Influence of Sex Hormones on the ABCG2 Transport Protein in Caco-2 Cells
- Authors: Slepnev A.A.1, Abalenikhina Y.V.1, Popova N.M.1, Shchulkin A.V.1, Yakusheva E.N.1
-
Affiliations:
- Ryazan State Medical University named after Academician I.P. Pavlov of the Ministry of Health of Russia
- Issue: Vol 40, No 5 (2023)
- Pages: 370-378
- Section: Articles
- URL: https://bakhtiniada.ru/0233-4755/article/view/135043
- DOI: https://doi.org/10.31857/S0233475523050109
- EDN: https://elibrary.ru/NXXQGR
- ID: 135043
Cite item
Full Text
Abstract
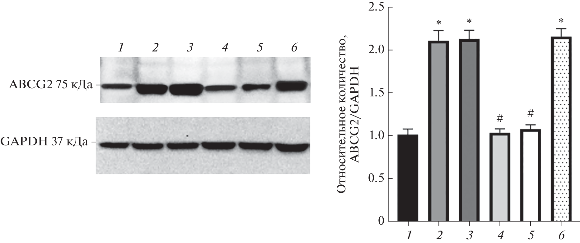
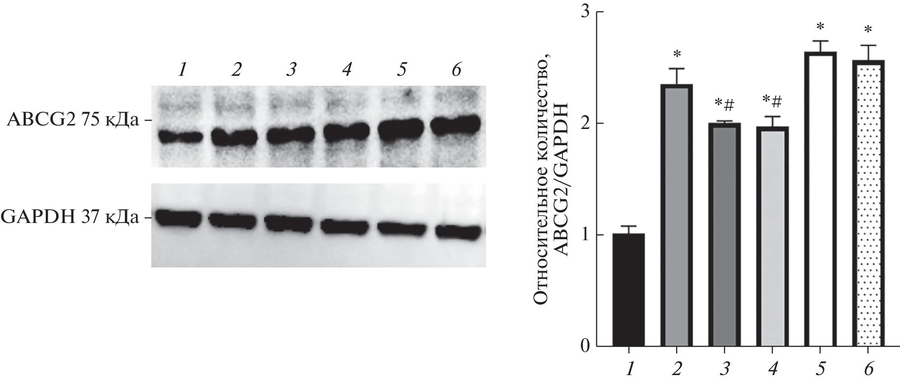
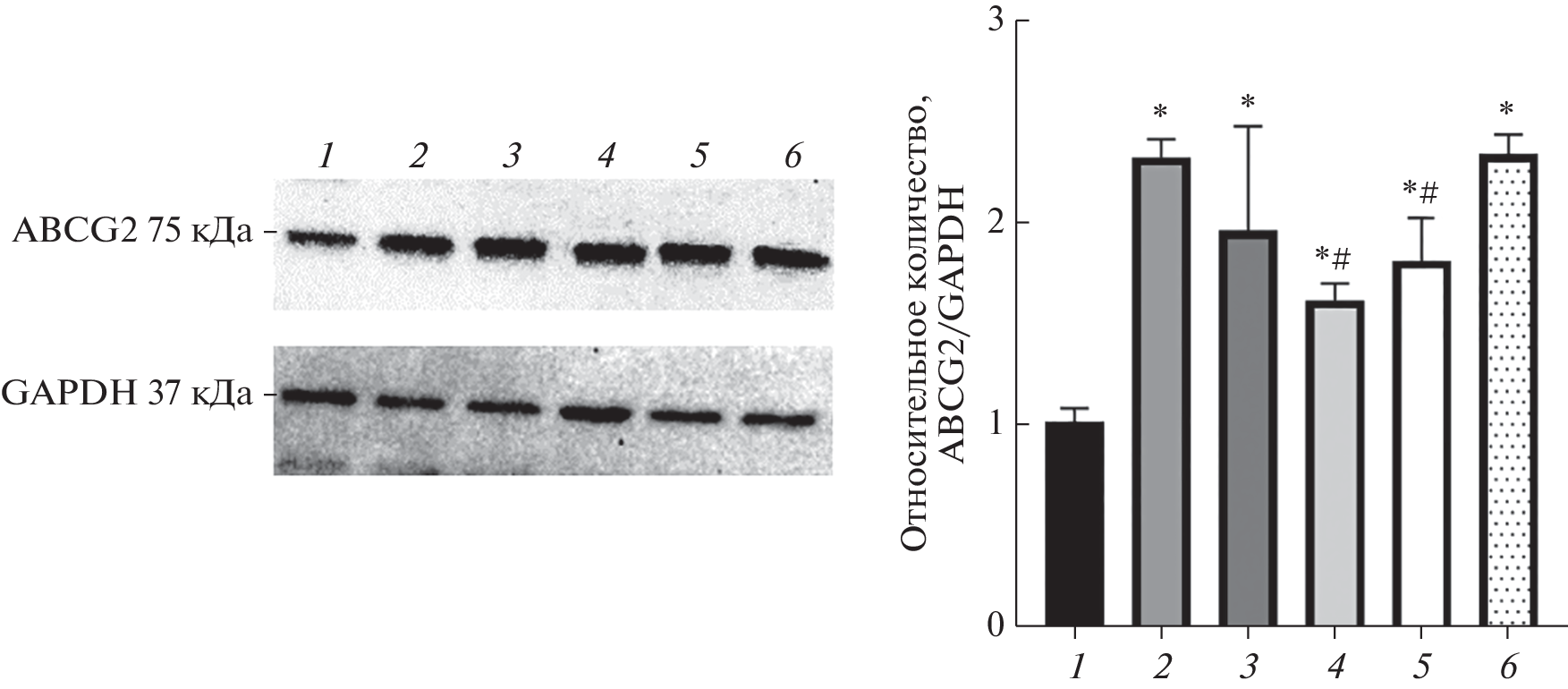
Protein ABCG2 (BCRP, breast cancer resistance protein) is an efflux transmembrane protein involved in the transport of endo- and exogenous substances, as well as in the development of tumor resistance to chemotherapy. In this work, the influence of sex hormones progesterone, estradiol, and testosterone on the relative amount of ABCG2 in Caco-2 cells was studied, as well as the role of orphan receptors (farnazoid X receptor (FXR), constitutive androstane receptor (CAR), pregnane X receptor (PXR), hepatic X receptor subtype alpha (LXRa)) in this process. The amount of ABCG2 was assessed by Western blot. Hormones were used at concentrations of 1, 10, and 100 µM, exposure time was 24 h. All hormones at all concentrations caused an increase in the amount of ABCG2. Inhibition of PXR and FXR prevented the increase in ABCG2 under the action of progesterone. Suppression of CAR and PXR reduced ABCG2 levels with estradiol compared with estrogen exposure alone, but still the transporter level was higher than in controls. Inhibition of PXR and FXR reduced the effect of testosterone; however, the level of the transporter exceeded the control values. Thus, our study showed that all sex hormones at all concentrations used increased the amount of ABCG-2, that CAR and PXR are involved in the implementation of the action of estradiol, and that FXR and PXR are involved in the implementation of the effects of testosterone and progesterone.
About the authors
A. A. Slepnev
Ryazan State Medical University named after Academician I.P. Pavlov of the Ministry of Health of Russia
Email: abalenihina88@mail.ru
Russia, 390026, Ryazan
Yu. V. Abalenikhina
Ryazan State Medical University named after Academician I.P. Pavlov of the Ministry of Health of Russia
Author for correspondence.
Email: abalenihina88@mail.ru
Russia, 390026, Ryazan
N. M. Popova
Ryazan State Medical University named after Academician I.P. Pavlov of the Ministry of Health of Russia
Email: abalenihina88@mail.ru
Russia, 390026, Ryazan
A. V. Shchulkin
Ryazan State Medical University named after Academician I.P. Pavlov of the Ministry of Health of Russia
Email: abalenihina88@mail.ru
Russia, 390026, Ryazan
E. N. Yakusheva
Ryazan State Medical University named after Academician I.P. Pavlov of the Ministry of Health of Russia
Email: abalenihina88@mail.ru
Russia, 390026, Ryazan
References
- Doyle L.A., Yang W., Abruzzo L.V., Krogmann T., Gao Y., Rishi A.K., Ross D.D. 1998. A multidrug resistance transporter from human MCF-7 breast cancer cells. Proc. Nat. Acad. Sci. USA. 95 (26), 15 665–15 670. https://doi.org/10.1073/pnas.95.26.15665
- Khunweeraphong N., Stockner T., Kuchler K. 2017. The structure of the human ABC transporter ABCG2 reveals a novel mechanism for drug extrusion. Sci. Rep. 7 (1), 13767. https://doi.org/10.1038/s41598-017-11794-w
- Rosenberg M.F., Bikadi Z., Chan J., Liu X., Ni Z., Cai X., Ford R.C., Mao Q. 2010. The human breast cancer resistance protein (BCRP/ABCG2) shows conformational changes with mitoxantrone. Structure. 18 (4), 482–493. https://doi.org/10.1016/j.str.2010.01.017
- Ni Z., Bikadi Z., Rosenberg M.F., Mao Q. 2010. Structure and function of the human breast cancer resistance protein (BCRP/ABCG2). Cur. Drug Metabolism. 11 (7), 603–617. https://doi.org/10.2174/138920010792927325
- Maliepaard M., Scheffer G.L., Faneyte I.F., van Gastelen M.A., Pijnenborg A.C., Schinkel A.H., van De Vijver M.J., Scheper R.J., Schellens J.H. 2001. Subcellular localization and distribution of the breast cancer resistance protein transporter in normal human tissues. Cancer Res. 61 (8), 3458–3464.
- Natarajan K., Xie Y., Baer M.R., Ross D.D. 2012. Role of breast cancer resistance protein (BCRP/ABCG2) in cancer drug resistance. Biochem. Pharm. 83 (8), 1084–1103. https://doi.org/10.1016/j.bcp.2012.01.002
- Stiburkova B., Pavelcova K., Zavada J., Petru L., Simek P., Cepek P., Pavlikova M., Matsuo H., Merriman T.R., Pavelka K. 2017. Functional non-synonymous variants of ABCG2 and gout risk. Rheumatology (Oxford). 56 (11), 1982–1992. https://doi.org/10.1093/rheumatology/kex295
- Ee P.L., Kamalakaran S., Tonetti D., He X., Ross D.D., Beck W.T. 2004. Identification of a novel estrogen response element in the breast cancer resistance protein (ABCG2) gene. Cancer Res. 64 (4), 1247–1251. https://doi.org/10.1158/0008-5472.can-03-3583
- Yasuda S., Kobayashi M., Itagaki S., Hirano T., Iseki K. 2009. Response of the ABCG2 promoter in T47D cells and BeWo cells to sex hormone treatment. Mol. Biol. Rep. 36 (7), 1889–1896. https://doi.org/10.1007/s11033-008-9395-0
- Evseenko D.A., Paxton J.W., Keelan J.A. 2007. Independent regulation of apical and basolateral drug transporter expression and function in placental trophoblasts by cytokines, steroids, and growth factors. Drug Metab. Dispos. 35 (4), 595–601. https://doi.org/10.1124/dmd.106.011478
- Wang H., Zhou L., Gupta A., Vethanayagam R.R., Zhang Y., Unadkat J.D., Mao Q. 2006. Regulation of BCRP/ABCG2 expression by progesterone and 17beta-estradiol in human placental BeWo cells. Amer. J. Physiol. Endocrinol. Metabol. 290 (5), 798–807. https://doi.org/10.1152/ajpendo.00397.2005
- Wang H., Lee E.W., Zhou L., Leung P.C., Ross D.D., Unadkat J.D., Mao Q. 2008. Progesterone receptor (PR) isoforms PRA and PRB differentially regulate expression of the breast cancer resistance protein in human placental choriocarcinoma BeWo cells. Mol. Pharm. 73 (3), 845–854. https://doi.org/10.1124/mol.107.041087
- Wu X., Zhang X., Sun L., Zhang H., Li L., Wang X., Li W., Su P., Hu J., Gao P., Zhou G. 2013. Progesterone negatively regulates BCRP in progesterone receptor- positive human breast cancer cells. Cell Physiol. Biochem. 32 (2), 344–354. https://doi.org/10.1159/000354442
- Wu X., Zhang X., Zhang H., Su P., Li W., Li L., Wang Y., Liu W., Gao P., Zhou G. 2012. Progesterone receptor downregulates breast cancer resistance protein expression via binding to the progesterone response element in breast cancer. Cancer Sci. 103 (5), 959–967. https://doi.org/10.1111/j.1349-7006.2012.02245.x
- Mazaira G.I., Zgajnar N.R., Lotufo C.M., Daneri-Becerra C., Sivils J.C., Soto O.B., Cox M.B., Galigniana M.D. 2018. The nuclear receptor field: A historical overview and future challenges. Nucl. Receptor Res. 5, 101320. https://doi.org/10.11131/2018/101320
- Shi Y. 2007. Orphan nuclear receptors in drug discovery. Drug Discov. Today. 12 (11–12), 440–445. https://doi.org/10.1016/j.drudis.2007.04.006
- Serviddio G., Bellanti F., Vendemiale G. 2014. Oxysterols in the orchestra of liver cell metabolism. Free Radic. Biol. Med. 1, S6. https://doi.org/10.1016/j.freeradbiomed.2014.10.838
- Chiang J.Y.L., Ferrell J.M. 2022. Discovery of farnesoid X receptor and its role in bile acid metabolism. Mol. Cell Endocrinol. 548, 111618. https://doi.org/10.1016/j.mce.2022.111618
- Krasowski M.D., Ni A., Hagey L.R., Ekins S. 2011. Evolution of promiscuous nuclear hormone receptors: LXR, FXR, VDR, PXR, and CAR. Mol. Cell Endocrinol. 334 (1–2), 39–48. https://doi.org/10.1016/j.mce.2010.06.016
- Jin B., Wang W., Bai W., Zhang J., Wang K., Qin L. 2017. The effects of estradiol valerate and remifemin on liver lipid metabolism. Acta Histochem. 119 (6), 610–619. https://doi.org/10.1016/j.acthis.2017.06.004
- Kawamoto T., Kakizak S., Yoshinari K., Negishi M. 2000. Estrogen activation of the nuclear orphan receptor CAR (constitutive active receptor) in induction of the mouse CYP2B10 gene. Mol. Endocrinol. 14, 1897–1905. https://doi.org/10.1210/mend.14.11.0547
- Blumberg B., Sabbagh W., Juguilon H., Bolado J., van Meter C.M., Ong E.S., Evans R.M. 1998. SXR, a novel steroid and xenobiotic sensing nuclear receptor. Genes Dev. 12 (20), 3195–3205. https://doi.org/10.1101/gad.12.20.3195
- Milona A., Owen B.M., Cobbold J.F., Willemsen E.C., Cox I.J., Boudjelal M., Cairns W., Schoonjans K., Taylor-Robinson S.D., Klomp L.W., Parker M.G., White R., van Mil S.W., Williamson C. 2010. Raised hepatic bile acid concentrations during pregnancy in mice are associated with reduced farnesoid X receptor function. Hepatology. 52 (4), 1341–1349. https://doi.org/10.1002/hep.23849
- Wang S., Lai K., Moy F.J., Bhat A., Hartman H.B., Evans M.J. 2006. The nuclear hormone receptor farnesoid X receptor (FXR) is activated by androsterone. Endocrinology. 147 (9), 4025–4033. https://doi.org/10.1210/en.2005-1485
- Hilgers A.R., Conradi R.A., Burton P.S. 1990. Caco-2 cell monolayers as a model for drug transport across the intestinal mucosa. Pharmac. Res. 7 (9), 902–910. https://doi.org/10.1023/A:1015937605100
- Sim W.C., Kim D.G., Lee K.J., Choi Y.J., Choi Y.J., Shin K.J., Jun D.W., Park S.J., Park H.J., Kim J., Oh W.K., Lee B.H. 2015. Cinnamamides, novel liver X receptor antagonists that inhibit ligand-induced lipogenesis and fatty liver. J. Pharmacol. Exp. Ther. 355 (3), 362–369. https://doi.org/10.1124/jpet.115.226738
- Cherian M.T., Lin W., Wu J., Chen T. 2015. CINPA1 is an inhibitor of constitutive androstane receptor that does not activate pregnane X receptor. Mol. Pharmacol. 87 (5), 878–889. https://doi.org/10.1124/mol.115.097782
- Kota B.P., Tran V.H., Allen J., Bebawy M., Roufogalis B.D. 2010. Characterization of PXR mediated P-glycoprotein regulation in intestinal LS174T cells. Pharmacol. Res. 62 (5), 426–431. https://doi.org/10.1016/j.phrs.2010.07.001
- Sayin S.I., Wahlström A., Felin J., Jäntti S., Marschall H.U., Bamberg K., Angelin B., Hyötyläinen T., Orešič M., Bäckhed F. 2013. Gut microbiota regulates bile acid metabolism by reducing the levels of tauro-beta-muricholic acid, a naturally occurring FXR antagonist. Cell Metab. 17 (2), 225–235. https://doi.org/10.1016/j.cmet.2013.01.003
- Bradford M.M. 1976. A rapid and sensitive method for the quantitation of microgram quantities of protein utilizing the principle of protein-dye binding. Anal. Biochem. 7 (72), 248–254. https://doi.org/10.1006/abio.1976.9999
- Nakanishi T., Ross D.D. 2012. Breast cancer resistance protein (BCRP/ABCG2): Its role in multidrug resistance and regulation of its gene expression. Chin. J. Cancer. 31 (2), 73–99. https://doi.org/10.5732/cjc.011.10320
- Wang H., Huang H., Li H., Teotico D.G., Sinz M., Baker S.D., Staudinger J., Kalpana G., Redinbo M.R., Mani S. 2007. Activated pregnenolone X-receptor is a target for ketoconazole and its analogs. Clin. Cancer Res. 13 (8), 2488–2495. https://doi.org/10.1158/1078-0432.CCR-06-1592
- Campbell-Thompson M., Lynch I.J., Bhardwaj B. 2001. Expression of estrogen receptor (ER) subtypes and ERbeta isoforms in colon cancer. Cancer Res. 61 (2), 632–640.
- Gu S., Papadopoulou N., Gehring E.M., Nasir O., Dimas K., Bhavsar S.K., Föller M., Alevizopoulos K., Lang F., Stournaras C. 2009. Functional membrane androgen receptors in colon tumors trigger pro-apoptotic responses in vitro and reduce drastically tumor incidence in vivo. Mol. Cancer. 8, 114. https://doi.org/10.1186/1476-4598-8-114
- Mahbub A.A. 2022. Therapeutic strategies and potential actions of female sex steroid hormones and their receptors in colon cancer based on preclinical studies. Life (Basel). 12 (4), 605. https://doi.org/10.3390/life12040605
- Herraez E., Gonzalez-Sanchez E., Vaquero J., Romero M.R., Serrano M.A., Marin J.J., Briz O. 2012. Cisplatin-induced chemoresistance in colon cancer cells involves FXR-dependent and FXR-independent up-regulation of ABC proteins. Mol. Pharm. 9 (9), 2565–2576. https://doi.org/10.1021/mp300178a
Supplementary files






