Immunohistochemical Study of Matrix Metalloproteinases 2 and 9 in the Left Ventricle of Preterm Rats Heart in the Late Postnatal Development
- 作者: Ivanova V.V.1, Serebryakova О.N.1, Erokhina A.V.1, Nikonova A.D.1, Milto I.V.1,2
-
隶属关系:
- Siberian State Medical University
- Seversk Biophysical Research Centre
- 期: 卷 65, 编号 5 (2023)
- 页面: 483-489
- 栏目: Articles
- URL: https://bakhtiniada.ru/0041-3771/article/view/140102
- DOI: https://doi.org/10.31857/S0041377123050048
- EDN: https://elibrary.ru/ALKLGU
- ID: 140102
如何引用文章
全文:
详细
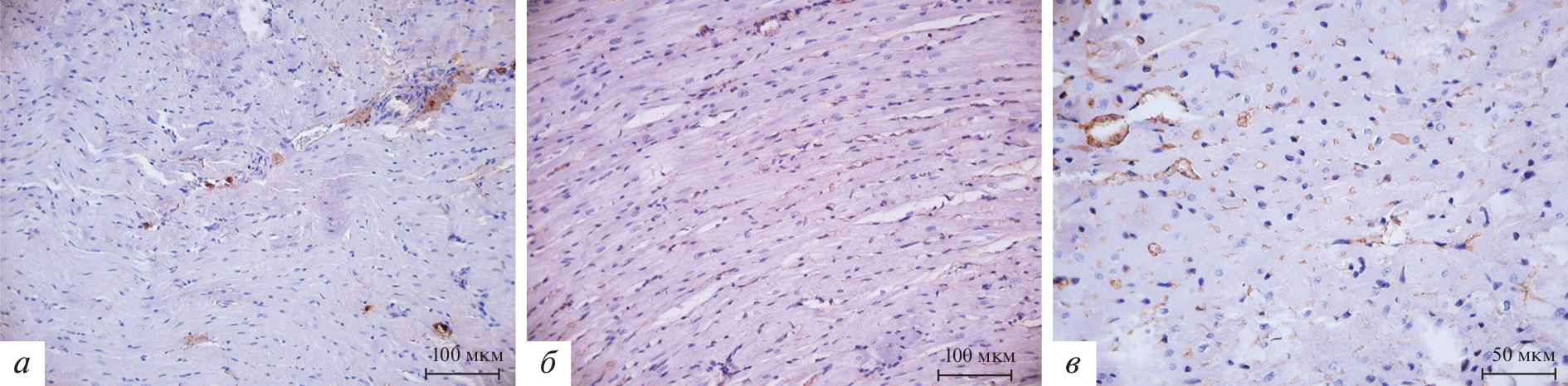
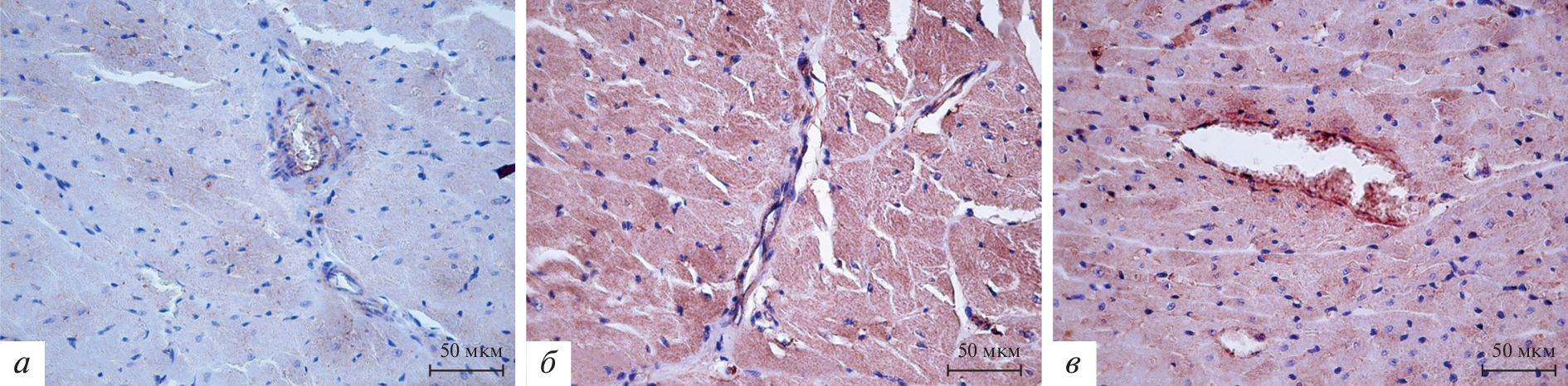
Immunohistochemical detection of matrix metalloproteinases (MMP) 2 and 9 was carried out in the myocardium of the left ventricle of prematurely born (21 and 21.5 days of gestation) and full-term (22 days of gestation) rats at 42, 56 and 180 days of the postnatal period of ontogenesis. The intensity of immunopositive staining was assessed by a scoring system. Preterm birth leads to an increase in the intensity of the immunopositive reaction to MMP-2 and MMP-9 in the wall of the left ventricle of rats. An increase in the intensity of the MMP-2 positive reaction in the left ventricle of rats is observed the earlier, the greater the degree of prematurity. The intensity of the MMP-9 positive reaction in the left ventricle of male rats is greater with a more pronounced degree of prematurity. An increase in the intensity of the MMP-2 and MMP-9 positive reaction in the wall of the left ventricle of female rats due to preterm birth is determined exclusively in animals born on the 21st day of pregnancy, that is, with a greater degree of prematurity.
作者简介
V. Ivanova
Siberian State Medical University
编辑信件的主要联系方式.
Email: ivvera92@rambler.ru
Russia, 634050, Tomsk
О. Serebryakova
Siberian State Medical University
Email: ivvera92@rambler.ru
Russia, 634050, Tomsk
A. Erokhina
Siberian State Medical University
Email: ivvera92@rambler.ru
Russia, 634050, Tomsk
A. Nikonova
Siberian State Medical University
Email: ivvera92@rambler.ru
Russia, 634050, Tomsk
I. Milto
Siberian State Medical University; Seversk Biophysical Research Centre
Email: ivvera92@rambler.ru
Russia, 634050, Tomsk; Russia, 636013, Seversk
参考
- Иванова В.В., Мильто И.В., Серебрякова О.Н., Суходоло И.В. 2022. Выявление матриксных металлопротеиназ в сердце преждевременно рожденных крыс. Изв. РАН. Серия биологическая. № 6. С. 642. (Ivanova V.V., Milto I.V., Serebryakova O.N., Sukhodolo I.V. 2022. Matrix metalloproteinases detection in the heart of preterm rats. Izevestiya RAN. Seriya Biologicheskaya. № 6. P. 642.)
- Кузьминых Т.У., Петросян М.А. 2009. Сравнительная оценка влияния синтетических антигестагенов на сроки наступления родовой деятельности крыс и постнатальное развитие потомства. Журн. акушерства и женских болезней. Т. 54. № 2. С. 34. (Kuzminykh T.U., Petrosyan M.A. 2009. The comparison of different synthetic antigestagens influence on beginning of contractive activity on pregnant rats and postnatal development of their offspring. V. 54. № 2. P. 34.)
- Попов М.А., Шумаков Д.В., Гуревич Л.Е., Федоров Д.Н., Зыбин Д.И., Ашевская В.Е., Коростелева П.А., Тюрина В.М. 2023. Оценка функциональных свойств гибернирующего миокарда. Клин. эксп. морфология. Т. 12. № 1. С. 59. (Popov M.A., Shumakov D.V., Gurevich L.E., Fedorov D.N., Zybin D.I., Ashevskaya V.E., Korosteleva P.A., Tyurina V.M. 2023. The evaluation of hibernating myocardium function. Clin. Exper. Morpho. V. 12. № 1. P. 59.)
- Цорин И.Б. 2020. Статистическая обработка результатов фармакологических экспериментов, измеренных в порядковых и количественных шкалах, при невозможности анализа с помощью параметрических методов. Фармакокинетика и фармакодинамика. Т. 3. № 3. С. 3. (Tsorin I.B. 2020. Statistical processing of pharmacological experiments results measured in ordinal and quantitative scales, if it is impossible to analyze using parametric methods. Pharmacokinetics and Pharmacodynamics. V. 3. № 3. P. 3.)
- Ходкевич П.Е., Куликова К.В., Горев В.В., Деев И.А. 2020. Эхоструктурные и функциональные особенности органов и систем у детей с низкой, очень низкой и экстремально низкой массой тела при рождении (обзор литературы). Росс. педиатрический ж. Т. 1. № 3. С. 11. (Khodkevich P.E., Кulikova K.V., Gorev V.V., Deev I.A. 2020. The echographic characteristics of structural and functional development of organs and systems in children born with low birth weight, very low birth weight and extremely low birth weight. Russian Pediatric J. V. 1. № 3. P. 11.)
- Bellafiore M., Battaglia G., Bianco A., Farina F., Palma A., Paoli A. 2013. The involvement of MMP-2 and MMP-9 in heart exercise-related angiogenesis. J. Transl. Med. V. 11. P. 283.
- Bertagnolli M., Huyard F., Cloutier A., Anstey Z., Huot-Marchand J.É., Fallaha C., Paradis P., Schiffrin E.L., Deblois D., Nuyt A.M. 2014. Transient neonatal high oxygen exposure leads to early adult cardiac dysfunction, remodeling, and activation of the renin-angiotensin system. Hypertension. V. 63. P. 143.
- Burchert H., Lewandowski A.J. 2019. Preterm birth is a novel, independent risk factor for altered cardiac remodeling and early heart failure: is it time for a new cardiomyopathy? Curr. Treat Options Cardiovasc. Med. V. 21. P. 8.
- Cadepond F., Ulmann A., Baulieu E.E. 1997. RU486 (mifepristone): mechanisms of action and clinical uses. Annu. Rev. Med. V. 48. P. 129.
- Çelik Ö., Şahin A.A., Sarıkaya S., Uygur B. 2020. Correlation between serum matrix metalloproteinase and myocardial fibrosis in heart failure patients with reduced ejection fraction: a retrospective analysis. Anatol. J. Cardiol. V. 24. P. 303.
- Chiao Y.A., Ramirez T.A., Zamilpa R., Okoronkwo S.M., Dai Q., Zhang J., Jin Y.F., Lindsey M.L. 2012. Matrix metalloproteinase-9 deletion attenuates myocardial fibrosis and diastolic dysfunction in ageing mice. Cardiovasc. Res. V. 96. P. 444.
- DeCoux A., Lindsey M.L., Villarreal F., Garcia R.A., Schulz R. 2014. Myocardial matrix metalloproteinase-2: inside out and upside down. J. Mol. Cell Cardiol. V. 77. P. 64.
- Dudley D.J., Branch D.W., Edwin S.S., Mitchell M.D. 1996. Induction of preterm birth in mice by RU486. Biol. Reprod. V. 55. P. 992.
- Gonçalves P.R., Nascimento L.D., Gerlach R.F., Rodrigues K.E., Prado A.F. 2022. Matrix metalloproteinase 2 as a pharmacological target in heart failure. Pharmaceuticals (Basel). V. 15. P. 920.
- Lewandowski A.J., Raman B., Bertagnolli M., Mohamed A., Williamson W., Pelado J.L., McCance A., Lapidaire W., Neubauer S., Leeson P. 2021. Association of preterm birth with myocardial fibrosis and diastolic dysfunction in young adulthood. J. Am. Coll. Cardiol. V. 78. P. 683.
- Li Y.Y., McTiernan C.F., Feldman A.M. 2000. Interplay of matrix metalloproteinases, tissue inhibitors of metalloproteinases and their regulators in cardiac matrix remodeling. Cardiovasc. Res. V. 46. P. 214.
- Lindsey M.L., Iyer R.P., Zamilpa R., Yabluchanskiy A., DeLeon-Pennell K.Y., Hall M.E., Kaplan A., Zouein F.A., Bratton D., Flynn E.R., Cannon P.L., Tian Y., Jin Y.F., Lange R.A., Tokmina-Roszyk D., Fields G.B., de Castro Brás L.E. 2015. A novel collagen matricryptin reduces left ventricular dilation post-myocardial infarction by promoting scar formation and angiogenesis. J. Am. Coll. Cardiol. V. 66. P. 1364.
- Matsusaka H., Ide T., Matsushima S., Ikeuchi M., Kubota T., Sunagawa K., Kinugawa S., Tsutsui H. 2006. Targeted deletion of matrix metalloproteinase 2 ameliorates myocardial remodeling in mice with chronic pressure overload. Hypertension. V. 47. P. 711.
- Meschiari C.A., Ero O.K., Pan H., Finkel T., Lindsey M.L. 2017. The impact of aging on cardiac extracellular matrix. Geroscience. V. 39. P. 7.
- Padmanabhan Iyer R., Chiao Y.A., Flynn E.R., Hakala K., Cates C.A., Weintraub S.T., de Castro Brás L.E. 2016. Matrix metalloproteinase-9-dependent mechanisms of reduced contractility and increased stiffness in the aging heart. Proteomics Clin. Appl. V. 10. P. 92.
- Saito F.H., Damasceno D.C., Kempinas W.G., Morceli G., Sinzato Y.K., Taylor K.N., Rudge M.V. 2010. Repercussions of mild diabetes on pregnancy in Wistar rats and on the fetal development. Diabetol. Metab. Syndr. V. 2. P. 26.
- Schulz C.G., Sawicki G., Lemke R.P., Roeten B.M., Schulz R., Cheung P.Y. 2004. MMP-2 and MMP-9 and their tissue inhibitors in the plasma of preterm and term neonates. Pediatr. Res. V. 55. P. 794.
- Shynlova O., Kwong R., Lye S.J. 2010. Mechanical stretch regulates hypertrophic phenotype of the myometrium during pregnancy. Reproduction. V. 139. P. 247.
- Silva A.C., Pereira C., Fonseca A.C.R.G., Pinto-do-Ó P., Nascimento D.S. 2021. Bearing my heart: the role of extracellular matrix on cardiac development, homeostasis, and injury response. Front. Cell Dev. Biol. V. 8: 621644. https://doi.org/10.3389/fcell.2020.621644
- Sugiyama A., Hirano Y., Okada M., Yamawaki H. 2018. Endostatin stimulates proliferation and migration of myofibroblasts isolated from myocardial infarction model rats. Int. J. Mol. Sci. V. 19. P. 741.
- Villano A., Barcaro G., Monti S., Barbani N., Rizzo A., Rossin D., Rastaldo R., Giachino C., Cristallini C. 2022. Molecularly imprinted nanoparticles towards MMP9 for controlling cardiac ECM after myocardial infarction: a predictive experimental-computational chemistry investigation. Biomedicines. V. 10: 2070. https://doi.org/10.3390/biomedicines10092070
- Voloshenyuk T.G., Gardner J.D. 2010. Estrogen improves TIMP-MMP balance and collagen distribution in volume-overloaded hearts of ovariectomized females. Am. J. Physiol. Regul. Integr. Comp. Physiol. V. 299. R. 683.
- Wang G.Y., Bergman M.R., Nguyen A.P., Turcato S., Swigart P.M., Rodrigo M.C., Simpson P.C., Karliner J.S., Lovett D.H., Baker A.J. 2006. Cardiac transgenic matrix metalloproteinase-2 expression directly induces impaired contractility. Cardiovasc. Res. V. 69. P. 688.
- Wang M., Zhao D., Spinetti G., Zhang J., Jiang L.Q., Pintus G., Monticone R., Lakatta E.G. 2006. Matrix metalloproteinase 2 activation of transforming growth factor-beta1 (TGF-beta1) and TGF-beta1-type II receptor signaling within the aged arterial wall. Arterioscler. Thromb. Vasc. Biol. V. 26. P. 1503.
- Yan Y., Jiang L., Li M., Zhang H., Shen Y., Zhang W., Zhang W. 2020. Levels of matrix metalloproteinase-9 and tissue inhibitor of metalloproteinase-1 are related to cardiopulmonary injury in fetal inflammatory response syndrome. Clinics (Sao Paulo). V. 75. e2049. Cpeз https://doi.org/10.6061/clinics/2020/e2049




