Multiplex real-time PCR for detection of qac A/B and smr genes in Gram-positive bacteria
- Authors: Kovalchuk S.N.1, Arkhipova A.L.1, Kovylkova S.Y.1, Ilina E.N.1, Fedorova L.S.1
-
Affiliations:
- Research Institute for Systems Biology and Medicine
- Issue: Vol 101, No 5 (2024)
- Pages: 692-698
- Section: SCIENCE AND PRACTICE
- URL: https://bakhtiniada.ru/0372-9311/article/view/276643
- DOI: https://doi.org/10.36233/0372-9311-574
- EDN: https://elibrary.ru/ubbcnj
- ID: 276643
Cite item
Abstract
Background. Disinfectants are effective means of non-specific prevention of infections associated with the provision of medical care. Violation of disinfectant use regimes leads to the formation of microorganism resistance to them. To monitor the spread of clinically significant microorganisms resistant to disinfectants, the development of methods for their detection, including molecular genetic methods, remains relevant.
The aim of the study was to develop a multiplex real-time PCR for the identification of qacA/B and smr genes, the determinants of resistance to cationic biocides, in Gram-positive bacteria.
Materials and methods. Conserved regions of qacA, qacB and smr genes were searched, and primers and probes were designed using BLASTN, GeneRunner, and Multiple Primer Analyzer programs. To evaluate the analytical sensitivity of the multiplex PCR, plasmids pTZ57-qacA/B, pTZ57-smr, and pTZ57-16S containing qacA/B, smr and 16S rRNA gene fragments of 197 bp, 127 bp, and 287 bp, respectively, were constructed. The method was tested on clinical isolates of Gram-positive bacteria (n = 30).
Results. A multiplex real-time PCR using TaqMan probes was developed for the detection of qacA/B and smr genes in Gram-positive bacteria. The 16S rRNA gene was used as an internal amplification control. The sensitivity of the multiplex PCR was 103 copies for all genes. Multiplex PCR validation showed that qacA/B genes were present in 30%, smr genes were present in 10% of the isolates tested. The reproducibility of the results was 100%.
Conclusion. The developed multiplex PCR differs from existing assays by high specificity and short turnaround time, as well as by the presence of an internal amplification control. It can be used for the detection of Gram-positive bacteria potentially resistant to cationic biocides.
Keywords
Full Text
Introduction
The spread of pathogenic bacterial strains resistant to antimicrobials and disinfectants in recent decades is one of the most acute problems of modern public health care. Disinfectants are one of the most effective means of non-specific prevention of infectious diseases and play a leading role in the system of measures to prevent infections associated with the provision of medical care, as well as widely used in catering enterprises, food industry, municipal facilities, educational institutions and households. However, the phenomenon of microbial resistance to disinfectants observed since the 1950s leads to a sharp decrease in the effectiveness of disinfection measures [1], which is associated with the use of ineffective modes of their application, leading to the formation of microbial resistance to disinfectants, as well as cross-resistance to antibiotics due to the presence of common mechanisms of action [2, 3].
Cationic surfactants, which include quaternary ammonium compounds (QACs), guanidine derivatives, and tertiary amines, are the most commonly used surfactants [4, 5]. In 2023, QACs accounted for the largest share of disinfectants in the global market1, and this trend is projected to continue for the next 10 years2. According to available data, their share in the Russian market is around 50–70% [6, 7].
The main mechanism of microbial resistance to QACs is their intracellular concentration decrease due to their elimination from the cell by efflux pumps [5, 8], which are united into 6 superfamilies based on structural similarity and peculiarities of functioning:
- RND (Resistance-Nodulation Division);
- SMR (Small Multidrug Resistance);
- MATE (Multidrug And Toxic compound Extrusion);
- MFS (Major Facilitator Superfamily);
- ABC (ATP Binding Cassette);
- PACE (Proteobacterial Antimicrobial Compound Efflux) [9, 10].
Resistance to QACs in Gram-positive bacteria is mainly associated with the efflux pumps QacA, QacB (MFS superfamily), as well as Smr (QacC), QacG, QacH, and QacJ belonging to the SMR superfamily [11, 12]. The prevalence of these efflux pumps among Gram-positive bacteria has been monitored in many countries using molecular genetic methods and has shown that qacA, qacB and smr genes are the most frequent [13–16]. At the same time, information on the distribution of these genes among Russian isolates of Gram-positive bacteria is practically absent. Only one publication presented data on the presence of qacA and qacB genes in Staphylococcus aureus isolates obtained from surface washes in public places in Novosibirsk [17]. Given that qacA, qacB and smr genes have predominantly plasmid localization, they can be widely disseminated by horizontal transfer, leading to the formation of acquired resistance to cationic surfactants in Gram-positive bacteria [12].
The aim of the study was to develop multiplex real-time PCR with fluorescently labeled probes to detect qacA/B and smr genes in Gram-positive bacteria.
Materials and methods
Bacterial isolates
The study used isolates of Gram-positive bacteria species Staphylococcus aureus (n = 12), S. haemolyticus (n = 6), Enterococcus faecium (n = 6) and E. faecalis (n = 4), Streptococcus parasanguinis (n = 1) and S. epidermidis (n = 1) obtained from medical institutions in Moscow. Isolates were obtained from washes taken from objects in the hospital environment, such as surfaces of ventilators and ultrasound machines, bedside tables, bed rails. Bacteria were cultured for 16 h at 37ºC in GRM-broth (State Research Center for Applied Biotechnology and Microbiology). The species affiliation of isolates was determined using a SMART MS 5020 mass spectrometer (Zhuhai DL Biotech Co., Ltd.).
DNA extraction
DNA was isolated from bacterial culture using ExtractDNA Blood & Cells DNA extraction kit (Evrogen) according to the manufacturer’s recommendations and stored at –20ºC. The concentration of DNA samples was determined using a NanoDrop 2000C spectrophotometer (ThermoFS).
Development of primers and probes
The nucleotide sequences of the efflux pump genes qacA, qacB, smr and 16S rRNA of Gram-positive bacteria were taken from the GenBank database3 and were analyzed using the BLASTN program4. Primers and probes were designed based on conserved gene regions using the GeneRunner v. 62.2.55 Beta5 and Multiple Primer Analyzer6 programs.
Multiplex real-time PCR testing
Multiplex real-time PCR was performed in a volume of 25 μl in 96-well PCR plates using the CFX96 Real-Time System thermocycler (Bio-Rad Laboratories, Inc.). The reaction mixture included 5× buffer and 2.5 U of Taq polymerase (Lytech LLC), primers (0.5 μM each), TaqMan probes (0.25 μM each; Table), and DNA sample (5 ng). TaqMan probes were synthesized by “DNA Synthesis LLC”, primers were synthesized by Eurogen. Reaction profile: 95ºC — 2 min, 95ºC — 15 s, 56ºC — 20 s (36 cycles), 72ºC — 30 s.
Nucleotide sequences of the primers and probes
Genes | Nucleotide sequence (5’–3’) | Size, bp |
qacA/B | qacA/B-D: 5'-CTGGCTTATACCTATTACCTA-3' qacA/B-R: 5'-TCCAACTAAAATTAATGCTAAAG -3' qacA/B-Pb: 5'-HEX- CGATTTGGACCGAAAATAGTGTTAC-BHQ1 | 197 |
smr | smr-F: AGTAAAACAATGCAACACCTAC-3' smr-R: ATACTATAGTTATTAGATTTATTTG-3' smr-Pb: 5'-FAM-TTAGTCTTAACAACCGTAGTCTCAAT-BHQ1 | 127 |
16S rRNA | 16S-D: 5'-CAGCAGCCGCGGTAATAC-3' Bakt_805R: 5'-GACTACHVGGGTATCTAATCC-3' 16S-Pb: Cy5-5'-TGTAGCGGTGAAATGCG- BHQ2' | 287 |
Determination of analytical sensitivity of multiplex real-time PCR
To evaluate the analytical sensitivity of the method, plasmids pTZ57-qacA/B, pTZ57-smr and pTZ57-16S containing fragments of qacA/B, smr and 16S rRNA genes with lengths of 197, 127 and 287 bp, respectively, were constructed. Cloning was performed using the InsTAclone PCR Cloning Kit (ThermoFS) according to the manufacturer’s recommendations. Plasmid concentrations were assessed using the Spectra Q BR kit (Sesana LLC) and the Qubit fluorimeter (ThermoFS). Sequencing of the obtained plasmids was performed by the Sanger method. The samples of plasmids pTZ57-qacA/B, pTZ57-smr and pTZ57-16S with the concentration of 101-106 copies in 1 μl were obtained by tenfold dilutions and used as a template for real-time PCR. The results were analyzed using the CFX96 Real-Time System software (Bio-Rad Laboratories, Inc.).
Approbation and validation of the method
Multiplex real-time PCR validation was performed using DNA isolated from Gram-positive bacterial isolates (n = 30). To assess the variability of PCR threshold cycle (Cq) values, each sample was tested in 3-fold repetition and the mean Cq values, standard deviations (SD) and coefficient of variability (Cv, %) were calculated. The obtained amplicons of qacA/B and smr genes were analyzed by electrophoretic separation in 1.5% agarose gel and sequenced by the Sanger method. To validate multiplex real-time PCR, the previously described PCR methods with electrophoretic detection of qacA/B [18] and smr gene fragments [19] were used.
Results
For multiplex real-time PCR, primers and TaqMan probes complementary to highly conserved regions of qacA, qacB and smr genes were designed (Table), which were identified on the basis of multiple alignment of all full-length nucleotide sequences of these genes available in GenBank, EMBL7 and DDBJ8 databases. We analyzed 302 nucleotide sequences of the qacA/B genes and 220 sequences of the smr gene. Analysis of qacA and qacA/B genes showed that they differed by 8 nucleotides, so common primers and probe were designed for them.
In PCR testing, the use of an internal amplification control is important to exclude false negatives due to missing or an insufficient amount of DNA in the reaction mixture for detection. The 16S rRNA gene was used as an endogenous internal amplification control in the developed multiplex real-time PCR. The 16S-D primer and probe were designed based on the analysis of 5000 16S rRNA sequences (Table). The universal primer Bakt_805R, developed earlier, was used as a reverse primer [20].
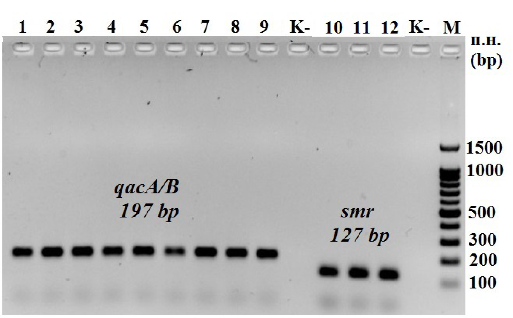
Using the primers developed by us, we searched for isolates of Gram-positive bacteria (n = 30) containing qacA/B and smr genes. The amplicons obtained were analyzed by electrophoretic separation in 1.5% agarose gel. The amplicon lengths of the qacA/B and smr genes were as expected (Table; Fig. 1). The specificity of the primers was confirmed by sequencing the amplicons using the Sanger method.
Fig. 1. Results of the amplification of qacA/B and smr genes.
1–9 — qacA/B-positive isolates; 10–12 — smr-positive isolates. С– — negative control. M — DNA length marker.
To evaluate the analytical sensitivity of multiplex real-time PCR, plasmids pTZ57-qacA/B, pTZ57-smr and pTZ57-16S containing the obtained amplicons of qacA/B, smr and 16S rRNA genes were constructed. Using tenfold dilutions, their samples with concentrations ranging from 101 to 106 copies in 1 μL were obtained and used as a template for the developed multiplex real-time PCR. The sensitivity of multiplex realtime PCR amounted to 103 copies for all genes. The amplification efficiency of qacA/B, smr, and 16S rRNA genes was 95.1, 91.3 and 101.8%, respectively (Fig. 2).
Fig. 2. Results of multiplex PCR sensitivity evaluation for detection of qacA/B and smr genes in gram-positive bacteria.
The developed multiplex real-time PCR was tested using 30 clinical isolates of Gram-positive bacteria obtained from medical institutions of Moscow. Testing was performed in 3 repetitions. It was found that 30% of isolates (6 isolates of S. haemolyticus and 1 isolate each of E. faecium, E. faecalis and S. parasanguinis) had qacA/B genes, and 10% of isolates (2 isolates of S. haemolyticus and an isolate of S. epidermidis) contained the smr gene. Both qacA/B and smr were found in 2 S. haemolyticus isolates. Reproducibility of test results for all samples was 100%, and the coefficient of variability of Cq values ranged from 3.4 to 6.2%. The results of multiplex real-time PCR completely matched both the data of monoplex PCR assays with electrophoresis detection and the results of Sanger sequencing of amplicons. PCR methods with electrophoretic detection of qacA/B and smr genes, previously proposed by K.H. Lin et al. [18] and N. Noguchi et al. [19], respectively, were used for comparison with the developed multiplex real-time PCR. The results obtained using these methods were also in complete agreement. Thus, the specificity of our developed multiplex real-time PCR with probes labeled with fluorescent dyes was 100%.
Discussion
Detection of resistance genes by PCR methods is a widespread and available procedure for their monitoring. Analysis of literature sources has shown that several methods for detection of qacA/B and smr genes based on PCR with electrophoretic detection of results [9, 14, 21–23] and real-time PCR using intercalating DNA dyes [18, 24] have been proposed to date, but these methods have a number of disadvantages related to the duration of testing and reliability of results. The PCR method with electrophoretic detection requires gel electrophoresis, which increases the duration of the assay compared to real-time PCR and makes it laborious and inconvenient for testing a large number of clinical isolates. PCR using intercalating dyes allows real-time detection of amplicons, which reduces the duration of testing compared to the previous method, but may give false-positive results because intercalating dyes bind to all double-stranded DNA, including primer dimers and possible nonspecific PCR products, which requires careful selection of primers and observance of PCR conditions, including the reagents used [25]. A multiplex real-time PCR method has been developed, which lacks the disadvantages of the above-mentioned methods due to the use of TaqMan probes labeled with fluorescent dyes, as well as the presence of internal amplification control.
Conclusion
A multiplex real-time PCR with probes labeled with fluorescent dyes for detection of qacA/B and smr genes of Gram-positive bacteria. It differs from the existing methods in its simplicity and rapidity of analysis, as well as by the presence of internal amplification control, which eliminates false-negative test results. The developed multiplex real-time PCR can be used to monitor the prevalence of qacA/B and smr genes to detect Gram-positive bacteria potentially resistant to cationic biocides. However, it should be taken into account that all molecular genetic assays are diagnostic tools and do not exclude the necessity to confirm the resistance phenotype by microbiological methods.
1 Global antiseptics and disinfectants market size, share, trends & growth forecast report — segmented by type (alcohol and aldehyde, phenols and derivatives, biguanides and amides, quaternary ammonium compounds, iodine compounds and others), end user (domestic user and institutional user) and region — industry forecast from 2024 to 2029. URL: https://www.marketdataforecast.com/market-reports/antiseptics-and-disinfectants-market (date of access 23.10.2024).
2 Global antiseptics and disinfectants market size to exceed USD 79.25 Billion by 2033 | CAGR of 10.67%. URL: https://finance.yahoo.com/news/global-antiseptics-disinfectants-market-size-160000859.html (date of access 23.10.2024).
3 URL: https://www.ncbi.nlm.nih.gov/genbank
4 URL: https://blast.ncbi.nlm.nih.gov/Blast.cgi
5 URL: http://www.generunner.net
6 URL: https://www.thermofisher.com
7 URL: https://www.embl.org
8 URL: https://www.ddbj.nig.ac.jp
About the authors
Svetlana N. Kovalchuk
Research Institute for Systems Biology and Medicine
Author for correspondence.
Email: s.n.kovalchuk@mail.ru
ORCID iD: 0000-0002-5029-0750
Cand. Sci. (Biol.), senior researcher, Laboratory for overcoming microbial resistance
Russian Federation, MoscowAnna L. Arkhipova
Research Institute for Systems Biology and Medicine
Email: s.n.kovalchuk@mail.ru
ORCID iD: 0000-0002-8835-6671
junior researcher, Laboratory for overcoming microbial resistance
Russian Federation, MoscowSvetlana Yu. Kovylkova
Research Institute for Systems Biology and Medicine
Email: s.n.kovalchuk@mail.ru
ORCID iD: 0009-0003-5668-7622
specialist, Laboratory for overcoming microbial resistance
Russian Federation, MoscowElena N. Ilina
Research Institute for Systems Biology and Medicine
Email: s.n.kovalchuk@mail.ru
ORCID iD: 0000-0003-0130-5079
D. Sci. (Biol.), Professor, RAS Corresponding Member, principal researcher, Head, Laboratory of Mathematical Biology and Bioinformatics
Russian Federation, MoscowLyudmila S. Fedorova
Research Institute for Systems Biology and Medicine
Email: s.n.kovalchuk@mail.ru
ORCID iD: 0000-0003-2663-0273
D. Sci. (Med.), Head, Laboratory for overcoming microbial resistance
Russian Federation, MoscowReferences
- Chaplin C.E. Bacterial resistance to quaternary ammonium disinfectants. J. Bacteriol. 1952;63(4):453–8. DOI: https://doi.org/10.1128/jb.63.4.453-458.1952
- Mc Carlie S., Boucher C.E., Bragg R.R. Molecular basis of bacterial disinfectant resistance. Drug. Resist. Updat. 2020;48:100672. DOI: https://doi.org/10.1016/j.drup.2019.100672
- Ковальчук С.Н., Федорова Л.С., Ильина Е.Н. Молекулярные механизмы микробной устойчивости к дезинфицирующим средствам. Антибиотики и химиотерапия. 2023;68(1-2): 45–56. Kovalchuk S.N., Fedorova L.S., Ilina E.N. Molecular mechanisms of microbial resistance to disinfectants. Antibiotics and Chemotherapy. 2023;68(1-2):45–56. DOI: https://doi.org/10.37489/0235-2990-2023-68-1-2-45-56 EDN: https://elibrary.ru/hycybo
- Merchel Piovesan Pereira B., Tagkopoulos I. Benzalkonium chlorides: uses, regulatory status, and microbial resistance. Appl. Environ. Microbiol. 2019;85(13):e00377–19. DOI: https://doi.org/10.1128/aem.00377-19
- Fox L.J., Kelly P.P., Humphreys G.J., et al. Assessing the risk of resistance to cationic biocides incorporating realism-based and biophysical approaches. J. Ind. Microbiol. Biotechnol. 2022; 49(1):kuab074. DOI: https://doi.org/10.1093/jimb/kuab074
- Благонравова А.С., Ковалишена О.В., Саперкин Н.В. Маркетинговое исследование госпитального сегмента регионального рынка средств дезинфекции в медицинских учреждениях. Медицинский альманах. 2011;(4):143–5. Blagonravova A.S., Kovalishena O.V., Saperkin N.V. Marketing examination of hospital segment of regional market of disinfectants in medical establishments. Medical Almanac. 2011;(4):143–5. EDN: https://elibrary.ru/nujlqz
- Тарасова Е.Ю., Тремасова А.М., Хузин Д.А. и др. Анализ рынка дезинфицирующих средств, используемых в отдельных животноводческих хозяйствах Приволжского федерального округа. Ветеринарный врач. 2022;(3):58–66. Tarasova E.Yu., Tremasova A.M., Khuzin D.A., et al. Analysis of the disinfectants market used in some livestock farms of the Volga federal district. Veterinarian. 2022;(3):58–66. DOI: https://doi.org/10.33632/1998-698X.2021_58_66 EDN: https://elibrary.ru/vfvanq
- Boyce J.M. Quaternary ammonium disinfectants and antiseptics: tolerance, resistance and potential impact on antibiotic resistance. Antimicrob. Resist. Infect. Control. 2023;12(1):32. DOI: https://doi.org/10.1186/s13756-023-01241-z
- Hernando-Amado S., Blanco P., Alcalde-Rico M., et al. Multidrug efflux pumps as main players in intrinsic and acquired resistance to antimicrobials. Drug. Resist Updat. 2016;28:13–27. DOI: https://doi.org/10.1016/j.drup.2016.06.007
- Hassan K.A., Liu Q., Elbourne L.D.H., et al. Pacing across the membrane: the novel PACE family of efflux pumps is widespread in Gram-negative pathogens. Res. Microbiol. 2018;169(7-8): 450–4. https://doi.org/10.1016/j.resmic.2018.01.001
- LaBreck P.T., Bochi-Layec A.C., Stanbro J., et al. Systematic analysis of efflux pump-mediated antiseptic resistance in Staphylococcus aureus suggests a need for greater antiseptic stewardship. mSphere. 2020;5(1):e00959–19. DOI: https://doi.org/10.1128/msphere.00959-19
- Chieffi D., Fanelli F., Fusco V. Antimicrobial and biocide resistance in Staphylococcus aureus: genomic features, decontamination strategies, and the role of S. aureus complex-related species, with a focus on ready-to-eat food and food-contact surfaces. Front. Food. Sci. Technol. 2023;3:1165871. DOI: https://doi.org/10.3389/frfst.2023.1165871
- Ignak S., Nakipoglu Y., Gurler B. Frequency of antiseptic resistance genes in clinical staphycocci and enterococci isolates in Turkey. Antimicrob. Resist. Infect. Control. 2017;6:88. DOI: https://doi.org/10.1186/s13756-017-0244-6
- El Sayed Zaki M., Bastawy S., Montasser K. Molecular study of resistance of Staphylococcus aureus to antiseptic quaternary ammonium compounds. J. Glob. Antimicrob. Resist. 2019;17:94–7. DOI: https://doi.org/10.1016/j.jgar.2018.11.022
- Ghasemzadeh-Moghaddam H., Azimian A., Bayani G., et al. High prevalence and expression of antiseptic resistance genes among infectious t037/ST239 methicillin-resistant Staphylococcus aureus (MRSA) strains in North Khorasan Province, Iran. Iran J. Basic Med. Sci. 2022;25(6):775–80. DOI: https://doi.org/10.22038/ijbms.2022.63780.14055
- Sommer L.M., Krauss J.L., Hultén K.G., et al. The prevalence of antiseptic tolerance genes among staphylococci and enterococci in a pediatric population. Infect. Control. Hosp. Epidemiol. 2019;40(3):333–40. DOI: https://doi.org/10.1017/ice.2019.3
- Юшкевич Е.А. Поиск генов QacA и QacB, опосредующих устойчивость к хлоргексидину, у штаммов рода Staphylococcus. В кн.: Алешковский И.А., Андриянов А.В., Антипов Е.А., ред. Материалы Международного молодежного научного форума «ЛОМОНОСОВ-2020». М.;2020. Yushkevich E.A. Search for QacA and QacB genes describing chlorhexidine resistance in a strain of the genus Staphylococcus. In: Aleshkovsky I.A., Andriyanov A.V., Antipov E.A., eds. Materials of the International Youth Scientific Forum «Lomonosov-2020». Moscow;2020.
- Lin K.H., Lin C.Y., Huang C.C., et al. Differentiation of qacA and qacB using high-resolution melt curve analysis, and both qacA and qacB but not qacC or norA types increase chlorhexidine minimal inhibitory concentrations in Staphylococcus aureus isolates. J. Microbiol. Immunol. Infect. 2020;53(6):900–8. DOI: https://doi.org/10.1016/j.jmii.2020.09.006
- Noguchi N., Suwa J., Narui K., et al. Susceptibilities to antiseptic agents and distribution of antiseptic-resistance genes qacA/B and smr of methicillin-resistant Staphylococcus aureus isolated in Asia during 1998 and 1999. J. Med. Microbiol. 2005;54 (Pt. 6):557–65. DOI: https://doi.org/10.1099/jmm.0.45902-0
- Herlemann D.P., Labrenz M., Jürgens K., et al. Transitions in bacterial communities along the 2000 km salinity gradient of the Baltic Sea. ISME J. 2011;5(10):1571–9. DOI: https://doi.org/10.1038/ismej.2011.41
- Smith K., Gemmell C.G., Hunter I.S. The association between biocide tolerance and the presence or absence of qac genes among hospital-acquired and community-acquired MRSA isolates. J. Antimicrob. Chemother. 2008;61(1):78–84. DOI: https://doi.org/10.1093/jac/dkm395
- Bjorland J., Steinum T., Kvitle B., et al. Widespread distribution of disinfectant resistance genes among staphylococci of bovine and caprine origin in Norway. J. Clin. Microbiol. 2005;43(9):4363–8. DOI: https://doi.org/10.1128/jcm.43.9.4363-4368.2005
- Alam M.M., Kobayashi N., Uehara N., Watanabe N. Analysis on distribution and genomic diversity of high-level antiseptic resistance genes qacA and qacB in human clinical isolates of Staphylococcus aureus. Microb. Drug Resist. 2003;9(2):109–21. DOI: https://doi.org/10.1089/107662903765826697
- Chan M.K.L., Koo S.H., Quek Q., et al. Development of a real-time assay to determine the frequency of qac genes in methicillin resistant Staphylococcus aureus. J. Microbiol. Methods. 2018;153:133–8. DOI: https://doi.org/10.1016/j.mimet.2018.09.017
- Law J.W., Ab Mutalib N.S., Chan K.G., Lee L.H. Rapid methods for the detection of foodborne bacterial pathogens: principles, applications, advantages and limitations. Front. Microbiol. 2015;5:770. DOI: https://doi.org/10.3389/fmicb.2014.00770
Supplementary files




