Properties of Extracellular Proteinase – Activator of Blood Plasma Prekallikrein Produced by Micromycetes Aspergillus terreus 2
- Authors: Zvonareva E.S.1, Osmolovskiy A.A.1, Baranova N.A.1, Kotova I.B.1, Kreyer V.G.1
-
Affiliations:
- Faculty of Biology, Lomonosov Moscow State University
- Issue: Vol 59, No 4 (2023)
- Pages: 369-375
- Section: Articles
- URL: https://bakhtiniada.ru/0555-1099/article/view/138792
- DOI: https://doi.org/10.31857/S0555109923040207
- EDN: https://elibrary.ru/QZVABD
- ID: 138792
Cite item
Full Text
Abstract
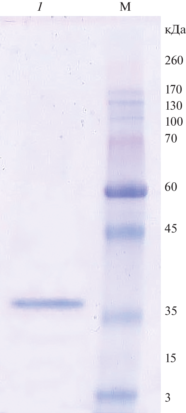
The extracellular proteinase – activator of human plasma prekallikrein was isolated from the culture fluid of the micromycete A. terreus 2, and their physicochemical, kinetic and biochemical properties were studied. It has been established that A. terreus 2 extracellular proteinase is a glycosylated serine proteinase with an isoelectric point of 4.6, molecular weight about 37 kDa and the optimum activity at pH 10.0 and a temperature of 37°C. In a number of properties, this proteinase is similar to proteinase – activator of protein C, which is produced by the micromycete A. ochraceus L-1.
About the authors
E. S. Zvonareva
Faculty of Biology, Lomonosov Moscow State University
Email: aosmol@mail.ru
Russia, 119234, Moscow,
A. A. Osmolovskiy
Faculty of Biology, Lomonosov Moscow State University
Author for correspondence.
Email: aosmol@mail.ru
Russia, 119234, Moscow,
N. A. Baranova
Faculty of Biology, Lomonosov Moscow State University
Email: aosmol@mail.ru
Russia, 119234, Moscow,
I. B. Kotova
Faculty of Biology, Lomonosov Moscow State University
Email: aosmol@mail.ru
Russia, 119234, Moscow,
V. G. Kreyer
Faculty of Biology, Lomonosov Moscow State University
Email: aosmol@mail.ru
Russia, 119234, Moscow,
References
- Осмоловский А.А., Крейер В.Г., Баранова Н.А., Егоров Н.С. // Успехи современной биологии. 2021. Т. 141. № 5. С. 467–482.
- Sharma C., Osmolovskiy A., Singh R. // Pharmaceutics. 2021. V. 13. № 11. A. 1880. https://doi.org/10.3390/pharmaceutics13111880
- Diwan D., Usmani Z., Sharma M., Nelson J.W., Thakur V.K., Christie G., Molina G., Gupta V.K. // Int. J. Molec. Sci. 2021. V. 22. № 19. A. 10468. https://doi.org/10.3390/ijms221910468
- Chung D., Yu W.-J., Lim J.-Y., Kang N.-S., Kwon Y.-M., Choi G., Bae S.-S., Cho K., Lee D.-S. // Microorganisms. 2022. V. 10. № 1. A. 29. https://doi.org/10.3390/microorganisms10010029
- Лукьянова А.А., Корниенко Е.И., Виган П.А., Крейер В.Г., Кураков А.В., Осмоловский А.А. // Вестник Моск. ун-та. Сер. 16. Биол. 2020. Т. 75. № 1. С. 37–42.
- Осмоловский А.А., Шаш Б., Александрова А.В., Баранова Н.А., Крейер В.Г. // Вестн. Моск. ун-та. Сер. 16. Биология. 2022. Т. 77. № 2. С. 138–144.
- Осмоловский А.А., Звонарева Е.С., Крейер В.Г., Баранова Н.А., Егоров Н.С. // Вестник Моск. ун-та. Сер. 16. Биол. 2018. Т. 73. № 1. С. 47–51.
- Waheed H., Moin S.F., Choudhary M.I. // Curr. Med. Chem. 2017. V. 24. № 17. P. 1874–1891.
- Osmolovskiy A.A., Schmidt L., Orekhova A.V., Komarevtsev S.K., Kreyer V.G., Shabunin S.V., Egorov N.S. // Life. 2021. V. 11. A. 782. https://doi.org/10.3390/life11080782
- Осмоловский А.А., Крейер В.Г., Баранова Н.А., Кураков А.В., Егоров Н.С. // Прикл. биохимия микробиология. 2015. Т. 51. № 1. С. 86–92.
- Осмоловский А.А., Звонарева Е.С., Крейер В.Г., Баранова Н.А., Егоров Н.С. // Биоорганическая химия. 2014. Т. 40. № 6. С. 688–694.
- Звонарева Е.С., Осмоловский А.А., Крейер В.Г., Баранова Н.А., Котова И.Б., Егоров Н.С. // Биоорганическая химия. 2015. Т. 41. № 5. С. 559–564.
- Звонарева Е.С., Осмоловский А.А., Крейер В.Г., Баранова Н.А., Котова И.Б., Егоров Н.С. // Прикл. биохимия и микробиология. 2018. Т. 54. № 2. С. 195–200.
- Chakrabarti S.K., Matsumura N., Ranu R.S. // Curr. Microbiol. 2000. V. 40. № 4. P. 239–244.
- Biaggio R.T., Silva R.R., Rosa N.G., Leite R.S., Arantes E.C., Cabral T.P., Juliano M.A., Juliano L., Cabral H. // Prep. Biochem. Biotechnol. 2016. V. 46. № 3. P. 298–304.
- de Lima E.E., Franco D.G., Galeano R.M.S., Guimarães N.C.A., Masui D.C., Giannesi G.C., Zanoelo F.F. // Prep. Biochem. Biotechnol. 2021. V. 51. № 4. P. 320–330.
- Осмоловский А.А., Звонарева Е.С., Крейер В.Г., Баранова Н.А., Котова И.Б. Егоров Н.С. // Микология и фитопатология. 2021. Т. 55. № 3. С. 225–228.
- Батомункуева Б.П., Егоров Н.С. // Микробиология. 2001. Т. 70. № 5. С. 602–606.
- Gertler A., Trop M. // Eur. J. Biochem. 1971. V. 19. № 1. P. 90–96.
- Осмоловский А.А., Крейер В.Г., Баранова Н.А., Кураков А.В., Егоров Н.С. // Прикл. биохимия микробиология. 2015. Т. 51. № 1. С. 86–92.
- Осмоловский А.А., Крейер В.Г., Баранова Н.А., Егоров Н.С. // Прикл. биохимия микробиология. 2017. Т. 53. № 4. С. 373–379.
Supplementary files






