Cell Lines with a Single Functional Isoform of the IP3 Receptor
- 作者: Kopylova E.Е.1, Voronova E.A.1, Kabanova N.V.1, Rogachevskaja О.А.1, Bystrova M.F.1, Kolesnikov S.S.1
-
隶属关系:
- Institute of Cell Biophysics, Russian Academy of Sciences, FRC PSCBR RAS
- 期: 卷 40, 编号 1 (2023)
- 页面: 43-54
- 栏目: Articles
- URL: https://bakhtiniada.ru/0233-4755/article/view/135022
- DOI: https://doi.org/10.31857/S0233475523010036
- EDN: https://elibrary.ru/NSLVHI
- ID: 135022
如何引用文章
全文:
详细
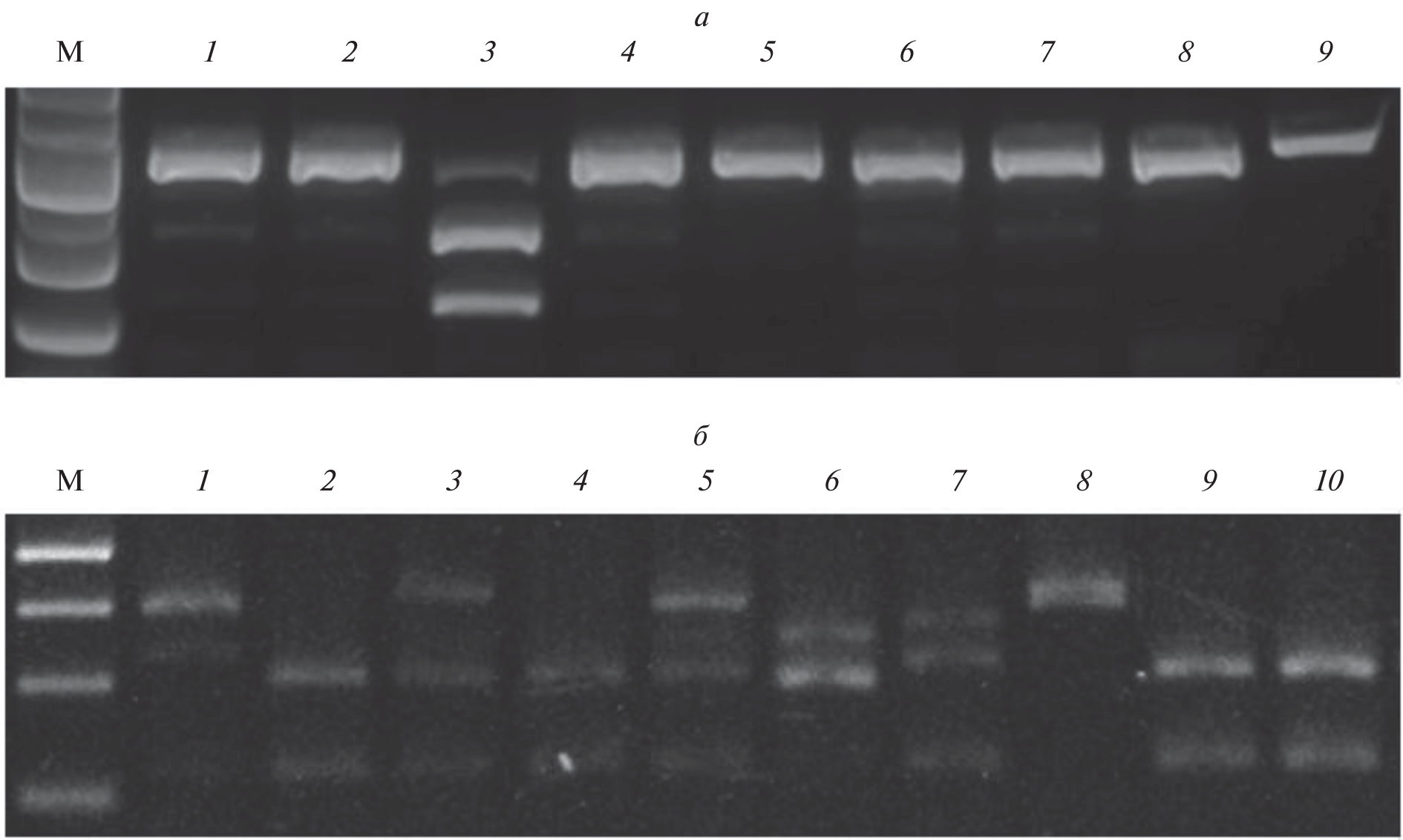
Many agonists regulate cellular functions through surface receptors coupled by the phosphoinositide cascade to Са2+ mobilization. In unexcitable cells, the generation of Са2+ signals relies largely on Са2+ release from из Са2+ store localized in the endoplasmic reticulum (ER). In this system, IP3 receptors (IP3Rs), which are intracellular IP3-gated Са2+- channels, mediate controllable Ca2+ release from Ca2+ store in response to cell stimulation. A variety of factors embarrass both the analysis of a specific role for IP3Rs in cell physiology and detailing their regulatory mechanisms. Firstly, three genes encode IP3Rs, while cells usually express two or even all of them. Moreover, different IP3R isoforms are under control of distinct mechanisms. Yet, isoform-specific antagonists of IP3Rs have not been identified yet. Cell lines that express a single isoform appear to be an effective cellular model for studying regulatory mechanisms, pharmacology, and physiological role of I-P3R subtypes. Here we employed the CRISPR/Cas9 technology to inactivate genes of IP3Rs in cells of the HEK-293 line, which express all three isoforms. Several monoclones of genetically modified HEK-293 were obtained, and those containing biallelic inactivation mutation in two IP3R genes were identified. Finally, three monoclonal cell lines, each containing the only functional IP3R isoform, were generated. These cellular models can be used to evaluate a role for IP3R of a particular subtype in agonist-induced Ca2+ signaling as well as for the analysis of their regulatory mechanisms.
作者简介
E. Kopylova
Institute of Cell Biophysics, Russian Academy of Sciences, FRC PSCBR RAS
Email: staskolesnikov@yahoo.com
Russia, 142290, Moscow oblast, Pushchino
E. Voronova
Institute of Cell Biophysics, Russian Academy of Sciences, FRC PSCBR RAS
Email: staskolesnikov@yahoo.com
Russia, 142290, Moscow oblast, Pushchino
N. Kabanova
Institute of Cell Biophysics, Russian Academy of Sciences, FRC PSCBR RAS
Email: staskolesnikov@yahoo.com
Russia, 142290, Moscow oblast, Pushchino
О. Rogachevskaja
Institute of Cell Biophysics, Russian Academy of Sciences, FRC PSCBR RAS
Email: staskolesnikov@yahoo.com
Russia, 142290, Moscow oblast, Pushchino
M. Bystrova
Institute of Cell Biophysics, Russian Academy of Sciences, FRC PSCBR RAS
Email: staskolesnikov@yahoo.com
Russia, 142290, Moscow oblast, Pushchino
S. Kolesnikov
Institute of Cell Biophysics, Russian Academy of Sciences, FRC PSCBR RAS
编辑信件的主要联系方式.
Email: staskolesnikov@yahoo.com
Russia, 142290, Moscow oblast, Pushchino
参考
- Foskett J.K., White C., Cheung K.-H., Mak D.O. 2007. Inositol trisphosphate receptor Ca2+ release channels. Physiol Rev. 87, 593–658.
- Berridge M.J., Bootman M.D., Roderick H.L. 2003. Calcium signalling: dynamics, homeostasis and remodelling. Nat. Rev. Mol. Cell. Biol. 4, 517–529.
- Clapham D.E. Calcium signaling. 2007. Cell 131, 1047– 1058.
- Zampese E., Pizzo P. 2012. Intracellular organelles in the saga of Ca2+ homeostasis: different molecules for different purposes? Cell. Mol. Life Sci. 69, 1077–1104.
- Takeshima H., Venturi E., Sitsapesan R. New and notable ion-channels in the sarcoplasmic/endoplasmic reticulum: Do they support the process of intracellular Ca2+ release? 2015. J. Physiol. 593, 3241–3251.
- Carreras-Sureda A, Pihán P, Hetz C. 2018. Calcium signaling at the endoplasmic reticulum: Fine-tuning stress responses. Cell Calcium 70, 24–31.
- Berridge M.J. 2016. The inositol trisphosphate/calcium signaling pathway in health and disease. Physiol. Rev. 96, 1261–1296.
- Hamada K., Mikoshiba K. 2020. IP3 receptor plasticity underlying diverse functions. Annu. Rev. Physiol. 82, 151–176.
- Milligan G., Inoue A. 2018. Genome editing provides new insights into receptor-controlled signalling pathways. Trends Pharm. Sci. 39, 481–493. https://doi.org/10.1016/j.tips.2018.02.005
- Wijshake T., Baker D.J., van de Sluis B. 2014. Endonucleases: new tools to edit the mouse genome. Biochim. Bioph. Acta. 1842, 1942–1950.
- Jiang F., Doudna J.A. 2017. CRISPR–Cas9 structures and mechanisms. Annu. Rev. Biophys. 46, 505–529.
- Lock J.T., Alzayady K.J., Yule D.I., Parker I. 2018. All three IP3 receptor isoforms generate Ca2+ puffs that display similar characteristics. Sci. Signal. 11, eaau0344.
- Sledzinski P., Dabrowska M., Nowaczyk M., Olejniczak M. 2021. Paving the way towards precise and safe CRISPR genome editing. Biotechnol Adv. 49, 107737.
- Chiang T.W., le Sage C., Larrieu D., Demir M., Jackson S.P. 2016. CRISPR-Cas9(D10A) nickase-based genotypic and phenotypic screening to enhance genome editing. Sci. Rep. 6, 24356.
- Kim J.M., Kim D., Kim S., Kim J.S. 2014. Genotyping with CRISPR-Cas-derived RNA-guided endonucleases. Nat. Commun. 5, 3157.
- Ломов Н.А., Вьюшков В.С., Петренко А.П., Сыркина М.С., Рубцов М.А. 2019. Методы оценки эффективности работы систем CRISPR/Cas 9 при геномном редактировании. Мол. биол. 53, 982–997.
- Смирнов А.В., Юнусова А.М., Лукьянчикова В.А., Баттулин Н.Р. 2016. Система CRISPR/Cas9 – универсальный инструмент геномной инженерии. Вавиловский журн. генетики и селекции. 20, 493–510.
- Allen F., Crepaldi L., Alsinet C., Strong A.J., Kleshchevnikov V., De Angeli P., Páleníková P., Khodak A., Kiselev V., Kosicki M., Bassett A.R., Harding H., Galanty Y., Muñoz-Martínez F., Metzakopian E., Jackson S.P., Parts L. 2018. Predicting the mutations generated by repair of Cas9-induced double-strand breaks. Nat. Biotechnol. 27, 10.
- Bennett E.P., Petersen B.L., Johansen I.E., Niu Y., Yang Z., Chamberlain Ch.A., Met Ö., Wandall H.H., Frödin M. 2020. INDEL detection, the ‘Achilles heel’ of precise genome editing: A survey of methods for accurate profiling of gene editing induced indels. Nucleic Acids Res. 48, 11958–11981.
- Lemmon M.A., Schlessinger J. 2010. Cell signaling by receptor tyrosine kinases. Cell. 141, 1117–1134.
- Parys J.B., Vervliet T. 2020. New insights in the IP3 receptor and its regulation. Adv. Exp. Med. Biol. 1131, 243–270.
- Sugawara H., Kurosaki M., Takata M., Kurosaki T. 1997. Genetic evidence for involvement of type 1, type 2 and type 3 inositol 1,4,5-trisphosphate receptors in signal transduction through the B-cell antigen receptor. EMBO J. 16, 3078–3088.
- Cardenas C., Miller R.A., Smith I., Bui T., Molgó J., Müller M., Vais H., Cheung K.H., Yang J., Parker I., Thompson C.B., Birnbaum M.J., Hallows K.R., Foskett J.K. 2010. Essential regulation of cell bioenergetics by constitutive InsP3 receptor Ca2+ transfer to mitochondria. Cell. 142, 270–283.
- Bartok A., Weaver D., Golenár T., Nichtova Z., Katona M., Bánsághi S., Alzayady K.J., Thomas V.K., Ando H., Mikoshiba K., Joseph S.K., Yule D.I., Csordás G., Hajnóczky G. 2019. IP3 receptor isoforms differently regulate ER-mitochondrial contacts and local calcium transfer. Nat. Commun. 10, 3726.
- Saleem H., Tovey S.C., Rahman T., Riley A.M., Potter B.V., Taylor C.W. 2013. Stimulation of inositol 1,4,5-trisphosphate (IP3) receptor subtypes by analogues of IP3. PLoS One. 8, 54877.
- Alzayady K.J., Wang L., Chandrasekhar R., Wagner II L.E., Petegem F.V., Yule D.I. 2016. Defining the stoichiometry of inositol 1,4,5-trisphosphate binding required to initiate Ca2+ release. Sci. Signal. 9, ra35.
- Hu J., Han J., Li H., Zhang X., Liu L.L., Chen F., Zen-g B. 2018. Human embryonic kidney 293 cells: A vehicle for biopharmaceutical manufacturing, structural biology, and electrophysiology. Cells Tissues Organs. 205, 1–8.
补充文件







