Toxicity Study of Pharmacological Pair Encapsulated Citrobacter freundii C115H Methionine γ-Lyase / Methiin
- Authors: Revtovich S.V.1, Kulikova V.V.1, Koval V.S.1, Lyfenko A.D.1, Kazakov V.A.2, Chernov A.S.2, Telegin G.B.2, Zemskaya A.S.1, Anufrieva N.V.1, Morozova E.A.1, Solyev P.N.1
-
Affiliations:
- Engelhardt Institute of Molecular Biology of the Russian Academy of Sciences
- Shemyakin-Ovchinnikov Institute of Bioorganic Chemistry of the Russian Academy of Sciences
- Issue: Vol 58, No 6 (2024)
- Pages: 953-965
- Section: ПОЛУЧЕНИЕ И СТРУКТУРНО-ФУНКЦИОНАЛЬНЫЙ АНАЛИЗ ПРОТИВОМИКРОБНЫХ СРЕДСТВ
- URL: https://bakhtiniada.ru/0026-8984/article/view/280776
- DOI: https://doi.org/10.31857/S0026898424060064
- EDN: https://elibrary.ru/HMWQWG
- ID: 280776
Cite item
Abstract
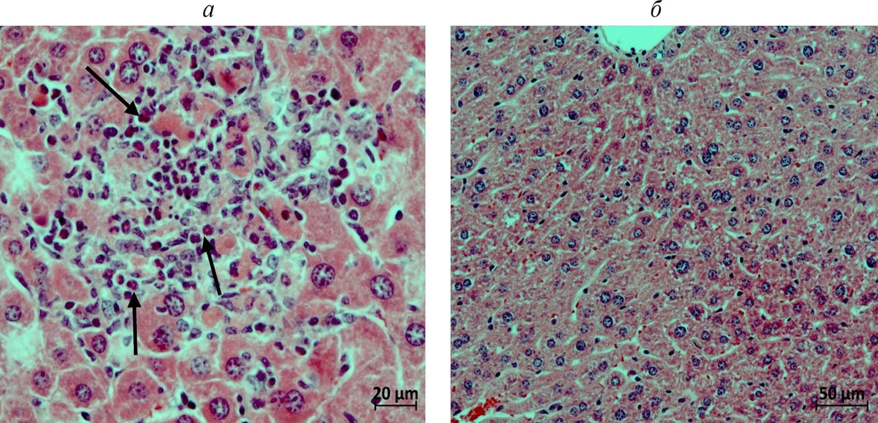
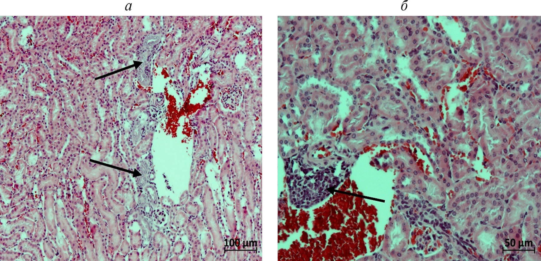
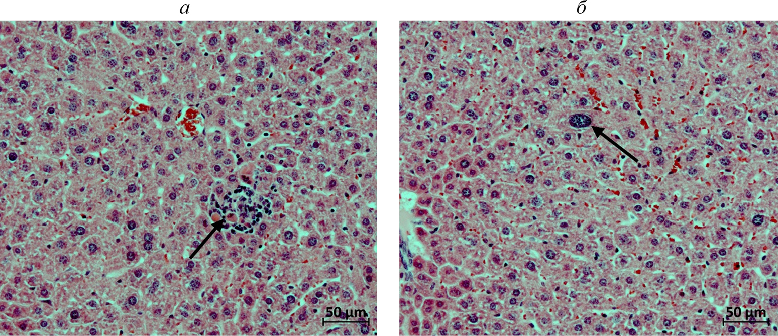
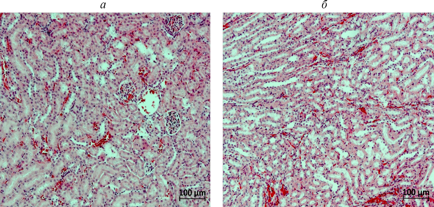
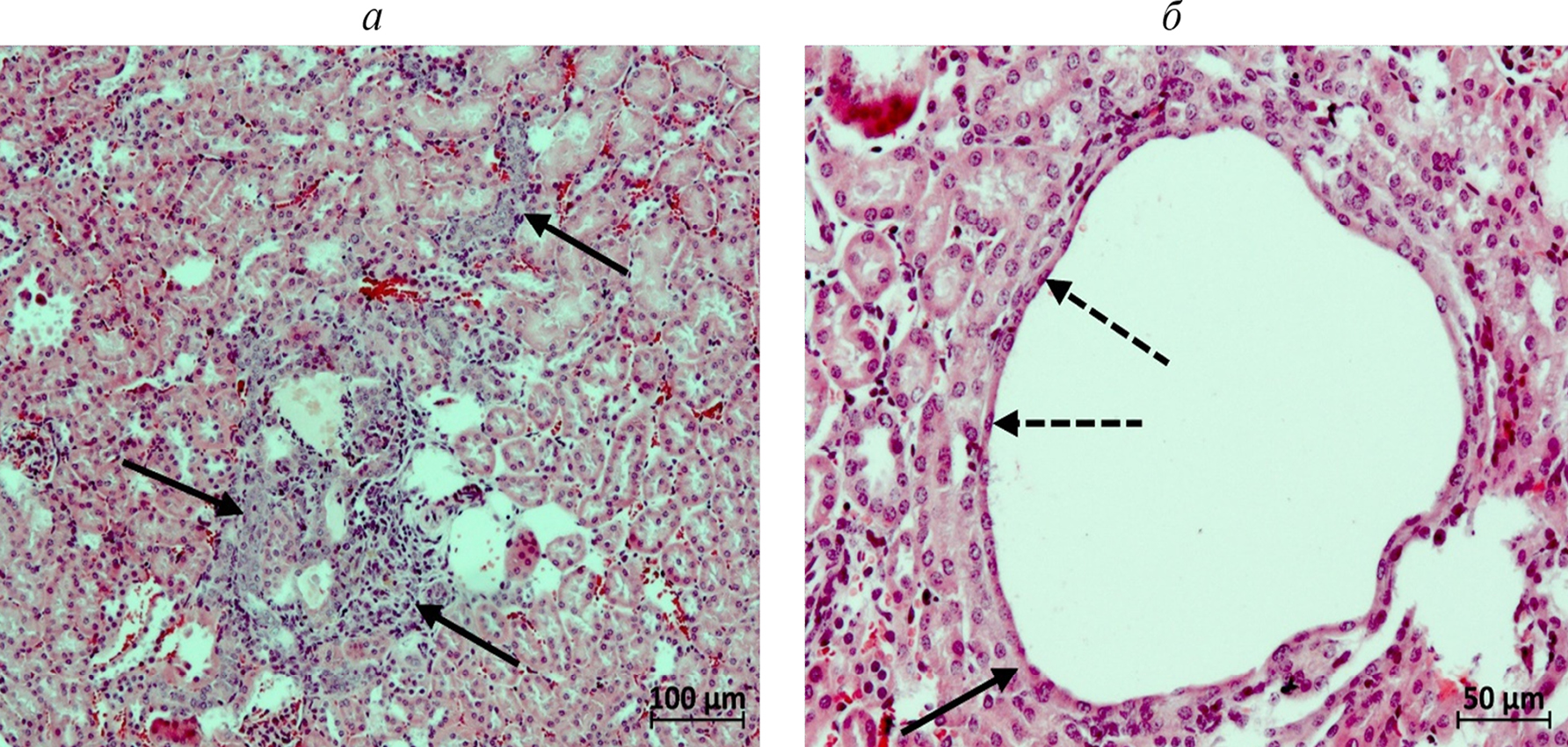
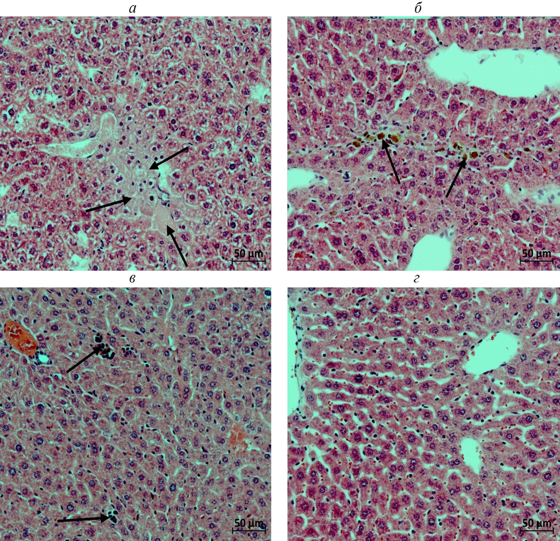
The acute and subchronic toxicity of the pharmacological pair based on encapsulated Citrobacter freundii C115H methionine γ-lyase enzyme/prodrug (methiin) was studied in female ICR mice. The drug showed a weak/moderate dose-dependent hepatotoxic effect. Most of the identified changes in liver morphology were insignificant or mild deviations from the norm. Long-term use of a single therapeutic dose per mouse of 1.5 U C. freundii C115H methionine γ-lyase @ (PEG−P(Asp)70/PLL70)-PICsome / 2 mg methiin led to a slight decrease in the weight of animals without obvious signs of intoxication. A quarter of the animals in this group had no deviations from the norm in liver morphology. No nephrotoxic effect in all study groups was found.
Full Text
About the authors
S. V. Revtovich
Engelhardt Institute of Molecular Biology of the Russian Academy of Sciences
Author for correspondence.
Email: svetla21@mail.ru
Russian Federation, Moscow, 119991
V. V. Kulikova
Engelhardt Institute of Molecular Biology of the Russian Academy of Sciences
Email: svetla21@mail.ru
Russian Federation, Moscow, 119991
V. S. Koval
Engelhardt Institute of Molecular Biology of the Russian Academy of Sciences
Email: svetla21@mail.ru
Russian Federation, Moscow, 119991
A. D. Lyfenko
Engelhardt Institute of Molecular Biology of the Russian Academy of Sciences
Email: svetla21@mail.ru
Russian Federation, Moscow, 119991
V. A. Kazakov
Shemyakin-Ovchinnikov Institute of Bioorganic Chemistry of the Russian Academy of Sciences
Email: svetla21@mail.ru
Russian Federation, Pushchino, Moscow Region, 142290
A. S. Chernov
Shemyakin-Ovchinnikov Institute of Bioorganic Chemistry of the Russian Academy of Sciences
Email: svetla21@mail.ru
Russian Federation, Pushchino, Moscow Region, 142290
G. B. Telegin
Shemyakin-Ovchinnikov Institute of Bioorganic Chemistry of the Russian Academy of Sciences
Email: svetla21@mail.ru
Russian Federation, Pushchino, Moscow Region, 142290
A. S. Zemskaya
Engelhardt Institute of Molecular Biology of the Russian Academy of Sciences
Email: svetla21@mail.ru
Russian Federation, Moscow, 119991
N. V. Anufrieva
Engelhardt Institute of Molecular Biology of the Russian Academy of Sciences
Email: svetla21@mail.ru
Russian Federation, Moscow, 119991
E. A. Morozova
Engelhardt Institute of Molecular Biology of the Russian Academy of Sciences
Email: svetla21@mail.ru
Russian Federation, Moscow, 119991
P. N. Solyev
Engelhardt Institute of Molecular Biology of the Russian Academy of Sciences
Email: svetla21@mail.ru
Russian Federation, Moscow, 119991
References
- Morozova E., Kulikova V., Rodionov A., Revtovich S., Anufrieva N., Demidkina T. (2016) Engineered Citrobacter freundii methionine γ-lyase effectively produces antimicrobial thiosulfinates. Biochimie. 128‒129, 92–98.
- Iciek M., Kwiecień I., Włodek L. (2009) Biological properties of garlic and garlic-derived organosulfur compounds. Environ. Mol. Mutagenesis. 50, 247–265.
- Jacob C. (2006) A scent of therapy: pharmacological implications of natural products containing redox-active sulfur atoms. Nat. Prod. Rep. 23, 851–863.
- Kim S., Kubec R., Musah R. A. (2006) Antibacterial and antifungal activity of sulfur-containing compounds from Petiveria alliacea L. J. Ethnopharmacol. 104, 188–192.
- Kulikova V.V., Anufrieva N.V., Revtovich S V., Chernov A.S., Telegin G.B., Morozova E. A., Demidkina T.V. (2016) Mutant form C115H of Clostridium sporogenes methionine γ-lyase efficiently cleaves S-alk(en)yl-L-cysteine sulfoxides to antibacterial thiosulfinates. IUBMB Life. 68, 830–835.
- Leontiev R., Hohaus N., Jacob C., Gruhlke M.C.H., Slusarenko A.J. (2018) A comparison of the antibacterial and antifungal activities of thiosulfinate analogues of allicin. Sci. Rep. 8, 6763.
- Revtovich S., Lyfenko A., Tkachev Y., Kulikova V., Koval V., Puchkov V., Anufrieva N., Solyev P., Morozova E. (2023) Anticandidal activity of in situ methionine γ-lyase-based thiosulfinate generation system vs. synthetic thiosulfinates. Pharmaceuticals (Basel). 16(12), 1695.
- Small L.D., Bailey J.H., Cavallito C.J. (1947) Alkyl thiolsulfinates. J. Am. Chem. Soc. 69, 1710–1717.
- Куликова В.В., Чернуха М.Ю., Морозова Е.А., Ревтович С.В., Родионов А.Н., Коваль В.С., Аветисян Л.Р., Кулястова Д.Г., Шагинян И.А., Демидкина Т.В. (2018) Антибактериальное действие тиосульфинатов на мультирезистентные штаммы бактерий, выделенные от больных муковисцидозом. Acta Naturae. 10, 83–87.
- Anraku Y., Kishimura A., Kamiya M., Tanaka S., Nomoto T., Toh K., Matsumoto Y., Fukushima S., Sueyoshi D., Kano M.R., Urano Y., Nishiyama N., Kataoka K. (2016) Systemically injectable enzyme-loaded polyion complex vesicles as in vivo nanoreactors functioning in tumors. Angew. Chem. Int. Ed. Engl. 55, 560‒565.
- Kulikova V.V., Morozova E.A., Anufrieva N.V., Koval V.S., Lyfenko A.D., Lesnova E.I., Kushch A.A., Revtovich S.V., Demidkina T.V. (2022) Kinetic and pharmacokinetic characteristics of therapeutic methinoninе γ-lyase encapsulated in polyion complex vesicles. Biochemie. 194, 13–18.
- Morozova E., Kulikova V., Koval V., Anufrieva N., Chernukha M., Avetisyan L., Lebedeva L., Medvedeva O., Burmistrov E., Shaginyan I., Revtovich S., Demidkina T. (2020) Encapsulated methionine γ-lyase: application in enzyme prodrug therapy of Pseudomonas aeruginosa infection. ACS Omega. 5, 7782–7786.
- Morozova E., Koval V., Revtovich S., Lyfenko A., Minakov A., Chernov A., Telegin G., Kirilenko D., Chobanian A., Anufrieva N., Kulikova V., Demidkina T. (2023) Phytoestrogens decorated nanocapsules for therapeutic methionine γ-lyase targeted delivery. Biochimie. 209, 1–9.
- Миронов А.Н. (2012) Руководство по проведению доклинических исследований лекарственных средств. Часть первая. М.: Гриф и К.
- Miron T., Rabinkov A., Mirelman D., Weiner L., Wilchek M. (1998) A spectrophotometric assay for allicin and alliinase (alliin lyase) activity: reaction of 2-nitro-5-thiobenzoate with thiosulfinates. Anal. Biochem. 265, 317–325.
- Koval V., Morozova E., Revtovich S., Lyfenko A., Chobanian A., Timofeeva V., Solovieva A., Anufrieva N., Kulikova V., Demidkina T. (2022) Characteristics and stability assessment of therapeutic methionine γ-lyase-loaded polyionic vesicles. ACS Omega. 7, 959–967.
- Laemmli U. K. (1970) Cleavage of structural proteins during the assembly of the head of bacteriophage T4. Nature. 227, 680–685.
- Морозова Е.А., Бажулина Н.П., Ануфриева Н.В., Мамаева Д.В., Ткачев Я.В., Стрельцов С.А., Тимофеев В.П., Фалеев Н.Г., Демидкина Т.В. (2010) Кинетические и спектральные параметры взаимодействия Citrobacter freundii метионин–γ-лиазы с аминокислотами. Биохимия. 75, 1435–1445.
- Organization for Economic Cooperation and Development (OECD) (2008) Guidelines for the Testing of Chemicals and Food Ingredients. Section 4 (Part 407). Paris, France.
- Mennecozzi M., Landesmann B., Palosaari T., Harris G., Whelan M. (2015) Sex differences in liver toxicity – do female and male human primary hepatocytes react differently to toxicants in vitro? PLoS One. 10(4), e0122786.
- American Veterinary Medical Association (2020) AVMA Guidelines for the Euthanasia of Animals. Schaumburg (IL), USA. ISBN978–1–882691–09–8
- Mann P.C., Vahle J., Keenan C.M., Baker J.F., Bradley A.E., Goodman D.G., Harada T., Herbert R., Kaufmann W., Kellner R., Nolte T., Rittinghausen S., Tanaka T. (2012) International harmonization of toxicologic pathology: nomenclature: an overview and review of basic principles. Toxicol. Pathol. 40, 7S–13S.
- Kyung K.H., Fleming H.P. (1994) S-Methyl-L-cysteine sulfoxide as the precursor of methyl methanethiolsulfinate, the principal antibacterial compound in сabbage. J. Food Sci. 59, 350–355.
Supplementary files













