Характеристика дегидратазы δ-аминолевуленовой кислоты холодноводной губки Halisarca dujardinii
- Авторы: Кравчук О.И.1, Шагимарданова Е.И.2, Михайлов В.С.1, Жураковская А.И.1, Горностаев Н.Г.1, Адамейко К.И.1, Зиганшин Р.Х.3, Михайлов К.В.4,5, Финошин А.Д.1, Люпина Ю.В.1
-
Учреждения:
- Институт биологии развития им. Н.К. Кольцова Российской академии наук
- Научный центр “Регуляторная геномика”, Институт фундаментальной медицины и биологии, Казанский (Приволжский) федеральный университет
- Институт биоорганической химии им. академиков М.М. Шемякина и Ю.А. Овчинникова Российской академии наук
- Научно-исследовательский институт физико-химической биологии им. А.Н. Белозерского, Московский государственный университет им. М.В. Ломоносова
- Институт проблем передачи информации им. А.А. Харкевича Российской академии наук
- Выпуск: Том 57, № 6 (2023)
- Страницы: 1085-1097
- Раздел: РОЛЬ РЕДОКС-ЗАВИСИМЫХ БЕЛКОВ В РЕАЛИЗАЦИИ РЕДОКС-РЕГУЛЯЦИИ КЛЕТОК
- URL: https://bakhtiniada.ru/0026-8984/article/view/231957
- DOI: https://doi.org/10.31857/S0026898423060113
- EDN: https://elibrary.ru/QFTCTO
- ID: 231957
Цитировать
Полный текст
Аннотация
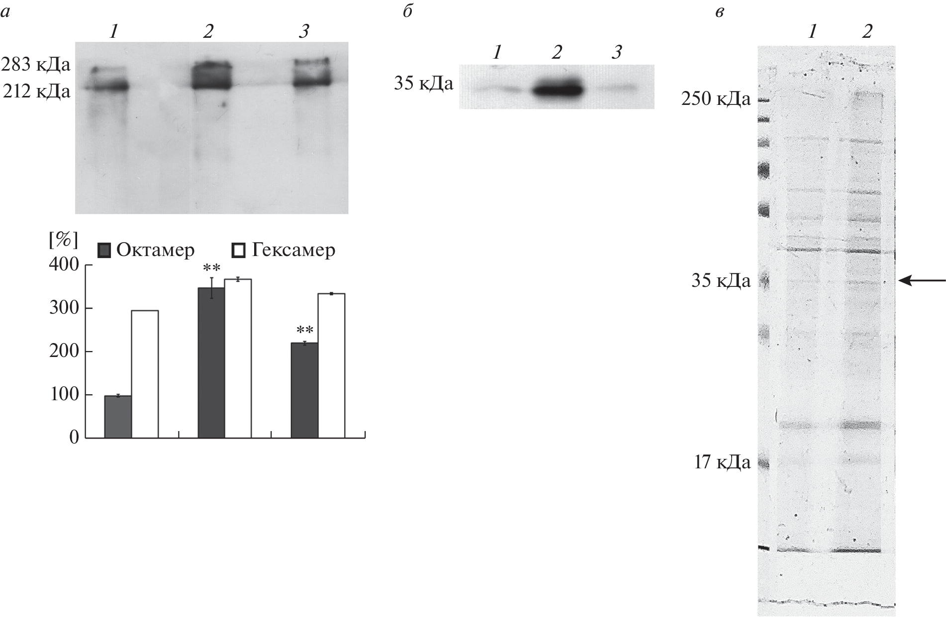
Дегидратаза δ-аминолевуленовой кислоты (ALAD) ‒ ключевой фермент цитоплазматического пути биосинтеза гема. В работе представлены структура гена ALAD холодноводной морской губки Halisarca dujardinii, мультимерная организация ALAD/hemB, а также особенности экспрессии ALAD губки в разные периоды ее репродуктивного годичного цикла. В регуляции экспрессии гена ALAD губок может участвовать транскрипционный фактор GATA-1 и метилирование ДНК. Реагрегация клеток губок сопровождается снижением экспрессии ALAD и изменением содержания активной формы ALAD/hemB в клетках. Изучение процессов биосинтеза гема и роли ALAD/hemB в морфогенетических процессах у базальных животных позволит открыть новые возможности для коррекции патологий у высших животных.
Ключевые слова
Об авторах
О. И. Кравчук
Институт биологии развития им. Н.К. Кольцова Российской академии наук
Автор, ответственный за переписку.
Email: kravchuk444@mail.ru
Россия, 119334, Москва
Е. И. Шагимарданова
Научный центр “Регуляторная геномика”, Институт фундаментальной медицины и биологии,Казанский (Приволжский) федеральный университет
Email: kravchuk444@mail.ru
Россия, 420012, Казань
В. С. Михайлов
Институт биологии развития им. Н.К. Кольцова Российской академии наук
Email: kravchuk444@mail.ru
Россия, 119334, Москва
А. И. Жураковская
Институт биологии развития им. Н.К. Кольцова Российской академии наук
Email: kravchuk444@mail.ru
Россия, 119334, Москва
Н. Г. Горностаев
Институт биологии развития им. Н.К. Кольцова Российской академии наук
Email: kravchuk444@mail.ru
Россия, 119334, Москва
К. И. Адамейко
Институт биологии развития им. Н.К. Кольцова Российской академии наук
Email: kravchuk444@mail.ru
Россия, 119334, Москва
Р. Х. Зиганшин
Институт биоорганической химии им. академиков М.М. Шемякина и Ю.А. Овчинникова Российской академии наук
Email: kravchuk444@mail.ru
Россия, 117997, Москва
К. В. Михайлов
Научно-исследовательский институт физико-химической биологии им. А.Н. Белозерского,Московский государственный университет им. М.В. Ломоносова; Институт проблем передачи информации им. А.А. Харкевича Российской академии наук
Email: kravchuk444@mail.ru
Россия, 119992, Москва; Россия, 127051, Москва
А. Д. Финошин
Институт биологии развития им. Н.К. Кольцова Российской академии наук
Email: kravchuk444@mail.ru
Россия, 119334, Москва
Ю. В. Люпина
Институт биологии развития им. Н.К. Кольцова Российской академии наук
Email: kravchuk444@mail.ru
Россия, 119334, Москва
Список литературы
- Jaffe E.K. (2020) Porphobilinogen synthase: an equilibrium of different assemblies in human health. Prog. Mol. Biol. Transl. Sci. 169, 85‒104. https://doi.org/10.1016/bs.pmbts.2019.11.003
- Finoshin A.D., Adameyko K.I., Mikhailov K.V., Kravchuk O.I., Georgiev A.A., Gornostaev N.G., Kosevich I.A., Mikhailov V.S., Gazizova G.R., Shagimardanova E.I., Gusev O.A., Lyupina Y.V. (2020) Iron metabolic pathways in the processes of sponge plasticity. PLoS One. 15, e0228722. https://doi.org/10.1371/journal.pone.0228722
- Chiabrando D., Bertino F., Tolosano E. (2020) Hereditary ataxia: a focus on heme metabolism and Fe–S cluster biogenesis. Int. J. Mol. Sci. 21, 3760. https://doi.org/10.3390/ijms21113760
- Jaffe E.K., Lawrence S.H. (2012) Allostery and the dynamic oligomerization of porphobilinogen synthase. Arch. Biochem. Biophys. 519, 144‒153. https://doi.org/10.1016/j.abb.2011.10.010
- Ge J., Yu Y., Xin F., Yang Z.J., Zhao H.M., Wang X., Tong Z.S., Cao X.C. (2017) Downregulation of delta-aminolevulinate dehydratase is associated with poor prognosis in patients with breast cancer. Cancer Sci. 108, 604‒611. https://doi.org/10.1111/cas.13180
- Ye Q., Yang X., Zheng S., Mao X., Shao Y., Xuan Z., Huang P. (2022) Low expression of moonlight gene ALAD is correlated with poor prognosis in hepatocellular carcinoma. Gene. 825, 146437. https://doi.org/10.1016/j.gene.2022.146437
- Kaya A.H., Plewinska M., Wong D.M., Desnick R.J., Wetmur J.G. (1994) Human delta-aminolevulinate dehydratase (ALAD) gene: structure and alternative splicing of the erythroid and housekeeping mRNAs. Genomics. 19, 242‒248. https://doi.org/10.1006/geno.1994.1054
- Bishop T.R., Miller M.W., Beall J., Zon L.I., Dierks P. (1996) Genetic regulation of delta-aminolevulinate dehydratase during erythropoiesis. Nucleic Acids Res. 24, 2511‒2518. https://doi.org/10.1093/nar/24.13.2511
- Desgardin A.D., Abramova T., Rosanwo T.O., Kartha S., Shim E.H., Jane S.M., Cunningham J.M. (2012) Regulation of delta-aminolevulinic acid dehydratase by Krüppel-like factor 1. PLoS One. 7, e46482. https://doi.org/10.1371/journal.pone.0046482
- Li C., Xu M., Wang S., Yang X., Zhou S., Zhang J., Liu Q., Sun Y. (2011) Lead exposure suppressed ALAD transcription by increasing methylation level of the promoter CpG islands. Toxicol. Lett. 203, 48‒53. https://doi.org/10.1016/j.toxlet.2011.03.002
- Simion P., Philippe H., Baurain D., Jager M., Richter D.J., Di Franco A., Roure B., Satoh N., Quéinnec É., Ereskovsky A., Lapébie P., Corre E., Delsuc F., King N., Wörheide G., Manuel M.A. (2017) Large and consistent phylogenomic dataset supports sponges as the sister group to all other animals. Curr. Biol. 27, 958‒967. https://doi.org/10.1016/j.cub.2017.02.031
- Wade J, Byrne D.J., Ballentine C.J., Drakesmith H. (2021) Temporal variation of planetary iron as a driver of evolution. Proc. Natl. Acad. Sci. USA. 118, e2109865118. https://doi.org/10.1073/pnas.2109865118
- Лавров А.И., Косевич И.А. (2014) Реагрегация клеток губок: механизмы и динамика процесса. Онтогенез. 45, 250‒271. https://doi.org/10.7868/S0475145014040077
- Ereskovsky A., Borisenko I.E., Bolshakov F.V., Lavrov A.I. (2021) Whole-body regeneration in sponges: diversity, fine mechanisms, and future prospects. Genes (Basel). 12, 506. https://doi.org/10.3390/genes12040506
- Sogabe S., Hatleberg W.L., Kocot K.M., Say T.E., Stoupin D., Roper K.E., Fernandez-Valverde S.L., Degnan S.M., Degnan B.M. (2019) Pluripotency and the origin of animal multicellularity. Nature. 570, 519–522. https://doi.org/10.1038/s41586-019-1290-4
- Adameyko K.I., Burakov A.V., Finoshin A.D., Mikhailov K.V., Kravchuk O.I., Kozlova O.S., Gornostaev N.G., Cherkasov A.V., Erokhov P.A., Indeykina M.I., Bugrova A.E., Kononikhin A.S., Moiseenko A.V., Sokolova O.S., Bonchuk A.N., Zhegalova I.V., Georgiev A.A., Mikhailov V.S., Gogoleva N.E., Gazizova G.R., Shagimardanova E.I., Gusev O.A., Lyupina Y.V. (2021) Conservative and atypical ferritins of sponges. Int. J. Mol. Sci. 22, 8635. https://doi.org/10.3390/ijms22168635
- Ereskovsky A.V. (2000) Reproduction cycles and strategies of the cold-water sponges Halisarca dujardini (Demospongiae, Halisarcida), Myxilla incrustans and Iophon piceus (Demospongiae, Poecilosclerida) from the White Sea. Biol. Bull. 198, 77‒87. https://doi.org/10.2307/1542805
- Haas B.J., Papanicolaou A., Yassour M., Grabherr M., Blood P.D., Bowden J., Couger M.B., Eccles D., Li B., Lieber M., MacManes M.D., Ott M., Orvis J., Pochet N., Strozzi F., Weeks N., Westerman R., William T., Dewey C.N., Henschel R., LeDuc R.D., Friedman N., Regev A. (2013) De novo transcript sequence reconstruction from RNA-seq using the Trinity platform for reference generation and analysis. Nat. Protoc. 8, 1494‒1512. https://doi.org/10.1038/nprot.2013.084
- Langmead B., Salzberg S.L. (2012) Fast gapped-read alignment with Bowtie 2. Nat. Methods. 9, 357‒359. https://doi.org/10.1038/nmeth.1923
- Li B., Dewey C.N. (2011) RSEM: accurate transcript quantification from RNA-Seq data with or without a reference genome. BMC Bioinformatics. 12, 323. https://doi.org/10.1186/1471-2105-12-323
- Адамейко К.И., Кравчук О.И., Финошин А.Д., Бончук А.Н., Георгиев А.А., Михайлов В.С., Горностаев Н.Г., Михайлов К.В., Бачева А.В., Индейкина М.И., Бугрова А.Е., Газизова Г.Р., Козлова О.С., Гусев О.А., Шагимарданова Е.И., Люпина Ю.В. (2020) Структура нейроглобина холодноводной губки Halisarca dujardinii. Молекуляр. биология. 54, 474‒479. https://doi.org/https://doi.org/10.31857/S0026898420030039
- Altschul S.F., Madden T.L., Schaffer A.A., Zhang J., Zhang Z., Miller W., Lipman D.J. (1997) Gapped BLAST and PSI-BLAST: a new generation of protein database search programs. Nucleic Acids Res. 25, 3389‒3402. https://doi.org/10.1093/nar/25.17.3389
- Slater G.S., Birney E. (2005) Automated generation of heuristics for biological sequence comparison. BMC Bioinformatics. 6, 31. https://doi.org/10.1186/1471-2105-6-31
- Katoh K., Standley D.M. (2013) MAFFT multiple sequence alignment software version 7: improvements in performance and usability. Mol. Biol. Evol. 30, 772‒780. https://doi.org/10.1093/molbev/mst010
- Nguyen L.T., Schmidt H.A., von Haeseler A., Minh B.Q. (2015) IQ-TREE: a fast and effective stochastic algorithm for estimating maximum-likelihood phylogenies. Mol. Biol. Evol. 32, 268‒274. https://doi.org/10.1093/molbev/msu300
- Kalyaanamoorthy S., Minh B.Q., Wong T.K.F., von Haeseler A., Jermiin L.S. (2017) ModelFinder: fast model selection for accurate phylogenetic estimates. Nat. Methods. 14, 587‒589. https://doi.org/10.1038/nmeth.4285
- Hoang D.T., Chernomor O., von Haeseler A., Minh B.Q., Vinh L.S. (2018) UFBoot2: improving the ultrafast bootstrap approximation. Mol. Biol. Evol. 35, 518‒522. https://doi.org/10.1093/molbev/msx281
- Kumar S., Stecher G., Tamura K. (2016) MEGA7: molecular evolutionary genetics analysis version 7.0 for bigger datasets. Mol. Biol. Evol. 33, 1870‒1874. https://doi.org/10.1093/molbev/msw054
- Laemmli U.K. (1970) Cleavage of structural proteins during the assembly of the head of bacteriophage T4. Nature. 227, 680‒685. https://doi.org/10.1038/227680a0
- Ma B., Zhang K., Hendrie C., Liang C., Li M., Doherty-Kirby A., Lajoie G. (2003) PEAKS: powerful software for peptide de novo sequencing by tandem mass spectrometry. Rapid Commun. Mass Spectrom. 17, 2337‒2342. https://doi.org/10.1002/rcm.1196
- Williams S.T., Lockyer A.E., Dyal P., Nakano T., Churchill C.K.C., Speiser D.I. (2017) Colorful seashells: identification of haem pathway genes associated with the synthesis of porphyrin shell color in marine snails. Ecol. Evol. 7, 10379‒10397. https://doi.org/10.1002/ece3.3552
- Akagi R., Kato N., Inoue R., Anderson K.E., Jaffe E.K., Sassa S. (2006) delta-Aminolevulinate dehydratase (ALAD) porphyria: the first case in North America with two novel ALAD mutations. Mol. Genet. Metab. 87, 329‒336. https://doi.org/10.1016/j.ymgme.2005.10.011
- Inoue R., Akagi R. (2008) Co-synthesis of human delta-aminolevulinate dehydratase (ALAD) mutants with the wild-type enzyme in cell-free system-critical importance of conformation on enzyme activity. J. Clin. Biochem. Nutr. 43, 143‒153. https://doi.org/10.3164/jcbn.2008035
- Maruno M., Furuyama K., Akagi R., Horie Y., Meguro K., Garbaczewski L., Chiorazzi N., Doss M.O., Hassoun A., Mercelis R., Verstraeten L., Harper P., Floderus Y., Thunell S., Sassa S. (2001) Highly heterogeneous nature of delta-aminolevulinate dehydratase (ALAD) deficiencies in ALAD porphyria. Blood. 97, 2972‒2978. https://doi.org/10.1182/blood.v97.10.2972
- Neslund-Dudas C., Levin A.M., Rundle A., Beebe-Dimmer J., Bock C.H., Nock N.L., Jankowski M., Datta I., Krajenta R., Dou Q.P., Mitra B., Tang D., Rybicki B.A. (2014) Case-only gene-environment interaction between ALAD tagSNPs and occupational lead exposure in prostate cancer. Prostate. 74, 637‒646. https://doi.org/10.1002/pros.22781
- Richard K.L., Kelley B.R., Johnson J.G. (2019) Heme uptake and utilization by Gram-negative bacterial pathogens. Front. Cell. Infect. Microbiol. 9, 81. https://doi.org/10.3389/fcimb.2019.00081
- Jaffe E.K. (2016) The remarkable character of porphobilinogen synthase. Acc. Chem. Res. 49, 2509‒2517. https://doi.org/10.1021/acs.accounts.6b00414
- Selwood T., Tang L., Lawrence S.H., Anokhina Y., Jaffe E.K. (2008) Kinetics and thermodynamics of the interchange of the morpheein forms of human porphobilinogen synthase. Biochemistry. 47, 3245‒3257. https://doi.org/10.1021/bi702113z
Дополнительные файлы









