Трудности кохлеарной имплантации при пороках развития внутреннего уха
- Авторы: Тунян Н.Т.1, Бычкова Е.В.2
-
Учреждения:
- Санкт-Петербургский государственный университет, кафедра Оториноларингологии и офтальмологии
- Санкт-Петербургский детский городской сурдологический центр
- Выпуск: Том 37, № 4 (2023)
- Страницы: 363-368
- Раздел: ЭКСПЕРИМЕНТАЛЬНЫЕ ИССЛЕДОВАНИЯ
- URL: https://bakhtiniada.ru/0235-0092/article/view/229419
- DOI: https://doi.org/10.31857/S0235009223040091
- EDN: https://elibrary.ru/QJZMAM
- ID: 229419
Цитировать
Полный текст
Аннотация
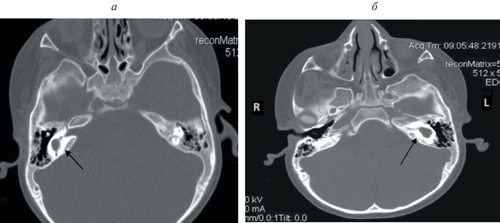
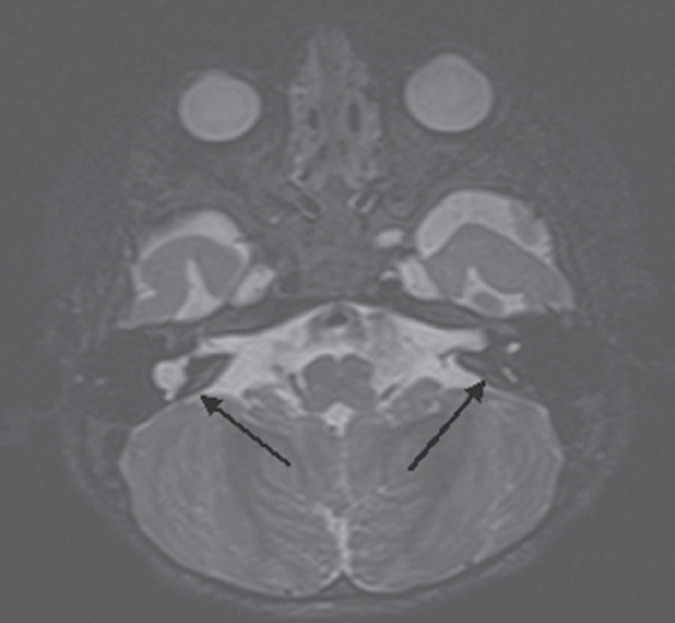
По данным различных авторов, у 20% детей с сенсоневральной тугоухостью или глухотой по результатам компьютерной томографии определяются аномалии строения височных костей. Кохлеарная имплантация при наличии кохлеовестибулярных аномалий сопряжена с рядом трудностей. К ним относятся особенности выполнения кохлеостомии и размещения электрода внутри улитки, риск повреждения лицевого нерва из-за его аномального расположения и его аберрантная стимуляция в послеоперационном периоде, интраоперационная ликворея, что может привести к развитию бактериального менингита в послеоперационном периоде, а также опасность проникновения электрода во внутренний слуховой проход. В данной работе представлен наш способ выполнения кохлеарной имплантации при аномалии развития внутреннего уха – общей полости. Способ расширяет возможности кохлеарной имплантации для восстановления слухового восприятия у пациентов с данной патологией.
Ключевые слова
Об авторах
Н. Т. Тунян
Санкт-Петербургский государственный университет, кафедра Оториноларингологии и офтальмологии
Автор, ответственный за переписку.
Email: nairanit@mail.ru
Россия,
199106, Санкт-Петербург, 21-я линия В.О., д. 8а
Е. В. Бычкова
Санкт-Петербургский детский городской сурдологический центр
Email: nairanit@mail.ru
Россия, 194356, Санкт-Петербург, ул. Есенина, д. 26 корп. 4
Список литературы
- Кузовков В.Е., Лиленко А.С., Сугарова С.Б., Тамасчишина В.А., Каляпин Д.Д., Луппов Д.С. Факторы риска стимуляции лицевого нерва у пользователях кохлеарных имплантов: наш опыт. Российская оториноларингология. 2022. 5 (120). С. 116–121. https://doi.org/10.18692/1810-4800-2022-5-116-121
- Aljazeeri I.A., Khurayzi T., Al-Amro M., Alzhrani F., Alsanosi A. Evaluation of computed tomography parameters in patients with facial nerve stimulation post-cochlear implantation. Eur Arch Otorhinolaryngology. 2021. V. 278 (10). P. 3789–3794. https://doi.org/10.1007/s00405-020-06486-7
- Jackler R.K., A. De La Cruz. The large vestibular aqueduct syndrome. Laryngoscope. 1989. V. 99 (10). P. 1238–1243.
- Jackler R.K., Luxford W.M., House W.F. Congenital malformations of the inner ear: a classification based on embryogenesis. Laryngoscope. 1987. V. 97 (1). P. 1–14.
- Morsli H., Tuorto F., Choo D. et al. Otxl and Otx2 activities are required for the normal development of the mouse inner ear. Development. 1999. P. 2335–2343. https://pubmed.ncbi.nlm.nih.gov/10225993/
- Papsin B.C. Cochlear implantation in children with anomalous cochleovestibular anatomy. Laryngoscope. 2005. V. 115 (1 Pt. 2 Suppl 106). P. 1–26. https://doi.org/10.1097/00005537-200501001-00001
- Park A., Kou B., Hotaling A. Clinical course of pediatric congenital inner ear malformations. Laryngoscope. 2000. P. 1715–1719.
- Rah Y.C., Yoon Y.S., Chang M.Y., Lee J.Y., Suh M.W., Lee J.H. Facial nerve stimulation in the narrow bony cochlear nerve canal after cochlear implantation. Laryngoscope. 2016. V. 126 (6). P. 1433–1439. https://doi.org/10.1002/ lary.25655
- Sennaroglu L., Saatci I. A new classification for cochleovestibular malformations. Laryngoscope. 2002. V. 112 (12). P. 2230–2241.
- Tucci D., Telian S., Zimmerman-Philips S. Cochlear implantation in patients with cochlear malformations. Arch Otolaryngol Head Neck Surg. 1995. P. 833–838.
Дополнительные файлы







