Распад десмина в скелетных мышцах у пациентов в хроническом критическом состоянии
- Авторы: Тыганов С.А.1, Кондратьев А.Н.2, Кондратьева Е.А.2,3, Кондратьев С.А.4, Забродская Ю.М.2, Белова С.П.1, Скитева Е.Н.1,2, Туртикова О.В.1, Зарипова К.А.1, Шенкман Б.С.1
-
Учреждения:
- Институт медико-биологических проблем Российской академии наук
- Российский научно-исследовательский нейрохирургический институт им. профессора А.Л. Поленова
- Военно-медицинская академии им. С.М. Кирова Министерства обороны РФ
- AIMIS Healthcare Group, Сlinic Athonitissa
- Выпуск: Том 109, № 12 (2023)
- Страницы: 1952-1962
- Раздел: ЭКСПЕРИМЕНТАЛЬНЫЕ СТАТЬИ
- URL: https://bakhtiniada.ru/0869-8139/article/view/233857
- DOI: https://doi.org/10.31857/S0869813923120129
- EDN: https://elibrary.ru/CHNTIY
- ID: 233857
Цитировать
Полный текст
Аннотация
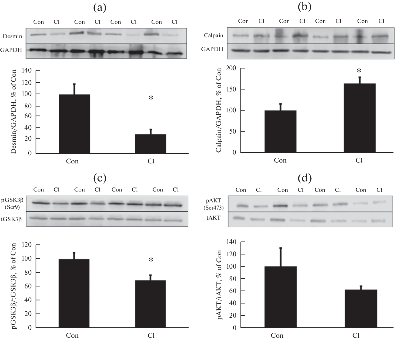
Пациенты в хроническом критическом состоянии теряют значительную часть мышечной массы за время пребывания в отделении интенсивной терапии, что может иметь долгосрочные пагубные последствия. В том числе, это приводит к разрушению целостности цитоскелета мышц, и в настоящее время нет полноценных исследований, описывающих механизмы развития этого процесса. Целью данной работы было исследование сигнальных процессов, приводящих к распаду десмина у пациентов при миопатии критических состояний (critical illness myopathy, CIM). Инцизионные мышечные биопсии из камбаловидной мышцы были взяты у 6 пациентов, проходящих лечение в РНХИ им. проф. А.Л. Поленова – филиал НМИЦ им. В.А. Алмазова, с хроническим нарушением сознания (не менее 2 мес.). В качестве контроля использовали мышечные биоптаты, взятые у здоровых мужчин с помощью игольчатой биопсии. Биопсии замораживались в жидком азоте для дальнейшего проведения вестерн-блот и ПЦР-анализа, а также иммуногистохимического исследования. Проведенный анализ показал, что у 4 из 6 исследованных пациентов визуально были выявлены волокна с измененной гистологической картиной десмина. Мы также наблюдали достоверное снижение содержания десмина на 69% и снижение содержания его мРНК на 24% у пациентов с CIM. Распад десмина может быть связан с повышенной активностью кальпаина и с активацией убиквитин-протеасомной системы. В данной работе содержание кальпаина-1 повышалось в условиях CIM на уровне белка и не изменялось на уровне мРНК. Мы наблюдали изменения в фосфорилировании GSK3-β (Ser9), что является ключевым этапом деполимеризации десминовых филаментов кальпаином-1. Исследование убиквитинлигаз, в свою очередь, показало достоверное увеличение экспрессии Trim32 на 155%, при снижении экспрессии Atrogin1 и MuRF1. Таким образом, в данной работе наблюдалось снижение содержания десмина в условиях CIM. Распад десмина может быть связан с увеличением его фосфорилирования с помощью GSK3β и дальнейшим расщеплением кальпаином-1. Кроме того, мы зафиксировали повышенную экспрессию Е3-убиквитинлигазы Trim32, активность которой, судя по литературным данным, также повышается после фосфорилирования десмина.
Об авторах
С. А. Тыганов
Институт медико-биологических проблем Российской академии наук
Автор, ответственный за переписку.
Email: s.a.tyganov@gmail.com
Россия, Москва
А. Н. Кондратьев
Российский научно-исследовательский нейрохирургический институтим. профессора А.Л. Поленова
Email: s.a.tyganov@gmail.com
Россия, Санкт-Петербург
Е. А. Кондратьева
Российский научно-исследовательский нейрохирургический институтим. профессора А.Л. Поленова; Военно-медицинская академии им. С.М. Кирова Министерства обороны РФ
Email: s.a.tyganov@gmail.com
Россия, Санкт-Петербург; Россия, Санкт-Петербург
С. А. Кондратьев
AIMIS Healthcare Group, Сlinic Athonitissa
Email: s.a.tyganov@gmail.com
Cyprus, Limassol
Ю. М. Забродская
Российский научно-исследовательский нейрохирургический институтим. профессора А.Л. Поленова
Email: s.a.tyganov@gmail.com
Россия, Санкт-Петербург
С. П. Белова
Институт медико-биологических проблем Российской академии наук
Email: s.a.tyganov@gmail.com
Россия, Москва
Е. Н. Скитева
Институт медико-биологических проблем Российской академии наук; Российский научно-исследовательский нейрохирургический институтим. профессора А.Л. Поленова
Email: s.a.tyganov@gmail.com
Россия, Москва; Россия, Санкт-Петербург
О. В. Туртикова
Институт медико-биологических проблем Российской академии наук
Email: s.a.tyganov@gmail.com
Россия, Москва
К. А. Зарипова
Институт медико-биологических проблем Российской академии наук
Email: s.a.tyganov@gmail.com
Россия, Москва
Б. С. Шенкман
Институт медико-биологических проблем Российской академии наук
Email: s.a.tyganov@gmail.com
Россия, Москва
Список литературы
- Nelson JE, Cox CE, Hope AA, Carson SS (2010) Chronic critical illness. A J Respirat Crit Care Med 182(4): 446–454. https://doi.org/10.1164/rccm.201002-0210CI
- van Erp WS, Lavrijsen JC, Vos PE, Bor H, Laureys S, Koopmans RT (2015) The vegetative state: prevalence, misdiagnosis, and treatment limitations. J Am Med Dir Assoc 16(1): e85–e89. https://doi.org/10.1016/j.jamda.2014.10.014
- Parfenov AL, Razzhivin VP, Petrova MV (2022) Chronic Critical Illness: Current Aspects of the Problem (Review). Sovrem Tekhnol Med 14(3): 70–81. https://doi.org/10.17691/stm2022.14.3.08
- Llano-Diez M, Cheng AJ, Jonsson W, Ivarsson N, Westerblad H, Sun V, Cacciani N, Larsson L, Bruton J (2016) Impaired Ca(2+) release contributes to muscle weakness in a rat model of critical illness myopathy. Critic Care 20(1): 254. https://doi.org/10.1186/s13054-016-1417-z
- Bolton CF (2005) Neuromuscular manifestations of critical illness. Muscle & Nerve 32(2): 140–163. https://doi.org/10.1002/mus.20304
- Larsson L, Li X, Edstrom L, Eriksson LI, Zackrisson H, Argentini C, Schiaffino S (2000) Acute quadriplegia and loss of muscle myosin in patients treated with nondepolarizing neuromuscular blocking agents and corticosteroids: mechanisms at the cellular and molecular levels. Critic Care Med 28(1): 34–45. https://doi.org/10.1097/00003246-200001000-00006
- Latronico N, Tomelleri G, Filosto M (2012) Critical illness myopathy. Curr Opin Rheumatol 24(6): 616–622. https://doi.org/10.1097/BOR.0b013e3283588d2f
- Lacomis D, Zochodne DW, Bird SJ (2000) Critical illness myopathy. Muscle & Nerve 23(12): 1785–1788. https://doi.org/10.1002/1097-4598(200012)23:12<1785::aid-mus1>3.0.co;2-j
- Meznaric M, Angelini C (2016) Intensive Care Unit-Acquired Weakness. In: Angelini C (ed) Acquired Neuromuscular Disorders: Pathogenesis, Diagnosis and Treatment. Springer Int Publ. Cham. 163–175. https://doi.org/10.1007/978-3-319-29514-5_13
- Addinsall AB, Cacciani N, Akkad H, Salah H, Tchkonia T, Kirkland JL, Larsson L (2021) JAK/STAT inhibition augments soleus muscle function in a rat model of critical illness myopathy via regulation of complement C3/3R. J Physiol 599(11): 2869–2886. https://doi.org/10.1113/JP281220
- Aare S, Radell P, Eriksson LI, Chen YW, Hoffman EP, Larsson L (2012) Role of sepsis in the development of limb muscle weakness in a porcine intensive care unit model. Physiol Genom 44(18): 865–877. https://doi.org/10.1152/physiolgenomics.00031.2012
- Henderson CA, Gomez CG, Novak SM, Mi-Mi L, Gregorio CC (2017) Overview of the Muscle Cytoskeleton. Compr Physiol 7(3): 891–944. https://doi.org/10.1002/cphy.c160033
- Capetanaki Y, Papathanasiou S, Diokmetzidou A, Vatsellas G, Tsikitis M (2015) Desmin related disease: a matter of cell survival failure. Current Opin Cell Biol 32: 113–120. https://doi.org/10.1016/j.ceb.2015.01.004
- Aweida D, Rudesky I, Volodin A, Shimko E, Cohen S (2018) GSK3-beta promotes calpain-1-mediated desmin filament depolymerization and myofibril loss in atrophy. J Cell Biol 217(10): 3698–3714.https://doi.org/10.1083/jcb.201802018
- Mirzoev TM, Sharlo KA, Shenkman BS (2021) The Role of GSK-3beta in the Regulation of Protein Turnover, Myosin Phenotype, and Oxidative Capacity in Skeletal Muscle under Disuse Conditions. Int J Mol Sci 22(10): 508. https://doi.org/10.3390/ijms22105081
- Cohen S (2020) Role of calpains in promoting desmin filaments depolymerization and muscle atrophy. Bioch Biophys Acta Mol Cell Res 1867(10): 118788 https://doi.org/10.1016/j.bbamcr.2020.118788
- Helliwell TR, Wilkinson A, Griffiths RD, McClelland P, Palmer TE, Bone JM (1998) Muscle fibre atrophy in critically ill patients is associated with the loss of myosin filaments and the presence of lysosomal enzymes and ubiquitin. Neuropathol Appl Neurobiol 24(6): 507–517. https://doi.org/10.1046/j.1365-2990.1998.00144.x
- Clemen CS, Herrmann H, Strelkov SV, Schroder R (2013) Desminopathies: pathology and mechanisms. Acta Neuropathol 125(1): 47–75. https://doi.org/10.1007/s00401-012-1057-6
- Shah F, Franklin KA, Holmlund T, Levring Jaghagen E, Berggren D, Forsgren S, Stal P (2019) Desmin and dystrophin abnormalities in upper airway muscles of snorers and patients with sleep apnea. Respir Res 20(1): 31. https://doi.org/10.1186/s12931-019-0999-9
- Carlsson L, Thornell LE (2001) Desmin-related myopathies in mice and man. Acta Physiol Scand 171(3): 341–348. https://doi.org/10.1046/j.1365-201x.2001.00837.x
- Kisselev AF, Goldberg AL (2001) Proteasome inhibitors: from research tools to drug candidates. Chem Biol 8(8): 739–758. https://doi.org/10.1016/s1074-5521(01)00056-4
- Bodine SC, Baehr LM (2014) Skeletal muscle atrophy and the E3 ubiquitin ligases MuRF1 and MAFbx/atrogin-1. Am J Physiol Endocrinol Metabol 307(6): E469–E484. https://doi.org/10.1152/ajpendo.00204.2014
- Gomes MD, Lecker SH, Jagoe RT, Navon A, Goldberg AL (2001) Atrogin-1, a muscle-specific F-box protein highly expressed during muscle atrophy. Proc Natl Acad Sci U S A 98(25): 14440–14445. https://doi.org/10.1073/pnas.251541198
- Baehr LM, Hughes DC, Lynch SA, Van Haver D, Maia TM, Marshall AG, Radoshevich L, Impens F, Waddell DS, Bodine SC (2021) Identification of the MuRF1 Skeletal Muscle Ubiquitylome Through Quantitative Proteomics. Function 2(4): zqab029. https://doi.org/10.1093/function/zqab029
- Lokireddy S, Wijesoma IW, Sze SK, McFarlane C, Kambadur R, Sharma M (2012) Identification of atrogin-1-targeted proteins during the myostatin-induced skeletal muscle wasting. Am J Physiol Cell Physiol 303(5): C512–C529. https://doi.org/10.1152/ajpcell.00402.2011
- Cohen S, Zhai B, Gygi SP, Goldberg AL (2012) Ubiquitylation by Trim32 causes coupled loss of desmin, Z-bands, and thin filaments in muscle atrophy. J Cell Biol 198(4): 575–589. https://doi.org/10.1083/jcb.201110067
- Akkad H, Corpeno R, Larsson L (2014) Masseter muscle myofibrillar protein synthesis and degradation in an experimental critical illness myopathy model. PloS One 9(4): e92622. https://doi.org/10.1371/journal.pone.0092622
- Kachaeva EV, Shenkman BS (2012) Various jobs of proteolytic enzymes in skeletal muscle during unloading: facts and speculations. J Biomed Biotechnol 2012: 493618. https://doi.org/10.1155/2012/493618
- Jones SW, Hill RJ, Krasney PA, O’Conner B, Peirce N, Greenhaff PL (2004) Disuse atrophy and exercise rehabilitation in humans profoundly affects the expression of genes associated with the regulation of skeletal muscle mass. FASEB J: Official Publicat Federat Am Soc Exp Biol 18(9): 1025–1027. https://doi.org/10.1096/fj.03-1228fje
- de Boer MD, Selby A, Atherton P, Smith K, Seynnes OR, Maganaris CN, Maffulli N, Movin T, Narici MV, Rennie MJ (2007) The temporal responses of protein synthesis, gene expression and cell signalling in human quadriceps muscle and patellar tendon to disuse. J Physiol 585(Pt 1): 241–251. https://doi.org/10.1113/jphysiol.2007.142828
Дополнительные файлы





