Recombinase Polymerase Amplification for Rapid Detection of Human Bacterial Pneumonia Pathogens
- Authors: Lapa S.A.1, Surzhikov S.A.1, Blagodatskikh S.A.2, Shershov V.E.1, Chudinov A.V.1
-
Affiliations:
- Engelhardt Institute of Molecular Biology, Russian Academy of Sciences
- Scientific Center of Applied Microbiology and Biotechnology
- Issue: Vol 57, No 3 (2023)
- Pages: 539-545
- Section: МЕТОДЫ
- URL: https://bakhtiniada.ru/0026-8984/article/view/138645
- DOI: https://doi.org/10.31857/S0026898423030072
- EDN: https://elibrary.ru/CHGYQF
- ID: 138645
Cite item
Full Text
Abstract
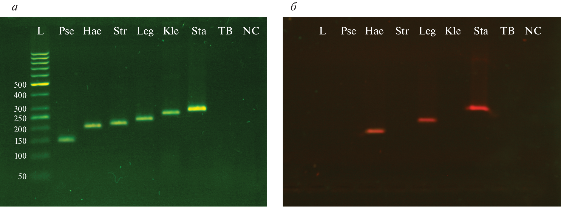
A diagnostic system based on recombinase polymerase amplification (RPA) has been developed to identify six bacterial pathogens of human pneumonia. Species-specific primers have been designed and optimized to conduct a multiplex reaction in one common volume. Labeled primers were used for reliable discrimination of amplification products close in size. Identification of the pathogen was carried out by visual analysis of the electrophoregram. The analytical sensitivity of the developed multiplex RPA was 102‒103 copies of DNA. The specificity of the system was determined by the absence of cross-amplification of the studied DNA samples of pneumonia pathogens for each pair of primers, as well as for the DNA of Mycobacterium tuberculosis H37rν, and amounted to 100%. The analysis execution time is less than an 1 h, including electrophoretic reaction control. The test system can be used in specialized clinical laboratories for rapid analysis of samples from patients with suspected pneumonia.
About the authors
S. A. Lapa
Engelhardt Institute of Molecular Biology, Russian Academy of Sciences
Author for correspondence.
Email: lapa@biochip.ru
Russia, 119991, Moscow
S. A. Surzhikov
Engelhardt Institute of Molecular Biology, Russian Academy of Sciences
Email: lapa@biochip.ru
Russia, 119991, Moscow
S. A. Blagodatskikh
Scientific Center of Applied Microbiology and Biotechnology
Email: lapa@biochip.ru
Russia, 142279, Moscow Region, Obolensk
V. E. Shershov
Engelhardt Institute of Molecular Biology, Russian Academy of Sciences
Email: lapa@biochip.ru
Russia, 119991, Moscow
A. V. Chudinov
Engelhardt Institute of Molecular Biology, Russian Academy of Sciences
Email: lapa@biochip.ru
Russia, 119991, Moscow
References
- Campigotto A., Mubareka S. (2015) Influenza-associated bacterial pneumonia; managing and controlling infection on two fronts. Expert. Rev. Anti. Infect. Ther. 13, 55–68.
- Noskin G.A., Glassroth J. (1996) Bacterial pneumonia associated with HIV-1 infection. Clin. Chest. Med. 17, 713–723.
- Henig O., Kaye K.S. (2017) Bacterial pneumonia in older adults. Infect. Dis. Clin. North. Am. 31, 689–713.
- Eshwara V.K., Mukhopadhyay C., Rello J. (2020) Community-acquired bacterial pneumonia in adults: an update. Indian. J. Med. Res. 151, 287–302.
- Harris M., Clark J., Coote N., Fletcher P., Harnden A., McKean M., Thomson A. (2011) British thoracic society standards of care committee. British thoracic society guidelines for the management of community acquired pneumonia in children: update 2011. Thorax. 66 (Suppl. 2), ii1–ii23.
- Cunha B.A. (2006) The atypical pneumonias: clinical diagnosis and importance. Clin. Microbiol. Infect. 12(Suppl. 3), 12–24.
- Azoulay E., Russell L., Van de Louw A., Metaxa V., Bauer P., Povoa P., Montero J.G., Loeches I.M., Mehta S., Puxty K., Schellongowski P., Rello J., Mokart D., Lemiale V., Mirouse A. (2020) Diagnosis of severe respiratory infections in immunocompromised patients. Intensive Care Med. 46, 298–314.
- Mabie M., Wunderink R.G. (2003) Use and limitations of clinical and radiologic diagnosis of pneumonia. Semin. Respir. Infect. 18, 72–79.
- Budayanti N.S., Suryawan K., Iswari I.S., Sukrama D.M. (2019) The quality of sputum specimens as a predictor of isolated bacteria from patients with lower respiratory tract infections at a tertiary referral hospital, Denpasar, Bali-Indonesia. Front. Med. (Lausanne). 6, 64.
- Lee N., Rainer T.H., Ip M., Zee B., Ng M.H., Antonio G.E., Chan E., Lui G., Cockram C.S., Sung J.J., Hui D.S. (2006) Role of laboratory variables in differentiating SARS-coronavirus from other causes of community-acquired pneumonia within the first 72 h of hospitalization. Eur. J. Clin. Microbiol. Infect. Dis. 25, 765–772.
- Dorigo-Zetsma J.W., Zaat S.A., Wertheim-van Dillen P.M., Spanjaard L., Rijntjes J., van Waveren G., Jensen J.S., Angulo A.F., Dankert J. (1999) Comparison of PCR, culture, and serological tests for diagnosis of Mycoplasma pneumoniae respiratory tract infection in children. J. Clin. Microbiol. 37, 14–17.
- Лапа С.А., Клочихина Е.С., Мифтахов Р.А., Золотов А.М., Заседателев А.С., Чудинов А.В. (2020) Мультиплексная ПЦР для выявления бактериальных возбудителей инфекционной пневмонии. Биоорг. химия. 46, 550–552.
- Lapa S.A., Klochikhina E.S., Miftakhov R.A., Zasedatelev A.S., Chudinov A.V. (2021) Development of multi-primer PCR system with an open architecture for rapid detection of infectious pneumonia causative agents. AIP Conf. Proc. 2388, 030018.
- Piepenburg O., Williams C.H., Stemple D.L., Armes N.A. (2006) DNA detection using recombination proteins. PLoS Biol. 4, e204.
- Lobato I.M., O’Sullivan C.K. (2018) Recombinase polymerase amplification: basics, applications and recent advances. Trends Analyt. Chem. 98, 19–35.
- Wilson K. (2001) Preparation of genomic DNA from bacteria. Curr. Protoc. Mol. Biol. 56, 2.4.1–2.4.5.
- Лапа С.А., Мифтахов Р.А., Клочихина Е.С., Аммур Ю.И., Благодатских С.А., Шершов В.Е., Заседателев А.С., Чудинов А.В. (2021) Разработка мультиплексной ОТ-ПЦР с иммобилизованными праймерами для идентификации возбудителей инфекционной пневмонии человека. Молекуляр. биология. 55, 944–955.
- Клочихина Е.С., Шершов В.Е., Кузнецова В.Е., Лапа С.А., Чудинов А.В. (2021) Особенности оптимизации мультипраймерной ПЦР для выявления возбудителей инфекционной пневмонии человека. Тонкие хим. технологии. 16, 225–231.
Supplementary files



