Реактивные изменения микроглиоцитов спинного мозга крысы при остром системном воспалении
- Авторы: Колос Е.А.1, Коржевский Д.Э.1
-
Учреждения:
- Институт экспериментальной медицины
- Выпуск: Том 109, № 7 (2023)
- Страницы: 933-945
- Раздел: ЭКСПЕРИМЕНТАЛЬНЫЕ СТАТЬИ
- URL: https://bakhtiniada.ru/0869-8139/article/view/137969
- DOI: https://doi.org/10.31857/S0869813923070063
- EDN: https://elibrary.ru/XMINUF
- ID: 137969
Цитировать
Полный текст
Аннотация
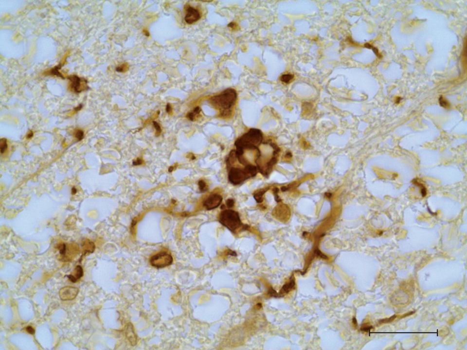
В настоящее время широко известно, что ключевым фактором в развитии многих неврологических патологий и нейродегенеративных заболеваний является нейровоспаление. Динамика развития и продолжительность нейровоспалительных реакций являются критическими аспектами в понимании закономерностей формирования физиологических, биохимических и поведенческих последствий различных неврологических нарушений. Во многих работах процесс развития нейровоспаления, а также глиальная реакция изучаются при экспериментальном системном воспалении. Детально исследуется влияние острого системного воспаления на состояние микроглиоцитов головного мозга, в то время как микроглия спинного мозга изучается в меньшей степени. Цель настоящего исследования состояла в оценке топографических и временных особенностей морфофункциональных изменений клеток микроглии спинного мозга крыс при экспериментальном ЛПС-индуцированном системном воспалении. Установлено, что на ранних этапах нейровоспаления (через 24 ч после введения ЛПС) происходит активация микроглиоцитов в вентральном белом и вентральном сером веществе спинного мозга. При этом микроглиоциты дорсальной части спинного мозга не проявляют морфологических признаков активации. Отмечено увеличение плотности популяции микроглиоцитов в вентральном канатике спинного мозга, где также выявлены скопления (агрегаты) реактивных микроглиоцитов.
Ключевые слова
Об авторах
Е. А. Колос
Институт экспериментальной медицины
Автор, ответственный за переписку.
Email: koloselena1984@yandex.ru
Россия, Санкт-Петербург
Д. Э. Коржевский
Институт экспериментальной медицины
Email: koloselena1984@yandex.ru
Россия, Санкт-Петербург
Список литературы
- Chen WW, Zhang X, Huang WJ (2016) Role of neuroinflammation in neurodegenerative diseases (Review). Mol Med Reports 13(4): 3391–3396. https://doi.org/10.3892/mmr.2016.4948
- Stuckey SM, Ong LK, Collins-Praino LE, Turner RJ (2021) Neuroinflammation as a Key Driver of Secondary Neurodegeneration Following Stroke? Int J Mol Sci 22(23): 13101. https://doi.org/10.3390/ijms222313101
- Hanna L, Poluyi E, Ikwuegbuenyi C, Morgan E, Imaguezegie G (2022) Peripheral inflammation and neurodegeneration; a potential for therapeutic intervention in Alzheimer’s disease (AD), Parkinson’s disease (PD) and amyotrophic lateral sclerosis (ALS). Egypt J Neurosurg 37: 15. https://doi.org/10.1186/s41984-022-00150-4
- DiSabato DJ, Quan N, Godbout JP (2016) Neuroinflammation: the devil is in the details. J Neurochem 139 (Suppl 2): 136–153. https://doi.org/10.1111/jnc.13607
- Ransohoff RM (2016) How neuroinflammation contributes to neurodegeneration. Science (New York) 353(6301): 777–783. https://doi.org/10.1126/science.aag2590
- Bassani TB, Vital MA, Rauh LK (2015) Neuroinflammation in the pathophysiology of Parkinson’s disease and therapeutic evidence of anti-inflammatory drugs. Arquivos de Neuro-psiquiatr 73(7): 616–623. https://doi.org/10.1590/0004-282X20150057
- Wang J, Tan L, Wang HF, Tan CC, Meng XF, Wang C, Tang SW, Yu JT (2015) Anti-inflammatory drugs and risk of Alzheimer’s disease: an updated systematic review and meta-analysis. J Alzheimer’s Disease: JAD 44(2): 385–396. https://doi.org/10.3233/JAD-141506
- McGeer PL, Rogers J, McGeer EG (2016) Inflammation, Antiinflammatory Agents, and Alzheimer’s Disease: The Last 22 Years. J Alzheimer’s Disease: JAD 54(3): 853–857. https://doi.org/10.3233/JAD-160488
- Kadusevicius E (2021) Novel Applications of NSAIDs: Insight and Future Perspectives in Cardiovascular, Neurodegenerative, Diabetes and Cancer Disease Therapy. Int J Mol Sci 22(12): 6637.https://doi.org/10.3390/ijms22126637
- Oliveira NSS, de Morais AFB, Tavares APG, de Figueiredo BQ, de Matos BA, Amorim GS, Miranda LD, Oliveira RC (2021) The use of Non-Steroidal Anti-Inflammatory Drugs (NSAIDs) as one of the pharmacological alternatives for patients with Alzheimer’s Disease: a systematic literature review. Res Society and Development 10(16): e146101623609. https://doi.org/10.33448/rsd-v10i16.23609
- Catorce MN, Gevorkian G (2016) LPS-induced Murine Neuroinflammation Model: Main Features and Suitability for Pre-clinical Assessment of Nutraceuticals. Current Neuropharmacol 14(2): 155–164. https://doi.org/10.2174/1570159x14666151204122017
- Batista CRA, Gomes GF, Candelario-Jalil E, Fiebich BL, de Oliveira ACP (2019) Lipopolysaccharide-Induced Neuroinflammation as a Bridge to Understand Neurodegeneration. Int J Mol Sci 20(9): 2293. https://doi.org/10.3390/ijms20092293
- Tamura Y, Yamato M, Kataoka Y (2022) Animal Models for Neuroinflammation and Potential Treatment Methods. Front Neurol 13: 890217. https://doi.org/10.3389/fneur.2022.890217
- Kolos EA, Korzhevskii DE (2017) Activation of Microglyocytes in the Anterior Horns of Rat Spinal Cord after Administration of Bacterial Lipopolysaccharide. Bull Exp Biol Med 163(4): 515–518. https://doi.org/10.1007/s10517-017-3841-8
- Wen W, Gong X, Cheung H, Yang Y, Cai M, Zheng J, Tong X, Zhang M (2021) Dexmedetomidine Alleviates Microglia-Induced Spinal Inflammation and Hyperalgesia in Neonatal Rats by Systemic Lipopolysaccharide Exposure. Front Cell Neurosci 15:725267.https://doi.org/10.3389/fncel.2021.725267
- Hirotsu A, Miyao M, Tatsumi K, Tanaka T (2022) Sepsis-associated neuroinflammation in the spinal cord. PloS One 17(6): e0269924. https://doi.org/10.1371/journal.pone.0269924
- Grigorev IP, Korzhevskii DE (2018) Current technologies for fixation of biological material for immunohistochemical analysis (review). Modern Technol Med 10 (2): 156–165. https://doi.org/10.17691/stm2018.10.2.19
- Ohsawa K, Imai Y, Kanazawa H, Sasaki Y, Kohsaka S (2000) Involvement of Iba1 in membrane ruffling and phagocytosis of macrophages/microglia. J Cell Sci 113 (Pt 17): 3073–3084.https://doi.org/10.1242/jcs.113.17.3073
- Kolos EA, Korzhevskii DE (2020) Spinal Cord Microglia in Health and Disease. Acta Naturae 12(1): 4–17. https://doi.org/10.32607/actanaturae.10934
- Fernandez-Arjona MDM, Grondona JM, Granados-Duran P, Fernandez-Llebrez P, Lopez-Avalos MD (2017) Microglia Morphological Categorization in a Rat Model of Neuroinflammation by Hierarchical Cluster and Principal Components Analysis. Front Cell Neurosci 11: 235. https://doi.org/10.3389/fncel.2017.00235
- Nuvolone M, Paolucc M, Sorce S, Kana V, Moos R, Matozaki T, Aguzzi A (2017) Prion pathogenesis is unaltered in the absence of SIRPα-mediated “don’t-eat-me” signaling. PloS One 12(5): e0177876. https://doi.org/10.1371/journal.pone.0177876
- Kartalou G I, Salgueiro-Pereira AR, Endres T, Lesnikova A, Casarotto P, Pousinha P, Delanoe K, Edelmann E, Castrén E, Gottmann K, Marie H, Lessmann V (2020) Anti-Inflammatory Treatment with FTY720 Starting after Onset of Symptoms Reverses Synaptic Deficits in an AD Mouse Model. Int J Mol Sci 21(23): 8957. https://doi.org/10.3390/ijms21238957
- Tyrtyshnaia A, Bondar A, Konovalova S, Sultanov R, Manzhulo I (2020) N-Docosahexanoylethanolamine Reduces Microglial Activation and Improves Hippocampal Plasticity in a Murine Model of Neuroinflammation. Int J Mol Sci 21(24): 9703. https://doi.org/10.3390/ijms21249703
- Kolos EA, Korzhevskii DE (2022) Age-related changes in microglia of the rat spinal cord. J Evol Biochem Physiol 58(4): 1142–1151. https://doi.org/10.1134/S0022093022040172
- Hoogland IC, Houbolt C, van Westerloo DJ, van Gool WA, van de Beek D (2015) Systemic inflammation and microglial activation: systematic review of animal experiments. J Neuroinflammat 12:114. https://doi.org/10.1186/s12974-015-0332-6
- Kolos EA, Korzhevskii DE (2020) Immunohistological Detection of Active Satellite Cellsin Rat Dorsal Root Ganglia after Parenteral Administration of Lipopolysaccharide and during Aging. J Evol Biochem Physiol 169(5): 665–668. https://doi.org/10.1007/s10517-020-04950-2
- Cao L, Fei, L, Chang TT, DeLeo JA (2007). Induction of interleukin-1beta by interleukin-4 in lipopolysaccharide-treated mixed glial cultures: microglial-dependent effects. J Neurochem 102(2): 408–419. https://doi.org/10.1111/j.1471-4159.2007.04588.x
- Orihuela R, McPherson CA, Harry GJ (2016) Microglial M1/M2 polarization and metabolic states. Br J Pharmacol 173(4): 649–665. https://doi.org/10.1111/bph.13139
- Hanisch UK, Kettenmann H (2007) Microglia: active sensor and versatile effector cells in the normal and pathologic brain. Nature Neurosci 10(11): 1387–1394. https://doi.org/10.1038/nn1997
- Kettenmann H, Hanisch UK, Noda M, Verkhratsky A (2011) Physiology of microglia. Physiol Rev 91(2): 461–553.https://doi.org/10.1152/physrev.00011.2010
- Stratoulias V, Venero JL, Tremblay ME, Joseph B (2019) Microglial subtypes: diversity within the microglial community. The EMBO J 38(17): e101997. https://doi.org/10.15252/embj.2019101997
- Yang X, Zhang JD, Duan L, Xiong HG, Jiang YP, Liang HC (2018) Microglia activation mediated by toll-like receptor-4 impairs brain white matter tracts in rats. J Biomed Res 32(2): 136-144. https://doi.org/10.7555/JBR.32.20170033
- Lee J, Hamanaka G, Lo EH, Arai K (2019) Heterogeneity of microglia and their differential roles in white matter pathology. CNS Neurosci & Therap 25(12): 1290–1298.https://doi.org/10.1111/cns.13266
- Marzan DE, Brügger-Verdon V, West BL, Liddelow S, Samanta J, Salzer JL (2021) Activated microglia drive demyelination via CSF1R signaling. Glia 69(6): 1583–1604. https://doi.org/10.1002/glia.23980
- Xu L, Wang J, Ding Y, Wang L, Zhu YJ (2022) Current Knowledge of Microglia in Traumatic Spinal Cord Injury. Front Neurol 12: 796704. https://doi.org/10.3389/fneur.2021.796704
- Sariol A, Mackin S, Allred MG, Ma C, Zhou Y, Zhang Q, Zou X, Abrahante JE, Meyerholz DK, Perlman S (2020) Microglia depletion exacerbates demyelination and impairs remyelination in a neurotropic coronavirus infection. Proc Natl Acad Sci U S A 117(39): 24464–24474. https://doi.org/10.1073/pnas.2007814117
- Bolton CF, Gilbert JJ, Hahn AF, Sibbald WJ (1984) Polyneuropathy in critically ill patients. J Neurol Neurosurg Psychiatry 47(11): 1223–1231.https://doi.org/10.1136/jnnp.47.11.1223
- Hund EF, Fogel W, Krieger D, DeGeorgia M, Hacke W (1996) Critical illness polyneuropathy: clinical findings and outcomes of a frequent cause of neuromuscular weaning failure. Crit Care Med 24(8): 1328–1333. https://doi.org/10.1097/00003246-199608000-00010
- Plaut T, Weiss L (2022) Electrodiagnostic Evaluation of Critical Illness Neuropathy. In: StatPearls [Internet]. Treasure Island (FL). Stat Pearls Publ. 2023.
- Hund E (2001) Neurological complications of sepsis: critical illness polyneuropathy and myopathy. J Neurol 248(11): 929–934. https://doi.org/10.1007/s004150170043
- Nayci A, Atis S, Comelekoglu U, Ozge A, Ogenler O, Coskun B, Zorludemir S (2005) Sepsis induces early phrenic nerve neuropathy in rats. Europ Respir J 26(4): 686–692. https://doi.org/10.1183/09031936.05.0111004
- Axer H, Grimm A, Pausch C, Teschner U, Zinke J, Eisenach S, Beck S, Guntinas-Lichius O, Brunkhorst FM, Witte OW (2016) The impairment of small nerve fibers in severe sepsis and septic shock. Crit Care (London, England) 20: 64. https://doi.org/10.12669/pjms.38.1.4396
- Trzeciak A, Lerman YV, Kim TH, Kim MR, Mai N, Halterman MW, Kim M (2019) Long-Term Microgliosis Driven by Acute Systemic Inflammation. J Immunol (Baltimore, Md: 1950) 203(11): 2979–2989. https://doi.org/10.4049/jimmunol.1900317
- Thomson CA, McColl A, Graham GJ, Cavanagh J (2020) Sustained exposure to systemic endotoxin triggers chemokine induction in the brain followed by a rapid influx of leukocytes. J Neuroinflammat 17: 94. https://doi.org/10.1186/s12974-020-01759-8
- Nishioku T, Dohgu S, Takata F, Eto T, Ishikawa N, Kodama KB, Nakagawa S, Yamauchi A, & Kataoka Y (2009) Detachment of brain pericytes from the basal lamina is involved in disruption of the blood-brain barrier caused by lipopolysaccharide-induced sepsis in mice. Cell Mol Neurobiol 29(3): 309–316. https://doi.org/10.1007/s10571-008-9322-x
- Wu F, Chen X, Zhai L, Wang H, Sun M, Song C, Wang T, Qian Z (2020) CXCR2 antagonist attenuates neutrophil transmigration into brain in a murine model of LPS induced neuroinflammation. Biochem Biophys Res Communicat 529(3): 839–845. https://doi.org/10.1016/j.bbrc.2020.05.124
- He H, Geng T, Chen P, Wang M, Hu J, Kang L, Song W, Tang H (2016) NK cells promote neutrophil recruitment in the brain during sepsis-induced neuroinflammation. Scient Rep 6: 27711. https://doi.org/10.1038/srep27711
- Chopra N, Menounos S, Choi JP, Hansbro PM, Diwan AD, Das A. (2021) Blood-Spinal Cord Barrier: Its Role in Spinal Disorders and Emerging Therapeutic Strategies. J Neuro Sci 3: 1–27. https://doi.org/10.3390/neurosci3010001
- Yamadera M, Fujimura H, Inoue K, Toyooka K, Mori C, Hirano H, Sakoda S (2015) Microvascular disturbance with decreased pericyte coverage is prominent in the ventral horn of patients with amyotrophic lateral sclerosis. Amyotroph Lateral Sclerosis & Frontotempor Degenerat 16(5-6): 393–401. https://doi.org/10.3109/21678421.2015.1011663
- Ge S, Pachter JS (2006) Isolation and culture of microvascular endothelial cells from murine spinal cord. J Neuroimmunol 177(1–2): 209–214. https://doi.org/10.1016/j.jneuroim.2006.05.012
- Winkler EA, Sengillo D, Sullivan JS, Henkel JS, Appel SH, Zlokovic BV (2013). Blood-spinal cord barrier breakdown and pericyte reductions in amyotrophic lateral sclerosis. Acta Neuropathol 125(1): 111–120. https://doi.org/10.1007/s00401-012-1039-8





