Hybrid proteins containing proteorhodopsin from Exiguobacterium sibiricum
- Authors: Petrovskaya L.E.1,2, Kryukova E.A.1,3, Bolshakov V.A.4, Lukashev E.P.4, Siletsky S.A.4, Mamedov M.D.4, Sudakov R.V.4, Dolgikh D.A.1,3,4, Kirpichnikov M.P.1,4
-
Affiliations:
- Shemyakin–Ovchinnikov Institute of Bioorganic Chemistry, RAS
- Moscow Institute of Physics and Technology
- Emanuel Institute of Biochemical Physics
- Lomonosov Moscow State University
- Issue: Vol 50, No 3 (2024)
- Pages: 301-310
- Section: Articles
- URL: https://bakhtiniada.ru/0132-3423/article/view/261482
- DOI: https://doi.org/10.31857/S0132342324030099
- EDN: https://elibrary.ru/NZAHXH
- ID: 261482
Cite item
Full Text
Abstract
The genes of hybrid proteins including Exiguobacterium sibiricum proteorhodopsin (ESR) and various N-terminal soluble domains have been constructed. Effective synthesis in Escherichia coli cells was observed only in the case of hybrids with chaperone Caf1M and maltose-binding protein MBP expressed as precursors with their own signal sequences. The study of the isolated MBP-ESR protein in micelles and proteoliposomes demonstrated formation and decay of the main photocycle intermediates at pH > 8. The photoelectric response of the hybrid proteins Caf-ESR and MBP-ESR is comparable in amplitude to the wild-type ESR response, indicating their homogeneous orientation in the membrane. The obtained constructions can be used to create bacterial expression systems for various retinal proteins, ensuring their uniform incorporation into proteoliposomes.
Full Text
Сокращения: ESR – ретинальный белок Exiguobacterium sibiricum; BR – бактериородопсин; Caf1M – шаперон капсульного антигена F1; DDM – n-додецил-β-D-мальтопиранозид; MBP – мальтозосвязывающий белок; PR – протеородопсин; wt ESR – ESR дикого типа.
ВВЕДЕНИЕ
Микробные родопсины – мембранные светочувствительные белки, содержащие хромофор ретиналь, который связан через основание Шиффа с остатком лизина [1–3]. В результате поглощения кванта света в их молекулах происходит ряд молекулярных событий, включающих изомеризацию ретиналя и его возвращение в исходное состояние, изменение степени протонирования основания Шиффа и ключевых аминокислотных остатков, трансмембранный перенос протонов или других ионов в случае ион-транспортных родопсинов [4, 5]. Наиболее известный и хорошо изученный представитель семейства – бактериородопсин (BR), обнаруженный в пурпурных мембранах Halobacterium salinarum [6, 7]. Значительный вклад в исследования этого белка внесли Ю.А. Овчинников и его сотрудники [8, 9].
Родопсины выполняют в клетках микроорганизмов разнообразные функции, однако можно утверждать, что наиболее распространенная функция этих белков –энергетическая. В результате трансмембранного переноса протонов BR создает электрохимический градиент (протон-движущую силу), которая используется клетками для синтеза АТФ при участии АТФ-синтазы. Такой способ генерации энергии, основанный на протонтранспортной активности BR, позволяет галобактериям выживать при понижении концентрации кислорода в среде [10]. Позднее у различных морских эубактерий были открыты протеородопсины (PR), которые вносят значительный вклад в утилизацию солнечной энергии и адаптацию микроорганизмов к существованию в олиготрофных условиях [11, 12].
Исследование транспортной активности микробных родопсинов предполагает их встраивание в замкнутый липидный бислой, например, в составе протеолипосом. Эти сферические частицы размером от 100 нм до 1 мкм, образованные липидами различного состава, являются удобной моделью природных мембран и позволяют подобрать подходящие условия для правильного фолдинга и эффективного функционирования мембранных белков [13, 14]. Уже на ранних этапах изучения BR было успешно продемонстрировано его встраивание в протеолипосомы, содержащие АТФ-синтазу различного происхождения, которое сопровождалось светозависимым синтезом АТФ [15–17]. Впоследствии были получены искусственные органеллы большего размера, содержащие PR и использующие накопленную энергию для белкового синтеза или полимеризации актина [18, 19].
Для достижения максимальной эффективности подобных систем большинство молекул светочувствительного белка должно быть ориентировано в одном направлении [20, 21]. Ориентация белков в мембране определяется различными факторами, прежде всего конфигурацией молекулы, размером частиц и свойствами входящих в ее состав липидов [20, 22, 23]. Например, BR преимущественно встраивается С-концом наружу, вследствие чего транспорт протонов осуществляется внутрь протеолипосом [24]. Для PR характерна обратная ориентация, поэтому в ответ на вспышку света происходит закисление среды [25]. В ряде случаев отдельные молекулы белка встраиваются в искусственный бислой в противоположных направлениях, в результате чего снижается эффективность транспорта и усложняется интерпретация полученных данных [21, 26].
Известно несколько подходов, обеспечивающих получение протеолипосом с одинаковой ориентацией молекул ретинального белка. Одним из первых было предложено разделение BR-содержащих протеолипосом с помощью гель-фильтрации [27]. Использование для формирования липосом липидов, содержащих заряженные группировки, позволяет регулировать встраивание в бислой белков, которые имеют различный заряд на N- и C-концах, включая PR [28]. Более универсальным представляется способ, основанный на увеличении размера одного из концов молекулы, например, за счет присоединения частиц никель-содержащей смолы к гексагистидиновой последовательности рекомбинантных белков [29]. Такой довесок препятствует проникновению соответствующего конца белка во внутреннюю полость липосом, что способствует единообразному встраиванию в липидный бислой. Аналогичный механизм обеспечивает однородную ориентацию природных мембранных белков, содержащих крупные растворимые домены [30]. Получение гибридов PR с различными растворимыми белками-партнерами способствовало его направленному встраиванию в протеолипосомы [31].
Объект наших исследований – ESR – ретинальный белок Exiguobacterium sibiricum, относящийся к семейству протеородопсинов [32–34]. От других представителей семейства ESR отличается наличием остатка лизина в положении, соответствующем донору протонов для основания Шиффа [35, 36]. Для изучения его транспортной активности в составе протеолипосом нами было получено несколько вариантов гибридных белков, содержащих ESR и различные растворимые домены. Установлено, что N-концевой гибрид Caf-ESR обеспечивает эффективное встраивание молекул белка в бислой в одном направлении, в то время как C-концевые гибриды склонны к разнонаправленному встраиванию, что приводит к уменьшению наблюдаемого переноса зарядов [37]. Цель данной работы – конструирование и экспрессия генов различных N-концевых гибридов для повышения уровня синтеза ESR в Escherichia coli и направленного включения белка в протеолипосомы.
РЕЗУЛЬТАТЫ И ОБСУЖДЕНИЕ
Конструирование и экспрессия гибридных генов. Для получения гибридных полипептидов, включающих ESR и N-концевые растворимые домены, мы провели клонирование генов нескольких белков-партнеров, ранее использованных для повышения уровня продукции и растворимости мембранных белков в клетках бактерий и бесклеточных системах экспрессии. Известно большое число работ, в которых с этой целью применяли тиоредоксин и мальтозосвязывающий белок (MBP) E. coli, а также белок Mistic Bacillus subtilis [38–41]. В частности, MBP обладает способностью не только существенно повышать выход рекомбинантных белков, но и облегчает их сворачивание [42, 43]. Описано успешное получение гибридных белков, включающих MBP и рецепторы, сопряженные с G-белком [44, 45], а также бактериородопсин [40]. В некоторых работах были использованы конструкции, кодирующие зрелый MBP [40, 46], в других – кодирующие белок-предшественник, содержащий природный сигнальный пептид [44, 45].
Флуоресцентный белок mCherry на N-конце гибридного белка обеспечивал направленное встраивание PR в протеолипосомы [31]. Ранее нами было показано, что гибридный белок, содержащий периплазматический шаперон Yersinia pestis Caf1M, эффективно экспрессируется в клетках бактерий и способствует единообразному встраиванию ESR в искусственный липидный бислой [37]. Таким образом, использованный нами набор включал пять белков-партнеров (рис. 1), причем три из них содержали сигнальные последовательности, обеспечивающие секрецию в периплазму. Соответствующие гены были объединены с последовательностью, кодирующей ESR, в составе единой рамки считывания. Для независимого фолдинга между доменами был размещен гибкий пептидный линкер, включающий 10 а.о. (GGGGSGGGGS). Схема клонирования обеспечивала добавление к С-концевой части гибридных белков гексагистидиновой последовательности для их очистки с помощью никель-аффинной хроматографии.
Рис. 1. Схемы строения гибридных белков. SP – сигнальная последовательность. Темно-серым цветом обозначен глицин-сериновый линкер, черным – гексагистидиновая последовательность.
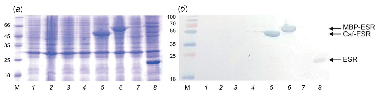
Экспрессию полученных гибридных генов проводили в одинаковых условиях, индукцию транскрипции осуществляли добавлением ИПТГ. В результате выделения и анализа мембранной фракции культур клеток, продуцирующих соответствующие полипептиды, был обнаружен эффективный синтез двух гибридных белков – Caf-ESR, который содержал Caf1M в качестве N-концевого домена, и MBP-ESR, экспрессируемых в виде предшественников с собственными сигнальными последовательностями (рис. 2, дорожки 5, 6).
Рис. 2. Экспрессия гибридных белков, содержащих ESR, в клетках E. coli. Белковый электрофорез в 13%-ном SDS-ПААГ (а) и вестерн-блот-анализ (б) с анти-His-конъюгатом образцов мембранной фракции клеток E. coli С43(DE3), экспрессирующих гибридные белки (дорожки 1–7) и ESR дикого типа (дорожка 8). Номера дорожек 1–7 соответствуют нумерации конструкций на рис. 1. М – маркеры молекулярного веса белков (кДа).
Локализация в мембране, а также обнаружение единственной формы белков с помощью электрофореза и вестерн-блоттинга позволяют предположить, что в процессе секреции происходит отщепление сигнальных последовательностей у предшественников Caf-ESR и MBP-ESR, в результате чего их N-концевые растворимые домены располагаются в периплазматическом пространстве. Следует отметить, что экспрессия гибридного белка MBP-ESR, лишенного сигнальной последовательности, в данных условиях не была обнаружена. Также не удалось детектировать экспрессию N-концевых гибридов с mCherry (включая вариант с сигнальной последовательностью PelB), тиоредоксином и белком Mistic.
Ранее мы показали, что гибридные белки, содержащие mCherry или тиоредоксин на С-конце ESR, успешно экспрессируются в клетках бактерий [37]. Такое расположение растворимых белков-партнеров совместимо со свойственной ESR и другим микробным родопсинам ориентацией в мембране (N-конец в периплазматическом пространстве, C-конец в цитоплазме). Можно предположить, что N-концевые гибриды ESR с секретируемыми белками Caf1M и MBP ориентированы таким же образом. Расположение mCherry, зрелого MBP или тиоредоксина на N-конце ESR детерминирует противоположную ориентацию ретинального белка в клеточной мембране (N-конец в цитоплазме), что, вероятно, нарушает процесс его фолдинга. Известно, что накопление неправильно свернутых мембранных белков инициирует в клетках развитие стрессового ответа, который в числе прочих механизмов включает повышенный синтез протеолитических ферментов [47–49], что, вероятно, объясняет отсутствие экспрессии соответствующих гибридов.
Свойства гибридного белка MBP-ESR в составе мицелл. Характеристика гибридного белка Caf-ESR была проведена нами ранее [37]. Для оценки влияния N-концевого домена MBPESR на свойства входящего в его состав ретинального белка он был выделен из мембранной фракции клеток штамма-продуцента в результате солюбилизации в n-додецил-β-D-мальтопиранозиде (DDM) и последующей никель-аффинной хроматографии. Необходимо отметить, что эффективность солюбилизации данного гибрида оказалась существенно выше, чем у Caf-ESR (~80% против 25%), что можно объяснить его более высокой растворимостью благодаря использованию MBP в качестве белка-партнера. Значения максимума поглощения для MBP-ESR составили 525 нм при рН 7 и 523 нм при рН 9, что соответствует небольшому “синему” сдвигу по сравнению с диким типом ESR (528 нм при рН 7).
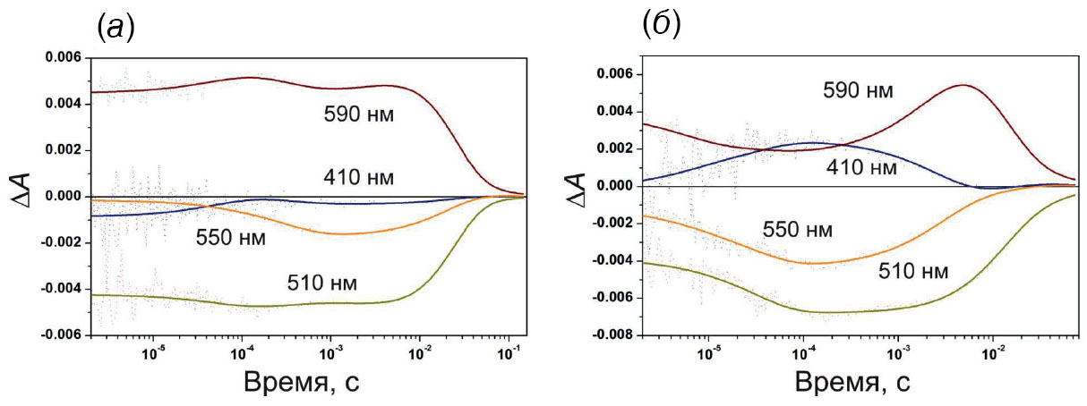
Кинетику светоиндуцированных изменений поглощения MBP-ESR при четырех длинах волн измеряли при двух значениях рН, при этом, как и в случае дикого типа ESR [50], было обнаружено отсутствие интермедиата М (депротонированного основания Шиффа) при рН 7 (рис. 3а). Интермедиаты с максимумом поглощения 590 нм доминируют на протяжении всего фотоцикла. В течение первых 10 мкс после вспышки первый из них частично распадается с появлением других длинноволновых интермедиатов, распад которых с τ ~ 84 мс завершает фотоцикл (рис. 3а).
Рис. 3. Фотоцикл MBP-ESR в мицеллах DDM при рН 7 (а) и рН 9 (б).
При рН 9 в результате распада интермедиатов K и L, сопровождающегося снижением поглощения при 550 и 590 нм, наблюдается рост поглощения при 410 нм (образование интермедиата М) с характерными временными константами τ ~ 8 и 220 мкс, 2.7 мс. Распад М включает два компонента (11.5 и 386 мс) и приводит к возникновению интермедиата N2/O в результате первой компоненты распада М. Распад интермедиата N2/O c τ ~ 85 и 386 мс завершает фотоцикл и возвращает белок в исходное состояние (рис. 3б). В целом константы указанных преобразований близки к константам, характерным для ESR дикого типа и гибрида CafESR ([37], табл. 1), что указывает на сходные функциональные свойства белков. Небольшое замедление процессов, связанных с медленными стадиями образования и распада интермедиата М (увеличение характерных времен τ2, τ6) может быть обусловлено влиянием крупного растворимого белка-партнера.
Таблица 1. Константы фотоцикла (мс) ESR дикого типа и гибридных белков MBP-ESR и Caf-ESR в мицеллах DDM при рН 9.0
Белок | τ1 | τ2 | τ3 | τ4 | τ5 | τ6 |
Wt esr* | 0.0044 ± 0.0002 | 0.130 ± 0.008 | 2.24 ± 0.13 | 12.10 ± 0.38 | 82.6 ± 3.6 | 310 ± 14 |
Mbp-esr | 0.0080 ± 0.0006 | 0.220 ± 0.018 | 2.70 ± 0.18 | 11.50 ± 0.52 | 85.2 ± 4.5 | 386 ± 22 |
Caf-esr* | 0.0040 ± 0.0003 | 0.080 ± 0.010 | 2.23 ± 0.11 | 14.20 ± 0.66 | 60.0 ± 3.9 | 322 ± 29 |
* Использованы данные из статьи Petrovskaya et al. [37].
Свойства гибридного белка MBP-ESR в составе протеолипосом. Для изучения ориентации гибридного белка MBP-ESR мы получили протеолипосомы на основе азолектина, содержащие данный гибрид, и исследовали их фотоэлектрический ответ и фотоцикл при различных значениях рН. Метод прямой электрометрии основывается на слиянии протеолипосом, содержащих транспортный белок, в данном случае ESR, с искусственной макроскопической мембраной (коллодиевая пленка, пропитанная раствором фосфолипидов в н-декане). В результате переноса протонов под действием света происходит генерация разности потенциалов между ячейками по обе стороны мембраны. Анализ полученных кинетических кривых наряду с результатами изучения фотоцикла позволяет сделать выводы о механизме транспорта протонов через мембрану и об ориентации белка в мембране протеолипосом [51, 52].
Ранее нами было показано, что фотоэлектрический ответ ESR включает микро- и миллисекундные фазы, в основном соответствующие депротонированию основания Шиффа, переносу протона на акцептор Asp85 и его репротонированию от донора Lys96 и высвобождению протона на внеклеточной стороне мембраны [34, 51, 53]. Фотоэлектрический ответ гибридных белков, содержащих ESR на N-конце (ESR-Cherry и ESRTrx), сопровождается существенным уменьшением общей амплитуды ответа, в особенности, электрогенных стадий в миллисекундном временном диапазоне [37] (рис. 4). Полученные данные свидетельствуют о значительной доле неправильно ориентированных молекул ретинального белка в мембране протеолипосом. Напротив, гибридные белки Caf-ESR [37] и MBP-ESR продемонстрировали фотоэлектрический ответ, сопоставимый по амплитуде с ответом ESR дикого типа (рис. 4), что указывает на их гомогенную ориентацию в протеолипосомах. Характерная особенность гибридов Caf-ESR и MBP-ESR – более медленная кинетика микросекундных электрогенных стадий, связанных с образованием интермедиата М. Кроме того, фотоэлектрический ответ MBP-ESR обнаруживает ускоренный спад потенциала в миллисекундной области, предположительно связанный с влиянием крупного растворимого домена. Эти особенности электрогенных реакций гибридного белка требуют более детального кинетического анализа, который будет проведен в последующей работе.
Рис. 4. Кинетика образования трансмембранной разницы потенциалов (ΔΨ) протеолипосомами, содержащими ESR дикого типа и гибридные белки, при рН 7.5. Стрелкой отмечен момент лазерной вспышки. Данные для ESR, Caf-ESR, ESR-Cherry и ESR-Trx взяты из статьи Petrovskaya et al. [37].
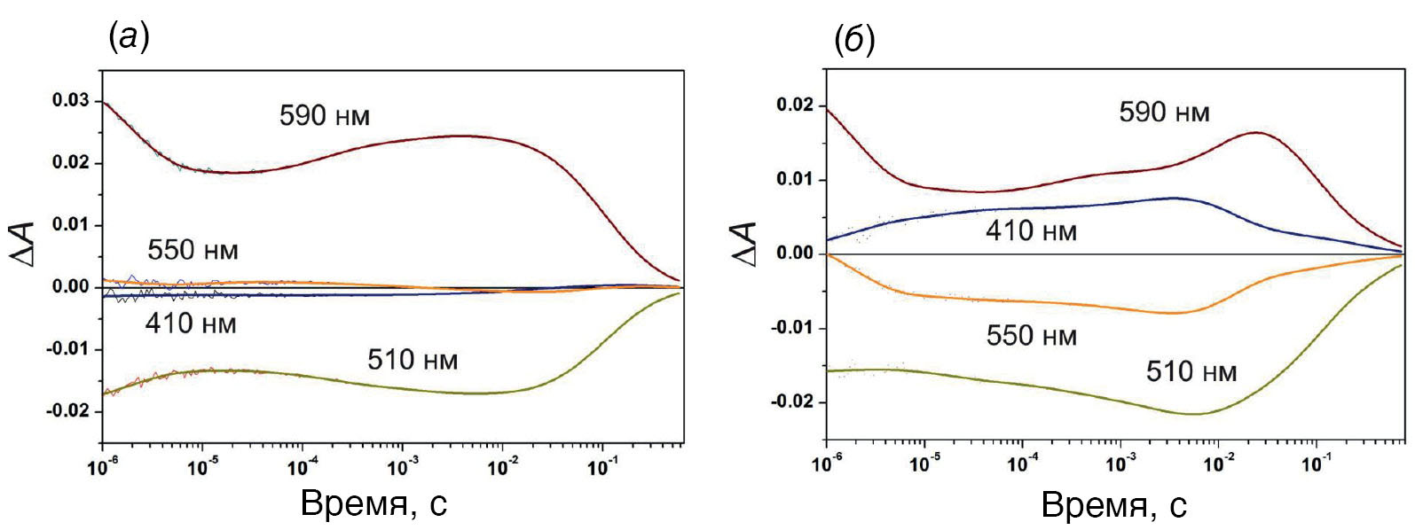
В кинетике светоиндуцированных изменений поглощения гибридного белка MBP-ESR в составе протеолипосом при рН 7.5 образование интермедиата М (увеличение поглощения при 410 нм) не наблюдается (рис. 5а), что также было характерно для других гибридных белков, включающих ESR [37]. При рН 8.5 в течение первых 10 мкс обнаруживается снижение поглощения при 590 нм, что соответствует распаду интермедиатов K и L (рис. 5б). После этого детектируется накопление состояния М (τ ~ 5 и 32 мкс), которое переходит в интермедиат N2/O с характерным временем 2.6 мс. Его распад и возвращение в исходное состояние ESR происходит с константами ~12 и 58 мс. Следует отметить, что протеолипосомы, содержащие ESR дикого типа, демонстрируют выраженное образование интермедиата М при рН 7.5 [50]. Его видимое отсутствие в фотоцикле протеолипосом, содержащих гибридные белки, может быть связано с влиянием растворимых доменов на физико-химические свойства мембранного окружения и, следовательно, на pKa образования интермедиата М в этих белках [37].
Рис. 5. Кинетика светоиндуцированных изменений поглощения при характерных длинах волн протеолипосомами, содержащими MBP-ESR, при рН 7.5 (а) и 8.5 (б).
ЭКСПЕРИМЕНТАЛЬНАЯ ЧАСТЬ
В работе использовали реактивы фирм Merck (США), Panreac (Испания), Sigma (США), нитроцеллюлозную мембрану (Bio-Rad, США), компоненты сред для культивирования бактерий (Amresco, США), наборы для выделения ДНК (Thermo Fisher Scientific, США), органические растворители производства Химмед (Россия). Растворы готовили на деионизированной воде Milli-Q.
Клонирование рекомбинантных ДНК осуществляли стандартными методами в клетках E. coli XL1-Blue (Stratagene, США). Использовали ферменты производства Thermo Fisher Scientific (США). Олигонуклеотиды синтезированы фирмой Евроген (Россия).
Конструирование гибридных генов. Конструирование генов секретируемых гибридных белков mCherry-ESR (с сигнальной последовательностью PelB) и Caf-ESR (с собственной сигнальной последовательностью) подробно описано ранее [37]. Для получения гибридного гена mCherry-ESR, не содержащего сигнальной последовательности, ген ESR амплифицировали из плазмиды pET-ESR [32] с использованием праймеров Bam_ESR и ESR_Xho (табл. 2) и после обработки рестриктазами BamHI и XhoI клонировали в плазмиду pChFn3 [54], обработанную этими же рестриктазами. Плазмиду, кодирующую гибридный белок Trx-ESR, получали клонированием этого же ПЦР-фрагмента в вектор pET32 (Novagen, США). Для объединения с геном Mistic фрагмент плазмиды pET-ESR, полученный обработкой рестриктазами NdeI и XhoI, клонировали в плазмиду pMT32H10 [38]. Ген MBP (с сигнальной последовательностью и без) амплифицировали из клеток E. coli штамма XL1-Blue с использованием праймеров Nde_MBP или Nde_MBP2 соответственно и MBP_Bam (табл. 2), обрабатывали рестриктазами NdeI и BamHI и клонировали в вектор, полученный обработкой ДНК pCaf-ESR [37] этими же рестриктазами. Последовательность вставки в полученных плазмидах подтверждали секвенированием с использованием стандартных праймеров Т7prom и T7term (Евроген, Россия).
Таблица 2. Нуклеотидные последовательности праймеров
Название праймера | Последовательность (5'–3') |
Bam_ESR | ATAAGGATCCGGTGGAGGTGGCTCTGAAGAAGTCAATTTACTCGTTC |
ESR_Xho | ACATCTCGAGGGACGTCAGCGTTTTTCCTT |
Nde_MBP | ATTATCATATGAAAATAAAAACAGGTGCACG |
Nde_MBP2 | ATTATCATATGAAAATCGAAGAAGGTAAACTGG |
MBP_Bam | ATTATGGATCCGCCTCCACCCTTGGTGATACGAGTCTGCG |
Примечание: подчеркнуты сайты узнавания эндонуклеаз рестрикции.
Выделение мембранной фракции. Культуру штамма E. coli С43(DE3), трансформированную одной из полученных плазмид, выращивали в среде LB с ампициллином (100 мкг/мл) при 37°С до значения OD560 0.5–0.7, индуцировали добавлением 0.2 мМ изопропил-β-D-тиогалактопиранозида (IPTG), после чего добавляли 7.5 мкМ all-trans-ретиналь (Sigma, США) и продолжали культивирование в течение 16 ч при 25°С. Клетки осаждали при 7000 g и 5°С в течение 10 мин, затем осадок ресуспендировали в буфере, содержащем 50 мМ Tris-HCl (pH 8.0), 5 мМ EDTA, 20% сахарозы, лизоцим (0.2 мг/мл), и разрушали ультразвуком. Суспензию центрифугировали 30 мин при 6000 g. Полученный супернатант центрифугировали 1 ч при 100 000 g, осадок мембранной фракции суспендировали в 50 мМ Tris-HCl, pH 8.0.
Вестерн-блот-анализ. Белки, разделенные гельэлектрофорезом в 13%-ном SDS-ПААГ по методу Лэммли, переносили на нитроцеллюлозную мембрану (Bio-Rad, США) с помощью прибора для полусухого переноса. После инкубации в растворе 1%-ного BSA в TBS (20 мМ Tris-HCl, 150 мМ NaCl, pH 8.0) в течение 1 ч при 37°C мембрану выдерживали 1 ч при комнатной температуре в растворе конъюгата моноклональных антител к His-тагу с пероксидазой (1 мкг/мл; Invitrogen, США) в 1%-ном BSA в TBS. После трехкратной промывки TBS с добавлением 0.1% Tween-20 проводили окрашивание мембраны с использованием преципитирующего 3,3',5,5'-тетраметилбензидина (Clinical Science Products, США).
Выделение гибридного белка MBP-ESR. Мембраны из клеток E. coli C43(DE3), экспрессирующих MBP-ESR, получали, как описано выше, и солюбилизировали добавлением 1% DDM (Anatrace, США). Рекомбинантные белки очищали на колонке с Ni-сефарозой, как описано ранее [32], затем тщательно отмывали с помощью центрифужных фильтрующих устройств Ultracel YM-30 (Merck Millipore, США) и переводили в комплексный буфер (по 5 мМ цитрата натрия, MES, MOPS и CHES, 100 мМ NaCl, рН 7.4), содержащий 0.05% DDM.
Исследование спектральных и фотоэлектрических характеристик MBP-ESR. Спектры поглощения регистрировали на спектрофотометре UV1700 (Shimadzu, Япония). Кинетику светоиндуцированных изменений поглощения измеряли, как описано ранее [35]. При 410 нм регистрировали изменения поглощения, вызванные образованием и распадом М-интермедиата; при 590 нм ‒ изменения поглощения вследствие образования и распада N- и O-интермедиатoв; при 550 нм ‒ вследствие возвращения в исходное состояние, а также образования и распада K-, M- и N-интермедиатов; при 510 нм – изменения, отражающие в основном превращения L-интермедиата. Для активации фотоцикла использовали вторую гармонику Nd-YAG-лазера (532 нм, 7 нс, 10 мДж).
Встраивание в протеолипосомы на основе азолектина, измерения фотоиндуцированных изменений поглощения в суспензии липосом и фотоэлектрические измерения прямым электрометрическим методом протеолипосом, адсорбированных на армированной коллодиевой пленкой макроскопической фосфолипидной мембране, проводили, как описано ранее [36, 53, 55]. Использовали сконструированную для измерений прямым электрометрическим методом установку с временным разрешением до 100 нс в сочетании с импульсным Nd-YAG-лазером (532 нм, 12 нс, 40 МДж). Кинетику образования ΔΨ на макроскопической мембране в ответ на лазерную вспышку, пропорционального генерируемого ESR ΔΨ на мембране протеолипосом, измеряли электродами Ag/AgCl, расположенными по разные стороны макроскопической мембраны.
Данные оптических измерений с временным разрешением были сведены к сумме отдельных компонент с использованием программного обеспечения Mathematica (Wolfram, США), Origin (OriginLab Corporation, США) и MATLAB (The Mathworks, США).
ЗАКЛЮЧЕНИЕ
Структурно-функциональные исследования мембранных белков требуют разработки эффективных методов их продукции в гетерологичных системах, позволяющих нарабатывать миллиграммовые количества препаратов в правильно свернутом, функционально активном состоянии. Конструирование гибридных белков способствует успешному решению этих задач, а также обеспечивает условия для гомогенного встраивания в мембрану, что может иметь решающее значение для корректной оценки функциональной активности целевых биомолекул.
В результате анализа экспрессии полученных в данной работе гибридных белковых конструкций, содержащих протеородопсин ESR и различные белки-партнеры, установлено, что высокий уровень синтеза в клетках бактерий достигается только при использовании в качестве N-концевых партнеров природных секретируемых белков, включающих собственный сигнальный пептид (Caf-ESR и MBP-ESR). Изучение свойств выделенных гибридных белков в составе мицелл и протеолипосом показало, что они демонстрируют спектрально-временные параметры фотоцикла и кинетику генерации мембранного потенциала, характерные в общих чертах для исходного белка ESR.
Полученные конструкции могут быть использованы для создания систем бактериальной экспрессии различных мембранных белков в составе гибридов, обеспечивающих их единообразное встраивание в протеолипосомы.
ФОНДОВАЯ ПОДДЕРЖКА
Работа выполнена при финансовой поддержке гранта Министерства науки и высшего образования Российской Федерации (соглашение № 075-15-2020-795, уникальный идентификатор проекта RF-190220X0027).
СОБЛЮДЕНИЕ ЭТИЧЕСКИХ СТАНДАРТОВ
Настоящая статья не содержит описания исследований с участием людей или использованием животных в качестве объектов исследования.
КОНФЛИКТ ИНТЕРЕСОВ
Авторы заявляют об отсутствии конфликта интересов.
About the authors
L. E. Petrovskaya
Shemyakin–Ovchinnikov Institute of Bioorganic Chemistry, RAS; Moscow Institute of Physics and Technology
Author for correspondence.
Email: lpetr65@yahoo.com
Russian Federation, ul. Miklukho-Maklaya 16/10, Moscow, 117997; Institutskiy per. 9, Dolgoprudny, Moscow Region, 141701
E. A. Kryukova
Shemyakin–Ovchinnikov Institute of Bioorganic Chemistry, RAS; Emanuel Institute of Biochemical Physics
Email: lpetr65@yahoo.com
Russian Federation, ul. Miklukho-Maklaya 16/10, Moscow, 117997; ul. Kosygina 4, Moscow, 119334
V. A. Bolshakov
Lomonosov Moscow State University
Email: lpetr65@yahoo.com
Faculty of Biology
Russian Federation, Leninskie gory 1/11, Moscow, 119234E. P. Lukashev
Lomonosov Moscow State University
Email: lpetr65@yahoo.com
Faculty of Biology
Russian Federation, Leninskie gory 1/11, Moscow, 119234S. A. Siletsky
Lomonosov Moscow State University
Email: lpetr65@yahoo.com
Belozersky Institute of Physico-Chemical Biology
Russian Federation, Leninskye gory 1/40, Moscow, 119992M. D. Mamedov
Lomonosov Moscow State University
Email: lpetr65@yahoo.com
Belozersky Institute of Physico-Chemical Biology
Russian Federation, Leninskye gory 1/40, Moscow, 119992R. V. Sudakov
Lomonosov Moscow State University
Email: lpetr65@yahoo.com
Belozersky Institute of Physico-Chemical Biology
Russian Federation, Leninskye gory 1/40, Moscow, 119992D. A. Dolgikh
Shemyakin–Ovchinnikov Institute of Bioorganic Chemistry, RAS; Emanuel Institute of Biochemical Physics; Lomonosov Moscow State University
Email: lpetr65@yahoo.com
Faculty of Biology, Lomonosov Moscow State University
Russian Federation, ul. Miklukho-Maklaya 16/10, Moscow, 117997; ul. Kosygina 4, Moscow, 119334; Leninskie gory 1/11, Moscow, 119234M. P. Kirpichnikov
Shemyakin–Ovchinnikov Institute of Bioorganic Chemistry, RAS; Lomonosov Moscow State University
Email: lpetr65@yahoo.com
Faculty of Biology, Lomonosov Moscow State University
Russian Federation, ul. Miklukho-Maklaya 16/10, Moscow, 117997; Leninskie gory 1/11, Moscow, 119234References
- Govorunova E.G., Sineshchekov O.A., Li H., Spudich J.L. // Annu. Rev. Biochem. 2017. V. 86. P. 845–872. https://doi.org/10.1146/annurev-biochem-101910144233
- Gushchin I., Gordeliy V. // In: Membrane Protein Complexes: Structure and Function. Subcellular Biochemistry. V. 87 / Eds. Harris J., Boekema E. Singapore: Springer Singapore, 2018. P. 19–56. https://doi.org/10.1007/978-981-10-7757-9_2
- Kandori H. // Biophys. Rev. 2020. V. 12. P. 355–361. https://doi.org/10.1007/s12551-020-00645-0
- Brown L.S. // Biochim. Biophys. Acta Biomembr. 2022. V. 1864. P. 183867. https://doi.org/10.1016/j.bbamem.2022.183867
- Lanyi J.K. // Biochim. Biophys. Acta. 2006. V. 1757. P. 1012–1018. https://doi.org/10.1016/j.bbabio.2005.11.003
- Oesterhelt D., Stoeckenius W. // Nature. 1971. V. 233. P. 149–152. https://doi.org/10.1038/newbio233149a0
- Lanyi J.K., Luecke H. // Curr. Opin. Str. Biol. 2001. V. 11. P. 415–419. https://doi.org/10.1016/S0959-440X(00)00226-8
- Ovchinnikov Y.A., Abdulaev N.G., Feigina M.Y., Kiselev A.V., Lobanov N.A. // FEBS Lett. 1979. V. 100. P. 219–224. https://doi.org/10.1016/0014-5793(79)80338-5
- Ovchinnikov Y.A. // Photochem. Photobiol. 1987. V. 45. P. 909–914. https://doi.org/10.1111/j.1751-1097.1987.tb07902.x
- Oesterhelt D., Stoeckenius W. // Proc. Natl. Acad. Sci. USA. 1973. V. 70. P. 2853–2857. https://doi.org/10.1073/pnas.70.10.2853
- Gómez-Consarnau L., Raven J.A., Levine N.M., Cutter L.S., Wang D., Seegers B., Arístegui J., Fuhrman J.A., Gasol J.M., Sañudo-Wilhelmy S.A. // Sci. Adv. 2019. V. 5. P. eaaw8855. https://doi.org/10.1126/sciadv.aaw8855
- DeLong E.F., Beja O. // PLoS Biol. 2010. V. 8. e1000359. https://doi.org/10.1371/journal.pbio.1000359
- Lyukmanova E., Shenkarev Z., Khabibullina N., Kopeina G., Shulepko M., Paramonov A., Mineev K., Tikhonov R., Shingarova L., Petrovskaya L., Dolgikh D., Arseniev A., Kirpichnikov M. // Biochim. Biophys. Acta. 2012. V. 1818. P. 349– 358. https://doi.org/10.1016/j.bbamem.2011.10.020
- Amati A.M., Graf S., Deutschmann S., Dolder N., von Ballmoos C. // Biochem. Soc. Trans. 2020. V. 48. P. 1473–1492. https://doi.org/10.1042/bst20190966
- Racker E., Stoeckenius W. // J. Biol. Chem. 1974. V. 249. P. 662–663. https://doi.org/10.1016/S0021-9258(19)43080-9
- Deisinger B., Nawroth T., Zwicker K., Matuschka S., John G., Zimmer G., Freisleben H.-J. // Eur. J. Biochem. 1993. V. 218. P. 377–383. https://doi.org/10.1111/j.1432-1033.1993.tb18387.x
- Pitard B., Richard P., Duñarach M., Girault G., Rigaiud J.-L. // Eur. J. Biochem. 1996. V. 235. P. 769–778. https://doi.org/10.1111/j.1432-1033.1996.00769.x
- Lee K.Y., Park S.-J., Lee K.A., Kim S.-H., Kim H., Meroz Y., Mahadevan L., Jung K.-H., Ahn T.K., Parker K.K. // Nat. Biotechnol. 2018. V. 36. P. 530–535. https://doi.org/10.1038/nbt.4140
- Choi H.-J., Montemagno C.D. // Nano Lett. 2005. V. 5. P. 2538–2542. https://doi.org/10.1021/nl051896e
- Rigaud J.-L., Pitard B., Levy D. // Biochim. Biophys. Acta. 1995. V. 1231. P. 223–246. https://doi.org/10.1016/0005-2728(95)00091-v
- Shen H. H., Lithgow T., Martin L. // Int. J. Mol. Sci. 2013. V. 14. P. 1589–1607. https://doi.org/10.3390/ijms14011589
- Bogdanov M., Dowhan W., Vitrac H. // Biochim. Biophys. Acta. 2014. V. 1843. P. 1475–1488. https://doi.org/10.1016/j.bbamcr.2013.12.007
- Cymer F., Von Heijne G., White S.H. // J. Mol. Biol. 2015. V. 427. P. 999–1022. https://doi.org/10.1016/j.jmb.2014.09.014
- Huang K.-S., Bayley H., Khorana H.G. // Proc. Nat. Acad. Sci. USA. 1980. V. 77. P. 323–327. https://doi.org/10.1073/pnas.77.1.323
- Dioumaev A.K., Wang J.M., Bálint Z., Váró G., Lanyi J.K. // Biochemistry. 2003. V. 42. P. 6582– 6587. https://doi.org/10.1021/bi034253r
- Seigneuret M., Rigaud J.-L. // FEBS Lett. 1985. V. 188. P. 101–106. https://doi.org/10.1016/0014-5793(85)80883-8
- Seigneuret M., Rigaud J.-L. // FEBS Lett. 1988. V. 228. P. 79–84. https://doi.org/10.1016/0014-5793(88)80589-1
- Tunuguntla R., Bangar M., Kim K., Stroeve P., Ajo-Franklin C.M., Noy A. // Biophys. J. 2013. V. 105. P. 1388–1396. https://doi.org/10.1016/j.bpj.2013.07.043
- Pfleger N., Wörner A.C., Yang J., Shastri S., Hellmich U.A., Aslimovska L., Maier M.S., Glaubitz C. // Biochim. Biophys. Acta. 2009. V. 1787. P. 697–705. https://doi.org/10.1016/j.bbabio.2009.02.022
- Lee H., Kim H. // Biochem. Biophys. Res. Commun. 2014. V. 453. P. 268–276. https://doi.org/10.1016/j.bbrc.2014.05.111
- Ritzmann N., Thoma J., Hirschi S., Kalbermatter D., Fotiadis D., Muller D.J. // Biophys. J. 2017. V. 113. P. 1181–1186. https://doi.org/10.1016/j.bpj.2017.06.022
- Petrovskaya L.E., Lukashev E.P., Chupin V.V., Sychev S.V., Lyukmanova E.N., Kryukova E.A., Ziganshin R.H., Spirina E.V., Rivkina E.M., Khatypov R.A., Erokhina L.G., Gilichinsky D.A., Shuvalov V.A., Kirpichnikov M.P. // FEBS Lett. 2010. V. 584. P. 4193–4196. https://doi.org/10.1016/j.febslet.2010.09.005
- Петровская Л.Е., Балашов С.П., Лукашев Е.П., Имашева Э.С., Гущин И.Ю., Дюмаев А.К., Рубин А.Б., Долгих Д.А., Горделий В.И., Лани Я.К., Кирпичников М.П. // Биохимия. 2015. Т. 80. С. 814–828. [Petrovskaya L., Balashov S., Lukashev E., Imasheva E., Gushchin I.Y., Dioumaev A., Rubin A., Dolgikh D., Gordeliy V., Lanyi J., Kirpichnikov M. // Biochemistry (Moscow). 2015. V. 80. P. 688–700]. https://doi.org/10.1134/S000629791506005X
- Петровская Л.Е., Силецкий С.А., Лукашев Е.П., Балашов С.П., Долгих Д.А., Кирпичников М.П. // Биохимия. 2023. Т. 88. С. 1867–1879. [Petrovskaya L.E., Siletsky S.A., Mamedov M.D., Lukashev E.P., Balashov S.P., Dolgikh D.A., Kirpichnikov M.P. // Biochemistry (Moscow). 2023. V. 88. P. 1544–1554]. https://doi.org/10.1134/s0006297923100103
- Balashov S.P., Petrovskaya L.E., Imasheva E.S., Lukashev E.P., Dioumaev A.K., Wang J.M., Sychev S.V., Dolgikh D.A., Rubin A.B., Kirpichnikov M.P., Lanyi J.K. // J. Biol. Chem. 2013. V. 288. P. 21254–21265. https://doi.org/10.1074/jbc.M113.465138
- Siletsky S.A., Mamedov M.D., Lukashev E.P., Balashov S.P., Dolgikh D.A., Rubin A.B., Kirpichnikov M.P., Petrovskaya L.E. // Biochim. Biophys. Acta Bioenerg. 2019. V. 1860. P. 1–11. https://doi.org/10.1016/j.bbabio.2018.09.365
- Petrovskaya L.E., Lukashev E.P., Mamedov M.D., Kryukova E.A., Balashov S.P., Dolgikh D.A., Rubin A.B., Kirpichnikov M.P., Siletsky S.A. // Int. J. Mol. Sci. 2023. V. 24. P. 7369. https://doi.org/10.3390/ijms24087369
- Петровская Л.Е., Шульга А.А., Бочарова О.В., Ермолюк Я.С., Крюкова Е.А., Чупин В.В., Бломмерс М.Ж.Ж., Арсеньев А.С., Кирпичников М.П. // Биохимия. 2010. Т. 75. C. 1001–1013. [Petrovskaya L., Shulga A., Bocharova O., Ermolyuk Y.S., Kryukova E., Chupin V., Blommers M., Arseniev A., Kirpichnikov M. // Biochemistry (Moscow). 2010. V. 75. P. 881–891]. https://doi.org/10.1134/S0006297910070102
- Ishihara G., Goto M., Saeki M., Ito K., Hori T., Kigawa T., Shirouzu M., Yokoyama S. // Prot. Expr. Purif. 2005. V. 41. P. 27–37. https://doi.org/10.1016/j.pep.2005.01.013
- Chen G.Q., Gouaux J.E. // Prot. Sci. 1996. V. 5. P. 456–467. https://doi.org/10.1002/pro.5560050307
- Lyukmanova E., Shenkarev Z., Khabibullina N., Kulbatskiy D., Shulepko M., Petrovskaya L., Arseniev A., Dolgikh D., Kirpichnikov M. // Aсt. Nat. 2012. V. 4. P. 58–64. https://doi.org/10.32607/20758251-2012-4-4-58-64
- Raran-Kurussi S., Waugh D.S. // PLoS One. 2012. V. 7. e49589. https://doi.org/10.1371/journal.pone.0049589
- Kapust R.B., Waugh D.S. // Prot. Sci. 1999. V. 8. P. 1668–1674. https://doi.org/10.1110/ps.8.8.1668
- Yeliseev A., Zoubak L., Gawrisch K. // Prot. Expr. Purif. 2007. V. 53. P. 153–163. https://doi.org/10.1016/j.pep.2006.12.003
- Weiß H.M., Grisshammer R. // Eur. J. Biochem. 2002. V. 269. P. 82–92. https://doi.org/10.1046/j.0014-2956.2002.02618.x
- Hu J., Qin H., Gao F.P., Cross T.A. // Prot. Expr. Purif. 2011. V. 80. P. 34–40. https://doi.org/10.1016/j.pep.2011.06.001
- Gubellini F., Verdon G., Karpowich N.K., Luff J.D., Boel G., Gauthier N., Handelman S.K., Ades S.E., Hunt J.F. // Mol. Cell. Proteom. 2011. V. 10. P. 930. https://doi.org/10.1074/mcp.M111.007930
- Xu L.Y., Link A.J. // Biotechnol. Lett. 2009. V. 31. P. 1775–1782. https://doi.org/10.1007/s10529-009-0075-5
- Petrovskaya L.E., Ziganshin R.H., Kryukova E.A., Zlobinov A.V., Gapizov S.S., Shingarova L.N., Mironov V.A., Lomakina G.Y., Dolgikh D.A., Kirpichnikov M.P. // Appl. Biochem. Biotechnol. 2021. V. 193. P. 3672–3703. https://doi.org/10.1007/s12010-021-03634-5
- Balashov S.P., Petrovskaya L.E., Lukashev E.P., Imasheva E.S., Dioumaev A.K., Wang J.M., Sychev S.V., Dolgikh D.A., Rubin A.B., Kirpichnikov M.P., Lanyi J.K. // Biochemistry. 2012. V. 51. P. 5748–5762. https://doi.org/10.1021/bi300409m
- Siletsky S.A., Mamedov M.D., Lukashev E.P., Balashov S.P., Petrovskaya L.E. // Biophys. Rev. 2022. V. 14. P. 771–778. https://doi.org/10.1007/s12551-022-00986-y
- Drachev L.A., Jasaitis A.A., Kaulen A.D., Kondrashin A.A., Liberman E.A., Nemecek I.B., Ostroumov S.A., Semenov A.Y., Skulachev V.P. // Nature. 1974. V. 249. P. 321–324. https://doi.org/10.1038/249321a0
- Siletsky S.A., Mamedov M.D., Lukashev E.P., Balashov S.P., Dolgikh D.A., Rubin A.B., Kirpichnikov M.P., Petrovskaya L.E. // Biochim. Biophys. Acta. 2016. V. 1857. P. 1741–1750. https://doi.org/10.1016/j.bbabio.2016.08.004
- Petrovskaya L., Gapizov S. S., Shingarova L., Kryukova E., Boldyreva E., Yakimov S., Svirschevskaya E., Lukashev E., Dolgikh D., Kirpichnikov M. // Russ. J. Bioorg. Chem. 2014. V. 40. P. 375–382. https://doi.org/10.1134/S1068162014030121
- Siletsky S.A., Lukashev E.P., Mamedov M.D., Borisov V.B., Balashov S.P., Dolgikh D.A., Rubin A.B., Kirpichnikov M.P., Petrovskaya L.E. // Biochim. Biophys. Acta Bioenerg. 2021. V. 1862. P. 148328. https://doi.org/10.1016/j.bbabio.2020.148328
Supplementary files







