Latex Agglutination as an Alternative to Hemagglutination Reaction of Influenza Viruses
- Authors: Ivanov P.A.1,2, Lyashko A.V.1, Ionov S.A.1,3, Shcherbinin D.N.1, Rudneva I.A.1, Shilov A.A.1, Bunkova N.I.1, Shmarov M.M.1,4, Timofeeva T.A.1
-
Affiliations:
- National Research Centre for Epidemiology and Microbiology named after the honorary academician N.F. Gamaleya, Ministry of Health of the Russian Federation
- Winogradsky Institute of Microbiology RC Biotechnology, Russian Academy of Sciences
- Mendeleev University of Chemical Technology
- Sechenov First Moscow State University, Ministry of Health of the Russian Federation
- Issue: Vol 57, No 5 (2023)
- Pages: 898-906
- Section: МЕТОДЫ
- URL: https://bakhtiniada.ru/0026-8984/article/view/138713
- DOI: https://doi.org/10.31857/S0026898423040092
- EDN: https://elibrary.ru/QLOTLJ
- ID: 138713
Cite item
Full Text
Abstract
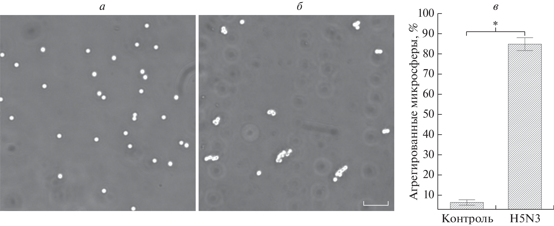
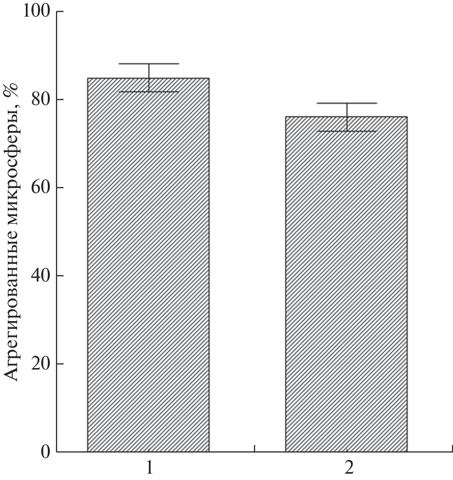
As an alternative to the classical method of erythrocyte hemagglutination, a latex agglutination assay based on the interaction of influenza viruses with the sialoglycoprotein fetuin immobilized on the surface of polystyrene microspheres, has been developed. Twelve influenza A virus strains of different subtypes and two influenza B viruses of different lines were tested. Simultaneous titration of viruses using the classical hemagglutination test and the proposed latex agglutination assay showed similar sensitivity and a high degree of correlation (R = 0.94). The obtained microspheres can be used for titration of viruses that recognize and bind sialylated glycans as receptors. In particular, latex aggregation was also induced by the Newcastle disease virus.
About the authors
P. A. Ivanov
National Research Centre for Epidemiology and Microbiology named after the honorary academician N.F. Gamaleya,Ministry of Health of the Russian Federation; Winogradsky Institute of Microbiology RC Biotechnology, Russian Academy of Sciences
Author for correspondence.
Email: ivanovpa@mail.ru
Russia, 123098, Moscow; Russia, 117312, Moscow
A. V. Lyashko
National Research Centre for Epidemiology and Microbiology named after the honorary academician N.F. Gamaleya,Ministry of Health of the Russian Federation
Email: ivanovpa@mail.ru
Russia, 123098, Moscow
S. A. Ionov
National Research Centre for Epidemiology and Microbiology named after the honorary academician N.F. Gamaleya,Ministry of Health of the Russian Federation; Mendeleev University of Chemical Technology
Email: ivanovpa@mail.ru
Russia, 123098, Moscow; Russia, 117312, Moscow
D. N. Shcherbinin
National Research Centre for Epidemiology and Microbiology named after the honorary academician N.F. Gamaleya,Ministry of Health of the Russian Federation
Email: ivanovpa@mail.ru
Russia, 123098, Moscow
I. A. Rudneva
National Research Centre for Epidemiology and Microbiology named after the honorary academician N.F. Gamaleya,Ministry of Health of the Russian Federation
Email: ivanovpa@mail.ru
Russia, 123098, Moscow
A. A. Shilov
National Research Centre for Epidemiology and Microbiology named after the honorary academician N.F. Gamaleya,Ministry of Health of the Russian Federation
Email: ivanovpa@mail.ru
Russia, 123098, Moscow
N. I. Bunkova
National Research Centre for Epidemiology and Microbiology named after the honorary academician N.F. Gamaleya,Ministry of Health of the Russian Federation
Email: ivanovpa@mail.ru
Russia, 123098, Moscow
M. M. Shmarov
National Research Centre for Epidemiology and Microbiology named after the honorary academician N.F. Gamaleya,Ministry of Health of the Russian Federation; Sechenov First Moscow State University, Ministry of Health of the Russian Federation
Email: ivanovpa@mail.ru
Russia, 123098, Moscow; Russia, 101000, Moscow
T. A. Timofeeva
National Research Centre for Epidemiology and Microbiology named after the honorary academician N.F. Gamaleya,Ministry of Health of the Russian Federation
Email: ivanovpa@mail.ru
Russia, 123098, Moscow
References
- Дерябин П.Г., Бутенко А.М., Бурцева Е.И. (2013) Реакция гемагглютинации и торможения гемагглютинации. В кн.: Руководство по вирусологии. Вирусы и вирусные инфекции человека и животных. Ред. Львов Д.К. Москва: Мед. информ. агентство. 426‒430.
- Hirst G.K. (1941) The agglutination of red cells by allantoic fluid of chick embryos infected with influenza virus. Science. 94, 22‒23.
- Hirst G.K. (1942) The quantitative determination of influenza virus and antibodies by means of red cell agglutination. J. Exp. Med. 75, 49‒64.
- Hajra T.K., Bag P.K., Das S.C., Mukherjee S., Khan A., Ramamurthy T. (2007) Development of a simple latex agglutination assay for detection of Shiga toxin-producing Escherichia coli (STEC) by using polyclonal antibody against STEC. Clin. Vaccine Immunol. 14, 600‒604.
- Фролов Д.М., Сенина Т.В., Замарина Т.В., Храпова Н.П. (2019) Использование реакции латекс-агглютинации в ускоренном определении патогенных буркхольдерий. Проблемы особо опасных инфекций. 3, 106‒110.
- Poplin V., Boulware D.R., Bahr N.C. (2020) Methods for rapid diagnosis of meningitis etiology in adults. Biomark. Med. 14, 459‒479.
- Sedgwick A.K., Tilton R.C. (1983) Identification of Legionella pneumophila by latex agglutination. J. Clin. Microbiol. 17, 365‒368.
- Chen J., Jin M., Yu Z., Dan H., Zhang A., Song Y., Chen H. (2007) Latex agglutination test for the rapid detection of avian influenza virus subtype H5N1 and its clinical application. J. Vet. Diagn. Invest. 19, 155‒160.
- Цветкова И.В., Липкинд М.А., Закстельская Л.Я., Юсипова Н.А., Розенфельд Е.Л., (1967) Нейраминовая кислота как клеточный рецептор вируса гриппа. Биохимия. 32, 994–999.
- Gambaryan A.S., Matrosovich M.N. (1992) A solid-phase enzyme-linked assay for influenza virus receptor-binding activity. J. Virol. Methods. 39, 111–123.
- Matrosovich M.N., Gambaryan A.S. (2022) Characterization of influenza virus binding to receptors on isolated cell membranes. Methods Mol. Biol. 2556, 149–168.
- Boravleva E., Treshchalina A., Postnikova Y., Gambaryan A., Belyakova A., Sadykova G., Prilipov A., Lomakina N., Ishmukhametov A. (2022) Molecular characteristics, receptor specificity, and pathogenicity of avian influenza viruses isolated from wild ducks in Russia. Int. J. Mol. Sci. 23, 10829.
- Quash G.A., Aymard M., Fougerouze J., Ripoll H. (1982) A fetuin-latex agglutination test for detecting the neuraminidases of myxoviruses in allantoic fluid. J. Biol. Stand. 10(2), 115–124.
- Timofeeva T.A., Rudneva I.A., Sadykova G.K., Lomakina N.F., Lyashko A.V., Shilov A.A., Voronina O.L., Aksenova E.I., Ryzhova N.N., Kunda M.S., Asatryan M.N., Shcherbinin D.N., Timofeeva E.B., Kushch A.A., Prilipov A.G., Adams S.E., Logunov D.Y., Narodisky B.S., Gintsburg A.L. (2020) Variability of nonpathogenic influenza virus H5N3 under immune pressure. Acta Virol. 64, 480‒489.
- Шубладзе А.К., Гайдамович С.Я. (1964) Краткий курс практической вирусологии. Москва: Медгиз, 379 с.
- Гамбарян А.С., Матросович М.Н. (2015) Какие адаптационные изменения в гемагглютинине и нейраминидазе нужны для возникновения пандемического вируса гриппа из птичьего предшественника? Обзор. Биохимия. 80, 1040‒1048.
- Jankowski M.D., Glaberman S.R., Kimball D.B., Taylor-McCabe K.J., Fair J.M. (2019) Sialic acid on avian erythrocytes. Comp. Biochem. Physiol. B Biochem. Mol. Biol. 238, 110336.
- Green E.D., Adelt G., Baenziger J.U., Wilson S., Van Halbeek H. (1988) The asparagine-linked oligosaccharides on bovine fetuin. Structural analysis of N‑glycanase-released oligosaccharides by 500-megahertz 1H NMR spectroscopy. J. Biol. Chem. 263, 18253–18268.
- Guttman M., Lee K.K. (2016) Site-specific mapping of sialic acid linkage isomers by ion mobility spectrometry. Anal. Chem. 88, 5212‒5217.
- Sawada T. (2012) Chemical insight into the influenza A virus hemagglutinin binding to the sialoside revealed by the fragment molecular orbital method. Open Glycoscience. 5, 26‒30.
Supplementary files








