SEX DIFFERENCES IN SELECTIVE AUDITORY ATTENTION DURING DICHOTIC LISTENING WITH DIFFERENT LEVELS OF COMPLEXITY: AN FMRI STUDY
- 作者: Mayorova L.A.1,2, Kushnir A.B.1
-
隶属关系:
- Institute of Higher Nervous Activity and Neurophysiology of the Russian Academy of Science
- Federal Research and Clinical Center of Intensive Care Medicine and Rehabilitology
- 期: 卷 73, 编号 5 (2023)
- 页面: 637-650
- 栏目: ФИЗИОЛОГИЯ ВЫСШЕЙ НЕРВНОЙ (КОГНИТИВНОЙ) ДЕЯТЕЛЬНОСТИ ЧЕЛОВЕКА
- URL: https://bakhtiniada.ru/0044-4677/article/view/140276
- DOI: https://doi.org/10.31857/S0044467723050076
- EDN: https://elibrary.ru/LKHFVY
- ID: 140276
如何引用文章
全文:
详细
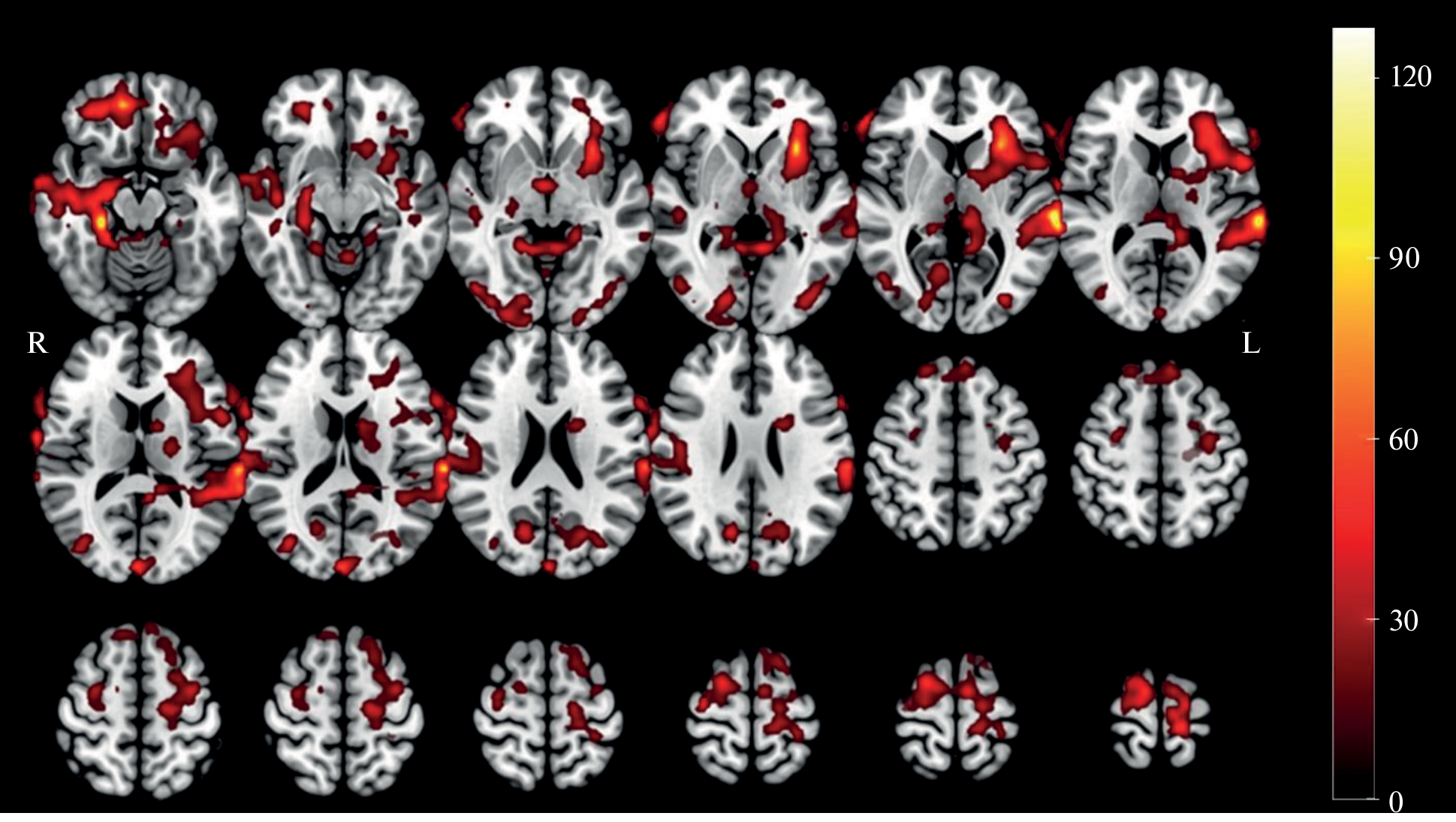
A group of 20 healthy subjects (11 males and 9 females) performed a selective auditory attention task in a dichotic listening paradigm with different levels of perceptual load. Analysis of brain activation patterns measured with fMRI during selective listening to fusion speech with distractors of varying strengths revealed statistically significant sex differences in the topography of cortical activity. “Female > male” effects dominated in the left superior temporal gyrus and the left pre and postcentral gyrus; while the most pronounced “male > female” effects were found in the left islet, shell and frontal lobule. Statistically significant effects were also obtained by comparing activation patterns according to the level of task complexity: It was shown that masking with a female speaker’s voice caused greater activation of additional high-level information processing areas. The findings indicate the presence of sexual dimorphism in the organization of the selective auditory attention system.
作者简介
L. Mayorova
Institute of Higher Nervous Activity and Neurophysiology of the Russian Academy of Science; Federal Research and Clinical Center of Intensive Care Medicine and Rehabilitology
编辑信件的主要联系方式.
Email: larimayor@gmail.com
Russia, Moscow; Russia, Moscow
A. Kushnir
Institute of Higher Nervous Activity and Neurophysiology of the Russian Academy of Science
Email: larimayor@gmail.com
Russia, Moscow
参考
- Лурия А.Р. Высшие корковые функции и их нарушение при локальных поражениях мозга. 1962.
- Михайлова Е.С., Майорова Л.А., Герасименко Н.Ю., Кушнир А.Б., Салтыков К.А. Половые различия в рабочей памяти на простые зрительные признаки. Анализ связанных с событием потенциалов в пространстве сенсоров и дипольных источников. Журн. высш. нерв. деят. им. И.П. Павлова. 2022. 72 (6): 836–850.
- Римский С., Римская Р. Альманах психологических тестов. 1995.
- Чуприков А.П. Сенсибилизированный опросник для определения рукости для подростков и взрослых. Леворукость, антропоизометрия и латеральная адаптация. Справочные и аннотированные материалы к I Всесоюзной междисциплинарной школе-семинару “Охрана здоровья леворуких детей”. 1985. 128.
- Allen K., Alais D., Shinn-Cunningham B., Carlile S. Masker location uncertainty reveals evidence for suppression of maskers in two-talker contexts. J. Acoust. Soc. Am. 2011. 130 (4): 2043–2053.
- Beaman C.P. The irrelevant sound phenomenon revisited: What role for working memory capacity? J. Exp. Psychol. Learn. Mem. Cogn. 2004. 30 (5): 1106–1118.
- Berti S., Schröger E. Working memory controls involuntary attention switching: Evidence from an auditory distraction paradigm. Eur. J. Neurosci. 2003. 17 (5): 1119–1122.
- Bosco A., Longoni A.M., Vecchi T. Gender effects in spatial orientation: Cognitive profiles and mental strategies. Appl. Cogn. Psychol. 2004. 18 (5): 519–532.
- Bronkhorst A.W. The cocktail-party problem revisited: early processing and selection of multi-talker speech. Attention, Perception, Psychophys. 2015. 77 (5): 1465–1487.
- Brungart D.S., Simpson B.D., Ericson M.A., Scott K.R. Informational and energetic masking effects in the perception of multiple simultaneous talkers. J. Acoust. Soc. Am. 2001. 110 (5 Pt 1): 2527–2538.
- Cahill L. Fundamental sex difference in human brain architecture. Proc. Natl. Acad. Sci. U. S. A. 2014. 111 (2): 577–578.
- Cherry E.C. Some experiments on the recognition of speech, with one and with two ears. J. Acoust. Soc. Am. 1953. 25 (5): 975–979.
- Cherry E.C., Taylor W.K. Some Further experiments upon the recognition of speech, with one and with two ears. J. Acoust. Soc. Am. 1954. 26 (4): 554–559.
- Conway A.R.A., Cowan N., Bunting M.F. The cocktail party phenomenon revisited: The importance of working memory capacity. Psychon. Bull. Rev. 2001. 8 (2): 331–335.
- Corbetta M., Shulman G.L. Control of goal-directed and stimulus-driven attention in the brain. Nat. Rev. Neurosci. 2002. 3 (3): 201–215.
- Dalton P., Santangelo V., Spence C. The role of working memory in auditory selective attention. Q. J. Exp. Psychol. 2009. 62 (11): 2126–2132.
- Evans K.L., Hampson E. Sex differences on prefrontally-dependent cognitive tasks. Brain Cogn. 2015. 93: 42–53.
- Falkenberg L.E., Specht K., Westerhausen R. Attention and cognitive control networks assessed in a dichotic listening fMRI study. Brain Cogn. 2011. 76 (2): 276–285.
- De Fockert J.W., Rees G., Frith C.D., Lavie N. The role of working memory in visual selective attention. Science. 2001. 291 (5509): 1803–1806.
- Gur R.C., Alsop D., Glahn D., Petty R., Swanson C.L., Maldjian J.A., Turetsky B.I., Detre J.A., Gee J., Gur R.E. An fMRI study of sex differences in regional activation to a verbal and a spatial task. Brain Lang. 2000. 74 (2): 157–170.
- Gur R.C., Turetsky B.I., Matsui M., Yan M., Bilker W., Hughett P., Gur R.E. Sex differences in brain gray and white matter in healthy young adults: Correlations with cognitive performance. J. Neurosci. 1999. 19 (10): 4065–4072.
- Hansen S. Inhibitory control and empathy-related personality traits: Sex-linked associations. Brain Cogn. 2011. 76 (3): 364–368.
- Hyde J.S. Sex and cognition: Gender and cognitive functions. Curr. Opin. Neurobiol. 2016. 38: 53–56.
- Ingalhalikar M., Smith A., Parker D., Satterthwaite T.D., Elliott M.A., Ruparel K., Hakonarson H., Gur R.E., Gur R.C., Verma R. Sex differences in the structural connectome of the human brain. Proc. Natl. Acad. Sci. U. S. A. 2014. 111 (2): 823–828.
- Johnsrude I.S., Mackey A., Hakyemez H., Alexander E., Trang H.P., Carlyon R.P. Swinging at a cocktail party: voice familiarity aids speech perception in the presence of a competing voice. Psychol. Sci. 2013. 24 (10): 1995–2004.
- Kaiser A., Kuenzli E., Zappatore D., Nitsch C. On females’ lateral and males’ bilateral activation during language production: a fMRI study. Int. J. Psychophysiol. Off. J. Int. Organ. Psychophysiol. 2007. 63 (2): 192–198.
- Kansaku K., Yamaura A., Kitazawa S. Sex differences in lateralization revealed in the posterior language areas. Cereb. Cortex. 2000. 10 (9): 866–872.
- Lavie N. Distracted and confused?: selective attention under load. Trends Cogn. Sci. 2005. 9 (2): 75–82.
- Lavie N., De Fockert J. The role of working memory in attentional capture. Psychon. Bull. Rev. 2005. 12 (4): 669–674.
- Liu X., Li J., Gao J., Zhou Z., Meng F., Pan G., Luo B. Association of medial prefrontal cortex connectivity with consciousness level and its outcome in patients with acquired brain injury. J. Clin. Neurosci. 2017. 42: 160–166.
- Muller-Gass A., Schröger E. Perceptual and cognitive task difficulty has differential effects on auditory distraction. Brain Res. 2007. 1136 (1): 169–177.
- Nakai T., Kato C., Matsuo K. An FMRI study to investigate auditory attention: a model of the cocktail party phenomenon. Magn. Reson. Med. Sci. MRMS an Off. J. Japan Soc. Magn. Reson. Med. 2005. 4 (2): 75–82.
- Neuhaus A.H., Opgen-Rhein C., Urbanek C., Gross M., Hahn E., Ta T.M.T., Koehler S., Dettling M. Spatiotemporal mapping of sex differences during attentional processing. Hum. Brain Mapp. 2009. 30 (9): 2997–3008.
- New A.B., Robin D.A., Parkinson A.L., Eickhoff C.R., Reetz K., Hoffstaedter F., Mathys C., Sudmeyer M., Grefkes C., Larson C.R., Ramig L.O., Fox P.T., Eickhoff S.B. The intrinsic resting state voice network in Parkinson’s disease. Hum. Brain Mapp. 2015. 36 (5): 1951–1962.
- Newman R.S., Jusczyk P.W. The cocktail party effect in infants. Percept. Psychophys. 1996. 58 (8): 1145–1156.
- Olguin A., Bekinschtein T.A., Bozic M. Neural Encoding of Attended Continuous Speech under Different Types of Interference. J. Cogn. Neurosci. 2018. 30 (11): 1606–1619.
- Poeppel D., Hickok G. Dorsal and ventral streams: a framework for understanding aspects of the functional anatomy of language. Cognition. 2004. 92 (1–2): 1–12.
- Puschmann S., Steinkamp S., Gillich I., Mirkovic B., Debener S., Thiel C.M. The right temporoparietal junction supports speech tracking during selective listening: Evidence from concurrent EEG-fMRI. J. Neurosci. 2017. 37 (47): 11505–11516.
- Ramos-Loyo J., Angulo-Chavira A., Llamas-Alonso L.A., González-Garrido A.A. Sex differences in emotional contexts modulation on response inhibition. Neuropsychologia. 2016. 91: 290–298.
- Ruytjens L., Georgiadis J.R., Holstege G., Wit H.P., Albers F.W.J., Willemsen A.T.M. Functional sex differences in human primary auditory cortex. Eur. J. Nucl. Med. Mol. Imaging. 2007. 34 (12): 2073–2081.
- Steffensen S.C., Ohran A.J., Shipp D.N., Hales K., Stobbs S.H., Fleming D.E. Gender-selective effects of the P300 and N400 components of the visual evoked potential. Vision Res. 2008. 48 (7): 917–925.
- Thornton D., Harkrider A.W., Jenson D.E., Saltuklaroglu T. Sex differences in early sensorimotor processing for speech discrimination. Sci. Rep. 2019. 9 (1).
- Todd J.J., Fougnie D., Marois R. Visual short-term memory load suppresses temporo-parietal junction activity and induces inattentional blindness. Psychol. Sci. 2005. 16 (12): 965–972.
- Voyer D. Sex differences in dichotic listening. Brain Cogn. 2011. 76 (2): 245–255.
- Voyer D., Voyer S.D., Saint-Aubin J. Sex differences in visual-spatial working memory: A meta-analysis. Psychon. Bull. Rev. 2017. 24 (2): 307–334.
- Weiss E.M., Kemmler G., Deisenhammer E.A., Fleischhacker W.W., Delazer M. Sex differences in cognitive functions. Pers. Individ. Dif. 2003. 35 (4): 863–875.
补充文件






