Фуканазы 107 структурного семейства морской бактерии Wenyingzhuangia fucanilytica CZ1127Т
- Авторы: Зуева А.О.1, Сильченко А.С.1, Ермакова С.П.1
-
Учреждения:
- Тихоокеанский институт биоорганической химии им. Г.Б. Елякова ДВО РАН
- Выпуск: № 3 (2024)
- Страницы: 37-56
- Раздел: Химические науки. Биоорганическая химия
- URL: https://bakhtiniada.ru/0869-7698/article/view/275200
- DOI: https://doi.org/10.31857/S0869769824030026
- EDN: https://elibrary.ru/ISVOGD
- ID: 275200
Цитировать
Полный текст
Аннотация
Работа посвящена обобщению и сравнению структурной организации, физико-химических свойств и субстратной специфичности четырех фуканаз 107 семейства гликозидгидролаз, входящих в состав фукоиданутилизирующего кластера морской бактерии Wenyingzhuangia fucanilytica CZ1127Т. Установленные различия в значимых характеристиках этих ферментов дают новые знания об особенностях фуканаз, принадлежащих семейству GH107.
Ключевые слова
Полный текст
Введение
Гликозидгидролазы, участвующие в трансформации полимеров морского происхождения, представляют большой интерес для применения во многих отраслях промышленности [1]. Для медицины, фармакологии и пищевой индустрии одним из перспективных направлений является разработка технологий получения олигосахаридов путем ферментативной деполимеризации различных биологически активных морских полисахаридов. Одним из таких полисахаридов является фукоидан, построенный в основном из остатков α-L-фукозы, этерифицированных серной кислотой. Фукоиданы обладают широким спектром разнообразных биологических активностей [2, 3]. Предполагается, что производные фукоиданов со сниженной молекулярной массой могут проявлять повышенную биологическую активность по сравнению с высокомолекулярными фукоиданами за счет их усиленного всасывания в кишечнике и, следовательно, увеличения их концентрации в кровеносных сосудах и тканях [4–9]. Помимо этого структуры фукоиданов варьируют в зависимости от множества эндогенных и экзогенных факторов [10–12] и поражают своим разнообразием. Поэтому установление структурных элементов, ответственных за биологическую активность фукоиданов, и разработка фармацевтических препаратов на их основе представляется сложной задачей.
Для решения трудностей с установлением структур и стандартизацией фукоиданов, а также для получения их низкомолекулярных производных перспективными инструментами являются фуканазы. Фуканазы катализируют гидролиз гликозидных связей в молекулах фукоиданов и фукансульфатов, в результате чего образуются продукты с молекулярными массами ниже, чем у исходного фукоидана. Установление их структур дает информацию как о структурных фрагментах фукоидана, так и о субстратной специфичности фермента. В настоящее время известно несколько семейств фуканаз – GH107, GH164, GH178 и GH187 по классификации CAZy (http://www.cazy.org/), однако только некоторые из представителей данных семейств имеют исчерпывающую характеристику их специфичности и биохимических свойств. Таким образом, поиск и изучение новых фуканаз являются необходимыми для совершенствования и разработки новых методов изучения структур фукоиданов и получения их биологически активных производных.
Биоинформационный анализ последовательностей фуканаз морской бактерии Wenyingzhuangia fucanilytica CZ1127Т
Морская бактерия W. fucanilytica CZ1127Т, изолированная из морской воды прибрежной зоны [13], способна расщеплять сульфатированные фукозосодержащие полисахариды, выделенные из различных источников, включая голотурии и бурые водоросли [14]. Геном данной бактерии содержит кластер генов, кодирующих ферменты, участвующие в деградации фукозосодержащих сульфатированных полисахаридов (рис. 1). Кластер включает четыре последовательности, кодирующие фуканазы семейства GH107, названные как FWf1, FWf2 [15], FWf3 и FWf4 [16] (далее FWf1‒FWf4).
Рис. 1. Схематическое изображение фукоидандеградирующего кластера генов морской бактерии W. fucanilytica CZ1127T
Анализ доменной организации фуканаз FWf1‒FWf4 с помощью CDD и InterProScan показал, что их полипептидные цепи состоят из доменов различных типов. Помимо каталитических доменов семейства GH107 их аминокислотные последовательности содержали кадгериноподобный домен (IgR) с иммуноглобулиноподобным типом укладки полипептидной цепи (рис. 2).
Рис. 2. Доменная организация полипептидных цепей FWf1‒FWf4 и охарактеризованных фуканаз семейства GH107. Длины аминокислотных последовательностей фуканаз указаны справа от схематического изображения их доменной организации. Для FWf1 и FWf3 они приведены как для ситуаций с отсутствующими сигнальными последовательностями (GenBank: ANW96097.1 (FWf1) и ANW96115.1 (FWf3)), так и для тех (*), в которых последние присутствуют (GenBank: WP_083194609.1 и WP_083194615.1)
Аналогичные домены также присутствуют в полипептидных цепях других фуканаз семейства GH107 (FcnA из M. fucanivorans (GenBank: CAI47003.1), FFA1 и FFA2 из F. algae KMM3553T (GenBank: WP_057784217.1 и WP_057784219.1 соответственно), Fp273, Fp277 и Fp279 из некультивируемой бактерий (GenBank: AYC81238.1, AYC81239.1 и AYC81240.1 соответственно)) [17].
Домен со структурой, предположительно состоящей из β-тяжей (аβ-st), был обнаружен в FWf1, FWf3 и FWf4, но не в FWf2. На такую укладку доменов аβ-st в фуканазах также указывают данные, полученные с помощью сервиса AlphaFold (рис. 3).
Рис. 3. Трехмерные структуры полноразмерных фуканаз FWf1‒FWf4 и ранее охарактеризованной фуканазы FcnA [18], предсказанные с помощью сервиса AlphaFold. Домены, присутствующие в полипептидных цепях фуканаз, обозначены различным цветом
Подобные домены также были обнаружены в ранее охарактеризованных фуканазах FcnA, FFA1, FFA2, Fp273, Fp277 и Fp279. Согласно данным, полученным в результате выравнивания аминокислотных последовательностей, идентичность таких доменов фуканаз GH107 варьирует от 31 до 90 %.
В аминокислотных последовательностях FWf1–FWf4 были обнаружены С-концевые домены системы секреции IX типа (Т9SS) и N-концевые сигнальные последовательности (S). Также в аминокислотных последовательностях фуканаз FWf2 и FWf3 был обнаружен N-концевой домен UNK, предсказанный ранее по данным анализа гидрофобных кластеров аминокислотной последовательности фуканазы Fp273 [17].
Таким образом, большинство описанных фуканаз семейства GH107 имеет сложную мультидоменную структуру. При этом состав и количество отдельных доменов может различаться. Часть доменов, таких как N-концевой сигнальный пептид (S) и C-концевой домен (T9SS), обеспечивают транслокацию фуканаз через внутреннюю и внешнюю мембраны [19]. Кадгериноподобные домены (IgR), предположительно, выполняют функцию стержня для принятия правильной (незаслоненной) ориентации каталитического домена GH107 в растворе [18]. К сожалению, функция, выполняемая другими доменами, такими как аβ-st и UNK, остается неясной, что пока затрудняет достоверную оценку функциональной роли вариаций различных доменов в структурах фуканаз данного семейства.
Множественное выравнивание аминокислотных последовательностей FWf1‒FWf4 и охарактеризованных фуканаз GH107 семейства: Fda1 и Fda2 (Alteromonas sp. SN-1009, GenBank: AAO00508.1 и AAO00509.1), FFA1 и FFA2 (F. algae KMM3553T, GenBank: WP_057784217.1 и WP_057784219.1), FcnA (M. fucanivorans, GenBank: CAI47003.1), P5AFcnA и P19DFcnA (Psychromonas sp. SWA5, GenBank: AYF59291.1 и AYF59292.1), Fp273, Fp277 и Fp279 (некультивируемые бактерии, GenBank: AYC81238.1, AYC81239.1 и AYC81240.1), SVI_0379 (Shewanella violacea DSS12, GenBank: BAJ00350.1) – показало, что данные фуканазы имеют различные значения идентичности их аминокислотных последовательностей (от 15 до 79%). Идентичность аминокислотных последовательностей FWf1–FWf4 между собой составляет от 37 до 51%. Множественное выравнивание позволило определить расположение каталитических аминокислотных остатков в фуканазах FWf1 (Asp225 и His293), FWf2 (Asp464 и His537), FWf3 (Asp401 и His469) и FWf4 (Asp229 и His297), входящих в состав высококонсервативных для всех известных представителей семейства GH107 аминокислотных мотивов RxxxxxxDxxxxD и DxxxGH (рис. 4).
Рис. 4. Область множественного выравнивания каталитических доменов фуканаз FWf1‒FWf4 и известных белков семейства GH107. Остатки каталитических аминокислот Asp и His отмечены красными рамками. Сигнатуры аминокислот RxxxxxxDxxxxD и DxxxGH, консервативные для всех известных представителей семейства GH107, указаны в верхней части последовательностей
Структурное выравнивание пространственных моделей фуканаз FWf1‒FWf4 и фуканазы FcnA (шифр PDB: 6DLH) показало, что состав и расположение аминокислотных остатков активного центра FWf4 были практически идентичными таковым в активном центре фуканазы FcnA. Помимо высококонсервативных остатков Asp и His в активных центрах FWf1, FWf2 и FWf3 было отмечено большое количество вариабельных аминокислотных остатков (рис. 5).
Рис. 5. Структурное выравнивание трехмерных моделей каталитических доменов GH107 фуканаз FWf1‒FWf4 и фуканазы FcnA (шифр PDB: 6DLH). Остатки аминокислот активных центров FWf1‒FWf4 и FcnA, являющиеся консервативными, подчеркнуты. Остатки Asp и His, выполняющие каталитическую функцию, выделены красными рамками
Предположительно, данные остатки аминокислот отвечают за распознавание моносахаридных остатков определенной структуры или остатков L-фукозы с определенным сульфатированием.
Оптимальные условия проявления каталитической активности фуканаз FWf1‒ FWf4
Изучение физико-химических свойств ферментов является необходимым этапом, позволяющим эффективно их применять. Условия, при которых фуканазы FWf1‒FWf4 проявляют наибольшую каталитическую активность, определяли с использованием их рекомбинантных аналогов [15, 16].
Известно, что многим фуканазам семейства GH107 для проявления ферментативной активности необходимо присутствие некоторых ионов металлов [20–22]. Наличие специфических сайтов для связывания атомов кальция в структурах фуканаз может указывать на важную роль этого катиона в каталитическом процессе [18]. Фуканазы FWf1, FWf2 и FWf4 не способны катализировать гидролиз фукоидана без дополнительных компонентов, таких как соли некоторых двухвалентных металлов или NaCl в реакционной смеси (табл. 1). Аналогичные наблюдения были сделаны в отношении фуканаз FFA1 и FFA2 из морской бактерии F. algae, которые проявляли активность только после добавления солей некоторых металлов [20, 21]. Исключением является фуканаза FWf3, которая проявляет ферментативную активность без добавления в реакционную смесь каких-либо ионов металлов (табл. 1).
Таблица 1. Оптимальные условия для проявления наибольшей ферментативной активности фуканаз FWf1‒FWf4
Фермент | Оптимум | Ингибиторы | Активаторы | Влияние CaCl2 | Влияние NaCl2 | |
T, °C | рН | |||||
FWf1 | 24‒40 | 6,4‒7,2 | Al3+, Cu2+, Fe3+, Pb2+, Sn2+, Co2+ | Ca2+, Mg2+, Ba2+ | 5‒1000 мМ активирует | 50‒1000 мМ активирует |
FWf2 | 24‒40 | 6,0‒7,2 | Al3+, Cu2+, Fe3+, Pb2+, Sn2+, Mn2+, Co2+ | Ca2+, Mg2+, Ba2+ | 5 мМ активирует, свыше ٥ мМ ингибирует | 50‒350 мМ активирует, свыше ٣٥٠ мМ ингибирует |
FWf3 | 40‒50 | 6,4‒6,8 | Al3+, Cu2+, Fe3+, Pb2+, Sn2+ | Mn2+ | свыше ٣٥٠ мМ ингибирует | 5‒1000 мМ не влияет |
FWf4 | 40‒50 | 6,0‒6,4 | Al3+, Cu2+, Fe3+, Pb2+, Sn2+ | Ca2+, Mg2+, Ba2+, Mn2+ | 5 мМ активирует, свыше ٥ мМ ингибирует | 5‒200 мМ активирует, свыше ٢٠٠ мМ ингибирует |
Катионы Al3+, Cu2+, Fe3+, Pb2+ и Sn2+ полностью ингибируют специфическую активность фуканаз FWf1‒FWf4. Ионы Co2+ ингибируют активность только FWf1 и FWf2. Присутствие ионов Mn2+ в реакционной смеси значительно снижает активность FWf2 (табл. 1).
Добавление в реакционную смесь хлорида кальция или натрия в концентрациях 5‒1000 мМ оказывает различное действие на активность FWf1‒FWf4. В зависимости от концентрации данных солей происходит как активация, так и ингибирование ферментативной активности фуканаз (табл. 1). Примечательно, что для активации ферментов FWf1 и FWf2 с помощью NaCl требовались значительно большие концентрации данной соли, чем для хлоридов щелочноземельных металлов.
Способность фуканаз проявлять ферментативную активность в присутствии различных моно- и мультивалентных металлов указывает на невысокую селективность данных ферментов к определенным катионам металлов. Это резко отличается от свойств металлозависимых ферментов, которые, как правило, активируются определенным катионом металла [23, 24]. Вероятно, ионы металлов требуются для стабилизации данных ферментов и придания им необходимой конформации. Кроме того, вследствие полианионной природы фукоиданов некоторые катионы металлов потенциально способны влиять на их конформацию в растворе. Определенная конформация фукоиданов, в свою очередь, может являться необходимым условием для его дальнейшего расщепления фуканазами. Для того чтобы сделать однозначные выводы о механизме вовлечения ионов металлов в процесс деполимеризации фукоиданов представителями семейства GH107, необходимы дальнейшие структурные исследования данных ферментов с привлечением сайт-направленного мутагенеза и рентгеноструктурного анализа.
На ферментативную активность фуканаз, как и на активность большинства ферментов, существенное влияние оказывают рН буферных растворов и температура. Образование наибольшего количества низкомолекулярных продуктов гидролиза фукоидана происходит при рН 6,4–7,2 для FWf1, рН 6,0–7,2 для FWf2, рН 6,4–6,8 для FWf3 и рН 6,0–6,4 для FWf4 (табл. 1). Оптимумы рН фуканаз из бактериальных источников, как правило, находятся в диапазоне от слабокислой до слабощелочной среды (pH 6‒8), за исключением фуканаз Fun174A из бактерии W. aestuarii OF219 (рН-оптимум 5,5) [25], FFA2 из F. algae (рН-оптимум 6,5‒9) [21] и OUC-FaFcn1 из F. algicola 12076 (рН-оптимум 9) [26].
Диапазон температур, при которых бактериальные фуканазы проявляют наибольшую активность, очень широк и варьирует от 20 ℃ (FcnA из M. fucanivorans SW5 [27]) до 45 ℃ (фуканазы из Vibrio sp. Nо. 5 [28] и фуканаза Fhf2∆484 из F. haliotis [29]). Фуканазы FWf1 и FWf2 проявляют наибольшую активность при температурах от 24 до 40 °C, а FWf3 и FWf4 – при температурах от 40 до 50 °C (табл. 1). Значения уровня рН и температуры для проявления активности FWf1‒FWf4 являются типичными для фуканаз, выделенных из морских бактерий [30].
Тип действия фуканаз FWf1‒ FWf4
Тип действия фермента на молекулу субстрата является одной из основных характеристик О-гликозидгидролаз. Ферменты экзотипа, как правило, катализируют отщепление моно- или дисахарида с невосстанавливающего или восстанавливающего конца молекулы субстрата, образуя один и тот же продукт реакции на протяжении всего процесса гидролиза. О-Гликозидгидролазы эндотипа, напротив, катализируют гидролиз гликозидных связей внутри углеводной цепи фукоидана с образованием разнообразных по степени полимеризации продуктов реакции. Все четыре фуканазы FWf1‒FWf4 катализируют гидролиз фукоидана из F. evanescens по эндотипу, что подтверждается образованием большого набора разнообразных сульфатированных олигосахаридов на ранних этапах ферментативного гидролиза (рис. 6).
Рис. 6. Электрофореграмма продуктов гидролиза фукоидана из F. evanescens, полученных с помощью фуканаз FWf1‒FWf4, за разное время инкубирования. Кс – фукоидан из F. evanescens, не подвергавшийся гидролизу
Субстратная специфичность фуканаз FWf1‒ FWf4
Фуканазы FWf1‒FWf4 катализировали гидролиз фукоиданов, выделенных из бурых водорослей F. evanescens (FeF) и S. horneri (ShF), состоящих в основном из чередующихся 1→3-;1→4-связанных остатков α-L-фукозы, но различающихся схемами сульфатирования [20, 31–33], с разной эффективностью. Они не катализировали гидролиз фукоидана из S. cichorioides (ScF) [34], в котором остатки сульфатированной α-L-фукозы соединены 1→3-гликозидными связями, а также галактофукана, выделенного из U. pinnatifida (UpF) [35]. Интересно, что коммерческий фукоидан, выделенный из F. vesiculosus (FvF), который, как было показано ранее, имеет основную цепь, схожую с FeF и ShF [36], расщеплялся FWf1, FWf2 и FWf4, но не FWf3 (рис. 7).
Рис. 7. Анализ активности фуканаз FWf1‒FWf4 по отношению к фукоиданам, выделенным из различных видов бурых водорослей: а – схема основных структурных мотивов, присутствующих в фукоиданах, выделенных из F. evanescens (FeF), U. pinnatifida (UpF), S. cichorioides (ScF), F. vesiculosus (FvF) и S. horneri (ShF); б – таблица, демонстрирующая уровень активности FWf1‒FWf4 по отношению к FeF, UpF, ScF, FvF или ShF
Вероятно, различия в расположении некоторых заместителей при остатках α-L-фукозы (сульфатной, ацетатной группы или наличия/отсутствия разветвления) в фукоиданах может влиять на способность эндофуканаз катализировать гидролиз гликозидных связей. Подобные наблюдения были отмечены при изучении фуканаз семейства GH107, FFA1 и FFA2 из F. algae и FcnA из M. fucanivorans [21, 22, 33, 37]. Таким образом, фуканазы FWf1‒FWf4 катализируют гидролиз 1→4-гликозидных связей между сульфатированными остатками α-L-фукозы, но расположение сульфатных групп при остатках α-L-фукозы в местах расщепления отличается. Накопленные на сегодняшний день данные указывают на то, что фуканазы семейства GH107 потенциально могут отличаться специфичностью не только по отношению к гидролизу определенного типа гликозидной связи между остатками сульфатированной α-L-фукозы, но и к расположению сульфатных групп при этих остатках.
В результате действия фуканаз FWf1‒FWf4 на фукоидан из F. evanescens (FeF) образуются разнообразные продукты его деполимеризации: резистентные к действию ферментов фракции с высокой молекулярной массой (ВМП_FWf1, ВМП_FWf2, ВМП_FWf3, ВМП_FWf4 (далее ВМП_FWf1−FWf4)) и фракции, состоящие из низкомолекулярных фукоолигосахаридов (НМП_FWf1, НМП_FW2, НМП_FWf3, НМП_FWf4 (далее НМП_FWf1−FWf4)). Производные имеют разные структуры, молекулярные массы, степень сульфатирования и моносахаридный состав (табл. 2), что указывает на значительные различия в специфичности фуканаз FWf1‒FWf4.
Таблица 2. Структурные характеристики ВМП и НМП фракций, полученных в результате гидролиза фукоидана FeF фуканазами FWf1‒FWf4
Фракция | М, кДа | -SO3Na, %* | Моносахаридный состав, моль% | ||||||
L-Fuc | L-Rha | D-Gal | D-Glc | D-Man | D-Xyl | UA | |||
FeF | 356,0 | 26 | 95,7 | 1,4 | 1,7 | 0,6 | 0,6 | 0,0 | 0,0 |
ВМП_FWf1 | 6,0‒187,0 | 25 | 93,1 | 2,1 | 3,1 | 0,8 | 0,9 | 93,1 | 2,1 |
ВМП_FWf2 | 5,5‒210,0 | 25 | 91,0 | 2,4 | 4,0 | 1,1 | 1,5 | 91,0 | 2,4 |
ВМП_FWf3 | 73,0 | 23 | 92,7 | 1,9 | 2,9 | 0,9 | 1,5 | 0,0 | 0,0 |
ВМП_FWf4 | 69,0 | 31 | 92,3 | 2,5 | 3,3 | 0,8 | 1,2 | 0,0 | 0,0 |
НМП_FWf1 | ~1,4 | 26 | 95,2 | 0,3 | 0,1 | 0,0 | 4,3 | 0,0 | 0,0 |
НМП_FWf2 | ~2,4 | 20 | 100,0 | 0,0 | 0,0 | 0,0 | 0,0 | 0,0 | 0,0 |
НМП_FWf3 | ~2,6 | 30 | 100,0 | 0,0 | 0,0 | 0,0 | 0,0 | 0,0 | 0,0 |
НМП_FWf4 | ~2,3 | 28 | 100,0 | 0,0 | 0,0 | 0,0 | 0,0 | 0,0 | 0,0 |
* % от массы образца.
Фракции ВМП_FWf1 и ВМП_FWf2 имеют схожие структуры, основными фрагментами которых являются две несвязанные полисахаридные цепи: [→4-L-Fucp(2OSO3–)-α-1→3-L-Fucp(2OSO3–)-α-1→]n и [→4-L-Fucp(2OSO3–)-α-1→3-L-Fucp(2,4OSO3–)-α-1→]n. Фракция ВМП_FWf3 состоит преимущественно из 2-O-сульфатированного полисахарида со следующей структурой: [→4-L-Fucp(2OSO3–)-α-1→3-L-Fucp(2OSO3–)-α-1→]n. Доминирующий структурный мотив фракции ВМП_FWf4 представляет собой регулярный фрагмент [→4-L-Fucp(2OSO3–)-α-1→3-L-Fucp(2,4OSO3–)-α-1→]n.
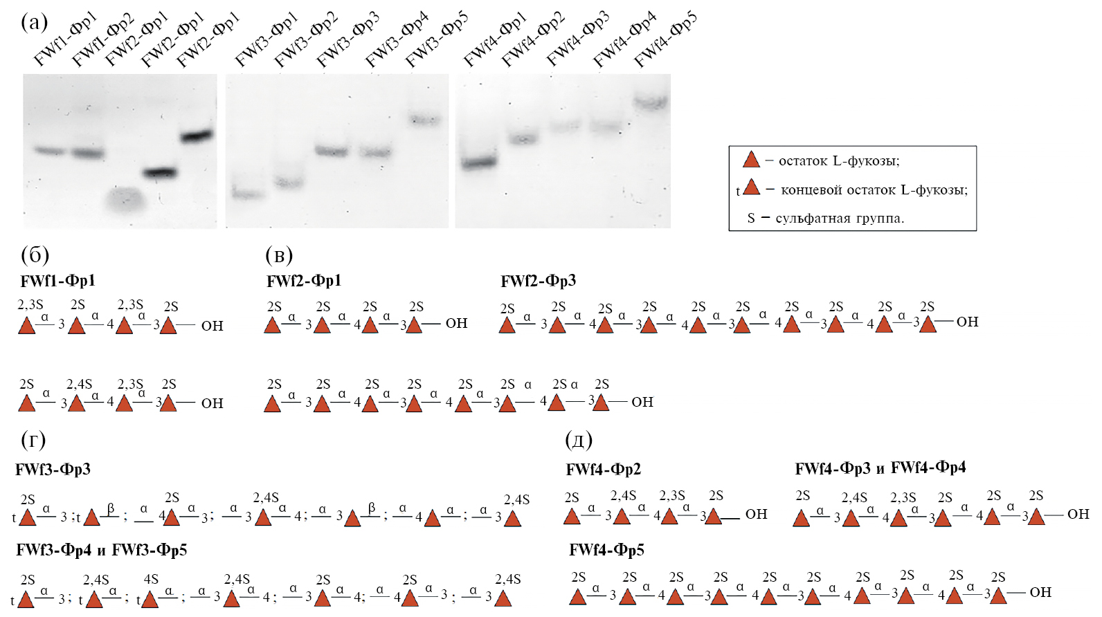
Олигосахариды, выделенные из фракций НМП_FWf1−FWf4 (рис. 8, а), имеют схожие последовательности гликозидных связей (1→3-;1→4-;1→3-) между остатками α-L-фукозы, однако наблюдаются различия в расположении сульфатных групп (рис. 8, б–д). Так, олигосахариды, полученные с помощью FWf1 и FWf4, имеют смешанное 2-О-, 2,3-ди-О- и/или 2,4-ди-О-сульфатирование, в то время как олигосахариды, полученные под действием FWf2, имеют регулярное 2-О-сульфатирование. Олигосахариды, выделенные из НМП_FWf3, имеют более сложную структуру и, вероятно, большое количество изомеров, что затрудняет получение исчерпывающей информации об их строении. Фракция FWf3-Фр3 содержит как сульфатированные, так и несульфатированные остатки L-фукозы: L-Fucp(2OSO3–)-α-1→3-, L-Fucp-β-(1→, α-1→4-L-Fucp(2OSO3–)-α-1→3-, -α-1→3-L-Fucp(2,4OSO3–)-α-1→4-, -α-1→3-L- Fucp-β-1→, -α-1→3-L-Fucp-α-1→, -α-1→3-L-Fucp(2,4OSO3–). Подобные остатки обнаружены в FWf3-Фр4 и FWf3-Фр5: L-Fucp(2OSO3–)-α-1→3-, L-Fucp(2,4OSO3–)-α-1→, L-Fucp(4OSO3–)-α-1→, -α-1→3-L-Fucp(2,4OSOO–)-α-1→4-, -α-1→3-L-Fucp(2OSO3–)-α-1→4-, -α-1→4-L-Fucp(2OSO3–)-α-1→3-, -α-1→3-L-Fucp(2,4OSO3–). Интересно отметить, что фракция FWf3-Фр3, по-видимому, содержит остатки L-фукозы, связанные β-гликозидными связями, которые ранее не были детектированы в фукоидане, выделенном из F. evanescens, вероятно, из-за их небольшого содержания. Остатки L-фукозы, связанные β-гликозидными связями, ранее были обнаружены в фукоиданах, выделенных из бурых водорослей Sargassum pallidum [38] и S. thunbergii [39]. Факции FWf3-Фр4 и FWf3-Фр5 содержат остатки α-L-фукозы с 2-O- и 2,4-ди-О-сульфатированием, но, в отличие от FWf3-Фр3, несульфатированные остатки α-L-фукозы в их составе не обнаружены.
Рис. 8. Электрофореграмма (а) и схематическое изображение структур выделенных олигосахаридов – продуктов ферментативного гидролиза фукоидана FeF, полученных с помощью фуканаз FWf1 (б), FWf2 (в), FWf3 (г) и FWf4 (д)
Порядок гликозидных связей 1→3-;1→4-;1→3- в олигосахаридах подтверждает то, что FWf1‒FWf4 расщепляют 1→4-гликозидные связи между остатками α-L-фукозы в фукоидане. Олигосахариды FWf1-Фр1 и FWf1-Фр2 содержат на восстанавливающем (В) конце 2-О-сульфатированные, а на невосстанавливающем (НВ) конце 2,3-ди-О-сульфатированные остатки α-L-фукозы. Следовательно, FWf1 расщепляет 1→4-гликозидные связи между 2-О- и 2,3-ди-О-сульфатированными остатками α-L-фукозы (рис. 9). Фуканаза FWf1 не способна расщеплять гликозидные связи между 2-О- и 2,4-ди-О-сульфатированными остатками α-L-фукозы. На это указывает формирование резистентной к дальнейшему ферментативному гидролизу фракции ВМП_FWf1 со структурой [→4-L-Fucp(2OSO3–)-α-1→3-L-Fucp(2OSO3–)-α-1→]n и [→4-L-Fucp(2OSO3–)-α-1→3-L-Fucp(2,4OSO3–)-α-1→]n. В олигосахаридах, полученных под действием FWf3, остатки α-L-фукозы 2-О-сульфатированы на В конце и 2,4-ди-О-сульфатированы на НВ конце. Таким образом, FWf3 расщепляет 1→4-гликозидные связи между 2-О- и 2,4-ди-О-сульфатированными остатками α-L-фукозы (рис. 9). Структура фракции ВМП_FWf3 указывает на то, что участки в фукоидане FeF, содержащие только 2-О-сульфатирование, не расщепляются данным ферментом. Фуканазы FWf2 и FWf4 имеют схожую специфичность к 1→4-гликозидным связям между 2-О-сульфатированными остатками α-L-фукозы. Оба фермента, как и FWf1, не способны расщеплять гликозидные связи между 2-О- и 2,4-ди-О-сульфатированными остатками α-L-фукозы (рис. 9). Однако, несмотря на схожесть, FWf2 и FWf4, вероятно, имеют некоторые различия в специфичности. На это указывает различная структура олигосахаридов и состав фракций ВМП, полученных под их действием.
Рис. 9. Схематическое изображение деполимеризации фукоидана FeF с помощью FWf1‒FWf4. Красная стрелка указывает на сайты в FeF, которые фуканазы FWf1‒FWf4 распознают и расщепляют
Различная специфичность фуканаз к сульфатированию позволяет подтвердить ранее сделанное предположение о том, что фукоидан FeF из F. evanescens имеет блочное строение. Предположительно, каждый из блоков имеет либо регулярное 2-О-сульфатирование, либо чередующееся 2-О- и 2,4-ди-О-сульфатирование. Это подтверждается строением продуктов ферментативного гидролиза. Формирование высокомолекулярных фракций (ВМП) с регулярными структурами [→4-L-Fucp(2OSO3–)-α-1→3-L-Fucp(2,4OSO3–)-1→] и [→4-L-Fucp(2OSO3–)-α-1→3-L-Fucp(2OSO3–)-1→] при действии фуканаз указывает на то, что фукоидан FeF содержит протяженные участки с регулярным 2-О-сульфатированием, а также регулярным чередующимся 2-О- и 2,4-ди-О-сульфатированием (рис. 9). Выходы фракций ВМП варьируются от 57 до 44 %, таким образом, каждый из таких регулярных участков занимает около половины структуры фукоидана FeF. Низкомолекулярные фракции имеют менее регулярное строение, с разнообразным 2-О-, 2,3-ди-О- и 2,4-ди-О-сульфатированием. Можно предположить, что данные нерегулярные участки являются частью переходной или «транзитной» зоны между участками с регулярным 2-О- и чередующимся 2-О- и 2,4-ди-О-сульфатированием. Схожую организацию расположения сульфатных групп имеют некоторые гликозаминогликаны млекопитающих [40, 41].
Организация углеводсвязывающих подсайтов фуканаз FWf1‒ FWf4
Известно, что активные центры гликозидгидролаз состоят из тандемных углеводсвязывающих подсайтов, которые распознают и связывают определенные углеводные фрагменты субстрата для его дальнейшего расщепления [42]. Углеводсвязывающие подсайты определяют специфичность гликозидгидролаз.
Углеводсвязывающие подсайты фуканаз были установлены с помощью набора сульфатированных фукоолигосахаридов: 4F2,3,4S(6S), 4F2S(4S), 8F2S(8S), 10F2S(10S), 4F2,3,4S(7S), 4F2,3S(6S), 6F2S(6S), 6F2,3S(6S), 8F2,3S(12S), 10F2,3S(15S). Все вышеперечисленные олигосахариды состоят из остатков α-L-фукозы, связанных чередующимися 1→3-;1→4-гликозидными связями, но отличаются степенью полимеризации (СП) и расположением сульфатных групп при остатках α-L-фукозы. Активность фуканаз FWf1‒FWf4 по отношению к этим фукоолигосахаридам значительно различается (рис. 10) и зависит от определенного расположения сульфатных групп, а также степени полимеризации олигосахаридов.
Рис. 10. Анализ активности фуканаз FWf1‒FWf4 по отношению к фукоолигосахаридам. Электрофореграмма продуктов гидролиза, полученных при обработке фуканазами различных фукоолигосахаридов: а – FWf1 и FWf2, б – FWf3 и FWf4; в – таблица, демонстрирующая уровень активности FWf1‒FWf4 по отношению к сульфатированным олигосахаридам: (−) ‒ активность фуканазы не обнаружена; (+) ‒ низкая активность; (++) ‒ средняя активность; (+++) ‒ высокая активность. Данные были получены из электрофореграмм (а и б). Степени полимеризации рассчитаны: (СП = 2*) ‒ исходя из предполагаемых продуктов деполимеризации тетрасахарида 4F2,3,4S(7S) фуканазой FWf1; (СП = 6*) ‒ октасахарида 8F2,3S(12S) фуканазой FWf2. Кс – фукоолигосахариды, не подвергавшиеся ферментативному гидролизу
Фуканаза FWf1 не расщепляет 2-О-сульфатированные фукоолигосахариды 4F2S(4S), 6F2S(6S), 8F2S(8S), 10F2S(10S), однако катализирует гидролиз олигосахаридов 4F2,3S(6S), 8F2,3S(12S), 10F2,3S(15S), содержащих дополнительное 3-O-сульфатирование при 1→4-связанных остатках α-L-фукозы (рис. 10, а, в). Таким образом, фуканаза FWf1 специфична к расщеплению гликозидных связей между остатками 2-О- и 2,3-ди-О-сульфатированной α-L-фукозы и не расщепляет гликозидные связи между 2-О-сульфатированными остатками α-L-фукозы.
Способность FWf1 катализировать гидролиз тетрасахарида 4F2,3S(6S) с образованием дисахаридов указывает на то, что в активном центре данного фермента содержится по меньшей мере четыре углеводсвязывающих подсайта, пронумерованных согласно номенклатуре [42] от ‒2 до +2, а минимальная СП субстрата, необходимая для его расщепления, равна 4 (рис. 11, а).
Рис. 11. Предполагаемые сайты расщепления фукоидана, распознаваемые эндофуканазами FWf1‒FWf4, и структурные мотивы фукоидана, устойчивые к расщеплению фуканазами FWf1‒FWf4 (а). Топология предполагаемых углеводсвязывающих подсайтов фуканаз FWf1‒FWf4 (б). Цифры над структурными мотивами указывают на углеводсвязывающие подсайты FWf1‒FWf4. Подсайты пронумерованы в соответствии с номенклатурой [42]. Звездочка обозначает сайт расщепления, предполагаемый на основании структур олигосахаридов, полученных в результате гидролиза фукоидана FeF с помощью FWf1, FWf3 или FWf4
Данная топология углеводсвязывающих подсайтов FWf1 также подтверждается характером расщепления олигосахаридов с большей СП. Во всех случаях конечными продуктами реакции являются дисахариды. Исходя из структуры расщепленного тетрасахарида 4F2,3S(6S) подсайты ‒2 и +1 распознают 2,3-ди-О-сульфатированные остатки α-L-фукозы, а подсайты ‒1 и +2 – 2-О-сульфатированные остатки α-L-фукозы. Способность FWf1 расщеплять тетрасахарид 4F2,3,4S(7S), содержащий дополнительное 4-О-сульфатирование, указывает на то, что FWf1 способен связывать в ‒1 подсайте помимо 2-О-сульфатированных еще и 2,4-ди-О-сульфатированные остатки α-L-фукозы. Подсайт ‒2 в FWf1, вероятно, играет наиболее важную роль в распознавании субстрата этим ферментом. Так, тетрасахарид 4F2,3,4S(6S) со смешанным типом сульфатирования устойчив к действию FWf1, в то время как тетрасахарид 4F2,3,4S(7S) схожей структуры, но имеющий одну дополнительную сульфатную группу в положении С3 терминального остатка α-L-фукозы, эффективно расщепляется фуканазой FWf1. Таким образом, для правильного размещения субстрата в активном центре FWf1 требуется наличие 2,3-ди-О-сульфатированного остатка α-L-фукозы в ‒2 подсайте (рис. 11, б). FWf1 не катализирует расщепление разветвленного олигосахарида 6F2,3S(6S), следовательно, наличие боковых ответвлений в ‒1 подсайте FWf1 ограничивает действие фермента. Таким образом, углеводсвязывающие подсайты FWf1 способны распознавать следующие структурные фрагменты фукоиданов: [→4-L-Fucp(2,3OSO3–)-α-1→3-L-Fucp(2OSO3–)-α-1→4-L-Fucp(2,3OSO3–)-α-1→3-L-Fucp(2OSO3–)-α-1→]n и [→4-L-Fucp(2,3OSO3–)-α-1→3-L-Fucp(2,4OSO3–)-α-1→4-L-Fucp(2,3OSO3–)-α-1→3-L-Fucp(2OSO3–)-α-1→]n. Предположительно, фрагмент структуры фукоидана [→4-L-Fucp(2,3SO3–)-α-1→3-L-Fucp(2SO3–)-α-1→4-L-Fucp(2SO3–)-α-1→3-L-Fucp(2,4SO3–)-α-1→]n так же хорошо распознается FWf1, на что указывает структура тетрасахарида 4F2,3,4S(6S), образующегося в результате гидролиза FeF с помощью FWf1.
Схожую с FWf1 топологию углеводсвязывающих подсайтов, вероятно, имеет фуканаза FWf3. Данный фермент так же, как и FWf1, способен расщеплять тетрасахаридные фрагменты. Следовательно, FWf3 содержит в активном центре как минимум четыре значимых углеводсвязывающих подсайта. Однако селективность подсайтов FWf3 к расположению сульфатных групп при остатках α-L-фукозы отличается от таковой у FWf1. Наличие 2-О- и 2,4-ди-О-сульфатирования при остатках α-L-фукозы в ‒2 и ‒1 подсайтах соответственно является ключевым для распознавания и расщепления субстрата фуканазой FWf3. Это подтверждается наличием активности по отношению к тетрасахариду 4F2,3,4S(6S) и отсутствием таковой по отношению к другим использованным олигосахаридам. Таким образом, углеводсвязывающие подсайты FWf3 способны распознавать следующие структурные фрагменты фукоиданов: [→4L-Fucp(2OSO3–)-α-1→3-L-Fucp(2,4OSO3–)-α-1→4-L-Fucp(2,3OSO3–)-α-1→3-L-Fucp(2OSO3–)-α-1→]n, а также [→4-L-Fucp(2OSO3–)-α-1→3-L-Fucp(2,4OSO3–)-α-1→4-L-Fucp(2OSO3–)-α-1→3-L-Fucp(2,4OSO3–)-α-1→]n исходя из структур полученных продуктов гидролиза фукоидана FeF (рис. 11).
Топология углеводсвязывающих подсайтов активного центра FWf2, вероятно, значительно отличается от FWf1 и FWf3. Данный фермент расщепляет сульфатированные гекса-, окта- и декасахариды, но не тетрасахариды. Следовательно, минимальная СП участка субстрата, который может распознать и расщепить FWf2, равна 6. Таким образом, активный центр FWf2 содержит как минимум 6 значимых углеводсвязывающих подсайтов. Способность FWf2 расщеплять олигосахариды как с 2-О-сульфатированием, так и с чередующимся 2-О- и 2,3-ди-О-сульфатированием указывает на селективность подсайтов FWf2 как к 2-О-, так и к 2,3-ди-О-сульфатированным остаткам α-L-фукозы. Таким образом, FWf2 распознает повторяющиеся структурные мотивы [→3-L-Fucp(2OSO3–)-α-1→4-L-Fucp(2OSO3–)-α-1→]3 и [→3-L-Fucp(2OSO3–)-α-1→4-L-Fucp(2,3OSO3–)-α-1→]3 в молекулах фукоидана (рис. 11). Образование тетрасахарида во время расщепления гексасахарида 6F2S(6S) фуканазой FWf2 может указывать на то, что порядок подсайтов может быть либо ‒2 и +4, либо ‒4 и +2.
Так же как и FWf2, фуканаза FWf4 катализирует гидролиз только гекса-, окта- и декафукоолигосахаридов с 2-О-сульфатированием и чередующимся 2-О- и 2,3-ди-О-сульфатированием. Тетрасахариды 4F2S(4S), 4F2,3S(6S), 4F2,3,4S(6S) и 4F2,3,4S(7S) не подвергаются расщеплению данным ферментом. Состав продуктов расщепления указанных олигосахаридов у FWf4 и FWf2 схож, что указывает на схожую топологию их активных центров (количество значимых подсайтов равно 6) и специфичность по отношению к 2-О- и 2,3-ди-О-сульфатированным фрагментам фукоиданов. Можно предположить, что отличия между FWf2 и FWf4 заключаются в различной селективности некоторых из подсайтов данных ферментов к сульфатированию. Некоторые из углеводсвязывающих подсайтов (предположительно, ‒2 подсайт) в FWf4, в отличие от FWf2, способны размещать 2,4-ди-О-сульфатированые остатки α-L-фукозы. На это указывают различия в структурах продуктов расщепления фукоидана FeF из F. evanescens, полученных под действием FWf4 и FWf2. Некоторые из олигосахаридов, полученных под действием FWf4, содержат единичные 2,4-ди-О-сульфатированные остатки α-L-фукозы, в то время как фукоолигосахариды, полученные под действием FWf2, содержат только 2-О-сульфатированные остатки α-L-фукозы. То есть в отличие от FWf2, углеводсвязывающие подсайты FWf4 способны распознавать структурные фрагменты не только следующего строения: [→3-L-Fucp(2OSO3–)-α-1→4-L-Fucp(2OSO3–)-α-1→]3 и [→3-L-Fucp(2OSO3–)-α-1→4-L-Fucp(2,3OSO3–)-α-1→]3, но и [→4-L-Fucp(2OSO3–)-α-1→3-L-Fucp(2OSO3)-α-1→4-L-Fucp(2OSO3–)-α-1→3-L-Fucp(2,4OSO3–)-α-1→]n и [→4-L-Fucp(2,3OSO3–)-α-1→3-L-Fucp(2OSO3–)-α-1→4-L-Fucp(2OSO3–)-α-1→3-L-Fucp(2,4OSO3–)-α-1→]n.
Заключение
Ферменты с установленным механизмом действия и субстратной специфичностью являются эффективными инструментами для направленного редактирования структур биологически активных полисахаридов, таких как фукоиданы. Фукоиданы проявляют широкий спектр биологических активностей и являются перспективными кандидатами для разработки лекарственных средств и биологически активных добавок на их основе. Однако ферменты, способные трансформировать молекулы фукоидана, слабо изучены. Анализ и сравнение основных характеристик четырех фуканаз 107 семейства гликозидгидролаз, входящих в состав фукоиданутилизирующего кластера морской бактерии W. fucanilytica CZ1127Т, позволили выявить важные различия в структурной организации, физико-химических свойствах и субстратной специфичности ферментов данного семейства. Установленные различия в значимых характеристиках этих ферментов дают новые знания об особенностях фуканаз, принадлежащих семейству GH107. Накопленные на настоящий момент знания указывают на то, что фуканазы имеют комплексную специфичность, которая включает распознавание ферментами фрагментов определенной структуры. При этом специфичность фуканаз может различаться в отношении не только типа гликозидной связи, но и расположения сульфатных групп при остатках α-L-фукозы, находящихся в непосредственной близости от места расщепления. Специфичность предопределяется количеством и селективностью углеводсвязывающих подсайтов в их активных центрах. Дальнейшие исследования должны быть направлены на структурное изучение фуканаз, которое позволит определить структурно-функциональные взаимосвязи.
Об авторах
Анастасия Олеговна Зуева
Тихоокеанский институт биоорганической химии им. Г.Б. Елякова ДВО РАН
Автор, ответственный за переписку.
Email: a.o.zueva@yandex.ru
ORCID iD: 0000-0001-9570-7647
младший научный сотрудник
Россия, ВладивостокАртем Сергеевич Сильченко
Тихоокеанский институт биоорганической химии им. Г.Б. Елякова ДВО РАН
Email: artem.silchencko@yandex.ru
ORCID iD: 0000-0002-3502-5692
кандидат химических наук, старший научный сотрудник
Россия, ВладивостокСветлана Павловна Ермакова
Тихоокеанский институт биоорганической химии им. Г.Б. Елякова ДВО РАН
Email: swetlana_e@mail.ru
ORCID iD: 0000-0002-5905-2046
кандидат химических наук, старший научный сотрудник
Россия, ВладивостокСписок литературы
- Antonio Trincone I. D. Marine glycosyl hydrolases as tool for industrial application // Industrial Applications of Glycoside Hydrolases. Springer, 2020. P. 151–166.
- Pradhan B., Patra S., Nayak R., Behera C., Dash S. R., Nayak S., Sahu B. B., Bhutia S. K., Jena M. Multifunctional role of fucoidan, sulfated polysaccharides in human health and disease: A journey under the sea in pursuit of potent therapeutic agents // Int. J. Biol. Macromol. 2020. Vol. 164. P. 4263–4278.
- Wang Y., Xing M., Cao Q., Ji A., Liang H., Song S. Biological activities of fucoidan and the factors mediating its therapeutic effects: a review of recent studies // Mar. Drugs. 2019. Vol. 17, N3. Р. 183.
- Nagamine T., Nakazato K., Tomioka S., Iha M., Nakajima K. Intestinal absorption of fucoidan extracted from the brown seaweed, Cladosiphon okamuranus // Mar. Drugs. 2014. Vol. 13, N1. P. 48–64.
- Bai X., Zhang E., Hu B., Liang H., Song S., Ji A. Study on absorption mechanism and tissue distribution of fucoidan // Molecules. 2020. Vol. 25, N5. P. 1087.
- Zhu Z., Zhang Q., Chen L., Ren S., Xu P., Tang Y., Luo D. Higher specificity of the activity of low molecular weight fucoidan for thrombin-induced platelet aggregation // Thromb Res. 2010. Vol. 125, N5. P. 419–426.
- Jin W. et al. A comparative study of the anticoagulant activities of eleven fucoidans // Carbohydr. Polym. 2013. Vol. 91, N1. P. 1–6.
- Jin W., Zhang Q., Wang J., Zhang W. Structure analysis and anti-tumor and anti-angiogenic activities of sulfated galactofucan extracted from Sargassum thunbergii // Mar. Drugs. 2019. Vol. 17, N1. Р. 52.
- Lu J., Shi K. K., Chen S., Wang J., Hassouna A., White L. N., Merien F., Xie M., Kong Q., Li J., Ying T., White W. L., Nie S. Fucoidan extracted from the New Zealand Undaria pinnatifida – physicochemical comparison against five other fucoidans: Unique low molecular weight fraction bioactivity in breast cancer cell lines // Mar. Drugs. 2018. Vol. 16, N12. P. 461.
- Mak W., Hamid N., Liu T., Lu J., White W. L. Fucoidan from New Zealand Undaria pinnatifida: monthly variations and determination of antioxidant activities // Carbohydr. Polym. 2013. Vol. 95, N1. P.606–614.
- Zvyagintseva T. N., Shevchenko N. M., Chizhov A. O., Krupnova T. N., Sundukova E. V., Isakov V. V. Water-soluble polysaccharides of some far-eastern brown seaweeds. Distribution, structure, and their dependence on the developmental conditions // J. Exp. Mar. Biol. Ecol. 2003. Vol. 294, N1. P. 1–13.
- Anastyuk S. D., Shevchenko N. M., Nazarenko E. L., Imbs T. I., Gorbach V. I., Dmitrenok P. S., Zvyagintseva T. N. Structural analysis of a highly sulfated fucan from the brown alga Laminaria cichorioides by tandem MALDI and ESI mass spectrometry // Carbohydr. Res. 2010. Vol. 345, N15. P. 2206–2212.
- Chen F., Chang Y., Dong S., Xue C. Wenyingzhuangia fucanilytica sp. nov., a sulfated fucan utilizing bacterium isolated from shallow coastal seawater // Int. J. Syst. Evol. Microbiol. 2016. Vol. 66, N9. P. 3270–3275.
- Chang Y., Xue C., Tang Q., Li D., Wu X., Wang J. Isolation and characterization of a sea cucumber fucoidan-utilizing marine bacterium // Lett. Appl. Microbiol. 2010. Vol. 50, N3. P. 301–307.
- Zueva A. O., Silchenko A. S., Rasin A. B., Kusaykin M. I., Usoltseva R. V., Kalinovsky A. I., Kurilenko V. V., Zvyagintseva T. N., Thinh P. D., Ermakova S. P. Expression and biochemical characterization of two recombinant fucoidanases from the marine bacterium Wenyingzhuangia fucanilytica CZ1127T // Int. J. Biol. Macromol. 2020. Vol. 164. P. 3025–3037.
- Zueva A. O., Silchenko A. S., Rasin A. B., Malyarenko O. S., Kusaykin M. I., Kalinovsky A. I., Ermakova S. P. Production of high- and low-molecular weight fucoidan fragments with defined sulfation patterns and heightened in vitro anticancer activity against TNBC cells using novel endo-fucanases of the GH107 family // Carbohydr. Polym. 2023. Vol. 318. P. 121128.
- Schultz-Johansen M., Cueff M., Hardouin K., Jam M., Larocque R., Glaring M. A., Hervé C., Czjzek M., Stougaard P. Discovery and screening of novel metagenome-derived GH107 enzymes targeting sulfated fucans from brown algae // FEBS J. 2018. Vol. 285, N22. P. 4281–4295.
- Vickers C., Liu F., Abe K., Salama-Alber O., Jenkins M., Springate C. M., Burke J. E., Withers S. G., Boraston A. B. Endo-fucoidan hydrolases from glycoside hydrolase family 107 (GH107) display structural and mechanistic similarities to α-l-fucosidases from GH29 // J. Biol. Chem. 2018. Vol. 293, N47. P. 18296–18308.
- Lasica A. M., Ksiazek M., Madej M., Potempa J. The type IX secretion system (T9SS): highlights and recent insights into its structure and function // Front. Cell. Infect. Microbiol. 2017. Vol. 7. P. 215.
- Silchenko A. S., Rasin A. B., Kusaykin M. I., Kalinovsky A. I., Miansong Z., Changheng L., Malyarenko O. S., Zueva A. O., Zvyagintseva T. N., Ermakova S. P. Structure, enzymatic transformation, anticancer activity of fucoidan and sulphated fucooligosaccharides from Sargassum horneri // Carbohydr. Polym. 2017. Vol. 175. P. 654–660.
- Silchenko A. S., Ustyuzhanina N. E., Kusaykin M. I., Krylov V. B., Shashkov A. S., Dmitrenok A. S., Usoltseva R. V., Zueva A. O., Nifantiev N. E., Zvyagintseva T. N. Expression and biochemical characterization and substrate specificity of the fucoidanase from Formosa algae // Glycobiology. 2017. Vol. 27, N 3. P. 254–263.
- Colin S., Deniaud E., Jam M., Descamps V., Chevolot Y., Kervarec N., Barbeyron T., Yvin J. C., Michel G., Kloareg B. Cloning and biochemical characterization of the fucanase FcnA: definition of a novel glycoside hydrolase family specific for sulfated fucans // Glycobiology. 2006. Vol. 16, N11. P. 1021–1032.
- Hoppert M. Metalloenzymes // Encyclopedia of Earth Sciences Series. Springer, 2011. P. 558–563. Print ISBN9781402092114.
- Benkovic S. J. Metal Ion-Activated Enzymes // Basolo F. Catalysis Progress in Research. Springer My Copy UK, 1973. P. 43–46.
- Liu G., Shen J., Chang Y., Mei X., Chen G., Zhang Y., Xue C. Characterization of an endo-1,3-fucanase from marine bacterium Wenyingzhuangia aestuarii: The first member of a novel glycoside hydrolase family GH174 // Carbohydr. Polym. 2023. Vol. 306. 120591.
- Qiu Y., Jiang H., Dong Y., Wang Y., Hamouda H. I., Balah M. A., Mao X. Expression and biochemical characterization of a novel fucoidanase from Flavobacterium algicola with the principal product of fucoidan-derived disaccharide // Foods. 2022. Vol. 11, N7. P. 1025.
- Descamps V., Colin S., Lahaye M., Jam M., Richard C., Potin P., Barbeyron T., Yvin J. C., Kloareg B. Isolation and culture of a marine bacterium degrading the sulfated fucans from marine brown algae // Mar. Biotechnol. 2006. Vol. 8, N1. P. 27–39.
- Furukawa S. I., Fujikawa T., Koga D., Ide A. Purification and some properties of exo-type fucoidanases from Vibrio sp. N-5 // Biosci. Biotech. Biochem. 1992. Vol. 56, N11. P. 1829−1834.
- Trang V. T.D., Mikkelsen M. D., Vuillemin M., Meier S., Cao H. T.T., Muschiol J., Perna V., Nguyen T. T., Tran V. H.N., Holck J., Van T. T.T., Khanh H. H.N., Meyer A. S. The endo-α (1, 4) specific fucoidanase Fhf2 from Formosa haliotis releases highly sulfated fucoidan oligosaccharides // Front. Plant. Sci. 2022. Vol. 13. P. 823668.
- Sakai T., Kawai T., Kato I. Isolation and characterization of a fucoidan-degrading marine bacterial strain and its fucoidanase // Mar. Biotechnol. 2004. Vol. 6, N4. P. 335–346.
- Sakai T., Kimura H., Kato I. Purification of sulfated fucoglucuronomannan lyase from bacterial strain of Fucobacter marina and study of appropriate conditions for its enzyme digestion // Mar. Biotechnol. 2003. Vol. 5. P. 380−387.
- Chevolot L., Foucault A., Chaubet F., Kervarec N., Sinquin C., Fisher A. M., Boisson-Vidal C. Further data on the structure of brown seaweed fucans: relationships with anticoagulant activity // Carbohydr. Res. 1999. Vol. 319, N1–4. P. 154–165.
- Menshova R. V., Shevchenko N. M., Imbs T. I., Zvyagintseva T. N., Malyarenko O. S., Zaporoshets T. S., Besednova N. N., Ermakova S. P. Fucoidans from brown alga Fucus evanescens: Structure and biological activity // Front. Mar. Sci. 2016. Vol. 3. P. 129.
- Silchenko A. S., Rasin A. B., Kusaykin M. I., Malyarenko O. S., Shevchenko N. M., Zueva A. O., Kalinovsky A. I., Zvyagintseva T. N., Ermakova S. P. Modification of native fucoidan from Fucus evanescens by recombinant fucoidanase from marine bacteria Formosa algae // Carbohydr. Polym. 2018. Vol. 193. P. 189–195.
- Usoltseva R. V., Shevchenko N. M., Malyarenko O. S., Anastyuk S. D., Kasprik A. E., Zvyagintsev N. V., Ermakova S. P. Fucoidans from brown algae Laminaria longipes and Saccharina cichorioides: Structural characteristics, anticancer and radiosensitizing activity in vitro // Carbohydr. Polym. 2019. Vol. 221. P. 157–165.
- Hemmingson J. A., Falshaw R., Furneaux R. H., Thompson K. Structure and antiviral activity of the galactofucan sulfates extracted from Undaria pinnatifida (Phaeophyta) // J. Appl. Phycol. 2006. Vol. 18, N2. P. 185–193.
- Chevolot L., Mulloy B., Ratiskol J., Foucault A., Colliec-Jouault S. A disaccharide repeat unit is the major structure in fucoidans from two species of brown algae // Carbohydr. Res. 2001. Vol. 330, N4. P. 529–535.
- Cao C., Zhang B., Li C., Huang Q., Fu X., Liu R. H. Structure and in vitro hypoglycemic activity of a homogenous polysaccharide purified from Sargassum pallidum // Food Funct. 2019. Vol. 10. P. 2828.
- Luo D., Wang Z., Nie K. Structural characterization of a novel polysaccharide from Sargassum thunbergii and its antioxidant and anti-inflammation effects // PloS One. 2019. Vol. 14. N10. e0223198.
- Murphy K. J., Merry C. L., Lyon M., Thompson J. E., Roberts I. S., Gallagher J. T. A new model for the domain structure of heparan sulfate based on the novel specificity of K5 lyase // J. Biol. Chem. 2004. Vol. 279, N26. P. 27239–27245.
- Van Kuppevelt T. H., Oosterhof A., Versteeg E. M., Podhumljak E., Van de Westerlo E. M., Daamen W. F. Sequencing of glycosaminoglycans with potential to interrogate sequence-specific interactions // Sci. Rep. 2017. Vol. 7, N1. P. 1–9.
- Davies G. J., Wilson K. S., Henrissat B. Nomenclature for sugar-binding subsites in glycosyl hydrolases // Biochem. J. 1997. Vol. 321, N2. P. 557–559.
Дополнительные файлы













