистологическом исследовании селезенки обнаружено увеличение зон скопления лимфоидной ткани вокруг мелано-макрофагальных центров (Фомина, Пронина, 2015), вместе с тем Тыхеев и др. (Тыхеев и др., 2020) обнаружили обеднение периартериальной (Т-зоны) этого органа. В селезенке у зараженного омуля, несмотря на индукцию лимфопролиферативного ответа, мы наблюдали низкое число зрелых лимфоцитов.
Следует отметить, что в литературе мало данных о влиянии капсулированных цестод на клеточный состав иммунных органов, что затрудняет обсуждение результатов. Тем не менее, наблюдаемые изменения мы связываем как с миграцией иммуноцитов, так и с иммуносупрессией вследствие регуляторного влияния цестоды. В наших предыдущих исследованиях мы показали, что в крови омуля, зараженного D. dendriticus, снижается содержание общего иммуноглобулина и количество Т-лимфоцитов (Мазур, Толочко, 2015). Более того, в экспериментальных условиях было обнаружено, что D. dendriticus способен секретировать простагландин Е2 в ответ на инкубацию в культуральной среде, содержащей сыворотку крови хозяина (омуля) (Бисерова и др., 2011; Кутырев и др., 2012). Известно, что простагландины модулируют иммунитет, воздействуя на ключевые клеточные элементы (Gómez-Abellán, Sepulcre, 2016). В условиях in vitro простагландин Е2 вызывал снижение общего числа лейкоцитов и лимфоцитов в культуре клеток пронефроса трехиглой колюшки (Кутырев и др., 2012). Кроме того, в транскриптоме D. dendriticus обнаружены гены, кодирующие потенциальные регуляторы иммунной системы хозяина (Sidorova et al., 2022). Полученные нами данные свидетельствуют о том, что D. dendriticus вызывает изменения иммунного статуса пронефроса и селезенки и, вероятно, подавляет адаптивный иммунитет в условиях живого организма. Кроме того, часть зрелых лимфоцитов, очевидно, мигрирует в места поражений, вызванных паразитами. Например, имеются гистологические данные о том, что лимфоциты присутствуют во внешнем слое капсул дифиллоботриид в пищеводе и желудке C. migratorius (Пронина, Пронин, 1988), в тканевых капсулах Salmo gairdneri, инфицированных D. dendriticus (Sharp et al., 1989), а также у атлантического лосося после заражения Diphyllobothrium ditremus (Rodger, 1991).
Следует отметить, что иммуноактивные элементы, такие как моноциты/макрофаги, базофилы и эозинофилы исследуемого нами омуля, практически не участвовали в иммунном процессе. В то же время имеются данные об инфильтрации этими иммунореактивными клетками тканей органов локализации D. dendriticus (оболочек желудка и пищевода) и мембран окружающих их капсул (Пронина, Пронин, 1988; Dezfuli et al., 2007). А.С. Фомина и С.В. Пронина (2015) делают вывод об угнетении моноцитарно-макрофагального звена иммунной защиты омуля при этом дифиллоботриозе. Поэтому низкое число или отсутствие этих популяций лейкоцитов в иммунных органах исследуемого омуля, зараженного D. dendriticus, мы объясняем миграцией к очагам воспаления. Более того, не исключено, что этот факт связан с паразитарными манипуляциями, регулирующими межклеточные взаимодействия и направленными на подавление пролиферации этих эффекторных лейкоцитов, о чем говорилось выше. Известно, что базофилы/тучные клетки и эозинофилы пролиферируют в ответ на действие продуктов Т-клеток по уничтожению гельминтов (Meeusen, Balic 2000; Peng et al., 2022).
Лейкоцитарный состав мезонефроса у омуля, зараженного D. dendriticus, значимо не изменился, вероятно, этот орган не играет существенной роли в иммунных защитных реакциях против дифиллоботриид.
ЗАКЛЮЧЕНИЕ
Впервые представлен анализ лейкоцитарного состава почек (пронефрос, мезонефрос) и селезенки, иммунных и гемопоэтических органов байкальского омуля C. migratorius, зараженных D. dendriticus в естественных условиях среды обитания. В пронефросе зараженных рыб, число малодифференцированных нейтрофилов (миелоцитов и метамиелоцитов) было значимо выше, чем у незараженных особей, что указывало на развитие воспалительных процессов. В организме зараженных рыб D. dendriticus инициировал иммунорегуляторные процессы, о чем свидетельствовало снижение общего числа лимфоцитов и пролимфоцитов (В-лимфоцитов) в пронефросе и увеличение пролимфоцитов в селезенке на фоне снижения их зрелых форм. Другие эффекторные элементы (клетки моноцитарно-макрофагальной линии, базофилы и эозинофилы) не участвовали в противопаразитарной защите. На основании обсуждаемых сейчас и ранее полученных нами данных можно заключить, что заражение D. dendriticus вызывает изменения врожденных и адаптивных иммунных реакций в организме хозяина. Благодаря этой стратегии плероцеркоиды инкапсулируются и предотвращают чрезмерное разрушение тканей организма хозяина, тем самым динамично сохраняя паразитарную систему.
БЛАГОДАРНОСТИ
Авторы выражают благодарность В. Матанцеву (Большереченский рыбоводный завод, Бурятия) и А.В. Базову (Российский федеральный научно-исследовательский институт рыбного хозяйства и океанографии, Байкальский филиал) за помощь в отлове омуля, Н. Пронину† и С. Прониной†, Т. Бурдуковской, О. Жепхоловой (ФГУН ИОЭБ СО РАН) за помощь в проведении паразитологического вскрытия рыб.
СОБЛЮДЕНИЕ ЭТИЧЕСКИХ СТАНДАРТОВ
Все процедуры, способствующие этой работе, соответствуют этическим стандартам соответствующих национальных и институциональных руководств по уходу и использованию животных.
ФИНАНСИРОВАНИЕ
Исследование выполнено при поддержке и в рамках задания Правительства РФ (Госрегистрация № 121030900141-8).
КОНФЛИКТ ИНТЕРЕСОВ
Авторы заявляют об отсутствии конфликта интересов.
About the authors
O. E. Mazur
Institute of General and Experimental Biology, Siberian Branch, Russian Academy of Sciences
Author for correspondence.
Email: olmaz33@yandex.ru
Russian Federation, Ulan-Ude, 670047
I. A. Kutyrev
Institute of General and Experimental Biology, Siberian Branch, Russian Academy of Sciences
Email: olmaz33@yandex.ru
Russian Federation, Ulan-Ude, 670047
L. V. Tolochko
Institute of General and Experimental Biology, Siberian Branch, Russian Academy of Sciences
Email: olmaz33@yandex.ru
Russian Federation, Ulan-Ude, 670047
References
- Бауэр О. Н. Определитель паразитов пресноводных рыб фауны СССР: Паразитические простейшие. Т. 1. Ленинград: Наука, 1984. 428 с.
- Бауэр О. Н. Определитель паразитов пресноводных рыб фауны СССР: Паразитические многоклеточные. Т. 2. Ленинград: Наука, 1985. 425 с.
- Бауэр О. Н. Определитель паразитов пресноводных рыб фауны СССР: Паразитические многоклеточные. Т. 3. Ленинград: Наука, 1987. 587 с.
- Базов А. В., Базова Н. В. Селенгинская популяция байкальского омуля: прошлое, настоящее, будущее. Улан-Удэ: Изд-во БНЦ СО РАН, 2016. 352 с.
- Березанцев Ю. А., Борщуков Д. В., Оксов И. В. и др. Инкапсуляция личинок паразитических нематод и цестод в тканях позвоночных как форма взаимоотношения паразита и хозяина // Паразитол. сб. ЗИН АН СССР. 1989. № 36. С. 131 –160.
- Бисерова Н. М., Кутырев И. А., Малахов В. В. Ленточный червь продуцирует простагландин Е2 – регулятор иммунитета хозяина // Докл. РАН. 2011. Т. 441. № 1. С. 126 –128.
- Головина Н. А., Стрелков Ю. А., Воронин В. И., Головин П. П., Евдокимова Е. Б., Юхименко Л. Н. Ихтиопатология. Москва: Мир, 2003. 448 с.
- Головина Н. А., Тромбицкий И. Д. Гематология прудовых рыб. Кишинев: Штиинца, 1989. 158 с.
- Делямуре С. Л., Скрябин А. С., Сердюков А. М. Дифиллоботрииды ленточные гельминты человека, млекопитающих и птиц // Основы цестодологии. Т. ХI. М.: Наука, 1985. 200 с.
- Иванова Н. Т. Атлас клеток крови рыб (сравнительная морфология и классификация форменных элементов крови рыб). Москва: Легк. и пищ. пром-сть, 1983. 80 с.
- Куклина М. М., Куклин В. В. Гематология и биохимия крови серебристой чайки Larus argentatus при инвазии цестодами Diphyllobothrium dendriticum (Cestoda: Pseudophyllidae) // Паразитология. 2016. Т. 50. № 5. С. 365.
- Кутырев И. А., Бисерова Н. М., Шарсак Й. П., Курц Й. Простагландин Е2 как потенциальный иммуномодулятор лентеца чаечного // Бюл. ВСНЦ СО РАМН. 2012. № 5(87). С. 245 –249.
- Лапирова Т. Б., Флерова Е. А., Юрченко В. В., Морозов А. А. Защитные системы иммунокомпетентных органов рыб разных экологических и систематических групп // Ихтиология. 2017. Т. 57. №3. С. 338 –346. https://doi.org/10.1134/S0032945217030080 (Lapirova T.B., Flerova E.A., Yurchenko V.V., Morozov, A.A. Protective systems of immunocompetent organs in fishes from different ecological and systematic groups // J. Ichthyology. 2017. № 57. 458 –466. https://doi.org/10.1134/S0032945217030080
- Мазур О. Е., Толочко Л. В. Цитоморфологические и биохимические показатели байкальского омуля Coregonus migratoruis при инвазии плероцеркоидами Diphyllobothrium dendriticum (Сestoda: Pseudophyllidae) // Изв. РАН. Сер. биологическая. 2015. № 2. С. 155 –163. https://doi.org/10.7868/S000233291502006X (Mazur, O.E. and L.V. Tolochko. Cytomorphological and biochemical characteristics of the whitefish, Baikal Omul Coregonus migratorius, infected by plerocercoids of Diphyllobothrium dendriticum (Cestoda: Pseudophyllidae). Biological Bulletin. 2015. V. 42. № 2. 117 –123. https://doi.org/10.1134/S1062359015020065)
- Нгуен Т. Х.В., Пономарев С. В., Федоровых Ю. В., Грозеску Ю. Н., Бахарева А. А., Волкова И. В., Егорова В. И., Сергеева Ю. В. Гематологические показатели европейского окуня (Perca fluviatilis Linneus, 1758) при паразитарной инвазии // Сельскохозяйственная биология. 2021. Т. 56. № 2. С. 326 –334. https://doi.org/10.15389/agrobiology.2021.2.326rus (Nguen Thi Hong Van, Ponomarev S.V., Fedorovykh Yu.V., Grozesku Yu.N., Bakhareva A.A., Volkova I.V., Egorova V.I., Sergeeva Yu.V. Agricultural Biology. 2021. V. 56, № 2. 326 –334. https://doi.org/ 10.15389/agrobiology.2021.2.326)
- Правдин И. Ф. Руководство по изучению рыб. М.: Пищ. пром-сть, 1966. 75 с.
- Пронина, С.В., Пронин Н. М. Взаимоотношения в системах гельминты-рыбы (на тканевом, органном и организменном уровнях) М.: Наука, 1988. 177 с.
- Пронин Н. М., Пронина С. В., Кутырев И. А. Структура Байкальского природного очага дифиллоботриоза и взаимоотношения Diphyllobothrium dendriticum с дефинитивными хозяевами // Изв. ИГУ. Сер. Биология. Экология. 2009. Т. 2. № 1. С. 53 –56.
- Сборник инструкций по борьбе с болезнями рыб. Ч. 2. Москва: Агро-Вестник, 1999. 236 c.
- Серпунин Г. Г. Гематологические показатели адаптаций рыб: Автореф. дис. докт. биол. наук. Калининград: КГТУ, 2002. 49 с.
- Скоробрехова Е. М., Никишин В. П. Зависимость строения капсулы, окружающей скребня Corynosoma strumosum, от видовой принадлежности естественного паратенического хозяина // Изв. РАН. Сер. биол. 2013. № 6. С. 696 –712. (Skorobrechova E. M. and V. P. Nikishin. Dependence of the structure of the capsule surrounding the acanthocephalan Corynosoma strumosum on the species of its natural paratenic host. Biological Bulletin. 2014. V. 41. № 4. 333 –348. https://doi.org/ 10.1134/S1062359013050166)
- Тыхеев А. А., Жамсаранова С. Д., Лебедева С. Н., Кутырев И. А., Томитова Е. А., Петерфельд В. А., Путункеева Ю. С., Игнатьева М. В. Морфологические изменения структуры селезенки нерестового омуля, зараженного D. dendriticum // Вестник КрасГАУ. 2020. №6 (159). С. 116 –124. https://doi.org/10.36718/1819-4036-2020-6-116-125
- Флерова Е. А. Клеточная организация почек костистых рыб (на примере отрядов Cypriniformes и Perciformes). Ярославль: Ярославская ГСХА, 2012. 140 с.
- Фомина А. С., Пронина С. В. Морфофункциональные характеристики селезенки байкальского омуля при заражении цестодой D.dentriricum (Pseudophyllidea Diphyllobthripidae) // Вест. рыбохозяйственной науки. 2015. Т. 2 №1 (5). С. 52 –57.
- Чугунова Н. И. Руководство по изучению возраста и роста рыбы. Москва: Акад. Наук СССР, 1959. 164 с.
- Alvarez-Pellitero P. Fish immunity and parasite infections: from innate immunity to immunoprophylactic prospects // Vet. Immunol. Immunopathology. 2008. № 126. P. 171 –198. https://doi.org/10.1016/j.vetimm.2008.07.013
- Buchmann K. Neutrophils and aquatic pathogens // Parasite immunol. 2022. № 44. P. 12915. https://doi.org/10.1111/pim.12915
- Bush A. O., Lafferty K. D., Lotz J. M., Shostak A. W. Parasitology meets ecology on its own terms: Margolis et al. revisited // J. Parasitology. 1997. V. 83. № 4. P. 575 –583. https://doi.org/10.1111/j.1365-3024.2010.01233.x
- Dezfuli B. S., Bosi G., De Pasquale J.A, Manera M., Giari L. Fish innate immunity against intestinal helminths // Fish Shellfish Immunol. 2016. № 50. P. 274 –287. https://doi.org/10.1016/j.fsi.2016.02.002
- Dezfuli B. S., Pironi F., Simoni E., Shinn A. P., Giari L. Selected pathological, immunohistochemical and ultrastructural changes associated with an infection by Diphyllobothrium dendriticum (Nitzsch, 1824) (Cestoda) plerocercoids in Coregonus lavaretus (L.) (Coregonidae) // Dis. Aquat. Org. 2007. № 30. P. 471−482.
- Fazio F., Saoca C., Costa G., Zumbo A., Piccione G., Parrino V. Flow cytometry and automatic blood cell analysis in striped bass Morone saxatilis (Walbaum, 1792): a new hematological approach // Aquaculture. 2019. № 513. Р. 734398. https://doi.org/10.1016/j.aquaculture.2019.734398
- Flajnik M. F. A cold-blooded view of adaptive immunity // Nature Reviews Immunol. 2018. V. 18. № 7. С. 438 –453. https://doi.org/10.1038/s41577-018-0003-9
- Franke F., Rahn A. K., Dittmar J., Erin N., Rieger J. K., Haase D., Samonte-Padilla I.E., Lange J., Jakobsen P. J., Hermida M., Fernandez C., Kurtz J., Bakker T. C.M., Reusch T. B.H., Kalbe M., Scharsack J. P. In vitro leukocyte response of three-spined sticklebacks (Gasterosteus aculeatus) to helminth parasite antigens // Fish Shellfish Immunol. 2014. № 36. Р. 130 –140. https://doi.org/10.1016/j.fsi.2013.10.019
- Furtado W. E., Cardoso L., Figueredo A. B., Marchiori N. C., Martins M. L. Histological and hematological alterations of silver catfish Rhamdia quelen highly parasitized by Lernaea cyprinacea // Dis. Aquat. Org. 2019. № 135. Р. 157 –168. https://doi.org/10.3354/dao03386
- García-Ayala A., Chaves-Pozo E. Leukocytes and cytokines present in fish testis: A review // Fish Defenses. Immunology. Chapter 2 / Eds Zaccone G., Meseguer J., García-Ayala A., Kapoor B. G.; New Hampshire: Science Publishers. Enfield USA, 2009. P. 37 –74.
- Gómez-Abellán V., Sepulcre M. P. The role of prostaglandins in the regulation of fish immunity // Mol. Immunol. 2016. № 69. Р. 139 –145. https://doi.org/10.1016/j.molimm.2015.09.022
- Hoffman G. L., Dunbar C. E. Mortality of eastern brook trout caused by plerocercoids (Cestoda: Pseudophyllidea) in the heart and viscera // J. Parasitology. 1961. № 47. Р. 399 –400.
- Inoue T., Moritomo T., Tamura Y., Mamiya S., Fujino H., Nakanishi T. A new method for fish leukocyte counting and partial differentiation by flow cytometry // Fish Shellfish Immunol. 2002. № 13. Р. 379 –390. https://doi.org/10.1006/fsim.2002.0413.
- Knopf K., Madriles H. A., Lucius R., Bleiss W., Taraschewski H. Migratory response of European eel (Anguilla anguilla) phagocytes to the eel swimbladder nematode Anguillicola crassus // Parasitol. Res. 2008. № 102. Р. 1311 –1316. https://doi.org/10.1007/s00436-008-0910-y
- Kobayashi I., Katakura F., Moritomo T. Isolation and characterization of hematopoietic stem cells in teleost fish // Dev. Comp. Immunol. 2016. № 58. Р. 86 –94. https://doi.org/10.1016/j.dci.2016.01.003
- Kum C., Sekkin S. The immune system drugs in fish: immune function, immunoassay, drugs // Recent advances in fish farms / Eds Aral F., Dogu Z.; Rijeka: Croatia. Tech, 2011. Р. 169−216.
- Kutyrev I. A., Biserova N. M., Olennikov D. N., Korneva J. V., Mazur O. E. Prostaglandins E2 and D2 – regulators of host immunity in the model parasite Diphyllobothrium dendriticum: An immunocytochemical and biochemical study // Mol. Bioch. Parasitology. 2017. № 212. Р. 33 –45. https://doi.org/10.1016/j.molbiopara.2017.01.006
- Kutyrev I. A., Franke F., Buescher J., Kurtz J., Scharsack J. P. In vitro effects of prostaglandin E-2 on leucocytes from sticklebacks (Gasterosteus aculeatus) infected and not infected with the cestode Schistocephalus solidus // Fish Shellfish Immunol. 2014. № 41. Р. 473 –481. https://doi.org/10.1016/j.fsi.2014.09.031
- Makesh M., Bedekar K. M., Rajendran K. V. Overview of fish immune system // Fish immune system and vaccines / Eds Makesh M., Rajendran K. V.; Singapore: Springer, 2022. P. 1 –16. https://doi.org/10.1007/978-981-19-1268-9_1
- Male D. L., Brostoff J., Roth D., Roitt I. Immunology. 7th ed. Philadelphia: Mosby Elsevier, 2006. 552 p.
- McSorley H.J., Hewitson J. P., Maizels R. M. Immunomodulation by helminth parasites: defining mechanisms and mediators // Int. J. Parasitology. 2013. № 43. Р. 301 –310. https://doi.org/10.1016/j.ijpara.2012.11.011
- Meeusen E. N.T., Balic A. Do eosinophils have a role in the killing of helminth parasites? // Parasitology Today. 2000. № 16. Р. 95 –101. https://doi.org/10.1016/S0169-4758(99)01607-5
- Nakanishi T., Hikima J.-I., Yada T. Osteichthyes: immune systems of teleosts (Actinopterygii) // Advances in comparative immunology / Ed. Cooper E. L.; Cham: Springer, 2018. Р. 687−749.
- Nie P., Hoole D. Effects of Bothriocephalus acheilognathi on the polarization response of pronephric leucocytes of carp, Cyprinus carpio // J. Helminthology. 2000. № 4. Р. 253 –260. https://doi.org/10.1017/S0022149X00000366
- Noga E. J. Spleen, thymus, reticulo-endothelial system, blood // Systemic pathology of fish. A text and atlas of normal tissues in teleosts and their responses in disease / Ed. Ferguson H. W.; London: Scotian Press, 2006. Р. 121 –139.
- Parrino V., Cappello T., Costa G., Cannavà C., Sanfilippo M., Fazio F., Fasulo S. Comparative study of haematology of two teleost fish (Mugil cephalus and Carassius auratus) from different environments and feeding habits // Europ. Zoological J. 2018. № 85. Р. 194 –200. https://doi.org/10.1080/24750263.2018.1460694.
- Peng J., Federman H. G., Hernandez C. M., Siracusa M. C. Communication is key: Innate immune cells regulate host protection to helminths // Front. Immunol. 2022. V. 13. 995432. https://doi.org/10.3389/fimmu.2022.995432
- Rahkonen R., Aalto J., Koski P., Sarkka J., Juntunen K. Cestode larvae, Diphyllobothrium dendriticum (Nitzsch, 1824), as a cause of heart disease leading to mortality In hatchery reared sea trout and brown trout // Dis. Aquat. Org. 1996. № 25. Р. 15−22. https://doi.org/10.3354/dao025015
- Rodger H. D. Diphyllobothrium sp. infections in freshwater-reared Atlantic salmon (Salmo salar L.) // Aquaculture. 1991. №95(1 –2). Р. 7−14.
- Rombout J. H.W.M., Huttenhuis H. B.T., Picchietti S. Phylogeny and ontogeny of fish leukocytes // Fish Shellfish Immunol. 2005. № 19. Р. 441 –455. https://doi.org/10.1016/j.fsi.2005.03.007
- Santoro M., Mattiucci S., Work T., Cimmaruta R., Nardi V., Cipriani P., Bellisario B., Nascetti G. Parasitic infection by larval helminthes in Antarctic fishes: pathological changes and impact on the host body condition index // Dis. Aquat. Org. 2013. № 105(2). Р. 139−148. https://doi.org/10.3354/dao02626
- Scharsack J. P., Kalbe M., Derner R., Kurtz J., Milinski M. Modulation of granulocyte responses in three-spined sticklebacks Gasterosteus aculeatus infected with the tapeworm Schistocephalus solidus // Dis. Aquat. Org. 2004. № 59. Р. 141 –150. https://doi.org/10.3354/dao059141
- Scholz T., Kuchta R. Fish-borne, zoonotic cestodes (Diphyllobothrium and relatives) in cold climates: A never-ending story of neglected and (re)-emergent parasites // Food Waterborne Parasitol. 2016. № 4. Р. 23−38. https://doi.org/10.1016/j.fawpar.2016.07.002
- Scholz T., Kuchta R., Oros M. Tapeworms as pathogens of fish: A review. J. Fish Diseases. 2021. № 44. Р. 1883 –1990. https://doi.org/10.1111/jfd.13526
- Sidorova T. V., Khabudaev K. V., Sukhanova L. V., Zheng Y., Dugarov Zh.N., Mazur O. E. Comparative transcriptomic analysis of the larval and adult stages of Dibothriocephallus dendriticus (Cestoda: Diphyllobothriidea) // Parasitology Research. 2022. № 122. Р. 145 –156. https://doi.org/10.21203/rs.3.rs-1819849/v1
- Sharp G. J.E., Pike, A.W., Secombes C. J. The immune response of wild rainbow trout, Salmo gairdneri Richardson, to naturally acquired plerocercoid infections of Diphyllobothrium dendriticum (Nitzsch, 1824) and Diphyllobothrium ditremum (Creplin, 1825) // J. Fish Biology. 1989. № 35. Р. 781−793. https://doi.org/10.1111/j.1095-8649.1989.tb03029.x
- Sharp G. J.E., Pike A. W., Secombes C. J. Sequential development of the immune response in rainbow trout (Oncorhynchus mykiss (Walbaum, 1792)) to experimental plerocercoid infections of Diphyllobothrium dendriticum (Nitzsch, 1824) // Parasitology. 1992. № 104. Р. 169−178.
- Sitjà-Bobadilla A. Living off a fish: a trade-off between parasites and the immune system // Fish Shellfish Immunol. 2008. № 25. Р. 358 –372. https://doi.org/10.1016/j.fsi.2008.03.018
- Souza D. C.M., Santos M. C., Chagas E. C. Immune response of teleost fish to helminth parasite infection // Brazilian J. Vet. Parasitology. 2019. № 28(4). Р. 533−547. https://doi.org/10.1590/S1984-29612019080
- Stosik M., Tokarz-Deptula B., Deptula W. Immunological memory in teleost fish // Fish Shellfish Immunol. 2021. № 115(2021). Р. 95−103. https://doi.org/10.1016/j.fsi.2021.05.022
- Teterina V., Sukhanova L., Smirnov V., Smirnova N., Kirilchik S., Sapozhnikova Y., Glizina O., Yakhnenko V., Tyagun M., Sidorova T. Complete mitochondrial genomes of Baikal endemic coregonids: omul and lacustrine whitefish (Salmonidae: Coregonus sp.) // Mitohondrial DNA Part B. 2020. № 5(1). Р. 414 –416. https://doi.org/10.1080/23802359.2019.1703565
- Torres V., Leyan P., Puga S. Prevalence, intensity, and abundance of infection and pathogenesis caused by diphyllobothriosis in vulnerable, native fish and introduced trout in Lake Panguipulli, Chile // J. Wild Life Dis. 2012. № 48(4). Р. 937 –950. https://doi.org/10.7589/2011-08-235
- Zapata A., Diez B., Cejalvo T., Gutierrez-De Frias C., Cortes A. Ontogeny of the immune system of fish // Fish and Shellfish Immunol. 2006. № 20. Р. 126 –136. https://doi.org/10.1016/j.fsi.2004.09.005
- Zou J., Secombes C. J. The function of fish cytokines. Biology. 2016. № 5(2). Р. 1 –23. https://doi.org/10.3390/biology5020023
Supplementary files



