Self-replicating recombinant virus-like particles of lentivirus proliferating in glioblastoma cells and normal human macrophages
- Authors: Moshkoff H.D.1, Moshkoff A.E.2,3, Moshkoff D.A.1,2,3
-
Affiliations:
- I. Mechnikov Research Institute of Vaccines and Sera
- US Pharma Biotechnology Inc.
- Global Virus Network
- Issue: Vol 101, No 5 (2024)
- Pages: 650-660
- Section: ORIGINAL RESEARCHES
- URL: https://bakhtiniada.ru/0372-9311/article/view/276638
- DOI: https://doi.org/10.36233/0372-9311-505
- EDN: https://elibrary.ru/qvxepa
- ID: 276638
Cite item
Abstract
Introduction. Both attenuated and inactivated vaccines are used in disease control. Inactivated vaccines are very diverse and include whole cell and acellular vaccines containing protein target antigens or nucleic acids encoding target antigens. Immunity induced by inactivated vaccines is not believed to be long-lasting. It is very problematic to develop a vaccine against viruses that integrate into the genome of the host cell, as well as against persistent viruses that penetrate the central nervous system (CNS), which is typical for the human immunodeficiency virus type 1 (HIV-1).
Aim of the study: to evaluate the possibility of forming HIV-1 recombinant virus-like particles (recVLPs) and HIV-1B recombinant VLPs and simian immunodeficiency virus (SIV) — SHIV89.6P based on self-replicating RNAs (srRNAs) producing target lentivirus antigens on the alphavirus replicon platform (Sindbis virus or Venezuelan equine encephalomyelitis virus (VEEV)), and also to evaluate the ability of HIV-1B and SHIV89.6P VLPs to infect glioblastoma cells and normal human macrophages.
Materials and methods. BHK-21 cells were transfected with the srRNA mixture by electroporation. Recombinant virus-like particles (recVLP’s) in recVLP’s-infected cells were detected using the immunofluorescence assay (ELISA) and electron microscopy. recVLP’s were used to infect glioblastoma cells and normal macrophages from a healthy donor.
Results. Based on the genomic RNA of the alphavirus, the plasmids were created, transcription from which makes it possible to obtain RNA that expresses lentiviral gene products in cells in quantities sufficient for the formation of mature VLPs. In BHK-21 cells infected with recVLP’s, virus-specific antigens are detected only in the cytoplasm, but not in the nucleus. Both glioblastoma cells (U87) and normal human macrophages containing CD4 receptor and SSR5 and CXR4 co-receptors give infectious progeny of HIV-1B and SHIV89.6P recVLP’s when infected with supernatant obtained after transfection of BHK-21 cells with srRNA.
Discussion. The results obtained show the possibility of expressing lentivirus structural proteins in glioblastoma cells (U87) and in normal human macrophages and can be used in the future to study the presentation of antigens in native and functional conformations in appropriate model systems to study the possibility of suppressing HIV infection in viral reservoirs in the CNS.
Keywords
Full Text
Introduction
Despite the introduction of antiretroviral therapy in 1996, patients with human immunodeficiency virus (HIV) infection exhibit the cognitive impairment known as HIV-associated neurocognitive disorders (HAND). Current estimates indicate that HAND is identified in 50% of people with long-term HIV infection1,2. The mechanisms of HAND associated with HIV-1 are not clear. The central nervous system (CNS) is highly compartmentalized and serves as a specific site of HIV-1 infection. HIV-1 replication in the CNS persists despite long-term combination antiretroviral therapy due to the inability of current antiretroviral drugs to penetrate and cross the blood–brain barrier (BBB) [1]. As a result of sustained HIV-1 replication in the CNS, even with combination antiretroviral therapy, a high incidence of HAND is observed [2, 3].
On the other hand, when analyzing the COVID-19 pandemic, there is increasing evidence that SARS-CoV-2 affects not only the respiratory tract but also the CNS, leading to neurological symptoms such as loss of smell and taste, headache, fatigue, nausea and vomiting, which are observed in more than one third of people with COVID-19 [4, 5]; acute cerebrovascular symptoms have been noted and disorders of consciousness have been reported [6]. Two strains of endemic SARS-CoV-2 infiltrate and persist in the CNS, and viral RNA has been detected in the brain and cerebrospinal fluid [7–10].
Thus, both HIV-1 and SARS-CoV-2 can be attributed to pantropic viruses, the neurotropicity of which may be due to both ophthalmic and cellular pathways of penetration into the CNS and other, as yet undetected mechanisms [11].
Back in the 1990s, we proposed to use vector viral systems that have lost their neurovirulence but retained their neuroinvasiveness to create vaccines against such pantropic viruses. Our analysis led us to the conclusion that vaccine strains TC-83 and 15 of Venezuelan equine encephalomyelitis virus (VEEV) are the most suitable for this purpose. Model experiments have confirmed that the use of a vaccine strain with these characteristics protects animals even against intracerebral infection with a virulent strain [12–14].
In 1998, we demonstrated the possibility of immunizing model animals by injecting self-replicating RNA (srRNA) of Sindbis virus carrying env and gag HIV-1B genes3, which was confirmed by A.J. Geal et al. in 2012 when using VEEV srRNA [15].
In 2000–2003, we created VEEV replicon plasmids expressing Gag/Pol proteins and Env (gp160) SHIV89.6P protein as part of the International AIDS Control Organization, Vaccine Initiative, and National Institute of Allergy and Infectious Diseases National Institute of Health AIDS Vaccine Development Collaboration. The resulting plasmids were then used to study the effect of rapid degradation on the expression of the Gag portion of simian immunodeficiency virus (SIV) in a single-cycle vector. It was found that VEEV VLPs incapable of self-replication are more efficient in presenting the target antigen when the recombinant replicon is packaged into VLPs carrying spikes of wild-type VEEV glycoprotein [16].
Later, C.K. Jurgens et al. using the VEEV replicon plasmids created by D.A. Moshkoff and expressing SHIV89.6P Gag and SHIV89.6P Env (gp160) antigens, studied the expression of these proteins in monkey cells [17]. They found that expression of Gag and Env proteins on the VEEV RNA platform in primate cells resulted in the assembly of particles that morphologically and functionally resembled lentivirus virions and included an alphavirus replicon. Infection of CD4+ cells with chimeric lentivirus-like particles was specific and productive, leading to RNA replication, expression of Gag and Env, and formation of daughter chimeric particles. Further genome modifications to enhance encapsidation of the chimeric virus genome and expression of attenuated SIV protease for particle maturation improved the ability of chimeric lentivirus-like particles to proliferate in cell culture. The ability to present lentivirus immunogens in native and functional conformation was demonstrated [17].
A review conducted by the 48th Central Research Institute of the Ministry of Defense examined the use of alphavirus vectors for the development of vaccines against a wide range of viruses [18]. It is emphasized that alphavirus RNA replicons combine the safety of inactivated and immunogenicity of live attenuated vaccines. Such constructs are suitable for the express development of vaccines for specific prevention of viral infectious diseases, and the presence of the TC-83 strain of VEEV suitable for human immunization determines the prospects for the creation of RNA replicons based on the genome of this pathogen [18]. Kazakh researchers integrated the gene of green fluorescent protein into the genome of VEEV under the control of a synthetic copy of the viral promoter of 26S subgenomic RNA. The RNA transcript of recombinant virus was transfected into BHK-21 cell culture. By 36 h after transfection, almost all cells in culture showed bright fluorescence of the marker protein [19]. Thus, the data obtained in the last 3 decades confirm the prospects of our chosen line of research.
The aim of this study is to evaluate the possibility of formation of HIV-1B and recombinant HIV-1B and SHIV89.6P VLPs based on srRNAs producing targeted lentivirus antigens on the alphavirus replicon platform, as well as the ability of HIV-1B and SHIV89.6P VLPs to infect human glioblastoma cells and macrophages.
Materials and methods
Plasmids expressing VEEV replicon RNA and chimeric viral genomes
The plasmids of recombinant VEEV replicon obtained by D.A. Moshkoff and used in the studies earlier are described in the corresponding papers [16, 17], the schematic representation of the plasmids is presented in Fig. 1.
Fig. 1. Schematic representation of plasmids, transcribed RNA from which leads to translation of proteins capable of forming VLPs.
a — on the Sindbis virus replicon platform; b — on the VEEV replicon platform.
Replicon particle production and titration
Linearized plasmids encoding target proteins served as a matrix for the synthesis of capped RNAs using the mMessage Machine T7 kit (Ambion). Subconfluent (80%) cells were harvested and prepared for electroporation. Cells were precipitated by centrifugation at 800g for 10 min, washed with phosphate buffer solution containing no ribonuclease, and resuspended to a concentration of 1.5 × 107 cells/mL in phosphate buffer solution containing no ribonuclease.
The in vitro synthesized srRNA (1 μg) was transfected into BHK-21 cells by electroporation using a BioRAD GenePulser (Bio-Rad). Cells were pulsed three times at a voltage of 850 V and a capacitance of 25 μF.
Recombinant VLPs (recVLPs) were collected and purified by precipitation through a sucrose solution pad.
The recVLPs were titrated by infecting U87.CD4-CCR5 and U87.CD4-CXCR4 glioblastoma cells with serial dilutions of purified recVLPs for 16 h at 37ºC followed by 10-min fixation with methanol at 4ºC. The fixed cells were rehydrated in phosphate-salt buffer pH 7.2 and incubated with the appropriate antiserum at a dilution of 1 : 100 for 1 h at room temperature. Antiserums to lentivirus proteins were obtained from Dr. D.C. Montefiore at the AIDS Reagent Receipt Program (Division of AIDS, National Institute of Allergy and Infectious Diseases, National Institutes of Health). The evaluation of these neutralizing antibodies against HIV, SIV and SHIV is reported in [20]. Cells were washed and incubated with biotinylated anti-mouse IgG antibodies followed by streptavidin conjugated to Alexaflour Texas Red. RecVLP-infected cells were evaluated under the microscope by fluorescence under UV illumination.
Cells
All cells were obtained from the AIDS Reagent Receipt Program (Division of AIDS, National Institute of Allergy and Infectious Diseases, National Institutes of Health).
Newborn hamster kidney cells (BHK-21) were maintained in minimal essential alpha medium supplemented with 10% phosphate-salt buffer, 2 mM L-glutamine, and 100 units/mL penicillin and streptomycin at 37ºC in a CO2 incubator [17].
U87 cells stably expressing CD4 and wild-type CCR5 co-receptor (U87.CD4+CCR5+ and U87.CD4+X4+) were cultured in Dulbecco's modified Iscov's medium (Termo Fischer Scientific) supplemented with 10% fetal bovine serum, L-glutamine and penicillin/streptomycin (10 μg/mL) [21].
Commercial macrophage cultures were obtained from CD14+ human peripheral blood monocytes (purity > 90%). Macrophages were cultured from monocytes in rhM-CSF-containing medium for several days and ready for use. Human macrophages were isolated from a healthy adult donor. Macrophages were characterized using antibodies specific for CD14, CD11b. Commercial macrophages are negative for HIV-1, hepatitis B and C virus, mycoplasma, bacteria, yeast and fungi.
Microimmunofluorescence assay
To monitor transfection (electroporation) and determine the titer of recVLPs by microimmunofluorescence assay, BHK-21 cells were grown on 4- or 8-well LabTek slides (Nalge Nunc International) in a CO2 incubator at 37ºC. 24 h after infection, slides were fixed in acetone-methanol (1 : 1) at 4ºC for at least 1 h. For the transfected cell assay, approximately 105 electroporated cells were seeded onto 4- or 8-well slides, incubated and fixed as described above. Fixed cells were rehydrated in phosphate-salt buffer solution pH 7.2 and incubated with a 1 : 100 dilution of appropriate antiserums to Gag and Env obtained from Dr. D.C. Montefiore for 1 h at room temperature, as well as with mouse anti-HIV p17 monoclonal antibodies and serum from an HIV+ patient. After 3 washes in phosphate-salt buffer, goat anti-human or goat anti-mouse IgG-isothiocyanate fluorescein conjugate (Sigma) was added at a dilution of 1 : 100, and the slide was incubated for 30 min at room temperature followed by 3 additional washes. Slides were examined and photographed under a Zeiss LSM110 confocal fluorescence microscope (Carl Zeiss SMT, Inc.). Images were digitized and analyzed using Photoshop software (Adobe Systems Inc.).
Electron microscopy
Cell monolayers were washed briefly with serum-free medium and fixed with 4% glutaraldehyde in 0.15 M sodium phosphate buffer pH 7.4 overnight. The next 3 washes were made with phosphate buffer and monolayers were fixed for 1 h in a mixture of 1% OsO4 and 1.25% potassium ferricyanide in 0.15 M sodium phosphate buffer. Cells were then washed with deionized water and dehydrated by increasing concentrations of ethanol (30, 50, 75 and 100%, 5 min each). Cells were infiltrated with two concentrations of Polybed 812 epoxy resin (Composition 1A : 2B, Polysciences, Inc.) for several hours at each change, polymerized for 24 h at 60ºC in pouring molds where they were separated from plates before sectioning. Ultrathin sections (70 nm) were cut with a Diatome diamond knife; sections were mounted on copper grids (200 cells) and stained with 4% aqueous uranyl acetate solution for 15 min, followed by Reynolds lead citrate for 7 min. Sections were photographed using a LEO EM910 transmission electron microscope (Carl Zeiss SMT, Inc.) at 80 kV.
Results
The prototype chimeric viral vaccine construct utilizes an incomplete alphavirus RNA genome (Sindbis or VEEV) containing gag/pol and env genes expressing the corresponding lentivirus proteins. Electroporation of cells with srRNAs transcribed from these plasmids results in the self-assembly of lentivirus-like particles.
DNA sequences encoding Gag/Pol and Env gp160 proteins of lentiviruses (HIV-1B and SHIV89.6P) were obtained by standard genetic engineering methods. A plasmid containing DNA encoding HIV-1B proteins was constructed on the Sindbis virus replicon platform (Fig. 1, a). A plasmid containing DNA encoding SHIV89.6P proteins on the VEEV replicon platform was constructed from the SHIV89.6P KB9 molecular clone (GenBank # U89134) (Fig. 1, b).
In plasmid SHIV89.6P, the 5'-primer contained the 26S subgenomic promoter sequences, and the 3'-primer contained the stop codon and AscI site for cloning into the VEEV replicon plasmid. The C-terminus of the NSP4 and 26S promoter sequences were amplified by polymerase chain reaction (PCR) and used in an overlapping elongation PCR with a fragment containing structural genes with the 26S replicon promoter for PCR. The fragment containing the C-terminus of NSP4, the complete VEEV 26S subgenomic promoter, the SHIV89.6P structural gene, and the AscI restriction site was introduced into the Zero Blunt PCR cloning vector (Invitrogen) and the nucleotide sequence was determined. The 26S-Gag fragment was ligated to pVR100 SHIV89.6P Env. The 26S-Env fragment was ligated to pVR21 SHIV89.6P Gag. Positive clones were identified by restriction analysis and confirmed by sequencing. The preparation of these plasmids and their further modification have been described in more detail previously [16, 17].
BHK-21 cells were transcribed from synthesized plasmids with recombinant srRNAs (1 μg each) expressing structural proteins of alphaviruses. The resulting VLPs were examined by electron microscopy. It was found that transfection of cells with both Sindbis virus recRNA (expressing HIV-1B structural proteins) and VEEV reVLPs (expressing SHIV89.6P structural proteins) resulted in VLP formation. The titers of VEEV recVLPs produced on the VEEV platform were 105–106 infectious units per 1 ml, which coincides with the data of other authors who used plasmids obtained by us [17].
Thus, we created constructs expressing the products of HIV-1B and SHIV89.6P genes in an amount sufficient for the formation of mature recVLPs (Fig. 2).
Fig. 2. Electron microscopic photographs of lentiviral VLPs.
a and b — HIV-1B VLPs; c — VLP SHIV89.6P VLPs.
During the microimmunofluorescence assay, SHIV89.6P structural proteins were detected only in the cytoplasm of transfected cells (Fig. 3). The titers of recVLPs ranged from 104–106 infectious units per 1 ml.
Fig. 3. ELISA, srRNA replication in the cytoplasm of BHK-21 cells and protein expression of the gag gene (a) and env gene (b) of SHIV89.6P.
CCR5 and CXCR4 are two major co-receptors required for HIV entry. The glioblastoma cell lines U87.CD4.CCR5 and U87.CD4.CXCR4 reliably support HIV-1 infection of various laboratory-adapted strains and primary isolates with different co-receptor utilization (R5, X4 and R5/X4), allowing us to investigate the antiviral efficacy of combined CCR5 and CXCR4 antagonist blockade [22].
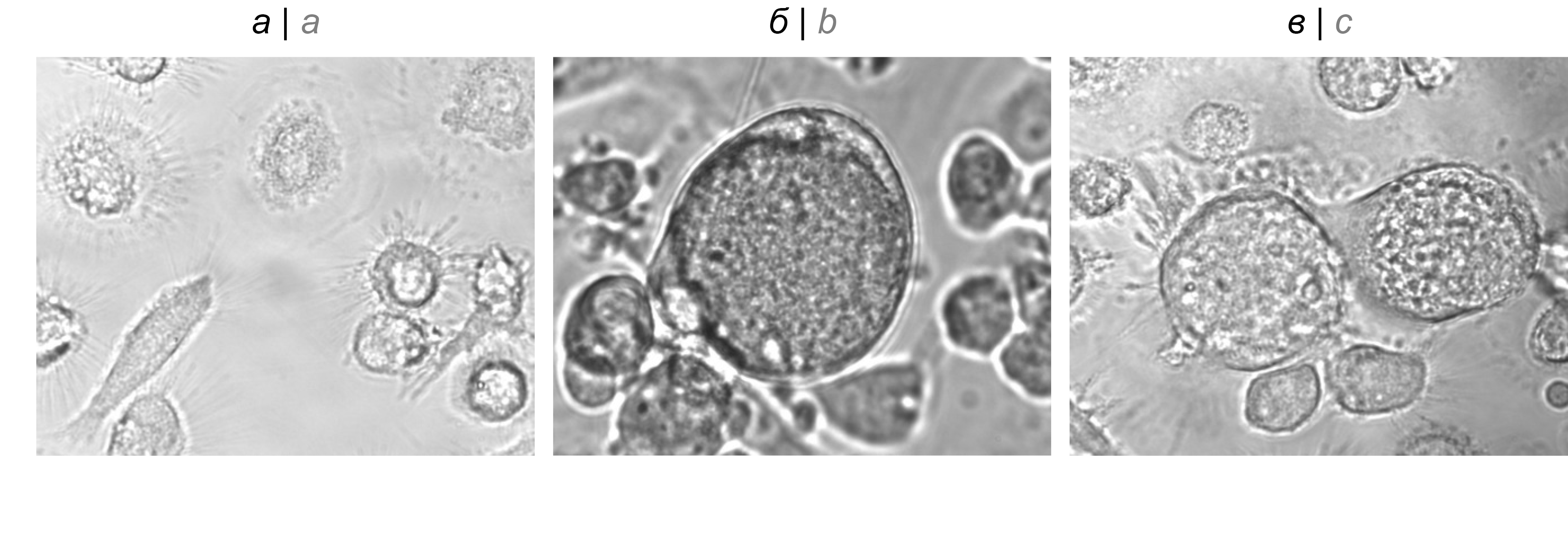
Infection of these U87 cell lines with CD4 receptor and CCR5 and X4 co-receptors and human macrophages with chimeric lentivirus-like particles was specific and productive and resulted in srRNA replication, expression and processing of gag/pol and env HIV-1B, and SHIV89.6P gene products, and generation of daughter chimeric recVLPs capable of producing infectious progeny. Infection of human macrophages resulted in syncytium formation in both HIV-1B and SHIV89.6P recVLP infections (Fig. 4).
Fig. 4. Formation of syncytium on human macrophages infected with lentivirus recVLPs.
a — negative control, ×20; b, c — formed syncytium, ×40: HIV-1B recVLPs (b) and SHIV89.6P recVLPs (c).
Thus, self-replicating lentivirus VLPs are able to replicate in glioblastoma cells and induce fusion of normal human macrophages.
Discussion
HIV vaccines has been in development for more than 30 years, but despite all the progress made, little success has been achieved. One of the reasons is the presence of a reservoir of HIV variants evading the immune system in the CNS. The solution to this problem could be the use of attenuated alphavirus vectors with lost neurovirulence but preserved neuroinvasiveness [12, 13, 23].
We have constructed plasmids that allow transcribing srRNAs, transfection of cells with these plasmids allows not only expression of target proteins, but also leads to the formation of infectious recVLPs. Apparently, these recVLPs can present antigen to cells of the immune system in conformations close to native ones [24–26]. When srRNA enters the cell, replication occurs and the srRNA is packaged into such chimeric particles. When the replicon genome is then released into the cytoplasm following entry of the chimeric particles into susceptible cells, the chimeric particles can potentially replicate and function as a live viral vaccine. Using engineered constructs, it was shown that expression of the gag and env genes of recombinant VEEV RNA in primate cells resulted in the assembly of particles that were morphologically and functionally VLP lentivirus and included recombinant alphavirus RNA that enables VLP self-assembly. Thus, HIV-1B and SHIV89.6P enveloped recVLPs are essentially recombinant viruses, which may help circumvent the complexities typically associated with noninfectious VLPs.
Infection of cells with CD4 receptor and CCR5 and X4 co-receptors with chimeric lentivirus-like particles was specific and productive and resulted in RNA replication, expression and processing of HIV gag/pol and env gene products, and generation of daughter chimeric particles. Further modifications of plasmids encoding SHIV89.6P proteins (Fig. 1, c), performed by other researchers and aimed at enhancing encapsulation of the chimeric virus genome and expression of the SHIV89.6P protease for particle maturation, improved the ability of chimeric lentivirus-like particles to proliferate in cell culture [17].
The studies performed here and previously led to RNAs capable of self-reproduction, and upon transfection with these RNAs, recVLPs are formed. Expression of lentivirus antigens by these recVLPs is observed only in the cytoplasm. Because there is no integration into the host genome, vaccination with these VLPs should not result in persistent or chronic infection. Alphaviruses are sensitive to interferon. Therefore, attenuating mutations can be incorporated into the genome to increase sensitivity to interferon [22, 23]. The VEEV vaccine strain approved for use in high-risk groups is able to penetrate the CNS of model animals through the BBB [12, 13, 27]. In our opinion, the data presented in the present study and those obtained earlier, as well as the analysis of published studies, allow us to believe that further research on the improvement of such vaccines is justified and should include, first of all, the use of adequate animal models, the study of the intensity of induced immunity and the evaluation of the safety of such vaccines.
In the case of srRNA production, the stage of obtaining viral progeny for subsequent immunization is not required. This seems to allow the use of mucosal or intradermal (ID) immunization methods, which are more effective, economical and immunogenic compared to intramuscular infection [28–30].
Our study and the data of the authors who used plasmids created by D.A. Moshkoff [17] provide evidence of the ability of our chimeric constructs to express structural proteins of lentivirus and to assemble into infectious particles to present lentivirus immunogens in their native and functional conformation.
HIV is capable of infiltrating the CNS, infecting immunocompetent cells that are able to cross the BBB. In this manner, HIV can infiltrate by circumventing the biological barrier that limits the entry of most other foreign molecules. Antiretroviral drugs are generally unable to effectively penetrate the BBB or are rapidly eliminated from the brain parenchyma, resulting in inefficient elimination of HIV from the brain and formation of viral reservoirs. Heterogeneous cellular reservoirs exist in the brain that can contain resting HIV. Such accumulation in the CNS can lead to virus rebound and recurrence of infection. There is a paradox in that foreign viral components cross the BBB and are transmitted to the CNS, while essential therapeutic drugs cannot penetrate it [3].
In both nonhuman primates and cats, neurovirulent variants have been isolated from CNS tissue or cerebrospinal fluid [31, 32], causing more rapid disruption of behavioral reactions and accelerated death. The isolation and cloning of lentivirus variants that cause death of animals in a short period of time opens the possibility of rapid testing of the effectiveness of protective drugs. SIVsmmPBj14 isolate (SIV-PBj14) is one of the most virulent known primate lentiviruses which causes acute disease and death within 6–10 days after intravenous inoculation into pig-tailed macaques [33, 34]. SIV-PBj14 replicated more efficiently than the initial virus pool in human peripheral blood mononuclear cells (PBMC) and also replicated in chimpanzee PBMC. Normal macaque PBMCs infected in vitro with SIV-PBj14 formed syncytia with human T-lymphoblasts from human lymphoma (Sup-T1), whereas the initial virus pool did not result in syncytia formation with these cells [36]. Infection of normal macrophages with SHIV89.6P VLPs also resulted in syncytia formation, which, in our opinion, is a positive property for further development of a vaccine capable of suppressing HIV neuroinfection.
The increased reactogenicity of the TC-83 strain, usually regarded as an undesirable trait [35], in the case of controlling the inevitable entry of HIV into the CNS will apparently be a positive property. It is pertinent to recall the situation with fixed rabies virus, where high and rapid virus accumulation in the CNS and neuronal destruction, which is not observed in infection of rodents with the wild strain, involves inflammatory and immune responses, leading to the establishment of a distinct and robust defense [36]. The aim of the US studies was apparently to obtain attenuated variants of VEEV that had lost their ability to be transmitted by mosquitoes and were suitable for immunization of horses and were unable to revert to the wild type [37], as periodic outbreaks of VEEV resulted in the deaths of tens of thousands of horses [38]. Introduction of additional attenuating mutations into the TC-83 strain of VEEV resulted in variants with reduced cytopathic effects. Viremia was not detected in adult mice, and viremia in suckling mice, if detected, was low. Failure to induce viremia had a negative effect on the titers induced by neutralizing antibodies. They became 10 times lower than when immunized with the TC-83 strain. When the mutated nucleocapsid protein was placed under the control of the internal ribosome landing site of mouse encephalomyocarditis virus, although the variant became less virulent to suckling mice, it was less effective in inducing neutralizing antibodies. It did not induce viremia and did not penetrate the brains of adult mice [40]. The inactivated vaccine based on the highly attenuated TC-83 strain 230 did not protect animals from aerogenic infection, in which virulent strains easily penetrate into the brain. At the same time, a strain similar in characteristics to the TC-83 strain (with lost neurovirulence but preserved neuroinvasiveness) protected even against intracerebral infection with encephalitogenic strain of VEEV [12]. The conclusion that it is advisable to use vectors based on the VEEV platform for advanced CNS protection and that the TC-83 strain is the most suitable for the creation of a candidate vaccine [1] seems to be true at present. The feasibility of using the VEEV replicon to create effective vaccine candidates against a number of viruses is discussed in a review by A.A. Petrov et al. [18].
The authors of this article are aware of the complexities of the problem at hand-like any new technology, the use of srRNA has its pros and cons. In a review published in 2021 [39], A.V. Blagov et al. correctly note that the main advantage of RNA vaccines is the speed of their development and production. Especially since new efficient methods of cell-free synthesis of circular DNA are emerging. Minimizing the use of live bacterial cultures and viruses in vaccine production reduces the risks of contamination and makes production even faster and safer. The authors of the review also point out that the instability of RNA can be both a disadvantage because of the risk of degradation of the molecule and the development of too strong an inflammatory response, and an advantage because the mRNA itself can act as an adjuvant. Instability also affects the storage conditions of mRNA vaccines (–80ºC to –20ºC), forcing the maintenance of a cold chain or the use of lipid nanoparticles to increase the thermostability of mRNA vaccines [39]. The method of producing the srRNAs described in this study seems to be scalable, and the recVLPs themselves are produced in rodent and primate cells and are characterized by high immunogenicity. Recombinant VLPs on the VEEV platform have been well characterized both qualitatively and quantitatively; moreover, their efficacy against the highly virulent SIV strain for monkeys has been demonstrated [16, 17, 40].
At present, conditions appear to have been created for research to explore the possibility of creating an effective vaccine against HIV eluding immunity in CNS reservoirs. At the intermediate stage of research, the constructs developed by Kazakh researchers based on the TC-83 vaccine strain of VEEV [19] can be applied for subcutaneous infection of model animals (mice or rabbits). If this recombinant virus retained the ability to penetrate the BBB, a green fluorescent protein would presumably be expressed in the brains of infected animals. Since self-replicating VLPs can infect both CNS cells (glioblastoma) and macrophages, it is reasonable to introduce a fluorescent marker protein into the construct and study its expression as part of SHIV89.6P recVLPs in the CNS of primates. If the marker protein is expressed, it will be possible to proceed to the final stage of testing the efficacy of recVLPs expressing Env and Gag proteins on the SIV model, primates, or on the cat model, a variant of feline immunodeficiency virus that causes rapid death of animals.
Thus, the results obtained by us and other researchers make it possible to obtain recVLPs. These VLPs induce antigen production in monkey cells [17], are able to replicate in human CNS cells, and induce syncytium formation in human macrophages. In this study, lentivirus proteins and recRNAs are synthesized with srRNAs to form complete viral particles capable of infecting a susceptible cell line and producing virion progeny. Therefore, the VLPs obtained in this way are more correctly referred to as recVLPs. Once again, we draw attention to the fact that recVLPs infect human macrophages, which means that there is a system capable of both delivering target antigens to the CNS and presenting them to immunocompetent cells.
All of this allows us to consider that it is possible to present antigens in native and functional conformation to the CNS. Therefore, we can speak about the feasibility of using such constructs in further studies aimed at obtaining a candidate vaccine for HIV suppression in CNS reservoirs.
This study is part of the research on the development of an HIV vaccine capable of elimination of the virus from the CNS. Naturally, further work should be carried out under conditions of increased biological protection.
Conclusion
- Plasmids containing genes encoding HIV Gag and Env proteins (Sindbis virus replicon) and Gag and Env proteins of SIV and HIV-1B recombinant SHIV6P (VEEV replicon) were constructed using the alphavirus replicon platform.
- RNA transcribed from these plasmids results in VLPs when cells are transfected.
- SHIV6P recVLPs are capable of infecting human CNS cells (U87 CD4+CCR5+ and U87 CD4+X4+ glioblastoma cell lines) and macrophages of a healthy donor.
- Syncytium formation has been observed during infection of human macrophages with SHIV6P recVLPs.
- The data obtained during the study of SHIV6P recVLPs by the authors and other researchers indicate that presentation of lentivirus immunogens is possible in native and functional conformation (induction of specific antibodies, binding to appropriate receptors on CNS cells, syncytium formation in macrophages), and support the feasibility of using such constructs in further development of a vaccine to suppress HIV in CNS reservoirs.
1 Wenzel E.D. Mechanism of hiv-1 gp120 neurotoxicity: the role of microtubules. A Dissertation submitted to the Faculty of the Graduate School of Arts and Sciences of Georgetown University in partial fulfillment of the requirements for the degree of Doctor of Philosophy in Pharmacology. Washington; 2019.
2 Smith L.K. Role of neurotropism in hiv-1 gp120 induced oxidative stress and neurodegeneration. A Dissertation submitted in partial fulfillment of the requirements for the Degree of Doctor of Philosophy in Biochemistry and Neuroscience. Fairbanks; 2020.
3 Moshkov D.A. Cloning and expression of the GAG and ENV genes of the human immunodeficiency virus in vector systems based on the genome of the Sindbis virus: Thesis Cand. Sci. (Biol.): 03.00.15. Moscow; 1998.
About the authors
Herman D. Moshkoff
I. Mechnikov Research Institute of Vaccines and Sera
Email: moshkoffd@gmail.com
ORCID iD: 0009-0009-0598-6992
junior scientist, Department of Virology
Russian Federation, MoscowAndrey E. Moshkoff
US Pharma Biotechnology Inc.; Global Virus Network
Email: moshkoffd@gmail.com
ORCID iD: 0000-0002-7101-2469
principal scientist, Department of Virology, Advisor
United States, Baltimore; BaltimoreDmitry A. Moshkoff
I. Mechnikov Research Institute of Vaccines and Sera; US Pharma Biotechnology Inc.; Global Virus Network
Author for correspondence.
Email: moshkoffd@gmail.com
ORCID iD: 0009-0008-4009-5477
Ph.D. in Biology, senior scientist, Department of Virology, Founder, S.D., U.S. Pharma Biotechnology Inc., Advisor
Russian Federation, Moscow; Baltimore, USA; Baltimore, USAReferences
- Moretti S., Virtuoso S., Sernicola L., et al. Advances in SIV/SHIV non-human primate models of NeuroAIDS. Pathogens. 2021;10(8):1018. DOI: https://doi.org/10.3390/pathogens10081018
- Hokello J., Sharma A.L., Tyagi P., et al. Human Immunodeficiency Virus type-1 (HIV-1) transcriptional regulation, latency and therapy in the central nervous system. Vaccines. 2021;9(11):1272. DOI: https://doi.org/10.3390/vaccines9111272
- Osborne O., Peyravian N., Nair M., et al. The paradox of HIV blood-brain barrier penetrance and antiretroviral drug delivery deficiencies. Trends Neurosci. 2020;43(9):695–708. DOI: https://doi.org/10.1016/j.tins.2020.06.007
- Huang C., Wang Y., Li X., et al. Clinical features of patients infected with 2019 novel coronavirus in Wuhan, China. Lancet. 2020;395(10223):497–506. DOI: https://doi.org/10.1016/s0140-6736(20)30183-5
- Conde Cardona G., Quintana Pájaro L.D., Quintero Marzola I.D., et al. Neurotropism of SARS-CoV 2: Mechanisms and manifestations. J. Neurol. Sci. 2020;412:116824. DOI: https://doi.org/10.1016/j.jns.2020.116824
- Mao L., Jin H., Wang M., et al. Neurologic manifestations of hospitalized patients with coronavirus disease 2019 in Wuhan, China. JAMA Neurol. 2020;77(6):683–90. DOI: https://doi.org/10.1001/jamaneurol.2020.1127
- Puelles V.G., Lütgehetmann M., Lindenmeyer M.T., et al. Multiorgan and renal tropism of SARS-CoV-2. N. Engl. J. Med. 2020;383(6):590–2. DOI: https://doi.org/10.1056/nejmc2011400
- Moriguchi T., Harii N., Goto J., et al. A first case of meningitis/encephalitis associated with SARS-Coronavirus-2. Int. J. Infect. Dis. 2020;94:55–8. DOI: https://doi.org/10.1016/j.ijid.2020.03.062
- Zubair A.S., McAlpine L.S., Gardin T., et al. Neuropathogenesis and neurologic manifestations of the coronaviruses in the age of coronavirus disease 2019: A review. JAMA Neurol. 2020;77(8):1018–27. DOI: https://doi.org/10.1001/jamaneurol.2020.2065
- Cyranoski D. Profile of a killer: the complex biology powering the coronavirus pandemic. Nature. 2020;581(7806):22–6. DOI: https://doi.org/10.1038/d41586-020-01315-7
- Meinhardt J., Radke J., Dittmayer C., et al. Olfactory transmucosal SARS-CoV-2 invasion as a port of central nervous system entry in individuals with COVID-19. Nat. Neurosci. 2021;24(2):168–75. DOI: https://doi.org/10.1038/s41593-020-00758-5
- Мошков А.Е., Мошкова С.П., Львов Д.К. Белые крысы как модель при изучении экспериментальной инфекции альфавирусами. В кн.: Итоги науки и техники. Серия «Вирусология». Арбовирусы и арбовирусные инфекции. Часть 1. М.;1992:167–75. Moshkov A.E., Moshkova S.P., L'vov D.K. White rats as a model in the study of experimental infection with alphaviruses. The results of science and technology. The series "Virology". Arboviruses and arbovirus infections. Part 1 [Itogi nauki i tekhniki. Seriya «Virusologiya». Arbovirusy i arbovirusnye infektsii. Chast' 1]. Moscow;1992:167–75.
- Мошков А.Е., Урываев Л.В., Маренникова С.С., Мошков Д.А. Перспективы использования РНК-содержащих вирусов в качестве векторов. Вопросы вирусологии. 1993;38(3):98–101. Moshkov A.E., Uryvaev L.V., Marennikova S.S., Moshkov D.A. The prospects for using RNA-containing viruses as vectors. Problems of Virology. 1993;38(3):98–101. EDN: https://elibrary.ru/yoylil
- Moshkov A.E., Moshkova S.P., Moshkov D.A., et al. Selection of the RNA-containing virus for working out of a vaccine against the AIDS associated complex. Biotechnology. 1999;(1):26–31.
- Geall A.J., Verma A., Otten G.R., et al. Nonviral delivery of self-amplifying RNA vaccines. Proc. Natl Acad. Sci. USA. 2012;109(36):14604–9. DOI: https://doi.org/10.1073/pnas.1209367109
- Fluet M.E., Whitmore A.C., Moshkoff D.A., et al. Effects of rapid antigen degradation and VEE glycoprotein specificity on immune responses induced by a VEE replicon vaccine. Virology. 2008;370(1):22–32. DOI: https://doi.org/10.1016/j.virol.2007.08.020
- Jurgens C.K., Young K.R., Madden V.J., et al. A novel self-replicating chimeric lentivirus-like particle. J. Virol. 2012;86(1):246–61. DOI: https://doi.org/10.1128/jvi.05191-11
- Петров А.А., Лебедев В.Н., Плеханова Т.М. и др. Перспективы разработки и применения вакцин на основе РНК-репликона вируса венесуэльского энцефаломиелита лошадей против особо опасных вирусных инфекций. Проблемы особо опасных инфекций. 2014;(3):86–91. Petrov A.A., Lebedev V.N., Plekhanova T.M., et al. Future developments and applications of the vaccines against dangerous viral infections, RNA-replicon-based, obtained from the Venezuelan equine encephalomyelitis virus. Problems of Particularly Dangerous Infections. 2014;(3):86–91. DOI: https://doi.org/10.21055/0370-1069-2014-3-86-91 EDN: https://elibrary.ru/snkbyd
- Балтабекова А.Ж., Шагырова Ж.С., Ким Ю.Г. и др. Вектор на основе генома вируса венесуэльского энцефаломиелита лошадей для экспрессии рекомбинантных белков в клетках млекопитающих. Биотехнология. Теория и практика. 2016;(2):59–69. Baltabekova A.Zh., Shagyrova Zh.S., Kim Yu.G., et al. A vector based on the genome of the Venezuelan equine encephalomyelitis virus for the expression of recombinant proteins in mammalian cells. Eurasian Journal of Applied Biotechnology. 2016;(2):59–69. DOI: https://doi.org/10.11134/btp.2.2016.5 EDN: https://elibrary.ru/wjcwoz
- Montefiori D.C. Evaluating neutralizing antibodies against HIV, SIV, and SHIV in luciferase reporter gene assays. Curr. Protoc. Immunol. 2005;Chapter 12:12.11.1-12.11.17. DOI: https://doi.org/10.1002/0471142735.im1211s64
- Manak M.M., Moshkoff D.A., Nguyen L.T., et al. Anti-HIV-1 activity of the neurokinin-1 receptor antagonist aprepitant and synergistic interactions with other antiretrovirals. AIDS. 2010;24(18):2789–96. DOI: https://doi.org/10.1097/qad.0b013e3283405c33
- Princen K., Hatse S., Vermeire K., et al. Establishment of a novel CCR5 and CXCR4 expressing CD4+ cell line which is highly sensitive to HIV and suitable for high-throughput evaluation of CCR5 and CXCR4 antagonists. Retrovirology. 2004;1:2. DOI: https://doi.org/10.1186/1742-4690-1-2
- Moshkoff A.E., Zaitsev I.Z., Moshkoff D.A. The analysis of alphaviral vectors for creation of an effective vaccine against a human immunodeficiency virus (HIV). In: XIV International AIDS Conference. Barcelona;2002:257–61.
- Blakney A. The next generation of RNA vaccines: self-amplifying RNA. Biochemist. 2021;43(4). DOI: https://doi.org/10.1042/bio_2021_142
- Moshkoff D.A., Moshkova I.I., Bogush A.I., et al. The cloning and expression of HIV gag and env genes in the vector systems based on the Sindbis virus genome. Biotechnology. 1999;15(1):32–9.
- Moshkoff D.A. Expression of two HIV-1 structural open reading frames using alpha-virus replicon. Transactions of the department of chemistry of natural compounds at the M.V. Lomonosov MIFCT. 1999;(1):133–9.
- Moshkov S.P., Grabareva L.P., Moshkov A.E., Gaĭdamovich S.Ia. The immunity generated in white rats vaccinated with strains of the Venezuelan equine encephalomyelitis virus. Problems of Virology. 1991;36(5):417–9.
- Reis E.C., Jacobson R.M., Tarbell S., Weniger B.G. Taking the sting out of shots: control of vaccination-associated pain and adverse reactions. Pediatr. Ann. 1998;27(6):375–86.
- Weniger B.G. Influenza vaccination in the off-label grey zone. Lancet. 2014;384(9944):642–4. DOI: https://doi.org/10.1016/s0140-6736(14)61367-2
- Weniger B.G., Papania M.J. Alternative vaccine delivery methods. In: Plotkin S.A., Orenstein W.A., Offit P.A., eds. Vaccines. Saunders;2013:1200–31. DOI: http://doi.org/10.1016/B978-1-4557-0090-5.00063-X
- Power C., Buist R., Johnston J.B., et al. Neurovirulence in feline immunodeficiency virus-infected neonatal cats is viral strain specific and dependent on systemic immune suppression. J. Virol. 1998;72(11):9109–15. DOI: https://doi.org/10.1128/jvi.72.11.9109-9115.1998
- Overbaugh J., Donahue P.R., Quackenbush S.L., et al. Molecular cloning of a feline leukemia virus that induces fatal immunodeficiency disease in cats. Science. 1988;239(4842):906–10. DOI: https://doi.org/10.1126/science.2893454
- Fultz P.N., Zack P.M. Unique lentivirus – host interactions: SIVsmmPBj14 infection of macaques. Virus Res. 1994;32(2):205–25. DOI: https://doi.org/10.1016/0168-1702(94)90042-6
- Tao B., Fultz P.N. Molecular and biological analyses of quasispecies during evolution of a virulent simian immunodeficiency virus, SIVsmmPBj14. J. Virol. 1995;69(4):2031–7. DOI: https://doi.org/10.1128/jvi.69.4.2031-2037.1995
- McKinney R.W. Inactivated and live VEE vaccines – a review. In: Venezuelan encephalitis. Scientific publication no. 243. Washington;1972:69–367.
- Murphy F.A. Rabies pathogenesis. Arch. Virol. 1977;54(4):279–97. DOI: https://doi.org/10.1007/bf01314774
- Atasheva S., Kim D.Y., Frolova E.I., Frolov I. Venezuelan equine encephalitis virus variants lacking transcription inhibitory functions demonstrate highly attenuated phenotype. J. Virol. 2015;89(1):71–82. DOI: https://doi.org/10.1128/jvi.02252-14
- Aguilar P.V., Estrada-Franco J.G., Navarro-Lopez R., et al. Endemic Venezuelan equine encephalitis in the Americas: hidden under the dengue umbrella. Future Virol. 2011; 6(6): 721–40. DOI: https://doi.org/10.2217/fvl.11.5
- Благов А.В., Букаева А.А., Макаров В.В., Бочкаева З.В. Эффективность и безопасность РНК-вакцин: что известно на сегодняшний день. Медицинская иммунология. 2021; 23(5):1017–30. Blagov A.V., Bukaeva A.A., Makarov V.V., Bochkaeva Z.V. Safety and efficacy of RNA vaccines: state of the art. Meditsinskaya immunologiya. 2021;23(5):1017–30. DOI: https://doi.org/10.15789/1563-0625-SAE-2320 EDN: https://elibrary.ru/nazeez
- Davis N.L., Caley I.J., Brown K.W., et al. Vaccination of macaques against pathogenic simian immunodeficiency virus with Venezuelan equine encephalitis virus replicon particles. J. Virol. 2000;74(1):371–8. DOI: https://doi.org/10.1128/jvi.74.1.371-378.2000
Supplementary files






