Анализ распространения Робертсоновских соединений четырех хромосомных рас в полиморфных популяциях обыкновенной бурозубки Sorex araneus l.
- Авторы: Орлов В.Н.1, Крищук И.А.2, Черепанова Е.В.1, Борисов Ю.М.1
-
Учреждения:
- Институт проблем экологии и эволюции им. А.Н. Северцова РАН
- Научно-практический центр, Национальная академия наук Беларуси по биоресурсам
- Выпуск: Том 144, № 2 (2024)
- Страницы: 214-225
- Раздел: Статьи
- Статья получена: 10.09.2024
- Статья одобрена: 10.09.2024
- Статья опубликована: 10.09.2024
- URL: https://bakhtiniada.ru/0042-1324/article/view/263493
- DOI: https://doi.org/10.31857/S0042132424020086
- EDN: https://elibrary.ru/RHBBUP
- ID: 263493
Цитировать
Полный текст
Аннотация
Рассчитаны найденные и ожидаемые частоты метацентриков в полиморфных популяциях обыкновенной бурозубки бассейна Днепра, возникших при процессах гибридизации местных популяций с акроцентрическим кариотипом и четырех хромосомных рас (Нерусса, Киев, Białowieża и Западная Двина) с 3–5 диагностическими метацентриками в каждой. Ранее нами показана повышенная частота акроцентрического кариотипа, по сравнению с ожидаемой по Харди–Вайнбергу. Низкую частоту (менее 0.5) большинства метацентриков четырех хромосомных рас и исчезновение из популяций некоторых из них можно объяснить повышенной приспособленностью акроцентрического кариотипа и отсутствием мейотического драйва. Напротив, сохранение высокой частоты (более 0.5) метацентриков gm, hk (расы Западная Двина), hi (расы Киев), hn, ik (расы Białowieża), а тем более фиксированности метацентрика hi (расы Нерусса) в полиморфных популяциях можно объяснить мейотическим драйвом. Фиксация Rb-соединений на ареале обыкновенной бурозубки может быть следствием не только дрейфа генов, но и мейотического драйва. Вероятнее всего, мейотический драйв способен поддерживать частоту Rb-соединений c наиболее крупными акроцентриками g, h и i, что способствует широкому распространению по ареалу обыкновенной бурозубки таких соединений.
Ключевые слова
Полный текст
ВВЕДЕНИЕ
В эволюции популяций обыкновенной бурозубки Sorex araneus L. исходным был кариотип с 10 парами акроцентрических (одноплечих) хромосом g, h, i, k, m, n, o, p, q, r (акроцентрический кариотип), в котором акроцентрические хромосомы замещались метацентрическими (двуплечими) в результате Робертсоновских (Rb) транслокационных соединений. Стабильная часть кариотипа обыкновенной бурозубки включает три метацентрика, полиморфный метацентрик j/l (но акроцентрики j и l не участвуют в каких-либо других Rb-соединениях) и половые хромосомы. Все многообразие кариотипов обыкновенной бурозубки возникло в результате Rb-соединений 10 пар указанных акроцентрических хромосом в различных комбинациях с образованием метацентрических хромосом, по которым отличаются хромосомные расы (диагностические метацентрики). Изолированные популяции с фиксированным акроцентрическим кариотипом сохранились в Южной Европе (расы Cordon и Pelister) (Bulatova et al., 2019). Полиморфные популяции, в которых встречаются особи с акроцентрическим кариотипом, описаны только в бас. р. Днепр на территории Беларуси (Kryshchuk et al., 2021).
К возникновению новой хромосомной расы, группы популяций, отличающейся набором метацентрических и акроцентрических хромосом (Hausser et al., 1994), приводит не только появление в популяции нового Rb-соединения, но и успешность распространения в популяциях этой перестройки и увеличение ее частоты. Успешному распространению Rb-соединений в популяциях могло способствовать преимущественное образование гамет с метацентрическими хромосомами в мейозе гетерозигот по Rb-соединениям (мейотический драйв) (Searle, 1986, 1993). В исследованиях потомства самок и мейоза самцов бурозубок, гетерозиготных по Rb-соединениям, на трех примерах была показана достоверная преимущественная передача некоторых метацентрических хромосом (Searle, 1986; Wyttenbach et al., 1998; Fedyk, Chętnicki, 2007). При этом остается неясной роль мейотического драйва в распространении и фиксации хромосомных перестроек в больших географических популяциях (Borodin et al., 2019), а следовательно, и роль в формировании хромосомных рас, отличающихся фиксированными Rb-соединениями.
Cложности в исследовании роли мейотического драйва в эволюции кариотипа связаны с тем, что на большей части ареала обыкновенной бурозубки невозможно проследить распространение Rb-соединений в популяциях, поскольку ареал подразделен на хромосомные расы, в разной степени изолированные. В современных популяциях распространение Rb-cоединений в популяциях с акроцентрическими хромосомами удается исследовать лишь на отдельных участках ареала обыкновенной бурозубки, в частности в Северной Скандинавии (Fredga, 2007), на Западно-Европейской низменности (Brünner et al., 2002) и в бас. р. Днепр (Орлов, Борисов, 2009; Borisov et al., 2014, 2016, 2017). На первых этапах описания полиморфных популяций исследователи ограничивались выделением новых хромосомных рас, не разделенных гибридными зонами и отличающихся только набором метацентриков. Так, в Северной Скандинавии описаны три новых расы: Abisko (gm, hn, ip, kq, or), Hattsjö (gm, hn, ip, kq) и Ammarnäs (hn, ip, kq) (Fredga, 2007). В бас. р. Днепр описаны четыре новых расы: раса Борисов (gm, hk, no, qr) выделена из расы Западная Двина, раса Октябрьский (hn, ik) – из расы Białowieża, раса Светлогорск (hi, ko) – из расы Киев, раса Гомель (hi, kr, mn) – из расы Нерусса (Borisov et al., 2017).
Выделение хромосомных рас в полиморфных популяциях упрощает описание распространения в них Rb-соединений. В дальнейших исследованиях эволюционных процессов в полиморфных популяциях необходимо исследование частоты кариотипов и частоты метацентриков в популяциях.
Приведены наиболее полные описания кариотипов популяций обыкновенной бурозубки в Беларуси, полиморфных по метацентрикам хромосомных рас Нерусса и Западная Двина (Borisov et al., 2017), и популяций, полиморфных по метацентрикам рас Киев и Białowieża (Kryshchuk et al., 2021). В последней работе впервые проведен анализ частот кариотипов в полиморфных популяциях, в том числе кариотипов акроцентрических, гетерозиготных и гомозиготных, найденных и ожидаемых по Харди–Вайнбергу в выборках с метацентриками рас Киев и Białowieża.
Как продолжение исследований полиморфных популяций обыкновенной бурозубки в бас. р. Днепр в задачи нашей работы входит анализ особенностей распространения и частоты отдельных Rb-соединений в популяциях на ранее полученных данных о кариотипах популяций и оценка вероятной роли преимущественной передачи в мейозе метацентрических хромосом (мейотического драйва) в процессах распространения Rb-соединений.
МАТЕРИАЛЫ И МЕТОДЫ
Материалом для статьи послужили данные о 512 кариотипах бурозубок из 33 выборок четырех хромосомных рас: Нерусса, Киев, Białowieża и Западная Двина в бас. р. Днепр на территории Беларуси, ранее полученные с участием авторов этой статьи (Borisov et al., 2017; Kryshchuk et al., 2021) (рис. 1).
Рис. 1. Пункты отлова обыкновенной бурозубки Sorex araneus с метацентриками хромосомных рас: Bi – Białowieża (кружки), Wd – Западная Двина (треугольники), Ki – Киев (квадраты), Ne – Нерусса (ромбы). Белый квадрат в значке хромосомной расы обозначает отсутствие в кариотипе популяции одного и более диагностических метацентриков расы. Звездочкой * отмечены выборки с акроцентрическим кариотипом. Пунктиром обозначены границы государств. Номера пунктов сбора соответствуют табл. 1.
В статистических расчетах мы исходили из однолокусной модели с кодоминантным типом наследования. Расчеты основывались на матрицах кариотипов особей. Из численности бурозубок с различными кариотипами рассчитана наблюдаемая и ожидаемая, при случайном скрещивании по Харди–Вайнбергу, частота 17 Rb-соединений: go, hi, kr, mn, pq (раса Нерусса), gm, hi, ko (раса Киев), gr, hn, ik, mp (раса Białowieża) и gm, hk, ip, no, qr (раса Западная Двина). В данной работе мы ограничиваемся Rb-соединениями, производными от 10 пар акроцентриков в акроцентрическом кариотипе. Рассчитана также наблюдаемая и ожидаемая частота гомозигот и гетерозигот по этим Rb-соединениям. Использован вариант уравнения Харди–Вайнберга для малых выборок (Ли, 1978). Данные о найденных и ожидаемых по Харди–Вайнбергу частотах Rb-соединений в исследованных выборках сведены в таблицу. Формулы каждой хромосомной расы также приведены в табл. 1.
Таблица 1. Число гомозиготных и гетерозиготных бурозубок, найденное и ожидаемое в популяциях с Rb-соединениями хромосомных рас Нерусса, Киев, Białowieża и Западная Двина, и частота Rb-соединений (F)
Выборки | Число особей, найденное (ожидаемое) | F | Число особей, найденное (ожидаемое) | F | ||||
гомозиготы: акроцентрики | гетерозиготы | гомозиготы: мета- центрики | гомозиготы: акро- центрики | гетерозиготы | гомозиготы: мета- центрики | |||
1. Полиморфные популяции с Rb-соединениями расы Нерусса (Ne) (go, hi, kr, mn, pq) | ||||||||
Ne 1. Нерусса | go, hi, kr, mn, pq | |||||||
Ne 2. Новозыбков | g/o, hi, k/r, m/n, p/q | |||||||
Ne 3. Добруш Ne 4. Гомель | h, i | h/i | hi | hi | m, n | m/n | mn | mn |
0 | 0 | 11 | 1.0 | 2 (2) | 5 (5) | 4 (4) | 0.59 | |
k, r | k/r | kr | kr | – | – | – | – | |
4 (5) | 7 (5) | 0 (1) | 0.32 | – | – | – | – | |
Ne 5. Черное | h, i | h/i | hi | hi | m, n | m/n | mn | mn |
0 | 0 | 22 | 1.0 | 9 (11) | 13 (9) | 0 (2) | 0.29 | |
k, r | k/r | kr | kr | – | – | – | – | |
18 (18) | 4 (4) | 0 (0) | 0.09 | – | – | – | – | |
Ne 6. Красное | h, i | h/i | hi | hi | m, n | m/n | mn | mn |
0 | 0 | 12 | 1.0 | 7 (7) | 5 (4) | 0 (1) | 0.21 | |
k, r | k/r | kr | kr | – | – | – | – | |
8 (8) | 4 (4) | 0 (0) | 0.17 | – | – | – | – | |
2. Популяции с Rb-соединениями расы Киев (Ki) (gm, hi, ko) | ||||||||
Ki 1. Скригалов | g, m | g/m | gm | gm | – | – | – | – |
1 (7) | 25** (13) | 0 (6) | 0.48 | – | – | – | – | |
h, i | h/i | hi | hi | k, o | k/o | ko | ko | |
1 (7) | 25** (13) | 0 (6) | 0.48 | 1 (7) | 25** (13) | 0 (6) | 0.48 | |
Ki 2. Ельск, Лешня, Мозырь | g, m | g/m | gm | gm | – | – | – | – |
23 (23) | 4 (4) | 0 (0) | 0.07 | – | – | – | – | |
h, i | h/i | hi | hi | k, o | k/o | ko | ko | |
4 (4) | 15 (13) | 8 (9) | 0.57 | 19 (20) | 8 (7) | 0 (1) | 0.15 | |
h, i | h/i | hi | hi | k, o | k/o | ko | ko | |
Ki 3. Речица | 0 (1) | 7 (5) | 8 (9) | 0.77 | 2 (3) | 10 (7) | 3 (4) | 0.53 |
Ki 4. Светлогорск Ki 5. Паричи | 4 (5) | 14* (11) | 4 (5) | 0.5 | 9 (11) | 13* (9) | 0 (2) | 0.29 |
Ki 6. Жлобин | 1 (3) | 8* (4) | 0 (2) | 0.44 | 1 (3) | 8* (4) | 0 (2) | 0.44 |
Ki 7. Бобруйск | 1 (1) | 5 (5) | 5 (5) | 0.68 | 6 (7) | 5 (4) | 0 (0) | 0.23 |
3. Популяции с Rb-соединениями расы Białowieża (Bi) (gr, hn, ik, mp) | ||||||||
Bi 1. Białowieża Bi 2. Białystok | h, n | h/n | hn | hn | i, k | i/k | ik | ik |
– | – | 89 | 1.0 | – | – | 89 | 1.0 | |
g, r | g/r | gr | gr | m, p | m/p | mp | mp | |
0 (0.3) | 13 (12.4) | 130 (130.3) | 0.95 | 6 (2.6) | 27 (33.7) | 110 (106.6) | 0.86 | |
Bi 3. Червоное | h, n | h/n | hn | hn | i, k | i/k | ik | ik |
2 (2) | 8 (8) | 6 (6) | 0.62 | 0 (1) | 9 (7) | 7 (8) | 0.72 | |
g, r | g/r | gr | gr | m, p | m/p | mp | mp | |
15 (15) | 1 (1) | 0 (0) | 0.03 | 14 (14) | 2 (1.9) | 0 | 0.06 | |
Bi 4. Туров, Хвоенск | h, n | h/n | hn | hn | i, k | i/k | ik | ik |
14 (21) | 50** (36) | 9 (16) | 0.87 | 42 (43) | 28 (28) | 3 (4) | 0.23 | |
g, r | g/r | gr | gr | m, p | m/p | mp | mp | |
55 (56) | 18 (16) | 0 (1) | 0.12 | 45 (48) | 28* (23) | 0 (3) | 0.19 | |
h, n | h/n | hn | hn | i, k | i/k | ik | ik | |
Bi 5. Конковичи | 10 (9) | 23 (23) | 16 (15) | 0.56 | 10 (18) | 39** (23) | 0 (8) | 0.4 |
Bi 6. Лучицы Bi 7. Рожанов, Затишье | 16 (24) | 45** (28) | 0 (8) | 0.35 | 16 (24) | 45** (28) | 0 (8) | 0.35 |
Bi 8. Татарка Bi 9. Елизово Bi 10. Любоничи | 4 (6) | 24* (20) | 17 (19) | 0.64 | 7 (10) | 28* (22) | 10 (13) | 0.53 |
4. Популяции с Rb-соединениями расы Западная Двина (Wd) (gm, hk, ip, no, qr) | ||||||||
Wd 1. Кардымов | gm, hk, ip, no, qr | |||||||
Wd 2. Дубровно Wd 3. Смоляны | g, m | g/m | gm | gm | h, k | h/k | hk | hk |
0 | 5 | 0 | 0.5 | 0 | 0 | 5 | 1.0 | |
n, o | n/o | no | no | q, r | q/r | qr | qr | |
0 | 0 | 5 | 1.0 | 0 | 3 | 2 | 0.7 | |
i, p | i/p | ip | ip | – | – | – | – | |
2 | 1 | 2 | 0.5 | – | – | – | – | |
Wd 4. Велятичи Wd 5. Выдрица Wd 6. Н. Меча | g, m | g/m | gm | gm | h, k | h/k | hk | hk |
0 | 0 | 12 | 1.0 | 0 | 0 | 12 | 1.0 | |
n, o | n/o | no | no | q, r | q/r | qr | qr | |
2 (4) | 10* (6) | 0 (2) | 0.42 | 10 (10) | 2 (2) | 0 (0) | 0.08 | |
Wd 7. М. Вязок | g, m | g/m | gm | gm | h, k | h/k | hk | hk |
1 (2) | 12 (10) | 14 (15) | 0.74 | 0 (0) | 3 (3) | 24 (24) | 0.94 | |
n, o | n/o | no | no | q, r | q/r | qr | qr | |
12 (14) | 15 (11) | 0 (2) | 0.28 | 22 (22) | 5 (5) | 0 (0) | 0.09 | |
Wd 8. Михеевичи, Лесковичи | g, m | g/m | gm | gm | h, k | h/k | hk | hk |
2 (1) | 2 (3) | 3 (2) | 0.57 | 0 (0) | 2 (2) | 5 (5) | 0.86 | |
Wd 9. Березино Wd 10. Едлино | g, m | g/m | gm | gm | h, k | h/k | hk | hk |
27 | 1 | 0 | 0.02 | 5 (5) | 14 (13) | 9 (9) | 0.57 | |
Примечание: * – число найденных гетерозигот, достоверно превышающее число ожидаемых p < 0.05; ** – число найденных гетерозигот, достоверно превышающее число ожидаемых p < 0.01; прочерк означает отсутствие хромосом.
РЕЗУЛЬТАТЫ
Для общего описания полиморфизма популяций на огромной территории бас. р. Днепр потребовалось выделить новые расы, отличающиеся набором метацентриков (Borisov et al., 2017). Из расы Нерусса выделена раса Гомель с тремя метацентриками hi, k/r, m/n, из расы Киев – раса Светлогорск с двумя метацентриками hi и ko, из расы Białowieża – раса Октябрьский с двумя метацентриками hn и ik, из расы Западная Двина – раса Борисов, в популяциях которой нет метацентрика ip. Новые выделенные расы не изолированы, поэтому при описании частот метацентриков мы о них не упоминаем.
Популяции с Rb-соединениями расы Нерусса (Ne)
Хромосомная раса Нерусса на большей части своего огромного ареала в Восточной Европе мономорфна по пяти метацентрическим хромосомам go, hi, kr, mn, pq (Черепанова и др., 2018), но в восточной части бас. р. Днепр возникла широкая область гибридизации этой расы и местных популяций с акроцентрическим кариотипом (Borisov et al., 2017). Метацентрики расы Нерусса прослеживаются до р. Днепр (рис. 1, ромбы).
В месте первоначального описания расы Нерусса по р. Нерусса (левый приток р. Десна) в Брянской обл. (рис. 1, Ne 1) кариотип мономорфен по всем пяти метацентрикам. Но западнее, в г. Новозыбков (рис. 1, Ne 2), большая исследованная выборка этой расы оказывается полиморфной по четырем метацентрикам и гомозиготной только по метацентрику hi (n = 80, частота метацентриков в работах не указана) (Bulatova et al., 2000; Sheftel, Krysanov, 2002). Распространение полиморфных популяций с метацентриками расы Нерусса ограничивается преимущественно левобережьем р. Днепр (рис. 1, Ne 2–6), по правобережью распространены популяции с Rb-соединениями hi и ko расы Киев (рис. 1, квадраты).
Начиная с левобережья р. Сож (рис. 1, Ne 3), в популяциях не обнаруживается соединений go и pq расы Нерусса, но метацентрик hi остается фиксированным во всех исследованных полиморфных популяциях. Постепенное снижение частоты и выпадение метацентриков расы Нерусса в популяциях показаны на рис. 3. Частота метацентриков kr и mn уменьшается постепенно до 0.1–0.3 по р. Днепр (рис. 3, Ne 5, Ne 6) по мере удаления от популяций расы Нерусса с фиксированными метацентриками, при этом найденные частоты гомо- и гетерозигот не отличаются значительно от ожидаемых (табл. 1). Акроцентрический кариотип не сохранился в популяциях с метацентриками расы Нерусса из-за фиксированности метацентрика hi.
Популяции с Rb-соединениями расы Киев (Ki)
Ареал расы Киев прослеживается от предгорий Восточных Карпат до Черного моря и р. Днепр на территории Украины. В Беларуси метацентрики этой расы отмечены от р. Припять до р. Днепр и на север по р. Березина (рис. 1, квадраты). На всем своем значительном ареале на территории Украины эта раса полиморфна по двум метацентрикам (g/m, k/o) и мономорфна по метацентрику hi (Mishta et al., 2000). На территории как Украины, так и Беларуси полиморфизм возник в результате гибридизации расы с тремя метацентриками и популяций с акроцентрическим кариотипом. По правобережью р. Припять на территории Беларуси (рис. 1, Ki 1, Ki 2) популяции становятся полиморфными по всем трем метацентрикам включая и h/i (рис. 2а). По р. Припять и в междуречье рр. Припять и Березина распространение Rb-соединений hi и ko расы Киев на запад прослеживается до г. Туров (рис. 1, Bi 4) и до р. Птичь (рис. 1, Bi 7), где в популяциях с метацентриками расы Białowieża встречаются единичные гибриды с метацентриками расы Киев. На восток распространение Rb-соединений hi и ko прослеживается до р. Днепр (рис. 1, Ki 3, 6) и на север – до г. Бобруйск (рис. 1, Ki 7).
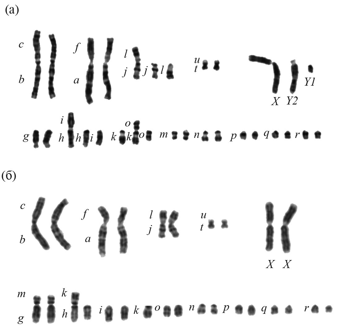
Рис. 2. G-окрашенные кариотипы обыкновенной бурозубки из полиморфных популяций в бас. р. Днепр, Беларусь. (а) – кариотип с двумя диагностическими метацентриками hi, ko расы Киев, (б) – кариотип с двумя диагностическими метацентриками gm, hk расы Западная Двина.
Рис. 3. Частота метацентриков расы Нерусса в выборках (по данным, приведенным в табл. 1, здесь и на рис. 4–6).
Крупный метацентрик gm встречается с частотой 0.1–0.5 по правому берегу р. Припять, но полностью исчезает на левобережье этой реки. Наиболее успешно распространяется в полиморфных популяциях метацентрик hi, его частота не опускается ниже 0.5, а частота метацентрика ko, напротив, не поднимается выше 0.5 (рис. 4). В популяциях с метацентриками расы Киев по р. Березина сохраняются акроцентрические кариотипы и отмечается избыток гетерозигот h/i и k/o (табл. 1, Ki 1, Ki 4–6).
Рис. 4. Частота метацентриков расы Киев в выборках.
Популяции с Rb-соединениями расы Białowieża (Bi)
Раса Białowieża описана в бас. р. Висла на территории Польши, но в дальнейшем метацентрики этой расы отмечены на значительной территории в полиморфных популяциях Беларуси на восток до рр. Птичь и Березина (рис. 1, кружки). В популяциях первоначально описанного ареала расы Białowieża (рис. 1, Bi 1, Bi 2) в бас. р. Висла фиксированы соединения hn и ik, а соединения gr и mp встречаются с частотой близкой к 1.0 (Wójcik et al., 1996; Banaszek et al., 2009). Восточнее, в направлении р. Птичь –притока р. Припять – все метацентрики этой расы становятся полиморфными. Популяции с метацентриками расы Białowieża распространены на восток до низовий р. Птичь (рис. 1, Bi 5) и р. Березина севернее г. Бобруйск (рис. 1, Bi 8–10). По мере приближения к р. Птичь особенно быстро снижается частота соединений gr и mp, до 0.1–0.2 (рис. 5, Bi 3, Bi 4) и во многих исследованных популяциях эти метацентрики исчезают. Наиболее стабильной остается частота метацентриков hn и ik (рис. 5). В большинстве популяций с метацентриками расы Białowieża сохраняется акроцентрический кариотип с частотой близкой к 0.2. Отмечается избыток гетерозигот h/n и i/k, по сравнению с ожидаемым при случайном скрещивании (табл. 1, Bi 4–10).
Рис. 5. Частота метацентриков расы Białowieża в выборках.
Популяции с Rb-соединениями расы западная двина (Wd)
На значительной части ареала этой расы фиксированы пять метацентриков (gm, hk, ip, no, qr) (Булатова и др., 2002; Орлов и др., 2013), в том числе восточнее Оршанской возвышенности (рис. 1, Wd 1). Метацентрики расы Западная Двина прослеживаются на юго-запад до р. Березина (рис. 1, треугольники). В полиморфных популяциях Оршанской возвышенности (рис. 1, Wd 2, Wd 3) сохраняются все пять метацентриков, а в юго-западном направлении к р. Березина их частота снижается. В полиморфных популяциях бас. р. Бобр (левый приток р. Березина) (рис. 1, 6, Wd 3–5) первым исчезает из популяций метацентрик ip. Метацентрики no и qr также исчезают из некоторых популяций (рис. 1, 6, Wd 8, рис. 2б). Наиболее стабильной частотой отличаются метацентрики hk и gm, фиксированные в некоторых полиморфных популяциях. Популяции с метацентриками расы Западная Двина изучены только до р. Березина. В популяциях на р. Березина с частотой, близкой к 0.5, сохраняется только метацентрик hk (рис. 1, 6, Wd 9, Wd 10).
Рис. 6. Частота метацентриков расы Западная Двина в выборках.
ОБСУЖДЕНИЕ
Изменение частоты метацентриков хромосомных рас Нерусса, Киев, Białowieża и Западная Двина в различных популяциях на едином ареале обыкновенной бурозубки мы объясняем распространением Rb-соединений, характерных для этих рас, в ареале популяций с 10 парами акроцентрических хромосом. Полиморфные популяции Беларуси – не исключительный феномен. Сходные полиморфные популяции изучались на огромной территории от р. Рейн до р. Висла (Brünner et al., 2002), во всей северной половине Скандинавии (Fredga, 2007). В них также прослеживалось распространение метацентриков некоторых хромосомных рас. И относительно происхождения таких полиморфных популяций их выводы полностью совпадают с нашими – полиморфные популяции возникают в результате распространения Rb-соединений рас с метацентрическими хромосомами в популяциях с акроцентрическими хромосомами.
Хромосомные расы с диагностическими метацентриками могли расселяться в бас. р. Днепр из рефугиумов ледниковья. Могло происходить и встречное расселение популяций с акроцентрическим кариотипом. На рефугиальное распространение обыкновенной бурозубки в период максимальной стадии последнего оледенения (24–17 тыс.л.н.) указывает редкая встречаемость костных остатков этого вида на огромной территории Европы от Англии до Урала (Маркова, Пузаченко, 2008). Ледниковый щит не продвинулся южнее Белорусского Поозерья в бас. р. Западная Двина, самой северной окраины Беларуси. Судя по основным эдификаторам экосистем Беларуси в позднем плейстоцене – крупным травоядным млекопитающим мамонтовой фауны – лесотундролуговые экосистемы Беларуси отличались высокой продуктивностью (Еловичева, 1993) и были благоприятными для такого эвритопного вида как обыкновенная бурозубка. Поэтому на территории Беларуси мог существовать рефугиум обыкновенной бурозубки с акроцентрическим кариотипом.
Расселение хромосомных рас с диагностическими метацентриками из ледниковых рефугиумов Восточной Европы и Урала привело к возникновению узких гибридных зон между ними (Черепанова и др., 2018; Orlov et al., 2007). Напротив, расселение в бас. р. Днепр четырех хромосомных рас с 3–5 диагностическими метацентриками и гибридизация с местными акроцентрическими популяциями привели к формированию обширных полиморфных популяций, в которых отсутствуют выраженные гибридные зоны (Borisov et al., 2017; Kryshchuk et al., 2021).
Современные полиморфные популяции обыкновенной бурозубки, вероятнее всего, начали формироваться с позднеледниковья (17 тыс.л.н.), когда южная граница ледникового щита отступила к Валдайской возвышенности (Орлов и др., 2007; Orlov et al., 2007). Процессы замены акроцентрических хромосом метацентрическими значительно дальше продвинулись в полиморфных популяциях с метацентриками рас Западная Двина и Нерусса, по сравнению с полиморфными популяциями рас Киев и Białowieża. Только в популяциях последних сохранились бурозубки с акроцентрическим кариотипом. Следовательно, можно предположить, что первыми в бас. р. Днепр начали расселяться хромосомные расы с востока, раса Нерусса, и северо-востока, раса Западная Двина. Позднее началось расселение расы Киев с юга и расы Białowieża с запада, из лесного рефугиума в бас. р. Висла.
В изменениях частоты метацентриков в полиморфных популяциях прослеживаются две тенденции.
1) Частота большинства метацентриков в исследованных полиморфных популяциях уменьшается по мере удаления от ареала популяций с фиксированными метацентриками и не превышает 0.5, либо метацентрики исчезают из популяций. Постепенное уменьшение частоты характерно для метацентриков kr и mn расы Нерусса (рис. 3), gr и mp расы Białowieża (рис. 5), no и qr расы Западная Двина (рис. 6).
Некоторые метацентрики исчезают из популяций на относительно небольших участках ареала. Так, на небольшом участке ареала обыкновенной бурозубки, около 50 км, между г. Новозыбков и г. Добруш из популяций исчезают метацентрики go и pq расы Нерусса (риc. 1, Ne 2, Ne 3). Метацентрик gm расы Киев исчезает на левобережье сравнительно небольшой в настоящее время р. Припять, которая в позднем плейстоцене представляла существенную водную преграду. Метацентрик gm расы Западная Двина отмечается с частотой, превышающей 0.5, в полиморфных популяциях по левобережью р. Березина (рис. 6, Wd 3–8) и исчезает на правобережье (рис. 6, Wd 9–10).
Подобные резкие изменения частоты метацентриков могут быть связаны со случайными процессами дрейфа генов в расселяющихся популяциях, возможно даже не в современных, а в плейстоценовых экосистемах. В настоящее время таких малых изолированных популяций нет. Но они могли возникать в раннем голоцене, когда из-за таяния ледников не только в два раза увеличилась акватория Балтийского моря, но и возросла заболоченность и полноводность внутренних водоемов (рек, озер) в Беларуси, создававших препятствия на пути расселения бурозубок. Но и такое объяснение быстрого исчезновения из популяций некоторых метацентриков нас не удовлетворяет. Исчезнувшие в одних популяциях мутации, Rb-соединения, могли бы заново распространяться на сплошном ареале вида. Как видно, цитогенетика обыкновенной бурозубки пока не дает ответа на многие вопросы.
2) Напротив, частота некоторых метацентриков (6 из 17) в полиморфных популяциях превышает 0.5. Так, частота метацентриков hi в расе Киев (рис. 4), hn и ik в расе Białowieża (рис. 5), hk и gm в расе Западная Двина (рис. 6) стабильна в большинстве выборок и часто поднимается выше 0.5. Отмечен удивительный феномен, частота метацентрика hi расы Нерусса во всех исследованных полиморфных популяциях этой расы остается фиксированной (рис. 3). Это показано не только в наших работах, но и в других исследованиях (Bulatova et al., 2000; Sheftel, Krysanov, 2002).
Как исчезновение из популяций метацентриков, так и снижение их частоты по мере удаления от ареалов с фиксированными метацентриками можно объяснить несколькими факторами. Возможна повышенная приспособленность генотипа бурозубок местных популяций с акроцентрическим кариотипом, по сравнению с генотипом вселяющихся бурозубок, замедляющая замену акроцентрических хромосом на метацентрические (распространение Rb-соединений) по крайней мере на начальных этапах расселения бурозубок метацентрических рас.
На повышенную приспособленность местных популяций указывает повышенная частота акроцентрического кариотипа, по сравнению с ожидаемой по Харди–Вайнбергу, в популяциях с метацентриками рас Białowieża и Киев. Найденная частота акроцентрического кариотипа в полиморфных популяциях с метацентриками расы Białowieża (g/r, h/n, i/k, m/p) оказалась более чем на порядок выше ожидаемой (0.192/ 0.016), а в популяциях с двумя метацентриками (h/n, i/k) – в 3.5 раза выше (0.22/0.062) (Kryshchuk et al., 2021). В популяциях с метацентриками расы Киев найденная частота акроцентрического кариотипа достоверно выше ожидаемой как в популяциях с тремя метацентриками gm, hi, ko (0.038 против 0.016), так и с двумя hi, ko (0.190 против 0.062) (Kryshchuk et al., 2021).
Мы показали, что в тех популяциях, где найденная частота акроцентрического кариотипа превышает ожидаемую, отмечается и достоверное превышение найденной частоты гетерозигот над ожидаемой (табл. 1, Ki 1, Ki 4–6; Bi 4–8). Вероятно, оба этих показателя между собой связаны.
Сложнее объяснить повышенную частоту, выше 0.5, некоторых метацентриков, а тем более фиксированность метацентрика hi расы Нерусса в полиморфных популяциях (рис. 3). Какие-либо генные особенности таких метацентриков могут повышать приспособленность и частоту генотипов (зиготический отбор), но в этом случае должна повышаться частота и других метацентриков. Поэтому вероятнее предположить, что повышение частоты в популяциях только этих метацентриков может быть следствием гаметического отбора, повышения частоты гамет в мейозе самцов или самок. Один из видов гаметического отбора, мейотический драйв, показан у обыкновенной бурозубки (см. выше), но остается неясным, все или только некоторые хромосомы обладают преимущественной передачей в гаметы в мейозе гетерозигот самцов или самок.
Только гаметическим отбором можно объяснить фиксацию метацентрика hi расы Нерусса. Этот пример особенно важен, поскольку показывает, что фиксация Rb-соединений на ареале обыкновенной бурозубки может быть следствием не только дрейфа генов в малых популяциях, но и гаметического отбора.
Различия частоты метацентрика hi в популяциях рас Нерусса и Киев могут быть следствием более позднего расселения на север популяций расы Киев, изолированных водными преградами Белорусского Полесья и в позднем плейстоцене. Поскольку высокая частота Rb-соединения hi сохраняется во всех исследованных выборках с метацентриками расы Киев, то в последующей эволюции может асимптотически приближаться к фиксированной при поддержке гаметического отбора, как и Rb-соединения hi расы Нерусса.
Следует отметить, что наиболее успешно распространяются в полиморфных популяциях Беларуси Rb-соединения с самыми крупными из 10 пар акроцентриками (g, h, i). В то же время известно, что Rb-соединения с самыми крупными акроцентриками g и h наиболее широко распространены по ареалу обыкновенной бурозубки (Bulatova et al., 2019; Bulatova, 2020). Метацентрики стабильной части кариотипа обыкновенной бурозубки возникли также в результате Rb-соединений самых крупных акроцентрических хромосом (мелкий метацентрик tu представляет исключение и мог возникнуть в результате другой перестройки). То, что в соединениях акроцентриков преимуществом обладают наиболее крупные из них, цитогенетики заметили еще в 1950-х гг. Первоначально эту особенность объясняли тем, что у гетерозигот по робертсоновским соединениям мелких хромосом интерференция сильнее нарушает сбалансированность гамет, чем у гетерозигот с более крупными хромосомами (White, 1957).
Интерференцией можно объяснить только более частое возникновение в эволюции популяций Rb-соединений между крупными акроцентриками, по сравнению с более мелкими. В то же время не случайное повышение в популяциях частоты отдельных Rb-соединений и их фиксации можно объяснить только гаметическим отбором.
ЗАКЛЮЧЕНИЕ
Рассчитаны найденные и ожидаемые частоты метацентриков в полиморфных популяциях обыкновенной бурозубки бас. р. Днепр возникших в процессах гибридизации местных популяций с акроцентрическим кариотипом и четырех хромосомных рас (Нерусса, Киев, Białowieża и Западная Двина) с 3–5 диагностическими метацентриками в каждой.
Низкую частоту (менее 0.5) большинства метацентриков четырех хромосомных рас и исчезновение из популяций некоторых из них можно объяснить повышенной приспособленностью акроцентрического кариотипа и отсутствием мейотического драйва. Напротив, сохранение высокой частоты (более 0.5) метацентриков gm, hk (расы Западная Двина), hi (расы Киев), hn, ik (расы Białowieża), а тем более фиксированности метацентрика hi (расы Нерусса) в полиморфных популяциях можно объяснить мейотическим драйвом.
Фиксация Rb-соединений на ареале обыкновенной бурозубки может быть следствием не только дрейфа генов, но и мейотического драйва. Вероятнее всего, мейотический драйв способен поддерживать частоту Rb-соединений c наиболее крупными акроцентриками g, h и i, что способствует широкому распространению по ареалу обыкновенной бурозубки таких соединений.
Благодарности
Авторы выражают признательность Е.С. Гайдученко, в.н.с. Научно-практического центра по биоресурсам Национальной академии наук Беларуси (Минск), за помощь в сборе материалов.
Финансирование
Никаких дополнительных грантов на проведение или руководство данным конкретным исследованием получено не было.
Соблюдение этических стандартов
Исследование на животных было одобрено Комитетом по содержанию и использованию животных Института проблем экологии и эволюции им. А.Н. Северцова РАН. В соответствии с протоколом Комитета по содержанию и использованию животных ИПЭЭ РАН бурозубки были усыплены пентобарбиталом.
Конфликт интересов
Конфликт интересов в финансовой или какой-либо иной сфере отсутствует.
Об авторах
В. Н. Орлов
Институт проблем экологии и эволюции им. А.Н. Северцова РАН
Email: ikryshchuk@yandex.by
Россия, Москва
И. А. Крищук
Научно-практический центр, Национальная академия наук Беларуси по биоресурсам
Автор, ответственный за переписку.
Email: ikryshchuk@yandex.by
Белоруссия, Минск
Е. В. Черепанова
Институт проблем экологии и эволюции им. А.Н. Северцова РАН
Email: ikryshchuk@yandex.by
Россия, Москва
Ю. М. Борисов
Институт проблем экологии и эволюции им. А.Н. Северцова РАН
Email: ikryshchuk@yandex.by
Россия, Москва
Список литературы
- Булатова Н.Ш., Наджафова Р.С., Крапивко Т.П. Внутривидовые филогенетические связи у Sorex araneus L.: южно-балтийская подгруппа хромосомных рас // Генетика. 2002. Т. 38 (1). С. 79–85.
- Еловичева Я.К. Палинология позднеледниковья и голоцена Белоруссии. Минск: Навука i тэхнiка, 1993. 94 с.
- Ли Ч. Введение в популяционную генетику. М.: Мир, 1978. 555 с.
- Маркова А.К., Пузаченко А.Ю. Комплексы млекопитающих максимальной стадии последнего оледенения (Last Glacial Maximum – LGM) (≤24 – ≥17 тыс.л.н.) // Эволюция экосистем Европы при переходе от плейстоцена к голоцену (24–8 тыс.л.н.) / Ред. А.К. Маркова, Т. ван Кольфсхотен. М.: КМК, 2008. С. 91–116.
- Орлов В.Н., Борисов Ю.М. Филогенетические связи популяций обыкновенной бурозубки (Sorex araneus, Insectivora) Белоруссии // Зоол. журн. 2009. Т. 88 (12). С. 1–9.
- Орлов В.Н., Козловский А.И., Балакирев А.Е., Борисов Ю.М. Эндемизм хромосомных рас обыкновенной бурозубки Sorex araneus L. и возможность сохранения рефугиумов в области покровного оледенения Поздневалдайской эпохи // ДАН. 2007. Т. 416 (6). С. 1–4.
- Орлов В.Н., Борисов Ю.М., Черепанова Е.В., Милишников А.Н. Ассортативное скрещивание в гибридных зонах хромосомной расы Западная Двина обыкновенной бурозубки Sorex araneus (Mammalia) // Докл. АН. 2013. Т. 451 (1). С. 110–113. [Orlov V.N., Borisov Yu.M., Cherepanova E.V., Milishnikov A.N. Assortative mating in the hybrid zones of the common shrew (Sorex araneus, Mammalia) chromosome race West Dvina // Dokl. Biol. Sci. 2013. V. 451 (1). P. 217–220.]
- Черепанова Е.В., Кривоногов Д.М., Щегольков А.В. и др. Формирование зон контакта хромосомных рас обыкновенной бурозубки (Sorex araneus, Soricomorpha) в бассейне Волги // Зоол. журн. 2018. Т. 97 (4). С. 723–734.
- Banaszek A., Taylor J.R.E., Ochocińska D., Chętnicki W. Robertsonian polymorphism in the common shrew (Sorex araneus L.) and selective advantage of heterozygotes indicated by their higher maximum metabolic rates // Heredity. 2009. V. 102. P. 155–162.
- Borisov Yu.M., Kryshchuk I.A., Cherepanova E.V. et al. Chromosomal polymorphism of populations of the common shrew, Sorex araneus L., in Belarus // Acta Theriol. 2014. V. 59 (2). P. 243–249.
- Borisov Yu.M., Gaiduchenko H.S., Cherepanova E.V. et al. The clinal variation of metacentric frequency in the populations of the common shrew, Sorex araneus L., in the Dnieper and Pripyat interfluve // Mammal Res. 2016. V. 61 (2). P. 269–277.
- Borisov Y.M., Kryshchuk I.A., Gaiduchenko H.S. et al. Karyotypic differentiation of populations of the common shrew Sorex araneus L. (Mammalia) in Belarus // Comp. Cytogenet. 2017. V. 11 (2). P. 359–373.
- Borodin P.M., Fedyk S., Chętnicki W. et al. Meiosis and fertility associated with chromosomal heterozygosity // Shrews, chromosomes and speciation (Cambridge studies in morphology and molecules: new paradigms in evolutionary biology) / Eds J. Searle, P. Polly, J. Zima. Ch. 7. Cambridge: Camb. Univ. Press, 2019. Р. 218–270.
- Brünner H., Turni H., Kapischke H.-J. et al. New Sorex araneus karyotypes from Germany and the postglacial recolonization of central Europe // Acta Theriol. 2002. V. 47 (3). P. 277–293.
- Bulatova N. Notable homologous variation in chromosomal races of the common shrew // Comp. Cytogenet. 2020. V. 14 (3). P. 313–318.
- Bulatova N., Searle J.B., Bystrakova N. et al. The diversity of chromosome races in Sorex araneus from European Russia // Acta Theriol. 2000. V. 45 (Suppl. 1). P. 33–46.
- Bulatova N., Biltueva L.S., Pavlova S.V. et al. Chromosomal differentiation in the common shrew and related species // Shrews, chromosomes and speciation (Cambridge studies in morphology and molecules: new paradigms in evolutionary biology) / Eds J. Searle, P. Polly, J. Zima. Ch. 5. Cambridge: Camb. Univ. Press, 2019. Р. 272–312.
- Fedyk S., Chętnicki W. Preferential segregation of metacentric chromosomes in simple Robertsonian heterozygotes of Sorex araneus // Heredity. 2007. V. 99. P. 545–552.
- Fredga K. Reconstruction of the postglacial colonization of Sorex araneus into northern Scandinavia based on karyotype studies, and the subdivision of the Abisko race into three // Russ. J. Theriol. 2007. V. 6. P. 85–96.
- Hausser J., Fedyk S., Fredga K. et al. Definition and nomenclature of chromosome races of Sorex araneus // Folia Zool. 1994. V. 43 (Suppl. 1). P. 1–9.
- Kryshchuk I.A., Orlov V.N., Cherepanova E.V., Borisov Yu.M. Unusual chromosomal polymorphism of the common shrew, Sorex araneus L., in southern Belarus // Comp. Cytogenet. 2021. V. 15 (2). P. 159–169.
- Mishta A.V., Searle J.B., Wójcik J.M. Karyotypic variation of the common shrew Sorex araneus in Belarus, Estonia, Latvia, Lithuania and Ukraine // Acta Theriol. 2000. V. 45 (Suppl. 1). P. 47–58.
- Orlov V.N., Kozlovsky A.I., Okulova N.M., Balakirev A.E. Postglacial recolonisation of European Russia by the common shrew Sorex araneus // Russ. J. Theriol. 2007. V. 6 (2). P. 97–104.
- Searle J.B. Preferential transmission in wild common shrews (Sorex araneus) heterozygous for Robertsonian rearrangements // Genetic. Res. 1986. V. 47. P. 147–148.
- Searle J.B. Chromosomal hybrid zones in eutherian mammals // Hybrid zones and the evolutionary process / Ed. R.G. Harrison. N.Y.: Oxford Univ. Press, 1993. P. 309–353.
- Sheftel B.I., Krysanov E.Y. Chromosome polymorphism of the Neroosa race (Sorex araneus) in the territory with radioactive pollution after the Chernobyl accident // 6th Meet. of the International Sorex araneus Cytogenetics Committee (ISACC) (Paris, September 3–7, 2002) / Ed. V. Volobuev. Paris, 2002. P. 29–30.
- White M.J.D. Some general problems of chromosomal evolution and speciation in animals // Surv. Biol. Prog. 1957. V. 3. P. 109–147.
- Wójcik J.M., Wójcik A.M., Zalewska H. Chromosome and allozyme variation of the common shrew, Sorex araneus, in different habitats // Evolution in the Sorex araneus Group: cytogenetic and molecular aspects / Proc. ISAACC’s 5th intern. meet. / Eds K. Fredga, J.B. Searle. Gillingham: Hereditas, 1996. P. 183–189.
- Wyttenbach A., Borodin P., Hausser J. Meiotic drive favors Robertsonian metacentric chromosomes in the common shrew (Sorex araneus, Insectivora, Mammalia) // Cytogenet. Cell Genet. 1998. V. 83. P. 199–206.
Дополнительные файлы








