Fluorescence-guided surgery in patients with tumors near motor areas of the brain
- Authors: Kosyrkova A.V.1, Goryaynov S.A.1, Batalov A.I.1, Afandiev R.M.1, Semin K.S.1, Zakharova N.E.1, Ogurtsova A.A.1, Danilov G.V.1, Aristov A.A.1, Okhlopkov V.A.1, Kravtchuk A.D.1, Pronin I.N.1
-
Affiliations:
- N.N. Burdenko National Medical Research Center of Neurosurgery, Ministry of Healthcare of Russia
- Issue: Vol 74, No 1 (2024)
- Pages: 69-76
- Section: КЛИНИЧЕСКИЕ ИССЛЕДОВАНИЯ
- URL: https://bakhtiniada.ru/0044-4677/article/view/259301
- DOI: https://doi.org/10.31857/S0044467724010077
- ID: 259301
Cite item
Full Text
Abstract
There is no common concept regarding the effectiveness of the use of fluorescence-guided surgery in patients with tumors located in eloquent areas of the brain, in which resection can be stopped because the high risk of an increase of neurological deficit.
Objective is to evaluate the effectiveness of fluorescence-guided surgery in patients with tumors located near the motor cortex and corticospinal tract.
Methods. Our research includes 108 adult patients with gliomas near the motor cortex and corticospinal tract divided into two groups depending on the use of fluorescence-guided surgery: control (34 patients without fluorescence) and main (62 patients with fluorescence).
Results. There is no difference between study groups in the radicality of surgery and neurological outcomes.
Conclusion. Fluorescence-guided surgery can be a useful tool as part of complex intraoperative monitoring in patients with tumors located near the motor cortex and corticospinal tract despite the absence of a statistically significant difference.
Full Text
ВВЕДЕНИЕ
Соблюдение онкофункционального баланса является краеугольным камнем хирургии опухолей, расположенных вблизи моторной коры (МК) и кортикоспинального тракта (КСТ), поскольку на прогноз заболевания в равной степени оказывают влияние как объем резекции (Sanai et al., 2008), так и неврологический статус в послеоперационном периоде (Rahman et al., 2017).
Однако достигнуть его не всегда удается, и результаты хирургии опухолей функционально значимых зон головного мозга (ФЗЗ) остаются далекими от целевых. Так, при удалении опухолей, расположенных вблизи МК и КСТ, транзиторный моторный дефицит (регрессирующий в течение 3 месяцев) может достигать 96% (Rossi et al., 2019), а стойкий, что более значимо в прогностическом плане, – 47% (González-Darder et al., 2010). Объем резекции новообразований у пациентов с данной локализацией процесса также недостаточный, в ряде публикаций тотальное удаление глиом не превышает 56–64% (Ren et al., 2018; Shiban et al., 2015).
Золотым стандартом, позволяющим снизить риски нарастания неврологического дефицита в послеоперационном периоде, являются различные методики нейрофизиологического мониторинга (De Witt Hamer et al., 2012); для увеличения объема резекции во многих центрах, наряду с другими опциями, рутинно используют флуоресцентную микроскопию (ФМ) (Li et al., 2014).
Применение ФМ в относительно безопасных в отношении нарастания неврологического дефицита зонах головного мозга безусловно полезно и может использоваться в качестве основного ориентира в ходе удаления новообразования (Li et al., 2014). Однако при хирургии в области МК и КСТ фактором, ограничивающим резекцию опухоли, будут данные нейрофизиологического мониторинга, сообщающие о близости ФЗЗ. Соответственно, возникает вопрос: целесообразно ли использование ФМ в хирургии опухолей ФЗЗ?
ЗАДАЧА ИССЛЕДОВАНИЯ
Оценить целесообразность применения ФМ в процессе резекции опухоли у пациентов с глиомами головного мозга, расположенными в непосредственной близости от МК и КСТ.
МЕТОДИКА ИССЛЕДОВАНИЯ
Для решения поставленной задачи было проведено ретроспективное одноцентровое исследование, в которое были включены 108 взрослых пациентов с глиальными опухолями, расположенными не далее 2 см от КСТ или МК, прооперированных с применением нейрофизиологического мониторинга (прямая кортикальная и субкортикальная стимуляция (ПКС и ПСС) и транскраниальные моторные вызванные потенциалы (ТК МВП)) на базе НМИЦ нейрохирургии им. академика Н. Н. Бурденко с 2015 по 2023 г. Исследование проведено после одобрения локального этического комитета. Наличие подписанного добровольного информированного согласия являлось обязательным критерием включения пациентов в исследование. В зависимости от использования ФМ, пациенты были разделены на две группы: контрольную, в которую вошло 34 пациента, оперированных без ФМ, и основную, включившую 62 пациента, которые были оперированы с применением этой методики (табл. 1).
Таблица 1. Основные характеристики контрольной и основной групп
Table 1. The main characteristics of the control and main groups
Контрольная группа | Основная группа | |
Количество пациентов | 34 | 62 |
Средний возраст (лет) | 48.5 | 50 |
Пол (м/ж) | 16/18 | 29/33 |
Гистология% (grade I–II/III–IV) | 25/75 | 19/81 |
Объем контрастируемой части опухоли по данным МРТ до операции (см3) | 39.5 | 52 |
Объем опухоли в режиме Т2-FLAIR по данным МРТ до операции (см3) | 125 | 119.2 |
Среднее расстояние от КСТ до зоны накопления контраста (мм) | 14.6 | 13.8 |
Среднее расстояние от КСТ до зоны отека инфильтрации (мм) | 6.2 | 5.9 |
Количество инфильтрированных КСТ% | 50 | 34 |
Средний объем удаления контрастируемой части опухоли (%) | 98 | 92 |
Средний объем удаления опухоли в режиме Т2-FLAIR(%) | 53.53 | 63.6 |
Интраоперационная визуальная оценка радикальности операций | 10 (45.5%) – визуальные остатки | 20 (39.2%) – остаточная флуоресценция |
Причины остановки резекции | 1 – положительные моторные ответы, 1 – снижение ТК МВП, 6 – другие причины | 15 – положительные моторные ответы, 2 – снижение ТК МВП, 7 – другие причины |
Нарастание пареза после операции | 9 (26%) | 11 (17.7%) |
Стойкий парез | 2 (5.8%) | 4 (6.5%) |
Аласенс (препарат 5-аминолевуленовой кислоты) вводился перорально за 2 ч до разреза ТМО из расчета 20 мг/кг. Из исследования были исключены 12 пациентов, у которых не отмечалось визуальной флуоресценции во время операции. Всем пациентам была проведена оценка мышечной силы до операции, на первые и седьмые сутки после хирургического лечения, выполнена предоперационная МРТ (Т1, Т2, Т2-FLAIR, DWI, T1+C, DTI) с определением расстояния от опухоли до КСТ и типа взаимоотношения между трактом и новообразованием. Было показано, что из 108 пациентов у 21 (19.4%) наблюдался интактный КСТ, у 43 (39.8%) – смещенный, у 34 (31.5%) – смещенный и инфильтрированный, у 8 (7.4%) – инфильтрированный, и только в одном наблюдении опухоль располагалась в структуре тракта, расщепляя его (рис. 1).
Рис. 1. (а) – пример интактного КСТ по данным ДТ-трактографии у пациента с глиобластомой. Тракты симметрично расположены и не отличаются значимо по объему. (б) – пример смещенного КСТ, по данным ДТ-трактографии у пациента с глиобластомой. Тракты не вовлечены в опухоль, однако положение их отличается. (в) – пример инфильрированного КСТ, по данным ДТ-трактографии у пациента с глиомой Grade IV. Несмотря на вовлечение КСТ в опухоль, по данным Т2-FLAIR отмечается правильное, симметричное положение тракта. (г) – пример смещенного и инфильтрированного КСТ, по данным ДТ-трактографии у пациента с глиобластомой. Тракты расположены асимметрично и вовлечены в зону отека-инфильтрации. (д) – пример расщепленного тракта у пациента с анапластической астроцитомой. Опухоль располагается внутри КСТ, расщепляя его волокна.
Fig. 1. Different types of relationship between the corticospinal tract and the tumor according to MR-tractography (intact, displaced, infiltrated, displaced and infiltrated, split).
77 пациентов (13 из контрольной группы и 44 из основной) прошли МРТ-контроль в раннем послеоперационном периоде, для данных больных посчитан объем резекции в режиме Т2-FLAIR и контрастируемой части опухоли. Исследуемые группы были проанализированы в отношении факторов, которые могли бы повлиять на объем резекции и нарастание пареза в послеоперационном периоде. Анализ показал, что объем контрастируемой части опухоли был значимо больше в основной группе (52 против 39.5 см3), в то время как зона изменений в режиме Т2-FLAIR, расстояние от КСТ до зоны отека-инфильтрации и зоны накопления контраста абсолютно идентичны в обеих группах пациентов.
Анализ данных проведен с помощью языка статистического программирования R (версия 4.2.2) в среде интегрированной разработки RStudio Server (версия 2022.07.2). Проверку статистических гипотез об отсутствии различий в распределениях количественных непрерывных величин проводили с помощью непараметрического теста Манна – Уитни, категориальных – с помощью критерия Хи-квадрат и точного теста Фишера. Различия признавали статистически значимыми при уровне статистической значимости p < 0.05.
РЕЗУЛЬТАТЫ
В ходе исследования было выявлено, что применение ФМ достоверно не влияет ни на объем резекции контрастируемой части опухоли (р = 0.138), ни на объем резекции в режиме Т2-FLAIR (р = 0.589).
Тотальной резекции контрастируемой части опухоли в контрольной группе удалось достичь в среднем 98.4 против 92% в основной группе. Однако это можно объяснить двумя причинами. Во-первых, объем контрастируемой части был значимо больше у пациентов из основной группы. Во-вторых, зона накопления контрастного препарата, по данным МРТ, как правило, имеет визуальные интраоперационные отличия в «белом свете», что позволяет удалять патологические ткани без ФМ. Однако в основной группе была показана большая радикальность в отношении резекции зоны отека-инфильтрации (средний объем удаления 63.6 против 53.5% в контрольной группе), что оказалось статистически незначимым. Данные ткани доказанно являются патологическими, содержат опухолевые клетки, и объем их резекции влияет на прогноз заболевания. При этом в «белом свете» зона отека-инфильтрации практически не отличается от нормальной мозговой ткани, и при резекции данных участков применение ФМ оправдано, несмотря на отсутствие статистически значимой разницы.
Интраоперационная оценка радикальности удаления также значимо не отличалась в контрольной и основной группах (р = 0.812). В контрольной группе хирург предполагал наличие остатков опухолевой ткани в 45.5% случаев, в основной – в 39.2%. При этом у 12 пациентов основной группы (19%), по данным протоколов операции, данные ФМ были использованы как основание для расширения резекции. Основными причинами остановки резекции были распространенный характер опухоли с инфильтрацией глубинных структур головного мозга, переходом на противоположное полушарие и фиксация к магистральным кровеносным сосудам (12 пациентов: 7 – в основной группе и 6 – в контрольной) и, что более принципиально в данной выборке, появление моторных ответов при ПКС и ПСС (16 пациентов: 15 – в основной группе и 1 – в контрольной) и снижение ТК МВП (2 пациента из основной группы и 1 – из контрольной). Таким образом, в основной группе в большем количестве случаев резекция была ограничена ввиду объективных лимитирующих причин. Интересным фактом является то, что у трех пациентов из основной группы положительные моторные ответы были получены при стимуляции в участках с интенсивной флуоресценцией при пороговой силе тока в 5 мА, что в очередной раз подтверждает инфильтративный характер роста глиальных опухолей и возможность включения в строму опухоли нормально функционирующей мозговой ткани (рис. 2).
Рис. 2. (а) – интраоперационная фотография ложа удаленной опухоли у пациента с глиобластомой левой лобной доли в «белом свете». Визуально определяется неизмененное мозговое вещество, при прямой субкортикальной биполярной и монополярной стимуляции с пороговой силой тока 5 мА в этой области получены моторные ответы с языка. (б) – интраоперационноая фотография той же области. В зоне стимуляции определяется яркая розовая флуоресценция, что свидетельствует о наличии опухолевой ткани. У данного пациента резекция была остановлена.
Fig. 2. There are motor responses by direct bipolar with a threshold current of 5 mA stimulation in the bright pink fluorescence area.
У пациентов, вошедших в исследование, была проанализирована динамика моторного статуса в раннем и отсроченном послеоперационном периоде. В контрольной группе снижение мышечной силы на 1 и более баллов наблюдалось у 9 пациентов (26.4%), в основной – у 11 пациентов (17.7%). Стойкий неврологический дефицит наблюдался всего у 6 пациентов (2 – в контрольной группе, 4 – в основной). Превалирование транзиторного пареза среди пациентов, оперированных без ФМ, интересно и требует дальнейшего изучения.
КЛИНИЧЕСКОЕ НАБЛЮДЕНИЕ
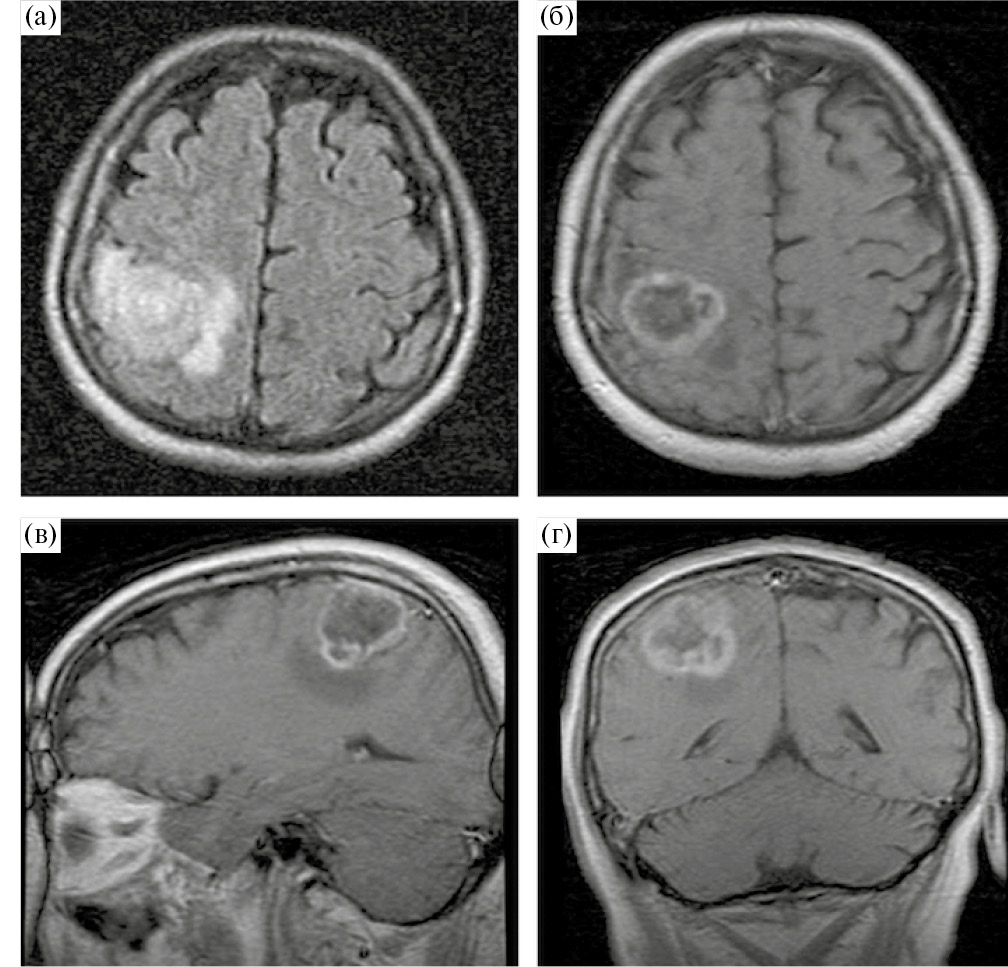
Пациент М., 59 лет, госпитализирован в НМИЦ нейрохирургии им. академика Н. Н. Бурденко с жалобами на слабость, неловкость и онемение в левых конечностях. Данные жалобы возникли около 2 месяцев назад и постепенно нарастали, что послужило поводом для выполнения МРТ головного мозга с в/в контрастированием, которая выявила объемное образование правой теменной доли с умеренным перифокальным отеком, предположительно глиома высокой степени злокачественности, прилежащая к функционально значимым двигательным зонам коры мозга и пирамидного тракта (рис. 3).
Рис. 3. МРТ до операции. Внутримозговая опухоль правой теменной доли, прилегающая к прецентральной извилине. Опухоль кольцевидно накапливает контрастный препарат и окружена небольшой зоной отека-инфильтрации. (а) – аксиальная проекция, Т2-FLAIR, (б) – аксиальная проекция, Т1 + С, (в) – сагиттальная проекция, Т1 + С; (г) – фронтальная проекция, Т1 + С.
Fig. 3. Preoperative MR-images.
При неврологическом осмотре на момент госпитализации у пациента отмечались гипестезия и снижение мышечной силы в левых конечностях до 4 баллов.
Учитывая локализацию процесса и клиническую картину заболевания, в качестве предоперационной подготовки пациенту были проведены фМРТ с визуализацией моторных зон и МР-трактография с построением КСТ (рис. 4).
Рис. 4. МРТ у пациента с внутримозговой опухолью правой теменной доли. (а, б) – данные фМРТ; (а) – оранжевым цветом обозначена корковая зона ноги, располагающаяся вовнутрь и на некотором отдалении от медиальной границы опухоли; (б) – представлена зона руки, прилегающая к переднему краю опухоли; (в, г) – данные МР-трактографии (CSD HARDI), использованный алгоритм построения позволил построить и разделить волокна КСТ, иннервирующие ногу (горчичный цвет), руку (фиолетовый), лицо (зеленый). Волокна КСТ прилегают к медиальному и переднему краям опухоли.
Fig. 4. fMRI (leg and arm areas) and MR-tractography (CSD HARDI, yellow – leg, purple – hand, green – facial muscles) before surgery.
В связи с непосредственной близостью опухоли к моторным центрам головного мозга запланировано проведение операции с обязательным нейрофизиологическим мониторингом, включающим динамику ТК МВП, прямую кортикальную и субкортикальную монои биполярную стимуляции и использование магнитной интраоперационной навигационной системы FIAGON. Для использования последней данные фМРТ, МР-трактографии и структурной МРТ были корегистрированы в едином файле. Для демаркации границ опухоли также использовалась флуоресцентная навигация (препарат «Аласенс»). Опухолевая ткань светилась ярко-розовым цветом.
Данному пациенту проводилась поточечная сравнительная монои биполярная стимуляции, в ходе которых получено 6 точек с моторными ответами в ложе удаленной опухоли (рис. 5). Параметры стимуляции в данных точках следующие: для монополярной стимуляции сила тока составила в т. 1–3–4 мА (кисть), т. 7–5–6 мА (кисть), т. 6–5 мА (кисть), т. 9–3–4 мА (плечо), т. 8–4 мА (кисть); для биполярной – в т. 7–6.5 мА (кисть), т. 6–14 мА (кисть), т. 2–3–4 мА (плечо), т. 5–2–5 мА (кисть). Таким образом, ответы были получены во всех точках как при моно-, так и при биполярной стимуляциях, вовлекаемые в ответ мышцы также были идентичны. Пороговая сила тока составила 3 мА для монополярной стимуляции и 2.5 мА – для биполярной. Опухоль удалена в пределах макроскопически неизмененной мозговой ткани. В режиме флуоресценции наблюдалось остаточное розовое свечение, соответствующее по локализации т. 1, где были получены положительные моторные ответы от кисти на низком пороговом токе (3 мА). Этот участок был оставлен, несмотря на наличие флуоресценции, с целью снижения риска развития моторного дефицита в послеоперационном периоде.
Рис. 5. (а) – интраоперационная фотография монитора навигационной системы FIAGON. Маркером отмечена точка, при стимуляции которой получены положительные моторные ответы с мышц кисти. Данная точка соответствует в данном случае моторной коре. (б) – интраоперационная фотография ложа удаленной опухоли в режиме флуоресценции и в «белом свете». Маркерами отмечены точки, при субкортикальной стимуляции которых получены положительные моторные ответы. Видно, что в «белом свете» ложе опухоли представлено нормальной мозговой тканью. В режиме флуоресценции отмечается фокальное розовое свечение (соответствующее т. 1). Данный участок оставлен во избежание нарастания моторного дефицита.
Fig. 5. Intraoperative photos. The tumor resection cavity with markers of stimulation points (motor response) and residual focus of the fluorescence.
По данным гистологического исследования – глиобластома, WHO Grade IV. В раннем послеоперационном периоде отмечалось транзиторное нарастание мышечной слабости до 2–3 баллов (преимущественно в руке) с практически полным восстановлением до исходного уровня к моменту выписки.
По данным контрольной СКТ сразу после операции, интракраниальных осложнений не выявлено, по данным контрольной МРТ, выполненной на следующие сутки, – тотальное удаление контрастируемой части опухоли (рис. 6).
Рис. 6. Контрольная МРТ у пациента после микрохирургического удаления глиобластомы правой теменной доли, режим Т1 + С. (а) – аксиальная проекция; (б) – сагиттальная проекция; (в) – фронтальная проекция.
Fig. 6. Postoperative MRI.
ОБСУЖДЕНИЕ
В литературе вопрос эффективности использования ФМ у пациентов с новообразованиями ФЗЗ прицельно рассматривается лишь в немногих публикациях. Так, в 2019 г. Raffa G. с соавт. было проведено исследование, сравнивающее эффективность комбинированного использования навигационной ТМС, флуоресцентной диагностики (флуоресцин натрия) и нейрофизиологического мониторинга у пациентов с глиомами первичной МК и КСТ. Пациенты, включенные в исследование, были разделены на 2 группы: исследуемую (79 пациентов) и контрольную (55 пациентов). В контрольной группе интраоперационно проводился только нейрофизиологический мониторинг. В исследуемой группе были показаны значимо лучшие результаты как в отношении радикальности операций (тотальное удаление 64.5 против 47.2%, P = 0.04), так и в отношении нарастания мышечной слабости после операции (11.4 vs. 20%) (Raffa et al., 2019). В нашем исследовании статистически значимой разницы в объеме резекции опухоли (как контрастируемой части, так и в режиме Т2-FLAIR) достигнуто не было. Нельзя исключать такие факторы, которые могли повлиять на объем резекции, как больший размер контрастируемой части опухоли в основной группе, наличие объективных причин для остановки резекции в основной группе (24 больных против 8 в контрольной). Возможно, применение ФМ в контрольной группе позволило бы расширить объем резекции у пациентов без объективных причин для остановки резекции. Кроме того, как было показано на выборке из 108 пациентов с использованием МР-трактографии и реконструкции КСТ, опухоль смещает тракт в одну из сторон, локализация опухоли непосредственно в проводящем пучке наблюдается крайне редко (0.9%) (Косырькова, 2021). Таким образом, ФМ может обеспечить максимально радикальное удаление в других направлениях. Lavrador J. P. в своем клиническом наблюдении пациента с новообразованием вблизи КСТ признает эффективность использования ФМ для прицельного забора гистологического материала в условиях ограниченной возможности резекции (Lavrador et al., 2022).
ЗАКЛЮЧЕНИЕ
Таким образом, локализация глиомы вблизи двигательной коры или пирамидного тракта не является противопоказанием к применению ФМ. В таких случаях необходимо выполнять резекцию с флуоресценцией и нейрофизиологическим контролем, что позволяет уточнить тип соотношения флуоресцирующего остатка опухоли и моторных зон мозга. Это позволяет в ряде случаев продолжить резекцию флуоресцирующей части глиомы.
Использование ФМ при удалении новообразований, расположенных вблизи МК и КСТ, целесообразно несмотря на то, что главным ориентиром для остановки резекции, безусловно, являются данные нейрофизиологического мониторинга. Как было показано в нашем исследовании, даже ярко флуоресцирующие участки могут содержать функционально значимые ткани головного мозга, удаление которых приведет к грубому нарастанию неврологического дефицита.
Использование ФМ у пациентов с новообразованиями вблизи моторных зон оправдано, поскольку КСТ в подавляющем количестве случаев располагается в одной стороне от образования и, значит, ограничивает резекцию только в одном из направлений, позволяя в оставшихся достигнуть максимальной радикальности. В нашей серии только в 0.9% случаев образование располагалась в структуре КСТ, расщепляя волокна последнего в разные стороны.
Принципиальное значение использование ФМ имеет при удалении зон отека-инфильтрации, которые крайне плохо отличаются от нормальной мозговой ткани, при этом редукция которых напрямую влияет на прогноз заболевания.
Кроме того, использование ФМ позволяет наиболее прицельно взять материал для гистологического исследования, особенно в случаях, когда возможности резекции ограничены близостью функциональных зон.
Таким образом, комбинированное использование различных диагностических методик является оправданным у пациентов с опухолями вблизи МК и КСТ. При разумном подходе к анализу получаемой с их помощью информации о ФЗЗ и опухоли можно как увеличить объем резекции, так и минимизировать неврологический дефицит.
ФИНАНСИРОВАНИЕ
Работа выполнена при поддержке гранта Министерства науки и высшего образования Российской Федерации (соглашение № 075–15–2021–1343).
About the authors
A. V. Kosyrkova
N.N. Burdenko National Medical Research Center of Neurosurgery, Ministry of Healthcare of Russia
Author for correspondence.
Email: akosyrkova@nsi.ru
Russian Federation, Moscow
S. A. Goryaynov
N.N. Burdenko National Medical Research Center of Neurosurgery, Ministry of Healthcare of Russia
Email: akosyrkova@nsi.ru
Russian Federation, Moscow
A. I. Batalov
N.N. Burdenko National Medical Research Center of Neurosurgery, Ministry of Healthcare of Russia
Email: akosyrkova@nsi.ru
Russian Federation, Moscow
R. M. Afandiev
N.N. Burdenko National Medical Research Center of Neurosurgery, Ministry of Healthcare of Russia
Email: akosyrkova@nsi.ru
Russian Federation, Moscow
K. S. Semin
N.N. Burdenko National Medical Research Center of Neurosurgery, Ministry of Healthcare of Russia
Email: akosyrkova@nsi.ru
Russian Federation, Moscow
N. E. Zakharova
N.N. Burdenko National Medical Research Center of Neurosurgery, Ministry of Healthcare of Russia
Email: akosyrkova@nsi.ru
Russian Federation, Moscow
A. A. Ogurtsova
N.N. Burdenko National Medical Research Center of Neurosurgery, Ministry of Healthcare of Russia
Email: akosyrkova@nsi.ru
Russian Federation, Moscow
G. V. Danilov
N.N. Burdenko National Medical Research Center of Neurosurgery, Ministry of Healthcare of Russia
Email: akosyrkova@nsi.ru
Russian Federation, Moscow
A. A. Aristov
N.N. Burdenko National Medical Research Center of Neurosurgery, Ministry of Healthcare of Russia
Email: akosyrkova@nsi.ru
Russian Federation, Moscow
V. A. Okhlopkov
N.N. Burdenko National Medical Research Center of Neurosurgery, Ministry of Healthcare of Russia
Email: akosyrkova@nsi.ru
Russian Federation, Moscow
A. D. Kravtchuk
N.N. Burdenko National Medical Research Center of Neurosurgery, Ministry of Healthcare of Russia
Email: akosyrkova@nsi.ru
Russian Federation, Moscow
I. N. Pronin
N.N. Burdenko National Medical Research Center of Neurosurgery, Ministry of Healthcare of Russia
Email: akosyrkova@nsi.ru
Russian Federation, Moscow
References
- Косырькова А. В. Дис. …к. м. н. «Предоперационное планирование и интраоперационная идентификация пирамидных трактов в хирургии супратенториальных опухолей головного мозга». М., 2021.
- De Witt Hamer P. C., Robles S. G., Zwinderman A. H., Duffau H., Berger M. S. Impact of intraoperative stimulation brain mapping on glioma surgery outcome: a metaanalysis. J. Clin. Oncol. 2012. 30 (20): 2559–2565. doi: 10.1200/JCO.2011.38.4818. Epub 2012 Apr 23.
- González-Darder J.M., González-López P., Talamantes F., Quilis V., Cortés V., García-March G., Roldán P. Multimodal navigation in the functional microsurgical resection of intrinsic brain tumors located in eloquent motor areas: role of tractography. Neurosurg. Focus. 2010. 28 (2): E5. doi: 10.3171/2009.11.FOCUS09234.
- Lavrador J. P., Oviedova A., Pereira N., Patel S., Rajwani K. M., Sekhon P., Gullan R., Ashkan K., Vergani F., Bhangoo R. Minimally invasive approach to a deep-seated motor eloquent brain tumour: a technical note. Surg. Case Rep. 2022. 2022 (1): rjab611. doi: 10.1093/jscr/ rjab611. eCollection 2022 Jan.
- Li Y., Rey-Dios R., Roberts D. W., Valdés P. A., Cohen-Gadol A. A. Intraoperative fluorescence-guided resection of highgrade gliomas: a comparison of the present techniques and evolution of future strategies. World Neurosurg. 2014. 82 (1–2): 175–85. doi: 10.1016/j.wneu.2013.06.014. Epub 2013 Jul 9. PMID: 23851210
- Li Y. M., Suki D., Hess K., Sawaya R. The influence of maximum safe resection of glioblastoma on survival in 1229 patients: Can we do better than grosstotal resection? Neurosurg. 2016. 124 (4): 977–988. doi: 10.3171/2015.5.JNS142087. Epub 2015 Oct 23.
- Raffa G., Picht T., Angileri F. F., Youssef M., Conti A., Esposito F. et al. Surgery of malignant motor-eloquent gliomas guided by sodium-fluorescein and navigated transcranial magnetic stimulation: a novel technique to increase the maximal safe resection. J. Neurosurg Sci. 2019. 63 (6): 670–678. doi: 10.23736/S0390– 5616.19.04710–6.Epub 2019 May 6.
- Rahman M., Abbatematteo J., De Leo E. K., Kubilis P. S., Vaziri S., Bova F., Sayour E., Mitchell D., QuinonesHinojosa A. The effects of new or worsened postoperative neurological deficits on survival of patients with glioblastoma. J. Neurosurg. 2017. 127 (1): 123–131. doi: 10.3171/2016.7.JNS16396. Epub 2016 Sep 30. PMID: 27689459
- Ren X. H., Yang X. C., Huang W., Yang K. Y., Liu L., Qiao H., Guo L. J., Cui Y., Lin S. The application of cortical and subcortical stimulation threshold in identifying the motor pathway and guiding the resection of gliomas in the functional areas. Zhonghua Yi Xue Za Zhi. 2018. 98 (9): 653–657.doi: 10.3760/cma.j.issn. 0376–2491.2018.09.006.
- Rossi M., Conti Nibali M., Viganò L., Puglisi G., Howells H., Gay L., Sciortino T., Leonetti A., Riva M., Fornia L., Cerri G., Bello L. Resection of tumors within the primary motor cortex using high-frequency stimulation: oncological and functional efficiency of this versatile approach based on clinical conditions. J. Neurosurg. 2019. 1–13. doi: 10.3171/2019.5.JNS19453.
- Sanai N., Berger M. S. Glioma extent of resection and its impact on patient outcome. Neurosurgery. 2008. 62 (4): 753–764; discussion 264–266. doi: 10.1227/01.neu. 0000318159.21731.cf.
- Shiban E., Krieg S. M., Haller B., Buchmann N., Obermueller T., Boeckh-Behrens T., Wostrack M., Meyer B., Ringel F. Intraoperative subcortical motor evoked potential stimulation: how close is the corticospinal tract? J. Neurosurg. 2015. 123 (3): 711–720. doi: 10.3171/2014.10. JNS141289. Epub 2015 Jun 5.
Supplementary files








