Кожа байкальской нерпы (Pusa sibirica, Phocidae): норма и патология
- Авторы: Аникиенко И.В.1, Рядинская Н.И.1, Петров Е.А.2, Костюнин К.Ю.3,4, Белова С.Е.1, Иконникова Д.Р.1
-
Учреждения:
- ФГБОУ ВО Иркутский государственный аграрный университет имени А. А. Ежевского
- Байкальский музей Иркутского Научного центра
- ФГБОУ ВО Иркутский государственный медицинский университет Министерства здравоохранения Российской Федерации
- Иркутский диагностический центр
- Выпуск: Том 104, № 1 (2025)
- Страницы: 93-111
- Раздел: Статьи
- URL: https://bakhtiniada.ru/0044-5134/article/view/285421
- DOI: https://doi.org/10.31857/S0044513425010076
- EDN: https://elibrary.ru/SXYYXC
- ID: 285421
Цитировать
Аннотация
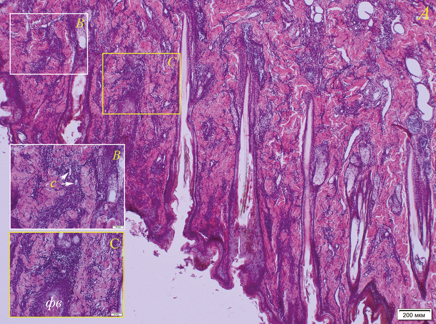
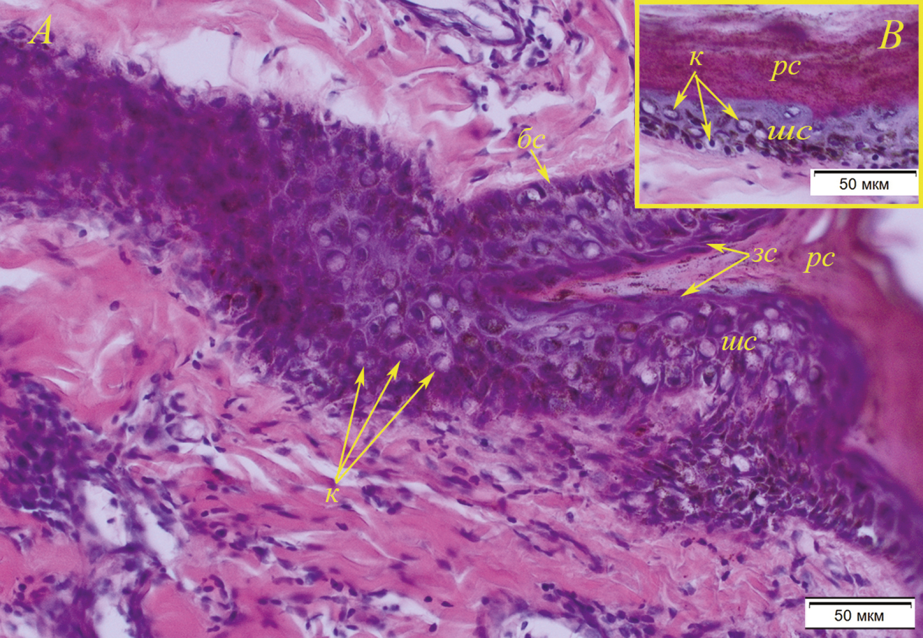
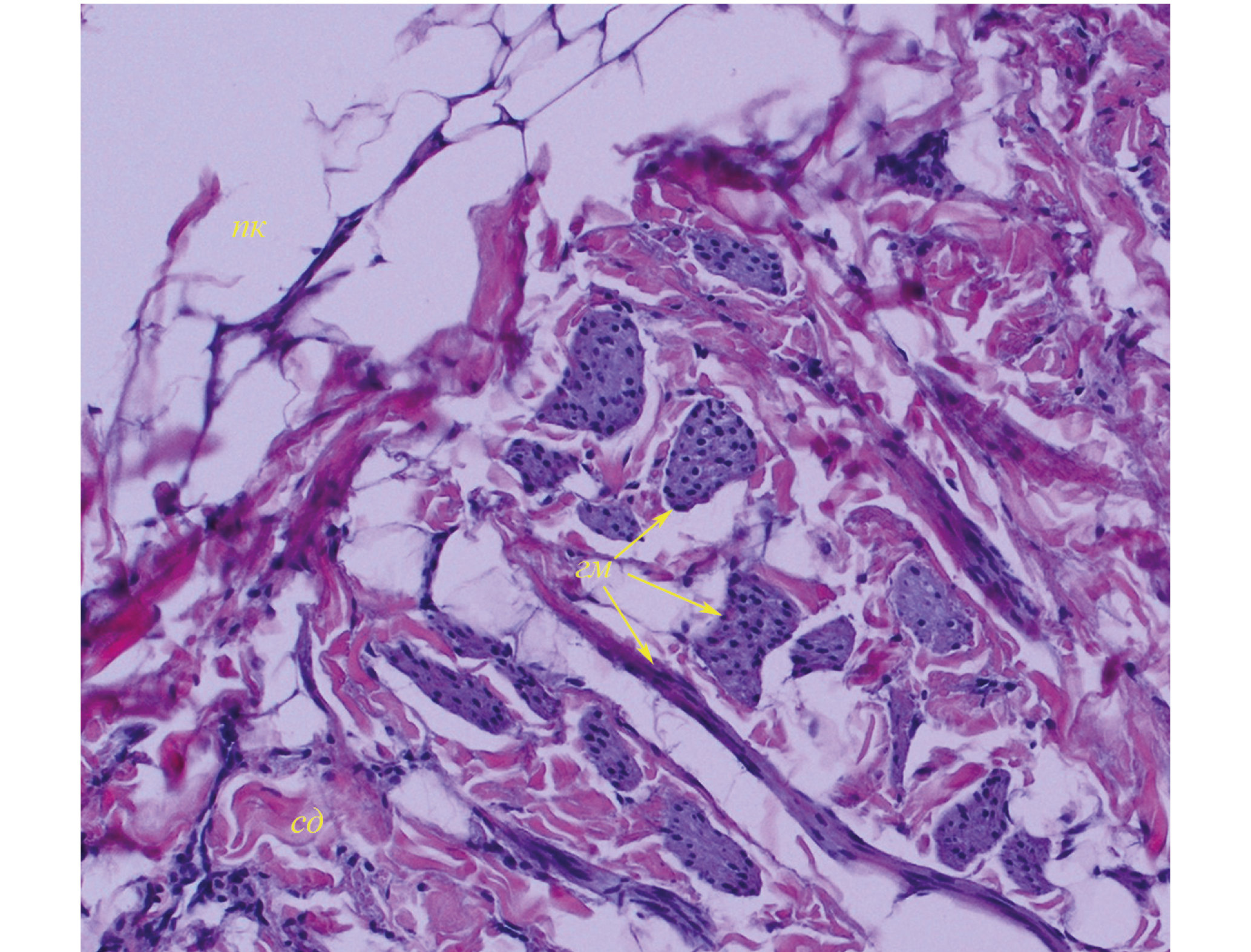
С помощью анатомических и гистологических методов мы изучили норму и патологические изменения кожного покрова у 12 разновозрастных особей байкальской нерпы (Pusa sibirica) (алопеция, язвы, шрамы и др.). Такие изменения обычно присутствуют у многих особей, выходящих на береговые лежбища. Норма: кожа имеет складчатый эпидермис на теле и ластах. Отмечен гиперкератоз эпителия. Граница между сосочковым и сетчатым слоями дермы не выражена. Сосочковый слой образован тонкими пучками коллагеновых волокон, сетчатый слой сформирован толстыми пучками коллагеновых волокон. В сетчатом слое кожи туловища присутствуют мощные, многочисленные пучки гладких мышц. Дерма кожи ласт тоньше в сравнении с дермой кожи туловища нерп. В коже тела сальные железы небольшие многодольчатые, каждый волосяной пучок окружают, как правило, две такие железы. Нижние секреторные отделы апокриновых потовых желез слабо извитые трубчатые, располагаются в глубоких слоях сетчатой дермы и в жировой клетчатке отдельно от волосяных фолликулов и рядом с сетью кровеносных сосудов. Их узкие выводные протоки открываются в воронку волоса на уровне его верхней трети. В коже ласт крупные извитые апокриновые железы залегают на уровне нижних отделов луковиц остевых волос, удлиненные полиморфные выводные протоки сальных желез открываются в волосяные сумки. Обсуждаются морфофизиологические адаптации кожного покрова нерп, способствующие улучшению его гидродинамических, терморегуляторных и солнцезащитных свойств. Патология: выявлены два основных комплекса патологий кожи нерпы: 1) койлоцитоз, субэпидермальное воспаление (инфильтрат представлен лимфоцитами с небольшой примесью гистиоцитов), экзоцитоз лимфоцитов в волосяные фолликулы с явлениями спонгиоза; 2) формирование субэпидермального пузыря с нейтрофильной инфильтрацией в сосочковом слое дермы. Эти патологии могут быть связаны с потеплением климата и изменением ледового режима Байкала, что привело к возникновению иммунных воспалительных процессов в коже. Не исключено и воздействие неизвестного вирусного патогена, вызвавшего койлоцитоз у нерп.
Ключевые слова
Полный текст
Об авторах
И. В. Аникиенко
ФГБОУ ВО Иркутский государственный аграрный университет имени А. А. Ежевского
Автор, ответственный за переписку.
Email: babushcinai@mail.ru
Россия, Иркутская обл.
Н. И. Рядинская
ФГБОУ ВО Иркутский государственный аграрный университет имени А. А. Ежевского
Email: ryadinskaya.nina@mail.ru
Россия, Иркутская обл.
Е. А. Петров
Байкальский музей Иркутского Научного центра
Email: evgen-p@yandex.ru
Россия, Иркутская обл.
К. Ю. Костюнин
ФГБОУ ВО Иркутский государственный медицинский университет Министерства здравоохранения Российской Федерации; Иркутский диагностический центр
Email: kostjunin@gmail.com
Россия, Иркутск; Иркутск
С. Е. Белова
ФГБОУ ВО Иркутский государственный аграрный университет имени А. А. Ежевского
Email: sonab5215@gmail.com
Россия, Иркутская обл.
Д. Р. Иконникова
ФГБОУ ВО Иркутский государственный аграрный университет имени А. А. Ежевского
Email: dasha2002.30anim@gmail.com
Россия, Иркутская обл.
Список литературы
- Автандилов Г. Г., 1990. Медицинская морфометрия. Руководство. М.: Медицина. 384 с.
- Баранов В. И., Баранов Е. А., Елагин О. К., Петров Е. А., Шошенко К. А., 1988. Кровоток в коже и подкожном жире байкальской нерпы // Журнал эволюционной биохимии и физиологии. Т. 24. № 3. С. 437– 444.
- Баранов В. И., Елагин О. К., Корохов В. П., Петров Е. А., Чермных Н. А. и др., 1992. Органное кровообращение байкальской нерпы при изменении температуры и нырянии // Бионика. № 25. С. 98–108.
- Белькович В. М., 1964. Строение кожного покрова некоторых ластоногих. Морфологические особенности водных млекопитающих. М.: Наука. С. 5–47.
- Гармаев Б. Ц., Цыбикжапов А. Д., Сиразиев Р. З., 2013. Структурно-функциональная организация кожно-волосяного покрова байкальской нерпы: монография. Улан-Удэ: Бурятская ГСХА им. В. Р. Филиппова. 77 с.
- Грушко М. П., Володина В. В., 2023. Морфология кожного покрова каспийского тюленя (Phoca caspica Gmelin, 1788) // Актуальные вопросы ветеринарной медицины. № 1 (57). С. 60–63.
- Иванов М. К., 1982. Кожно-волосяной покров байкальской нерпы // Морфофизиологические и экологические исследования байкальской нерпы. Новосибирск: Наука. С. 20–39.
- Лилли Р., 1969. Патогистологическая техника и практическая гистохимия. М.: Мир. 646 с.
- Мордвинов Ю. Е., 1984. Функциональная морфология плавания птиц и полуводных млекопитающих. Киев: Наук. думка. 168 с.
- Мордвинов Ю. Е., Куратов Б. В., 1972. Влияние волосяного покрова некоторых видов настоящих тюленей (Phocidae) на величину общего гидродинамического сопротивления // Зоологический журнал. Т. 51. № 2. С. 242–247.
- Мяделец О. Д., 2000. Клеточные механизмы барьерно-защитных функций кожи и их нарушения при кожной патологии. Витебск: Издательство Витебского государственного медицинского университета. 283 с.
- Пастухов В. Д., 1993. Нерпа Байкала: биологические основы рационального использования и охраны ресурсов. Новосибирск: ВО “Наука”. 272 с.
- Петров Е. А., 2009. Байкальская нерпа. Улан-Удэ: ИД “Экос”. 176 с.
- Петров Е. А., Елагин О. К., Баранов В. И., Шошенко К. А., 1998. Сосудистые реакции у байкальской нерпы Pusa sibirica при разных типах ныряний // Журнал эволюционной биохимии и физиологии Т. 34. № 1. С. 50–56.
- Петров Е. А., Купчинский А. Б., Фиалков В. А., Бадардинов А. А., 2021. Значение береговых лежбищ в жизни байкальской нерпы (Pusa sibirica Gmelin 1788, Pinnipedia). 1. Обзор // Зоологический журнал. Т. 100. № 5. С. 590–600.
- Петров Е. А., Купчинский А. Б., Фиалков В. А., Бадардинов А. А., 2021а. Значение береговых лежбищ в жизни байкальской нерпы (Pusa sibirica Gmelin 1788, Pinnipedia). 3. Функционирование лежбищ байкальской нерпы на острове Тонкий (Ушканьи острова, оз. Байкал) по материалам видеонаблюдений // Зоологический журнал. Т. 100. № 7. С. 823– 840.
- Петров Е. А., Купчинский А. Б., 2023. Растянутая линька на фоне потепления климата – основная причина выхода байкальской нерпы (Pusa sibirica, Pinnipedia) на береговые лежбища // Зоологический журнал. Т. 102. № 2. С. 201–214.
- Рядинская Н. И., Аникиенко И. В., Иконникова Д. Р., Ильина О. П., Карпова Е. А. и др., 2020. Скелет байкальской нерпы. Молодежный: Издательство Иркутского государственного аграрного университета им. А. А. Ежевского. 61 с.
- Соколов В. Е., 1973. Кожный покров млекопитающих. М.: Наука. 487 с.
- Соколов В. Е., Скурат Л. Н., Степанова Л. В., Сумина Е. Б., Шабадаш С. А., 1988. Руководство по изучению кожного покрова млекопитающих. М.: Наука. 280 с.
- Соколов В. Е., Чернова О. Ф., 2001. Кожные железы млекопитающих. М.: ГЕОС. 648 с.
- Amano M., Miyazaki N., Petrov E. A., 2000. Age determination and growth of Baikal seals (Phoca sibirica) // Advances in Ecological Research. V. 31. P. 449–462.
- Antiga E., Caproni M., 2015. The diagnosis and treatment of dermatitis herpetiformis // Clin. Cosmet. Investig Dermatol. V. 8. P. 257–265.
- Barragán-Vargas C., Montano-Frías J., Ávila Rosales G., Godínez-Reyes C.R., Acevedo-Whitehouse K., 2016. Transformation of the genital epithelial tract occurs early in California sea lion development // R. Soc. open sci. V. 3. № 3. P. 150419.
- Becher P., König M., Müller G., Siebert U., Thiel H. J., 2002. Characterization of sealpox virus, a separate member of the parapoxviruses // Arch. Virol. V. 147. P. 1133–1140.
- Beckmen K. B., Lowenstine L. J., Newman J., Hill J., Hanni K., Gerber J., 1997. Clinical and pathological characterization of northern elephant seal skin disease // J. Wildlife Diseases. V. 33. № 3. P. 438–449.
- Beltran R., Burns J., Breed G., 2018. Convergence of biannual moulting strategies across birds and mammals // Proceedings of the Royal Society B: Biological Sciences. V. 285. P. 20180318.
- Bergin I. L., Bell J. D., Chen Z., Zochowski M. K., Chai D. et al., 2013. Novel Genital Alphapapillomaviruses in Baboons (Papio hamadryas Anubis) With Cervical Dysplasia // Veterinary Pathology. V. 50. № 1. P. 200–208.
- Buckles E. L., Lowenstine L. J., Funke C., Vittore R. K., Wong H. N. et al., 2006. Otarine Herpesvirus-1, not papillomavirus, is associated with endemic tumours in California sea lions (Zalophus californianus) // Journal of Comparative Pathology. V. 135. № 4. P. 183–189.
- Colegrove K. M., Burek-Huntington K.A., Roe W., Siebert U., 2018. Chapter 23 – Pinnipediae // Pathology of Wildlife and Zoo Animals. Terio K. A., McAloose D., Leger J. St. (Ed.). Academic Press. P. 569–592.
- Dierauf L. A., Guland F. M.D., 2001. Handbook of Marine Mammal Medicine. Boca Raton, Florida: CRC Press.
- Dunn J. L., Buck J. D., Spotte S., 1984. Candidiasis in captive pinnipeds // J. Am. Vet. Med. Assoc. V. 185. № 11. P. 1328–1330.
- Gonzales-Viera O., Marigo J., Ruoppolo V. C., Rosas F. C.W., Bertozzi C. P., Catão-Dias J.L., 2012. Occurrence of Toxoplasma gondii, Papillomavirus and Poxvirus Infections in Brazilian Dolphins // Materials American Association of Zoo Veterinarians Conference, 2012, Oakland (California, USA) [Электронный ресурс]. Режим доступа: https://www.vin.com/apputil/content/defaultadv1.aspx?pId=11367&catId=152766&id=9846859&ind=115&objTypeID=17. (Дата обновления: 15.01.24).
- Goodman S., 2016. Pusa sibirica, Baikal seal // The IUCN Red List of Threatened Species. P. 1–17.
- Guerrero A. I., Rogers T. L., Sepúlveda M., 2021. Conditions influencing the appearance of thermal windows and the distribution of surface temperature in hauled-out southern elephant seals // Conservation Physiology. V. 9. № 1. P. coaa141.
- Khamas W. A., Smodlaka H., Leach-Robinson J., Palmer L., 2012. Skin histology and its role in heat dissipation in three pinniped species // Acta Vet Scand. V. 54. № 1. P. 46.
- Krmpotic C. M., Loza C. M., Negrete J., Scarano A. C., Carlini A. A. et al., 2018. Integument in Antarctic seals: A comparative study and its relation to extreme environments // Acta Zool. V. 99. № 3. P. 281–295.
- Ling J. K., 2012. The skin and hair of the southern elephant seal, Mirounga leonina (Linn.). IV. Annual cycle of pelage follicle activity and moult // Australian Journal of Zoology. V. 60. № 4. P. 259–271.
- Ling J. K., 2018. A histological study of the skin, hair follicles and moult of the hooded seal (Cystophora cristata [Erxleben, 1777]) // Polar Research. V. 37. № 1. P. 1419906.
- Lipscomb T. P., Mense M. G., Habecker P. L., Taubenberger J. K., Schoelkopf R., 2001. Morbilliviral dermatitis in seals // Vet Pathol. V. 38. № 6. P. 724–726.
- Mamaev L. V., Denikina N. N., Belikov S. I., Volchkov V. E., Visser I. K.G. et al., 1995. Characterisation of morbilliviruses isolated from Lake Baikal seals (Phoca sibirica) // Veterinary Microbiology. V. 44. P. 251–259.
- Müller G., Gröters S., Siebert U., Rosenberger T., Driver J. et al., 2003. Parapoxvirus infection in harbor seals (Phoca vitulina) from the German North Sea // Vet. Pathol. V. 40. № 4. P. 445–454.
- Pfeiffer C. J., Rowntree V. J., 1996. Epidermal ultrastructure of the southern right whale calf (Eubalaena australis) // J Submicrosc Cytol Pathol. V. 28. № 2. P. 277– 286.
- Pollock C. G., Rohrbach B., Ramsay E. C., 2000. Fungal dermatitis in captive pinnipeds // Journal of zoo and wildlife medicine. V. 31. № 3. P. 374–378.
- Reeb D., Best P., Kidson S., 2007. Structure of the integument of southern right whales, Eubalaena australis // Anatomical record. V. 290. P. 596–613.
- Ringwaldt E. M., Brook B. W., Carver S., Buettel J. C., 2021. The Patterns and Causes of Dermatitis in Terrestrial and Semi-Aquatic Mammalian Wildlife // Animals. V. 11. № 6. P. 1691.
- Ryadinskaya N., Meltsov I., Tabakova M., Anikienko I., Sayvanova S. et al., 2020. Identification of causes of death of Baikal seal (Pusa sibirica Gmelin, 1788) // Turkish Journal of Zoology. V. 44. P. 60–63.
- Taurisano N. D., Butler B. P., Stone D., Hariharan H., Fields P. J. et al., 2018. Streptococcus phocae in marine mammals of northeastern pacific and arctic Canada: a retrospective analysis of 85 postmortem investigations // J. Wildlife Diseases. V. 54. № 1. P. 101–111.
- Van Bressem M.-F., Van Waerebeek K., Pierard G. E., Desaintes C., 1996. Genital and lingual warts in small cetaceans from coastal Peru // Diseases of Aquatic Organisms. V. 26. P. 1–10.
- Walcott S. M., Kirkham A. L., Burns J. M., 2020. Thermoregulatory costs in molting Antarctic Weddell seals: impacts of physiological and environmental conditions: Themed Issue Article: Conservation of Southern Hemisphere Mammals in a Changing World // Conserv Physiol. V. 8. № 1. P. coaa022.
- Wright E. P., Waugh L. F., Goldstein T., Freeman K. S., Kelly T. R. et al., 2015. Evaluation of viruses and their association with ocular lesions in pinnipeds in rehabilitation // Vet Ophthalmol. V. 18. № s1. P. 148–159.
- Wu Q., Wang Y., Zhang X., Gu X., He H., Jin X., 2023. Pyogranulomatous dermatitis with Enterococcus faecalis in a spotted seal (Phoca larga) // Veterinary Medicine and Science. V. 9. № 2. P. 985–991.
Дополнительные файлы















