Пространственное разрешение изображений и эффективный размер фокуса тормозного излучения усовершенствованного компактного бетатрона SEA-7 с энергией электронов 7 МэВ
- Авторы: Рычков М.М.1, Каплин В.В.1, Смолянский В.А.1
-
Учреждения:
- Национальный исследовательский Томский политехнический университет
- Выпуск: № 1 (2024)
- Страницы: 107-114
- Раздел: ОБЩАЯ ЭКСПЕРИМЕНТАЛЬНАЯ ТЕХНИКА
- URL: https://bakhtiniada.ru/0032-8162/article/view/263958
- DOI: https://doi.org/10.31857/S0032816224010158
- EDN: https://elibrary.ru/FPHDJD
- ID: 263958
Цитировать
Полный текст
Аннотация
Представлены экспериментальные результаты по определению разрешающей способности радиографии с использованием тормозного излучения усовершенствованного компактного бетатрона SEA-7 с энергией 7 МэВ. Измерения проведены с использованием рентгеновской пленки AGFA NDT D4 PbVacuPac и индикатора качества изображений Duplex IQI (model EN 462-5). Полученные результаты демонстрируют различное разрешение (около 0.16 мм) пар тонких проволок индикатора в разных областях конуса излучения, т.е. различный горизонтальный размер эффективного фокуса излучения (около 0.2 мм), что необходимо учитывать при анализе радиографических изображений реальных объектов. Оценен также вертикальный размер фокуса излучения (около 1.4 мм), который перпендикулярен плоскости орбиты электронов.
Полный текст
1. ВВЕДЕНИЕ
Бетатроны активно используются для получения высокоэнергетических пучков излучения для рентгенографии и томографии. Ускоренные электроны направляются на широкую и толстую пластину из тяжелого металла для генерации тормозного излучения со спектром до энергии электронов и субмиллиметровым фокусом. Компактные бетатроны с энергией электронов до 10 МэВ могут эффективно использоваться для неразрушающего радиографического и томографического контроля крупногабаритных изделий. В настоящее время для этой цели используются высокоэнергетические рентгеновские трубки, но возможная энергия фотонов их микрофокусного излучения гораздо ниже, чем в случае бетатронов.
Кроме малого фокуса источника излучения для высокоразрешающей радиографии и томографии значимым свойством генерированного излучения является также неизменность размера фокуса от угла излучения. Но для бетатронов не существует принятой процедуры измерения размера фокуса жесткого тормозного излучения. Методы измерения размера фокуса источника излучения, приведенные в европейском стандарте EN 12543, применимы для рентгеновских трубок с напряжением до 500 кВ. Российский стандарт ГОСТ 22091.9–86 применим только для трубок низкой и средней мощности.
В данной работе представлены экспериментальные результаты по наблюдению зависимости разрешающей способности радиографии с использованием тормозного излучения усовершенствованного компактного бетатрона SEA-7 (Small-Sized Electron Accelerator) с энергией 7 МэВ [1] от направления излучения. Мощность излучения SEA-7 в два раза выше мощности излучения предыдущей версии бетатрона PXB-7 (Portable X-Ray Betatron) с энергией электронов 7 МэВ. Кроме этого, блок питания SEA-7 совершеннее, а его масса примерно в два раза меньше, чем у его предшественника. Такая “потеря веса” делает этот прибор мобильнее и легче в эксплуатации.
Полученные результаты по разрешающей способности радиографии с SEA-7 позволили также оценить изменение размера эффективного фокуса тормозного излучения бетатрона при изменении направления излучения. Эксперименты проведены с использованием рентгеновской пленки AGFA NDT D4 Pb VacuPac и индикатора качества изображений Duplex IQI (model EN 462-5 [2]).
2. ЭКСПЕРИМЕНТАЛЬНАЯ УСТАНОВКА
Схема экспериментальной установки показана на рис. 1а. Специальная система увеличения радиуса орбиты электронов после их ускорения в камере 1 усовершенствованного бетатрона SEA-7 обеспечивала сброс циркулирующего электронного пучка на молибденовую мишень 2 толщиной 0.6 мм, установленную на инжекторе электронов. Схема генерации тормозного излучения ускоренными электронами в мишени на инжекторе электронов приведена на рис. 1б. Фотография вскрытого бетатрона показана на рис. 1в.
Рис. 1. а) Схема экспериментальной установки (вид сверху): 1 – камера бетатрона, 2 – мoлибденовая мишень на инжекторе электронов, 3 – медный фильтр, 4 – дозиметр излучения, 5 – Duplex IQI на сборке из четырех стальных блоков в гониометре, 6 – рентгеновская пленка в держателе. б) Схема генерации тормозного излучения (γ) ускоренными электронами (e) в мишени на инжекторе электронов. в) Фотография вскрытого бетатрона SEA-7: 1 – камера бетатрона, 2 – патрубок с инжектором, 3 – дозиметр излучения.
Генерируемое излучение с энергией фотонов до 7 МэВ выходило через стенку камеры бетатрона, проходило через медный фильтр 3 толщиной 2 мм, стальные стенки дозиметра 4 толщиной 0.25 мм, прибор Duplex IQI 5, установленный на расстоянии 35 см от мишени, и попадало на рентгеновскую пленку 6, установленную на расстоянии 140 см от мишени. Стандартизованный эталон Duplex IQI [2] является индикатором нерезкости радиографических изображений и используется как эталон для измерения пространственного разрешения радиографических изображений объектов с близко расположенными малыми элементами, а также и оценки размера фокусного пятна излучения [3]. Прибор состоит из 13 пар параллельных платиновых и вольфрамовых проволок в пластиковой пластине. Проволоки в парах расположены с промежутками между ними, размеры которых равны диаметрам проволок каждой пары. Величина пространственного разрешения метода определяется по паре с наименьшим диаметром проволок, изображения которых не сливаются, т.е. не образуют единое изображение. Эталон располагался в различных областях конуса излучения для определения зависимости разрешения пар проволок от направления излучения и определения такой зависимости для размера эффективного фокуса излучения.
Полученные с геометрическим увеличением К = 4 рентгенографические изображения эталона Duplex IQI обрабатывались с помощью сканера для их анализа и получения денситограмм негативных или позитивных изображений.
3. УГЛОВОЕ РАСПРЕДЕЛЕНИЕ ТОРМОЗНОГО ИЗЛУЧЕНИЯ БЕТАТРОНА SEA-7
На рис. 2а приведена фотография углового распределения тормозного излучения, генерированного во внутренней молибденовой мишени бетатрона SEA-7 толщиной 0.6 мм. Денситограмма изображения пучка излучения, которая демонстрирует распределение плотности почернения вдоль горизонтальной линии, проходящей через центр (символы “0”) пятна почернения, приведена на рис. 3б. Символы “*” на изображении пучка излучения и стрелки 1–3 на денситограмме показывают три положения 10-й пары проволок эталона Duplex IQI при проведении измерений, описанных ниже.
Рис. 2. а) Фотография пучка тормозного излучения, генерируемого электронами с энергией 7 МэВ бетатрона SEA-7. б) Профиль плотности почернения вдоль горизонтальной линии, проходящей через центр пятна почернения (символы “0” на фотографии и сплошная стрелка “0” (θγ = 0) на денситограмме. Символы “*” на фотографии пучка излучения и стрелки 1–3 на денситограмме показывают положения 10-й пары проволок стандарта при проведении измерений.
4. РАЗРЕШЕНИЕ ПАР ПРОВОЛОК ЭТАЛОНА DUPLEX IQI
На рис. 3а приведены увеличенное (К = 4) изображение части эталона Duplex IQI с 10-й–4-й парами проволок (10–4), а на рис. 3б – денситограмма изображений этих пар, которая была измерена вдоль линии, перпендикулярной изображениям пар проволок. Эталон был установлен горизонтально в пучке тормозного излучения на сборке из четырех стальных параллелепипедов (9×9×50 мм3) с зазорами шириной 10 мкм между ними. На просветленном участке изображения сборки видны изображения зазоров между ее частями.
Рис. 3. а) Увеличенное (К = 4) изображение части стандарта Duplex IQI c 10-й–4-й парами проволок (10 – 4), установленного горизонтально в пучке тормозного излучения на сборке из четырех стальных параллелепипедов. б) Денситограмма, демонстрирующая разрешения 10-й–4-й пар проволок (10–4), и увеличенный участок денситограммы, соответствующий 10-й паре проволок (10). Денситограмма измерена вдоль горизонтальной линии, которая перпендикулярна изображениям пар.
Эталон Duplex IQI был размещен в конусе излучения так, что 10-я пара проволок 10 располагалась на угловом расстоянии 3.5° (θγ = – 3.5°, рис. 2) от оси пучка излучения и была перпендикулярна плоскости орбиты электронов. Видно, что надежно разрешаются 9-я–4-я пары проволок (9–4) c диаметрами D = 0.13, 0.16, 0.2, 0.25, 0.32, 0.4 мм соответственно, а изображения проволок 10-й пары с D = 0.1 мм 10 разрешаются, но перекрыты сильнее и образуют асимметричный по форме двойной минимум на денситограмме.
Согласно стандарту ISO 17636-2 [4], разрешение метода радиографии в данной геометрии определяется по денситограмме той пары проволок эталона, модуляция плотности почернения которой не менее R = 20%. Для 9-й пары 9 эта величина составляет около R = 56%. Для 10-й пары 10 эту величину трудно точно определить из-за сильной асимметрии ее профиля почернения. Но модуляция плотности почернения существенна и поэтому будем считать, что величина разрешения для этой области конуса излучения несколько меньше расстояния 0.2 мм между осями проволок этой пары.
На рис. 4 приведены денситограммы изображений эталона Duplex IQI, когда он был перемещен в конусе излучения от первоначального положения так, что 10-я пара проволок 10 располагалась практически в центре (θγ = 0.2°, рис. 2) пучка излучения (рис. 4а) и под углом 1.4° (θγ = 1.4°, рис. 2) к оси пучка излучения (рис. 4б).
Рис. 4. Денситограммы изображений части стандарта Duplex IQI, когда 10-я пара проволок (10) расположена практически в центре (θγ = 0.2°, рис. 2) пучка излучения (а) и под углом 1.4° (θγ = 1.4°, рис. 2) к оси пучка излучения (б). Также приведены увеличенные участки денситограмм, демонстрирующие разрешения 11-й (11), 10-й (10) (а) и 12-й (12), 11-й (11) (б) пар проволок стандарта.
Денситограмма, приведенная на рис. 4а, показывает, что в положении θγ = 0.2° эталона Duplex IQI в конусе излучения хорошо разрешаются изображения проволок 10-й пары 10. При этом отношение R высоты максимума в центре двойного минимума к глубине двойного минимума распределения плотности почернения, которое характеризует глубину ее модуляции, составляет около R = 50%. Разрешение 11-й пары проволок 11 стандарта не столь выраженное. Распределение плотности почернения асимметричное, а R ≈ 27%. Можно считать, что разрешение радиографии в этой части конуса излучения составляет около 0.16 мм.
Денситограмма, приведенная на рис. 4б, показывает, что в положении θγ = 1.4° эталона Duplex IQI в конусе излучения хорошо разрешаются изображения проволок 11-й пары 11. Распределение плотности почернения этой пары становится симметричным, а R увеличивается до 37%. Но распределение 10-й пары проволок 10 при этом положении эталона асимметричное, а R уменьшается до 0.35%. Можно считать, что разрешение радиографии в этой части конуса излучения составляет величину, несколько меньшую 0.16 мм.
5. ОЦЕНКА РАЗМЕРА ЭФФЕКТИВНОГО ФОКУСА ТОРМОЗНОГО ИЗЛУЧЕНИЯ БЕТАТРОНА SEA-7
Методы измерения фокуса тормозного излучения бетатронов при использовании дырочных и щелевых коллиматоров и проволочного эталона Duplex IQI исследовались ранее в работах [5–7]. В данной работе полученные денситограммы изображений эталона нерезкости Duplex IQI, расположенного в различных участках конуса тормозного излучения усовершенствованного бетатрона SEA-7, были использованы для оценки горизонтальных размеров FG эффективного фокуса излучения, испускаемого под различными углами. Эталон Duplex IQI выполнен по стандарту EN_462-5 и состоит из 13 пар платиновых и вольфрамовых проволок с различными диаметрами D и промежутками между проволоками пары, равными их диаметрам. Метод оценки основан на соотношении между базовым пространственным разрешением SRb и размером F фокусного пятна. Для этого используется уравнение (5) из работы [2]:
где Ui – максимальная нерезкость изображения, определяемая по изображению эталона, а SRb – базовое пространственное разрешение. Уравнение используется для оценки размера фокуса источника после установления базового пространственного разрешения SRb и максимальной нерезкости изображения Ui в эксперименте по паре с R не менее 20%. Для оценки размера фокуса источника по приведенной выше формуле использовались параметры SRb = D и Ui = 2D той пары проволок эталона Duplex IQI, изображения проволок которой почти сливаются в единое целое и если разрешение детектора гораздо меньше D. Это означает приближенно, что полуширина ∆а0.5 так называемой геометрической нерезкости ∆а1 изображения проволоки равна увеличенной в К раз ширине промежутка S между проволоками этой пары (∆а0.5 = ∆а1/2 = (K – 1)·F/2), которая равна диаметру D проволок, S = D. Это дает F ≈ 2КD/(K – 1). Отметим, что при увеличении К величина F, определяемая приведенной выше формулой, стремится к величине F, определяемой последней простой формулой. Но будем иметь в виду, что для жесткого излучения бетатронов нет стандартизованных методов таких измерений. Описанные методы в европейском стандарте EN 12543 применимы для рентгеновских трубок с напряжением до 500 кВ. Российский стандарт ГОСТ 22091.9–86 подходит только для рентгеновских трубок с низкой и средней энергиями излучения. Изготовители также указывали, что эталон Duplex IQI применим до энергии фотонов излучения 400 кэВ. При его использовании для излучения с энергией в мегаэлектронвольтном диапазоне результаты могут быть не совсем удовлетворительными.
На денситограммах, приведенных выше, были выделены пары проволок, параметры которых можно использовать для оценки размера эффективного фокуса тормозного излучения бетатрона SEA-7. Это 10-я и 11-я пары, денситограммы которых приведены на рис. 3б и 4a, б. По 10-й паре (10 на рис. 3б) горизонтальный размер FG эффективного фокуса источника составляет несколько менее 0.26 мм, по 11-й паре (11 на рис. 4a) – около 0.21 мм и по 11-й паре (11 на рис. 4б) – несколько менее 0.21 мм. Как видно, размер эффективного фокуса излучения несколько изменяется при изменении положения образца в пучке излучения. Может быть, это определяется “асимметрией” геометрии генерации излучения в мишени, расположенной на инжекторе (рис. 1б). Измеренная величина горизонтального эффективного фокуса излучения усовершенствованного бетатрона SEA-7 примерно в 1.5 раза меньше горизонтального размера фокуса предыдущей версии бетатрона с энергией электронов 7 МэВ (PXB-7), который указан, например, в работе [8].
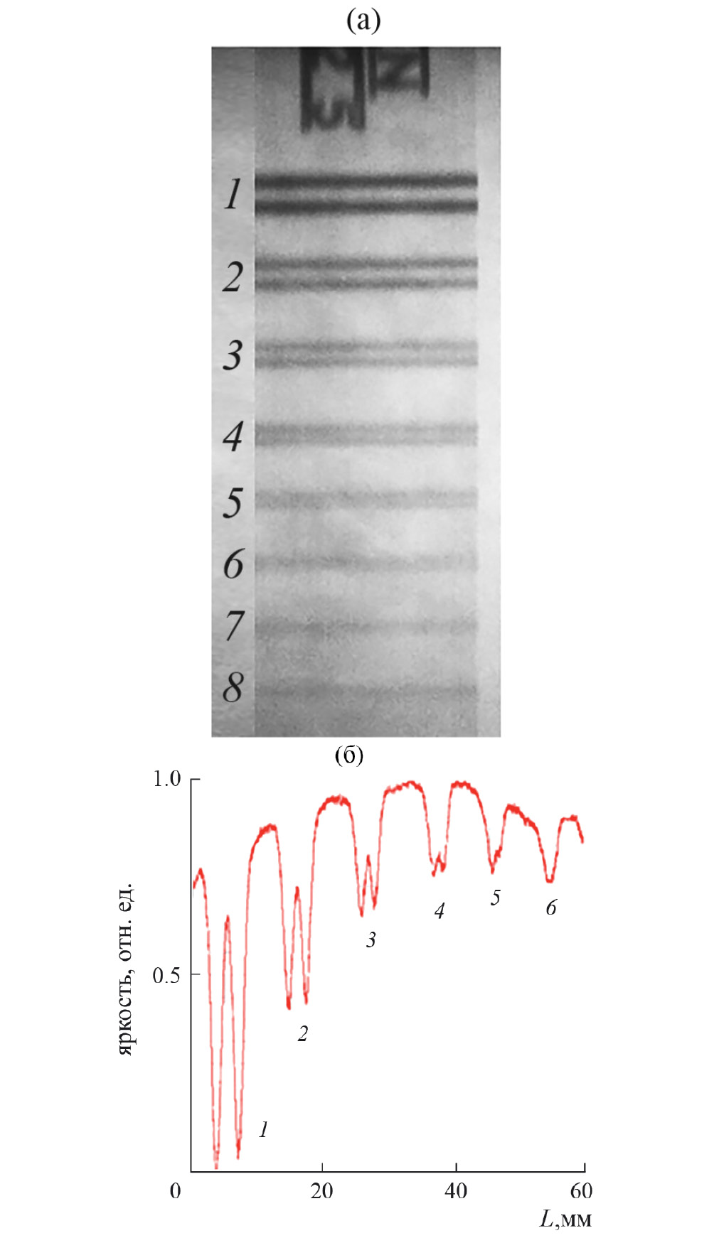
Для оценки вертикального размера FV фокуса тормозного излучения бетатрона SEA 7 эталон Duplex IQI располагался так, что 3-я пара проволок находилась в центре конуса излучения и была параллельна плоскости орбиты электронов. На рис. 5а приведено изображение Duplex IQI, полученное с увеличением К = 2.4, а на рис. 5б – денситограмма, показывающая вертикальное изменение яркости на изображении рис. 5а. Видно, что разрешаются 1-я–4-я пары проволок (1–4). Модуляция плотности почернения минимума почернения изображения 4-й пары проволок 4 с диаметром 0.4 мм составляет около R = 15%. Оценка вертикального размера фокуса тормозного излучения бетатрона SEA-7 по приведенной выше формуле дает величину около FV = 1.38 мм. Отметим, что эта величина примерно в 2 раза меньше вертикального размера фокуса излучения предыдущей версии бетатрона с энергией электронов 7 МэВ (PXB-7), который указан, например, в работе [8].
Рис. 5. а) Увеличенное (К = 2.4) изображение части стандарта Duplex IQI с 1-й–8-й парами проволок (1–8), установленного вертикально в пучке тормозного излучения. б) Денситограмма, показывающая разрешения 1-й–6-й пар проволок (1–6). Денситограмма измерена вдоль вертикальной линии, которая перпендикулярна изображениям пар.
6. НЕРЕЗКОСТЬ ИЗОБРАЖЕНИЯ КРАЯ КОРПУСА ЭТАЛОНА DUPLEX IQI И ЗАЗОРОВ В СТАЛЬНОЙ СБОРКЕ
На рис. 6 приведены денситограммы изображений края пластикового корпуса эталона Duplex IQI толщиной tp = 4 мм, когда он располагался в конусе излучения под углами θγ = –3.5° (а), –2.2° (б), –1° (в) к оси пучка излучения. Изображения края корпуса для фотометрирования были взяты из изображений эталона, полученных при его перемещениях относительно центра пучка излучения.
Рис. 6. Денситограммы изображений края пластикового корпуса эталона Duplex IQI толщиной tp = 4 мм, расположенного в пучке излучения под углами θγ = –3.5° (a), –2.2° (б), –1° (в) к оси пучка излучения (рис. 2).
Денситограммы показывают области размытия изображения края ∆а = 1.1, 1.0, 0.8 мм (рис. 6a, б, в соответственно). Эти величины отличаются от величины геометрической нерезкости ∆а1 = F·(К–1) изображений края, которая определяется размером источника излучения F и увеличением изображения К. Если взять FG = 0.26–0.21 мм, то получим ∆а1 = 0.78–0.63 мм. Но в случае края пластины нерезкость изображения края пластины определяется не только геометрической нерезкостью ∆a1, а также и так называемой в радиографии дополнительной геометрической нерезкостью ∆a2. В случае геометрической нерезкости размытие изображения определяется наложением изображений края, которые образованы различными участками протяженного источника излучения с образованием полутени шириной ∆a1.
Величина дополнительной геометрической нерезкости краевого изображения ∆a2 = K·tp·θp определяется коэффициентом увеличения изображения, длиной tp краевой поверхности вдоль пучка излучения и углом θp ее наклона относительно направления излучения. Величина дополнительной геометрической нерезкости ∆a2 равняется увеличенному в K раз размеру проекции tp·θp краевой поверхности. Здесь размывание изображения края, т.е. изменение плотности почернения в изображении края, определяется изменением толщины материала, абсорбирующего излучение, так как край в данном случае имеет клинообразную форму. Геометрические нерезкости ∆a1 и ∆a2 дополняют друг друга. Таким образом, ясно, что ориентация поверхности края вдоль пучка излучения в случае денситограммы на рис. 6в является наиболее точной. Получение изображений пар проволок эталона Duplex IQI в разных участках пучка излучения не требовало его точного ориентирования относительно направления излучения, поэтому ориентация краевой поверхности относительно пучка излучения при перемещениях по стальной сборке изменялась из-за изменения угла θγ. Например, при перемещении стандарта из положения θγ = –2.2° (рис. 6б) в положение θγ = –1° (рис. 6в) величина ∆a2 уменьшится на 0.334 мм.
На рис. 7а приведено изображение стальной сборки с зазорами (1–3) между ее частями шириной 10 мкм и длиной вдоль пучка излучения 9 мм. Денситограмма, измеренная вдоль линии, перпендикулярной изображениям зазоров, представлена на рис. 7б. Стальная сборка была установлена в конусе излучения так, что зазоры 1, 2, 3 были расположены под углами θγ = 0.74°, – 0.74°, – 2.22° соответственно к оси пучка излучения. Из денситограммы следует, что ширина максимумов 1, 2, соответствующих зазорам 1, 2 на половине их высоты, составляет ΔSG ≈ 0.6, 1.1 мм. Для зазора 3 денситограмма демонстрирует двойной слабоинтенсивный максимум 3 с расстоянием между максимумами около 1.5 мм. Возможная величина геометрического размытия изображений зазоров составляет ∆a1 = 0.63 мм, если взять FG = 0.21 мм для зазоров, которые расположены вблизи центра углового распределения излучения. Эта величина близка к наблюдаемой ширине ΔSG1 максимума 1 денситограммы, которая гораздо меньше величины наблюдаемого размытия ΔSG2 максимума 2 денситограммы. Ясно, что такое различие определяется вкладом в ΔSG2 дополнительной геометрической нерезкости ∆a2 из-за наклона протяженного (около 9 мм вдоль пучка излучения) зазора 2 относительно направления излучения.
Рис. 7. a) Изображение части стальной сборки с зазорами 1, 2 и 3 между ее частями шириной 10 мкм. б) Денситограмма, показывающая профили (1 – 3) яркости изображений зазоров (1 – 3) в сборке, установленной в пучке излучения так, что зазоры 1, 2, 3 расположены под углами θγ = 0.74°, – 0.74°, – 2.22° соответственно к оси пучка излучения (рис. 2). Денситограмма была измерена вдоль горизонтальной линии, которая перпендикулярна изображениям зазоров. Также приведены увеличенные профили яркости изображений зазоров 1 и 2.
7. ЗАКЛЮЧЕНИЕ
Приведенные в данной работе результаты экспериментов показали, что разрешение пар тонких проволок индикатора качества изображений Duplex IQI различно в различных областях конуса излучения усовершенствованного компактного бетатрона SEA-7. Это свидетельствует о зависимости размера эффективного фокуса источника от направления излучения. Это необходимо учитывать при анализе проекционных изображений сложных устройств, полученных со значительным коэффициентом увеличения. Отметим, что подобные зависимости имеют место и для рентгеновских трубок, когда электронный пучок падает под некоторым углом на поверхность анода трубки, а центральный луч выходящего из окна трубки излучения примерно перпендикулярен направлению пучка электронов. При этом чем больше угол падения пучка электронов на анод, тем сильнее зависимость размера эффективного фокуса источника и пространственного разрешения радиографии от направления излучения, т.е. от положения участка объекта в конусе излучения.
Следует отметить, что измерения носят оценочный характер, так как для жесткого излучения бетатронов нет стандартизованных методов таких измерений, а эталон Duplex IQI применим до энергии фотонов излучения 400 кэВ. При использовании эталона для излучения с энергией в мегаэлектронвольтном диапазоне результаты могут быть не совсем удовлетворительными.
ФИНАНСИРОВАНИЕ РАБОТЫ
Исследование выполнено при поддержке Российского научного фонда (грант № 22-79-00249, https://rscf.ru/project/22-79-00249/).
Об авторах
М. М. Рычков
Национальный исследовательский Томский политехнический университет
Автор, ответственный за переписку.
Email: vsmol@tpu.ru
Россия, 634050, Томск, пр. Ленина, 30
В. В. Каплин
Национальный исследовательский Томский политехнический университет
Email: vsmol@tpu.ru
Россия, 634050, Томск, пр. Ленина, 30
В. А. Смолянский
Национальный исследовательский Томский политехнический университет
Email: vsmol@tpu.ru
Россия, 634050, Томск, пр. Ленина, 30
Список литературы
- http://rareearth.ru/ru/news/20170222/02990.html
- Website of the IE-NTD Ltd: www.ie-ndt.co.uk/imagequalityindex.html
- Bavendiek K., Ewert U., Riedo A., Heike U., Zscherpel U. 18th World Conf. Nondestruct. Testing. Durban, 2012. P. 16. http://www.ndt.net/article/wcndt2012/papers/346_ wcndtfinal00346.pdf
- ISO 17636-2 Non-destructive testing of welds. Radiographic testing: Part 2: X- and gamma-ray techniques with digital detectors. Moscow, Standardinform. 2018. P. 53.
- https://files.ncontrol.ru/upload/storage/blog/ndt/gost_ 17636-2.pdf
- Sorokin V.B., Malikov E.L. // Instruments and Experimental Techniques. 2021. V. 64. № 3. P. 483. https://doi.org/10.1134/S0020441221020184
- Sorokin V.B., Lutsenko A.S., Gentselman V.G. // Instruments and Experimental Techniques. 2018. V. 61. № 2. P. 192. https://doi.org/10.1134/S0020441218020082
- Sukharnikov K.V., Rychkov M.M., Gentselman V.G. // Journal of Physics: Conference Series. 2016. V. 671. P. 012058. https://doi.org/10.1088/1742-6596/671/1/012058
- https://portal.tpu.ru/departments/institut/ink/science/ Designs/krab
Дополнительные файлы









