Создание продуцента рекомбинантной универсальной пероксидазы VP2 Trametes hirsuta в Penicillium canescens
- Авторы: Савинова О.С.1, Чулкин А.М.1, Моисеенко К.В.1, Федорова Т.В.1
-
Учреждения:
- Институт биохимии им. А.Н. Баха, Федеральный исследовательский центр “Фундаментальные основы биотехнологии” Российской академии наук
- Выпуск: Том 59, № 6 (2023)
- Страницы: 605-613
- Раздел: Статьи
- URL: https://bakhtiniada.ru/0555-1099/article/view/232497
- DOI: https://doi.org/10.31857/S0555109923060120
- EDN: https://elibrary.ru/CJQZRR
- ID: 232497
Цитировать
Полный текст
Аннотация
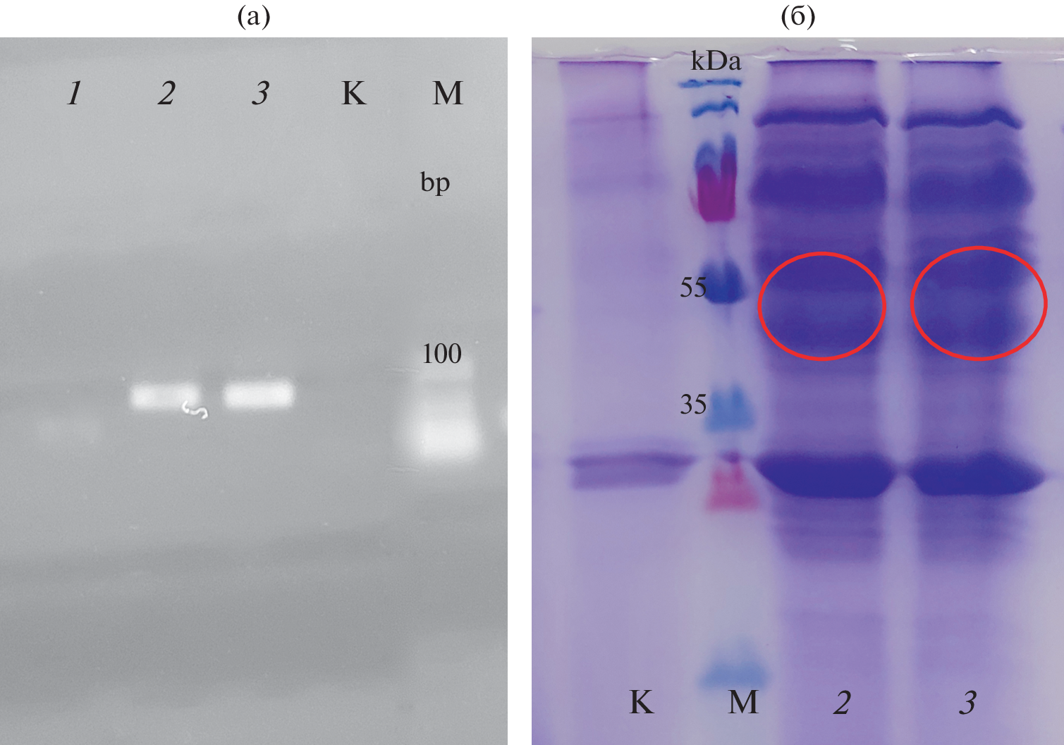
Интерес к пероксидазам секретируемого ферментного комплекса базидиальных грибов обусловлен их широкой субстратной специфичностью и способностью участвовать в процессе биодеградации таких трудно деградируемых биополимеров, как лигнин. Однако из-за сложности выделения этих ферментов из нативных источников, их изучение затруднено. В работе были получены экспрессионные вектора, несущие последовательность, кодирующую универсальную пероксидазу VP2 T. hirsuta LE-BIN072, которые были трансформированы в геном штамма P. canescens. Скрининг трансформантов показал наличие пероксидазной активности до 1 ед./мл. Целевой белок идентифицирован в культуральной жидкости отобранных трансформантов методом масс-спектрометрического анализа. Впервые получен новый штамм P. canescens pVP2D-6 – продуцент рекомбинантной универсальной пероксидазы VP2 T. hirsuta LE-BIN072 и показана способность секретируемого им ферментного комплекса к модификации щелочного лигнина.
Об авторах
О. С. Савинова
Институт биохимии им. А.Н. Баха, Федеральный исследовательский центр“Фундаментальные основы биотехнологии” Российской академии наук
Автор, ответственный за переписку.
Email: savinova_os@rambler.ru
Россия, 119071, Москва
А. М. Чулкин
Институт биохимии им. А.Н. Баха, Федеральный исследовательский центр“Фундаментальные основы биотехнологии” Российской академии наук
Email: savinova_os@rambler.ru
Россия, 119071, Москва
К. В. Моисеенко
Институт биохимии им. А.Н. Баха, Федеральный исследовательский центр“Фундаментальные основы биотехнологии” Российской академии наук
Email: savinova_os@rambler.ru
Россия, 119071, Москва
Т. В. Федорова
Институт биохимии им. А.Н. Баха, Федеральный исследовательский центр“Фундаментальные основы биотехнологии” Российской академии наук
Email: savinova_os@rambler.ru
Россия, 119071, Москва
Список литературы
- Ponnusamy V.K., Nguyen D.D., Dharmaraja J., Shobana S., Banu J.R., Saratale R.G. et al. // Bioresour. Technol. 2019. V. 271. P. 462–472. https://doi.org/10.1016/j.biortech.2018.09.070
- Biko O. D.V., Viljoen-Bloom M., van Zyl W. H. // Enzyme Microb. 2021. V. 141, 109669. https://doi.org/10.1016/j.enzmictec.2020.109669
- Kainthola J., Podder A., Fechner M., Goel R. // Bioresour. Technol. 2021. V. 321. 124397. https://doi.org/10.1016/j.biortech.2020.124397
- Abbas A., Koc H., Liu F., Tien M. // Curr Genet. 2005. V. 47. P. 49–56. https://doi.org/10.1007/s00294-004-0550-4
- Dashtban M., Schraft H., Syed T.A., Qin W. // Int. J. Biochem. Mol. Biol. 2010. V. 1. P. 36–50.
- Zhang S., Xiao J., Wanga G., Chen G. // Bioresour. Technol. 2020. V. 304. 122975. https://doi.org/10.1016/j.biortech.2020.122975
- Liers C., Aranda E., Strittmatter E., Piontek K., Plattner D.A., Zorn H. et al. // J. Mol. Catal. B Enzym. 2014. V. 103. P. 41–46. https://doi.org/10.1016/j.molcatb.2013.09.025
- Moiseenko K.V., Glazunova O.A., Savinova O.S., Vasina D.V., Zherebker A.Ya., Kulikova N.A. et al. // Bioresour. Technol. 2021. V. 335. 125229. https://doi.org/10.1016/j.biortech.2021.125229
- Vasina D.V., Moiseenko K.V., Fedorova T.V., Tyazhelova T.V. // PLoS ONE. 2017. V. 12. № 3. e0173813. https://doi.org/10.1371/journal.pone.0173813
- Savinova O.S., Shabaev A.V., Glazunova O.A., Moiseenko K.V., Fedorova T.V. // Appl. Biochem. Microbiol. 2022. V. 58. Suppl. 1. P. S113–S125.
- Fernández-Fueyo E., Ruiz-Dueñas F.J., Martínez M.J., Romero A., Hammel K.E., Medrano F.J., Martínez A.T. // Biotechnol. Biofuels. 2014. V. 7. № 2. https://doi.org/10.1186/1754-6834-7-2
- Ruiz-Duenas F.J., Morales M., Garcia E., Miki Y., Martinez M.J., Martinez A.T. // J. Exp. Bot. 2009. V. 60. № 2. P. 441–452. https://doi.org/10.1093/jxb/ern261
- Rodakiewicz-Nowak J., Jarosz-Wilkolazka A., Luterek J. // Applied Catalysis A: General. 2006. V. 308. P. 56–61.
- Perez-Boada M., Doyle W.A., Ruiz-Duenas F.J., Martinez M.J., Martinez A.T. // Enzyme Microb. Technol. 2002. V. 30. P. 518–524.
- Majekea B.M., García-Aparicioa M., Biko O.D, Viljoen-Bloom M., van Zyl W.H., Görgensa J.F. // Enzyme Microb. 2020. V. 139. 109593.https://doi.org/10.1016/j.enzmictec.2020.109593
- Stewart P., Whitwam R. E., Kersten P. J., Cullen D., Tien M. // Appl. Environ. Microbiol. 1996. V. 62. № 3. P. 860–864. https://doi.org/10.1128/aem.62.3.860-864.1996
- Sugano Y., Nakano R., Sasaki K., Shoda M. // Physiology and Biotechnology. 2000. V. 66. № 4. https://doi.org/10.1128/AEM.66.4.1754-1758.2000
- Chekushina A.V., Dotsenko G.S., Sinitsyn A.P. // Catalysis in Industry. 2013. V. 5 № 1. P. 98–104. https://doi.org/10.1134/S2070050413010042
- Savinova O.S., Moiseenko K.V., Vavilova E.A., Tyazhelova T.V., Vasina D.V. // Biochimie. 2017. V. 142. P. 183–190. https://doi.org/10.1016/j.biochi.2017.09.013
- Savinova O.S., Moiseenko K.V., Vavilova E.A., Chulkin A.M., Fedorova T.V., Tyazhelova T.V., Vasina D.V. // Front. Microbiol. 2019. V. 10. 152. https://doi.org/10.3389/fmicb.2019.00152
- Abyanova A.R., Chulkin A.M., Vavilova E.A., Fedorova T.V., Loginov D.S., Koroleva O.V., Benevolensky S.V. // Appl. Biochem. Microbiol. 2010. V. 46. № 3. P. 313–317.
- Aleksenko A.Y., Makarova N.A., Nikolaev I.V., Clutterbuck A.J. // Curr. Genet. 1995. V. 28. P. 474–478.
- Чулкин А.М., Логинов Д.С., Вавилова Е.А., Абянова А.Р., Зоров И.Н., Курзеев С.А., Королева О.В., Беневоленский С.В. // Прикл. биохимия и микробиология. 2009. Т. 45. № 2. С. 163–170.
- Fraczek M.G., Zhao C., Dineen L., Lebedinec R., Bowyer P., Bromley D., Delneri M. Current Protocols in Microbiology. 2019. V. 54. e89. https://doi.org/10.1002/cpmc.89
- Unkles S.E., Campbell E.I., Punt P.J., Hawker K.L., Contreras R., Hawkins A.R. et al. // Gene. 1992. V. 111. № 2. P. 149–155.
- Shabaev A.V., Moiseenko K.V., Glazunova O.A., Savinova O.S., Fedorova T.V. // Int. J. Mol. Sci. 2022. V. 23. № 10322. https://doi.org/10.3390/ ijms231810322
- Лисов А.В., Заварзина А.Г., Белова О.В., Леонтьевский А.А. // Микробиология. 2020. Т. 89. № 3. С. 300–307. https://doi.org/10.31857/S0026365620030118
- Sinitsyn A.P., Rozhkova A.M. Microorganisms in Biorefineries. Penicillium canescens Host as the Platform for Development of a New Recombinant Strain Producers of Carbohydrases. / Ed. B. Kamm Berlin, Heidelberg: Springer-Verlag, 2015. V. 26. P. 1–19.
- Королева О.В., Федорова Т.В., Беневоленский С.В., Вавилова Е.А., Чулкин А.М. // Патент РФ. 2015. № 2538149.
- Айзенштадт М.А., Боголицын К.Г. // Химия растительного сырья. 2009. № 2. С. 5–18.
- Ruwoldt J., Tanase-Opedal M., Syverud K. // ACS Omega. 2022. V. 7. P. 46371–46383.https://doi.org/10.1021/acsomega.2c04982
- Sadeghifar H., Ragauskas A. // Polymers. 2020. V. 12. № 5. P. 1134. https://doi.org/10.3390/polym12051134
- Lara M.A., Rodriguez-Malaver A.J., Rojas O.J., Holmquist O., Gonzalez A.M., Bullon J., Penaloza N., Araujo E. // International Biodeterioration & Biodegradation. 2003. V. 52. P. 167–173. https://doi.org/10.1016/S0964-8305(03)00055-6
- Amara S., Perrot T., Navarro D., Deroy A., Benkhelfallah A., Chalak A. et al. // Appl. Environ. Microbiol. 2018. V. 84. e02826-17. https://doi.org/10.1128/AEM.02826-17
- Sáez-Jiménez V., Rencoret J., Rodríguez-Carvajal M.A., Gutiérrez A., Ruiz-Dueñas F.J., Martínez A.T. // Biotechnol Biofuels. 2016. V. 9. P. 198. doi.org/https://doi.org/10.1186/s13068-016-0615-x
- Silva D., Sousa A.C., Robalo M.P., Martins L.O. // New Biotechnology. 2022. https://doi.org/10.1016/j.nbt.2022.12.003
- Moiseenko K.V., Glazunova O.A., Savinova O.S., Vasina D.V., Zherebker A.Ya., Kulikova N.A., Nikolaev E.N., Fedorova T.V. // Bioresour. Technol. 2021. V. 335. 125229. https://doi.org/10.1016/j.biortech.2021.125229
Дополнительные файлы







