Proof-of-Concept Study of Liposomes with a Set of SARS-CoV-2 Viral T-Cell Epitopes as a Vaccine
- Authors: Tretiakova D.S.1, Svirshchevskaya E.V.1, Konovalova M.V.1, Plokhikh K.S.2, Kazakov V.A.3, Telegin G.B.3, Chernov A.S.3, Gushchin V.A.4, Vasina D.V.4, Egorova N.S.1, Boldyrev I.A.1, Onishchenko N.R.1, Alekseeva A.S.1, Vodovozova E.L.1
-
Affiliations:
- Shemyakin–Ovchinnikov Institute of Bioorganic Chemistry, Russian Academy of Sciences
- National Research Center “Kurchatov Institute”
- Pushchino Branch of Shemyakin–Ovchinnikov Institute of Bioorganic Chemistry, Russian Academy of Sciences
- Gamaleya National Research Center for Epidemiology and Microbiology, Ministry of Healthcare of the Russian Federation
- Issue: Vol 49, No 1 (2023)
- Pages: 48-64
- Section: Articles
- URL: https://bakhtiniada.ru/0132-3423/article/view/145868
- DOI: https://doi.org/10.31857/S0132342322060252
- EDN: https://elibrary.ru/POMUEE
- ID: 145868
Cite item
Full Text
Abstract
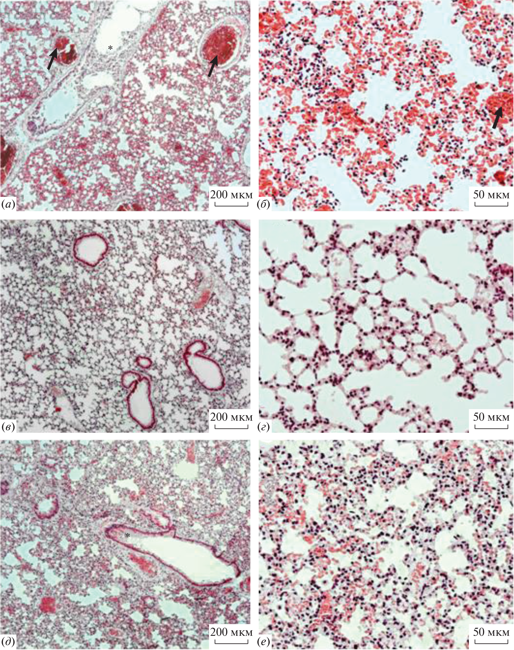
Potential nonameric epitopes of CD8+ T lymphocytes were selected from the composition of structural, accessory, and non-structural proteins of SARS-CoV-2 virus (13 peptides) and a 15-mer epitope of CD4+ T lymphocytes, from the S-protein, based on the analysis of publications on genome-wide immunoinformatic analysis of T-cell epitopes of the virus (Wuhan strain), as well as a number of clinical studies of immunodominant epitopes among patients recovering from COVID-19 disease. The peptides were synthesized and five compositions of 6–7 peptides were included in liposomes from egg phosphatidylcholine and cholesterol (~200 nm size) obtained by extrusion. After double subcutaneous immunization of conventional mice, activation of cellular immunity was assessed by the level of cytokine synthesis by splenocytes in vitro in response to stimulation with relevant peptide compositions. Liposomal formulation exhibiting the best result in terms of the formation of specific cellular immunity in response to vaccination was selected for further experiments. Evaluation of the protective efficacy of this formulation in an infectious mouse model showed a positive trend in the frequency of occurrence of hyaline-like membranes in the lumen of the alveoli, as well as a somewhat lower severity of microcirculatory disorders. The latter circumstance can potentially help reduce the severity of the disease and prevent its adverse outcomes. A method to produce liposome preparations with peptide compositions for long-term storage is under development.
About the authors
D. S. Tretiakova
Shemyakin–Ovchinnikov Institute of Bioorganic Chemistry, Russian Academy of Sciences
Email: elvod@lipids.ibch.ru
Russia, 117997, Moscow, ul. Miklukho-Maklaya 16/10
E. V. Svirshchevskaya
Shemyakin–Ovchinnikov Institute of Bioorganic Chemistry, Russian Academy of Sciences
Email: elvod@lipids.ibch.ru
Russia, 117997, Moscow, ul. Miklukho-Maklaya 16/10
M. V. Konovalova
Shemyakin–Ovchinnikov Institute of Bioorganic Chemistry, Russian Academy of Sciences
Email: elvod@lipids.ibch.ru
Russia, 117997, Moscow, ul. Miklukho-Maklaya 16/10
K. S. Plokhikh
National Research Center “Kurchatov Institute”
Email: elvod@lipids.ibch.ru
Russia, 123182, Moscow, pl. Kurchatova 1
V. A. Kazakov
Pushchino Branch of Shemyakin–Ovchinnikov Institute of Bioorganic Chemistry, Russian Academy of Sciences
Email: elvod@lipids.ibch.ru
Russia, 142290, Pushchino, ul. Institutskaya 8
G. B. Telegin
Pushchino Branch of Shemyakin–Ovchinnikov Institute of Bioorganic Chemistry, Russian Academy of Sciences
Email: elvod@lipids.ibch.ru
Russia, 142290, Pushchino, ul. Institutskaya 8
A. S. Chernov
Pushchino Branch of Shemyakin–Ovchinnikov Institute of Bioorganic Chemistry, Russian Academy of Sciences
Email: elvod@lipids.ibch.ru
Russia, 142290, Pushchino, ul. Institutskaya 8
V. A. Gushchin
Gamaleya National Research Center for Epidemiology and Microbiology, Ministry of Healthcare of the Russian Federation
Email: elvod@lipids.ibch.ru
Russia, 123098, Moscow, ul. Gamaleya 18
D. V. Vasina
Gamaleya National Research Center for Epidemiology and Microbiology, Ministry of Healthcare of the Russian Federation
Email: elvod@lipids.ibch.ru
Russia, 123098, Moscow, ul. Gamaleya 18
N. S. Egorova
Shemyakin–Ovchinnikov Institute of Bioorganic Chemistry, Russian Academy of Sciences
Email: elvod@lipids.ibch.ru
Russia, 117997, Moscow, ul. Miklukho-Maklaya 16/10
I. A. Boldyrev
Shemyakin–Ovchinnikov Institute of Bioorganic Chemistry, Russian Academy of Sciences
Email: elvod@lipids.ibch.ru
Russia, 117997, Moscow, ul. Miklukho-Maklaya 16/10
N. R. Onishchenko
Shemyakin–Ovchinnikov Institute of Bioorganic Chemistry, Russian Academy of Sciences
Email: elvod@lipids.ibch.ru
Russia, 117997, Moscow, ul. Miklukho-Maklaya 16/10
A. S. Alekseeva
Shemyakin–Ovchinnikov Institute of Bioorganic Chemistry, Russian Academy of Sciences
Email: elvod@lipids.ibch.ru
Russia, 117997, Moscow, ul. Miklukho-Maklaya 16/10
E. L. Vodovozova
Shemyakin–Ovchinnikov Institute of Bioorganic Chemistry, Russian Academy of Sciences
Author for correspondence.
Email: elvod@lipids.ibch.ru
Russia, 117997, Moscow, ul. Miklukho-Maklaya 16/10
References
- Delany I., Rappuoli R., De Gregorio E. // EMBO Mol. Med. 2014. V. 6 (6). P. 708–720.
- De Temmerman M.-L., Rejman J., Demeester J., Irvine D.J., Gander B., De Smedt S.C. // Drug Discov. Today. 2011. V. 16 (13-14). P. 569–582.
- Reed S., Orr M., Fox C. // Nat. Med. 2013. V. 19. P. 1597–1608.
- Kawai T., Akira S. // Nat. Immunol. 2010. V. 11. P. 373–384.
- Allison A., Gregoriadis G. // Nature. 1974. V. 252 (5480). P. 252.
- Schwendener R.A. // Ther. Adv. Vaccines. 2014. V. 2 (6). P. 159–182.
- Perrie Y., Crofts F., Devitt A., Griffiths H.R., Kastner E., Nadella V. // Adv. Drug. Deliv. Rev. 2016. V. 99 (Pt A). P. 85–96.
- Nisini R., Poerio N., Mariotti S., De Santis F., Fraziano M. // Front. Immunol. 2018. V. 9. P. 155.
- Bernasconi V., Norling K., Bally M., Höök F., Lycke N.Y. // J. Immunol. Res. 2016. V. 2016. P. 5482087.
- Третьякова Д.С., Водовозова Е.Л. // Биол. мембраны. 2022. Т. 39. С. 85–106. [Tretiakova D.S., Vodovozova E.L. // Biochem. (Mosc.) Suppl. Ser. A Membr. Cell Biol. 2022. V. 16 (1). P. 1–20.]
- Gayed P.M. // Yale J. Biol. Med. 2011. V. 84 (2). P. 131–138.
- Hemmi H., Takeuchi O., Kawai T., Kaisho T., Sato S., Sanjo H., Matsumoto M., Hoshino K., Wagner H., Takeda K., Akira S. // Nature. 2000. V. 408. P. 740–745.
- Lee Y., Lee Y.S., Cho S.Y., Kwon H.J. // Adv. Protein Chem. Struct. Biol. 2015. V. 99. P. 75–97.
- Purcell A.W., McCluskey J., Rossjohn J. // Nat. Rev. Drug. Discov. 2007. V. 6 (5). P. 404–414.
- Ohno S., Kohyama S., Taneichi M., Moriya O., Hayashi H., Oda H., Mori M., Kobayashi A., Akatsuka T., Uchida T., Matsui M. // Vaccine. 2009. V. 27. P. 3912–3920.
- Kohyama S., Ohno S., Suda T., Taneichi M., Yokoyama S., Mori M., Kobayashi A., Hayashi H., Uchida T., Matsui M. // Antiviral Res. 2009. V. 84. P. 168–177.
- Heuts J., Varypataki E.M., van der Maaden K., Romeijn S., Drijfhout J.W., van Scheltinga A.T., Ossendorp F., Jiskoot W. // Pharm. Res. 2018. V. 35. P. 207.
- Dhakal S., Cheng X., Salcido J., Renu S., Bondra K., Lakshmanappa Y.S., Misch C., Ghimire S., Feliciano-Ruiz N., Hogshead B., Krakowka S., Carson K., McDonough J., Lee C.W., Renukaradhya G.J. // Int. J. Nanomedicine. 2018. V. 13. P. 6699–6715.
- Mishra S. // R. Soc. Open Sci. 2020. V. 7. P. 201141.
- Fast E., Altman R.B., Chen B. // Potential T-cell and B‑cell Epitopes of 2019-nCoV. bioRxiv preprint. This version posted March 18, 2020. https://doi.org/10.1101/2020.02.19.955484
- Kalita P., Padhi A.K., Zhang K.Y.J., Tripathi T. // Microb. Pathogenesis. 2020. V. 145. P. 104236.
- Le Bert N., Tan A.T., Kunasegaran K., Tham C.Y.L., Hafezi M., Chia A., Chng M.H.Y., Lin M., Tan N., Linster M., Chia W.N., Chen M.I.-C., Wang L.-F., Ooi E.E., Kalimuddin S., Tambyah P.A., Low J.G.-H., Tan Y.-J., Bertoletti A. // Nature. 2020. V. 584. P. 457–462. https://doi.org/10.1038/s41586-020-2550-z
- Ferretti A.P., Tomasz Kula T., Wang Y., Nguyen D.M.V., Weinheime A., Dunlap G.S., Xu Q., Nabilsi N., Perullo C.R., Cristofaro A.W., Whitton H.J., Virbasius A., Olivier K.J., Jr., Buckner L.R., Alistar A.T., Whitman E.D., Bertino S.A., Chattopadhyay S., MacBeath G. // Immunity. 2020. V. 53. P. 1095–1107.e3. https://doi.org/10.1016/j.immuni.2020.10.006
- Snyder T.M., Gittelman R.M., Klinger M. // Magnitude and Dynamics of the T-Cell Response to SARS-CoV-2 Infection at Both Individual and Population Levels. medRxiv preprint. This version posted August 4, 2020. https://doi.org/10.1101/2020.07.31.20165647
- Nelde A., Bilich T., Heitmann J.S., Maringer Y., Salih H.R., Roerden M., Lübke M., Bauer J., Rieth J., Wacker M., Peter A., Hörber S., Traenkle B., Kaiser P.D., Rothbauer U., Becker M., Junker D., Krause G., Strengert M., Schneiderhan-Marra N., Templin M.F., Joos T.O., Kowalewski D.J., Stos-Zweifel V., Fehr M., Rabsteyn A., Mirakaj V., Karbach J., Jäger E., Graf M., Gruber L.-C., Rachfalski D., Preuß B., Hagelstein I., Märklin M., Bakchoul T., Gouttefangeas C., Kohlbacher O., Klein R., Stevanović S., Rammensee H.-G., Walz J.S. // Nat. Immunol. 2021. V. 22. P. 74–85. https://doi.org/10.1038/s41590-020-00808-x
- Quadeer A.A., Ahmed S.F., McKay M.R. // Cell Rep. Med. 2021. V. 2. P. 100312. https://doi.org/10.1016/j.xcrm.2021.100312
- Mouritsen O.G., Jorgenson K. // Chem. Phys. Lipids. 1994. V. 73. P. 3–25.
- Markwell M., Haas S., Bieber L., Tolbert N.E. // Anal. Biochem. 1978. V. 210. P. 206–210.
- Chen W., Huang L. // Mol. Pharm. 2008. V. 5. P. 464–471.
- Mansourian M., Badiee A., Jalali S.A., Shariat S., Yazdani M., Amin M., Jaafari M.R. // Immunol. Lett. 2014. V. 162. P. 87–93.
- Schmidt S.T., Foged C., Korsholm K.S., Rades T., Christensen D. // Pharmaceutics. 2016. V. 8. P. 7.
- Ludewig B., Barchiesi F., Pericin M., Zinkernagel R.M., Hengartner H., Schwendener R.A. // Vaccine. 2001. V. 19 (1). P. 23–32.
- Engler O.B., Schwendener R.A., Dai W.J., Wolk B., Pichler W., Moradpour D., Brunner T., Cerny A. // Vaccine. 2004. V. 23 (1). P. 58–68.
- Dalwadi G, Benson HA, Chen Y. // Pharm. Res. 2005. V. 22 (12). P. 2152–2162.
- Dedoni S., Avdoshina V., Camoglio C., Siddi C., Fratta W., Scherma M., Fadda P. // Molecules. 2022. V. 27 (13). P. 4142.
- Kryukova E.V., Egorova N.S., Kudryavtsev D.S., Lebedev D.S., Spirova E.N., Zhmak M.N., Garifulina A.I., Kasheverov I.E., Utkin Y.N., Tsetlin V.I. // Front. Pharmacol. 2019. V. 10. P. 748.
- Tkachuk A.P., Gushchin V.A., Potapov V.D., Demidenko A.V., Lunin V.G., Gintsburg A.L. // PLoS One. 2017. V. 12 (4). P. e0176784.
- Chernov A.S., Minakov A.A., Kazakov V.A., Rodionov M.V., Rybalkin I.N., Vlasik T.N., Yashin D.V., Saschenko L.P., Kudriaeva A.A., Belogurov A.A., Smirnov I.V., Loginova S.Y., Schukina V.N., Savenko S.V., Borisevich S.V., Zykov K.A., Gabibov A.G., Telegin G.B. // Inflamm. Res. 2022. V. 71 (5–6). P. 627–639.
- Mann P.C., Vahle J., Keenan C.M., Baker J.F., Bradley A.E., Goodman D.G., Harada T., Herbert R., Kaufmann W., Kellner R., Nolte T., Rittinghausen S., Tanaka T. // Toxicol. Pathol. 2012. V. 40 (Suppl. 4). P. 7S–13S.
Supplementary files








