Expression of the Curvularia sp. P450 Monooxygenase Gene in Escherichia coli and Confirmation of Its 7-Hydroxylation Function
- Authors: Kollerov V.V.1, Tarlachkov S.V.1, Shutov A.A.1, Donova M.V.1
-
Affiliations:
- G.K. Skryabin Institute of Biochemistry and Physiology of Microorganisms, Federal Research Center “Pushchino Scientific Center for Biological Research of the Russian Academy of Sciences”
- Issue: Vol 93, No 2 (2024)
- Pages: 189-192
- Section: SHORT COMMUNICATIONS
- URL: https://bakhtiniada.ru/0026-3656/article/view/262520
- DOI: https://doi.org/10.31857/S0026365624020168
- ID: 262520
Cite item
Full Text
Abstract
The diversity and uniqueness of fungal cytochromes P450 (CYP), capable of catalyzing the regio- and stereospecific hydroxylation of steroids, makes them important for microbiological synthesis of valuable hydroxysteroids. In the present work, the function of recombinant fungal P450 monooxygenase (CYPI) of Curvularia sp. strain VKM F-3040, a promising biocatalyst of 7-hydroxylation of androstane steroids, was studied. RT-PCR amplification of cDNA of the candidate CYPI gene and of the gene of its natural redox partner (POR), their cloning and heterologous expression in the cells of E. coli BL 21 DE(3) was carried out. In vitro experiments showed the ability of the obtained recombinant monooxygenase to catalyze hydroxylation of dehydroepiandrosterone at positions 7α and 7β. Our results expand the knowledge about fungal steroid hydroxylases and open up the prospects for the synthesis of valuable 7-hydroxysteroids by using recombinant producers.
Full Text
Известно, что представители низших эукариот, мицелиальные грибы, могут являться источником специфических Р450 монооксигеназ (CYP), способных катализировать введение гидроксильных групп по различным положениям стероидных субстратов, что делает их важным объектом в области микробиологического синтеза ценных гидроксистероидов (Nassiri-Koopaei, Faramarzi, 2015; Kristan, Rižner 2012; Durairaj et al., 2016; Girvan, Munro 2016).
Ранее нами был выявлен перспективный грибной штамм Curvularia sp. ВКМ F-3040, обладающий крайне редкой для микромицетов способностью катализировать реакцию 7β-гидроксилирования, сопряженную с введением гидроксильной группы в положение CH-7α и возможностью синтеза ценных 7-гидроксипроизводных (Коллеров и соавт., 2020). Изучение ферментативной гидроксилазной активности данного штамма и последующий транскриптомный анализ позволили выявить кандидатный ген P450 (CYPI), экспрессия которого значительно увеличивалась в ответ на индукцию клеток мицелия стероидным субстратом (Коллеров и соавт., 2022; Kollerov et al., 2023).
Целью настоящей работы являлось клонирование и гетерологическая экспрессия кандидатного гена CYPI штамма Curvularia sp. в клетках E. сoli BL 21 DE(3) с подтверждением функциональной активности рекомбинантного фермента.
Штамм мицелиального гриба Curvularia sp. ВКМ F-3040 был получен из Всероссийской коллекции микроорганизмов (ВКМ ИБФМ РАН). Грибную культуру поддерживали на сусло-агаре. Для получения мицелия первой и второй генерации использовали условия, описанные ранее (Kollerov et al., 2022).
Штаммы E. coli DH5 α и E. сoli BL 21 DE(3) выращивали при 37C в среде LB (г/л): триптон ‒ 10; дрожжевой экстракт — 5; NaCl — 10; агар — 15; рН 7.0
Суммарную РНК выделяли из индуцированного ДГЭА мицелия Curvularia sp. с использованием набора RNeasy Mini Kit (“Qiagen”, США) в соответствии с инструкциями производителя. Обратную транскрипцию и синтез кДНК проводили на основе тотальной РНК с использованием M–MLV обратной транскриптазы (набор для синтеза кДНК MINT, “Evrogen”, Россия) в соответствии с протоколом производителя. Гомогенаты разрушенных клеток, несущих рекомбинантные плазмиды со вставками целевых генов CYPI и POR смешивали в равных пропорциях и центрифугировали при 20000 об./мин в течение 30 мин. Полученный осадок (R20 000) и супернатант (S20 000) использовали для трансформации стероидного субстрата ДГЭА in vitro. Для проведения трансформации к 3 мл фракции R20 000 или S20 000 добавляли MgCl2 — 10 мМ, НАДФН — 1 мМ, ФАД — 10 мкМ, ФМН — 10 мкМ, стероид ДГЭА — 0.35 мМ и продолжали инкубирование при 220 об./мин и 28C в течение 72 ч.
ТСХ и ВЭЖХ анализ стероидных метаболитов осуществляли в условиях, описанных ранее (Kollerov et al., 2022). Времена удерживания (Rt): ДГЭА, 8.46 мин; 7α-ОН-ДГЭА, 3.53 мин; 7β-ОН-ДГЭА, 3.38 мин.
Известно, что грибные гидроксилазы, участвующие в реакциях гидроксилирования стероидных субстратов, требуют присутствия НАДФН-цитохром Р450-редуктазы (POR) для переноса электронов (Črešnar, Petrič, 2011). Среди транскриптов грибной культуры Curvularia sp., помимо обнаруженного кандидатного гена cypI (1551 п. о.), был также выявлен ген por (2091 п. о.), кодирующий синтез редокс-партнера для цитохрома P450.
Выделение РНК является важным шагом для проведения последующей обратной транскрипции, синтеза кДНК и ОТ-ПЦР амплификации целевых генов (Sánchez-Rodríguez et al., 2008).
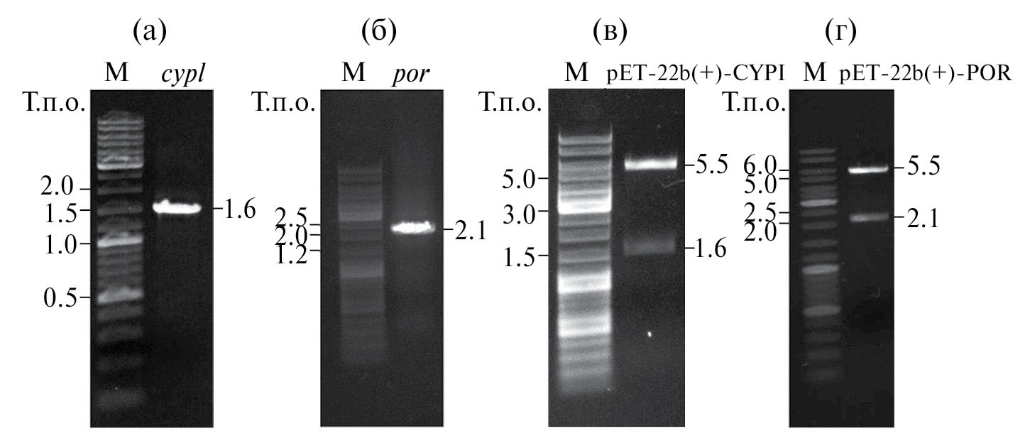
На основе суммарной РНК, выделенной из клеток индуцированного ДГЭА мицелия, был осуществлен синтез первой цепи кДНК. С использованием сконструированных ген-специфических праймеров FPCYPI и RPCYPI, а также синтезированной первой цепи кДНК и Q5 ДНК-полимеразы была проведена ОТ-ПЦР амплификация кандидатных генов CYPI и POR. На рис. 1а, 1б представлены результаты амплификации кДНК последовательностей генов CYPI и POR, свидетельствующие о чистоте полученных ПЦР-продуктов и соответствии их исходным размерам (~1.6 и 2.1 т. п. о., соответственно).
Рис. 1. Визуализация ПЦР-продуктов генов CYPI (а) и POR (б), амплифицированных с использованием в качестве матрицы первой цепи кДНК и рекомбинантной плазмиды pET-22b(+)-CYPI (в) и pET-22b(+)-POR (г) после обработки эндонуклеазами рестрикции NdeI/NotI и EcoRI/NotI, соответственно; гель-электрофорез на 0.8% агарозе (120 В; 40 мин) с окрашиванием этидиум бромидом; М — ДНК маркер (~0.5 мкг).
ПЦР-продукты генов CYPI и POR были по отдельности клонированы в плазмидный экспрессионный вектор pET-22b(+) под контроль Т7 промотора. Полученные лигазные смеси использовали для трансформации компетентных клеток E. сoli DH5α с последующим отбором положительных трансформантов на агаризованной среде LB, содержащей 100 мкг/мл ампициллина. Наличие вставок целевых генов в рекомбинантных плазмидах выделенных из выборочных положительных трансформантов подтверждали экспресс-ПЦР-реакцией с использованием ген-специфических праймеров, а также рестрикционным анализом (рис. 1в, 1г).
Полученными рекомбинантными плазмидами pET-22b(+)-CYPI и pET-22b(+)-POR была осуществлена трансформация компетентных клеток E. coli BL 21 DE(3). Биоконверсию ДГЭА проводили in vitro с применением клеточных фракций полученного рекомбинантного штамма бактерий. При трансформации ДГЭА клеточными фракциями контрольного штамма E. coli BL 21 DE(3)-pET-22b(+), несущего пустой вектор, образование гидроксилированных стероидов не выявлено (рис. 2а, варианты 1, 2).
Рис. 2. ТСХ профиль образцов трансформационной жидкости биоконверсии ДГЭА (0.1 г/л) осадком R20 000 (варианты 1, 3) и супернатантом S20 000 (варианты 2, 4), полученными из гомогената разрушенных рекомбинантных клеток E. coli BL 21 DE(3)-pET-22b(+), несущих пустой вектор (варианты 1, 2) и гомогената разрушенных рекомбинантных клеток E. coli BL 21 DE(3)-pET-22b(+)-CYPI и E. coli BL 21 DE(3)-pET-22b(+)-POR, несущих целевые гены CYPI и POR, соответственно (варианты 3, 4) (72 ч трансформации); С ‒ смесь стандартных стероидов в точке (сверху вниз): ДГЭА (2 мкг), андростендиол (3 мкг), 7β-OH-ДГЭА (2 мкг), 7α-ОН-ДГЭА (2 мкг) (а); Сравнительный ВЭЖХ анализ соединений I и II с контрольными образцами 7β-ОН-ДГЭА (б) и 7α-ОН-ДГЭА (в).
В то же время при использовании супернатанта S20 000 разрушенных клеток рекомбинантных штаммов E. coli BL 21 DE(3)-pET-22b(+)-CYPI и E. coli BL 21 DE(3)-pET-22b(+)-CPR после 72 ч инкубации в среде конверсии отмечалось образование двух продуктов трансформации (соединения I и II) (рис. 2а, вариант 4).
Соединения I и II были выделены и на основании сопоставления с аутентичными гидроксистероидами были идентифицированы как 7β-ОН-ДГЭА и 7α-ОН-ДГЭА, соответственно (рис. 2б, 2в).
Следует отметить, что в литературе сведения о грибных монооксигеназах, осуществляющих 7β-гидроксилирование стероидов, ограничены одной публикацией, в которой упоминается способность гидроксилазы CYP5150AP3, выявленной в клетках мицелия Thanatephorus cucumeris, катализировать 7β- и 6β-гидроксилирование, однако данная активность проявлялась лишь в отношении кортексолона и тестостерона (Lu et al., 2019). В данной работе впервые идентифицирована грибная гидроксилаза, катализирующая 7β-гидроксилирование ДГЭА.
Таким образом, изучение функциональной активности рекомбинантных ферментов CYPI и POR in vitro в отношении стероидного субстрата ДГЭА позволило сделать вывод в пользу того, что ген cypI в клетках грибной культуры Curvularia sp. кодирует синтез 7-гидроксилазы. Результаты расширяют представления о разнообразии стероидных гидроксилаз микромицетов и важны для биоинженерии микробных продуцентов ценных гидроксистероидов.
ФИНАНСИРОВАНИЕ РАБОТЫ
Исследование выполнено за счет гранта Российского научного фонда № 21-64-00024.
СОБЛЮДЕНИЕ ЭТИЧЕСКИХ СТАНДАРТОВ
Настоящая статья не содержит результатов исследований, в которых в качестве объектов использовались животные или люди.
КОНФЛИКТ ИНТЕРЕСОВ
Авторы заявляют об отсутствии конфликта интересов.
About the authors
V. V. Kollerov
G.K. Skryabin Institute of Biochemistry and Physiology of Microorganisms, Federal Research Center “Pushchino Scientific Center for Biological Research of the Russian Academy of Sciences”
Author for correspondence.
Email: svkollerov@rambler.ru
Russian Federation, Pushchino, 142290
S. V. Tarlachkov
G.K. Skryabin Institute of Biochemistry and Physiology of Microorganisms, Federal Research Center “Pushchino Scientific Center for Biological Research of the Russian Academy of Sciences”
Email: svkollerov@rambler.ru
Russian Federation, Pushchino, 142290
A. A. Shutov
G.K. Skryabin Institute of Biochemistry and Physiology of Microorganisms, Federal Research Center “Pushchino Scientific Center for Biological Research of the Russian Academy of Sciences”
Email: svkollerov@rambler.ru
Russian Federation, Pushchino, 142290
M. V. Donova
G.K. Skryabin Institute of Biochemistry and Physiology of Microorganisms, Federal Research Center “Pushchino Scientific Center for Biological Research of the Russian Academy of Sciences”
Email: svkollerov@rambler.ru
Russian Federation, Pushchino, 142290
References
- Kristan K., Rižner T.L. Steroid-transforming enzymes in fungi // J. Steroid. Biochem. Mol. Biol. 2012. V. 129. P. 79–91.
- https://doi.org/10.1016/j.jsbmb.2011.08.012
- Nassiri-Koopaei N., Faramarzi M.A. Recent developments in the fungal transformation of steroids // Biocatal. Biotransform. 2015. V. 33. P. 1–28.
- https://doi.org/10.3109/10242422.2015.1022533
- Kollerov V., Shutov A., Kazantsev A., Donova M. Biotransformation of androstenedione and androstadienedione by selected Ascomycota and Zygomycota fungal strains // Phytochem. 2020. V. 169. Art. 112160. https://doi.org/10.1016/j.phytochem.2019.112160
- Kollerov V., Shutov A., Kazantsev A., Donova M. Steroid modification by filamentous fungus Drechslera sp.: Focus on 7-hydroxylase and 17β-hydroxysteroid dehydrogenase activities // Fungal Biol. 2022. V. 126. P. 91‒100.
- https://doi.org/10.1016/j.funbio.2021.11.002
- Kollerov V.V., Tarlachkov S.V., Donova M.V. De novo transcriptome assembly of Curvularia sp. VKM F-3040, a promising steroid-modifying ascomycete // Microbiol. Resour. Announc. 2023.
- https://doi.org/10.1128/MRA.00663-23
- Črešnar B., Petrič Š. Cytochrome P450 enzymes in the fungal kingdom // Biochim. Biophys. Acta. 2011. V. 1814. P. 29–35.
- https://doi.org/10.1016/j.bbapap.2010.06.020
- Sánchez-Rodríguez A., Portal O., Rojas L.E., Ocaña B., Mendoza M., Acosta M., Jiménez E., Höfte M. An efficient method for the extraction of high-quality fungal total RNA to study the Mycosphaerella fijiensis-Musa spp. interaction // Mol. Biotechnol. 2008. V. 40. P. 299‒305.
- https://doi.org/10.1007/s12033-008-9092-1
- Lu W., Feng J., Chen X., Bao Y.J., Wang Y., Wu Q., Ma Y., Zhu D. Distinct regioselectivity of fungal P450 enzymes for steroidal hydroxylation // Appl. Environ. Microbiol. 2019. V. 85. Art. e01182–19.
- https://doi.org/10.1128/AEM.01182-19
Supplementary files




