Species-Level Identification of SARS-CoV-2 by E Gene Conservative Locus
- Authors: Lapa S.A.1, Shingareva A.A.1, Faizuloev E.B.2, Ammour Y.I.2, Shershov V.E.1, Chudinov A.V.1
-
Affiliations:
- Engelhardt Institute of Molecular Biology, Russian Academy of Sciences
- Mechnikov Scientific Research Institute of Vaccines and Serums
- Issue: Vol 49, No 5 (2023)
- Pages: 543-547
- Section: ПИСЬМА РЕДАКТОРУ
- URL: https://bakhtiniada.ru/0132-3423/article/view/139261
- DOI: https://doi.org/10.31857/S0132342323040358
- EDN: https://elibrary.ru/ODHDFF
- ID: 139261
Cite item
Full Text
Abstract
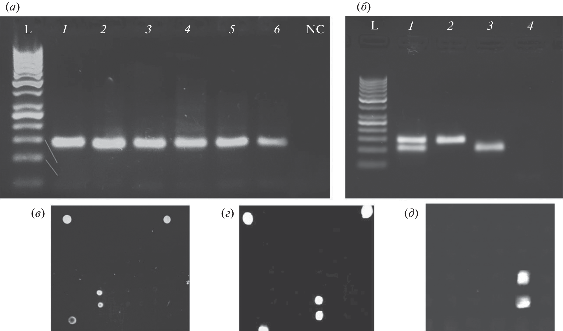
The appearance of mutations in the genes encoding the surface proteins of the new type of coronavirus SARS-CoV-2, when it circulates in the host population, makes it difficult to use monoclonal antibodies for its species identification. In such cases, the choice of conservative genetic targets allows identification by molecular biological methods. In this work, previously developed primers specific to the E gene fragment were tested to detect a new type of coronavirus on six isolates belonging to different genetic variants (the original Wuhan strain, delta and omicron). The choice of a conservative site of the E gene encoding the small transmembrane protein E as a target for reverse transcription with subsequent amplification (RT-PCR) made it possible to detect coronavirus regardless of its subtypes characterized by antigenic heterogeneity in N- and S‑proteins. The possibility of species-level identification of COVID-19 pathogen circulating in Russia is shown, both in the total reaction volume (in a single test tube) and on biological microarrays.
About the authors
S. A. Lapa
Engelhardt Institute of Molecular Biology, Russian Academy of Sciences
Email: lapa@biochip.ru
Russia, 119991, Moscow, ul. Vavilova 32
A. A. Shingareva
Engelhardt Institute of Molecular Biology, Russian Academy of Sciences
Email: lapa@biochip.ru
Russia, 119991, Moscow, ul. Vavilova 32
E. B. Faizuloev
Mechnikov Scientific Research Institute of Vaccines and Serums
Email: lapa@biochip.ru
Russia, 115088, Moscow, ul. 1-ya Dubrovskaya 15
Yu. I. Ammour
Mechnikov Scientific Research Institute of Vaccines and Serums
Email: lapa@biochip.ru
Russia, 115088, Moscow, ul. 1-ya Dubrovskaya 15
V. E. Shershov
Engelhardt Institute of Molecular Biology, Russian Academy of Sciences
Email: lapa@biochip.ru
Russia, 119991, Moscow, ul. Vavilova 32
A. V. Chudinov
Engelhardt Institute of Molecular Biology, Russian Academy of Sciences
Email: lapa@biochip.ru
Russia, 119991, Moscow, ul. Vavilova 32
References
- Randhawa G.S., Soltysiak M.P.M., El Roz H., de Souza C.P.E., Hill K.A., Kari L. // PLoS One. 2020. V. 15. P. e0232391. https://doi.org/10.1371/journal.pone.0232391
- Gorbalenya A.E., Baker S.C., Baric R.S., de Groot R.J., Drosten C., Gulyaeva A.A., Haagmans B.L., Lauber C., Leontovich A.M., Neuman B.W., Penzar D., Perlman S., Poon L.L.M., Samborskiy D.V., Sidorov I.A., Sola I., Ziebuhr J. // Nat. Microbiol. 2020. V. 5. P. 536–544. https://doi.org/10.1038/s41564-020-0695-z
- Лапа С.А., Мифтахов Р.А., Клочихина Е.С., Аммур Ю.И., Благодатских С.А., Шершов В.Е., Заседателев А.С., Чудинов А.В. // Мол. биол. 2021. Т. 55. С. 944–955. [Lapa S.A., Miftakhov R.A., Klochikhina E.S., Ammur Y.I., Blagodatskikh S.A., Shershov V.E., Zasedatelev A.S., Chudinov A.V. // Mol. Biol. 2021. V. 55. P. 828–838.] https://doi.org/10.1134/S0026893321040063
- Lopez L.A., Riffle A.J., Pike S.L., Gardner D., Hogue B.G. // J. Virol. 2008. V. 82. P. 3000–3010. https://doi.org/10.1128/JVI.01914-07
- Грачёва А.В., Корчевая Е.Р., Кудряшова А.М., Борисова О.В., Петруша О.А., Смирнова Д.И., Чернышова И.Н., Свитич О.А., Зверев В.В., Файзулоев Е.Б. // Журн. микробиол. эпидемиол. иммунобиол. 2021. Т. 98. С. 253–265. https://doi.org/10.36233/0372-9311-136
- Sorokin N.V., Chechetkin V.R., Livshits M.A., Pankov S.V., Donnikov M.Y., Gryadunov D.A., Lapa S.A., Zasedatelev A.S. // J. Biomol. Struct. Dyn. 2005. V. 22. P. 725–734. https://doi.org/10.1080/07391102.2005.10507039
- Artesi M., Bontems S., Göbbels P., Franckh M., Maes P., Boreux R., Meex C., Melin P., Hayette M.P., Bours V., Durkin K. // J. Clin. Microbiol. 2020. V. 58. P. e01598-20. https://doi.org/10.1128/JCM.01598-20
- Rubina A.Yu., Pan’kov S.V., Dementieva E.I., Pen’kov D.N., Butygin A.V., Vasiliskov V.A., Chudinov A.V., Mikheikin A.L., Mikhailovich V.M., Mirzabekov A.D. // Anal. Biochem. 2004. V. 325. P. 92–106. https://doi.org/10.1016/j.ab.2003.10.010





