Structural Changes in Liver Histology in Common Kilka Clupeonella caspia Svetovidov, 1941 under Anthropogenic Pressure
- Authors: Nguyen T.V.1, Grushko M.P.1,2, Fedorova N.N.1, Chaplygin V.A.1
-
Affiliations:
- Astrakhan State Technical University
- Russian Biotechnological University
- Issue: Vol 50, No 3 (2024)
- Pages: 245-250
- Section: КРАТКИЕ СООБЩЕНИЯ
- Accepted: 30.10.2024
- Published: 15.06.2024
- URL: https://bakhtiniada.ru/0134-3475/article/view/267958
- DOI: https://doi.org/10.31857/S0134347524030072
- ID: 267958
Cite item
Full Text
Abstract
Histopathological changes are widely used as biomarkers of the health status of fish exposed to chemical compounds. Individuals of the common kilka Clupeonella caspia Svetovidov, 1941 caught from the Middle Caspian Sea exhibited significant changes in the cellular structure of the liver. The more common were signs of hyperemia: an edema of the liver parenchyma, vascular congestion, lympho-macrophage infiltration, small hemorrhages, and a narrowing of the bile duct lumen.
Keywords
Full Text
Рыбы, как и другие водные организмы, часто подвергаются негативному воздействию загрязнителей окружающей среды, таких как стоки промышленных предприятий и сельскохозяйственных объектов. Наиболее опасными для гидробионтов являются вещества, которые устойчивы к быстрому разложению в природной среде, проявляют значительную биологическую эффективность и обладают высоким потенциалом накопления (Bernet et al., 1999; Au, 2004; López-López, Sedeño-Díaz, 2015). У рыб поллютанты могут вызывать множество проблем со здоровьем, в том числе структурные изменения и заболевания на уровне популяции (Schmalz et al., 2002; Lukin et al., 2011). Ранние токсические эффекты загрязнения могут проявляться на клеточном или тканевом уровне, прежде чем можно будет выявить значительные изменения в поведении или внешнем виде рыб.
Гистологические показатели являются очень чувствительным параметром и имеют решающее значение для определения клеточных изменений в органах-мишенях, таких как печень. Гистопатологические изменения широко используются для биомониторинга как биомаркёров состояния здоровья рыб, подвергшихся воздействию химических соединений в лабораторных экспериментах (Thophon et al., 2003; Boran et al., 2012), или в полевых исследованиях (Неваленный и др., 2022б; Stendiford et al., 2003). Гистопатологические изменения в тканях животных также являются первичными биоиндикаторами воздействия факторов, вызывающих экологический стресс (Teh et al., 1997).
Печень играет важную роль в поглощении, биотрансформации и детоксикации загрязняющих веществ (Gernhöfer et al., 2001), а исследования эндемичных видов рыб показали, что гистопатологии печени являются полезными эталонными биомаркёрами воздействия загрязняющих веществ (An atlas …, 1982; Stendiford et al., 2003; Van Dyk et al., 2012; Oliva et al., 2013). Таким образом, гистология печени рыб может служить моделью для изучения взаимодействий между факторами окружающей среды и структурой и функцией печени (Терпугова и др., 2022; Hinton, Laurén, 1993; Gernhöfer et al., 2001).
Цель данной работы – изучение гистологических изменений в печени обыкновенной кильки Clupeonella caspia в условиях деградации водной среды под воздействием антропогенной деятельности.
МАТЕРИАЛ И МЕТОДИКА
Объектом исследования служили взрослые особи обыкновенной кильки Clupeonella caspia Svetovidov, 1941, выловленные в центральной части Среднего Каспия в сентябре 2022 г. Для оценки состояния внутренних органов и тканей отобрали 30 особей. Промысловая длина рыб (l) (от вершины рыла до основания средних лучей хвостового плавника) в среднем составляла 10.02 ± 0. 39 см. Средняя абсолютная длина (L) (от кончика головы до конца длинной лопасти хвостового плавника) – 11.5 ± 0.32 см (Правдин, 1966). Для фиксации проб органов использовали 10% раствор нейтрального формалина, далее материал заливали в парафин, делали срезы толщиной 5 микрометров и окрашивали гематоксилин-эозином. Квасцовым гематоксилином Эрлиха окрашивали ядра, эозином – цитоплазму клеток. Депарафиновые срезы окрашивали раствором гематоксилина в течение 10–15 мин, затем их переносили в дистиллированную воду и промывали в воде с небольшим количеством щелочи. Окрашенные гематоксилином срезы переносили в раствор эозина на 0.5–2 минуты, затем промывали в дистиллированной воде, и, обезводив в спиртах, заключали через ксилол в канадский бальзам (Волкова, Елецкий, 1989; Мельникова, 2015). Микроскопию и микросъемку срезов органов осуществляли с помощью светового микроскопа Olympus ВХ-43.
РЕЗУЛЬТАТЫ
Балочная структура печени обыкновенной кильки в целом была без изменений. Были выделены основные элементы ее строения: гепатоциты, синусоидные капилляры, вены, желчные протоки (рис. 1, 2). Несмотря на присутствие этих структур, типичная триада печени, характерная для млекопитающих, у рыб отсутствует (Гентен и др., 2016). Трабекулярная архитектоника не была выражена. Между гепатоцитами встречались макрофаги. Гепатоциты представляли собой крупные клетки диаметром 3.72 ± 0.09 мкм с хорошо выраженным круглым ядром. В ядре имелись 1–3 ядрышка. Тем не менее у большинства исследуемых особей наблюдались патологические изменения гистологической структуры печени.
Рис. 1. Сохранившаяся структура печени обыкновенной кильки Clupeonella caspia. Ув. ×1000. 1 – гепатоцит с круглым ядром, 2 – центральная вена, 3 – эритроциты
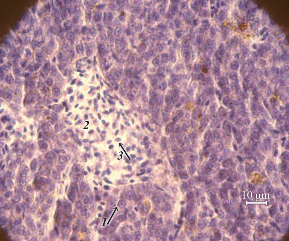
Рис. 2. Суженный просвет желчного протока в печени обыкновенной кильки Clupeonella caspia. Ув. ×400. 1 – отрыв базальной мембраны от кубических эпителиоцитов, 2 – сужение просвета желчного протока, 3 – крупная гранула гемосидерина, 4 – междольковая вена, 5 – форменные элементы крови
У основной массы изученных рыб было отмечено полнокровие сосудов, просветы которых были заполнены форменными клетками крови. В строме печени большинства рыб наблюдалась лимфо-макрофагальная инфильтрация, что свидетельствовало о наличии воспалительных процессов в органе. Просветы желчного протока были сужены. Однослойный кубический эпителий, который выстилал желчные протоки, имел разрыв базальных мембран в некоторых местах (рис. 2). На срезе были отмечены гемосидеринные зерна различной величины, так называемые меланомакрофаговые центры печени (ММЦ). Диаметр таких зерен варьировал от 1 до 7.53 мкм. Около кровеносных сосудов встречались гигантские гемосидеринные гранулы округлой формы (рис. 2). Лейкоцитарная реакция вокруг ММЦ отсутствовала, и они непосредственно контактировали с паренхимой печени или со структурами адвентициальной оболочки кровеносного сосуда.
Кроме того, на срезе были отмечены мелкие кровоизлияния, что свидетельствовало о микроциркулярном расстройстве. У отдельных особей паренхима печени была отечна, не определялись границы клеток печени или их ядер. Серозная оболочка печени была разрушена. Балочная структура также не сохранена. На срезах печени других особей кильки регистрировали участки гепатоцеллюлярной аденомы, представляющие собой доброкачественные опухолевые образования, четко отделенные от окружающей паренхимы соединительной тканью (рис. 3).
Рис. 3. Гепатоцеллюлярная аденома на фоне лейкоцитарной инфильтрации в печени обыкновенной кильки Clupeonella caspia. Ув. ×400. 1 – отдельный участок опухоли, 2 – отек паренхимы печени, 3 – вена
ОБСУЖДЕНИЕ
Скопления пигментированных клеток, называемые меланомакрофаговыми центрами, присутствуют в селезенке, печени и почках как часть защитной системы рыб, амфибий и рептилий, и используются в качестве объектов микропатоморфологических и токсикологических исследований (Mackmull, Michels, 1932; Roberts, 1975; Wolke et al., 1985; Scalia et al., 1988; Pintucci et al., 1990; Wolke, 1992; Khan et al., 1994; Couillard, Hodson, 1996; Haaparanta et al., 1996; Zuasti et al., 1998). Основными функциями ММЦ являются хранение, разрушение и детоксикация эндогенного и экзогенного материалов, включая паразитов (Roberts, 1975; Wolke, 1992; Agius, Roberts, 2003). В зависимости от разнообразия пигментов и клеточного состава меланомакрофаги на срезах различаются по форме и окрашиваются гематоксилин-эозином от желтого до золотисто-коричневого и черного. Было доказано, что пролиферация ММЦ зависит от нескольких факторов, таких как возраст, репродуктивная стадия, инфекционные заболевания и токсические загрязнения (Agius, Roberts, 2003; Rabitto et al., 2005). Следовательно, интенсивность проявления MMЦ была предложена в качестве потенциально полезного биомаркера загрязнения и деградации окружающей среды (Murchelano, Wolke, 1991; Manera et al., 2000). Результаты исследований ряда ученых показали, что наличие гемосидерина в ММЦ нередко связано с воспалительным процессом, вызванным микроорганизмами или токсикологическим стрессом (Gomes et al., 2015; Oliveira et al., 2015). Увеличение количества ММЦ может быть объяснено воздействием загрязняющих веществ на организм рыб, питанием, наличием болезней и условиями окружающей среды (Черепанова и др., 2019; Manrique et al., 2014; Rabitto et al., 2005; Ribeiro et al., 2011). Более того, увеличение количества меланомакрофагов было отмечено у рыб, подверженных воздействию токсических веществ, и указывает на повышенную концентрацию тяжелых металлов в окружающей среде (Poleksic et al., 2010). Как было установлено, обыкновенная килька способна аккумулировать тяжелые металлы, такие как медь, цинк и ртуть (Зайцев, 2020; Неваленный и др., 2022а).
Полнокровие – это увеличение притока крови к тканям печени, что является свидетельством детоксикации и, следовательно, рассматривается как показатель стресса, возникающего у рыб в присутствии ксенобиотиков (Rezende et al., 2014). Была выявлена корреляция между загрязнением металлами и патологическими изменениям печени моссульской уклейки Alburnus mossulensis (Dane, Şişman, 2020).
Многие авторы объясняли изменения в печени рыб воздействием токсичных веществ, например, цинка (Abdel-Warith et al., 2011), алюминия (Hadi, Alwan, 2012), сульфата кадмия (Jalaludeen et al., 2012) и трихлорофона (Xu et al., 2012). Наличие лейкоцитарной инфильтрации часто связано с воспалительным процессом, протекающим в организме рыб (Wolf, Wheeler, 2018). Гистологическое исследование печени особей подуста обыкновенного Chondrostoma nasus, выловленного в верхнем участке р. Муреш (Румыния), выявило подобные изменения ткани органа (очаговое воспаление с лимфоцитарной инфильтрацией, накопление макрофагов и некроз одиночных гепатоцитов). Именно у этих рыб было исключительно высокое накопление кадмия и меди в печени, что является подтверждением и наших результатов.
Таким образом, выявленные гистологические особенности печени обыкновенной кильки в исследованных местообитаниях свидетельствовали о наличии стрессирующего воздействия, возможно, связанного с измененными гидрохимическими показателями воды Среднего Каспия или взаимодействием комплекса факторов. Для более точной оценки состояния окружающей среды и обитающих в ней организмов необходимо провести детальные исследования с применением различных методов.
ФИНАНСИРОВАНИЕ РАБОТЫ
Данная работа финансировалась за счет средств бюджетов Астраханского государственного технического университета и Российского биотехнологического университета (РОСБИОТЕХ). Никаких дополнительных грантов на проведение или руководство данным конкретным исследованием получено не было.
СОБЛЮДЕНИЕ ЭТИЧЕСКИХ СТАНДАРТОВ
Эксперименты с животными проводились в соответствии с рекомендациями этической комиссии Научно-технического совета ФГБОУ ВО “Астраханский государственный технический университет”; с соблюдением принципа “3 R” (Replace, Reduce and Refine: замена, сокращение и усовершенствование – см. Zurlo et al, 1996), принципов Европейской конвенции о защите позвоночных животных, используемых для экспериментов и других научных целей (Страсбург, 1986 г.) и Директивой 2010/63/EU Европейского парламента и Совета Европейского союза от 22 сентября 2010 г. по охране животных, используемых в научных целях.
КОНФЛИКТ ИНТЕРЕСОВ
Авторы данной работы заявляют, что у них нет конфликта интересов.
About the authors
T. H. V. Nguyen
Astrakhan State Technical University
Author for correspondence.
Email: hongvannguyen@mail.ru
ORCID iD: 0000-0002-6910-2705
Russian Federation, Astrakhan
M. P. Grushko
Astrakhan State Technical University; Russian Biotechnological University
Email: hongvannguyen@mail.ru
ORCID iD: 0000-0001-7529-5382
Russian Federation, Astrakhan; Moscow
N. N. Fedorova
Astrakhan State Technical University
Email: hongvannguyen@mail.ru
ORCID iD: 0000-0001-9411-6642
Russian Federation, Astrakhan
V. A. Chaplygin
Astrakhan State Technical University
Email: hongvannguyen@mail.ru
ORCID iD: 0000-0002-0509-702X
Russian Federation, Astrakhan
References
- Волкова О.В., Елецкий Ю.К. Основы гистологии с гистологической техникой. М.: Медицина. 1989. С. 142–256.
- Гентен Ф., Тервинге Э., Данги А. Атлас гистологии рыб. СПб.: Проспект науки. 2016.
- Зайцев В.Ф. Биогеохимия Каспийского моря в условиях техногенеза биосферы // Биогеохимические инновации в условиях коррекции техногенеза биосферы: Тр. Международ. биогеохимичесого симпозиума (Тирасполь, 5–7 ноября 2020). 2020. Т. 1. С. 67–71.
- Мельникова М.С. Гистопатологические методы в оценке состояния здоровья рыб при искусственном выращивании // Проблемы патологии, иммунологии и охраны здоровья рыб и других гидробионтов: расширенные материалы IV Международ. конф. (Борок, 24–27 сентября 2015). Ярославль: Филигрань. 2015. С. 331–337.
- Неваленный А.Н., Ершова Т.С., Зайцев В.Ф., Чаплыгин В.А. Биогеохимический мониторинг содержания химических элементов Каспийского моря // Вестн. АГТУ. Сер.: Рыб. хоз-во. 2022а. № 4. С. 22–28.
- Неваленный А., Чаплыгин В., Федорова Н. Особенности изменений внутренних органов кефали-сингиля Liza aurata (Risso, 1910) // Вестн. АГТУ. Сер.: Рыб. хоз-во. 2022б. № 3. С. 60–65.
- Правдин И.Ф. Руководство по изучению рыб (преимущественно пресноводных). Москва: Пищ. пром-сть. 1966.
- Терпугова Н.Ю., Ван Н.Т.Х., Грушко М.П., Федорова Н.Н. Патоморфология печени и жабр у рыб дельты Волги // Вестн. Керченского гос. морского технол. ун-та. 2022. № 3. С. 39–49.
- Черепанова А.А., Дробот Г.П., Осипов В.В. и др. Гистохимическое исследование печени двух видов карасей из водоемов заповедника “Приволжская лесостепь” // Современные проблемы медицины и естественных наук. 2019. Вып. 8. C. 174–175.
- Abdel-Warith A.A., Younis E.M., Al-Asgah N.A., Wahbi O.M. Effect of zinc toxicity on liver histology of Nile tilapia, Oreochromis niloticus // Sci. Res. Essays. 2011. V. 6. № 17. P. 3760–3769.
- Agius C., Roberts R.J. Melano-macrophage centres and their role in fish pathology // J. Fish Dis. 2003. V. 26. № 9. P. 499–509. doi: 10.1046/j.1365-2761.2003.00485.x
- An atlas of fish histology: Normal and pathological feature / ed. T. Hibiya. Tokyo: Kodansha. 1982.
- Au D.W.T. The application of histo-cytopathological biomarkers in marine pollution monitoring: a review // Mar. Pollut. Bull. 2004. V. 48. № 9–10. P. 817–834.
- Bernet D., Schmidt H., Meier W. et al. Histopathology in fish: proposal for a protocol to assess aquatic pollution // J. Fish Dis. 1999. V. 22. № 1. P. 25–34.
- Boran H., Capkin E., Altinok I., Terzi E. Assessment of acute toxicity and histopathology of the fungicide captan in rainbow trout // Exp. Toxicol. Pathol. 2012. V. 64. № 3. P. 175–179.
- Couillard C.M., Hodson P.V. Pigmented macrophage aggregates: a toxic response in fish exposed to bleached-kraft mill effluent? // Environ. Toxicol. Chem. 1996. V. 15. P. 1844–1854.
- Dane H., Şişman T. Effects of heavy metal pollution on hepatosomatic ındex and vital organ histology in Alburnus mossulensis from Karasu River // Turk. J. Vet. Anim. Sci. 2020. V. 44. P. 607–617.
- 3906/vet-1904-50
- Gernhöfer M., Pawet M., Schramm M. et al. Ultrastructural biomarkers as tools to characterize the health status of fish in contaminated streams // J. Aquat. Ecosyst. Stress Recovery. 2001. V. 8. № 3–4. P. 241–260.
- Gomes I.B.S., Porto M.L., Santos M.C.L. et al. The protective effects of oral low-dose quercetin on diabetic nephropathy in hypercholesterolemic mice // Front. Physiol. 2015. V. 6. Art. ID 247.
- Haaparanta A., Valtonen E.T., Hoffmann R., Holmes J. Do macrophage centres in fresh water fishes reflect the differences in water quality? // Aquat. Toxic. 1996. V. 34. P. 253–272.
- Hadi A.A., Alwan S.F. Histopathological changes in gills, liver and kidney of fresh water fish, Tilapia zillii, exposed to aluminum // Int. J. Pharm. Life Sci. 2012. V. 3. № 11. P. 2071–2081.
- Hinton D.E., Laurén D.J. Liver structural alterations accompanying chronic toxicity in fishes: potential biomarkers of exposure // Biomarkers of environmental contamination. Boca Raton: Lewis Publ. 1993. Р. 51–65.
- Jalaludeen M.D., Arunachalam M., Raja M. et al. Histopathology of the gill, liver and kidney tissues of the freshwater fish Tilapia mossambica exposed to cadmium sulphate // Int. J. Adv. Biol. Res. 2012. V. 2. № 4. P. 572–578.
- Khan R.A., Barker D.E., Hooper R. et al. Histopathology in winter flounder (Pleuronectes americanus) living adjacent to a pulp and paper mill // Arch. Environ. Contam. Toxicol. 1994. V. 26. P. 95–102.
- López-López E., Sedeño-Díaz J.E. Biological indicators of water quality: The role of fish and macroinvertebrates as indicators of water quality // Environmental Indicators, Dordrecht: Springer. 2015. P. 643–661. doi: 10.1007/978-94-017-9499-2_37
- Lukin A., Sharova J., Belicheva L., Camus L. Assessment of fish health status in the Pechora River: effects of contamination // Ecotoxicol. Environ. Saf. 2011. V. 74. № 3. P. 355–365.
- Mackmull G., Michels N.A. Absorption of colloidal carbon from the peritoneal cavity in the teleost Tautogolabrus adspersus // Am. J. Anat. 1932. V. 51. P. 3–47.
- Manera M., Serra R., Isani G., Carpené E. Macrophage aggregates in gilthead sea bream fed copper, iron and zinc enriched diets // J. Fish Biol. 2000. V. 57. P. 457–465. doi: 10.1111/j.1095- 8649.2000.tb02184.x
- Manrique W.G., Claudiano G.S., Petrillo T.R. et al. Response of splenic melanomacrophage centers of Oreochromis niloticus (Linnaeus, 1758) to inflammatory stimuli by BCG and foreign bodies // J. Appl. Ichthyol. 2014. V. 30. № 5. P. 1001–1006.
- Murchelano R.A., Wolke R.E. Neoplasms and nonneoplastic liver lesions in winter flounder, Pseudopleuronectes americanus, from Boston Harbor, Massachusetts // Environ. Health Perspect. 1991. V 90. P. 17–26.
- Oliva M., Vicente-Martorell J.J., Galindo-Riano M.D., Perales J.A. Histopathological alterations in Senegal sole, Solea senegalensis, from a polluted Huelva estuary (SW, Spain) // Fish Physiol. Biochem. 2013. V. 39. № 3. P. 523–545.
- Oliveira L.A., Almeida J., Benini R., Crestani C.C. CRF1 and CRF2 receptors in the bed nucleus of the stria terminalis modulate the cardiovascular responses to acute restraint stress in rats // Pharmacol. Res. 2015. V. 95–96. P. 53–62. doi: 10.1016/j.phrs.2015.03.012
- Pintucci G., Manzionna M., Maida I. et al. Morpho-functional characterization of cultured pigment cells from Rana esculenta L. liver // In Vitro Cell Dev. Biol. 1990. V. 26. P. 659–664.
- Poleksic V., Lenhardt M., Jaric I. et al. Liver, gills, and skin histopathology and heavy metal content of the Danube sterlet (Acipenser ruthenus Linnaeus, 1758) // Environ. Toxicol. Chem. 2010. V. 29. № 3. P. 515–521. doi: 10.1002/etc.82
- Rabitto I.S., Costa J.R.M.A., Assis H.C.S. et al. Effects of dietary Pb(II) and tributyltin on neotropical fish, Hoplias malabaricus: histopathological and biochemical findings // Ecotoxicol. Environ. Saf. 2005. V. 60. № 2. P. 147–156.
- Rezende K.F.O., Santos R.M., Borges J.C.S. et al. Histopathological and genotoxic effects of pollution on Nile Tilapia (Oreochromis niloticus, Linnaeus, 1758) in the Billings Reservoir (Brazil) // Toxicol. Mech. Methods. 2014. V. 24. № 6. P. 404–411. doi: 10.3109/15376516.2014.925020
- Ribeiro H.J., Procópio M.S., Gomes J.M.M. et al. Functional dissimilarity of melanomacrophage centres in the liver and spleen from females of the teleost fish Prochilodus argenteus // Cell Tissue Res. 2011. V. 346. № 3. P. 417–425.
- Roberts R.J. Melanin-containing cells of teleost fish and their relation to disease // The pathology of fishes. Madison, Wis.: Univ. Wisconsin Press. 1975. P. 399–428.
- Scalia M., Geremia E., Corsaro C. et al. The extracutaneous pigmentary system: evidence for melanosynthesis in Amphibia and Reptilia liver // Comp. Biochem. Physiol. Part B: Comp. Biochem. 1988. V. 89. P. 715–717.
- Schmalz W.F.Jr., Hernandez A.D., Weis P. Hepatic histopathology in two populations of the mummichog, Fundulus heteroclitus // Mar. Environ. Res. 2002. V. 54. № 3–5. P. 539–542.
- Stentiford G.D., Longshaw M., Lyons B.P. et al. Histopathological biomarkers in estuarine fish species for the assessment of biological effects of contaminants // Mar. Environ. Res. 2003. V. 55. № 2. P. 137–159.
- Teh S.J., Adams S.M., Hinton D.E. Histopathological biomarkers in freshwater fish populations exposed to different types of contaminant stress // Aquat. Toxicol. 1997. V. 37. P. 51–70. doi: 10.1016/S0166-445X(96)00808-9
- Thophon S., Kruatrachue M., Upathan E.S. et al. Histopathological alterations of white seabass, Lates calcarifer, in acute and subchronic cadmium exposure // Environ. Pollut. 2003. V. 121. № 3. P. 307–320.
- Van Dyk J.C., Cochrane M.J., Wagenaar G.M. Liver histopathology of the sharptooth catfish Clarias gariepinus as a biomarker of aquatic pollution // Chemosphere. 2012. V. 87. № 4. P. 301–311.
- Wolf J.C., Wheeler J.R. A critical review of histopathological findings associated with endocrine and non-endocrine hepatic toxicity in fish models // Aquat. Toxicol. 2018. V. 197. P. 60–78. doi: 10.1016/j.aquatox.2018.01.013
- Wolke R.E. Piscine macrophage aggregates: a review // Annu. Rev. Fish Dis. 1992. V. 2. P. 91–108.
- Wolke R.E., Murchelano R.A., Dickstein C., George C.J. Preliminary evaluation of the use of macrophage aggregates (MA) as fish health monitors // Bull. Environ. Contamin. Toxicol. 1985. V. 35. P. 222–227.
- Xu W., Liu W., Lu K. et al. Effect of trichlorfon on oxidative stress and hepatocyte apoptosis of Carassius auratus gibelio in vivo // Fish Physiol. Biochem. 2012. V. 38. P. 769–775. https://doi.org/10.1007/s10695-011-9559-z
- Zuasti A., Jiménez-Cervantes C., García-Borón J.C., Ferrer C. The melanogenic system of Xenopus laevis // Arch. Histol. Cytol. 1998. V. 61. P. 305–316.
- Zurlo J., Rudacille D., Goldberg A.M. The three Rs: the way forward // Environ. Health Perspect. 1996. V. 104. P. 878–880.
Supplementary files





