Влияние ДНК-связывающих белков на ферментативную активность терминальной дезоксинуклеотидилтрансферазы в системах с гомополимерными субстратами
- Авторы: Саченко А.Б.1, Щур В.В.1, Усанов С.А.1, Янцевич А.В.1
-
Учреждения:
- Институт биоорганической химии Национальной Академии наук Беларуси
- Выпуск: Том 60, № 6 (2024)
- Страницы: 589-601
- Раздел: Статьи
- URL: https://bakhtiniada.ru/0555-1099/article/view/285186
- DOI: https://doi.org/10.31857/S0555109924060038
- EDN: https://elibrary.ru/QGXEUI
- ID: 285186
Цитировать
Аннотация
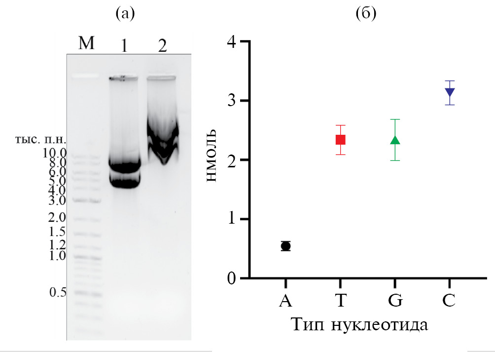
Проведено исследование влияния ДНК-связывающих белков EcSSB и Sso7d, стабилизирующих одноцепочечную и двуцепочечную ДНК соответственно, на активность терминальной дезоксинуклеотидилтрансферазы (TdT) in vitro. В качестве субстрата использовали гомополимеры Tn, не склонные к образованию вторичных структур. Внесение в реакционную смесь EcSSB приводило к существенному повышению активности TdT и смещению спектра образующихся продуктов в сторону более протяженных олигонуклеотидов, а максимальный эффект наблюдался в близком к эквимолярному стехиометрическом соотношении (EcSSB)4:TdT в присутствии катионов Mn2+. Присутствие Sso7d в реакционной смеси приводило к небольшому (до 15٪) снижению активности TdT для субстратов T5 и T15 и более выраженному для T35 (до 30٪). При этом катионы Co2+ снижали ингибирующий эффект Sso7d. Продемонстрированное в данной работе влияние ДНК-связывающих белков на активность TdT, а также установленные закономерности, могут найти применение как в белковой инженерии при создании гибридных мультидоменных белков на основе TdT, так и при разработке новых принципов ферментативного de novo синтеза ДНК.
Ключевые слова
Полный текст
Об авторах
А. Б. Саченко
Институт биоорганической химии Национальной Академии наук Беларуси
Email: yantsevich@iboch.by
Белоруссия, Минск, 220141
В. В. Щур
Институт биоорганической химии Национальной Академии наук Беларуси
Email: yantsevich@iboch.by
Белоруссия, Минск, 220141
С. А. Усанов
Институт биоорганической химии Национальной Академии наук Беларуси
Email: yantsevich@iboch.by
Белоруссия, Минск, 220141
А. В. Янцевич
Институт биоорганической химии Национальной Академии наук Беларуси
Автор, ответственный за переписку.
Email: yantsevich@iboch.by
Белоруссия, Минск, 220141
Список литературы
- Hoose A., Vellacott R., Storch M., Freemont P.S., Ryadnov M.G. // Nat. Rev. Chem. 2023. V. 7. P. 144–161.
- Stemmer W.P., Crameri A., Ha K.D., Brennan T.M., Heyneker H.L. // Gene. 1995. V. 164. P. 49–53.
- Ma S., Saaem I., Tian J. // Trends Biotechnol. 2012. V. 30. P. 147–154.
- Kosuri S., Church G.M. // Nat. Meth. 2014. V. 11. P. 499–507.
- Grosse F., Manns A. // Meth. Mol. Biol. 1993. V. 16. P. 95–105.
- Bollum F.J. // J. Biol. Chem. 1960. V. 235. P. 2399–2403.
- Church G.M., Gao Y., Kosuri S. // Science. 2012. V. 337. P. 1628. https://doi.org/10.1126/science.1226355
- Verardo D., Adelizzi B., Rodriguez-Pinzon D.A., Moghaddam N., Thomee E., Loman T. et al. // Science. Adv. 2023. V. 9. P. eadi0263. https://doi.org/10.1126/sciadv.adi0263
- Deibel M.R., Jr., Coleman M.S. // J. Biol. Chem. 1980. V. 255. P. 4206–4212.
- Sachanka A.B., Trawkina M., Shchur V.V., Usanov S.A., Yantsevich A.V. // Proc. Nat. Acad. Sci. Bel. Chem. Ser. 2023. V. 55. P. 225–233.
- Steitz T.A., Steitz J.A. // Proc. Nat. Acad. Sci. USA. 1993. V. 90. P. 6498–6502.
- Barthel S., Palluk S., Hillson N.J., Keasling J.D., Arlow D.H. // Genes. 2020. V. 11. https://doi.org/10.3390/genes11010102
- Wang Y., Prosen D.E., Mei L., Sullivan J.C., Finney M., Vander Horn P.B. // Nucleic Acids Res. 2004. V. 32. P. 1197–1207.
- Dolgova A.S., Stukolova O.A. // 3 Biotech. 2017. V. 7. P. 128. https://doi.org/10.1007/s13205-017-0745-2
- Baumann H., Knapp S., Lundbäck T., Ladenstein R., Härd T. //Nat. Mol. Biol. 1994. V. 1. P. 808–819.
- Shehi E., Serina S., Fumagalli G., Vanoni M., Consonni R., Zetta L. et al // FEBS Lett. 2001. V. 497. P. 131–136.
- Guagliardi A., Napoli A., Rossi M., Ciaramella M. // J. Mol. Biol. 1997. V. 267. P. 841–848.
- McAfee J.G., Edmondson S.P., Datta P.K., Shriver J.W., Gupta R. // Biochem. 1995. V. 34. P. 10063–10077.
- Bujalowski W., Overman L.B., Lohman T.M. // J. Biol. Chem. 1988. V. 263. P. 4629–4640.
- Bochkarev A., Bochkareva E., Frappier L., Edwards A.M. // EMBO J. 1999. V. 18. P. 4498–4504.
- Chédin F., Seitz E.M., Kowalczykowski S.C. // Trends Biochem. Sci. 1998. V. 23. P. 273–277.
- Schwarz K., Hansen-Hagge T., Bartram C. // Nucleic Acids res. 1990. V. 18. P. 1079. https://doi.org/10.1093/nar/18.4.1079
- Ronaghi M. // Anal. Biochem. 2000. V. 286. P. 282–288.
- Yantsevich A.V., Shchur V.V., Usanov S.A. // SLAS tech. 2019. V. 24. № 6. P. 556–568. https://doi.org/10.1177/2472630319850534
- Yantsevich A.V., Dzichenka Y.V., Ivanchik A.V., Shapiro M.A., Trawkina M., Shkel T.V., et al.. // Prikl. Biokhim. Mikrobiol. 2017. V. 53. № 2. P. 173–187.
- Shlyakhtenko L.S., Lushnikov A.Y., Miyagi A., Lyubchenko Y.L. // Biochem. 2012. V. 51. P. 1500–1509.
- Kuffel A., Gray A., Daeid N.N. // Int. J. Leg. Med. 2021. V. 135. P. 63–72.
- Johns D., Richard Morgan A. // Biochem. Biophys. Res. Commun. 1976. V. 72. P. 840–849.
- Kato K.I., Goncalves J.M., Houts G.E., Bollum F.J. // J. Biol. Chem. 1967. V. 242. P. 2780–2789.
- Flamme M., Hanlon S., Iding H., Puentener K., Sladojevich F., Hollenstein M. // Bioorg. Med. Chem. Lett. 2021. V. 48. P. 128242. https://doi.org/10.1016/j.bmcl.2021.128242
- Aleksandra A.K., Timofey E.T., Irina V.A., Nadezhda A.T., Olga S.F., Nikita A.K. // Life Sci. All. 2022. V. 5. P. e202201428. https://doi.org/10.26508/lsa.202201428
- Kuznetsov S.V., Kozlov A.G., Lohman T.M., Ansari A. // J. Mol. Biol. 2006. V. 359. P. 55–65.
Дополнительные файлы














