Properties of Extracellular Protease — Regulator of Hemostasis Produced by Micromycete Aspergillus tabacinus
- Authors: Lavrenova V.N.1, Kreyer V.G.1, Savkovic Z.2, Osmolovskiy A.A.1
-
Affiliations:
- Lomonosov Moscow State University
- University of Belgrade
- Issue: Vol 60, No 1 (2024)
- Pages: 66-71
- Section: Articles
- URL: https://bakhtiniada.ru/0555-1099/article/view/259763
- DOI: https://doi.org/10.31857/S0555109924010076
- EDN: https://elibrary.ru/HCNICP
- ID: 259763
Cite item
Full Text
Abstract
The extracellular protease with protein C-like and plasmin-like activities was isolated from the culture fluid of the micromycete A. tabacinus BEOFB3260m. It has been established that A. tabacinus extracellular protease is a non-glycosylated serine protease with mol. weight about 30 kDa. The enzyme is active and stable at temperature of 25–37°, active at pH 7.0–12.0 and stable at pH 3.0–12.0 and is a perspective candidate for new anticoagulant drugs development.
Full Text
Гемостаз — это сложная многокомпонентная система, существующая для сохранения целостности сосудистого русла, предотвращения кровопотерь и поддержания крови в жидком состоянии. Одной из составляющих гемостаза является система коагуляции, представляющая собой каскад реакций, в которых взаимодействующие белки (факторы свертывания) последовательно активируют друг друга за счет конформационных изменений и/или частичного протеолиза. Результатом коагуляции является формирование тромба — фибринового сгустка, закупоривающего повреждение стенки сосуда. Различные нарушения этой системы могут привести к избыточному и/или несвоевременному формированию фибриновых сгустков, что, в свою очередь, может привести к тромбозам.
Большинство лекарственных средств, используемых для борьбы с тромбозами разного генеза, являются либо антикоагулянтами, то есть веществами, ингибирующими вторичный гемостаз и/или активирующими противосвертывающую систему (антитромбины, тромбомодулин, протеин C, протеин S и др.), либо фибринолитиками, то есть веществами, расщепляющими фибриновые сгустки и/или способствующими активации собственных тромболитических ферментов организма. Следует отметить, что превентивным противотромбозным эффектом обладают только антикоагулянты. Среди распространенных в медицинской практике антикоагулянтов следует выделить четыре группы: гепарин и гепарин-подобные препараты, кумарины и индандионы — ингибиторы фактора свертывания Xа, ингибиторы тромбина. Все эти препараты имеют побочные эффекты в виде кровотечений, а использование гепаринов также может спровоцировать тромбоцитопению [1]. В связи с этим поиск новых антикоагулянтов, лишенных перечисленных выше побочных эффектов, является актуальной задачей как для фундаментальной науки, так и для фармакологии.
Перспективными продуцентами новых антикоагулянтов могут быть микроорганизмы [2], в том числе грибы-микромицеты, так как они секретируют во внешнюю среду множество гидролитических ферментов, включая протеазы. Протеазы с определенной субстратной специфичностью могут осуществлять ограниченный протеолиз и/или активацию компонентов каскада коагуляции, а также компонентов противосвертывающей системы, что может приводить к разным последствиям, в том числе и к противотромботическому действию. В последнее время ведутся активные исследования антикоагулянтных и фибринолитических ферментов представителей отделов Mucoromycota [3] и Ascomycota [4]. К примеру, в 2022 г. была впервые выделена протеаза аскомицета Aspergillus versicolor, проявляющая одновременно антикоагулянтные и фибринолитические свойства [5].
Цель данной работы — выделение и изучение свойств внеклеточной протеазы микромицета Aspergillus tabacinus, являющегося близким родственником Aspergillus versicolor, а также исследование потенциальных мишеней этой протеазы в системе гемостаза человека.
МЕТОДИКА
Условия культивирования продуцента. Глубинное культивирование микромицета Aspergillus tabacinus BEOFB3260m, полученного из коллекции Белградского университета (Республика Сербия), проводили в две стадии [6]. Для засева посевной среды гриб выращивали на скошенном сусло-агаре 7 сут при 25°C, споровую суспензию получали смывом с поверхности. Посевная среда имела следующий состав (%): сусло — 6.7, глюкоза — 1.0, пептон — 0.1, рН 5.5–6.0. Культивирование в посевной среде проводили в течение 48 ч при 28°C и постоянном перемешивании при 200 об./мин. Далее для индукции образования протеолитических ферментов 3% посевной среды переносили в среду для ферментации следующего состава (%): глюкоза — 3.5, крахмал — 1.0, гидролизат рыбной муки — 0.5, пептон — 0.5, NaCl — 0.2, KH2PO4 – 0.05, MgSO4 – 0.05, рН 7.0–7.5. Культивирование в ферментационной среде проводили в течение 7 сут при 28°C и постоянном перемешивании при 200 об./мин.
Выделение и очистка протеазы. Для выделения фермента из культуральной жидкости, полученной после выращивания гриба и отделения мицелия, белки осаждали сульфатом аммония. Сульфат аммония добавляли постепенно до степени насыщения 80%. Через 48 ч инкубации при 4°C белковый осадок отделяли центрифугированием в течение 40 мин при 15000 g, ресуспендировали в 10 мл 0.005 М Трис-HCl буфера, pH 8.2, и проводили диализ против того же буфера в течение 36 ч с последовательными сменами буфера через каждые 12 ч. После диализа нерастворимые белки отделяли центрифугированием при том же режиме. Полученный супернатант лиофильно высушивали и хранили при –20°C.
Очистка протеазы из полученного лиофильного препарата была проведена методом изоэлектрофокусирования в градиенте рН амфолинов 2–12 и градиенте плотности сахарозы 0–40% при 4°C и напряжении 800 В в течение 36 ч [7, 8]. Для изоэлектрофокусирования использовали колонку объемом 110 мл (“LKB”, Швеция). В каждой фракции определяли pH, оптическую плотность при длине волны 280 нм, а также протеолитическую активность с использованием хромогенных пептидных субстратов тромбина Chromozym TH (Tos-Gly-Pro-Arg-pNA) (“DiaPharma”, США) и активированного протеина С S-2366 (pGlu-Pro-Arg-pNA) (“DiaPharma”, США).
Электрофорез в денатурирующих условиях. Белковый состав фракций с наибольшей протеолитической активностью исследовали методом электрофореза в денатурирующих условиях по Лэммли [9]. Использовали маркеры молекулярных масс Unstained Protein Molecular Weight Marker (“Thermo Fisher Scientific”, США), гель окрашивали ацетатно-спиртовым раствором Кумасси R-250. Для удаления неспецифически сорбировавшегося красителя использовали 7%-ный раствор уксусной кислоты.
Зимография. Для определения протеолитически активного компонента во фракции, представляющей смесь белков, использовали зимографию [10]. Для этого проводили электрофорез в денатурирующих условиях по методу Лэммли со следующими изменениями: в разделяющий гель добавляли казеин до конечной концентрации 0.2%, в качестве буфера для образцов использовали пятикратный буфер следующего состава: 0.5 М Трис-HCl, pH 6.8, 10% додецилсульфата натрия, 20% глицерина, 0.5% бромфенолового синего. Перед нанесением проб в гель не проводили их нагревание. После проведения электрофореза гель инкубировали в течение 30 мин при комнатной температуре в 50 мМ Трис-HCl буфере, pH 7.0, содержащем 2.5%-ный Тритон-Х100. Далее отмывали гель в течение 30 мин в дистилированной воде, после чего инкубировали в течение 12 ч при 37°C в 30 мМ Трис-HCl буфере, pH 7.0, содержащем 0.02% азида натрия. Окрашивание геля проводили так же, как и при проведении электрофореза по Лэммли.
Выявление гликозилирования в геле. Присутствие углеводного компонента в молекуле протеазы определяли при проведении денатурирующего электрофореза [11]. В течение 30 мин гель инкубировали в 50%-ном этаноле, а затем в течение 10 мин отмывали дистиллированной водой, после чего помещали гель на 30 минут в раствор, содержащий 1%-ную йодную и 3%-ную уксусную кислоты. Далее отмывали 30 мин в дистилированной воде, 20 мин инкубировали в 0.1%-ном растворе метабисульфита натрия в 10 мМ HCl и инкубировали в течение 1 ч в темноте с реактивом Шиффа. После описанных процедур гель повторно помещали в 0.1%-ный раствор метабисульфита натрия в 10 мМ HCl на 1 ч, а затем в 0.5%-ный раствор метабисульфита натрия в 10 мМ HCl на 2 ч.
Определение протеолитической активности с хромогенными пептидными субстратами. Специфическую ферментативную активность культуральной жидкости и фракций после изоэлектрофокусирования определяли спектрофотометрически при длине волны 405 нм по накоплению пара-нитроанилина после гидролиза различных хромогенных пептидных субстратов при 37°C [12]. К 100 мкл соответствующего субстрата с концентрацией 0.5 мг/мл, приготовленного в 0.05 М Трис-HCl буфере, pH 8.2, прибавляли 50 мкл такого же буфера. Реакцию инициировали добавлением 200 мкл нужной фракции или культуральной жидкости. Через 5 мин реакцию останавливали добавлением 200 мкл 50%-ной уксусной кислоты. Контролем служила проба, в которой реакцию останавливали сразу же после добавления к раствору субстрата фермента. За 1 ед. ферментативной активности принимали число мкмоль пара-нитроанилина, образовавшегося в 1 мл раствора за 1 мин.
Анализ субстратной специфичности. Для определения субстратной специфичности использовали следующие хромогенные пептидные субстраты [13]: субстрат плазмина — H-D-Val-Leu-Lys-pNA (S-2251), фактора Xa — Bz-Ile-Glu(γ-OR)-Gly-Arg-pNA (S-2222) и Z-D-Arg-Gly-Arg-pNA (S-2765), урокиназы — pGlu-Gly-Arg-pNA (S-2444), тромбина — Tos-Gly-Pro-Arg-pNA (Chromozym TH) и H-D-Phe-Pip-Arg-pNA (S-2238), тканевого активатора плазминогена — H-D-Ile-Pro-Arg-pNA (S-2288), активированного протеина С — pGlu-Pro-Arg-pNA (S-2366); а также хромогенные субстраты трипсина Bz-Arg-pNA и химотрипсина Ac-Phe-pNA и субстраты с разным сочетанием аминокислот в хромопептиде: Ac-Leu-Gly-Arg-pNA, Z-Ala-Ala-Met-Lys-pNA, Z-Ala-Ala-Phe-Lys-pNA, For-Ala-Phe-Lys-pNA, Z-Gly-Gly-Leu-pNА.
Ингибиторный анализ. Для изучения ингибирования фермента использовали следующие растворы ингибиторов: ингибитор сериновых протеаз фенилметилсульфонилфторид в концентрации 0.3 мг/мл (PMSF), ингибиторы трипсин-подобных протеаз тозиллизилхлорметилкетон (TLCK, 0.4 мг/мл) и соевый ингибитор трипсина (1.1 мг/мл), ингибитор химотрипсин-подобных протеаз тозилфенилаланилхлорметилкетон (TPCK, 0.4 мг/мл), ингибитор цистеиновых протеаз пара-хлормеркурибензоат (CMB, 0.5 мг/мл), ингибитор металлопротеаз ЭДТА (1.1 мг/мл). Фермент инкубировали с раствором ингибитора в течение 2 ч при комнатной температуре в молярном соотношении фермент: ингибитор 1 : 10 и 1 : 100 [14], далее проводили реакцию с субстратом S-2366 по методике, описанной выше. В качестве контроля использовали пробу, в которой фермент инкубировали в течение 2 ч в буферном растворе Трис-HCl, pH 8.2, без ингибитора. Ферментативную активность контрольной пробы принимали за 100%, активности в присутствии ингибиторов выражали в % относительно активности в контрольной пробе.
Определение оптимума активности фермента и его стабильности. Для исследования рН-оптимума использовали 0.4 М универсальный (натрий-ацетат-фосфат-боратный) буфер со значениями рН от 3.0 до 13.0. Определение активности по субстрату S-2366 проводили по методике, описанной выше, заменяя только буферный раствор в реакционной смеси. Для анализа стабильности проводили двухчасовую инкубацию фермента в объеме 200 мкл с 50 мкл 0.1 М универсального буфера в пределах pH от 2.0 до 13.0 при 25°C, после чего добавляли 100 мкл субстрата S-2366 в концентрации 0.5 мг/мл в 0.5 М Трис-HCl буфере, pH 8.2. Реакцию проводили в течение 5 минут и останавливали добавлением 200 мкл 50%-ной уксусной кислоты. Для определения температурного оптимума реакцию проводили при 25, 30, 37, 45, 55, 65°C. Для определения температурной стабильности проводили двухчасовую инкубацию фермента при указанных температурах, а затем проводили реакцию при 37°C по стандартной методике, описанной выше.
РЕЗУЛЬТАТЫ И ИХ ОБСУЖДЕНИЕ
Секретируемую A. tabacinus BEOFB3260m протеазу выделяли из культуральной жидкости, частично очищали с помощью осаждения сульфатом аммония, осажденные белки растворяли и диализовали, а затем лиофильно высушивали. Полученный препарат разделяли методом изоэлектрофокусирования. Протеолитическая активность культуральной жидкости до очистки составляла 83 × 10–3 Е по субстрату активированного протеина С S-2366 и 62 × 10–3 Е по субстрату тромбина Chromozym TH. Полученные значения превышали аналогичные для протеолитических ферментов 7 изученных ранее представителей рода Aspergillus [7], что делает протеазу A. tabacinus перспективным кандидатом для разработки антикоагулянтных препаратов с протеин С-подобной активностью.
После изоэлектрофокусирования была выявлена фракция с наибольшей активностью по отношению к субстратам S-2366 и Chromozym TH. Фракция соответствовала рН 2.9 и области наибольшей оптической плотности при 280 нм (рис. 1, фракции 1–3). Скорее всего, такие значения оптической плотности объясняются не высокой концентрацией белка во фракциях, а поглощением пигмента, присутствие которого было выявлено при визуализации фракций 1–3. Вероятнее всего, исследуемая протеаза A. tabacinus является пигмент-ассоциированным белком. Активность фракции 3 по субстрату S-2366 составила 81 × 10–3 Е, по субстрату Chromozym TH — 69 × 10–3 Е. По результатам изоэлектрофокусирования также был выявлен второй секретируемый протеолитический фермент, неактивный в отношении субстрата Chromozym TH, но активный в отношении S-2366 (рис. 1, фракция 11). Активность этой фракции по субстрату S-2366 составила 42 × 10–3 Е, что ниже, чем соответствующая активность фракции 3, поэтому для дальнейшей работы была выбрана более активная фракция.
Рис. 1. Изоэлектрофокусирование внеклеточных белков культуральной жидкости A. tabacinus BEOFB3260m: 1 — pH, 2 — активность по отношению к субстрату S-2366 (E × 10–3), 3 — A280, 4 — активность по отношению к субстрату Chromozym TH (E × 10–3).
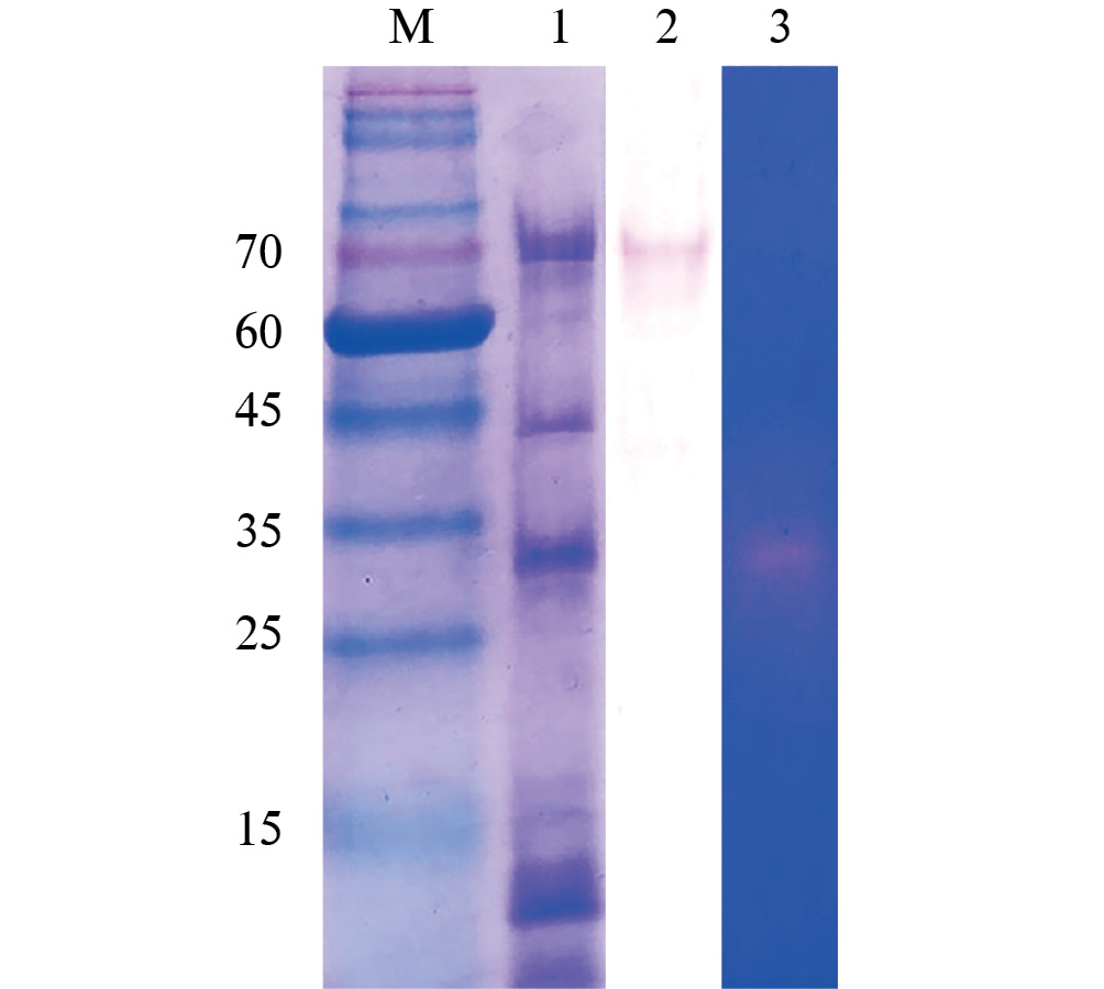
Электрофорез фракции 3 по Лэммли выявил наличие в ней нескольких белков (рис. 2, дорожка 1). Для идентификации протеолитически активного компонента была выполнена казеиновая зимография (рис. 2, дорожка 3), по результатам которой во фракции была найдена единственная протеаза с молекулярной массой около 30 кДа. Так как фракция содержала только один протеолитически активный компонент, все дальнейшие исследования свойств ферментативного препарата проводилось именно с этой фракцией без дополнительной очистки. Выявление гликозилированных белков также проводилось после денатурирующего электрофореза в полиакриламидном геле (рис 2, дорожка 2). Был идентифицирован только один высокомолекулярный гликозилированный белок, не являющийся протеолитически активным. Отсутствие у протеазы A. tabacinus углеводного компонента сближает ее с другими внеклеточными протеазами, продуцируемыми представителями рода Aspergillus [15], а также делает ее перспективным кандидатом для разработки препаратов протеолитических ферментов, так как гетерологичная экспрессия негликозилированных белков является более экономически выгодной.
Рис. 2. Электрофоретический анализ внеклеточной протеазы A. tabacinus в ПААГ с ДСН-Na: М — метчики; 1 — электрофореграмма по Лэммли; 2 — окраска на наличие углеводного компонента; 3 — казеиновая зимограмма.
При анализе субстратной специфичности протеазы A. tabacinus было обнаружено, что фермент неактивен в отношении субстратов трипсин- (Bz-Arg-pNA) и химотрипсин-подобных (Ac-Phe-pNA) протеаз (табл. 1), однако проявлял высокую активность в отношении субстратов белков системы гемостаза: тромбина (Tos-Gly-Pro-Arg-pNA), протеина С (pGlu-Pro-Arg-pNA), плазмина (H-D-Val-Leu-Lys-pNA), фактора Xа (Z-D-Arg-Gly-Arg-pNA). Изучаемый фермент активно расщеплял субстраты, содержащие остаток аргинина в положении Р1 и остаток пролина в положении Р2. При этом замена аминокислотного остатка в положении Р3 могла изменять уровень амидолитической активности более, чем в два раза. Другой группой предпочтительных для фермента субстратов были субстраты, содержащие остаток аргинина в положении Р1 и остаток глицина в положении Р2. В данном случае изменение аминокислотного остатка в положении Р3 также сильно сказывалось на активности. Единственным активно расщепляемым субстратом, содержащим остаток лизина в Р1, являлся H-D-Val-Leu-Lys-pNA. Субстраты, не содержащие в положении Р1 остатков аргинина или лизина, протеазой A. tabacinus не гидролизовались.
Таблица 1. Субстратная специфичность внеклеточной протеазы A. tabacinus
Субстрат | Амидолитическая активность, Е × 10–3 |
Tos-Gly-Pro-Arg-pNA | 69.0 |
pGlu-Pro-Arg-pNA | 81.7 |
H-D-Ile-Pro-Arg-pNA | 24.0 |
pGlu-Gly-Arg-pNA | 33.8 |
Z-D-Arg-Gly-Arg-pNA | 61.6 |
Ac-Leu-Gly-Arg-pNA | 84.1 |
Bz-Ile-Glu(γ-OR)-Gly-Arg-pNA | 9.0 |
H-D-Phe-Pip-Arg-pNA | 11.1 |
Bz-Arg-pNA | 1.5 |
H-D-Val-Leu-Lys-pNA | 75.4 |
Z-Ala-Ala-Met-Lys-pNA | 2.1 |
Z-Ala-Ala-Phe-Lys-pNA | 5.1 |
For-Ala-Phe-Lys-pNA | 5.0 |
Z-Gly-Gly-Leu-pNA | 2.2 |
Ac-Phe-pNA | 1.5 |
Результаты ингибиторного анализа протеазы A. tabacinus во многом подтвердили эксперименты по изучению субстратной специфичности фермента. Так как протеаза микромицета активно расщепляла субстраты активированного протеина С, плазмина, тромбина и фактора Xa, можно предположить, что она относится к тому же классу, что и перечисленные белки, то есть к сериновым протеазам. Зависимое от дозы ингибирование фермента A. tabacinus соевым ингибитором трипсина подтвердило принадлежность изучаемого белка к сериновым протеазам (табл. 2), в то же время фермент не ингибировался классическими ингибиторами цистеиновых и металлопротеаз. Однако универсальный ингибитор сериновых протеаз PMSF не влиял на активность исследуемой протеазы. Возможно, это объясняется структурными особенностями активного центра фермента, так как известны представители сериновых протеаз, активность которых не подавляется PMSF [16, 17]. Вероятно, эти же структурные особенности активного центра объясняют нечувствительность фермента к другому ингибитору трипсин-подобных сериновых протеаз TLCK.
Таблица 2. Ингибиторный анализ протеазы A. tabacinus
Ингибитор | Молярное соотношение фермент: ингибитор | Относительная активность*,% |
PMSF | 1 : 10 | 100 |
1 : 100 | ||
Соевый ингибитор трипсина | 1 : 10 | 34 |
1 : 100 | 10 | |
TLCK | 1 : 10 | 100 |
1 : 100 | ||
TPCK | 1 : 10 | 100 |
1 : 100 | ||
CMB | 1 : 10 | 100 |
1 : 100 | ||
ЭДТА | 1 : 10 | 100 |
1 : 100 |
* За 100% принимали активность в отсутствие ингибиторов.
При исследовании влияния рН реакционной смеси на стабильность и активность протеазы A. tabacinus по отношению к субстрату S-2366 было показано, что фермент стабилен в диапазоне рН от 3 до 12 и проявлял максимальную активность при рН 10 (рис. 3а). При значениях рН 8, 9 и 11 ферментативная активность снижалась не более, чем на 5% от максимальной, а при рН 7 и 12 не более, чем на 15%. Полученные результаты позволили предположить, что исследуемый фермент является щелочной протеазой, что также характерно для других протеаз, секретируемых микромицетами рода Aspergillus [18].
Рис. 3. Влияние рН (а) и температуры (б) на активность (1) и стабильность (2) протеазы A. tabacinus BEOFB3260m.
При исследовании влияния температуры на стабильность и активность протеазы A. tabacinus по отношению к субстрату S-2366 было показано, что фермент стабилен в диапазоне температур от 25 до 37°C и проявлял максимальную активность при температуре 55°C (рис. 3б). Сохранение высокой ферментативной активности при температуре тела человека делает протеазу A. tabacinus перспективным кандидатом для разработки терапевтических препаратов. Максимальная активность фермента проявлялась при нефизиологических температурах, что было описано и для других протеаз микромицетов рода Aspergillus [19]. Следует отметить, что активность при прочих исследованных температурах (30, 37, 45°C) ниже, чем активность при 55°C, но не более чем на 20%.
Протеаза, выделенная из культуральной жидкости A. tabacinus BEOFB3260m, является высоко активным ферментом с протеин С-подобной активностью. Дефицит протеина С связан с тромбозами и другими патологиями гемостаза, так как этот белок является компонентом противосвертывающей системы. В связи с этим протеаза A. tabacinus может быть использована для разработки препаратов заместительной терапии при дефицитах протеина С. Более того, исследуемый фермент обладал также и плазминоподобной активностью, что может означать потенциальную способность протеазы к прямому лизису фибриновых сгустков. Таким образом, изученный фермент, представляющий собой негликозилированную сериновую протеазу массой около 30 кДа, активную при температурах от 25 до 37°C и рН 7–12, может стать новым белковым регулятором системы гемостаза человека.
About the authors
V. N. Lavrenova
Lomonosov Moscow State University
Author for correspondence.
Email: pkviktoria@mail.ru
Faculty of Biology
Russian Federation, Moscow, 119234V. G. Kreyer
Lomonosov Moscow State University
Email: pkviktoria@mail.ru
Faculty of Biology
Russian Federation, Moscow, 119234Z. Savkovic
University of Belgrade
Email: pkviktoria@mail.ru
Faculty of Biology
Serbia, BelgradeA. A. Osmolovskiy
Lomonosov Moscow State University
Email: pkviktoria@mail.ru
Faculty of Biology
Russian Federation, Moscow, 119234References
- Li T., Yuan D., Yuan J. // Adv. Exp. Med. Biol. 2020. V. 1177. P. 101–131.
- Barzkar N., Jahromi S. T., Vianello F. // Mar. Drugs. 2022. V. 20. № 1. P. 46. https://doi.org/10.3390/md20010046
- Zhang S., Wang Y., Zhang N., Sun Z., Shi Y., Cao X., Wang H. // Food Technol. Biotechnol. 2015. V. 53. № 2. P. 243–248.
- Duan Y., Katrolia P., Zhong A., Kopparapu N. K. // Prep. Biochem. Biotechnol. 2022. V. 52. № 9. P. 1008–1018.
- Zhao L., Lin X., Fu J., Zhamg J., Tang W., He Z. // Mar. Drugs. 2022. V. 20. № 6. P. 356. https://doi.org/10.3390/md20060356
- Батомункуева Б. П., Егоров Н. С. // Микробиология. 2001. Т. 70. № 5. С. 602–606.
- Осмоловский А. А., Звонарева Е. С., Крейер В. Г., Баранова Н. А., Егоров Н. С. // Биоорганическая химия. 2014. Т. 40. № 6. С. 688–694.
- Звонарева Е. С., Осмоловский А. А., Крейер В. Г., Баранова Н. А., Котова И. Б., Егоров Н. С. // Биоорганическая химия. 2015. Т. 41. № 5. С. 559–564.
- Laemly U. K. // Nature. 1970. V. 227. № 5259. P. 680–685.
- Hu Y., Yu D., Wang Z., Hou J., Tyagi R., Liang Y., Hu Y. // Scientific Reports. 2019. V. 9. № 9235. https://doi.org/10.1038/s41598-019-45686-y
- Thornton D. J., Carlstedt I., Sheehan J. K. // Methods Mol. Biol. 1994. V. 32. P. 119–128.
- Звонарева Е. С., Осмоловский А. А., Крейер В. Г., Баранова Н. А., Котова И. Б., Егоров Н. С. // Прикл. биохимия и микробиология. 2018. Т. 54. № 2. С. 195–200.
- Proteolytic Enzymes. A practical approach. / Ed. R. Beynon, J. S. Bond. Oxford: Oxford Univ. Press, 2001. 340 p.
- Biaggio R. T., Silva R. R., Rosa N. G., Leite R. S., Arantes E. C., Cabral T. P., Juliano M. A., Juliano L., Cabral H. // Prep. Biochem. Biotechnol. 2016. V. 46. № 3. P. 298–304.
- Осмоловский А. А., Крейер В. Г., Баранова Н. А., Кураков А. В., Егоров Н. С. // Прикл. биохимия микробиология. 2015. Т. 51. № 1. С. 86–92.
- Das A. K., Bellizzi J. J., Tandel S., Biehl E., Clardy J., Hofmann S. L. // J. Biol. Chem. 2000. V. 275. № 31. P. 23847–23851.
- Richmond G. S., Smith T. K. // Biochem. J. 2007. V. 405. № 2. P. 319–329.
- Chakrabarti S. K., Matsumura N., Ranu R. S. // Curr. Microbiol. 2000. V. 40. № 4. P. 239–244.
- Звонарева Е. С., Осмоловский А. А., Баранова Н. А., Котова И. Б., Крейер В. Г. // Прикл. биохимия и микробиология. 2023. Т. 59. № 4. С. 369–375.
Supplementary files





