The dynamics of the levels of cytoplasmic HSP70 and chloroplast HSP70B chaperones under heat stress differs in three species of pumpkin with different resistance to stress
- 作者: Murtazina N.D.1, Sharapova L.S.1, Yurina N.P.1
-
隶属关系:
- Federal Research Center “Fundamentals of Biotechnology” of the Russian Academy of Sciences
- 期: 卷 60, 编号 4 (2024)
- 页面: 366-374
- 栏目: Articles
- URL: https://bakhtiniada.ru/0555-1099/article/view/276429
- DOI: https://doi.org/10.31857/S0555109924040052
- EDN: https://elibrary.ru/SBHDFQ
- ID: 276429
如何引用文章
全文:
详细
The first line of defense in plants under stress is the cell chaperone system. In this work, we studied the effect of heat stress on the levels of cytoplasmic chaperones HSP70 and HSP70B in chloroplasts of three species of Cucurbita (C. maxima Duchesne, C. pepo L. and C. moschata Duchesne), which differ in resistance to stress. A relationship has been established between the levels of chaperones HSP70 in the cytoplasm and HSP70B in chloroplasts and the species of pumpkin plants under heat stress conditions. Under stress, a significant increase in the level of chaperones was observed in the cells of pumpkin plants C. maxima – the level of HSP70 in the cytoplasm increased by 3.6 times, and the level of HSP70B in chloroplasts – by two times. Heat stress caused a 1.7-fold increase in the level of the cytoplasmic chaperone HSP70 in the cells of C. pepo pumpkin plants, but no significant change in the level of the HSP70B protein was noted. However, as a result of the effect of heat stress on C. moschata pumpkin plants, a decrease in the levels of HSP70 and HSP70B was revealed compared to untreated plants. The dynamics of changes in the levels of chaperones in the cytoplasm and chloroplasts under the influence of heat stress are similar. It should be noted that the constitutive level of HSP70 and HSP70B under normal conditions in C. moschata and C. repo is higher than in C. maxima. Analysis of the data obtained revealed an interesting pattern: high constitutive levels of HSP lead to insignificant induction of HSP and vice versa – low constitutive level of these proteins correlates with high induction of these proteins after heat stress. The data obtained are important for understanding the mechanisms of plant resistance to stress and can be useful for the selection and creation of highly resistant productive varieties of agriculturally important plants.
全文:
Растения постоянно подвергаются воздействию различных видов биотических и абиотических стрессов, негативно влияющих на их рост, развитие и продуктивность. Первая линия защиты клеток, подвергшихся воздействию стрессовых условий представлена шаперонной системой. Белки теплового шока (HSP), обладающие шаперонной активностью, являются высоко консервативными и в зависимости от молекулярной массы их разделяют на семейства, которые включают HSP100, HSP90, HSP70, HSP60 и малые HSP [1, 2].
Среди семейств белков теплового шока доминирующую роль играют плейотропные белки – шапероны HSP70, выполняющие разнообразные функции в клетке [3–5]. Шапероны HSP70 участвуют в фолдинге белков, повышении активности антиоксидантной системы, транслокации белков через мембраны, удалении поврежденных белков, предотвращении денатурации белков и др. HSP70 обнаружены практически во всех клеточных компартментах (ядре, цитоплазме, эндоплазматическом ретикулуме, хлоропластах и митохондриях) [3, 4, 6].
Благодаря шаперонной активности, белки теплового шока являются универсальными цитопротекторами. Обладая такими разнообразными функциями, шапероны HSP70s играют важную роль при различных стрессах, что является ключевым фактором для роста и развития растений. Поэтому это семейство генов является отличным кандидатом для повышения устойчивости к множественным стрессам [7].
Показана жизненно важная роль шаперонов HSP70 в реакциях как на абиотические, так и на биотические стрессы [8]. Недавно появились сообщения о более высоком уровне экспрессии HSP70 у устойчивых к болезням сортов? подсолнечника, по сравнению с восприимчивыми растениями [9]. Повышенные уровни HSP70 связаны с устойчивостью к засухе у риса [10], Arabidopsis [11], табака [12] сахарного тростника [13] и хризантемы [14].
Способность ослаблять повреждающие эффекты и сохранять клеточный гомеостаз растений, подвергающихся различным неблагоприятным воздействиям, делает некоторые HSP особенно привлекательными для повышения устойчивости к множественным или даже комбинированным стрессам. Использование методов генетической инженерии и геномного редактирования позволяет использовать гены белков HSP для повышения устойчивости растений к стрессовым условиям. Так, cверхэкспрессия цитоплазматических генов HSP70-1 HSP70-2 перца Capsicum annuum в трансгенных клетках Arabidopsis привела к повышенной термотолерантности у Arabidopsis [15]. Эти результаты иллюстрируют важность и значение изучения HSP для практического использования. Однако необходимы дальнейшие исследования, которые позволят оценить функции HSP для создания желаемых признаков у конкретных культур. Механизм ответа клеток растений на тепловой стресс представляет собой сложную систему, и явное участие HSP70 в механизме термотолерантности нуждается в дальнейшем изучении.
Тыква – это широко культивируемая по всему миру овощная культура. Культура богата витаминами, минералами и антиоксидантами [16], имеет высокую пищевую и лекарственную ценность, а ее семена являются хорошим источником для получения масла [17]. Сравнительного изучения шаперонов HSP70 цитоплазмы и HSP70B хлоропластов у трех видов тыквы, преимущественно возделываемых в России, не проводилось.
В связи с угрозой глобального потепления и изменения климата проводятся опыты по созданию трансгенных растений, устойчивых к тепловому стрессу и повышенной температуре для выращивания. По-видимому, положительных результатов в этом направлении можно достичь, создавая растения с повышенной экспрессией генов белков теплового шока [18].
Сегодня свойствам и функциям белков теплового шока в живых организмах посвящено большое количество научных работ, проводимых в разных странах мира. Большинство исследований проводится на белках теплового шока цитоплазмы, в то время как белки хлороластов изучены намного меньше. Особый интерес представляет изучение белков HSP70B хлоропластов в связи с их важной ролью в защите фотосинтетического аппарата. Интерес к шаперонам, скорее всего, будет лишь возрастать – настолько необычными, незаменимыми и важными для жизни растений являются, как показывают исследования, эти белки [1, 2]
Цель данной работы – изучить динамику уровней белков теплового шока HSP70 цитоплазмы и HSP70B хлоропластов при тепловом стрессе в клетках трех видов тыквы семейства Cucurbita – C. maxima Duchesne, C. pepo L. и C. moschata Duchesne, различающихся по устойчивости к стрессам окружающей среды.
Методика
Объект исследования. В качестве объектов исследования нами выбраны три наиболее распространённых на территории России вида тыквы – крупноплодная (Cucurbita maxima Duchesne) сорт Мраморная, твердокорая (Cucurbita pepo L.) сорт Кустовая оранжевая и мускатная (Cucurbita moschata Duchesne) и сорт Витаминная. Тыква в качестве объекта исследования была выбрана нами потому, что три указанных выше вида имеют различную устойчивость к неблагоприятным условиям (Круг, 2000). C. maxima и C. pepo характеризуются большей устойчивостью к неблагоприятным условиям, особенно тепловому стрессу, чем C. moschata [19].
Растения выращивали в климатической камере в следующих условиях освещения: 16 ч свет/8 ч ночь при 25°C в дневное время/16°C в ночное. Молодые 14-дневные растения тыквы делили на две группы: 1) растения оставляли в нормальных благоприятных для роста условиях; 2) растения подвергали воздействию теплового стресса – 38°C в течение 2 ч. После обработки листья собирали и использовали для анализа или хранили при –80°C для выделения препаратов.
Выделение белка. Для выделения суммарного белка растения замораживали в жидком азоте и растирали в ступке до консистенции пудры. В микропробирку помещали навеску 0.1 г растительного материала и добавляли 1мл буфера, следующего состава: Трис-HCl – 62.5 мМ, pН 6.8; ДДС-Na – 2.5%; 2-меркаптоэтанол – 5%; глицерин – 10%; PMSF – 10 мМ. Пробирки помещали в кристаллизатор со льдом на 10 мин. Затем пробирки прогревали при температуре 90°C в течение 5 мин и центрифугировали при 18000 g и комнатной температуре в течение 15 мин. Надосадочную жидкость собирали и определяли концентрацию белка по методу Бредфорда [20].
Электрофорез белков в ПААГ. Электрофорез белковых препаратов проводили по методу Леммли [21] в 12.5%-ном ПААГ в присутствии ДДС-Na. На одну дорожку наносили 60 мкг белка. После электрофоретического разделения белков в ПААГ гели окрашивали Кумасси ярко-голубым R-250 (0.2%-ный Кумасси R-250; 40%-ный этанол; 5%-ная уксусная кислота).
Вестерн-блот-гибридизация. Для проведения иммунной реакции с помощью электроблотинга белки переносили на нитроцеллюлозную мембрану. Для блокирования неспецифических сайтов связывания белков мембраны с иммобилизованными белками инкубировали в блокирующем буфере: 5%-ное сухое обезжиренное молоко в буфере TBST (50 мМ Трис/HCl, рН 7.5; 200 мМ NaCl; 0.1% Tween-20) в течение 1 ч при 4°C на мини-рокер-шейкере MR-1 (“BioSan”, Латвия). Затем добавляли первичные поликлональные кроличьи антитела к HSP70 цитоплазмы (AS08 371; Agrisera) и HSP70B хлоропластов (любезно предоставленные проф. M. Shroda, TU Kaiserslautern, Германия) в разведении 1: 3000 и 1 : 10000 соответственно и оставляли на ночь на мини-рокер-шейкере при 4°C.
Мембраны промывали 2 раза TBST. Далее мембраны снова помещали в блокирующий буфер и добавляли вторичные антитела (антитела козла к иммуноглобулинам кролика, конъюгированные с пероксидазой хрена, 1 : 20000, AS09 602; “Agrisera”, Швеция). Прокачивали на шейкере в течение 2 ч при комнатной температуре. Мембраны промывали TBST 2 раза по 2 мин, 3 раза по 5 мин.
Использовали высокочувствительный метод иммунодетекции белков ECL (enhanced chemiluminescence) для определения иммобилизованных антигенов.
Раствор для проявления иммунных комплексов наносили на мембрану и регистрацию хемилюминесцентного сигнала проводили в темноте с помощью рентгеновской пленкой Retina Х-ray. Продолжительность экспозиции составляла 1–3 мин. Рентгеновскую пленку проявляли, обрабатывали в программе ImageJ (http://rsbweb.nih.gov/ij). Далее в программе Excel проводили обработку данных и построение диаграмм.
Опыты повторяли по крайней мере три раза на независимо выращенных растениях. Количественный анализ уровня HSP проводили с помощью программы ImageJ, Статистический анализ проводили с помощью t-теста Стьюдента [22], используя Microsoft Office Excel 2003. Различия считали достоверными при р < 0.05.
Результаты и их обсуждение
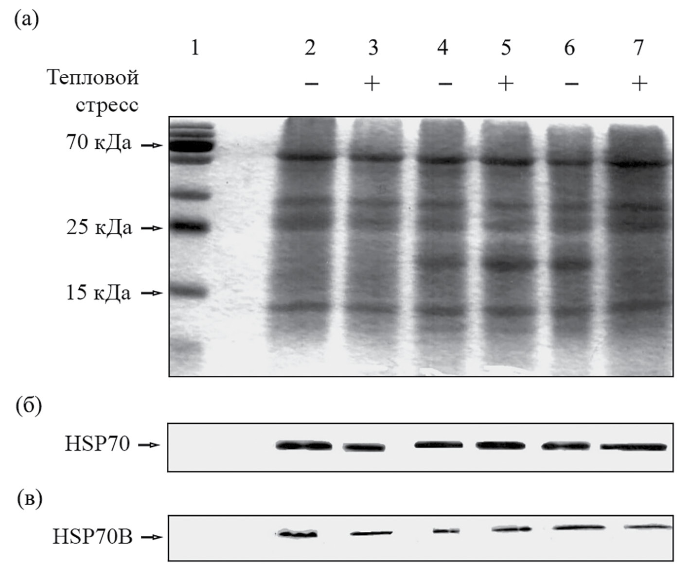
На рис. 1 представлены результаты изучения действия теплового стресса на белки теплового шока Hsp70 цитоплазмы и Hsp70B хлоропластов у трех видов растений тыквы, отличающихся по устойчивость к неблагоприятным условиям окружающей среды (C. maxima Duchesne ≥ C. pepo L. > C. moschata Duchesne) [19].
Рис. 1. Содержание белков Hsp70 цитоплазмы и Hsp70B хлоропластов в растениях тыквы мускатной Cucurbita moschata Duchesne (дорожки 2, 3), твердокорой Cucurbita pepo L. (дорожки 4, 5), крупноплодной Cucurbita maxima Duchesne (дорожки 6, 7) в условиях теплового стресса (+) или без (–): а – электрофореграмма белков, окрашенных Кумасси, белковый маркер (дорожка 1); б – иммуноблотинг с антителами к Hsp70 цитоплазмы; в – иммуноблотинг с антителами к Hsp70B хлоропластов.
Установлена взаимосвязь между содержанием белков теплового шока HSP70 цитоплазмы и HSP70В хлоропластов и видовой принадлежностью растений тыквы в условиях теплового стресса. Обнаружено, что по сравнению с нормальными условиями в условиях теплового стресса уровень белков HSP70 цитоплазмы и HSP70B хлоропластов у C. pepo и C. maxima повышен, тогда как уровни этих белков у тыквы C. moschata снижены.
Проведены количественные расчеты относительных уровней HSP у трех видов тыквы в условиях теплового стресса по сравнению с необработанными растениями (рис. 2). При стрессе отмечено значительное повышение уровней белков теплового шока в клетках растений тыквы C. maxima – уровень HSP70 в цитоплазме возрос в 3.6 раза, а уровень HSP70В хлоропластов – в два раза. Тепловой стресс вызывал увеличение в 1.7 раза уровень цитоплазматического шаперона HSP70 в клетках растений тыквы C. pepo, а значимого изменения уровня белка HSP70В не отмечено. Однако в результате действия теплового стресса на растения тыквы C. moschata выявлено уменьшение уровней HSP70 и HSP70В по сравнению с необработанными растениями.
Рис. 2. Изменение уровней белков HSP70 цитоплазмы и HSP70В хлоропластов у трех видов тыквы после действия теплового стресса. Уровни белков теплового шока при тепловом стрессе рассчитаны относительно уровня HSP соответствующего вида тыквы в условиях без стресса.
Как следует из рис. 2 уровни белков цитоплазмы и хлоропластов изменяются сходным образом у каждого из видов тыквы после действия теплового стресса. Однако у всех изученных видов тыквы уровень белков HSP70 цитоплазмы превышал уровень HSP70B хлоропластов, что, по-видимому, обусловлено в три раза более высоким числом генов HSP70 цитоплазмы (10 генов) по сравнению с HSP70B хлоропластов (3 гена) [23, 24].
Известно, что белки теплового шока способствуют поддержанию гомеостаза в клетках живых организмов, что особенно важно в условиях стресса. На основании этого нами был сделан вывод, что увеличение уровней HSP70 цитоплазмы и HSP70В хлоропластов в клетках растений тыквы C. maxima говорит о ее способности активно противостоять тепловому стрессу и выжить в неблагоприятных условиях. Это согласуется с гипотезой о том, что белки теплового шока семейства HSPs70 являются одними из основных компонентов устойчивости к стрессам [8–10].
Повышение температуры приводило к меньшему повышению уровней белков теплового шока HSP70 в клетках растений тыквы C. pepo, и не вызывало значимого изменения уровня белка HSP70В после воздействия стресса. Это указывает на относительную устойчивость данного вида и увеличение вероятности его гибели при продолжительном действии неблагоприятного фактора по сравнению с C. maxima.
В результате воздействия повышенных температур на растения тыквы вида C. moschata, было выявлено снижение уровней HSP70 и HSP70В по сравнению с необработанными растениями, что указывло не только на низкую способность противостоять стрессу, но и на начавшиеся в клетках деструктивные процессы. Не исключено, что избыточная конститутивная экспрессия генов HSP70 у C. moschata могла также приводить к подавлению синтеза новых HSP или некоторых других белков теплового стресса, как это ранее было показано для клеток экстремальных психрофилов [15].
Определение уровня шаперонов HSP70 цитоплазмы и HSP70В хлоропластов в растениях, не подвергавшихся тепловому стрессу, показало более высокий конститутивный уровень HSP70 у тыкв С. moschata и C. рepo по сравнению C. maxima. Наименьший конститутивный уровень белков теплового шока цитоплазмы HSP70 и хлоропластов HSP70В обнаружен у вида C. maxima и был принят за единицу (рис. 3). Как следует из рисунка конститутивные уровни HSP70 цитоплазмы и HSP70В хлоропластов у тыквы C. moschata в 4.5 и 2 раза выше, а у тыквы C. pepo в 4.3 раза и в 1.5 раза выше по сравнению с тыквой C. maxima соответственно (рис. 3).
Рис. 3. Конститутивные уровни белков HSP70 цитоплазмы и HSP70В хлоропластов у трех видов тыквы в условиях без теплового стресса. За 1 ед. принят уровень белков теплового шока HSP70 и HSP70В у растений C. maxima.
Анализ полученных данных показал, что существует обратная зависимость между конститутивным уровнем белков теплового шока у растений трех видов тыквы и индуцированным уровнем шаперонов после действия теплового стресса. Таким образом, более высокие конститутивные уровни белков теплового шока в клетках Cucurbita коррелировали с более низкой индукцией HSP70 и HSP70В после воздействия стресса. По-видимому, для устойчивых к тепловому стрессу растений в большей степени важен высокий показатель уровня индукции белков теплового шока, чем более высокий конститутивный уровень шаперонных белков. Предполагают, что высокий конститутивный уровень HSP связан с конститутивно экспрессирующимися HSP70, которые участвуют в поддержании жизненной активности клеток в нормальных условиях, а индуцированные белки HSP это те белки, которые участвуют в защите от окислительного стресса, вызванного тепловым или другими видами стресса [23]. На основании этих результатов можно предположить, что индукция этих белков может рассматриваться как клеточный компенсаторный механизм. Полученные результаты указывают на то, что HSP70 цитоплазмы и HSP70В хлоропластов являются не только защитными белками клетки, но могут служить и маркерами окислительного стресса.
Сходные результаты были получены для клеток зеленых водорослей, выросших в экстремальных условиях Антарктики. В клетках обнаружено повышенное содержание конститутивных HSP70 цитоплазмы [23] и HSP70B хлоропластов [25]. Однако тепловой стресс не вызывал у этих водорослей дальнейшего увеличения содержания белков теплового стресса. По-видимому, клетки теряли способность к дополнительному накоплению HSP или достигнут максимальный уровень этих шаперонов в клетке.
К настоящему времени проведено обширный биоинформатичесий анализ семейств генов HSP в стрессовых условиях, а также при развитии и росте растений. Анализ полностью секвенированных геномов ряда растений позволил обнаружить все предполагаемые гены белков теплового шока, их дублирование и разнообразие, изучить структуру генов – консервативных сайтов, специфических мотивов, интронов, экзонов, сайтов связывания с различными лигандами, а также провести филогенетический анализ и распределение генов HSP на хромосомах [24].
Большинство фундаментальных исследований HSP выполнено на модельном растении A. thaliana [26]. К настоящему времени проведена также характеристика представителей всех семейства HSP у таких видов, как A. thaliana [26], тополь (P. trichocarpa) [27], щетинник (Setaria italica) [28], салат латук (Lactuca sativa) [29], пшеница (Triticum aestivum) [30, 31] и рис (O. sativa) [32] (табл. 1).
Таблица 1. Число генов HSP в геноме некоторых видов высших растений
Вид (плоидность) | sHSP | HSP60 | HSP70 | HSP90 | HSP100 | Ссылка |
Arabidopsis thaliana (2n) | 19 | 18 | 18 | 7 | 7 | [26] |
Lactuca sativa (2n) | 32 | 22 | 64 | 7 | 7 | [29] |
Oriza sativa (2n) | 29 | 20 | 27 | 8 | 9 | [32] |
Populus trichocarpa (2n) | 37 | 28 | 20 | 10 | 5 | [27] |
Setaria italic (2n) | 37 | 20 | 27 | 9 | 20 | [28] |
Triticum aestivum (6n) | 169 | 95 | 114 | 18 | 84 | |
Cucurbita moschata (2n) | – | – | 21 | – | – | [24] |
Capsicum annuum (2n) | – | – | 21 | – | – | [15] |
Как следует из табл. 1 наибольшее число представителей HSP выявлено у семейств белков теплового шока – sHSP, HSP60 и HSP70. Недавно был проведен биоинформатическй анализ семейства генов HSP70 тыквы C. moschata, включая филогенетические взаимоотношения, мотивы и структурный анализ генов, дупликацию генов и анализ промоторов. Геномный анализ выявил у C. moschata 21 ген HSP70, которые были разделены на пять групп на основании структурного анализа (от A до E). Предсказана субклеточная локализация представителей семейства HSP70 у C. mocshata. Предположено, что белки в цитоплазме локализованы – 10 HSP70, в хлоропластах – 3, митохондриях – 2, ядре – 2 и эндоплазматическом ретикулуме – 4.
У тыквы обнаружено сходное число генов HSP70 с перцем, тополем и представителями Arabidopsis в отличие от других изученных видов растений (табл. 1). Однако салат-латук, рис, щетинник и пшеница содержали существенно больше генов HSP70 – 64, 27, 27 и 114 соответственно. Разное количество генов одного и того же семейства HSP у разных видов может быть связано с размером генома или эволюционным разнообразием [24]. Показано, что HSP70 локализованные в одном и том же компартменте клетки имеют сходные свойства или функции. Эти белки имеют большое сходство с точки зрения мотивов, количества интронов/экзонов и локализации в соответствующих клеточные компартментах. По-видимому, дупликация генов оказывает решающее влияние на увеличение представителей семейств генов HSP в геноме и на эволюцию генома растений [33]. Предполагают, что увеличение числа генов HSP70 происходило в основном за счет сегментарной, а не тандемной дупликации [24].
Показано, что между двумя видами растений, относящихся к одному семейству (как например огурец и тыква) больше ортологичных генов HSP70, чем между тыквой и Arabidopsis. Однако при этом обнаружено пять общих генов (CmoCh08G006500.1, CmoCh03G004440.1, CmoCh07G010280.1, CmoCh02G009230.1 и CmoCh15G013530.1) между этими тремя видами, что может указывать на консервативную функцию этих генов у разных видов растений [24]. По-видимому, эти пять консервативных генов могут выполнять важные функции в клетке и участвовать в формировании устойчивости растений к стрессам.
Обнаружено, что действие двух близких стрессов засуха и тепловой стресс (чаще всего оба стресса действуют одновременно) индуцирует сходные профили транскрипции гена HSP70. Анализ профилей транскрипции генов HSP растений показал значительное перекрытие между профилями ответа на тепловой стресс и засуху, что указывает на тесное взаимодействие участвующих сигнальных путей в клетке [34]. В клетках C. moschata обнаружено всего 10 генов HSP70 цитоплазмы из них в условиях засухи существенно индуцировалось два гена HSP70 цитоплазмы (CmoCh07G010280.1 и CmoCh10G004900.1). По-видимому, эти индуцируемые гены важны для устойчивости и к тепловому стрессу. Эти два гена похожи по структуре и обеспечивают высокий уровень экспрессии генов этих белков. С помощью транскрипционного анализа показано, что 13 генов из 21 генов HSP70 не изменяют активности в ответ на действие засухи.
У высших растений в отличие от водорослей обнаруживается избыточное число генов HSP70. Полагают, что эти гены образовались в результате дупликации. Функции этих избыточных генов HSP70 еще предстоит изучить. Растения, как организмы, которые не способны передвигаться и избегать стрессов, обладают развитыми механизмами защиты для выживания или адаптации к стрессовым условиям. Например, эволюционный анализ показал, что растения имеют в 3–4 раза больше генов белков, стрессового ответа, например, таких как белки теплового шока, чем другие организмы, в результате дупликации всего генома [24].
Биоинформатический анализ промоторной области показал присутствие различных цис-регуляторных элементов в (up-stream) области перед генами HSP70 цитоплазмы, таких как элементы, реагирующие на стресс и гормоны. Все это указывает на потенциальную роль генов этого семейства в устойчивости к стрессовым воздействиям [24]. Необходимо дальнейшее изучение функций этих идентифицированных HSP70 белков.
В различных компартментах хлоропласта обнаружены три белка Hsp70. В строме хлоропластов выявлены два Hsp70, участвующих в сворачивании денатурированных белков. Помимо роли Hsp70 стромы хлоропластов в рефолдинге денатурированных белков у них обнаружена узкоспециализированная активность по защите фотосистемы II (ФСII) от светового стресса [35]. Предполагают, что один из белков стромы – HSP70B может защищать ФСII от необратимого фотоповреждения или стабилизировать фотоповрежденную ФСII. По-видимому, HSP70B участвует также в биогенезе/поддержание тилакоидных мембран [35]. Третий белок Hsp70 с молекулярной массой 75 кДа., обнаруженный в хлоропластах, локализован с внутренней стороны оболочки хлоропласта. По нашим данным именно белок HSP70B хлоропластов индуцируется тепловым стрессом и может служить индикатором окислительного стресса [2, 35].
Разнообразная роль представителей семейства HSP70 в условиях засухи дает информацию для дальнейшего изучения функций представителей этого жизненно важного семейства, особенно в стрессовых условиях. Основываясь на полученных нами данных и биоинформатическом анализе можно заключить, что два белка HSP70 цитоплазмы и белок HSP70B хлоропластов Cucurbita представляют наибольший интерес для практических целей и согласуются с ранее опубликованными данными о ключевой функции HSP70 в реакциях на стрессовые условия [24]. Это необходимая информация, как для селекции, так и для интродукции – введении в культуру растений как в пределах ареала, так и в новых областях, где эти виды не встречались.
В условиях засухи и состоянии теплового шока растения могут оказаться очень часто поэтому, данное исследование может быть использовано для разработки новых стратегий и инструментов повышения устойчивости к стрессу с помощью генетических манипуляций. Полученные результаты позволят глубже понять молекулярные механизмы, лежащие в основе стрессовых ответов фотосинтезирующих клеток, а также может иметь практическое значение.
ФИНАНСИРОВАНИЕ. Исследование выполнено при поддержке Российского научного фонда (грант № 23 24 00486).
СОБЛЮДЕНИЕ ЭТИЧЕСКИХ СТАНДАРТОВ. Настоящая работа выполнена без привлечения людей или животных в качестве объектов исследований.
КОНФЛИКТ ИНТЕРЕСОВ. Авторы заявляют об отсутствии конфликта интересов.
作者简介
N. Murtazina
Federal Research Center “Fundamentals of Biotechnology” of the Russian Academy of Sciences
Email: nyurina@inbi.ras.ru
Bach Institute of Biochemistry
俄罗斯联邦, Moscow, 119071L. Sharapova
Federal Research Center “Fundamentals of Biotechnology” of the Russian Academy of Sciences
Email: nyurina@inbi.ras.ru
Bach Institute of Biochemistry
俄罗斯联邦, Moscow, 119071N. Yurina
Federal Research Center “Fundamentals of Biotechnology” of the Russian Academy of Sciences
编辑信件的主要联系方式.
Email: nyurina@inbi.ras.ru
Bach Institute of Biochemistry
俄罗斯联邦, Moscow, 119071参考
- Al-Whaibi M.H. // J. King Saud Univ.-Science. 2011. V. 23. P. 139–150. https://doi.org/10.1016/j.jksus.2010.06.022
- Юрина Н.П. // Молекулярная биология. 2023. Т. 57. C. 949–964. https://doi.org/10.31857/S00 М26898423060228
- Cazale A.C., Clement M., Chiarenza S., Roncato M.A., Pochon N., Creff A. et al. // J. Exp. Bot. 2009. V. 6. P. 2653–2664. https://doi.org/10.1093/jxb/erp109
- Ul Haq S., Khan A., Ali M., Khattak A.M., Gai W.X., Zhang H.X. et al. // Int. J. Mol. Sci. 2019. V. 20. 5321. https://doi.org/10.3390/ijms20215321
- Rehman A., Atif R.M., Qayyum A., Du X., Hinze L., Azhar M.T. // Genomics. 2020. V. 112. P. 4442–4453. https://doi.org/10.1016/j.ygeno.2020.07.039
- Sung D.Y., Vierling E., Guy C.L. // Plant Physiol. 2001. V. 126. P. 789–800. https://doi.org/10.1104/pp.126.2.789
- Masand S., Yadav S.K. // Mol. Biol. Rep. 2016. V. 43. P. 53–64. https://doi.org/10.1007/s11033-015-3938-y
- Jung K.H., Gho H.J., Nguyen M.X., Kim S.R., An G. // Funct. Integr. Genom. 2013. V. 13. P. 391–402. https://doi.org/10.1007/s10142-013-0331-6
- Kallamadi P.R., Dandu K., Kirti P.B., Rao C.M., Thakur S.S., Mulpuri S. // Proteomics. 2018. V. 18. 1700418. https://doi.org/10.1002/pmic.201700418
- Devarajan A.K., Muthukrishanan G., Truu J., Truu M., Ostonen, I., Kizhaeral S.S. et al. // Plants. 2021. V. 10. 387. https://doi.org/10.3390/plants10020387
- Pulido P., Llamas E., Rodriguez-Concepcion M. // Plant Signal. Behav. 2017. V. 12. e1290039.
- Cho E.K., Hong C.B. // Plant Cell Rep. 2006. V. 25. P. 349–358. https://doi.org/10.1007/s00299-005-0093-2
- Augustine S.M., Cherian A.V., Syamaladevi D.P., Subramonian N. // Plant Cell Physiol. 2015. V. 56. P. 2368–2380. https://doi.org/10.1093/pcp/pcv142
- Song A., Zhu X., Chen F., Gao H., Jiang J., Chen S. // Int. J. Mol. Sci. 2014. V. 15. P. 5063–5078. https://doi.org/10.3390/ijms15035063
- Guo M., Liu J.-H., Ma X., Zhai Y.-F., Gong Z.-H., Lu M.-H. // Plant Sci. 2016. V. 252. P. 246–256. https://dx.doi.org/10.1016/j.plantsci.2016.07.001
- Mokhtar M., Bouamar S., Di Lorenzo A., Temporini C., Daglia M., Riazi A. // Molecules. 2021. V. 26. 3623. https://10.3390/molecules26123623
- Vinayashree S., Vasu P. // Food Chem. 2021. V. 340. 128177. https://10.1016/j.foodchem.2020.128177
- Grover A., Mittal D., Negi M., Lavania D. // Plant Science. 2013. V. 205–206. P. 38–47. https://10.1016/j.plantsci.2013.01.005
- Круг Г. Овощеводство. Перевод с немецкого. М.: Колос, 2000. 572 с.
- Bradford M.M. // Anal. Biochem. 1976. V. 72. P. 248–254. https://10.1006/abio.1976.9999
- Laemmly U.K. // Nature. 1970. V. 227. P. 680–685. https://10.1038/227680a0
- Snedecor G.W., Cochran W.G. // Statistical methods. 6th Ed., Ames, Lowa: The Lowa state University. 1967.
- Cvetkovska M., Zhang X., Vakulenko G., Benzaquen S., Szyszka-Mroz B., Malczewski N. et al. // Plant, Cell &Environment. 2022. V. 45. P. 156–177. https://doi.org/10.1111/pce.1420
- Davoudi M., Chen J., Lou Q. // Int. J. Mol. Sci. 2022. V. 23. 1918. https://10.3390/ijms23031918.
- Chankova S., Mitrovska Z., Miteva D., Oleskina Y.P., Yurina N.P. // Gene. 2013. V. 516. P. 184–189. https://dx.doi.org/10.1016/j.gene.2012.11.052
- Swindell W.R., Huebner M., Weber A.P. // BMC Genomics. 2007. V. 8. 125. https://doi.org/10.1186/1471-2164-8-125
- Zhang L., Zhao H.-K., Dong Q.-L., Zhang Y.-Y. Wang Y.-M., Li H.-Y. et al. // Front. Plant Sci. 2015. V. 6. 773. https://doi.org/10.3389/fpls.2015.00773
- Singh R.K., Jaishankar J., Muthamilarasan M., Shweta S., Dangi A., Prasad M // Sci. Rep. 2016. V. 6. 32641. https://doi.org/10.1038/srep32641
- Kim T., Samraj S., Jimenez J., Gomez C., Liu T., Begcy K. // BMC Plant Biol. 2021. V. 17. 185. https://doi.org/10.1186/s12870-021-02959-x
- Kumar A., Sharma S., Chunduri V., Kaur A., Kaur S., Malhotra N. et al. // Sci. Repts. 2020. V. 10. 7858. https://doi.org/10.1038/s41598-020-64746-2
- Duan S., Liu B., Zhang Y., Li G., Guo X. // BMC Genomics. 2019. V. 20. 257. https://doi.org/10.1186/s12864-019-5617-1
- Hu W., Hu G., Han B. // Plant Sci. 2009. V. 176. P. 583–590. https://doi.org/10.1016/j.plantsci.2009.01.016
- Andrási N., Pettkó-Szandtner A., Szabados L. // Journal of Experimental Botany. 2021. V. 72. P. 1558–1575. https://10.1093/jxb/eraa576
- Schroda M. // Photosynthesis Research. 2004. V. 82. P. 221–240. https://10.1007/s11120-004-2216-y
- Ермохина О.В., Белкина Г.Г., Олескина Ю.П., Фаттахов С.Г., Юрина Н.П. // Прикл. биохимия и микробиология. 2009. Т. 45. С. 612–617. https://10.1134/S0003683809050160
补充文件





