Prenatal growth and development of the water vole, Arvicola amphibius (rodentia, arvicolinae)
- Authors: Nazarova G.G.1, Proskurnyak L.P.1
-
Affiliations:
- Institute of Animal Systematics and Ecology, Siberian Branch, Russian Academy of Sciences
- Issue: Vol 103, No 3 (2024)
- Pages: 116-122
- Section: ARTICLES
- URL: https://bakhtiniada.ru/0044-5134/article/view/264988
- DOI: https://doi.org/10.31857/S0044513424030124
- EDN: https://elibrary.ru/VBSNCG
- ID: 264988
Cite item
Full Text
Abstract
The morphological and morphometric characteristics of water vole embryos are studied. Embryo implantation occurs on the 5th day of pregnancy. A description of the morphological features of embryonic development at different stages of pregnancy is given, with equations for embryo body weight and length revealed. The results of multiple regression analysis show that embryo weight, when considering the influence of gestational age, is negatively related to the number of live embryos. Our results complement the existing literature on the biology of mammalian development and may be useful for establishing equivalent stages of embryonic development in different species when conducting comparative studies. Morphological features of development and the embryonic growth equations can be used to determine the age of pregnancy and the calendar dates of the beginning and end of the breeding season in natural populations.
Keywords
Full Text
Пренатальный рост и развитие влияют на исход беременности и благополучие потомства после рождения. Выяснение видоспецифических закономерностей пренатального роста важно для решения теоретических и методических задач эмбриологии, физиологии, эволюционной и популяционной экологии. С использованием сведений о пренатальном росте млекопитающих показано, например, что межвидовые различия скорости старения, оцениваемой по возрастному увеличению уровня смертности, положительно связаны со скоростью пренатального и постнатального роста (Ricklefs, 2010). Информация о росте и развитии эмбрионов необходима для определения сроков начала и окончания сезона размножения в природных популяциях (Тупикова, Медведева, 1956).
Таблицы нормального эмбрионального развития составлены для лабораторных мышей, крыс, кроликов (Дыбан и др., 1975), оленьего хомячка (Peromyscus maniculatus) (Davis, Keisler, 2016), рыжей полевки (Myodes glareolus) (Ozdzeński, Mystkowska, 1976), степной пеструшки (Lagurus lagurus) (Тупикова, Медведева, 1956). Постимплантационное развитие и рост водяной полевки, широко используемого объекта популяционных и лабораторных исследований, не изучены, что определило цель данного исследования: описать морфологические характеристики эмбрионов на разных сроках беременности и найти уравнения роста их линейных и весовых размеров.
МАТЕРИАЛ И МЕТОДИКА
Исследование выполнено на водяных полевках лабораторной колонии Института систематики и экологии животных СО РАН. Колония основана в 1984 г. животными, отловленными в Убинском р-не Новосибирской обл., и с тех пор регулярно пополнятся дикими особями для поддержания генетической гетерогенности.
Животных содержали при естественном световом режиме, температуре 18–22 оС, свободном доступе к воде и корму (распаренная зерновая смесь, овощи, проростки злаков, свежая трава). У самок, содержавшихся в паре с самцом, ежедневно (с 9:00 до 11:00 ч) исследовали вагинальные мазки на наличие сперматозоидов или вагинальной пробки для определения даты копуляции. Наступление беременности подтверждали анализом цитологического состава вагинальных мазков, взятых через 1–3 дня после спаривания. По нашим наблюдениям, у беременных самок клеточный состав мазка резко изменяется после спаривания и представлен преимущественно лейкоцитами. Сперматозоиды через сутки после спаривания не выявляются. Дополнительным и достаточно надежным критерием наступления беременности служит увеличение массы тела самки через 5 дней после спаривания. При выполнении этих условий и для удобства сравнения с другими видами (Ozdzeński, Mystkowska, 1976, 1976a) день обнаружения сперматозоидов или вагинальной пробки, свидетельствующих о прошедшей копуляции, считали первым днем беременности. У всех самок беременность была первой в репродуктивном сезоне и не совмещалась с лактацией. Возраст самок составлял 1–2 года.
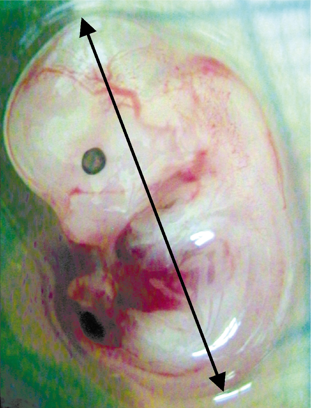
Эвтаназию проводили путем декапитации. Извлечение эмбрионов из матки на ранней постимплантационной стадии развития выполняли по методике (Udan, Dickinson, 2010). Для описания морфологических признаков использованы 147 эмбрионов от 26 самок на 8–19-й день беременности и 13 эмбрионов от двух самок на 6-й или 7-й день беременности. Также было исследовано 5 самок без видимых мест имплантации на 4–5-й день беременности. С помощью шприца, заполненного средой 199, промывали рога матки под микроскопом МБС-10 (×28) и определяли наличие доимплантационных эмбрионов. У самок оценивали число желтых тел беременности, мест имплантации и число живых эмбрионов. Массу и длину эмбрионов оценивали, начиная с 8-го дня беременности. Измерение массы (n = 114) и длины эмбрионов (n = 117) проведено у 21 и 23 беременных самок соответственно. Для определения массы эмбрионов использовали весы VIBRA серии HT.HTR (наименьший предел взвешивания 0.01 г, точность измерения 0.001 г). Длину эмбрионов измеряли от темени до низа туловища (рис. 1), используя программное обеспечение к цифровой камере к микроскопу Watec.
Рис. 1. Эмбрион водяной полевки (Arvicola amphibius), возраст 14 дней. Измерение длины.
Для представителей семейства полевочьих характерна индуцированная овуляция. Образование зрелых фолликулов происходит в течение 6–24 часов после спаривания (Roberts et al., 1999). По этой причине развитие эмбрионов одного помета гетерохронно, и установление срока беременности следует производить после обследования всех эмбрионов беременной самки (Ozdzeński, Mystkowska, 1976).
Для нахождения уравнений роста применяли регрессионный анализ, при этом в качестве зависимой переменной использовали среднюю массу и длину эмбрионов в помете. Выбор уравнения роста (степенная или полиномиальная функция) основывался на наибольшей величине коэффициента детерминации. Для установления влияния пренатальной величины помета на рост средней массы и средней длины эмбрионов применяли множественный регрессионный анализ. В качестве независимых переменных использовали число живых эмбрионов и возраст беременности. Поскольку зависимость между размерными характеристиками эмбрионов и возрастом беременности нелинейна, перед применением множественного регрессионного анализа выполнили логарифмическое преобразование массы, длины эмбрионов и возраста беременности. Статистическую обработку данных выполняли в программе Statistica 6.1.
РЕЗУЛЬТАТЫ
Желтые тела беременности имели розовато-коричневый цвет и размер около 1.5 мм (рис. 2а).
Рис. 2. Желтые тела беременности (а), матка на 4-й день беременности (б), матка на 6-й день беременности (в).
Среднее число желтых тел составляло 6.43±0.22. Среднее число мест имплантаций 5.65±0.28. Среднее число живых эмбрионов 5.43±0.25. Доимплантационная смертность (разность между числом желтых тел и числом мест имплантаций, деленная на число желтых тел) составила 12.2±2.7%. Постимплантационная смертность (отношение числа погибших эмбрионов к числу мест имплантации) 2.7±1.6%.
На 4-й день беременности эмбрионы пяти исследованных самок находились в рогах матки на стадии морулы или бластоцисты, а матка была сильно набухшей (рис. 2б). Места имплантации в матке обнаруживались только на 5–6-й день беременности и выглядели как небольшие вздутия (рис. 2в). На 7-й день беременности места имплантации имели отчетливую округлую форму в виде “бусин”. Быстрый рост эмбрионов сопровождался изменением формы имплантационных вздутий. На 14-е сутки они становилась овальными, и эмбрионы с плацентами просвечивали через стенку матки. Сведения о морфологических изменениях эмбрионов на разных сроках беременности приведены в табл. 1.
Таблица 1. Морфологические характеристики эмбрионов на разных сроках беременности
Признак | День беременности | |||||||||||
8 | 9 | 10 | 11 | 12 | 13 | 14 | 15 | 16 | 17 | 18 | 19 | |
Тело эмбриона изогнуто дорсальной поверхностью внутрь | + | |||||||||||
Эмбрион принимает форму, характерную для большинства эмбрионов млекопитающих | + | |||||||||||
Места имплантации округлой формы | + | + | + | + | + | + | ||||||
13–21 сомит | + | |||||||||||
Жаберные дуги | + | + | + | |||||||||
Глазные пузырьки | + | + | ||||||||||
Слуховые пузырьки | + | + | + | |||||||||
Появляется ушная раковина | + | |||||||||||
Пигмент сетчатки слабо выражен | + | + | ||||||||||
Пигмент сетчатки выражен отчетливо | + | + | + | + | + | |||||||
Кончик хвоста достает до головы | + | + | + | |||||||||
Зачатки передних конечностей в виде небольших вздутий на уровне 8–12 сомитов | + | |||||||||||
Зачатки задних конечностей в виде небольших вздутий на уровне 23–28 сомитов | + | |||||||||||
Пальцевая пластинка теряет признаки округлости, контур становится угловатым | + | + | ||||||||||
Расхождение пальцев передних конечностей | + | + | + | + | + | + | ||||||
Расхождение пальцев задних конечностей | + | + | + | + | + | |||||||
Сосуды головы | + | + | + | + | + | + | ||||||
Хорошо определяется пол | + | + | + | + | + | |||||||
Заметны зачатки вибрисс | + | + | + | + | + | + | ||||||
Веки открыты | + | + | + | + | + | |||||||
Веки частично закрывают глаза | + | + | + | + | ||||||||
Веки полностью закрывают глаза | + | + | + | + | ||||||||
Волосяные фолликулы распространены по всему телу | + | + | + | |||||||||
Подошвенные бугорки | + | + | + | |||||||||
Видны когти | + | + | + | + | + | |||||||
Пигмент на голове и спине | + | + | ||||||||||
Складки на коже | + | + | ||||||||||
Вторичное слияние пальцев | + | + | ||||||||||
В табл. 2 указаны признаки развития, позволяющие достаточно точно устанавливать возраст эмбрионов.
Таблица 2. Морфологические признаки возраста эмбрионов
Возраст, день | Признаки |
8 | Тело эмбриона полукругло изогнуто дорсальной поверхностью внутрь |
9 | Дорзальная поверхность выгнута; эмбрион принимает форму, характерную для большинства эмбрионов млекопитающих |
10 | 13–21 сомит; зачатки передних конечностей на уровне 8–12 сомитов; глазной и слуховой пузырьки |
11 | Более 21 сомита; пигментированная кайма глаза слабо выражена; зачатки задних конечностей на уровне 23–28 сомитов |
12 | Заметен хрусталик глаза; пигментированная кайма глаза; сосуды головы; кончик хвоста достает головы |
13 | Над слуховым отверстием выступает зачаток ушной раковины; пальцевая пластинка теряет признаки округлости, ее контур становится угловатым; пальцевые лучи на передних и задних конечностях |
14 | Расхождение пальцев передних и конечностей; зачатки вибрисс; ушная раковина закрывает слуховое отверстие |
15 | Хорошо определяется пол; поверхностные вены; расхождение пальцев задних конечностей |
16 | Видны когти; веки частично закрывают глаза |
17 | Подошвенные бугорки; волосяные фолликулы |
18 | Веки полностью закрывают глаза; складки на коже; волосяные фолликулы распространены по всему телу |
19 | Вторичное слияние пальцев; кожа спины и головы пигментирована |
Между средней массой эмбрионов (г) и их возрастом (дни) обнаружена криволинейная зависимость (R2 = 0.9526), наиболее точно описываемая степенной функцией:
Масса = 2 × 10–10 × возраст8.0696
Возраст эмбрионов на основании известной массы можно определить с помощью обратной функции (рис. 3):
Возраст = 16.252 × масса0.118
Зависимость средней длины эмбрионов (мм) от возраста (дни) подчиняется квадратичной функции (R2 = 0.978):
Длина = 0.1475 × возраст2 – 1.5828 × × возраст + 6.2338
Рис 3. Зависимость между возрастом и массой эмбрионов.
Соответственно, возраст эмбрионов по известной длине можно определить с помощью обратной функции (рис. 4):
Возраст = –0.0087 × длина2 + 0.6564 × × длина + 6.883
Рис 4. Зависимость между возрастом и длиной эмбрионов.
Как показали результаты множественного регрессионного анализа (R2 = 0.9641, p < 0.001), средняя масса эмбрионов зависит от возраста беременности (β = 7.67±0.35, p < 0.001) и величины помета (β = –0.18±0.07, p < 0.05).
Уравнение роста эмбрионов с учетом влияния величины помета имеет вид:
Масса = e7.6740 × 1n(возраст) – 0.1798 × N – 20.339,
где N – число эмбрионов.
Достоверное влияние величины помета на длину эмбрионов не обнаружено.
ОБСУЖДЕНИЕ
Получены новые сведения о постимплантационном развитии и росте эмбрионов водяной полевки. Имплантация эмбрионов в матку происходит на 5-й день беременности, в такие же сроки, как и у луговой полевки (Roberts et al., 1999), рыжей полевки (Ozdzeński, Mystkowska, 1976, 1976a), домовой мыши и норвежской крысы (Дыбан и др., 1975). Длительность беременности и возрастная последовательность стадий морфологического развития водяной полевки соответствуют таковым домовой мыши (Дыбан и др., 1975) и рыжей полевки (Ozdzeński, Mystkowska, 1976, 1976а).
Более 100 лет назад Sansom (1922) исследовал периимплантационное развитие водяной полевки и происхождение гигантских клеток в местах имплантации, используя беременных самок из природной популяции. Результаты его работы показали, что оплодотворение осуществляется в капсуле яйцевода, а первое деление – в матке. Дробление асинхронное. Во время первых дроблений размер эмбрионов существенно не изменяется. Средний размер двухклеточного эмбриона 57 мкм, восьмиклеточного – 64 , двенадцатиклеточного – 65 мкм. Размер бластоцисты 75 мкм, внутренней клеточной массы – 45 мкм, толщина zona pellucida – 3 мкм. Зрелая плацента дискоидальная, гемохориального типа. Что касается гигантских клеток в местах имплантации, то другие авторы позже установили их эмбриональное происхождение и назвали гигантскими клетками трофобласта. Эти клетки полиплоидны, обладают фагоцитарной способностью и характеризуются высокой экспрессией плацентарного лактогена (Favaron, Carter, 2023). Клетки трофобласта, непосредственно взаимодействуя с маткой, участвуют в имплантации и дают начало тканям плаценты.
Согласно нашим данным, у водяной полевки, как других плацентарных млекопитающих, увеличение массы эмбрионов в течение беременности подчиняется степенной функции (Ricklefs, 2010). Прижизненное изучение возрастных изменений линейных размеров эмбрионов мыши с использованием ультразвуковых методов показало, что зависимость длины эмбрионов от возраста наиболее точно описывается квадратичной функцией (Mu et al., 2008). Наши данные о функциональной зависимости линейных размеров эмбрионов водяной полевки от возраста беременности согласуются с соответствующими данными, полученными для мыши.
На массу эмбрионов отрицательно влияет величина помета. Негативное влияние величины помета на пренатальный рост отмечали и другие исследователи (Mus musculus: Ishikawa et al, 2006; Ovis aries: Freetly, Leymaster, 2004). Снижение массы эмбрионов с увеличением величины помета свидетельствует о неспособности маточно-плацентарного комплекса полностью поддерживать рост эмбрионов при высокой плодовитости (Fowden et al., 2006). У овец снижение массы эмбрионов при многоплодной беременности связано со снижением общего белка в организме и массы мышц (McCoard et al., 2000). Включение величины помета в регрессионную модель увеличило ее предсказательность на 1%. Длина эмбрионов не зависит от их числа в матке и является лучшим предиктором продолжительности беременности водяных полевок, чем масса эмбрионов.
Результаты работы дополняют имеющиеся сведения литературы о закономерностях эмбрионального развития млекопитающих и важны для планирования экспериментальных исследований на водяной полевке. Установление стадий эмбрионального развития по морфологическим признакам необходимо для проведения сравнительных исследований на млекопитающих. Признаки развития и уравнения эмбрионального роста могут быть использованы для определения возраста беременности и календарных сроков начала и окончания периода размножения в природных популяциях.
БЛАГОДАРНОСТИ
Авторы выражают благодарность М.Г. Орловой и Т.Е. Савченко за помощь в проведении исследований и рецензентов за ценные замечания.
ФИНАНСИРОВАНИЕ РАБОТЫ
Данная работа проводилась в рамках проекта Федеральной программы фундаментальных научных исследований на 2021–2025 гг. (проект № FWGS-2021-0003).
СОБЛЮДЕНИЕ ЭТИЧЕСКИХ СТАНДАРТОВ
Работа проводилась с соблюдением правил проведения научных исследований, утвержденных комиссией по этике Института систематики и экологии животных СО РАН (протокол № 2021-03 от 28.04.2021 г.).
КОНФЛИКТ ИНТЕРЕСОВ
Авторы данной работы заявляют, что у них нет конфликта интересов.
About the authors
G. G. Nazarova
Institute of Animal Systematics and Ecology, Siberian Branch, Russian Academy of Sciences
Author for correspondence.
Email: galinanazarova@mail.ru
Russian Federation, Novosibirsk, 630091
L. P. Proskurnyak
Institute of Animal Systematics and Ecology, Siberian Branch, Russian Academy of Sciences
Email: galinanazarova@mail.ru
Russian Federation, Novosibirsk, 630091
References
- Дыбан А.П., Пучков В.Ф., Баранов В.С., Самошкина Н.А., Чеботарь Н.А., 1975. Лабораторные млекопитающие: мышь Mus musculus, крыса Rattus norvegicus, кролик Oryctolagus cuniculus, хомячок Cricetus griseus // Объекты биологии развития. Под ред. Детлаф Т.А. М.: Наука. С. 505–566.
- Тупикова Н.В., Медведева И.М., 1956. Определение возраста эмбрионов как один из методов изучения размножения грызунов // Зоологический журнал. Т. 35. Вып. 10. С. 1574–1582.
- Davis S.W., Keisler J.L., 2016. Embryonic development of the deer mouse, Peromyscus maniculatus // PLoS ONE. V. 11. № 3. e0150598
- Ishikawa H., Seki R., Yokonishi S., Yamauchi T., Yokoyama K., 2006. Relationship between fetal weight, placental growth and litter size in mice from mid- to late-gestation // Reprod. Toxicol. V. 21. № 3. P. 267–270.
- Favaron P.O., Carter A.M., 2023. The trophoblast giant cells of cricetid rodents // Front. in Cell Dev. Biol. V. 10. 1097854.
- Freetly H.C., Leymaster K.A., 2004. Relationship between litter birth weight and litter size in six breeds of sheep // J. Anim. Sci. V. 82. № 2. P. 612–618.
- Fowden A.L., Ward J.W., Wooding F.P., Forhead A.J., Constancia M., 2006. Programming placental nutrient transport capacity // J. Physiol. V. 572. Pt 1. P. 5–15.
- McCoard S.A., McNabb W.C., Peterson S.W., McCutcheon S.N., Harris P.M., 2000. Muscle growth, cell number, type and morphometry in single and twin fetal lambs during mid to late gestation // Reproduction, Fertility and Development. V. 12. P. 319–327.
- Mu J., Slevin J.C., Qu D., McCormick S., Adamson S.L., 2008. In vivo quantification of embryonic and placental growth during gestation in mice using micro-ultrasound // Reprod. Biol. Endocrinol. V. 6. P. 34.
- Ozdzeński W., Mystkowska E.T., 1976. Stages of pregnancy of the bank vole // Acta Theriol (Warsz). V. 21. P. 279–286.
- Ozdzeński W, Mystkowska E.T., 1976а. Implantation and early postimplantation development of the bank vole Clethrionomys glareolus, Schreber // J. Embryol. Exp. Morphol. V. 35. № 3. P. 535–543.
- Ricklefs R.E., 2010. Embryo growth rates in birds and mammals // Functional Ecology. V. 24. № 3. P. 588–596.
- Roberts R.L., Wolf K.N., Sprangel M.E., Rall W.F., Wildt D.E., 1999. Prolonged mating in prairie voles (Microtus ochrogaster) increases likelihood of ovulation and embryo number // Biol. Reprod. V. 60. № 3. P. 756–762.
- Sansom G.S., 1922. Early development and placentation in Arvicola (Microtus) amphibius, with special reference to the origin of placental giant cells // J. Anat. V. 56. Pt 3–4. P. 333–365.
- Udan R.S., Dickinson M.E., 2010. Imaging mouse embryonic development // Methods Enzymol. V. 476. P. 329–349.
Supplementary files






