Identification of the 67-kDa Melittin-Like Proteins Interacting with Na+/K+-ATPase
- Autores: Varfolomeeva L.A.1, Klimanova E.A.2, Sidorenko S.V.2, Fedorov D.A.2, Lopina O.D.2
-
Afiliações:
- Bach Institute of Biochemistry, Federal Research Center of Biotechnology, Russian Academy of Sciences
- Faculty of Biology, Lomonosov Moscow State University
- Edição: Volume 57, Nº 6 (2023)
- Páginas: 1077-1083
- Seção: РОЛЬ РЕДОКС-ЗАВИСИМЫХ БЕЛКОВ В РЕАЛИЗАЦИИ РЕДОКС-РЕГУЛЯЦИИ КЛЕТОК
- URL: https://bakhtiniada.ru/0026-8984/article/view/231955
- DOI: https://doi.org/10.31857/S0026898423060216
- EDN: https://elibrary.ru/QLKRWL
- ID: 231955
Citar
Texto integral
Resumo
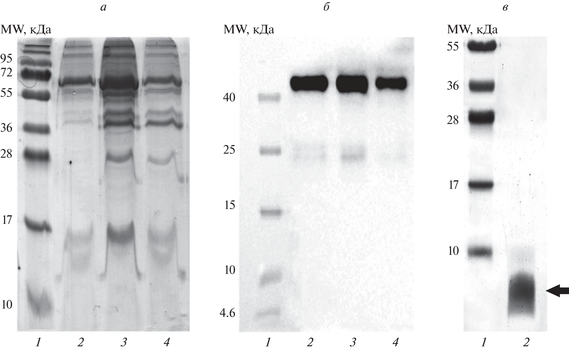
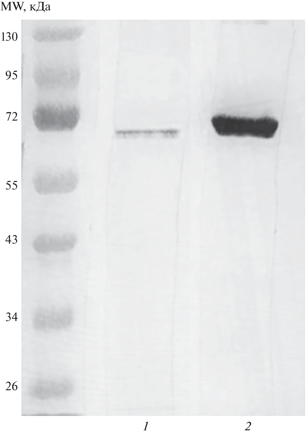
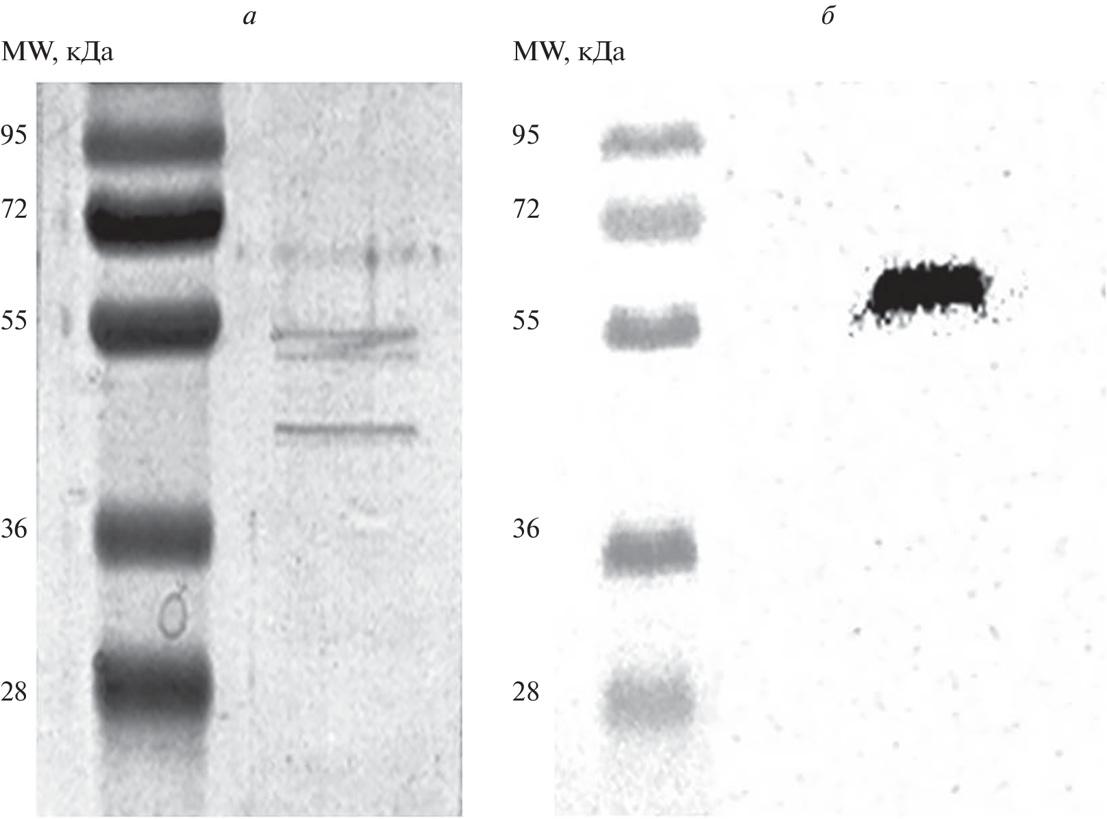
Melittin, a peptide from bee venom, was found to interact with many proteins, including calmodulin target proteins and ion-transporting P-type ATPases. It is assumed that melittin mimics a protein module involved in protein-protein interactions within cells. Previously, a Na+/K+-ATPase containing the α1 isoform of the catalytic subunit was found to co-precipitate with a protein with a molecular weight of about 70 kDa that interacts with antibodies against melittin by cross immunoprecipitation. In the presence of a specific Na+/K+-ATPase inhibitor (ouabain), the amount of protein with a molecular weight of 70 kDa was increased in the precipitate. In order to identify melittin-like protein from murine kidney homogenate, a fraction of proteins (with a molecular mass of approximately 70 kDa) was obtained using affinity chromatography with immobilized antibodies specific to melittin. By mass spectrometry analysis, the obtained protein fraction was found to contain three molecular chaperones of Hsp70 superfamily: mtHsp70 (mortalin), Hsp73 and Grp78. These data suggest that chaperones from the Hsp70 superfamily contain a melittin-like module.
Palavras-chave
Sobre autores
L. Varfolomeeva
Bach Institute of Biochemistry, Federal Research Center of Biotechnology, Russian Academy of Sciences
Email: klimanova.ea@yandex.ru
Russia, 119071, Moscow
E. Klimanova
Faculty of Biology, Lomonosov Moscow State University
Autor responsável pela correspondência
Email: klimanova.ea@yandex.ru
Russia, 119234, Moscow
S. Sidorenko
Faculty of Biology, Lomonosov Moscow State University
Email: klimanova.ea@yandex.ru
Russia, 119234, Moscow
D. Fedorov
Faculty of Biology, Lomonosov Moscow State University
Email: klimanova.ea@yandex.ru
Russia, 119234, Moscow
O. Lopina
Faculty of Biology, Lomonosov Moscow State University
Email: klimanova.ea@yandex.ru
Russia, 119234, Moscow
Bibliografia
- Raghuraman H., Chattopadhyay A. (2007) Melittin: a membrane-active peptide with diverse functions. Biosci. Rep. 27, 189–223.
- Dempsey C.E. (1990) The actions of melittin on membranes. Biochim. Biophys. Acta. 1031, 143–161.
- Kaetzel M.A., Dedman J.R. (1987) Identification of a 55-kDa high-affinity calmodulin-binding protein from Electrophorus electricus. J. Biol. Chem. 262, 1818–1822.
- Cuppoletti J., Abbott A.J. (1990) Interaction of melittin with the (Na+/K+)ATPase: evidence for a melittin-induced conformational change. Arch. Biochem. Biophys. 283, 249–257.
- Каманина Ю.В., Климанова Е.А., Дергоусова Е.А., Петрушанко И.Ю., Лопина О.Д. (2016) Идентификация участка полипептидной цепи α-субъединицы Na+/K+-АТРазы, взаимодействующего с мелиттинподобным белком c молекулярной массой 67 кДа. Биохимия. 81, 369–375.
- Cuppoletti J. (1990) [125I]azidosalicylyl melittin binding domains: evidence for a polypeptide receptor on the gastric (H+/K+)ATPase. Arch. Biochem. Biophys. 278, 409–415.
- Lowry O.H., Rosebrough N.J., Farr A.L., Randall R.J. (1951) Protein measurement with the Folin phenol reagent. J. Biol. Chem. 193, 265–275.
- Долгова Н.В., Каманина Ю.В., Акимова O.A., Орлов С.Н., Рубцов A.M., Лопина O.Д. (2007) Белок, связывание которого с Na+/K+-ATPазой регулируется уабаином. Биохимия. 72, 1061–1071.
- Laemmli U.K. (1970) Cleavage of structural proteins during the assembly of the head of bacteriophage T4. Nature. 227, 680–685.
- Rosenzweig R., Nillegoda N.B., Mayer M.P., Bukau B. (2019) The Hsp70 chaperone network. Nat. Rev. Mol. Cell Biol. 20, 665–680.
Arquivos suplementares







