Immunohistochemical Study of Macrophages of Sciatic Rat Nerve after Damage and Subperineural Injection of Mesenchymal Stem Cells
- Авторлар: Petrova E.S.1, Kolos E.A.1
-
Мекемелер:
- Institute of Experimental Medicine
- Шығарылым: Том 109, № 4 (2023)
- Беттер: 466-476
- Бөлім: EXPERIMENTAL ARTICLES
- URL: https://bakhtiniada.ru/0869-8139/article/view/137925
- DOI: https://doi.org/10.31857/S0869813923040076
- EDN: https://elibrary.ru/VJJIZZ
- ID: 137925
Дәйексөз келтіру
Толық мәтін
Аннотация
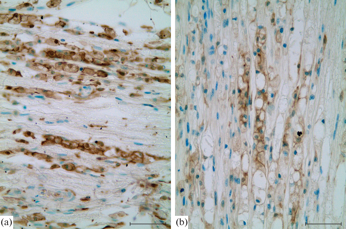
The dynamics of the processes of Wallerian degeneration in the Wistar-Kyoto rat sciatic nerve after injury (ligation, 40 s) was studied.The density of Iba-1+ macrophages and the state of myelin fibers stained with Luxol strong blue in the distal segment of the nerve at different times after injury were studied. Parts of rats were subperineurally transplanted with MSCs from the bone marrow of Wistar-Kyoto rats. It was shown that the highest distribution density of macrophages in the distal segment of the nerve was observed 7 days after surgery. The use of cell therapy leads to a decrease in the number of macrophages during this period and to a delay in the demyelination of damaged nerve fibers. Sixty days after the operation, the macrophage population density and the number of remyelinated regenerating nerve fibers of the distal nerve segment did not differ in control (ligature) and experimental (ligature and MSC injection) animals. The molecular mechanisms of the noted changes in the early stages after injury require further research.
Негізгі сөздер
Авторлар туралы
E. Petrova
Institute of Experimental Medicine
Хат алмасуға жауапты Автор.
Email: iempes@yandex.ru
Russia, St. Petersburg
E. Kolos
Institute of Experimental Medicine
Email: iempes@yandex.ru
Russia, St. Petersburg
Әдебиет тізімі
- Lavorato A, Raimondo S, Boido M, Muratori L, Durante G, Cofano F, Vincitorio F, Petrone S, Titolo P, Tartara F, Vercelli A, Garbossa D (2021) Mesenchymal stem cell treatment perspectives in peripheral nerve regeneration: systematic review. Int J Mol Sci 22 (2): 572. https://doi.org/10.3390/ijms22020572
- Siemionow M, Strojny MM, Kozlowska K, Brodowska S, Grau-Kazmierczak W, Cwykiel J (2022) Application of human epineural conduit supported with human mesenchymal stem cells as a novel therapy for enhancement of nerve gap regeneration. Stem Cell Rev Rep 18(2): 642–659. https://doi.org/10.1007/s12015-021-10301-z
- Петрова ЕС (2022) Клеточные технологии в экспериментальной терапии повреждений нерва (проблемно-аналитический обзор). Успехи совр биол 142(6): 638–649. [Petrova ES (2022) Cell technologies in experimental damage therapy nerve (problem-analytical review). Succes Modern Biol 142(6): 638–649. (In Russ)].https://doi.org/10.31857/S0042132422060060
- Karagyaur M, Makarevich P, Semina E, Stambolsky D, Plekhanova O, Tkachuk V, Dyikanov D, Kalinina N (2015) Non-viral transfer of BDNF and UPA stimulates peripheral nerve regeneration. Biomed & Pharmacother 74: 63–70. https://doi.org/10.1016/j.biopha.2015.07.002
- Boldyreva MA, Bondar IV, Stafeev IS, Makarevich PI, Beloglazova IB, Zubkova ES, Shevchenko EK, Molokotina YD, Karagyaur MN, Ratner EI, Parfyonova YV (2018) Plasmid-based gene therapy with hepatocyte growth factor stimulates peripheral nerve regeneration after traumatic injury. Biomed Pharmacother 101: 682–690. https://doi.org/10.1016/j.biopha.2018.02.138
- Masgutov R, Zeinalova A, Masgutova G, Salafutdinov I, Garanina E, Syromiatnikova V, Idrisova K, Mullakhmetova A, Andreeva D, Mukhametova L, Rizvanov A, Bogov A, Kadyrov A, Pankov I (2021) Angiogenesis and nerve regeneration induced by local administration of PLASMID PBUD-COVEGF165-COFGF2 into the intact rat sciatic nerve. Neural Regenerat Res 16(9): 1882–1889. https://doi.org/10.4103/1673-5374.306090
- Petrova ES, Isaeva EN, Kolos EA, Korzhevskii DE (2018a) Vascularization of the damaged nerve under the effect of experimental cell therapy. Bull Exp Biol Med 165(1): 161–165. https://doi.org/10.1007/s10517-018-4120-z
- Ноздрачев АД, Чумасов ЕИ (1999) Периферическая нервная система. СПб. Наука. [Nozdrachev AD, Chumasov EI (1999) Peripheral nervous system. St. Petersburg. Nauka. (In Russ)].
- Koeppen AH (2004) Wallerian degeneration: history and clinical significance. J Neurol Sci 220: 115–117. https://doi.org/10.1016/j.jns.2004.03.008
- Kerns JM, Walter JS, Patetta MJ, Sood A, Hussain AK, Chung JJ, Deshpande A, DesLaurier JT, Dieter RA, Siemionow M, Seiler FA, Amirouche FML, Gonzalez MH (2021) Histological assessment of Wallerian degeneration of the rat tibial nerve following crush and transection injuries. J Reconstr Microsurg 37(5): 391–404. https://doi.org/10.1055/s-0040-1716870
- Kolter J, Kierdorf K, Henneke P (2020) Origin and differentiation of nerve-associated macrophages. J Immunol 204 (2): 271–279. https://doi.org/10.4049/jimmunol.1901077
- Chen P, Piao X, Bonaldo P (2015) Role of macrophages in Wallerian degeneration and axonal regeneration after peripheral nerve injury. Acta Neuropathol 130(5): 605–618. https://doi.org/10.1007/s00401-015-1482-4
- Petrova E, Isaeva E, Kolos E, Korzhevskii D (2018) Allogeneic bone marrow mesenchymal stem cells in the epineurium and perineurium of the recipient rat. Biol Communicat 63(2): 123–132. https://doi.org/10.21638/spbu03.2018.205
- Petrova ES, Kolos EA (2021) Nerve fiber regeneration in the rat sciatic nerve after injury and administration of mesenchymal stem cells. Neurosci Behav Physiol 51(4): 513–518. https://doi.org/10.1007/s11055-021-01098-y
- Zinkova NN, Sokolova IB, Shvedova EV, Bilibina AA, Kruglyakov PV, Polyntsev DG, Gilerovitch EG (2007) Dynamics of morphological changes after transplantation of mesenchymal stem cells in rat brain provoked by stroke. Cell Tissue Biol 1(6): 482–490.
- Grigorev IP, Korzhevskii DE (2018) Current technologies for fixation of biological material for immunohistochemical analysis (Review). Modern Technol Med 10(2): 156–165. https://doi.org/10.17691/stm2018.10.2.19
- Niemi JP, DeFrancesco-Lisowitz A, Roldán-Hernández L, Lindborg JA, Mandell D, Zigmond RE (2013) A critical role for macrophages near axotomized neuronal cell bodies in stimulating nerve regeneration. J Neurosci 33(41): 16236–16248. https://doi.org/10.1523/JNEUROSCI.3319-12.2013
- Коржевский ДЭ, Григорьев ИП, Колос ЕА, Сухорукова ЕГ, Кирик ОВ, Алексеева ОС, Гусельникова ВВ (2015) Молекулярная нейроморфология. Нейродегенерация и оценка реакции нервных клеток на повреждение. Санкт-Петербург. СпецЛит. [Korzhevskii DE, Grigoriev IP, Kolos EA, Sukhorukova EG, Kirik OV, Alekseeva OS, Guselnikova VV (2015) Molecular neuromorphology. Neurodegeneration and evaluation of the response of nerve cells to damage. St. Petersburg. SpecLit. (In Russ)].
- DeFrancesco-Lisowitz A, Lindborg JA, Niemi JP, Zigmond RE (2015) The neuroimmunology of degeneration and regeneration in the peripheral nervous system. Neuroscience 302: 174–203. https://doi.org/10.1016/j.neuroscience.2014.09.027
- Kolos EA, Korzhevskii DE (2020) Spinal cord microglia in health and disease. Acta Naturae 12(1(44)): 4–17. https://doi.org/10.32607/actanaturae.10934
- Ohsawa K, Imai Y, Kanazawa H, Sasaki Y, Kohsaka S (2000) Involvement of Iba1 in membrane ruffling and phagocytosis of macrophages/microglia. J Cell Sci 113 (17): 3073–3084. https://doi.org/10.1242/jcs.113.17.3073
- Komori T, Morikawa Y, Inada T, Hisaoka T, Senba E (2011) Site-specific subtypes of macrophages recruited after peripheral nerve injury. Neuroreport 22: 911–917. https://doi.org/10.1097/WNR.0b013e32834cd76a
- Старинец АА, Пономаренко АИ, Манжуло ИВ, Манжуло OC (2019) Активность М1/М2-макрофагов при повреждении седалищного нерва у крыс. Нац научн центр морск биол им АВ Жирмунского ДВО РАН. Владивосток. 90–95. [Starinets AA, Ponomarenko AI, Manzhulo IV, Manzhulo OC (2019) M1/M2 macrophage activity in rats with sciatic nerve injury. Nat Res Center for Marine Biol AV Zhirmunsky FEB RAS. Vladivostok. 90–95. (In Russ)].
- Петрова ЕС, Колос ЕА (2022) Iba-1-иммунопозитивные клетки в седалищном нерве крысы в норме и при патологии. Современная нейробиология: фундаментальные исследования и практические аспекты. Уфа. Изд-во Башкирск гос универ. 226–230. [Petrova ES, Kolos EA (2022) Iba-1-immunopositive cells in the sciatic nerve of rats in normal and pathological conditions. Modern neurobiology: fundamental research and practical aspects. Ufa. Publisher: Bashkir State Univer. 226–230. (In Russ)]. https://doi.org/10.33184/snfipa-2022-10-19.24
- Lindborg JA, Mack M, Zigmond RE (2017) Neutrophils are critical for myelin removal in a peripheral nerve injury model of Wallerian degeneration. J Neurosci 37(43): 10258–10277. https://doi.org/10.1523/JNEUROSCI.2085-17.2017
- Otake K, Toriumi T, Ito T, Okuwa Y, Moriguchi K, Tanaka S, Isobe Y, Saku T, Kurita K, Honda M. (2020) Recovery of sensory function after the implantation of oriented-collagen tube into the resected rat sciatic nerve. Regen Ther 14: 48–58. https://doi.org/10.1016/j.reth.2019.12.004
- Miyano K, Ikehata M, Ohshima K, Yoshida Y, Nose Y, Yoshihara S-I, Oki K, Shiraishi S, Uzu M, Nonaka M, Higam Y, Uezono Y (2022) Intravenous administration of human mesenchymal stem cells derived from adipose tissue and umbilical cord improves neuropathic pain via suppression of neuronal damage and anti-inflammatory actions in rats. PLoS One 17(2): e0262892. https://doi.org/10.1371/journal.pone.0262892
- Li X, Guan Y, Li C, Zhang T, Meng F, Zhang J, Li J, Chen S, Wang Q, Wang Y, Peng J, Tang J (2022) Immunomodulatory effects of mesenchymal stem cells in peripheral nerve injury. Stem Cell Res Ther 13(1): 18. https://doi.org/10.1186/s13287-021-02690-2
- Shiue SJ, Rau RH, Shiue HS, Hung YW, Li ZX, Yang KD, Cheng JK (2019) Mesenchymal stem cell exosomes as a cell-free therapy for nerve injury-induced pain in rats. Pain 160(1): 210–223. https://doi.org/10.1097/j.pain.0000000000001395
- Masgutov R, Masgutova G, Mullakhmetova A, Zhuravleva M, Shulman A, Rogozhin A, Syromiatnikova V, Andreeva D, Zeinalova A, Idrisova K, Allegrucci C, Kiyasov A, Rizvanov A (2019) Adipose-Derived Mesenchymal Stem Cells Applied in Fibrin Glue Stimulate Peripheral Nerve Regeneration. Front Med 6: 68. https://doi.org/10.3389/fmed.2019.00068
- Demyanenko SV, Pitinova MA, Kalyuzhnaya YN, Khaitin AM, Batalshchikova SA, Dobaeva NM, Shevtsova YA, Goryunov KV, Plotnikov EY, Pashkevich SG, Sukhikh GT, Silachev DN (2022) Human Multipotent Mesenchymal Stromal Cell–Derived Extracellular Vesicles Enhance Neuroregeneration in a Rat Model of Sciatic Nerve Crush Injury. Int J Mol Sci 23: 8583. https://doi.org/10.3390/ ijms23158583
Қосымша файлдар






