ACTN4-dependent regulation of double-strand DNA break repair is independent of NF-Kb activity
- Authors: Kriger D.V.1, Vasileva G.V.1, Lomerta E.V.1, Tentler D.G.1
-
Affiliations:
- Institute of Cytology, Russian Academy of Sciences
- Issue: Vol 66, No 1 (2024)
- Pages: 35-45
- Section: Articles
- URL: https://bakhtiniada.ru/0041-3771/article/view/256130
- DOI: https://doi.org/10.31857/S0041377124010033
- EDN: https://elibrary.ru/IESWHN
- ID: 256130
Cite item
Full Text
Abstract
α-Actinin-4 is an actin-binding protein that is involved in a wide range of cellular processes. Along with actin and other proteins of the actin cytoskeleton, α-actinin-4 was found not only in the cytoplasm, but also in the nucleus of various cells. As a nuclear protein, it is involved in regulation of certain transcription factors. In particular, it can regulate transcriptional activity of NF-kB, which largely determines the resistance of cancer cells to apoptosis and anticancer therapy. During our previous studies, it was found that α-actinin-4 can influence resistance of cancer cells to topoisomerase II inhibitors and determine the efficiency of DNA double-strand break repair. We have demonstrated that α-actinin-4 interferes with the assembly of complexes involved in DNA repair via NHEJ and HRR, which in turn leads to an imbalance between these pathways. In this study, we were answering to the question of how α-actinin-4 is involved in the regulation of the DNA double-strand breaks repair following genotoxic stress. Our results indicate that the effect of α-actinin-4 on repair progression in H1299 non-small cell lung cancer cells does not depend on the transcription factor NF-kB activity. We found that in the nucleus of H1299 cells, α-actinin-4 is localized not only in the nucleoplasm, but also reveals close association with chromatin.
Keywords
Full Text
Принятые сокращения: НМКРЛ — немелкоклеточный рак легкого; ОТ-ПЦР — полимеразная цепная реакция (ПЦР) с обратной транскрипцией (ОТ); ACTN4 — α-актинин-4; HRR — репарация ДНК путем гомологичной рекомбинации (homologous recombination repair); NHEJ — репарация ДНК в результате негомологичного воссоединения концов (non-homologous end joining); TOPOII — топоизомераза II.
Актин-связывающий белок α-актинин-4 (ACTN4) принадлежит к спектриновому суперсемейству, которое включает в себя разнообразную группу белков цитоскелета, среди которых альфа/бета-спектрины и дистрофины (Baron et al., 1987). ACTN4 обнаружен практически в клетках всех типов организма человека и участвует в организации актинового цитоскелета. При этом ACTN4 не входит в состав сократительных элементов клеток мышечной ткани (Dixson et al., 2003).
ACTN4 первоначально был описан как белок, ассоциированный с подвижностью раковых клеток (Honda et al., 1998). C тех пор ему был присвоен целый ряд различных функций, начиная от цитоплазматической структурной организации цитоскелета (Honda et al., 1998; Agarwal et al., 2013) и заканчивая регуляцией активности транскрипционных факторов (Aksenova et al., 2013; Zhao et al., 2015, 2017).
Изменения уровня экспрессии гена ACTN4 ассоциируются с определенными типами рака и могут определять скорость пролиферации и миграции клеток (Gao et al., 2015; Honda, 2015; Tentler et al., 2019; Huang et al., 2020). Обнаружена взаимосвязь между уровнем экспрессии ACTN4 как на уровне мРНК, так и на уровне белка в опухолях и эффективностью применяемой адъювантной химиотерапии у пациентов с немелкоклеточным раком легкого (НМКРЛ).
Повышенный уровень экспрессии ACTN4 в опухолях ассоциирован с лучшим прогнозом выживаемости пациентов в случае применения у них адъювантной химиотерапии препаратами цисплатин и 5-фторурацил (Noro et al., 2013, 2022; Miura et al., 2016; Shiraishi et al., 2017).
В ходе наших предыдущих исследований мы продемонстрировали, что подавление экспрессии ACTN4 при помощи метода геномного редактирования CRISPR/Cas9 на модельных линиях клеток рака легкого приводило к изменению активации апоптоза и увеличению их устойчивости к действию ингибиторов топоизомеразы II (TOPOII). Мы показали, что ACTN4 вовлечен в регуляцию репарации двухцепочечных разрывов ДНК в клетках НМКРЛ. Подавление экспрессии ACTN4 приводило к нарушению соотношения частоты восстановления двухцепочечных разрывов ДНК при помощи основных путей репарации — негомологичного воссоединения концов (non-homology end joining — NHEJ) и репарации с помощью гомологичной рекомбинации (homology recombination repair — HRR) (Kriger et al., 2022).
Исходя из наших результатов, мы полагаем, что ACTN4 может быть вовлечен в регуляцию сборки комплексов белков 53BP1 и BRCA1 — ключевых факторов, отвечающих за инициацию репарации двухцепочечных разрывов (Short, 2011; Moureau et al., 2016; Mirman, de Lange, 2020). Однако остается непонятным механизм, посредством которого ACTN4 может оказывать влияние на регуляцию сборки этих комплексов.
ACTN4 взаимодействует с десятками белков, среди которых транскрипционный фактор NF-kB (Aksenova et al., 2013; Lomert et al., 2018). ACTN4 солокализуется с транскрипционным фактором NF-kB и, взаимодействуя с субъединицей RelA, может способствовать активации транскрипции зависимых от NF-kB генов (Бабаков и др., 2004; Aksenova et al., 2013).
В основной массе опухолей, в которых NF-kB конститутивно активен, раковые клетки характеризуются более высокой выживаемостью за счет активации анти-апоптотических генов (Staudt, 2010; DiDonato et al., 2012; Xia et al., 2018). Активация NF-kB проходит в ходе применения химио- и радиотерапевтических стратегий терапии раковых опухолей, которые предназначены для уничтожения раковых клеток посредством индукции апоптоза (Magné et al., 2006).
Ингибирование активации NF-kB приводит к улучшению эффективности противоопухолевой терапии (Nakanishi, Toi, 2005). С одной стороны, индукция NF-kB может приводить к задержке клеточной гибели и, тем самым, предоставлять время системам репарации на восстановление повреждений (W. Wang et al., 2017). С другой стороны, активация NF-kB может вызывать замедление пролиферации клеток (Ricca et al., 2001; Lomert et al., 2018).
В ходе нашей работы мы попытались приблизиться к понимаю вероятного механизма участия ACTN4 в репарации двухцепочечных разрывов ДНК. Задачи работы: 1) проверить, зависит ли уровень экспрессии NF-kB-зависимых генов, в том числе и тех, продукты которых вовлечены в ответ клетки на повреждение ДНК, от уровня экспрессии ACTN4 в клеточной линии H1299; 2) оценить, приводит ли конститутивная активация NF-kB к изменению устойчивости клеток к действию генотоксичеcких препаратов и изменению эффективности репарации ДНК; 3) провести анализ ядерных белковых экстрактов, содержащих белки фракции гистонов.
Наши результаты указывают на то, что влияние ACTN4 на процесс репарации в клетках НМКРЛ линии H1299 не зависит от активации транскрипционного фактора NF-kB. Мы обнаружили, что в ядре клеток H1299 ACTN4 может тесно связываться с хроматином, что, возможно, лежит в основе его влияния на репарацию разрывов ДНК.
МАТЕРИАЛ И МЕТОДИКА
Клеточные линии и воздействия. В работе использовали клеточные линии НМКРЛ (H1299; ATCC, American Type Culture Collection) с разным уровнем экспрессии генов ACTN4 и RELA. Методика получения клеточных линий с полным нокаутом ACTN4 (линия ACTN4KO) и оверэкспрессией ACTN4 (линия ACTN4OE) подробно описана ранее (Kriger et al., 2022). Использовали линии ACTN4KO, полученные от разных клонов и обозначенные ACTN4KO_cl1 и ACTN4KO_cl2.
В качестве контрольной линии использовали линию H1299 ACTN4WT, которая несла генно-инженерную конструкцию без gRNA. Методика получения линии с гиперэкспрессией RelA, субъединицы NF-kB, (H1299 RelAOE) описана ранее (Lomert et al., 2018).
Клетки культивировали в среде RPMI-1640 (Gibco, США). В среды добавляли 10% инактивированной эмбриональной бычьей сыворотки (Gibco, США), 100 ед./мл пенициллина, 100 мг/мл стрептомицина (“Биолот”, Россия) и 2 мМ L-глутамина (“Биолот”, Россия). Клетки культивировали при постоянных условиях в инкубаторе при 37 °C в увлажненной атмосфере 5% CO2.
Для индукции ответа на повреждение ДНК клетки обрабатывали генотоксическими препаратами с разным механизмом действия: этопозидом, доксорубицином или цисплатином в разных концентрациях.
Анализ экспрессии генов методом ОТ-ПЦР в реальном времени. Для анализа экспрессии генов мишеней транскрипционного фактора NF-kB проводили выделение тотальной РНК из клеток при помощи фенол-хлороформной экстракции реагентом Trizol (Invitrogen, США) в соответствии с процедурой, описанной производителем.
Для последующего синтеза кДНК использовали 2 мкг тотальной РНК, гексамерные праймеры и обратную транскриптазу MMLV (Thermo Fisher Scientific, США). Реакцию ПЦР в реальном времени проводили с использованием реакционной смеси 5X qPCRmix-HS SYBR (“Евроген”, Россия) на термоциклере CX96 (Bio-Rad Laboratories Inc., США). Для нормализации уровня экспрессии генов использовали значения экспрессии генов GAPDH и ACTB. Эксперимент повторяли не менее трех раз для подтверждения результата. Информация о последовательности праймеров, температуре отжига и размере продукта указана в табл. 1.
Таблица 1. Праймеры, использованные для ОТ-ПЦР в реальном времени
Ген | Последовательность праймера (5′–3′) | Температура отжига, (Tan ) | Размер продукта, нуклеотиды |
IKBA | GAGGAGTACGAGCAGATGGT CCAAGTGCAGGAACGAGTC | 63 | 123 |
ICAM1 | CACAGTCACCTATGGCAACG CTGAGACCTCTGGCTTCGTC | 64 | 187 |
CCL2 (MCP1) | CATAGCAGCCACCTTCATTC TCTGCACTGAGATCTTCCTATT | 56 | 104 |
BCL2 | AAGCGGTCCCGTGGATAGA TCCGGTATTCGCAGAAGTCC | 60 | 104 |
BRCA2 | TGCCTGAAAACCAGATGACTATC AGGCCAGCAAACTTCCGTTTA | 60 | 154 |
DKN1A (P21) | CTTGTCCTTTCCCTTCAGTACC TTCTTCTTGTGTGTCCCTTCC | 60 | 109 |
BBC3 (PUMA) | GACCTCAACGCACAGTACGA CACCTAATTGGGCTCCATCT | 60 | 147 |
GAPDH | CACCATCTTCCAGGAGCGAG AAATGAGCCCCAGCCTTCTC | 60 | 114 |
ACTB | ACCGAGCGCGGCTACAG CTTAATGTCACGCACGATTTCC | 60 | 59 |
Анализ выживаемости клеток. Выживаемость клеток оценивали при помощи метода MTT. За 1 сутки до добавления генотоксических препаратов клетки рассаживали в 96-луночную плату в плотности 3 · 103 клеток на 1 лунку. На следующие сутки к клеткам добавляли среду, содержащую этопозид, доксорубицин или цисплатин в различных концентрациях и далее культивировали в течение трех суток.
По истечении этого времени для оценки относительного количества жизнеспособных клеток раствор 3-(4,5-диметилтиазол-2-ил)-2,5-дифенил-тетразолиум бромида (MTT) добавляли в каждую лунку в конечной концентрации 0.5 мг/мл и культивировали еще в течение 4 ч в темноте при температуре 37 °C. Далее среду удаляли и кристаллы формазана растворяли раствором ДМСО (99%).
Оптическую плотность измеряли с помощью планшетного ридера iMark (BioRad, США) при длине волны 570 нм. В качестве референса использовали излучение на длине волны 630 нм. Построение кривых выживаемости осуществляли, используя онлайн-ресурс Quest Graph™ IC50 Calculator (AAT Bioquest, https://www.aatbio.com/tools/ic50-calculator).
Оценка эффективности репарации разрывов ДНК при помощи метода ДНК-комет в щелочных условиях. Чтобы индуцировать повреждения в молекуле ДНК, клетки (15 · 104 на чашку Петри 35 мм) обрабатывали этопозидом в концентрации 50 мкМ в течение 40 мин. Затем среду меняли на свежую и клетки культивировали еще в течение 8 ч в CO2-инкубаторе для репарации образовавшихся разрывов. Через 8 ч клетки снимали раствором Трипсин/Версена (3 : 7), промывали и ресуспендировали в фосфатно-солевом буферном растворе (PBS) объемом приблизительно 100–200 мкл для достижения концентрации 1.5 · 106 клеток/мл.
Из получившейся суспензии клеток отбирали 4 мкл и добавляли к 40 мкл 0.5%-ному раствору легкоплавкой агарозы (R&D systems, США) в соотношении 1:10, нагретой до 37 °C, и тщательно перемешивали (носик дозатора должен быть срезан, для облегчения ресуспендирования). За сутки до эксперимента предметные стекла (Menzel-Gläser, GmbH, Германия) покрывали горячим 1%-ным раствором агарозы (TopVision Agarose, Fermentas, Литва) и высушивали в течение ночи при комнатной температуре.
Образцы клеток, ресуспендированные в легкоплавкой агарозе, наносили на подготовленные накануне предметные стекла (слайды) и накрывали покровным стеклом. Слайды высушивали в течение 10 мин при 4 °C и затем покровные стекла снимали. Далее все манипуляции со слайдами проводили через погружение их в раствор (лить на них жидкость строго запрещается).
Слайды помещали в лизирующий буфер (2.5 M NaCl, 0.1 M EDTA, 10 мМ Tris-HCl pH 10.0, 1% Triton X-100) на 1 ч при 4 °C, а затем — в щелочной буфер (0.2 M NaOH, 1 мМ EDTA pH 10.0) на 20 мин в темноту при комнатной температуре. Слайды ополаскивали в холодной воде и подвергали электрофорезу при 23 В в течение 30 мин в горизонтальной камере, заполненной охлажденным буфером (0.2 M NaOH, 1 мМ EDTA).
Перед окрашиванием слайды 2 раза промывали холодной водой в течение 5 мин. Затем их погружали в 70%-ный раствор этилового спирта и высушивали при 37 °C. Окрашивали водным раствором SYBR Green II (Sigma-Aldrich), разведенным в 10 000 раз.
Съемку слайдов делали при помощи системы высокопроизводительного скрининга CellVoyager CQ1 (Yokogawa, Япония). Для этого использовали объектив с увеличением 10×. Полученные изображения анализировали, используя плагин OpenComet. В каждом эксперименте оценивали более 200 клеток. Эксперимент повторяли не менее 3 раз для подтверждения результата.
Иммуноокрашивание клеток. Для иммуноокрашивания белков в 96-луночную плату со стеклянным дном 0.17 мкм (Eppendorf, GmbH, Германия) пассировали клетки, 4 · 103 на 1 лунку. На следующие сутки клетки обрабатывали этопозидом в концентрации 50 мкМ в течение 40 мин, после чего среду меняли на свежую и клетки культивировали еще 4 ч. Далее их промывали холодным раствором PBS и фиксировали 4%-ным раствором параформальдегида в течение 30 мин. После этого их еще раз промывали PBS и пермебеализировали 0.5%-ным раствором Triton X-100, разведенным в PBS, в течение 15 мин.
Чтобы избежать неспецифического связывания антител с белками, клетки инкубировали в блокирующем буфере (0.5% Triton X-100 и 2% бычьего сывороточного альбумина в PBS) в течение 30 мин. Инкубацию клеток с первичными антителами (гамма-H2AX, no. 97184; Cell Signaling, США) проводили в течение 1.5 ч, после чего их промывали 1 раз блокирующим буфером и далее инкубировали со вторичными антителами, конъюгированными с флуорохромом Alexa 488 (no. a-11008; Invitrogen, США) в течение 40 мин.
Далее клетки отмывали еще 3 раза. Окрашивание ядер осуществляли красителем Hoechst 33342 в конечной концентрации 4 мкг/мл (Sigma-Aldrich, США). Съемку и последующий анализ изображений осуществляли при помощи системы высокопроизводительного скрининга CellVoyager CQ1 (Yokogawa, Япония).
Внутриклеточное фракционирование и иммуногибридизация. Пробы, содержащие фракцию ядерных белков, получали при помощи метода субклеточного фракционирования. Для выделения и очистки ядер из клеток использовали метод, описанный ранее (Бабаков et al., 2004) с некоторыми модификациями.
Клетки с чашек (150 мм) снимали при помощи резинового скребка, собирали и отмывали в PBS. Клетки осаждали при 1.5 тыс. g в течение 5 мин и ресуспендировали в 2 мл гипотонического буфера (10 мМ Hepes pH 7.9, 1.5 мМ MgCl2, 10 мМ KCl, 1 мМ DTT, 1 мМ PMSF, ингибиторы протеаз (Roche, Швейцария)) и инкубировали в течение 1 ч (до момента лизиса) во льду.
В течение этого времени суспензию клеток интенсивно перемешивали на вортеке и 20 раз пропускали через иглу диаметром 22.5G. Контроль вскрытия (разрушения клеточной мембраны и высвобождение ядер) клеток осуществляли при помощи светового микроскопа. Для осаждения фракции ядер суспензию центрифугировали в течение 5 мин при 2.5 тыс. g и 4 °С. Супернатант отбирали в отдельную пробирку и использовали для анализа цитоплазматических белков.
Осажденные ядра очищали от остатков цитоскелетных структур в растворе 0.5 M сахарозы. Для этого осадок ядер ресуспендировали в 250 мкл гипотонического буфера и аккуратно наносили поверх 750 мкл сахарозы. Пробы центрифугировали в течение 5 мин при 3.5 тыс. g и 4 °С.
Выделение ядерной белковой фракции, содержащей транскрипционные факторы, проводили в течение 30 мин на льду в буфере, содержащем 400 мM NaCl, 20 мM HEPES pH 7.9, 25% глицерина, 1.5 мM MgCl2, 0.4 мM EDTA, 0.4 мM PMSF, 1 мM DTT и ингибиторы протеаз (Roche, Швейцария).
Чтобы получить ядерные белки, связанные с хроматином, ядра предварительно обрабатывали бензоназой (Sigma-Aldrich, США) в течение 15 мин в буфере, содержащем 20 мM NaCl, 20 мM HEPES pH 7.9, 25% глицерина, 1.5 мM MgCl2, 0.4 мM EDTA, 0.4 мM PMSF, 1 мM DTT и ингибиторы протеаз (Roche, Швейцария).
Затем к суспензии добавляли по каплям равный объем буфера, содержащего 840 мM NaCl, 20 мM HEPES pH 7.9, 25% глицерина, 1.5 мM MgCl2, 0.4 мM EDTA, 0.4 мM PMSF, 1 мM DTT и ингибиторы протеаз (Roche, Швейцария) и инкубировали в течение 30 мин. на льду. Остатки ядер осаждали центрифугированием (14 тыс. g, 10 мин), супернатант использовали для анализа ядерных белков.
К полученным пробам добавляли буфер Laemmli (60 мМ Tris-HCl pH 6.8, 10% глицерина, 2% SDS, 0.2% бромфенолового синего, 5% DTT) и прогревали при 96 °C в течение 10 мин.
Каждый образец разделяли при помощи электрофореза в 12%-ном полиакриламидном геле, содержащем SDS, и белки переносили на нитроцеллюлозную мембрану 0.22 мкм (Millipore, Ирландия) в трис-глициновом буфере, содержащем 20% этанола (v/v) при 100 В в течение 2 ч.
После переноса мембрану инкубировали в растворе 5%-ного обезжиренного молока. Для визуализации белков мембрану инкубировали со специфичными первичными антителами к ACTN4 или гистону H1 в течение ночи, а затем — со вторичными антителами, конъюгированными с перокидазой хрена, в течение 1 ч.
Хемилюминесценцию регистрировали с помощью системы гель-документации ChemiDoс (Bio-Rad, США). В работе были использованы первичные антитела к ACTN4 (no. 0042-05, 1:250; ImmunoGlobe GmbH, Германия) и к Гистону H1 (no. sc-8030, 1:500; Santa-Cruze, США) и соответствующие к ним вторичные антитела: no. A0545 и no. A9044 (Sigma-Aldrich, США).
Для визуализации белков в геле применяли метод окрашивания по Кумасси с использованием PageBlue Protein Staining Solution (Thermo Scientific, США) согласно инструкции производителя.
Статистическая обработка результатов. При анализе относительной выживаемости клеток методом MTT каждую точку воспроизводили 4 раза, а каждый эксперимент повторяли 3 раза. Данные ОТ-ПЦР в реальном времени представлены средним значением и его ошибкой из не менее трех повторов из одного эксперимента. Статистическую значимость рассматривали при p < 0.05 с использованием U-критерия Манна–Уитни.
РЕЗУЛЬТАТЫ И ОБСУЖДЕНИЕ
В ходе нашего предыдущего исследования мы обнаружили, что полный нокаут ACTN4 в клетках линии H1299 приводит к повышению устойчивости клеток к ДНК-повреждающим препаратам, усилению репарации по пути NHEJ и некоторому подавлению пути HRR (Kriger et al., 2022).
Согласно нашим более ранним работам, ACTN4 усиливает активацию транскрипционного фактора NF-kB (Aksenova et al., 2013), который широко известен участием в контроле клеточного цикла, апоптоза и устойчивости клеток к противораковой терапии (Bours et al., 2000; Mayo, Baldwin, 2000; Ricca et al., 2001; Campbell et al., 2004; J. Wang et al., 2009).
На первом этапе настоящей работы мы проверили, приводит ли подавление экспрессии ACTN4 к изменению экспрессии NF-kB-зависимых генов в клеточной линии H1299. Для этого мы выбрали гены ICAM1 (Aoudjit et al., 1997), CCL2 (MCP1) (Stylianou et al., 1999) и IKBA (Haskill et al., 1991), относящиеся к разным функциональным группам и содержащие функциональные kB-сайты в промоторах.
Экспрессию генов анализировали с помощью количественной ПЦР в клетках Н1299 (ACTN4WT) и в двух линиях ACTN4KO с полным нокаутом ACTN4 (ACTN4KO_cl1 и ACTN4KO_cl2). Мы установили, что подавление экспрессии ACTN4 приводит к значительному, в несколько раз, снижению экспрессии генов ICAM1 и CCL2 (MCP1), но не влияет на экспрессию гена IKBA (рис. 1). Таким образом, мы подтвердили, что ACTN4 вовлечен в селективную регуляцию генов мишеней NF-kB в нашей модельной системе.
Рис. 1. Сравнение уровней экспрессии NF-kB-зависимых генов в контрольной линии H1299 (ACTN4WT) и в двух линиях, нокаутных по гену ACTN4 (ACTN4KO_cl1 и ACTN4KO_cl2). ПЦР в реальном времени. * — Различия с контрольной линией достоверны при p < 0.05 (U-критерий Манна–Уитни); нд — не достоверно
Далее мы проверили, влияет ли уровень экспрессии ACTN4 на активацию экспрессии генов, участвующих в регуляции репарации ДНК и апоптоза. Мы оценили экспрессию генов BBC3 (PUMA) (Wang et al., 2009), BCL2 (Catz, Johnson, 2001), CDKN1A (P21) (Hinata et al., 2003) и BRCA2 (Wu et al., 2000) в клетках контрольной линии Н1299 ACTN4WT и двух линиях ACTN4KO до и после обработки этопозидом в течение 1 ч.
Мы обнаружили, что уровень экспрессии ACTN4 коррелирует с активностью генов BBC3 (PUMA) и BRCA2 в необработанных клетках. Однако после действия этопозида и активации обоих генов, корреляция у BBC3 (PUMA) более не прослеживалась, а у BRCA2 менялась на противоположную (рис. 2). Гены CDKN1A (P21) и BCL2 показали некоторую обратную корреляцию с ACTN4 после генотоксического стресса, хотя активация BCL2 была не слишком значительной (менее 50%).
Рис. 2. Уровни экспрессии генов ответа на повреждения ДНК. ПЦР в реальном времени: а — сравнение уровней экспрессии генов в контрольных клетках H1299 (ACTN4WT) и в клетках линий H1299, нокаутных по гену ACTN4 (ACTN4KO_cl1 и ACTN4KO_cl2) до (контроль) и после обработки этопозидом (Это); б — сравнение уровней экспрессии генов в контрольной линии H1299 (ACTN4WT) и линии H1299, гиперэкспрессирующей ген ACTN4 (ACTN4OE). * — различия достоверны при p < 0.05 (U-критерий Манна–Уитни)
Таким образом, полученные результаты не дают оснований предполагать, что ACTN4 влияет на устойчивость клеток к этопозиду через прямую регуляцию экспрессии ключевых генов репарации и апоптоза, в том числе NF-kB-зависимых. Экспрессия генов BCL2 и BRCA2 может регулироваться NF-kB (Wu et al, 2000; Catz, Johnson, 2001), но мы не обнаружили снижения их экспрессии в клетках клонов ACTN4KO. Напротив, BRCA2 активируется в клонах ACTN4KO сильнее и более чем в два раза.
Влияние нокаута ACTN4 на гены BBC3 (PUMA) и CDKN1A (P21) было разнонаправленным, хотя оба гена подавляют пролиферацию, индуцируя апоптоз через BBC3 (PUMA) (Yu, Zhang, 2008) и блок клеточного цикла через CDKN1A (P21) (Vermeulen et al., 2003). При нормальных условиях подавление экспрессии ACTN4 приводило к снижению экспрессии гена BBC3 (PUMA) и, напротив, к увеличению экспрессии гена CDKN1A (P21) в обоих клонах по сравнению с контрольной линией. При этом гиперэкспрессия ACTN4 оказывала обратный эффект (см. рис. 2).
Обработка этопозидом индуцировала значительную активацию обоих генов, что соответствует данным из литературы. Интересно, что оба гена в большинстве клеток активируются транскрипционным фактором р53, который стабилизируется при генотоксическом стрессе. Однако в клетках Н1299 его ген ТР53 отсутствует. Вероятно, это служит причиной не слишком сильной активации BBC3 (PUMA). Тем не менее экспрессия гена CDKN1A (P21) увеличивается в несколько раз несмотря на отсутствие ТР53 (см. рис. 2).
Таким образом, анализ экспрессии выбранных генов ответа на повреждения ДНК, в том числе NF-kB-зависимых, не позволил выявить причину резистентности клеток ACTN4KO к ингибиторам TOPOII. Однако активация NF-kB обычно ассоциирована с туморогенезом и резистентностью к противоопухолевой терапии (Mayo, Baldwin, 2000). Возможно, влияние ACTN4 на NF-kB-зависимую резистентность определяется очень ограниченным количеством генов. Кроме того, мы ранее продемонстрировали, что активация RelA-субъединицы NF-kB приводит к значительному замедлению пролиферации клеток линии H1299 (Lomert et al., 2018).
Возможно, нокаут ACTN4 и подавление некоторых NF-kB-зависимых генов приводят к обратному эффекту. Исходя из этого, мы проверили, влияет ли активность NF-kB на выживаемость клеток Н1299 и эффективность репарации разрывов ДНК после воздействия генотоксических препаратов.
Для анализа использовали полученную нами ранее линию Н1299 с постоянной гиперэкспрессией гена RELA (линия RelAOE) (Lomert et al., 2018). При помощи метода MTT мы оценили выживаемость клеток RelAOE после воздействия этопозида (0.8–50 мкM), доксорубицина (0.08–0.5 мкM) или цисплатина (8–32 мкM). Эти препараты широко используются в терапии НМКРЛ и обладают разными механизмами действия. Анализ показал, что повышение экспрессии NF-kB не приводило к изменению выживаемости при воздействии всех трех препаратов (рис. 3).
Рис. 3. Относительная устойчивость клеток линий H1299 (кривая 1) и H1299 RelAOE (кривая 2) к действию доксорубицина (а), этопозида (б) и цисплатина (в). Цитотоксичность (МТТ-тест) оценивали после обработки клеток в течение 72 ч. Для каждого вещества строили кривую зависимости доза–эффект при помощи модели логистической регрессии. Вертикальные отрезки — ошибки среднего значения
Мы применяли два подхода к оценке эффективности репарации разрывов ДНК. Сначала проанализировали фокусы фосфорилированого гистона H2AX (гамма-H2AX). Фосфорилирование гистона H2AX в месте разрыва ДНК является одним из ранних событий репарации повреждения (Muslimović, 2012). Клетки обрабатывали этопозидом (50 мкМ) или доксорубицином (1.5 мкМ) в течение 40 мин, после чего препарат убирали и культивировали клетки в течение еще 4 ч, давая им время для репарации разрывов ДНК. Мы обнаружили, что среднее число фокусов гамма-H2AX не отличалось в клетках с нормальным и с активированным NF-kB (рис. 4а).
Рис. 4. Оценка эффективности репарации разрывов ДНК в клетках линий H1299 и H1299 RelAOE: a — среднее число (и его ошибка) фокусов гистона γH2AX в ядре. Клетки обрабатывали этопозидом (Это) или доксорубицином (Доксо) в течение 40 мин, после чего препарат удаляли и культивировали еще 4 ч; б — результаты теста ДНК-комет в щелочных условиях. Обработку клеток этопозидом проводили, как описано ранее, с последующим культивированием в отсутствие препарата в течение 8 ч. Контроль — интактные клетки
Для подтверждения полученных результатов мы оценили эффективность репарации ДНК при помощи метода ДНК-комет в щелочных условиях. Клетки обрабатывали так же, как при анализе фокусов гамма-H2AX, но репарацию оценивали через 8 ч после удаления препарата.
Клетки линии H1299 RelAOE не отличались по эффективности репарации разрывов ДНК от контрольной линии (см. рис. 4б). Таким образом, конститутивная активация NF-kB не приводит к увеличению резистентности клеток Н1299 к действию ДНК-повреждающих веществ и не оказывает влияния на прохождение репарации ДНК.
Другим возможным механизмом вовлечения ACTN4 в регуляцию репарации ДНК может быть непосредственное взаимодействие ACTN4 с факторами репарации. Для проверки этого предположения мы проанализировали присутствие ACTN4 в хроматине клеток H1299.
Мы применяли метод субклеточного фракционирования с последующей очисткой ядер через 0.5 M сахарозу с целью удаления остатков цитоскелетных структур, которые могут оставаться связанными с ядрами после лизиса клеток. Поскольку количество ACTN4 в цитоплазме значительно превышает его содержание в ядре, этот этап критичен для корректного анализа ядерного ACTN4.
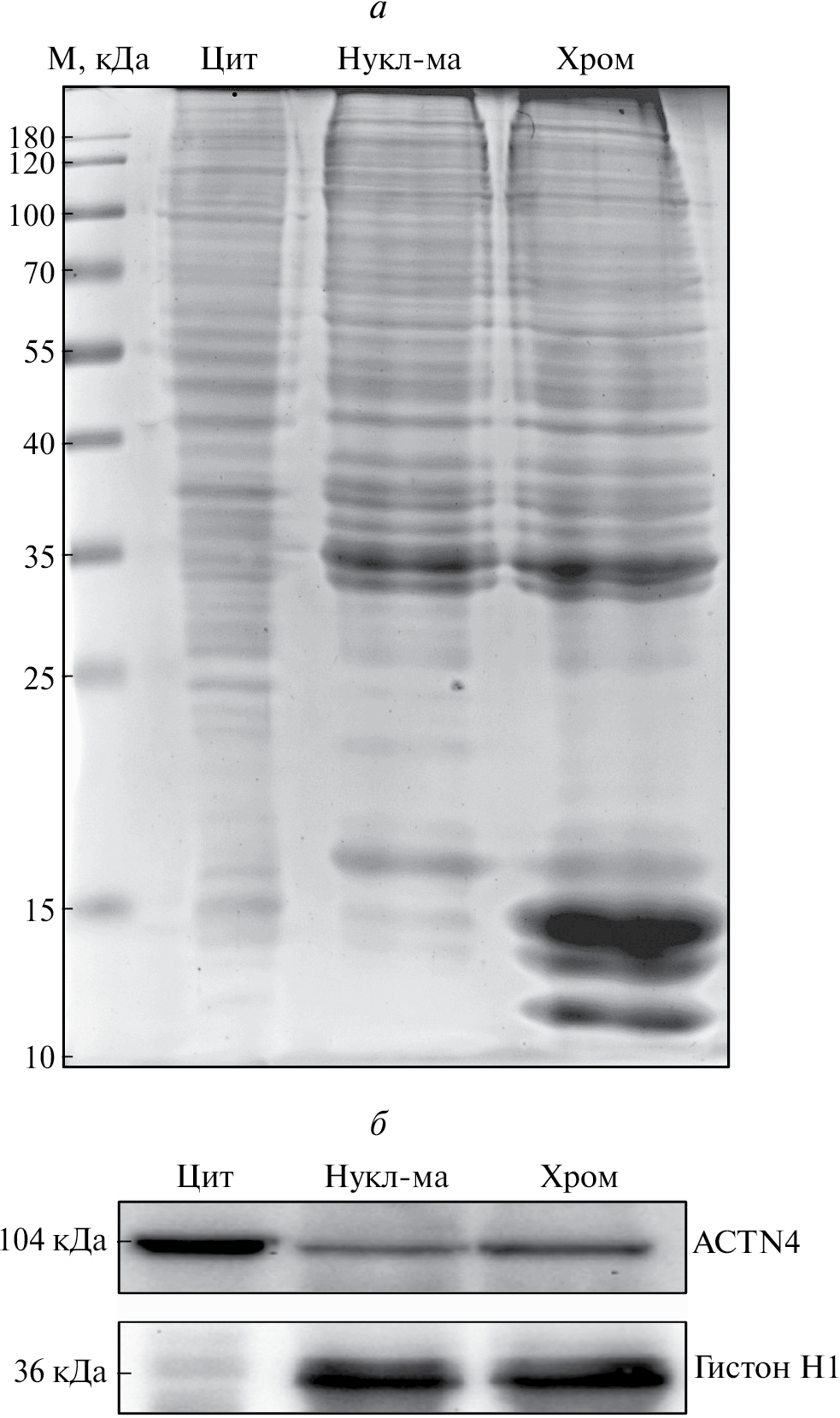
После получения и очистки ядер мы исследовали присутствие ACTN4 в растворимой фракции (нуклеоплазме) и в хроматине. Для расщепления геномной ДНК и экстракции белков хроматина ядра дополнительно обрабатывали бензоназой (Moreno et al., 1991). На рис. 5а, дорожка 3 видно, что в растворимой фракции ядерных белков гораздо слабее детектируются фракция гистонов (15 кДа). Иммуногибридизация показала, что количество белка ACTN4 в хроматиновой фракции значительно больше, чем в растворимой (рис. 5б).
Рис. 5. Распределение ACTN4 в клетках H1299: a — электрофорез в SDS-геле белков, полученных методом субклеточного фракционирования, из клеток линии H1299. Детекция белков по окраске по Кумасси; б — вестерн-блот с антителами к ACTN4. Гистон H1 использован для контроля нагрузки белка. M — белковый маркер; Цит — цитоплазма; Нукл-ма — нуклеоплазма; Хром — хроматин
Полученные нами данные согласуются с опубликованными сообщениями о том, что ACTN4 обнаруживается в комплексах ремоделирования хроматина, таких как INO80 (Kumeta et al., 2010). INO80 состоит из 15 белков (Shen et al., 2000), которые участвуют в регуляции транскрипции, репликации и репарации молекулы ДНК (Poli et al., 2017).
Таким образом, мы обнаружили, что в линиях H1299 с полным нокаутом гена ACTN4 происходит подавление экспрессии некоторых, но не всех, NF-kB-зависимых генов. Тем не менее нам не удалось выявить зависимости между влиянием ACTN4 на экспрессию генов и повышенной резистентностью нокаутных клеток к ДНК-повреждающим препаратам. Более того, мы не выявили какого-либо влияния активности NF-kB на устойчивость клеток Н1299 к генотоксическому стрессу. Обнаруженное нами присутствие ACTN4 в хроматиновой фракции позволяет предположить его непосредственное влияние на сборку комплексов белков, участвующих в репарации ДНК.
БЛАГОДАРНОСТИ
В работе использовано оборудование Центра клеточных технологий Института цитологии РАН; авторы благодарны за предоставление доступа к его конфокальной платформе CQ1.
ФИНАНСИРОВАНИЕ РАБОТЫ
Работа выполнена при внутренней финансовой поддержке (ВФНД) Института цитологии РАН (проект “Участие альфа-актинина 4 (ACTN4) в репарации двухцепочечных разрывов ДНК”).
СОБЛЮДЕНИЕ ЭТИЧЕСКИХ СТАНДАРТОВ
В экспериментах работы животные и люди не участвовали.
КОНФЛИКТ ИНТЕРЕСОВ
Авторы заявляют об отсутствии конфликта интересов.
About the authors
D. V. Kriger
Institute of Cytology, Russian Academy of Sciences
Author for correspondence.
Email: daryamalikova@gmail.com
Russian Federation, St. Petersburg
G. V. Vasileva
Institute of Cytology, Russian Academy of Sciences
Email: daryamalikova@gmail.com
Russian Federation, St. Petersburg
E. V. Lomerta
Institute of Cytology, Russian Academy of Sciences
Email: daryamalikova@gmail.com
Russian Federation, St. Petersburg
D. G. Tentler
Institute of Cytology, Russian Academy of Sciences
Email: daryamalikova@gmail.com
Russian Federation, St. Petersburg
References
- Бабаков В.Н., Бобков Д.Е., Петухова О.А., Туроверова Л.В., Кропачева И.В., Подольская Е.П., Пинаев Г.П. 2004. Альфа-актинин-4 и субъединица р65/RelA транскрипционного фактора NF-kB в клетках А431 локализуются совместно и мигрируют в ядро при действии эпидермального фактора роста. Цитология Т. 46. № 12. С. 1065. (Babakov V.N., Bobkov D.E., Petukhova O.A., Turoverova L.V., Kropacheva I.V., Podol’skaya E.P., Pinaev G.P. 2004. Alpha-Actinin-4 and p65/RelA subunit of NF-kappaB transcription factor are co-localized and migrate together into the nucleus in EGF-stimulated A431 cell. Tsitologiia. V. 46(12). P. 1065.
- Agarwal N., Adhikari A.S., Iyer S.V, Hekmatdoost K., Welch D.R., Iwakuma T. 2013. MTBP suppresses cell migration and filopodia formation by inhibiting ACTN4. Oncogene V. 32. P. 462.
- Aksenova V., Turoverova L., Khotin M., Magnusson K.E., Tulchinsky E., Melino G., Pinaev G.P., Barlev N., Tentler D. 2013. Actin-binding protein alpha-actinin 4 (ACTN4) is a transcriptional co-activator of RelA/p65 sub-unit of NF-kB. Oncotarget V. 4. P. 362.
- Aoudjit F., Brochu N., Bélanger B., Stratowa C., Hiscott J., Audette M. 1997. Regulation of intercellular adhesion molecule-1 gene by tumor necrosis factor-alpha is mediated by the nuclear factor-kappaB heterodimers p65/p65 and p65/c-Rel in the absence of p50. Cell Growth Differ V. 8. P. 335.
- Baron M.D., Davison M.D., Jones P., Critchley D.R. 1987. The sequence of chick alpha-actinin reveals homologies to spectrin and calmodulin. J. Biol. Chem. V. 262. P. 17623.
- Ben Short. 2011. BRCA1 on the move. J. Cell Biol. V. 192. P. 369.
- Bours V., Bonizz G., Bentires-Alj M., Bureau F., Piette J., Lekeux P., Merville M. 2000. NF-kB activation in response to toxical and therapeutical agents: role in inflammation and cancer treatment. Toxicol. V. 153. P. 27.
- Campbell K.J., Rocha S., Perkins N.D. 2004. Active repression of antiapoptotic gene expression by Rela (p65) NF-kB. V. 13. P. 853.
- Catz S. D., Johnson J. L. 2001. Transcriptional regulation of bcl-2 by nuclear factor kappa B and its significance in prostate cancer. Oncogene. V. 20. P. 7342.
- DiDonato J.A., Mercurio F., Karin M. 2012. NF-κB and the link between inflammation and cancer. Immunol. Rev. V. 246. P. 379.
- Dixson J.D., Forstner M.J., Garcia D.M. 2003. The alpha-actinin gene family: a revised classification. J. Mol. Evol. V. 56. P. 1.
- Gao Y., Li G., Sun L., He Y., Li X., Sun Z., Wang J., Jiang Y., Shi J. 2015. ACTN4 and the pathways associated with cell motility and adhesion contribute to the process of lung cancer metastasis to the brain. BMC Cancer. V. 15. P. 277.
- Haskill S., Beg A.A., Tompkins S.M., Morris J.S., Yurochko A.D., Sampson-Johannes A., Mondal K., Ralph P., Baldwin A.S.J. 1991. Characterization of an immediate-early gene induced in adherent monocytes that encodes I kappa B-like activity. Cell. V. 65. P. 1281.
- Hinata K., Gervin A.M., Jennifer Zhang Y., Khavari P.A. 2003. Divergent gene regulation and growth effects by NF-kappa B in epithelial and mesenchymal cells of human skin. Oncogene. V. 22. P. 1955.
- Honda K. 2015. The biological role of actinin-4 (ACTN4) in malignant phenotypes of cancer. Cell Biosci. V. 5. P. 41.
- Honda K., Yamada T., Endo R., Ino Y., Gotoh M., Tsuda H., Yamada Y., Chiba H., Hirohashi S. 1998. Actinin-4, a novel actin-bundling protein associated with cell motility and cancer invasion. J. Cell Biol. V. 140. P. 1383.
- Huang Q., Li X., Huang Z., Yu F., Wang X., Wang S., He Z., Lin J. 2020. ACTN4 promotes the proliferation, migration, metastasis of osteosarcoma and enhances its invasive ability through the NF-κB pathway. Pathol. Oncol. Res. V. 26. P. 893.
- Kriger D., Novitskaya K., Vasileva G., Lomert E., Aksenov N.D., Barlev N.A., Tentler D. 2022. Alpha-actnin-4 (ACTN4) selectively affects the DNA double-strand breaks repair in non-small lung carcinoma cells. Biol. Direct. V. 17. P. 1.
- Kumeta M., Yoshimura S.H., Harata M., Takeyasu K. 2010. Molecular mechanisms underlying nucleocytoplasmic shuttling of actinin-4. J. Cell Sci. V. 123. P. 1020.
- Lomert E., Turoverova L., Kriger D., Aksenov N. D., Nikotina A. D., Petukhov A., Mittenberg A.G., Panyushev N.V., Khotin M., Volkov K., Barlev N.A., Tentler D. 2018. Co-expression of RelA/p65 and ACTN4 induces apoptosis in non-small lung carcinoma cells. Cell Cycle. V. 17. P. 616.
- Magné N., Toillon R.A., Bottero V., Didelot C., Houtte P. Van, Gérard J.P., Peyron J.F. 2006. NF-κB modulation and ionizing radiation: Mechanisms and future directions for cancer treatment. Cancer Lett. V. 231. P. 158.
- Mayo M.W., Baldwin A.S. 2000. The transcription factor NF-kappaB: control of oncogenesis and cancer therapy resistance. Biochim. Biophys. Acta. V. 1470. P. M55.
- Mirman Z., de Lange T. 2020. 53BP1: a DSB escort. Genes Dev. V. 34. P. 7.
- Miura N., Kamita M., Kakuya T., Fujiwara Y., Tsuta K., Shiraishi H., Takeshita F., Ochiya T., Shoji H., Huang W., Ohe Y., Yamada T., Honda K. 2016. Efficacy of adjuvant chemotherapy for non-small cell lung cancer assessed by metastatic potential associated with ACTN4. Oncotarget. V. 7. P. 33165.
- Moreno J.M., Sanchez-Montero J.M., Sinisterra J.V, Nielsen L.B. 1991. Contribution to the study of the enzymatic activity of benzonase. J. Mol. Catalysis. V. 69. P. 419.
- Moureau S., Luessing J., Harte E.C., Voisin M., Lowndes N.F. 2016. A role for the p53 tumour suppressor in regulating the balance between homologous recombination and non-homologous end joining. Open Biol. V. 6. P. 160225. https://doi.org/10.1098/rsob.160225
- Muslimović A., Johansson P., Hammarste O. 2012. Measurement of H2AX phosphorylation as a marker of ionizing radiation induced cell damage. In: Current topics in ionizing radiation research. London: InTech. P. 3.
- Nakanishi C., Toi M. 2005. Nuclear factor-kappaB inhibitors as sensitizers to anticancer drugs. Natю Revю Cancer. V. 5. P. 297.
- Noro R., Honda K., Nagashima K., Motoi N., Kunugi S., Matsubayashi J., Takeuchi S., Shiraishi H., Okano T., Kashiro A., Meng X., Yoshida Y., Watanabe S., Usuda J., Inoue T., et al. 2022. Alpha-actinin-4 (ACTN4) gene amplification is a predictive biomarker for adjuvant chemotherapy with tegafur/uracil in stage I lung adenocarcinomas. Cancer Sci. V. 113. P. 1002.
- Noro R., Honda K., Tsuta K., Ishii G., Maeshima A.M., Miura N., Furuta K., Shibata T., Tsuda H., Ochiai A., Sakuma T., Nishijima N., Gemma A., Asamura H., Nagai K., Yamada T. 2013. Distinct outcome of stage I lung adenocarcinoma with ACTN4 cell motility gene amplification. Ann. Oncol. V. 24. P. 2594.
- Poli J., Gasser S.M., Papamichos-Chronakis M. 2017. The INO80 remodeller in transcription, replication and repair. Philosoph. Transact. Royal Soc. B: Biol. Sci. V. 372. P. 20160290.
- Ricca A., Biroccio A., Trisciuoglio D., Cippitelli M., Zupi G., Bufalo D. Del. 2001. RelA over-expression reduces tumorigenicity and activates apoptosis in human cancer cells. Br. J. Cancer. V. 85. P. 1914.
- Shen X., Mizuguchi G., Hamiche A., Wu C. 2000. A chromatin remodelling complex involved in transcription and DNA processing. Nature. V. 406. P. 541.
- Shiraishi H., Fujiwara Y., Kakuya T., Tsuta K., Motoi N., Miura N., Watabe Y., Watanabe S., Noro R., Nagashima K., Huang W., Yamada T., Asamura H., Ohe Y., Honda K. 2017. Actinin-4 protein overexpression as a predictive biomarker in adjuvant chemotherapy for resected lung adenocarcinoma. Biomark. Med. V. 11. P. 721.
- Staudt L. M. 2010. Oncogenic activation of NF-kB. Cold Spring Harb. Perspect. Biol V. 2. P. a000109. https://doi.org/10.1101/cshperspect.a000109
- Stylianou E., Nie M., Ueda A., Zhao L. 1999. C-Rel and p65 trans-activate the monocyte chemoattractant protein-1 gene in interleukin-1 stimulated mesangial cells. Kidney Int. V. 56. P. 873.
- Tentler D., Lomert E., Novitskaya K., Barlev N.A. 2019. Role of ACTN4 in tumorigenesis, metastasis, and EMT. Cells. V. 8. P. 1427.
- Vermeulen K., Van Bockstaele D.R., Berneman Z.N. 2003. The cell cycle: a review of regulation, deregulation and therapeutic targets in cancer. Cell Prolif. V. 36. P. 131.
- Wang J., Jacob N.K., Ladner K.J., Beg A., Perko J.D., Tanner S.M., Liyanarachchi S., Fishel R., Guttridge D.C. 2009. RelA/p65 functions to maintain cellular senescence by regulating genomic stability and DNA repair. EMBO Rep. V. 10. P. 1272.
- Wang P., Qiu W., Dudgeon C., Liu H., Huang C., Zambetti G., Yu J., Zhang L. 2009. PUMA is directly activated by NF-κB and contributes to TNF-α-induced apoptosis. Cell Death Differ. V. 16. P. 1192.
- Wang W., Mani A.M., Wu Z.-H. 2017. DNA damage-induced nuclear factor-kappa B activation and its roles in cancer progression. J. Cancer Metastasis Treat. V. 3. P. 45.
- Wu K., Jiang S.W., Thangaraju M., Wu G., Couch F.J. 2000. Induction of the BRCA2 promoter by nuclear factor-kappa B. J. Biol. Chem. V. 275. P. 35548.
- Xia L., Tan S., Zhou Y., Lin J., Wang H., Oyang L., Tian Y., Liu L., Su M., Wang H., Cao D., Liao Q. 2018. Role of the NFκB-signaling pathway in cancer. OncoTargets Ther. V. 11. P. 2063.
- Yu J., Zhang L. 2008. PUMA, a potet killer with or without p53. Oncogene. V. 27. P. 71.
- Zhao X., Hsu K.-S., Lim J.H., Bruggeman L.A., Kao H.-Y. 2015. α-Actinin 4 potentiates nuclear factor κ-light-chain-enhancer of activated B-cell (NF-κB) activity in podocytes independent of its cytoplasmic actin binding function. J. Biol. Chem. V. 290. P. 338.
- Zhao X., Khurana S., Charkraborty S., Tian Y., Sedor J. R., Bruggman L. A., Kao H.-Y. 2017. α-Actinin 4 (ACTN4) regulates glucocorticoid receptor-mediated transactivation and transrepression in podocytes. J. Biol. Chem. V. 292. P. 1637.
Supplementary files






