Новый Ni2+-аффинный вариант eGFP со свободными C- и N-концами
- Авторы: Тарабарова А.Г.1, Юркова М.С.1, Федоров А.Н.1
-
Учреждения:
- Федеральный исследовательский центр “Фундаментальные основы биотехнологии” Российской академии наук
- Выпуск: Том 59, № 6 (2023)
- Страницы: 614-621
- Раздел: Статьи
- URL: https://bakhtiniada.ru/0555-1099/article/view/232499
- DOI: https://doi.org/10.31857/S0555109923060193
- EDN: https://elibrary.ru/CXYUQZ
- ID: 232499
Цитировать
Полный текст
Аннотация
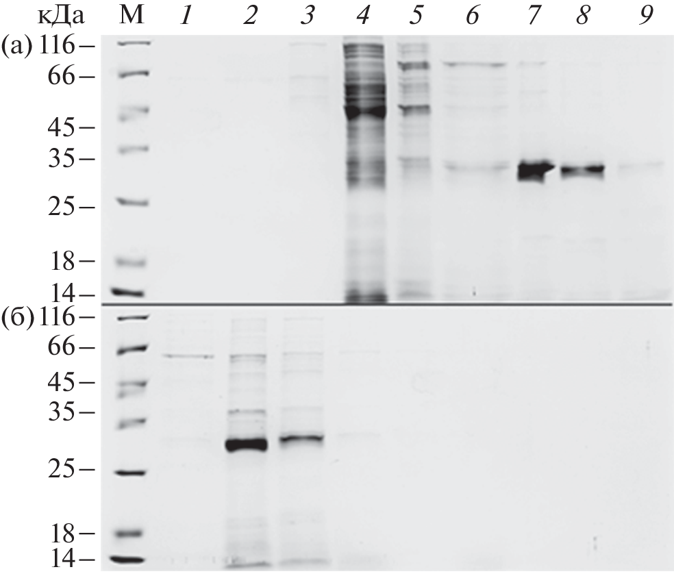
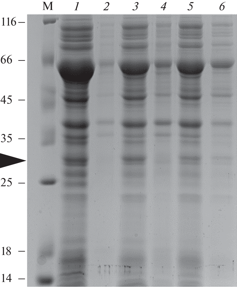
Работа посвящена получению зеленого флуоресцентного белка eGFP с Гис-меткой, введенной в состав полипептидной цепи. В результате получен белок eGFP157_7H со встроенной Гис-меткой и свободными N- и С-концами для последующего получения слитых белков. Добавленная Гис-метка позволит проводить очистку конструкций с eGFP методом металл-хелатной аффинной хроматографии в нативных условиях. Полученный вариант eGFP157_7H сохранил флуоресцентные свойства полностью соответствующими исходному варианту eGFP.
Ключевые слова
Об авторах
А. Г. Тарабарова
Федеральный исследовательский центр “Фундаментальные основы биотехнологии”Российской академии наук
Автор, ответственный за переписку.
Email: tarabarovan@yandex.ru
Россия, 119071, Москва
М. С. Юркова
Федеральный исследовательский центр “Фундаментальные основы биотехнологии”Российской академии наук
Email: tarabarovan@yandex.ru
Россия, 119071, Москва
А. Н. Федоров
Федеральный исследовательский центр “Фундаментальные основы биотехнологии”Российской академии наук
Email: tarabarovan@yandex.ru
Россия, 119071, Москва
Список литературы
- Heger T., Stock C., Laursen M. J., Habeck M., Dieudonné T., Nissen P. In: Methods in Molecular Biology. Advanced Methods in Structural Biology. / Ed. Â. Sousa, L. Passarinha. N.Y.: Springer US, 2023. P. 171–186.
- Le Bail A., Schulmeister S., Perroud P.-F., Ntefidou M., Rensing S.A., Kost B. // Front. Plant Sci. 2019. V. 10. P. 456.
- Xiang X., Li C., Chen X., Dou H., Li Y., Zhang X., Luo Y., Xiang X. // Methods in Mol. Biol. 2019. P. 255–269. https://doi.org/10.1007/978-1-4939-9170-9_16
- Nakamura S., Fu N., Kondo K., Wakabayashi K.-I., Hisabori T., Sugiura K. // J. Biol. Chem. 2021. V. 296. P. 100134. https://doi.org/10.1074/jbc.RA120.016847
- Barnard E., Timson D.J. In: Methods in Molecular Biology. Molecular and Cell Biology Methods for Fungi. / Ed. A. Sharon. Totowa. N.J.: Humana Press, 2010. V. 638. P. 303–317. https://doi.org/10.1007/978-1-60761-611-5_23
- Pedelacq J.-D., Waldo G.S., Cabantous S. // Methods Mol. Biol. 2019. V. 2025. P. 423–437.
- Alam S.R., Mahadevan M.S., Periasamy A. // Current Protocols. 2023. V. 3. P. e689. https://doi.org/10.1002/cpz1.689
- Nilsson J., Ståhl S., Lundeberg J., Uhlén M., Nygren P.-åke // Protein Exp. Purif. 1997. V. 11. P. 1–16.
- Booth W.T., Schlachter C.R., Pote S., Ussin N., Mank N.J., Klapper V. et al. // ACS Omega. 2018. V. 3. P. 760–768.
- Hochuli E. // J. Chromatogr. 1988. V. 444. P. 293–302.
- Knecht S., Ricklin D., Eberle A. N., Ernst B. // J. Mol. Recognit. 2009. V. 22. P. 270–279. https://doi.org/10.1002/jmr.941
- Chung Y.H., Volckaert B.A., Steinmetz N.F. // Bioconjugate Chem. 2023. V. 34. P. 269–278.
- Hu Y.-C., Tsai C.-T., Chung Y.-C., Lu J.-T., Hsu J.T.-A. // Enzyme and Microb. Technol. 2003. V. 33. P. 445–452.
- Jiang C., Wechuck J.B., Goins W.F., Krisky D.M., Wolfe D., Ataai M.M., Glorioso J.C. // J. Virology. 2004. V. 78. № 17. P. 8994–9006. https://doi.org/10.1128/JVI.78.17.8994-9006.2004
- Biswal J.K., Bisht P., Subramaniam S., Ranjan R., Sharma G.K., Pattnaik B. // Biologicals. 2015. V. 43. C. 390–398.
- Ye K., Jin S., Ataai M.M., Schultz J.S., Ibeh J. // J. Virology. 2004. V. 78. P. 9820–9827.
- Opitz L., Hohlweg J., Reichl U., Wolff M.W. // J. Virol. Methods. 2009. V. 161. P. 312–316.
- Cheeks M.C., Kamal N., Sorrell A., Darling D., Farzaneh F., Slater N.K.H. // J. Chromatogr. A. 2009. V. 1216. P. 2705–2711.
- Fan J. Xiao P., Kong D., Liu X., Meng L., An T. et al. // Vaccines. 2022. V. 10. P. 170. https://doi.org/10.3390/vaccines10020170
- Paul D.M., Beuron F., Sessions R.B., Brancaccio A., Bigotti M.G. // Sci Rep. V. 6. P. 20696. https://doi.org/10.1038/srep20696
- Edelheit O., Hanukoglu A., Hanukoglu I. // BMC Biotechnol. 2009. V. 9. P. 61. https://doi.org/10.1186/1472-6750-9-61
- Miles A.J., Ramalli S.G., Wallace B.A. // Protein Sci. 2022. V. 31. P. 37–46.
- Drew E.D., Janes R.W. // Nucleic Acids Res. 2020. V. 48. P. W17–W24. https://doi.org/10.1093/nar/gkaa296
- Mamontova A.V., Shakhov A.M., Lukyanov K.A., Bogdanov A.M // Biomolecules. 2020. V. 10. № 11. P. 1547. https://doi.org/10.3390/biom10111547
- Arpino J.A.J., Reddington S.C., Halliwell L.M., Rizkallah P.J., Jones D.D. // Structure. 2014. V. 22. P. 889–898.
- Chiang C.-F., Okou D.T., Griffin T.B., Verret C.R., Williams M.N.V. // Arch. Biochem. Biophys. 2001. V. 394. P. 229–235.
- Leibly D.J., Arbing A.M., Pashkov I., DeVore N., Waldo G.S., Terwilliger TC., Yeates T.O. // Structure. 2015. V. 23. P. 1754–1768.
- Williams D.E., Williams D.E., Dolgopolova E.A., Pellechia P.J., Palukoshka A., Wilson T.J. et al. // J. Am. Chem. Soc. 2015. V. 137. P. 2223–2226.
- Zimmer M. // Chem. Rev. 2002. V. 102. P. 759–782.
- Hovmöller S., Zhou T., Ohlson T. // Acta Cryst D. 2002. V. 58. P. 768–776.
- Pettersen E.F., Goddard T.D., Huang C.C., Couch G.S., Greenblatt D.M., Meng E.C., Ferrin T.E. // J. Comput. Chem. 2004. V. 25. P. 1605–1612.
Дополнительные файлы








