Особенности эритропоэза гибернирующих сусликов Urocitellus Undulatus
- Авторы: Лизоркина К.И.1, Аксенова Г.Е.1, Афанасьев В.Н.1, Теплова П.О.1, Захарова Н.М.1
-
Учреждения:
- Институт биофизики клетки РАН – обособленное подразделение Федерального государственного бюджетного учреждения науки Федеральный исследовательский центр “Пущинский научный центр биологических исследований РАН”
- Выпуск: Том 60, № 6 (2024)
- Страницы: 599–607
- Раздел: ЭКСПЕРИМЕНТАЛЬНЫЕ СТАТЬИ
- URL: https://bakhtiniada.ru/0044-4529/article/view/276213
- DOI: https://doi.org/10.31857/S0044452924070026
- EDN: https://elibrary.ru/KKEALF
- ID: 276213
Цитировать
Полный текст
Аннотация
Проведены исследования морфофункциональных особенностей костного мозга бедренной и плечевой костей у длиннохвостых сусликов летом, осенью, во время торпора и в периоды кратковременных пробуждений зимой (зимняя эутермия). Гистологический анализ показал увеличение количества и размера адипоцитов в костном мозге у животных в состоянии торпора, с частичным замещением миелоидной ткани на жировую. Не смотря на больший объем костного мозга в бедренной кости, в нем обнаружено значительно меньше ядерных клеток, чем в плечевой кости, но существенно больше эритроидных островков, особенно во время спячки. У торпидных сусликов происходит замещение дисковидных эритроцитов в крови на атипичные формы эритроцитов (овальные, макроциты, мишеневидные), количество которых значительно уменьшается в зимний эутермный период. Уровень содержания ретикулоцитов возрастает в период спячки двукратно по сравнению с летом. Полученные результаты обсуждаются в контексте поддержания высокого уровня кислорода в крови во время торпора и адаптации эритропоэза к условиям длительной гипотермии.
Ключевые слова
Полный текст
ВВЕДЕНИЕ
У гетеротермных животных эволюционно выработалось множество физиологических приспособлений, позволяющих пережить им экстремальные воздействия внешней среды путем обратимого снижения метаболизма, температуры тела, частоты сердечных сокращений, дыхательных движений и рядом других изменений [1]. Так, во время торпора у животных наблюдается снижение уровнейлейкоцитов и тромбоцитов почти на 90%, которые быстро восстанавливаются во время кратковременных пробуждений до летних значений [2–4]. При этом эритроцитарные показатели в гибернационный период остаются практически на одном уровне с летом [3, 5], но физиологические свойства эритроцитов отличаются в зависимости от сезона [6–9].
Продукция эритроцитов, или эритропоэз, представляет собой строго регулируемый процесс, при котором новые эритроциты непрерывно вырабатываются в нише костного мозга (КМ) [10]. Последний этап процесса созревания эритроцитов происходит в кровотоке, после выхода туда ретикулоцитов, или преждевременных эритроцитов. Эритроциты подвергаются многочисленным и часто жестко регулируемым процессам, направленным на перестройку их структуры, начиная с потери сложной системы органелл и последующего приобретения типичной двояковогнутой формы [11]. После созревания эритроциты приобретают способность деформироваться [12] и используют это для прохождения через самые узкие кровеносные капилляры [11, 13]. Несмотря на снижение скорости кровотока, ткани сусликов не страдают как от гипоксии во время торпора [14–17], так и от окислительного стресса во время пробуждения, поскольку антиоксидантная система защиты в эритроцитах препятствует этому [7]. Остается открытым вопрос: сохраняются ли такими же стабильными, как эритроцитарные показатели [2, 3], показатели содержания кислорода в крови сусликов Urocitellus undulatus, находящихся в разных функциональных состояниях, и каким образом функционирует чувствительный к кислороду эритропоэз, в особенности, в торпидный период в условиях обнаруженного нами ранее снижения пролиферации ядерных клеток в костном мозге [18].
МЕТОДЫ ИССЛЕДОВАНИЯ
Животные.
Работа выполнена на длиннохвостых сусликах Urocitellus undulatus обоего пола следующих групп: “лето” (бодрствующие активные животные в летний период, контроль, температура в области сердца 38°C, июнь-июль, n = 26); “осень” (предгибернационный период, температура в области сердца 36–37 °C, октябрь, n = 9); “торпор/оцепенение” (гипотермия, температура в области сердца 0.5–5°C, декабрь-февраль, n = 27); “зимняя эутермия” (ЗЭ) (пробужденные на 5–6 день торпора, взятие материала через 10–12 ч после пробуждения, температура в области сердца 35–37°C, декабрь-февраль, n = 26).
Сусликов отлавливали в конце августа в местах их естественного обитания (долина реки Лена, Якутия) и доставляли в лабораторию ИБК РАН (Пущино, Московская область). До конца октября животных содержали в индивидуальных клетках в специально приспособленных неотапливаемых помещениях с соблюдением естественного фотопериода, при достаточном количестве пищи (зерно, семена подсолнечника, корнеплоды) и гнездового материала (ad libitum). Затем клетки с сусликами переносили в темное помещение с температурой 0-2°С до окончания периода гибернации (апрель).
Для мониторинга баутов в период спячки часть сусликов индивидуально размещали в находящиеся в холодильной камере деревянные ящики (20 × 20 × 25 см), в дно которых был установлен термистор (чувствительность, 0.2 °C). Во время спячки температура гнезда находилась в пределах 1–2°С. Для провокации пробуждения животных извлекали из ящика в середине баута спячки (5–6 сутки гипотермии) и переносили в помещение с температурой воздуха 20 ± 1 °С. Активных животных (летних, осенних и эутермных зимних) перед забором материала подвергали легкому наркозу (Zoletil, Virbac, Франция, 4 мг/кг, внутримышечно). Температуру сердечной мышцы у всех групп животных точечно измеряли датчиком RET-3 (Physitemp, USA, ± 0.1 °С) сразу после вскрытия грудной клетки [19].
Забор крови, измерение содержания кислорода, гематокрита и лактата в крови. Забор крови (смешанной, содержащей артериальную и венозную) проводили с 10.00 до 11.00 ч незамедлительно после декапитации животных. Кровь собирали в пластиковую микропробирку (0.2 мл) с гепарином лития. Анализ содержания кислорода и гематокрита проводили не более, чем через 5 минут после забора крови на анализаторе газов и химического состава крови i15 Vet EDAN (Edan Instruments, Китай), с использованием тест-картриджей BG-8 и калибровочного устройства СР50 для i15 Vet (Китай).
Для измерения лактата кровь отбирали в стерильную пластмассовую пробирку и центрифугировали 15 мин при 3000 об/мин. Содержание лактата определяли в сыворотке крови без следов гемолиза на ветеринарном автоматическом анализаторе iMagic-V7 (Shenzhen iCubio Biomedical Technology Co. Ltd., Китай). Показатели оценивали с помощью биохимического набора реагентов для ветеринарии ДиаВетТест (ООО Диакон-Вет, Россия).
Исследования клеточного цикла костного мозга. Красный костный мозг (КМ) из диафизов кости плеча (КМП) и кости бедра (КМБ) извлекали на льду. Клеточную суспензию готовили в среде Хенкса без ионов кальция (Thermo Fisher Scientific, США). Фиксацию проводили добавлением холодного 96% этанола при встряхивании (1:1 по объему) и выдерживали при –20°С не менее суток. Окрашивали ДНК-специфичным флуоресцентным красителем Hoechst-33258 (SERVA, Германия) (1 мкг/мл в 0.1 М трис– HCl-буфере, рН 7.4, содержащем 0.1 М NaCl) в течение 30 мин при комнатной температуре.
Распределение клеток по фазам митотического цикла определяли методом проточной цитофлуориметрии на приборе Cytoflex S (Beckman Coulter, США) с помощью программы CytExpert.
Подсчет ядерных клеток костного мозга проводили в камере Горяева. Навеску ткани суспендировали в 400–500 объемах 4%-й уксусной кислоты.
Приготовление мазков крови, микроскопия ретикулоцитов. Мазки крови готовили по общепринятой методике сразу после декапитации животных. Для микроскопии ретикулоцитов отбирали 100 мкл крови в пробирку (0.5 мл) с раствором бриллиантового крезилового синего (АБРИС+, Россия) и окрашивали в течение 30 мин. После чего отбирали 2-3 мкл полученной смеси, делали мазок и высушивали на воздухе.
Микроскопия эритроцитов. Для микроскопии эритроцитов наносили 2-3 мкл крови на стекло, делали мазок, высушивали на воздухе, после чего окрашивали рабочим раствором Дифф-квик (АБРИС+, Россия). Микроскопирование окрашенных препаратов производили с помощью иммерсионной системы не менее, чем на 1000 эритроцитов.
Гистологический анализ. Забор органов проводили сразу после декапитации животных. Кость очищали от остатков мягких тканей и удаляли эпифизы, после чего из диафиза выдавливали костный мозг в пробирку объемом 15 мл при помощи шприца с нейтральным формалином. Затем делали проводку изопропанол-парафин и получали срезы на микротоме Leica RM 2245 (Leica, Германия). После депарафинизации стекла со срезами стандартно окрашивали гематоксилином и эозином. Изображение препаратов получали с широкопольного прямого микроскопа Leica DM 6000 B (Leica, Германия) на базе сектора оптической микроскопии и спектрофотометрии ЦКП ПНЦБИ РАН.
Статистический анализ. Статистический анализ был выполнен с помощью программ Statistica 10.0.1011 (StatSoft Inc., США) и GraphPad Prism 9.4.1.681 (GraphPad Software Inc., США). Данные представлены как среднее значение ± стандартная ошибка среднего (Хср±SEM) и в виде диаграмм размаха (box plot). Анализ вида распределения данных проводили с помощью Shapiro-Wilk’s test. Однофакторный дисперсионный анализ измерений ANOVA (One-way ANOVA) применяли при подсчете процента ретикулоцитов в крови. Для дальнейшего попарного сравнения использовали апостериорный тест Тьюки (Tukey’s test). Достоверность различий во всех остальных экспериментах оценивали с помощью двухфакторного дисперсионного анализа ANOVA (Two-way ANOVA) с апостериорным тестом Тьюки (Tukey’s test).
РЕЗУЛЬТАТЫ ИССЛЕДОВАНИЯ
В таблице 1 представлены показатели содержания кислорода крови, который, во время торпора вырос в 1.1 раза по сравнению с летними значениями, а во время зимней эутермии значительно снизился по сравнению с летом и торпором в 1.2 и в 1.3 раза соответственно. При измерении лактата в сыворотке крови торпидных животных было обнаружено его существенное снижение (в 8 раз по сравнению с летом). После пробуждения уровень лактата в крови восстановился лишь наполовину. Уровень гематокрита в торпоре повысился в 1.2 раз относительно лета и не восстановился после пробуждения.
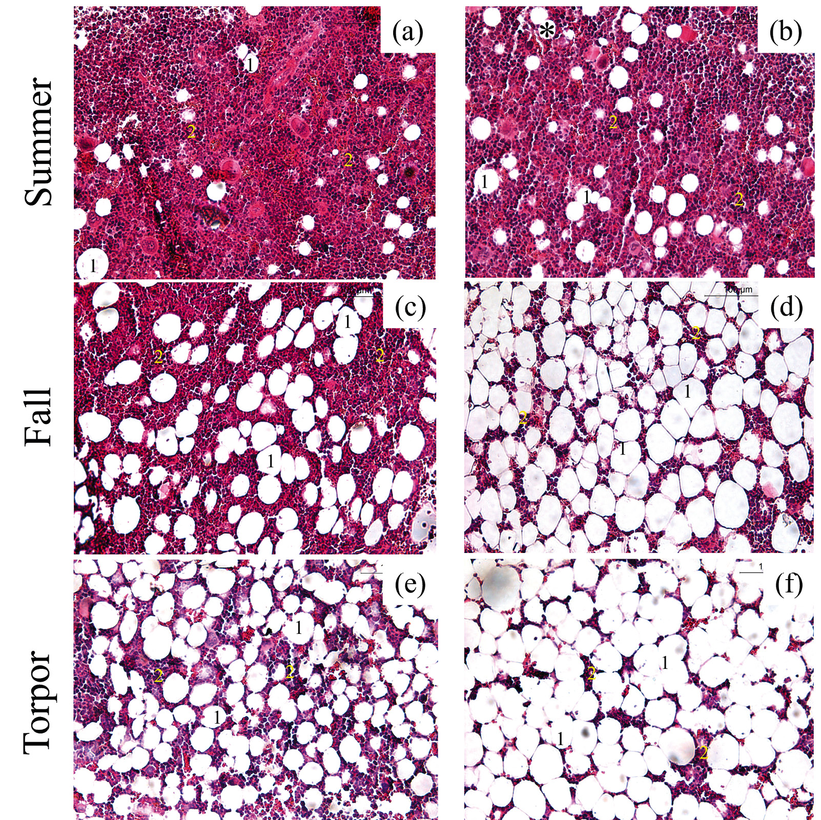
Рис. 1. Микрофотографии препаратов костного мозга длиннохвостых сусликов Urocitellus undulatus в активном летнем, осеннем и торпидном состоянии. Окраска гематоксилин – эозин. (a), (b) – летние животные, (c), (d) – осенние, (e), (f) - торпидные. (a), (c), (e) – костный мозг из плеча, (b), (d), (f) – костный мозг из бедра. Адипоциты отмечены цифрой 1, эритроидные островки цифрой 2. Световая микроскопия.
Гистологический анализ костного мозга сусликов (рис. 1) выявил увеличение количества и размера адипоцитов как в плечевой, так и бедренной костях, начиная с осеннего периода подготовки к спячке, прогрессирующее во время торпора и зимней эутермии. При этом в КМБ осенью и в большей степени в торпоре происходило частичное замещение миелоидной ткани жировой, сохраняющееся во время ЗЭ.
Сравнение количества эритроидных островков (ЭО) показало достоверную разницу между их количеством в КМП и КМБ. Осенью, в торпидном состоянии и во время зимней эутермии в КМБ содержится в 1.4, 1.5 и в 1.7 раз больше ЭО, чем в КМП, соответственно. В летний период значимых различий не обнаружено (рис. 2).
Рис. 2. Количество эритроидных островков в КМ обеих костей в активном летнем, осеннем, торпидном и зимнем эутермном (WE) состоянии сусликов. Светлые столбцы – КМП, темные столбцы – КМБ. Подсчет осуществляли в поле зрения (400х400 мкм, n = 9 для каждой группы) с помощью некоммерческого программного обеспечения ImajeJ. * – статистически значимые различия между группами относительно одного и того же сезона (p < 0.05).
Анализ адипоцитов в КМП показал достоверное увеличение их количества и размера в зимний период относительно лета (таб. 1). В КМБ наблюдалось заметное увеличение размера адипоцитов в торпидном состоянии по сравнению с контрольными значениями., которое сохранялось и во время ЗЭ. При этом, несмотря на увеличение количества адипоцитов во время торпора в 1.5 раз, в период ЗЭ отмечалось их достоверное снижение (в 1.2 раза), что все равно превышало летние показатели.
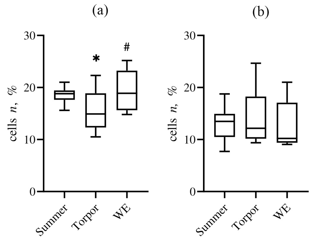
Ранее, при подсчете количества ядерных клеток в S-фазе клеточного цикла в КМ плечевой кости мы обнаружили достоверное снижение их пролиферации в торпидный период, с последующим восстановлением до уровня контрольных значений после пробуждения (рис. 3а) [18]. В бедренной же кости достоверных отличий в исследуемых состояниях животных не обнаружено (рис. 3b).
Рис. 3. Процентное содержание ядерных клеток в S-фазе клеточного цикла в костном мозге (а) – плечевой кости по [1] и (b) – в бедренной кости сусликов в активном летнем, торпидном и зимнем эутермном состоянии (n = 11 лето, n = 12 торпор, n = 11 ЗЭ). * – p <0.05 между экспериментальными группами по сравнению с контрольной группой “лето”, # – p <0.05 между группами “торпор” и “зимняя эутермия”.
При подсчете общего количества ядерных клеток в КМ (рис. 4), было выявлено что в КМБ в исследуемые периоды содержится значительно меньше клеток на грамм ткани, чем в КМП. Так летом, их меньше в 1.9 раз, в торпидный период в 1.7, а в зимнем эутермном состоянии в 2.1 раза. В свою очередь, наблюдается снижение количества ядерных клеток в самом КМБ в торпоре и в ЗЭ состоянии по сравнению с летом.
Рис. 4. Изменения количества ядерных клеток *10⁸/г ткани костного мозга длиннохвостых сусликов в плечевой (светлые столбцы) и бедренной кости (темные столбцы) в активном летнем, торпидном и зимнем эутермном (WE) состоянии (n = 7 для каждого состояния) * – статистически значимые различия между группами в одном и том же состоянии (p <0.05). # – статистически значимые различия внутри группы от одного источника (бедренная кость) относительно лета (p <0.05).
На препаратах мазков крови в летний период обнаружена обычная форма эритроцитов (дискоциты) (рис. 5а), и различий по размеру, интенсивности окраски или наличию включений нет. У сусликов в состоянии торпора (рис. 5b) в большом количестве отчетливо видны эритроциты атипичной формы – овальные, каплевидные и мишеневидные. При этом изменений в интенсивности окраски и наличию включений также не выявлено. В зимний эутермный период (рис.5c) количество эритроцитов атипичной формы существенно снижается, но не исчезают полностью.
Рис. 5. Микрофотографии препаратов мазков крови длиннохвостых сусликов Urocitellus undulatus. Окраска Дифф-Квик. а – летние животные (n = 6), b – животные в состоянии торпора (n = 7), c – зимние эутермные животные (n = 5). Обозначение – нормальные эритроциты (синий пунктир), серповидные эритроциты (зеленый пунктир), овальные эритроциты (черный пунктир), макроциты (красный пунктир), мишеневидные эритроциты (фиолетовый пунктир).
При сравнении содержания ретикулоцитов в крови (рис. 6), обнаружено их достоверное увеличение относительно летних показателей как в торпидном состоянии (в 2.1 раза), так и в период зимней эутермии (в 2 раза).
Рис. 6. Сезонные изменения количества ретикулоцитов относительно общего содержания эритроцитов в периферической крови сусликов Urocitellus undulatus (n=6 для каждого исследуемого состояния) * – статистически значимые различия между группами (p <0.05).
ОБСУЖДЕНИЕ РЕЗУЛЬТАТОВ
Ранее на сусликах, сурках, летучих мышах и медведях показано, что у гетеротермных животных во время спячки не наблюдается тканевая гипоксия, не смотря на значительное снижение скорости кровотока [14–17]. Авторы объясняют это подавлением метаболизма, повышенной антиоксидантной активностью, снижением активности ионных каналов и высоким уровнем кетоновых тел. Полученные нами результаты также демонстрируют высокий уровень содержания кислорода в крови у сусликов в торпидном состоянии, сопровождающийся ростом гематокрита и снижением уровня лактата (табл. 1), что свидетельствует об отсутствии кислородного голодания. В наших экспериментах показано, что в состоянии зимней эутермии (ЗЭ) происходит увеличение лактата что, может быть обусловлено диффузией кислорода из кровотока в ткани, где во время торпора активируется компенсаторный механизм, за счет повышения митохондриальной активности и снижения потребности организма в АТФ [20–22].
Таблица 1. Сатурация, содержание лактата и гематокрита в крови сусликов
Группа | Сатурация, % | Лактат, лакт/ммоль | Гематокрит, % |
Лето | 94±1.7 | 7.1±0.4 | 43.8±1.3 |
Торпор | 99±0.1 | 0.9±0.1* | 49±1* |
Зимняя эутермия | 79±2.6*# | 3.9±0.3*# | 46±0.7# |
Значения представлены как Хср±SEM. * – статистически значимые различия в торпоре и во время зимней эутермии по сравнению с летом (p < 0.05). # – статистически значимые различия между группами “зимняя эутермия” и “торпор” (p < 0.05). (n = 10 для каждой группы).
На фоне увеличения содержания кислорода в период торпора также повышается гематокрит в крови (табл. 1) как и у торпидных летучих мышей (Myotis lucifugus), и золотистых сусликов (Callospermophilus lateralis) [23, 24]. Такой рост отношения объема эритроцитов к объему крови, скорее всего, связан с тем, что в этот период увеличивается вязкость крови за счет уменьшения объема плазмы [25]. При этом последующее снижение гематокрита в состоянии зимней эутермии может указывать на то, что при выходе из спячки происходит обратный процесс – снижается вязкость крови и увеличивается объем плазмы, за счет выхода жидкости из тканей в кровяное русло [26].
Кажется очевидным, что поддержание высокого уровня кислорода в крови может быть связано с поддержанием относительно постоянного уровня эритроцитов в крови [1, 3, 5]. Однако тогда возникает вопрос, как при подавлении уровня пролиферации ядерных клеток не происходит снижения количества эритроцитов ( рис. 3а). Мы предположили, что это объясняется увеличением количества эритроидных островков (ЭО), продуцирующих эритроциты в костном мозге. С этой целью был исследован не только костный мозг из плечевой кости, в котором ранее нами было выявлено снижение уровня пролиферации [18], но и костный мозг из бедренной кости, которая является часто используемым источником КМ у млекопитающих в основном из-за большого объема ткани [27]. Отличий между торпидным и зимнем эутермном состоянием по результатам гистологического анализа не обнаружено (не представлено). При исследовании гистологических препаратов КМП (рис. 1a, c) достоверного роста ЭО в зимний период нами обнаружено не было (рис. 2), в то же время в КМБ напротив было выявлено значимое увеличение количества ЭО (рис. 2). Возникает закономерный вопрос, в чем физиологический смысл таких различий?
Таблица 2. Количество и размер адипоцитов в костном мозге обеих костей сусликов в разных состояниях
Группа | Количество адипоцитов в плече, шт | Размер Адипоцитов в плече, мкм² | Количество адипоцитов в бедре, шт | Размер адипоцитов в бедре, мкм² |
Лето | 40±1.5 | 19584±1610 | 68±1.9 | 16090±787 |
Торпор | 45±1.6* | 26005±2558* | 100±1.2* | 23447±1962* |
Зимняя эутермия | 72±1.4*# | 34700±2822# | 82±1.4*# | 34841±2728*# |
Подсчет осуществляли в поле зрения (400×400 мкм, n = 9 для каждой группы) с помощью некоммерческого программного обеспечения ImajeJ. Значения представлены как Хср±SEM. * – p < 0.05 между экспериментальными группами по сравнению с контрольной группой “лето”, # – p < 0.05 между группами “торпор” и “зимняя эутермия”.
Гистологический анализ KM показал, что в торпидный период и в состоянии зимней эутермии в КМБ сусликов также, как и в КМП происходит увеличение количества и размера адипоцитов, но в КМБ они собираются группами, частично замещая миелоидную ткань (рис. 1 b, 1c, 1d; рис. 2). И если в КМП в осенний период только начинается замещение миелоидной ткани на жировую, то в структуре КМБ жировая ткань в это время уже преобладает. Возможно, потребность в накоплении адипоцитов, особенно в КМБ происходит в связи с накоплением энергетических ресурсов, необходимых как для переживания торпидного периода так и периодического пробуждения [27], поскольку в области задних конечностей отсутствует важный энергетический источник – бурый жир, обеспечивающий несократительный термогенез во время таких пробуждений. По-видимому, из-за увеличения объема жировой ткани в целом, количество ядерных клеток в КМБ намного меньше по сравнению с КМП (рис. 4).
Возникает вопрос, как эритроциты обеспечивают организм необходимым уровнем кислорода в условиях сужающихся во время спячки сосудов [6]. Эритроциты живут месяцами и являются достаточно стабильными [28]. К тому же они лишены способности к синтезу белка de novo (из-за отсутствия ядер и органелл) [5], а потому любые изменения нормоцитов имеют особое значение. Спурриер и Доу [29] предположили, что у тринадцатиполосного суслика (Citellus tridecemlineatus) в период спячки эритроциты, продуцируемые костным мозгом, претерпевают процесс так называемого “folded-over” или условного “сворачивания”, для проникновения через суженные сосуды, чтобы в торпоре обеспечить ткани кислородом. Затем они “разворачиваются” и продолжают циркулировать в кровотоке [29]. Авторы, проводившие исследование на малых сусликах (Spermophilus pygmaeus), считают, что происходит частичная замена нормоцитов на эритроциты меньших размеров, в частности эхиноциты, что может свидетельствовать также об ускорении гемолиза эритроцитов, например, весной [6]. В наших экспериментах в мазках крови торпидного суслика мы обнаружили заметное увеличение атипичных форм эритроцитов, а именно частичную замену нормоцитов на овалоциты, макроциты и мишеневидные формы эритроцитов (рис. 5). При этом наблюдается увеличение ширины распределения эритроцитов и концентрации гемоглобина в клетке при снижении объема эритроцита в торпоре, тогда как в состоянии зимней активности, всего спустя несколько часов, все эритроцитарные показатели, за исключением ширины распределения эритроцитов возвращаются к летним параметрам [3]. В циркулирующей крови в период торпора только часть эритроцитов находится в измененной форме, а оставшиеся клетки остаются в форме нормоцитов. При анализе препаратов мазков во время ЗЭ (рис. 5с) можно увидеть, что эритроциты атипичной формы встречаются реже, чем во время торпора. Вероятно, при повышении температуры во время пробуждения эритроциты “разворачиваются” и принимают форму нормоцита. Отсутствие изменений в количестве эритроцитов на протяжении всего периода спячки, возможно, связано с тем, что в это время образуются новые эритроциты и удаляются старые, прошедшие цикл “сворачивание-разворачивание”. так как сворачиваться они способны всего один раз [29]. Скорее всего данный процесс претерпевает не каждый эритроцит, так как уровень пролиферативной активности тогда должен был значительно возрастать, что не наблюдалось в наших экспериментах (рис. 3).
Мы обнаружили также значительное увеличение количества ретикулоцитов в крови в торпоре (рис. 6) и их уровень после пробуждения не изменялся. Так как уровень пролиферации в КМБ в период торпора (рис. 3) и гены, необходимые для производства эритроцитов, сохраняются на летнем уровне экспрессии [27], а уровень, например, синтеза лейкоцитов в костном мозге снижается [30], мы предполагаем, что во время торпора в КМ преобладает продукция именно эритроцитов, а не предшественников других клеток. В зимнюю эутермию количество ретикулоцитов достоверно не снижается, поскольку необходимо постоянное активное обновление эритроцитарных клеток, а как уже сказано сворачиваться они способны всего один раз [29], а число баутов (циклов засыпаний- пробуждений) во время спячки в десятки раз больше [14].
Так как в торпоре в костном мозге бедренной кости наблюдается увеличение количества эритроидных островков, и уровень экспрессии генов, необходимых для производства эритроцитов не меняется [31], то возможно костный мозг из бедренной кости берет на себя основную роль по обновлению эритроцитарного состава в зимний период, что опять-таки объясняет высокое содержание ретикулоцитов в крови, которые, скорее всего, заменяют те эритроциты, которые прошли цикл “сворачивание - разворачивание” и, чей срок жизни, по-видимому, меньше, чем у эритроцитов, не подвергающихся морфологическим изменениям.
Таким образом, мы предполагаем, что высокий уровень содержания кислорода в торпидном состоянии обеспечивается стабильным уровнем эритроцитов, который поддерживается главным образом костным мозгом из бедренной кости за счет увеличения количества эритроидных островков в миелоидной ткани, а также повышением уровня ретикулоцитов в крови и способностью эритроцитов складываться, чтобы переносить кислород в условиях суженных сосудов, брадикардии, гипотонии и замедленной скорости кровотока.
СОБЛЮДЕНИЕ ЭТИЧЕСКИХ СТАНДАРТОВ
Все манипуляции с животными осуществлялись в соответствии с руководящими принципами, установленными Директивой Европейского Совета 2010/63/EU и Приказом Министерства здравоохранения Российской Федерации от 12 августа 1977 г. N 755 "О мерах по дальнейшему совершенствованию организационных форм работы с использованием экспериментальных животных". На проведение экспериментов с сусликами получено разрешение комиссии по биоэтике Института биофизики клетки РАН Пущинского научного центра биологических исследований Российской академии наук, протокол 4/062019 от 13.06.2019 г.
ИСТОЧНИКИ ФИНАНСИРОВАНИЯ
Работа выполнена по теме Государственного задания “Механизмы природного и искусственного гипобиоза”, № 075-00609-24-01.
КОНФЛИКТ ИНТЕРЕСОВ
Авторы декларируют отсутствие явных и потенциальных конфликтов интересов, связанных с публикацией данной статьи.
ВКЛАДЫ АВТОРОВ
Идея работы и планирование эксперимента (Н.М.З., Л.К.И.), сбор данных (Л.К.И. Г.Е.А.), обработка данных (Л.К.И., Т.П.О., Г.Е.А., В.Н.А), написание и редактирование манускрипта (Л.К.И., Н.М.З.).
БЛАГОДАРНОСТИ
Работа была выполнена с использованием оборудования Сектора Оптической микроскопии и спектрофотометрии ЦКП ПНЦБИ РАН (https://www.pbcras.ru/services/tskp/).
Об авторах
К. И. Лизоркина
Институт биофизики клетки РАН – обособленное подразделение Федерального государственного бюджетного учреждения науки Федеральный исследовательский центр “Пущинский научный центр биологических исследований РАН”
Автор, ответственный за переписку.
Email: lizorkina_kseniia@mail.ru
Россия, Пущино, Московская область
Г. Е. Аксенова
Институт биофизики клетки РАН – обособленное подразделение Федерального государственного бюджетного учреждения науки Федеральный исследовательский центр “Пущинский научный центр биологических исследований РАН”
Email: lizorkina_kseniia@mail.ru
Россия, Пущино, Московская область
В. Н. Афанасьев
Институт биофизики клетки РАН – обособленное подразделение Федерального государственного бюджетного учреждения науки Федеральный исследовательский центр “Пущинский научный центр биологических исследований РАН”
Email: lizorkina_kseniia@mail.ru
Россия, Пущино, Московская область
П. О. Теплова
Институт биофизики клетки РАН – обособленное подразделение Федерального государственного бюджетного учреждения науки Федеральный исследовательский центр “Пущинский научный центр биологических исследований РАН”
Email: lizorkina_kseniia@mail.ru
Россия, Пущино, Московская область
Н. М. Захарова
Институт биофизики клетки РАН – обособленное подразделение Федерального государственного бюджетного учреждения науки Федеральный исследовательский центр “Пущинский научный центр биологических исследований РАН”
Email: lizorkina_kseniia@mail.ru
Россия, Пущино, Московская область
Список литературы
- Giroud S, Yamaguchi Y, Terrien J, Henning RH (2024) Editorial: Torpor and hibernation: metabolic and physiological paradigms. Front Physiol 15:1441872. https://doi.org/10.3389/fphys.2024.1441872
- Kuznetsova EV, Feoktistova NY, Naidenko SV, Surov AV, Tikhonova NB, Kozlovskii JE (2016) Seasonal changes in blood cells and biochemical parameters in the Mongolian hamster (Allocricetulus curtatus). Biol Bull Russ Acad Sci 43(4):344–349. https://doi.org/10.1134/S1062359016040087
- Teplova PO, Komelina NP, Yegorov AY, Lizorkina KI, Zakharova NM (2024) Adaptive Blood Cell Variability in the Annual Life Cycle of the Ground Squirrel Urocitellus undulatus. J Evol Biochem Phys 60(2):443–452. https://doi.org/10.1134/S0022093024020017
- Tøien Ø, Drew KL, Chao ML, Rice ME (2001) Ascorbate dynamics and oxygen consumption during arousal from hibernation in Arctic ground squirrels. Am J Physiol Regul Integr Comp Physiol 281(2):R572-83.https://doi.org/10.1152/ajpregu.2001.281.2.R572
- Gehrke S, Rice S, Stefanoni D, Wilkerson RB, Nemkov T, Reisz JA, Hansen KC, Lucas A, Cabrales P, Drew K, D'Alessandro A (2019) Red Blood Cell Metabolic Responses to Torpor and Arousal in the Hibernator Arctic Ground Squirrel. J Proteome Res 18(4):1827–1841. https://doi.org/10.1021/acs.jproteome.9b00018.
- Katiukhin LN, Chalabov SI, Bekshokov KS, Pokhmelnova MS, Klichkhanov NK, Nikitina ER (2023) Seasonal changes in blood rheology in little ground squirrels. J Exp Zool A Ecol Integr Physiol 339(5):474–486. https://doi.org/10.1002/jez.2693.
- Klichkhanov NK, Nikitina ER, Shihamirova ZM, Astaeva MD, Chalabov SI, Krivchenko AI (2021) Erythrocytes of Little Ground Squirrels Undergo Reversible Oxidative Stress During Arousal From Hibernation. Front Physiol 12:730657. https://doi.org/10.3389/fphys.2021.730657.
- Lomako VV, Shilo AV, Kovalenko IF, Babiĭchuk GA (2015) Erythrocytes of hetero- and homoiothermal animals in natural and artificial hypothermia. Zh Evol Biokhim Fiziol 51(1):52–59
- Repina SV, Repin NV (2008) Peculiarities of RBCs resistance to acid hemolysis in hibernating mammals. Bioelectrochemistry 73(2):106–109. https://doi.org/10.1016/j.bioelechem.2008.04.009.
- Dzierzak E, Philipsen S (2013) Erythropoiesis: development and differentiation. Cold Spring Harb Perspect Med 3(4):a011601. https://doi.org/10.1101/cshperspect.a011601.
- Pretini V, Koenen MH, Kaestner L, Fens MHAM, Schiffelers RM, Bartels M, van Wijk R (2019) Red Blood Cells: Chasing Interactions. Front Physiol 10:945. https://doi.org/10.3389/fphys.2019.00945.
- Huisjes R, Bogdanova A, van Solinge WW, Schiffelers RM, Kaestner L, van Wijk R (2018) Squeezing for Life - Properties of Red Blood Cell Deformability. Front Physiol 9:656. https://doi.org/10.3389/fphys.2018.00656.
- Viallat A, Abkarian M (2014) Red blood cell: from its mechanics to its motion in shear flow. Int J Lab Hematol 36(3):237–243. https://doi.org/10.1111/ijlh.12233.
- Drew KL, Harris MB, LaManna JC, Smith MA, Zhu XW, Ma YL (2004) Hypoxia tolerance in mammalian heterotherms. J Exp Biol 207(Pt 18):3155–3162. https://doi.org/10.1242/jeb.01114
- Ma YL, Zhu X, Rivera PM, Tøien Ø, Barnes BM, LaManna JC, Smith MA, Drew KL (2005) Absence of cellular stress in brain after hypoxia induced by arousal from hibernation in Arctic ground squirrels. Am J Physiol Regul Integr Comp Physiol 289(5):R1297-306. https://doi.org/10.1152/ajpregu.00260.2005
- Ramirez J-M, Folkow LP, Blix AS (2007) Hypoxia tolerance in mammals and birds: from the wilderness to the clinic. Annu Rev Physiol 69:113–143. https://doi.org/10.1146/annurev.physiol.69.031905.163111
- Uzenbaeva LB, Belkin VV, Ilyukha VA, Kizhina AG, Yakimova AE (2015) Profiles and morphology of peripheral blood cells in three bat species of Karelia during hibernation. J Evol Biochem Phys 51(4):342–348. https://doi.org/10.1134/S0022093015040109
- Aksyonova GE, Logvinovich OS, Afanasyev VN, Lizorkina KI (2023) Cell cycle parameters and ornithine decarboxylase activity in the red bone marrow of hibernating ground squirrels Urocitellus undulatus. Biofizika 68(5):964–972. https://doi.org/10.31857/S0006302923050174
- Zakharova NM, Tarahovsky YS, Khrenov MO (2024) A Comparative Study of the Temperature Coefficient Q10 in Hibernating Ground Squirrels Urocitellus undulatus and Cooled Rats of Different Ages. J Evol Biochem Phys 60 1437–1446. https://doi.org/10.1134/S0022093024040148
- Heim AB, Chung D, Florant GL, Chicco AJ (2017) Tissue-specific seasonal changes in mitochondrial function of a mammalian hibernator. Am J Physiol Regul Integr Comp Physiol 313(2):R180-R190. https://doi.org/10.1152/ajpregu.00427.2016
- Janotka M, Ostadal P (2021) Biochemical markers for clinical monitoring of tissue perfusion. Mol Cell Biochem 476(3):1313–1326. https://doi.org/10.1007/s11010-020-04019-8
- Бурых ЭА, Сороко СИ (2014) Компенсаторная роль системы кровообращения при острой гипоксической гипоксии у человека. Экол чел 7:30–36. [Burykh EA, Soroko SI (2014) Compensatory role of the circulatory system in acute hypoxic hypoxia in humans. Hum Ecol 7: 30– 36 (In Russ)].
- Maginniss LA, Milsom WK (1994) Effects of hibernation on blood oxygen transport in the golden-mantled ground squirrel. Respir Physiol 95(2):195–208. https://doi.org/10.1016/0034-5687(94)90116-3
- Warnecke L, Turner JM, Bollinger TK, Misra V, Cryan PM, Blehert DS, Wibbelt G, Willis CKR (2013) Pathophysiology of white-nose syndrome in bats: a mechanistic model linking wing damage to mortality. Biol Lett 9(4):20130177. https://doi.org/10.1098/rsbl.2013.0177
- Vrij EL de, Henning RH (2015) How hibernation and hypothermia help to improve anticoagulant control. Temperature (Austin) 2(1):44–46. https://doi.org/10.4161/23328940.2014.967595
- Hu H-X, Du F-Y, Fu W-W, Jiang S-F, Cao J, Xu S-H, Wang H-P, Chang H, Goswami N, Gao Y-F (2017) A dramatic blood plasticity in hibernating and 14-day hindlimb unloading Daurian ground squirrels (Spermophilus dauricus). J Comp Physiol B 187(5-6):869–879. https://doi.org/10.1007/s00360-017-1092-7
- Ануфриев АИ (2008) Механизмы зимней спячки мелких млекопитающих Якутии. Новосибирск: Из-во СО РАН.158 с. [Anufriev AI (2008) Mechanisms of Hibernation of Small Mammals of Yakutia (Sib. Otd. Ross. Akad. Nauk, Novosibirsk. (In Russ)].
- Corrons JLV, Casafont LB, Frasnedo EF (2021) Concise review: how do red blood cells born, live, and die? Ann Hematol 100(10):2425–2433. https://doi.org/10.1007/s00277-021-04575-z.
- Spurrier WA, Dawe AR (1973) Several blood and circulatory changes in the hibernation of the 13-lined ground squirrel, Citellus tridecemlineatus. Comp Biochem Physiol A Comp Physiol 44(2):267–282. https://doi.org/10.1016/0300-9629(73)90479-9
- Yasuma Y, McCarron RM, Spatz M, Hallenbeck JM (1997) Effects of plasma from hibernating ground squirrels on monocyte-endothelial cell adhesive interactions. Am J Physiol 273(6):R1861-9. https://doi.org/10.1152/ajpregu.1997.273.6.R1861
- Cooper ST, Sell SS, Fahrenkrog M, Wilkinson K, Howard DR, Bergen H, Cruz E, Cash SE, Andrews MT, Hampton M (2016) Effects of hibernation on bone marrow transcriptome in thirteen-lined ground squirrels. Physiol Genomics 48(7):513–525. https://doi.org/10.1152/physiolgenomics.00120.2015
Дополнительные файлы








