Production of Soluble Human Gamma Interferon in the Escherichia coli Expression System with a Decrease in Cultivation Temperature

Cover Page

Cite item

Full Text

Abstract

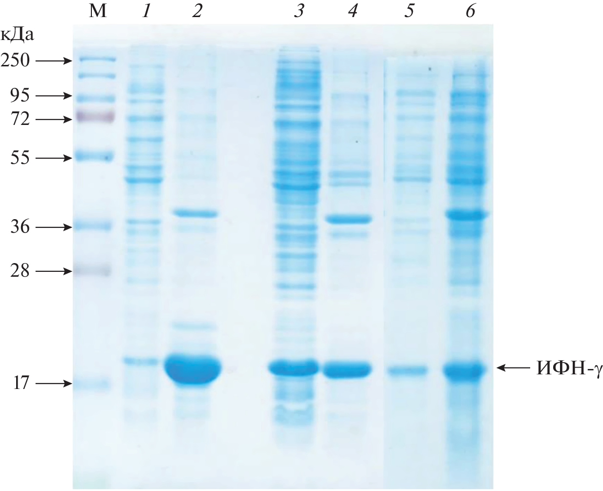
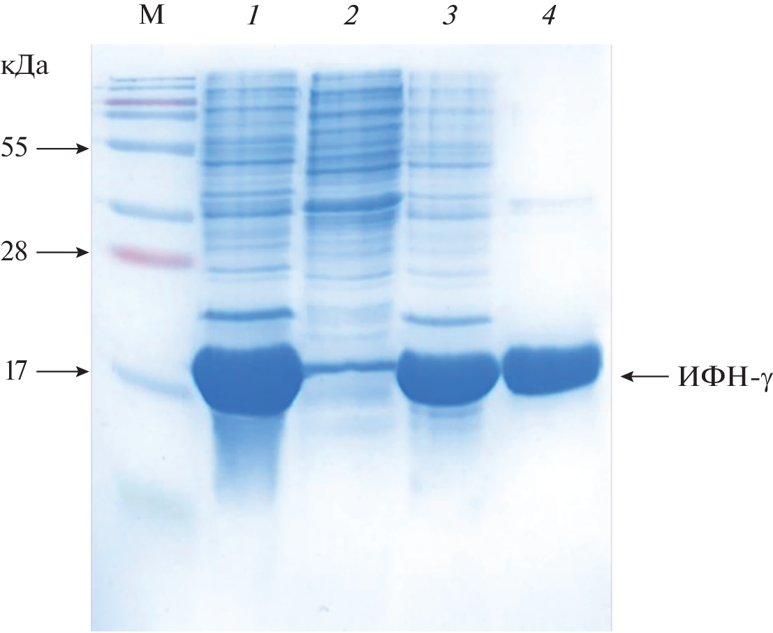
A recombinant strain producing human gamma interferon (IFN-γ) E. coli BL 21/pET-IFN-γ was constructed, providing a high level of its expression. A method has been developed for obtaining a soluble form of recombinant IFN-γ, consisting of the processes of producing a biomass of a producer strain containing a target protein in an amount of 32–37% of the total content of cellular proteins, protein isolation and purification. The purification process included the stages of disintegration, clarification of the cell lysate, chromatographic purification and dialysis. The developed method makes it possible to obtain from 1 g of wet biomass up to 5 mg of the drug with a purity of at least 95% and high specific (antiviral) activity.

About the authors

E. A. Volosnikova

State Research Center of Virology and Biotechnology “Vector”

Author for correspondence.
Email: volosnikova_ea@vector.nsc.ru
Russia, 630559, Novosibirsk Region, Koltsovo

T. I. Esina

State Research Center of Virology and Biotechnology “Vector”

Email: volosnikova_ea@vector.nsc.ru
Russia, 630559, Novosibirsk Region, Koltsovo

D. N. Shcherbakov

State Research Center of Virology and Biotechnology “Vector”

Email: volosnikova_ea@vector.nsc.ru
Russia, 630559, Novosibirsk Region, Koltsovo

N. V. Volkova

State Research Center of Virology and Biotechnology “Vector”

Email: volosnikova_ea@vector.nsc.ru
Russia, 630559, Novosibirsk Region, Koltsovo

Ya. S. Gogina

State Research Center of Virology and Biotechnology “Vector”

Email: volosnikova_ea@vector.nsc.ru
Russia, 630559, Novosibirsk Region, Koltsovo

T. A. Tereshchenko

State Research Center of Virology and Biotechnology “Vector”

Email: volosnikova_ea@vector.nsc.ru
Russia, 630559, Novosibirsk Region, Koltsovo

E. D. Danilenko

State Research Center of Virology and Biotechnology “Vector”

Email: volosnikova_ea@vector.nsc.ru
Russia, 630559, Novosibirsk Region, Koltsovo

References

  1. Pandey R., Prabhu A.A., Dasu V.V. // Separation Science and Technology. 2018. V. 53. № 3. P. 487–495. https://doi.org/10.1080/01496395.2017.1395463
  2. Razaghi A., Owens L., Heimann K. // J. Biotechnol. 2016. V. 240. P. 48–60. https://doi.org/10.1016/j.jbiotec.2016.10.022
  3. Khalilzadeh R., Shojaosadati S.A., Bahrami A., Maghsoudi N. // Biotechnology Letters. 2003. V. 25. № 23. P. 1989–1992. https://doi.org/10.1023/b:bile.0000004390.98648.25
  4. Rosano G.L., Ceccarelli E.A. // Front. Microbiol. 2014. V. 5. P. 172. https://doi.org/10.3389/fmicb.2014.00172
  5. Malhotra A. // Methods in Enzymol. 2009. V. 463. P. 239–258. https://doi.org/10.1016/S0076-6879(09)63016-0
  6. Leibly D.J., Nguyen T.N., Kao L.T., Hewitt S.N., Barrett L.K., Van Voorhis W.C. // PlOS ONE. 2012. V. 7. №. 12. P. e52482. https://doi.org/10.1371/journal.pone.0052482
  7. Tileva M., Krachmarova E., Ivanov I., Maskos K., Nacheva G. // Protein Expr. Purif. 2016. V. 117. P. 26–34. https://doi.org/10.1016/j.pep.2015.09.022
  8. Государственная фармакопея РФ XIV изд. Т.2. ОФС.1.7.2.0002.15 Биологические методы испытания препаратов интерферона с использованием культур клеток. С. 2740–2749. https://femb.ru/record/pharmacopea14
  9. Хайруллин Р.Ф. Экспрессия рекомбинантных белков в E. coli: учебн. пособие. / Ред. Р.Ф. Хайруллин, Р.Г. Киямова, А.А. Ризванов. Казань: Изд-во Казанского ун-та, 2018. 142 с.
  10. Закабунин А.И., Барановская Г.А., Пустошилова Н.М., Майстренко В.Ф., Гаврюченкова Л.П., Громова О.А. Способ получения рекомбинантного интерферона – гамма человека. Патент РФ. 1999. № 2132386.

Supplementary files

Supplementary Files
Action
1. JATS XML
2.

Download (117KB)
3.

Download (466KB)
4.

Download (331KB)

Copyright (c) 2023 Е.А. Волосникова, Т.И. Есина, Д.Н. Щербаков, Н.В. Волкова, Я.С. Гогина, Т.А. Терещенко, Е.Д. Даниленко

Согласие на обработку персональных данных с помощью сервиса «Яндекс.Метрика»

1. Я (далее – «Пользователь» или «Субъект персональных данных»), осуществляя использование сайта https://journals.rcsi.science/ (далее – «Сайт»), подтверждая свою полную дееспособность даю согласие на обработку персональных данных с использованием средств автоматизации Оператору - федеральному государственному бюджетному учреждению «Российский центр научной информации» (РЦНИ), далее – «Оператор», расположенному по адресу: 119991, г. Москва, Ленинский просп., д.32А, со следующими условиями.

2. Категории обрабатываемых данных: файлы «cookies» (куки-файлы). Файлы «cookie» – это небольшой текстовый файл, который веб-сервер может хранить в браузере Пользователя. Данные файлы веб-сервер загружает на устройство Пользователя при посещении им Сайта. При каждом следующем посещении Пользователем Сайта «cookie» файлы отправляются на Сайт Оператора. Данные файлы позволяют Сайту распознавать устройство Пользователя. Содержимое такого файла может как относиться, так и не относиться к персональным данным, в зависимости от того, содержит ли такой файл персональные данные или содержит обезличенные технические данные.

3. Цель обработки персональных данных: анализ пользовательской активности с помощью сервиса «Яндекс.Метрика».

4. Категории субъектов персональных данных: все Пользователи Сайта, которые дали согласие на обработку файлов «cookie».

5. Способы обработки: сбор, запись, систематизация, накопление, хранение, уточнение (обновление, изменение), извлечение, использование, передача (доступ, предоставление), блокирование, удаление, уничтожение персональных данных.

6. Срок обработки и хранения: до получения от Субъекта персональных данных требования о прекращении обработки/отзыва согласия.

7. Способ отзыва: заявление об отзыве в письменном виде путём его направления на адрес электронной почты Оператора: info@rcsi.science или путем письменного обращения по юридическому адресу: 119991, г. Москва, Ленинский просп., д.32А

8. Субъект персональных данных вправе запретить своему оборудованию прием этих данных или ограничить прием этих данных. При отказе от получения таких данных или при ограничении приема данных некоторые функции Сайта могут работать некорректно. Субъект персональных данных обязуется сам настроить свое оборудование таким способом, чтобы оно обеспечивало адекватный его желаниям режим работы и уровень защиты данных файлов «cookie», Оператор не предоставляет технологических и правовых консультаций на темы подобного характера.

9. Порядок уничтожения персональных данных при достижении цели их обработки или при наступлении иных законных оснований определяется Оператором в соответствии с законодательством Российской Федерации.

10. Я согласен/согласна квалифицировать в качестве своей простой электронной подписи под настоящим Согласием и под Политикой обработки персональных данных выполнение мною следующего действия на сайте: https://journals.rcsi.science/ нажатие мною на интерфейсе с текстом: «Сайт использует сервис «Яндекс.Метрика» (который использует файлы «cookie») на элемент с текстом «Принять и продолжить».