Особенности распределения ГАМК и α1-субъединицы ГАМКА-рецептора в полях СА1 и СА3 гиппокампа у новорожденных крыс после асфиксии в неонатальный период
- Авторы: Хожай Л.И.1
-
Учреждения:
- Институт физиологии им. И.П. Павлова РАН
- Выпуск: Том 66, № 5-6 (2024)
- Страницы: 491-502
- Раздел: Статьи
- URL: https://bakhtiniada.ru/0041-3771/article/view/282715
- DOI: https://doi.org/10.31857/S0041377124050091
- EDN: https://elibrary.ru/DUEIYY
- ID: 282715
Цитировать
Полный текст
Аннотация
Проведено исследование динамики изменения численности популяции ГАМКергических нейронов и распределения субъединицы α1, входящей в состав ГАМКA-рецептора (ГАМКAα1) в полях СА1 и СА3 гиппокампа во время неонатального периода в норме и после воздействия перинатальной гипоксии. В работе использована модель недоношенной беременности человека. Воздействие гипоксии осуществляли на 2-е сутки после рождения, в специальной камере с содержанием кислорода в дыхательной смеси 7.8%. Для выявления ГАМК и субъединицы α1 ГАМКA-рецептора применяли иммуногистохимические методы исследования. Изучение гиппокампа проводили на 5 и 10 сутки. Показано, что у животных в контроле в течение неонатального периода в полях СА1 и СА3 происходит постепенное увеличение численности популяции ГАМКергических нейронов, повышение содержания самой ГАМК и субъединицы α1 ГАМКА рецептора. Асфиксия в перинатальный период приводит к сокращению числа ГАМКергических нейронов в обоих полях СА1 и СА3, снижению содержания самой ГАМК, субъединицы α1 ГАМКА-рецептора и задержке развития нейропиля. Таким образом у животных, переживших асфиксию, к концу неонатального периода в исследованных отделах гиппокампа уже выражено изменение организации ГАМКергической системы, которое может приводить к дисфункции тормозной системы уже на самых ранних этапах развития.
Ключевые слова
Полный текст
У человека и млекопитающих ГАМК является основным тормозным нейротрансмиттером, модулирующим процессы торможения в мозге (Ngo, Vo, 2019). Считают, что во время раннего развития активация и функции этого тормозного нейромедиатора и тормозных интернейронов имеют решающее значение при формировании нейральных цепей гиппокампа (Ben-Ari et al., 1989). В поздний пренатальный и неонатальный периоды происходит ряд сложных последовательных процессов, которые играют важную роль в созревании отделов ЦНС и установлении впоследствии баланса возбуждения/торможения. В настоящее время получены многочисленные доказательства того, что в этот период ГАМК оказывает возбуждающее действие на незрелые нейроны. В результате происходит генерация мощных токов, названных гигантскими деполяризующими потенциалами, которые характеризуются повторяющимися всплесками, вызывая синхронные электрические колебания нейральных сетей (Ben-Ari et al., 1989, 1994; Khalilov et al., 2015). Считают, что такие паттерны колебательной активности нейральных сетей в период раннего развития являются важным фактором для осуществления процессов пролиферации, миграции, созревания нейронов и синаптогенеза (Ben-Ari et al., 2006; Khalilov et al., 2015). Установлено, что у новорожденных животных в полях СА1 и СА3 гиппокампа ГАМК вызывает сильные деполяризующие эффекты в незрелых пирамидных нейронах (Janigro, Schwartzkroin, 1988; Ben-Ari et al., 1989; Cherubini et al., 1991; Khalilov et al., 2015). Показано, что эти мощные деполяризующие потенциалы опосредованы активацией в основном ГАМКА-рецептора, содержащего субъединицу α1 и являющегося основным при быстрой синаптической нейропередаче во взрослом мозге (Farrant, Nusser, 2005; Mohler, 2006).
Обнаружено, что в период новорожденности происходит тоническое высвобождение ГАМК, при этом уникальность механизмов ее высвобождения заключается в том, что они не зависят от экспрессии и присутствия транспортных белков и факторов везикулярного высвобождения медиатора. Полагают, что в пренатальный и ранний неонатальный периоды имеет место паракринный механизм высвобождения и действия ГАМК, при котором медиатор проникает в молодые незрелые нейроны, не имеющие синапсов (Demarque et al., 2002).
Наблюдения показали, что фармакологическая активация или блокада ГАМКА-рецепторов в период раннего развития вызывает структурные нарушения в отделах мозга и может быть причиной изменения поведенческих и когнитивных функций во взрослом возрасте (Rudolph, Möhler, 2006; Naderipoor et al., 2021). Более того, было выявлено, что одной из причин развития целого ряда нейропсихических заболеваний является дефицит субъединицы α1 ГАМКА-рецептора в полях гиппокампа (Pirker et al., 2003; Laurén et al., 2003). При этом мало известно о динамике изменения уровня ГАМК в неонатальный период в условиях острой гипоксии.
Гипоксия/ишемия в неонатальный период является ведущей причиной высокой смертности и инвалидизации, особенно это касается недоношенных детей (Odd et al., 2009; Douglas-Escobar, Weiss, 2015; Back, 2017), испытывающих, как правило, острую гипоксию во время родов. Поля пирамидных нейронов СА1 и СА3 считаются основными структурами гиппокампа, нарушение организации которых в ранний неонатальный период приводит к развитию у детей разных форм эпилепсии. Проведенные клинические исследования свидетельствуют о том, что перинатальная асфиксия может приводить к снижению способности к обучению, нарушению памяти в детском и подростковом возрасте, эпилептическим припадкам, которые могут сохраняться во взрослом возрасте и влиять на качество жизни (Odd et al., 2009; Douglas-Escobar, Weiss, 2015). Развитие таких неврологических патологий, в значительной степени, связано с нарушениями структурной организации отделов гиппокампа на ранних этапах развития. Существующие данные, в свою очередь, свидетельствуют о том, что нарушения функции тормозной ГАМКергической системы вызывают изменение поведенческих реакций (Cullinan et al., 2008; Crowley, Girdler, 2014) , особенно, когнитивных и памяти, то есть функций, зависящих от состояния гиппокампальной формации, в частности, полей СА1 и СА3 (Poo, 2001; Tyler et al., 2002; Leal et al., 2014; Majd et al., 2018; Naderipoor et al., 2021). В неонатальный период в гиппокампе продолжаются процессы пролиферации и миграции нейронов (Altman, Bayer, 1990), в зависимости от интенсивности активации ГАМКА-рецепторов происходят сложные процессы изменения концентрации и транспорта ионов Cl–, Na+, K+, Са2+ и, наконец, осуществляется смена функции ГАМК с возбуждающей на тормозную (Demarque et al., 2002; Ben-Ari, 2006). Все это свидетельствует о том, что неонатальный период является критическим при формировании и становлении тормозной ГАМКергической системы.
Несмотря на значимость роли ГАМК и ГАМКАα1-рецептора в формировании и функционировании отделов гиппокампа в этот ранний период развития, динамика распределения ГАМК и ГАМКАα1-рецептора в структурах гиппокампа у новорожденных детей, как в норме, так и после воздействия повреждающих факторов, изучена недостаточно. В настоящее время клиническая статистикa свидетельствует о ежегодном увеличении числа случаев перинатальной асфиксии у новорожденных во время родов и это, несомненно, определяет необходимость детального исследования ее последствий. В связи с этим задачей работы было (на модели общей гипоксии при недоношенной беременности человека) исследовать влияние острой гипоксии на распределение ГАМК и ГАМКА-рецептора, включающего субъединицу α1, в полях СА1 и СА3 пирамидного слоя гиппокампа в неонатальный период у крыс.
МАТЕРИАЛ И МЕТОДИКА
Животные. Работа выполнена на крысах линии Wistar, полученных из ЦКП «Биоколлекция ИФ РАН» (Санкт-Петербург). Беременные самки крыс содержались на базе вивария ИФ РАН, при температуре 22—24 °С, цикле освещения 12 ч день/ночь и свободном доступе к воде и еде. В работе была использована модель недоношенной беременности человека, включающая общую гипоксию новорожденных крыс. Считается, что развитие мозга крыс на 1–2 постнатальные сутки соответствует степени развития мозга преждевременно родившихся детей у человека (примерно 29–30 неделя беременности) (Otellin et al., 2021). Модельные условия позволяют получить повреждения мозга, которые наблюдаются у недоношенных новорожденных детей при преждевременных родах. Как правило, у таких детей респираторная система к моменту рождения не достигает достаточной степени зрелости, что приводит к респираторной дисфункции и общей гипоксии новорожденного. Модель, с одной стороны, исключает смертность животных, а с другой – воспроизводит широкий спектр нарушений развития разных отделов головного мозга, возникающих при асфиксии у недоношенных детей человека (Otellin et al., 2021).
Исследование проводили на новорожденных крысах в неонатальный период развития (до 10 постнатальных суток). Воздействие гипоксии осуществляли на 2-е неонатальные сутки. Новорожденных крыс помещали на 1 ч в камеру с проточной газовой смесью, содержащей 7.8% кислорода, 0.4% углекислого газа и 91.8% азота, при температуре 21.5—23.0 °С и нормальном давлении (760 мм рт. ст.). Исследование СА1 и СА3 полей гиппокампа проводили в неонатальный период (период новорожденности) на 5 (П5) и 10 (П10) постнатальные сутки. Использовали 2 группы животных: 1) экспериментальную группу, включающую крыс на П5 и П10 (n = 6 в каждом случае), подвергавшихся воздействию гипоксии, и 2) контрольную группу, включающую интактных крыс того же возраста на П5 и П10 (n = 6 в каждом случае).
Иммуногистохимическое исследование. У новорожденных крыс мозг извлекали и обрабатывали по общепринятой методике: фиксировали в цинк-этанолформальдегиде на фосфатно-солевом буфере (рН 7.4), обезвоживали, заливали в парафин и готовили фронтальные серийные срезы гиппокампа толщиной 5–6 мкм на уровне брегмы – 1.40–1.60 мм на П5 и на уровне брегмы – 1.80–2.00 мм на П10 (по стереотаксическим атласам координатных таблиц мозга крыс в возрасте П5 и П10) (Khazipov et al., 2015). Срезы помещали на предметные стекла Super frost plus gold (Menzel-Glasser, Германия). Имуногистохимическую реакцию на выявление ГАМК проводили с использованием первичных кроличьих поликлональных антител (anti-GABA antibody, аb8891; Abcam, Великобритания) в разведении 1:1000. После процедуры теплового демаскирования антигенов в цитратном буфере (рН 6.1) (Dako, Дания) в течение 25 мин, срезы инкубировали с первичными антителами при 4 °С в течение 24 ч. В качестве вторичных антител использовали Goat anti-rabbit IgG H&L(HRP), (ab 6721; Abcam, Великобритания). Срезы помещали во вторичные антитела на 40 мин при комнатной температуре. Для визуализации продукта реакции использовали хромоген DAB substrate kit, ab64238 (Abcam, Великобритания). Специфичность иммунной реакции проверяли с помощью негативного контроля (без первичных антител).
Иммуногистохимическое выявление субъединицы α1 ГАМКА-рецептора осуществляли при помощи первичных кроличьих поликлональных антител (anti-GABAAα1 receptor antibody, ab102704; Abcam, Великобритания) в разведении 1:300. После процедуры теплового демаскирования антигенов в цитратном буфере (рН 6.1) (Dako, Дания) в течение 20 мин, срезы инкубировали с первичными антителами при 4 °С в течение 26 ч. В качестве вторичных реагентов для антител к GABAAα1 использовали реактивы из набора EnVision + System-HRP Labelled Polymer Anti-Rabbit (DakoCytomation, США). Инкубацию срезов во вторичных антителах осуществляли в течение 40 мин при комнатной температуре. Для визуализации продукта реакции использовали хромоген DAB substrate kit, ab64238 (Abcam, Великобритания). Специфичность иммунной реакции проверяли с помощью негативного контроля (без первичных антител).
После проведения иммуногистохимических реакций часть срезов докрашивали гематоксилином Джилла и заключали в синтетическую заливочную среду Permaunt (Thermo Scientific, США).
Статистическая обработка результатов. При проведении иммуногистохимических реакций все процедуры были стандартизированы и осуществлялись одновременно для гистологических срезов мозга, полученных от контрольных и подопытных животных обеих возрастных групп. Количественный анализ данных проводили на цифровых изображениях фронтальных серийных срезов полей СА1 и СА3, полученных при помощи светового микроскопа Leica DME со встроенной цифровой камерой Leica EC3 (Leica, Германия) в формате jpg. Цифровые изображения срезов мозга контрольных и экспериментальных животных были получены при одинаковых параметрах освещения, насыщенности цвета и контраста, как при выявлении ГАМК, так и α1-субъединицы ГАМКА-рецептора. Количество иммуноположительных клеток оценивали на стандартной площади 0.1 мм2 (условной единице площади) при увеличении объектива 100×. Подсчет иммуноположительных клеток осуществляли на изображениях, полученных с 12–15 гистологических срезов мозга, взятого от 6 животных каждой исследуемой возрастной группы при помощи пакетов компьютерных программ ImageJ (NIH, США), Origin 5.0.
Следует отметить, что при подсчетах иммуноположительных клеток учитывались только нейроны, так как в период развития активный рост астроцитарной глии начинается в конце первой и середине второй недели (П7—10), в это время астроглия представляет собой незрелые клетки. Созревание астроцитов начинается в конце второй (П12—14) и в течение третьей недели (П21), совпадая с процессами активного синаптогенеза (Farhy-Tselnicker, Allen, 2018). В это время астроциты синтезируют ряд белков, связанных с транспортом и высвобождением пресинаптических пузырьков, с формированием постсинаптического уплотнения, секретируют синапс-регулирующие белки и рецепторы к нейротрансмиттерам. При этом образование тормозных синапсов происходит позже возбуждающих, учитывая, что на ранних сроках неонатального периода происходит смена возбуждающей функции ГАМК на тормозную (Farhy-Tselnicker, Allen, 2018). Поэтому выявление астроцитов, экспрессирующих ГАМК или ГАМКAα1, в неонатальный период на сроках П5—10 мало вероятно, и в работе учитывались только нейроны.
Анализ оптической плотности окрашивания продукта иммунной реакции проводили при увеличении объектива микроскопа 100×. Для определения оптической плотности окрашивания продукта реакции выделяли участки окрашенной цитоплазмы нейронов, участки окрашенных проксимальных отделов отростков. Оценка оптической плотности продукта иммунного окрашивания была выполнена с помощью программного обеспечения Photo-M (Черниговский, http://t_lambda.chat.ru), интенсивность реакции (окрашивания) в изучаемых структурах оценивали в сравнении с интенсивностью фона. У каждого животного анализировали по 8—10 изображений каждого поля гиппокампа, на которых исследовали по 30—35 нейронов. Все количественные данные представлены в виде среднего значения и соответствующей стандартной ошибки среднего (M ± SEM). Результаты представлены как значения оптической плотноси окрашенного продукта иммунной реакции, выраженные в условных единицах (усл. ед.). Для сравнения полученных результатов между разными группами животных использовали t-критерий Стьюдента и oneway ANOVA (Statistica 8.0, Statsoft Inc. США), различия считали статистически достоверными при Р < 0.05.
РЕЗУЛЬТАТЫ
Количество ГАМКергических нейронов и распределение ГАМК в поле СА1 в неонатальный период в контроле и после воздействия гипоксии. У контрольных животных на П5 в поле СА1 выявляется популяция клеток, цитоплазма и основной отросток которых содержат ГАМК. Эти клетки рассеяны в слое пирамидных нейронов, как в верхних, так и нижних рядах клеток слоя. Форма их клеточных тел различается, она веретеновидная или овальная, клетки имеют несколько отростков. Апикальные дендриты уходят в слой str. radiatum. Число таких нейронов на условную единицу площади составляет 14.6 ± 0.3. Значение оптической плотности продукта иммунной реакции на ГАМК равно 0.127 ± 0.006 (табл. 1). На П10 у контрольных животных в слое пирамидных нейронов поля СА1 клетки, содержащие ГАМК, распределяются диффузно (рис. 1а). Между телами пирамидных нейронов выявляются тонкие иммуноположительные отростки. По сравнению с П5 количество иммуноположительных клеток на этом сроке развития существенно увеличивается и составляет 21.7 ± 0.2. Значение оптической плотности окрашивания продукта иммунной реакции на ГАМК повышается до 0.162 ± 0.002 (табл. 1).
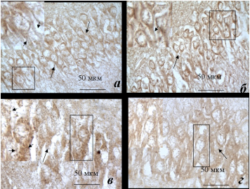
Рис. 1. Гиппокамп крысы на 10 неонатальные сутки, поля СА1 (а, б) и СА3 (в, г) в контроле (а, в) и после воздействия гипоксии (б, г). Иммуногистохимическая реакция на выявление ГАМК. Увел. 100×.
а – диффузное распределение иммуноположительных нейронов в СА1 (длинная стрелка), иммуноотрицательные нейроны (короткая стрелка, увел. фрагмент); б – сокращение числа иммуноположительных нейронов (длинная стрелка) в СА1 после воздействия гипоксии, иммуноотрицательные нейроны (короткая стрелка, увел. фрагмент); в – иммуноположительные нейроны (длинная стрелка) в поле СА3 в контроле; г – сокращение числа иммуноположительных нейронов (длинная стрелка) в СА3 после воздействия гипоксии, нейроны имеют меньший объем цитоплазмы по сравнению с контролем.
Таблица 1. Показатели оптической плотности продукта иммунной реакции при выявлении ГАМК в полях СА1 и СА3 гиппокампа крыс на 5 и 10 неонатальные сутки в контроле и после воздействия гипоксии
Поля гиппокампа | Оптическая плотность, усл. ед. | |||
Контроль | После воздействия гипоксии | |||
П5 | П10 | П5 | П10 | |
СА1 | 0.127 ± 0.006 | 0.162 ± 0.002 | 0.093 ± 0.008* | 0.113 ± 0.005* |
СА3 | 0.10 ± 0.005 | 0.157 ± 0.004 | 0.104 ± 0.007 | 0.114 ± 0.007* |
Примечание. * Различия между экспериментальной и контрольной группами достоверны при P < 0.05.
После воздействия гипоксии на П5 в поле СА1 молодые пирамидные нейроны имеют малый объем цитоплазмы. Среди них также присутствует популяция клеток, содержащих ГАМК и распределяющихся в слое диффузно. Их основные (апикальные) отростки направлены в str. radiatum. Эти клетки отличаются по размеру и форме клеточных тел. Число иммуноположительных нейронов в слое составляет 13.4 ± 0.2. Значение оптической плотности продукта иммунной реакции на ГАМК на этом сроке составляет 0.093 ± 0.008, что примерно в 1.4 раза ниже, чем в контроле (табл. 1). На П10 после воздействия гипоксии в поле СА1 также выявляются клетки иммуноположительные на ГАМК, диффузно распределяющиеся в верхних рядах пирамидных нейронов (рис. 1б), их число не изменяется по сравнению с таковым на П5 и составляет 15.2 ± 0.4. Значение оптической плотности продукта иммунной реакции на ГАМК на этом сроке составляет 0.113 ± 0.005, что примерно в 1.4 раза ниже, чем в контроле (табл. 1).
Таким образом, у контрольных животных на П5 в поле СА1 присутствует популяция нейронов, содержащих ГАМК, численность которой к концу неонатального периода существенно увеличивается (в 1.5 раза.), а значение оптической плотности продукта иммунной реакции на ГАМК постепенно возрастает (в 1.3 раза). После воздействия перинатальной гипоксии в продолжение неонатального периода увеличения числа клеток, содержащих ГАМК, не происходит. При этом значение оптической плотности продукта иммунной реакции на ГАМК снижается уже к П5, а к концу неонатального периода оно становится еще ниже (в 1.4 раза) по сравнению с контролем.
Количество ГАМКергических нейронов и распределение ГАМК в поле СА3 в неонатальный период в контроле и после воздействия гипоксии. У контрольных животных на П5 в поле СА3 в слое пирамидных нейронов также выявляются клетки, содержащие ГАМК, располагающиеся диффузно по одной клетке, или группами по 2–3. Они различаются по размерам и форме клеточного тела (присутствуют клетки крупного и среднего размера), их число составляет 13.6 ± 0.5 на условную единицу площади. Значение оптической плотности продукта иммунной реакции на ГАМК на этом сроке составляет 0.101 ± 0.005 (табл. 1). На П10 в поле СА3 численность популяции нейронов, содержащих ГАМК, достоверно не отличается от таковой на предыдущем сроке развития – 15.01 ± 0.3. При этом значение оптической плотности окрашивания продукта иммунной реакции на ГАМК увеличивается в 1.6 раза и составляет 0.157 ± 0.004 (табл. 1).
После воздействия гипоксии на П5 в поле СА3 клеток, содержащих ГАМК, меньше, чем в контроле (9.6 ± 0.4), они диффузно рассеяны в слое пирамидных нейронов. Значение оптической плотности продукта иммунной реакции на ГАМК не изменяется и соответствует контрольному показателю (0.104 ± 0.007) (табл. 1). На П10 после воздействия гипоксии в поле СА3 число клеток, иммуноположительных на ГАМК, остается прежним, как и на П5 (8.7 ± 0.3), то есть меньше, чем в контроле (рис. 1в, г). Значение оптической плотности продукта иммунной реакции на ГАМК на этом сроке существенно ниже (в 1.4 раза) по сравнению с контрольным значением (0.114 ± 0.008) (табл. 1).
Таким образом, у контрольных животных в поле СА3, начиная с П5 и до конца неонатального периода, сохраняется постоянное число нейронов, содержащих ГАМК. Значение оптической плотности продукта иммунной реакции на ГАМК к концу неонатального периода значительно (в 1.6 раза) увеличивается. Воздействие перинатальной гипоксии приводит к сокращению числа нейронов, содержащих ГАМК, в 2 раза уже к концу неонатального периода. Значение оптической плотности продукта реакции на ГАМК к концу неонатального периода также снижается в 1.4 раза по сравнению с контролем.
Распределение субъединицы α1 ГАМКA-рецептора в поле СА1 в неонатальный период у контрольных животных и после воздействия гипоксии. У контрольных животных на П5 в поле СА1 большинство клеток, входящих в состав пирамидного слоя, иммуноположительны на α1 ГАМКA. Между нейронами выявляется тонкая сеть иммуноположительных терминальных отростков. На отростках и иногда на телах нейронов присутствуют единичные мелкие гранулы (синаптические структуры). Значение оптической плотности продукта иммунной реакции на белок α1 ГАМКA-рецептора составляет 0.175 ± 0.005 (табл. 2). На П10 в поле СА1 также подавляющее большинство клеток слоя иммуноположительны на α1 ГАМКA, их апикальные дендриты уходят в str. radiatum. Между клетками выявляется тонкая сеть терминальных отростков с малочисленными гранулами (рис. 2а, увел. фрагмент). Значение оптической плотности продукта иммунной реакции на α1 субъединицу ГАМКA-рецептора достоверно не отличается от значения на П5 (0.158 ± 0.007) (табл. 2). После воздействия гипоксии на П5 в поле СА1 большинство клеток иммуноположительны на α1 ГАМКА, однако есть мелкие единичные иммуноотрицательные клетки, которые локализуются в нижних рядах пирамидного слоя и напоминают малодифференцированные молодые нейроны. На телах пирамидных нейронов практически нет гранул (в отличие от контроля) и отсутствует сеть терминальных отростков. Значение оптической плотности продукта иммунной реакции на α1 ГАМКA в 1.2 раза ниже, чем на этом сроке в контроле (0.142 ± 0.004) (табл. 2). На П10 после воздействия гипоксии в поле СА1 подавляющее большинство нейронов иммуноположительны на α1 ГАМК (рис. 2б). В слое между нейронами отростки и гранулы единичны (рис. 2б, увел. фрагмент). Значение оптической плотности продукта иммунной реакции на белок α1 ГАМКA ниже (в 1.3 раза), чем в контроле и составляет 0.124 ± 0.006 (табл. 2).
Рис. 2. Гиппокамп крысы на 10 неонатальные сутки, поля СА1 (а, б) и СА3 (в, г) в контроле (а, в) и после воздействия гипоксии (б, г). Иммуногистохимическая реакция на выявление субъединицы α1 ГАМКА-рецептора. Увел. 100×.
а – иммуноположительные нейроны в поле СА1 (длинные стрелки); на отростках и телах нейронов гранулы, предполагаемые синаптические структуры (короткие стрелки, увел. фрагмент); б – иммуноположительные нейроны (длинные стрелки) в СА1, единичные гранулы на отростках после воздействия гипоксии (короткие стрелки, увел. фрагмент); в – иммуноположительные нейроны (длинные стрелки), отростки с гранулами (короткие стрелки, увел. фрагмент); г – иммуноположительные нейроны (длинные стрелки) располагаются близко друг к другу, объем цитоплазмы небольшой, на отростках и телах клеток гранул почти нет (увел. фрагмент).
Таблица 2. Показатели оптической плотности продукта иммунной реакции при выявлении белка субъединицы α1 ГАМКA-рецептора в полях СА1 и СА3 гиппокампа крыс на 5-е и 10-е неонатальные сутки в контроле и после воздействия гипоксии
Поля гиппокампа | Оптическая плотность, усл. ед. | |||
Контроль | После воздействия гипоксии | |||
П5 | П10 | П5 | П10 | |
СА1 | 0.175 ± 0.005 | 0.158 ± 0.007 | 0.142 ± 0.004* | 0.124 ± 0.006* |
СА3 | 0.132 ± 0.008 | 0.133 ± 0.004 | 0.097 ± 0.006* | 0.107 ± 0.005* |
Примечание. * Различия между экспериментальной и контрольной группами достоверны при р < 0.05.
Таким образом, у контрольных животных в течение неонатального периода в поле СА1 большинство клеток иммуноположительны на α1 ГАМКA. Значение оптической плотности продукта иммунной реакции на α1 ГАМКA высокое и к концу неонатального периода не изменяется. Воздействие перинатальной гипоксии вызывает задержку формирования поля СА1, которая выявляется уже на П5. Значение оптической плотности продукта иммунной реакции на α1 ГАМКA ниже, чем в контроле. К концу неонатального периода оно продолжает снижаться.
Распределение субъединицы α1 ГАМКA рецептора в нейронах поля СА3 в неонатальный период у контрольных животных и после воздействия гипоксии. У контрольных животных на П5 в поле СА3 большинство пирамидных нейронов иммуноположительны на α1 ГАМКA. Между нейронами выявляется сеть тонких отростков с варикозным расширениями и гранулами, предполагаемыми синаптическими структурами. Значение оптической плотности продукта иммунной реакции на α1 ГАМКA составляет 0.132 ± 0.008 (табл. 2). На П10 в поле СА3 большинство нейронов также иммуноположительны на α1 ГАМКA. На отростках присутствуют гранулы (рис. 2в, увел. фрагмент). В общем, морфологическая картина идентична таковой на предыдущем сроке развития (П5). Значение оптической плотности продукта иммунной реакции на α1 ГАМКA на этом сроке не изменяется и составляет 0.133 ± 0.004 (табл. 2). После воздействия гипоксии на П5 в поле СА3 нейроны располагаются близко друг к другу и имеют меньший объем цитоплазмы, которая в различных клетках имеет разную интенсивность иммуноокрашивания. Между нейронами иммуноположительные терминали единичны, на телах нейронов и отростках гранул почти нет. Значение оптической плотности продукта иммунной реакции на α1 ГАМКA составляет 0.097 ± 0.006, что ниже, чем в контроле примерно в 1.4 раза (табл. 2). На П10 после воздействия гипоксии в поле СА3 близость расположения нейронов друг к другу, редкие отростки в слое, единичные гранулы и небольшая плотность нейропиля в str. moleculare, вероятно, свидетельствуют о задержке развития поля СА3 по сравнению с контролем. Значение оптической плотности продукта иммунной реакции на α1 ГАМКA составляет 0.107 ± 0.005 (табл. 2), что ниже, чем в контроле примерно в 1.2 раза.
Таким образом, у контрольных животных в поле СА3 подавляющее большинство клеток и отростков иммуноположительны на α1 ГАМКA и значение оптической плотности продукта иммунной реакции не изменяется, оставаясь постоянным в течение неонатального периода. Воздействие перинатальной гипоксии приводит к задержке нейроногенеза и формирования нейропиля. Значение оптической плотности продукта иммунной реакции на α1 ГАМКA к концу неонатального периода существенно снижается (в 1.4 раза) по сравнению с контролем.
ОБСУЖДЕНИЕ
В работе изучали динамику изменения численности популяции ГАМКергических интернейронов, содержания ГАМК и субъединицы α1, входящей в состав ГАМКA-рецептора (ГАМКAα1) в полях СА1 и СА3 гиппокампа во время неонатального периода в норме и после воздействия перинатальной гипоксии. Результаты работы свидетельствуют о том, что у контрольных животных в неонатальный период в полях СА1 и СА3 пирамидного слоя гиппокампа статус элементов ГАМКергической системы отличается. Показано, что уже в течение первой недели после рождения как в поле СА1, так и СА3 присутствуют одинаковые по численности популяции нейронов, содержащих ГАМК. Однако к концу неонатального периода в поле СА1 число таких нейронов существенно увеличивается (в 1.5 раза), также в них возрастает содержание и самой ГАМК (в 1.3 раза). В поле СА3 к П10 достоверного увеличения числа ГАМК-содержащих нейронов отмечено не было, вероятно, цитоархитектоника в поле СА3 устанавливается к концу первой неонатальной недели. К П10 содержание самой ГАМК в ГАМК-содержащих клетках поля СА3, также как и в СА1, существенно увеличивается (в 1.6 раза). Выявленное постепенное повышение присутствия ГАМК в обоих полях пирамидного слоя в течение неонатального периода у контрольных животных, вероятно, связано с двумя процессами, происходящими одновременно в период с П5 по П14: во-первых, со сменой функции ГАМК с возбуждающей на тормозную и, во-вторых, с активацией процессов синаптогенеза (Ben-Ari et al., 1994; Ben-Ari, 2006). Вероятно, в поле СА3 цитоархитектоника пирамидного слоя и ГАМКергическая сеть формируются уже к концу первой неонатальной недели в отличие от поля СА1. Это предположение согласуется с результатами исследования, проведенного на развивающемся мозге. Установлено, что в нейроэпителии медиальной стенки переднего мозгового пузыря, где формируются пирамидные нейроны гиппокампа, первыми появляются нейроны поля СА3, а затем СА1 (это 15— 19-е эмбриональные сутки). Процесс миграции молодых пирамидных нейронов к месту их дефинитивной локализации длительный и занимает несколько суток, при этом показано, что миграция нейронов в поле СА3 заканчивается, в основном, к моменту рождения, а в поле СА1 продолжается до конца неонатального периода, т.е. формирование пирамидного слоя в поле СА1 происходит позже, чем в СА3. Дифференцировка пирамидных нейронов поля СА3 осуществляется тоже раньше, чем нейронов поля СА1 (Altman, Bayer, 1990).
Полученные данные свидетельствуют о том, что воздействие гипоксии в первые неонатальные сутки оказывает существенное повреждающее воздействие на становление ГАМКергической системы гиппокампа. Так, после воздействия гипоксии в поле СА1 достоверного увеличения количества нейронов, содержащих ГАМК, к концу неонатального периода не происходит, и оно соответствует его значению на П5 в контроле, при этом содержание самой ГАМК в нейронах существенно снижается (примерно в 1.4 раза). В поле СА3 воздействие гипоксии приводит к существенному сокращению (в 2 раза) численности популяции ГАМКергических нейронов, а содержание самой ГАМК также значительно снижается, как и в поле СА1 (примерно в 1.4 раза). С большой долей вероятности можно предположить, что существенное снижение численности популяции ГАМКергических нейронов в полях гиппокампа к концу неонатального периода вызвано воздействием гипоксии на процесс миграции.
У млекопитающих ГАМКергические интернейроны образуются пренатально, как и пирамидные нейроны, при этом пик их нейрогенеза наступает раньше, чем пик нейрогенеза пирамидных нейронов (Soriano, Cobas, 1986). Практически все ГАМКергические интернейроны гиппокампа происходят из ганглиозных возвышений базальных ганглиев вентральной части переднего мозга. Эти клетки имеют типичный вид мигрирующих незрелых нейронов с двумя короткими отростками. Установлено, что миграция интернейронов в гиппокамп происходит тангенциально через развивающуюся кору. При этом миграционный путь представляет собой достаточно большое расстояние (от базальных ганглиев до гиппокампа) и продолжается около четырех суток (Pleasure et al., 2000). Вероятно, в условиях данной работы время воздействия гипоксии совпадает с активной миграцией популяций интернейронов, при этом клеток, мигрирующих в поле СА3, повреждается больше. В свою очередь, длительность периода миграции ГАМКергических нейронов может быть серьезным фактором, обеспечивающим продолжительный период уязвимости незрелых нейронов во время развития, когда воздействие неблагоприятных факторов будет приводить к повреждению и утрате части популяции незрелых клеток, о чем и могут свидетельствовать полученные результаты.
На уязвимость развивающегося гиппокампа в неонатальный период указывают данные, полученные в ряде недавних работ, в которых было показано, что у недоношенных детей, переживших асфиксию были повреждены глубокие подкорковые структуры, снижен объем таламуса, бледного шара и гиппокампа. У детей 2-х летнего возраста при уменьшенном размере гиппокампа наблюдалось ухудшение двигательных и когнитивных показателей (Strahle et al., 2019). Считают, что повреждение гиппокампа, полученное в результате перинатальной асфиксии, сохраняется на протяжении всего развития, приводя к нарушениям памяти и снижению IQ, как у детей, так и у взрослых (Strahle et al., 2019). В работе других авторов показано, что у животных, перенесших асфиксию, имеет место утрата части нейронов и замедленный рост гиппокампа в сочетании с устойчивым производством микроглии (Galinsky et al., 2018; Davidson et al., 2021; Lear et al., 2023).
Воздействие перинатальной гипоксии вызывает активацию не только микроглии, но и гипертрофию астроцитов, которые начинают высвобождать провоспалительные цитокины, оксид азота, индуцируя воспалительную реакцию, приводящую к разрушению гематоэнцефалического барьера, гибели нейральных клеток и сокращению численности их популяций. Полагают, что эти изменения, наряду с другими, являются факторами провоцирующими эпилептогенез (Vezzani et al., 2013; Galinsky et al., 2018; Volpe et al., 2019; Ophelders et al., 2020; Davidson et al., 2021; Martino et al., 2024).
Наблюдения показали, что большинство клеток и нейропиль в полях СА1 и СА3 иммуноположительны на ГАМКАα1. Анализ распределения субъединицы α1 ГАМКА-рецептора выявил достаточно высокое ее содержание как в нейронах поля СА1, так и в СА3 уже во время первой неонатальной недели и этот уровень сохранялся до конца неонатального периода. При этом в поле СА1 содержание субъединицы α1 ГАМКА-рецептора было выше в 1.3 раза, чем в поле СА3. Эти результаты согласуются с данными, полученными ранее на новорожденных свиньях, о том, что в полях CA1 и CA3 значительное количество клеток и отростков иммуноположительны на α1 ГАМКА и обнаружена высокая экспрессия α1 субъединицы на П7 (Kalanjati et al., 2011), т.е. к концу первой и началу второй постнатальной недели.
Сейчас доказано, что процессы, происходящие в течение второй неонатальной недели: смена функции ГАМК с возбуждающей на тормозную, формирование нейропиля и активный синаптогенез, играют важную роль в развитии и становлении многих систем гиппокампа (Cherubini et al., 1991; Ben-Ari et al., 1994; Ben-Ari, 2006; Kalanjati et al., 2011; Leal et al., 2015). Осуществление каждого из них может вызывать в этот период значительное повышение содержания как самой ГАМК, так и ГАМКАα1, основного рецептора при синаптической тормозной нейропередаче. Несомненно, воздействие повреждающих факторов будет приводить к изменению протекания этих процессов и играть определяющую роль в патогенезе заболеваний.
Результаты настоящей работы показали, что у животных, переживших перинатальную асфиксию, в обоих полях СА1 и СА3 уже в течение первой неонатальной недели имеет место достоверное уменьшение содержания субъединицы α1 ГАМКА-рецептора, а к концу неонатального периода тенденция к снижению ее содержания остается и этот уровень оказывается существенно ниже, чем в контроле.
Субъединица α1 достаточно широко распространена в разных структурах мозга, при этом было показано, что дефицит α1 выявляется при некоторых нейропсихических расстройствах. Так, у пациентов с височной эпилепсией в полях СА1, СА2 и СА3 гиппокампа, наряду с изменением состава субъединиц ГАМКА-рецепторов, было обнаружено значительное снижение уровня экспрессии генов некоторых субъединиц и, в том числе, α1 ГАМКА-рецептора (Pirker et al., 2003). Мутация А1а322Asp в локусе 5q34 гена, кодирующего субъединицу α1 ГАМКА-рецептора, приводящая к снижению содержания субъединицы α1 и, в результате, к уменьшению амплитуды тока ионов хлора, была выявлена у пациентов с ювенильной миоклонической эпилепсией (Laurén et al., 2003). При эпилепсии в пирамидных нейронах полей СА1 и СА3 была выявлена различная интенсивность экспрессии разных субъединиц рецептора ГАМКА, что предполагает неодинаковый тормозной эффект на нейроны разных полей гиппокампа (Hales et al., 2006). Изменение экспрессии генов, кодирующих белки синтеза, захвата, деградации и связывания самой ГАМК, некоторых субъединиц, в том числе и α1 ГАМКА-рецептора, значительное снижение GAD в СА1, СА2 и СА3 гиппокампа было выявлено при височной эпилепсии и биполярной депрессии (Brooks-Kayal et al., 1998).
Таким образом, результаты проведенной работы показали, что у животных, перенесших асфиксию, уже в первые недели неонатального периода происходит изменение организации тормозной ГАМКергической системы. В обоих полях СА1 и СА3 сокращается число интернейронов, снижается содержание ГАМК и белка субъединицы α1 ГАМКА-рецептора, происходит задержка развития нейропиля, все это может приводить к дисфункции тормозной системы уже на самом раннем этапе онтогенеза. В заключение следует отметить, что в настоящее время не угасает интерес к изучению ГАМК и ГАМКА-рецепторов. В значительной степени это объясняется тем, что существующие средства, применяемые для купирования последствий перинатальной асфиксии у новорожденных, не обладают высокой эффективностью. Знание строения, функций и участия субъединичного состава ГАМКА-рецепторов и самой ГАМК в развитии энцефалопатий у новорожденных может способствовать разработке новых высокоэффективных препаратов, действующих на определенные рецепторные мишени.
ФИНАНСИРОВАНИЕ РАБОТЫ
Данная работа финансировалась за счет средств бюджета в рамках государственного задания (№ 1021062411653-4-3.1.8) Института физиологии им. И.П. Павлова РАН.
СОБЛЮДЕНИЕ ЭТИЧЕСКИХ СТАНДАРТОВ
Все процедуры, выполненные с участием животных, соответствовали этическим стандартам, утвержденным правовыми актами РФ, Правилам проведения работ с использованием экспериментальных животных при соблюдении требований директив Совета Европейского сообщества (86/609/ЕЕС) об использовании лабораторных животных, а также требованиям комиссии по биоэтике ИФ РАН (протокол этического комитета Института физиологии им. И.П. Павлова РАН № 10/14 от 14.10.2022 г.).
КОНФЛИКТ ИНТЕРЕСОВ
Автор сообщает об отсутствии конфликта интересов.
Об авторах
Л. И. Хожай
Институт физиологии им. И.П. Павлова РАН
Автор, ответственный за переписку.
Email: astarta0505@mail.ru
Россия, Санкт-Петербург, 199034
Список литературы
- Altman J., Bayer A. 1990. Mosaic organization of the hippocampal neuroepithelium and the multiple germinal sources of dentate granule cells. J. Comp. Neurology. V. 301. P. 325.
- Back S.A. 2017. White matter injury in the preterm infant: Pathology and mechanisms. Acta Neuropathol. V. 134. P. 331.
- Ben-Ari Y. 2006. Basic developmental rules and their implications for epilepsy in the immature brain. Epileptic Disord. V. 8. P. 91.
- Ben-Ari Y., Cherubini E., Corradetti R., Gaiarsa J.L. 1989. Giant synaptic potentials in immature rat CA3 hippocampal neurones. J. Physiol. 1989. V. 416. P. 303.
- Ben-Ari Y., Tseeb V., Raggozzino D., Khazipov R., Gaiarsa J.L. 1994. γ-Aminobutyric acid (GABA): A fast excitatory transmitter which may regulate the development of hippocampal neurones in early postnatal life. Prog. Brain Res. V. 102. P. 261.
- Brooks-Kayal A.R., Shumate M.D., Jin H., Rikhter T.Y., Coulter D.A. 1998. Selective changes in single cell GABA(A) receptor subunit expression and function in temporal lobe epilepsy. Nat. Med. V. 4. P. 1166.
- Cherubini E., Gaiarsa J.L., Ben-Ari Y. 1991. GABA: an excitatory transmitter in early postnatal life. Trends Neurosci. V. 14. P. 515.
- Crowley S.K., Girdler S.S. 2014. Neurosteroid, GABAergic and hypothalamic pituitary adrenal (HPA) axis regulation: what is the current state of knowledge in humans? Psychopharm. (Berl). V. 231. P. 3619.
- Cullinan W.E., Ziegler D.R., Herman J.P. 2008. Functional role of local GABAergic influences on the HPA axis. Brain Struct. Funct. V. 213. P. 63.
- Davidson J.O., Heui L.G., Fraser M., Wassink G., Miller S.L, Lim R., Wallace E.M., Jenkin G., Gunn A.J., Bennet L. 2021. Window of opportunity for human amnion epithelial stem cells to attenuate astrogliosis after umbilical cord occlusion in preterm fetal sheep. Stem Cells Transl. Med. V. 10. P. 427.
- Demarque M., Represa A., Becq H., Khalilov I., Ben-Ari Y., Aniksztejn L. 2002. Paracrine intercellular communication by a Ca2+- and SNARE-independent release of GABA and glutamate prior to synapse formation. Neuron. V. 36. P. 1051.
- Douglas-Escobar M., Weiss M.D. 2015. Hypoxic-ischemic encephalopathy: a review for the clinician. JAMA Pediatr. V. 169. P. 397.
- Farhy-Tselnicker I., Allen N.J. 2018. Astrocytes, neurons, synapses: a tripartite view on cortical circuit development. Neural Dev. V. 13. P. 7.
- Farrant M., Nusser Z. 2005. Variations on an inhibitory theme: Phasic and tonic activation of GABA(A) receptors. Nature Rev. Neurosci. V. 6. P. 215.
- Galinsky R., Lear C.A., Dean J.M., Wassink G., Dhillon S.K., Fraser M., Davidson J.O., Bennet L., Gunn A.J. 2018. Complex interactions between hypoxia-ischemia and inflammation in preterm brain injury. Dev. Med. Child Neurol. V. 60. P. 126 .
- Hales T.G., Deeb T.Z, Tang H., Bollan K.A., King D.P., Johnson S.J., Connolly C.N. 2006. An asymmetric contribution to gamma-aminobutyric type A receptor function of a conserved lysine within TM2-3 of alpha1, beta2, and gamma2 subunits. J. Biol. Chem. V. 281. P. 17034.
- Janigro D., Schwartzkroin P.A. 2011. Effects of GABA on CA3 pyramidal cell dendrites in rabbit hippocampal slices. Brain Res. V. 453. P. 265.
- Kalanjati V.P., Miller S.M., Ireland Z., Colditz P.B., Bjorkman S.T. 2011. Developmental expression and distribution of GABA(A) receptor α1-, α3- and β2-subunits in pig brain. Dev. Neurosci. V. 33. P. 99.
- Khalilov I., Minlebaev M., Mukhtarov M., Khazipov R. 2015. Dynamic changes from depolarizing to hyperpolarizing GABAergic actions during giant depolarizing potentials in the neonatal rat hippocampus. J. Neurosci. V. 35. Art. ID 1263542.
- Khazipov R., Zaynutdinova D., Ogievetsky E., Valeeva G., Mitrukhina O., Manent J.-B., Represa A. 2015. Atlas of the postnatal rat brain in stereotaxic coordinates. Front. Neuroanat. V. 9. P. 161.
- Laurén H.B., .Pitkänen A., Nissinen J., Soini S.L., Korpi E.R., Holopainen I.E. 2003. Selective changes in gamma-aminobutyric acid type A receptor subunits in the hippocampus in spontaneously seizing rats with chronic temporal lobe epilepsy. Neurosci. Lett. V. 349. P. 58.
- Leal G., Afonso P.M., Salazar I.L., Duarte C.B. 2015. Regulation of hippocampal synaptic plasticity by BDNF. Brain Res. V. 24. P. 1621.
- Lear B.A., Lear C.A., Dhillon S.K., Davidson J.O., Gunn A.J., Bennet L. 2023. Evolution of grey matter injury over 21 days after hypoxia-ischaemia in pretermfetal sheep. Exper. Neurol. V. 363. Art. ID 114376.
- Majd A.M., Tabar F.E., Afghani A., Ashrafpour S., Dehghan S., Gol M., Ashrafpour M., Pourabdolhossein F. 2018. Inhibition of GABA A receptor improved spatial memory impairment in the local model of demyelination in rat hippocampus. Behav. Brain Res. V. 15. P. 111.
- Martino E.D., Ambikan A., Ramsköld D., Umekawa T., Giatrellis S., Vacondio D., Romero A.L., Galán M.G., Sandberg R., Ådén U., Lauschke V., Neogi U., Blomgren K., Kele J. 2024. Inflammatory, metabolic, and sex-dependent gene-regulatory dynamics of microglia and macrophages in neonatal hippocampus after hypoxia-ischemia. Science. V. 27. P. 109346.
- Mohler H. 2006. GABA(A) receptor diversity and pharmacology. Cell Tissue Res. V. 326. P. 505.
- Naderipoor P., Amani М., Abedi А., Sakhaie N., Sadegzadeh F., Saadati H. 2021. Alterations in the behavior, cognitive function, and BDNF level in adult male rats following neonatal blockade of GABA-A receptors. Brain Res. Bull. V. 169. P. 35.
- Ngo D.-H., Vo T.S. 2019. An updated review on pharmaceutical properties of gamma-aminobutyric acid. Molecules. V. 24. P. 2678.
- Odd D.E., Lewis G., Whitelaw A., Gunnell D. 2009. Resuscitation at birth and cognition at 8 years of age: A cohort study. Lancet. V. 373. P. 1615.
- Ophelders D.R., Gussenhoven R., Klein L., Jellema R.K., Westerlaken R.J., Hütten M.C., Vermeulen J., Wassink G., Gunn A.J., Wolfs T.G. 2020. Preterm brain injury, antenatal triggers, and therapeutics: Timing is key. Cells (Basel, Switzerland). V. 9. P. 1871.
- Otellin V.A., Khozhai L.I., Shishko T.T., Vershinina E.A. 2021. Nucleolar ultrastructure in neurons of the rat neocortical sensorimotor area during the neonatal period after perinatal hypoxia and its pharmacological correction. J. Evol. Biochem. Physiol. V. 57. P. 1251.
- Pirker S., Schwarzer C., Czech T., Baumgartner C., Pockberger H., Maier Н., Hauer B., Sieghart W., Furtinger S., Sperk G. 2003. Increased expression of GABA(A) receptor beta-subunits in the hippocampus of patients with temporal lobe epilepsy. J. Neuropathol. Exp. Neurol. V. 62. P. 820.
- Pleasure S.J., Anderson S., Hevner R., Bagri A., Marin O., Lowenstein D.H., Rubenstein J.L. 2000. Cell migration from the ganglionic eminences is required for the development of hippocampal GABAergic interneurons. Neuron. V. 28. P. 727.
- Poo M.M. 2001. Neurotrophins as synaptic modulators. Nat. Rev. Neurosci. V. 2. P. 24.
- Rudolph U., Möhler H. 2006. GABA-based therapeutic approaches: GABAA receptor subtype functions. Curr. Opin. Pharmacol. V. 6. P. 18.
- Soriano E., Cobas A. 1986. A fairén asynchronism in the neurogenesis of GABAergic and non-GABAergic neurons in the mouse hippocampus. Brain Res. V. 395. P. 88.
- Strahle J.M., Triplet R.L., Alexopoulos D., Smyser T.A., Rogers C.E., Limbrick D.D., Smyser C.D. 2019. Impaired hippocampal development and outcomes in very preterm infants with perinatal brain injury. NeuroImage Clin. V. 22: 101787.
- Tyler W.J., Alonso M., Bramham C.R., Pozzo-Miller L.D. 2002. From acquisition to consolidation: On the role of brain-derived neurotrophic factor signaling in hippocampal-dependent learning. Learn Mem. V. 9. P. 224.
- Vezzani A., Aronica E., Mazarati A., Pittman Q.J. 2013. Epilepsy and brain inflammation. Exp. Neurol. V. 244. P. 11.
- Volpe J.J. 2019. Dysmaturation of premature brain: importance, cellular mechanisms, and potential interventions. Рediatr. Neurol. V. 95. P. 42.
Дополнительные файлы




