Полевки рода Alexandromys (Rodentia, Arvicolinae) Среднеамурской низменности и описание четырех новых вариантов кариотипа Alexandromys Maximowiczii (Rodentia, Arvicolinae)
- Авторы: Картавцева И.В.1, Степанова А.И.1
-
Учреждения:
- Федеральный научный центр биоразнообразия наземных организмов Восточной Азии Дальневосточного отделения РАН
- Выпуск: Том 103, № 12 (2024)
- Страницы: 91-107
- Раздел: Статьи
- URL: https://bakhtiniada.ru/0044-5134/article/view/280392
- DOI: https://doi.org/10.31857/S0044513424120054
- EDN: https://elibrary.ru/tgqojt
- ID: 280392
Цитировать
Аннотация
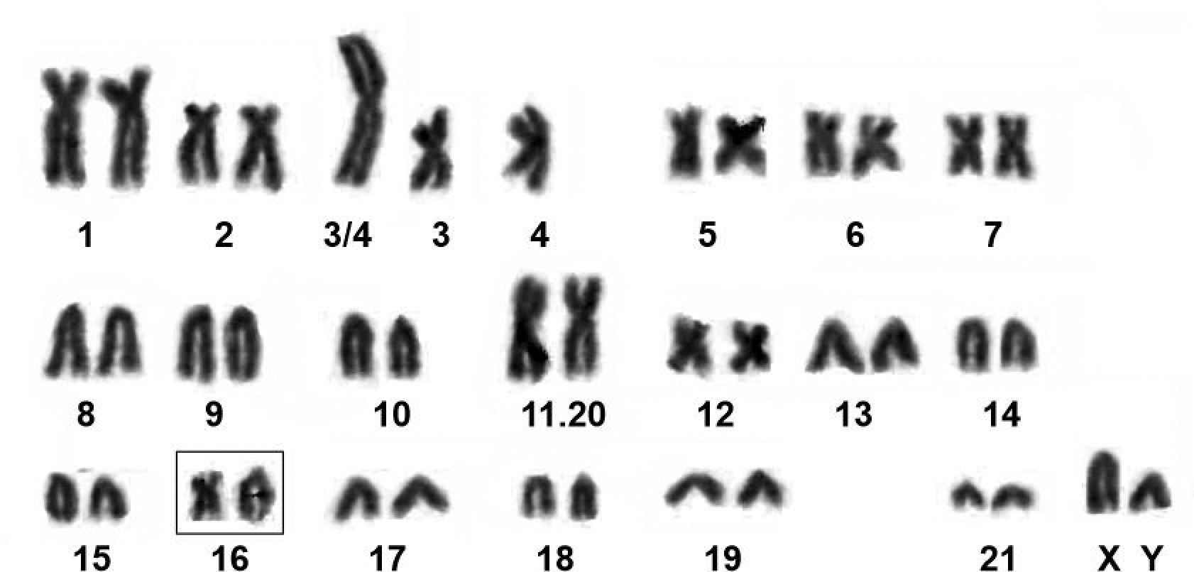
Ранее для северо-восточной части Среднеамурской низменности было установлено распространение только A. fortis. Исследование кариотипа полевок в крайней северной точке низменности в окрестностях пос. Эльбан позволило выявить второй вид – A. maximowiczii и сместить его восточную границу ареала на 200 км восточнее известной. Впервые для полевки Максимовича, имеющей множественный хромосомный полиморфизм, описаны четыре варианта кариотипа, обнаруженных у особей из Среднеамурской низменности. Два варианта кариотипа были преобладающими – 2n = 40a, NF = 58 и 2n = 41a, NF = 60, два варианта – редкими 2n = 41b, NF = 59 и 2n = 41с, NF = 59. По хромосомным характеристикам эти варианты соответствуют хромосомной форме “С”. Изменчивость числа хромосом этого вида обусловлена тандемным слиянием метацентрических хромосом № 3 и № 4 с образованием крупного метацентрика № 3/4. Центрическое слияние акроцентрических хромосом № 11 и № 20 с образованием метацентрической хромосомы средних размеров № 11.20, как правило, стабилизировано, за исключением одной особи из 54 исследованных. Для особей из средней части низменности отмечено резкое снижение частоты гетерозигот по тандемному слиянию, в то время как в северо-восточной части частота гетерозигот была высокая. Из хромосомной формы “C” исключено число хромосом 39 как не обоснованное. Редкие варианты имеют по одной паре аутосом в гетерозиготном состоянии (SM/A). Такая изменчивость связана со смещением центромеры в хромосоме № 10 в варианте 41b и перицентрической инверсией в хромосоме № 16 в варианте 41c. По ранее опубликованным данным генетического анализа – аллозимного, хромосомного и молекулярно-генетического, – для двух видов (A. maximowiczii и A. fortis) представлены хромосомные характеристики, места их обитания, в том числе симбиотопического.
Ключевые слова
Полный текст
Об авторах
И. В. Картавцева
Федеральный научный центр биоразнообразия наземных организмов Восточной Азии Дальневосточного отделения РАН
Автор, ответственный за переписку.
Email: kartavtseva@biosoil.ru
Россия, пр. Столетия Владивостока, 159, Владивосток, 690022
А. И. Степанова
Федеральный научный центр биоразнообразия наземных организмов Восточной Азии Дальневосточного отделения РАН
Email: kartavtseva@biosoil.ru
Россия, пр. Столетия Владивостока, 159, Владивосток, 690022
Список литературы
- Гилева Э.А., 1972. Хромосомный полиморфизм у двух близких форм субарктических полевок (северосибирской полевки и полевки Миддендорфа) // Доклады АН СССР. Т. 203. № 2. С. 689–692.
- Громов И.М., Поляков И.Я., 1977. Полевки (Microtinae) // Фауна СССР. Новая серия. № 116. Млекопитающие. Т. 3. Вып. 8. Ленинград: Наука. 504 с.
- Громов И.М., Ербаева М.А., 1995. Млекопитающие фауны России и сопредельных территорий. Зайцеобразные и грызуны. СПб.: ЗИН РАН. 522 с.
- Загороднюк И.В., 1992. Кариотипическая изменчивость и систематика серых полевок (Rodentia, Arvicolini). Сообщение 2. Система корреляций хромосомных чисел // Вестник зоологии. № 5. С. 36–45.
- Картавцева И.В., Шереметьева И.Н., Немкова Г.А., Рослик Г.В., Коновалова Е.В., Рябкова А.В., Высочина Н.П., Фрисман Л.В., 2009. Новые данные в исследовании хромосом мелких млекопитающих Приамурья // Комплексные исследования природной среды в бассейне реки Амур: материалы Межрегиональной научной конференции (III Дружининские чтения). Т. 1. C. 186–188.
- Картавцева И.В., Шереметьева И.Н., Романенко С.А., Гладких О.Л., Рябкова А.В., 2013. Изменчивость хромосом полевки Максимовича Microtus maximowiczii (Rodentia, Cricetidae, Microtus) // Цитология. Т. 55. № 4. С. 261–263.
- Картавцева И.В., Тиунов М.П. Лапин А.С., Высочина Н.П., Рябкова А.В., 2011. Инвазия полевки Microtus rossiaemeridionalis на территорию Дальнего Востока России // Российский журнал биологических инвазий. № 4. С. 17–24. [Kartavtseva I.V., Tiunov M. P., Lapin A.S., Visochina N.P., Rabkova A.V., 2012. Invasion of Microtus rossiaemeridionalis in to the Territory of the Russian Far East // Russian Journal of Biological Invasions. V. 3. № 1. P. 11–15. doi: 10.1134/S2075111712010031].
- Картавцева И.В., Аднагулова А.В., Высочина Н.П., 2017. Хромосомная и морфологическая изменчивость полевки Максимовича хабаровской популяции // ИрГСХА. Вып. 83. С. 74–82.
- Картавцева И.В., Васильева Т.В., Шереметьева И.Н., Лемская Н.А., Моролдоев И.В., Голенищев Ф.Н., 2019. Генетическая изменчивость трех изолированных популяций муйской полевки Alexandromys mujanensis Orlov et Kovalskaja, 1978 (Rodentia, Arvicolinae) // Генетика. Т. 55. № 8. С. 920–935. doi: 10.1134/S0016675819080071 [Kartavtseva I.V., Vasilieva T.V., Sheremetyeva I.N., Lemskaya N.A., Moroldoev I.V., Golenishchev F.N., 2019. Genetic Variability of Three Isolated Populations of the Muya Valley Vole Alexandromys mujanensis Orlov et Kovalskaja, 1978 (Rodentia, Arvicolinae) // Russian Journal of Genetics. V. 55. № 8. P. 978– 992. doi: 10.1134/S1022795419080076].
- Картавцева И.В., Шереметьева И.Н., Павленко М.В., 2021. Множественный хромосомный полиморфизм, хромосомной расы “эворон” эворонской полевки (Rodentia, Arvicolinae) // Генетика. Т. 57. № 1. С. 82– 94. doi: 10.31857/S0016675821010082 [Kartavtseva I.V., Sheremetyeva I.N., Pavlenko M.V., 2021. Multiple Chromosomal Polymorphism of “Evoron” Chromosomal Race of the Evoron Vole (Rodentia, Arvicolinae) // Russian Journal of Genetics. 2021. V. 57. № 1. P. 70–82. doi: 10.1134/S1022795421010087].
- Картавцева И.В., Степанова А.И., Шереметьева И.Н., Павленко М.В., Фрисман Л.В., 2022. Новые данные о краснокнижном виде Хабаровского края – эворонской полевке Alexandromys evoronensis (Rodentia, Arvicolinae) // Актуальные проблемы зоогеографии и биоразнообразия Дальнего Востока России: материалы Всероссийского симпозиума, посвященного 150-летию со дня рождения В.К. Арсеньева (г. Хабаровск, 29-31 марта 2022 г.). Под ред. В.В. Рожнова. Хабаровск: БФ «Биосфера). С. 124–130.
- Костенко В.А., 2000. Грызуны (Rodentia) Дальнего Востока России. Владивосток: Дальнаука. 210 с.
- Ковальская Ю.М., 1977. Хромосомный полиморфизм полевки Максимовича Microtus maximowiczii Schrenk, 1858 (Rodentia, Cricetidae) // Бюллетень Московского общества испытателей природы. Биология. Т. 82. № 2. С. 38−48.
- Ковальская Ю.М., Хотолху H., Орлов В.Н., 1980. Географическое распространение хромосомных мутаций и структура вида Microtus maximowiczii (Rodentia, Cricetidae) // Зоологический журнал. Т. 59. № 12. С. 1862−1869.
- Ковальская Ю.М., Анискин В.М., Картавцева И.В., 1991. Географическая изменчивость по гетерохроматину восточной полевки Microtus fortis // Зоологический журнал. Т. 70. № 12. С. 97−103.
- Крюкова М.В., 1999. Конспект водно-прибрежной флоры Среднеамурской низменности. Хабаровск: Институт водных и экологических проблем ДВО РАН. 44 с.
- Лапин А.С., Высочина Н.П., Здановская Н.И., Мусатов Ю.С., Полещук Д.Н., 2015. Экология и эпидемиологическое значение восточноевропейской полевки на юге Хабаровского края // Дальневосточный журнал инфекционной патологии. № 27. C. 53–56.
- Лисовский А.А., Кадетова А.А., Оболенская Е.В., 2018. Морфологическое определение видов восточноазиатских серых полевок Alexandromys (Rodentia, Cricetidae) России и сопредельных территорий // Зоологический журнал. Т. 97. № 1. С. 101–113.
- Мейер М.Н., 1968. Комплексный таксономический анализ вида на примере некоторых форм серых полевок (род Microtus) // Зоологический журнал. Т. 57. Вып. 6. С. 850−859.
- Мейр М.Н., Голенищев Ф.Н., Раджабли С.И., Саблина О.Л., 1996. Серые полевки фауны России и сопредельных территорий // РАН труды Зоол. ин-та. С.-П. Т. 32. 320 c.
- Орлов В.Н., 1974. Кариосистематика млекопитающих. М.: Наука. 207 с.
- Орлов В.Н., Ляпунова Е.А., Баскевич М.И., Картавцева И.В., Малыгин В.М, Булатова Н.Ш., 2023. Цитогенетика млекопитающих и ее вклад в разработку хромосомных диагнозов и системы видов // Зоологический журнал. T. 102. № 4. С. 386−407. doi: 10.31857/S0044513423040104 [Orlov V.N., Lyapunova E.A., Baskevich M.I., Kartavtseva I.V., Malygin V.M., Bulatova N.Sh., 2023. Mammalian Cytogenetics and Its Contribution to the Development of Chromosomal Diagnoses and the Species System // Biology Bulletin. V. 50. № 9. P. 2333–2353. doi: 10.1134/S1062359023090273].
- Фрисман Л.В., Коробицына К.В., Картавцева И.В., Шереметьева И.Н., Войта Л.Л., 2009. Полевки (Microtus Shrank, 1798) Российского Дальнего Востока: аллозимная и кариологическая дивергенция // Генетика. Т. 45. №. 6. С. 804–812. [Frisman L.V., Korobitsyna K.V., Kartavtseva I.V., Sheremetyeva I.N., Voyta L.L., 2009. Voles (Microtus Shrank, 1798) of the Russian Far East: Allozymic and Karyological Divergence // Russian Journal of Genetics. Т. 45. № 6. 707– 714].
- Фрисман Л.В., Картавцева И.В., Капитонова Л.В., Высочина Н.П., Рябкова А.В., 2011. Генетическое исследование серых полевок рода Microtus территории Еврейской автономной области // Региональные проблемы. Т. 14. № 2. С. 70−77.
- Фрисман Л.В., Картавцева И.В., Лисовский А.А., Шереметьева И.Н., Вакурин А.А., Капитонова Л.В., Аверин А.А., 2013. Идентификация видов серых полевок и пищухи в заповеднике “Бастак” // X Дальневосточная конференция по заповедному делу: материалы (Благовещенск, 25-27 сент. 2013 г.). Благовещенск, 2013. С. 313–315.
- Фрисман Л.В., Картавцева И.В., Шереметьева И.Н., Павленко М.В., Кораблев В.П., 2016. Аллозимная дифференциация и кариотипические особенности восточноазиатских полевок Дальнего Востока России // Вестник СВНЦ ДВО РАН. № 3. С. 93– 103.
- Фрисман Л.В., Капитонова Л.В., Картавцева И.В., Шереметьева И.Н., Васильева Т.В., 2019. Полевые сборы мелких млекопитающих на территории северо-востока Малого Хингана и южной части Буреинского хребта // Региональные проблемы. Т. 22. № 2. С. 13– 25. doi: 10.31433/2618-9593-2019-22-2-13-25
- Шереметьева И.Н., 2023. Видовой состав и распространение серых полёвок Забайкалья и Дальнего Востока России // Амурский зоологический журнал. Т. 15. № 4. С. 724–743. doi: 10.33910/2686-9519-2023-15-4-724-743
- Шереметьева И.Н., Картавцева И.В., Фрисман Л.В., 2006. Кариологическая и аллозимная изменчивость дальневосточной полевки Microtus fortis Buchner, 1889 (Cricetidae, Rodentia) Дальнего Востока России // Генетика. Т. 42. № 6. С. 833–843. [Sheremetyeva I.N., Kartavtseva I.V., Frisman L.V., 2006. Karyological and allozyme variability of Far Eastern voles Microtus fortis Büchner, 1889 (Cricetidae, Rodentia) from the Russian Far East // Russian Journal of Genetics. V. 42. № 6. P. 681–690].
- Шереметьева И.Н., Картавцева И.В., Фрисман Л.В., Васильева Т.В., Аднагулова А.В., 2015. Полиморфизм и генетическая структура полевки Максимовича Microtus maximowiczii (Schrenck 1858) (Rodentia, Cricetidae) Среднего Приамурья по данным секвенирования контрольного региона мтДНК // Генетика. Т. 51. № 10. С. 1154– 1162. doi: 10.7868/S0016675815100161 [Sheremetyeva I.N., Kartavtseva I.V., Frisman L.V., Vasil’eva T.V., Adnagulova A.V., 2015. Polymorphism and genetic structure of Maximowicz’s vole (Microtus maximowiczii (Schrenck 1858) from the Middle Amur river region as inferred from sequencing of the mtDNA control region // Russian Journal of Genetics. V. 51. № 10. P. 992–999. doi: 10.1134/S1022795415100166].
- Шереметьева И.Н., Картавцева И.В., Емельянова А.А., Лапин А.С., 2021. Изменчивость контрольного региона мтДНК восточноевропейской полевки Microtus rossiaemeridionalis (Rodentia, Arvicolini) из двух инвазивных популяций юга Дальнего Востока России // Генетика. Т. 57. № 11. С. 1252–1260. DOI: S0016675821110138
- Шереметьева И.Н., Картавцева И.В., Павленко М.В., Моролдоев И.В., Баженов Ю.А., Голенищев Ф.Н., 2022. Формирование генетической структуры популяций дальневосточной полевки (Alexandromys fortis, Rodentia, Arvicolinae) на северной периферии ареала // Зоологический журнал. Т. 101. № 10. С. 1173– 1189. DOI: S0044513422080098 [Sheremetyeva I.N., Kartavtseva I.V., Pavlenko M.V., Moroldoev I.V., Bazhenov Yu.A., Golenishchev F.N., 2023. Genetic Structure Formation of Reed Vole Populations at the Northern Periphery of Their Distribution (Alexandromys fortis, Rodentia, Arvicolinae) // Biology Bulletin. V. 50. № 8. P. 67–382. doi: 10.1134/S1062359023080253].
- Яшина Л.Н., Иванов Л.И., Слонова Р.А., Компанец Г.Г., Гуторов В.В., Кушнарева Т.В., Высочина Н.П., Абрамов С.А., Дупал Т.А., Пуховская Н.М., Здановская Н.И., 2008. Хантавирусы, циркулирующие в полевках Microtus fortis и Microtus maximowiczii // Тихоокеанский медицинский журнал. № 2. С. 47–49.
- Dobigny G., Britton-Davidian J., Robinson T.J., 2017. Chromosomal polymorphism in mammals: an evolutionary perspective // Biol. Rev. V. 92. P. 1–21. doi: 10.1111/brv.12213
- Dzagurova T., Tkachenko E., Slonova R., Ivanov L., Ivanidze E., Markeshin S., Dekonenko A., Niklasson B., Lundkvist A., 1995. Antigenic relationships of hantavirus strains analyzed by monoclonal antibodies. Arch. Virol. V. 140. P. 1763–1773.
- Ford C.E., Hamerton J.L., 1956. A colchicine, hypotonic citrate, squash sequence for mammalian chromosomes // Stain Technol. V. 31. P. 247–251.
- Hörling J., Chizhikov V., Lundkvist A., Jonsson M., Ivanov L., Dekonenko A., Niklasson B., Dzagurova T., Peters C. J., Tkachenko E., Nichol S., 1996. Khabarovsk virus: a phylogenetically and serologically distinct Hantavirus isolated from Microtus fortis trapped in Far-East Russia // Journal of General Virology. V. 77. P. 687–694.
- Kartavtseva I.V., Sheremetyeva I.N., Korobitsina K.V., Nemkova G.A., Konovalova E.V., Korablev V.P., Voyta L.L., 2008. Chromosomal forms of Microtus maximowiczii (Schrenck, 1858) (Rodentia, Cricetidae): variability in 2n and NF in different geographic regions // Russian Journal of Genetics. V. 60. № 4. P. 481–492. doi: 10.1134/S1022795424040136
- Kartavtseva I.V., Sheremetyeva I.N., Pavlenko M.V., 2021. Intraspecific Multiple Chromosomal Variations Including Rare Tandem Fusion in the Russian Far Eastern Endemic Evoron Vole Alexandromys evoronensis (Rodentia, Arvicolinae) // Comparative Cytogenetic. V. 15. № 4. P. 393–411. doi: 10.3897/compcytogen.v15.i4.67112
- Kartavtseva I.V., Stepanova A.I., Sheremetyeva I.N., Pavlenko M.V., Frisman L.V., 2023. A new record of the Evoron vole (Rodentia, Arvicolinae: Alexandromys evoronensis) in the Far East // Amurian Zoological Journal. V. 15. № 2. P. 378–384. doi: 10.33910/2686-9519-2023-15-2-378-384
- Kariwa H., Yoshimatsu K., Sawabe J., Yokota E., Arikawa J., Takashima I. et al., 1999. Genetic diversities of hantaviruses among rodents in Hokkaido, Japan and Far East Russia // Virus Research. V. 59. C. 219–228.
- King M., 1993. Chromosomal Speciation Revisited (Again): Species Evolution. The Role of Chromosome Change, Cambridge: Cambridge Univ. Press.
- Kryštufek B., Shenbrot G.I., 2022 Voles and Lemmings (Arvicolinae) of the Palaearctic Region. University of Maribor, University Press. 436 p.
- Lemskaya N.A., Romanenko S.A., Golenishchev F.N., Rubtsova N.V, Sablina O.V, Serdukova N.A., O’Brien P.C.M., Fu B., Yiğit N., Ferguson-Smith M.A., Yang F., Graphodatsky A.S., 2010. Chromosomal evolution of Arvicolinae (Cricetidae, Rodentia). III. Karyotype relationships of ten Microtus species // Chromosome Research. V. 18. P. 459– 471.
- Meyer M., Jordan M., Walknowska J.A. 1967. A karyosystematic study of some Microtus species // Folia boil. (Polska). V. 15. № 3. P. 251–264.
- Shenbrot G.I., Krasnov B.R., 2005. An Atlas of the Geographic Distribution of the Arvicoline Rodents of the world (Rodentia, Muridae: Arvicolinae). Sofia: Pensoft Publ. 336 p.
- Sheremetyeva I.N., Kartavtseva I.V., Pavlenko M.V., Goro-beyko U.V., Bazhenov Yu.A., Moroldoev I.V., Voyta L.L., 2024. Phylogeographic Structure of Alexandromys maximowiczii Schrenck, 1859 (Rodentia, Cricetidae): a Comparison of the MtDNA Control Region Variability and Chromosome Polymorphism Data Russian // Journal of Genetics. V. 60. № 4. P. 481–492. doi: 10.1134/S1022795423010106
- Wang C.-Q., Gao J.-H., Li M., Guo W.-P., Lu M.-Q., et al., 2014. Co-circulation of Hantaan, Kenkeme and Khabarovsk Hantaviruses in Bolshoy Ussuriysky Island, China // Virus Research. V. 191. 51–58.
Дополнительные файлы







