Effect of the AZOBR_p60123 Plasmid Gene, Encoding the Wzt Protein, on Lipopolysaccharide Synthesis and Biofilm Formation in the Bacterium Azospirillum baldaniorum Sp245
- Authors: Petrova L.P.1, Evstigneeva S.S.1, Filip’echeva Y.A.1, Volokhina I.V.1, Burygin G.L.1, Matora .Y.1, Shelud’ko A.V.1
-
Affiliations:
- Institute of Biochemistry and Physiology of Plants and Microorganisms, Saratov Scientific Center, Russian Academy of Sciences
- Issue: Vol 92, No 3 (2023)
- Pages: 289-299
- Section: EXPERIMENTAL ARTICLES
- URL: https://bakhtiniada.ru/0026-3656/article/view/138217
- DOI: https://doi.org/10.31857/S002636562260081X
- EDN: https://elibrary.ru/FWBWKP
- ID: 138217
Cite item
Full Text
Abstract
Abstract—
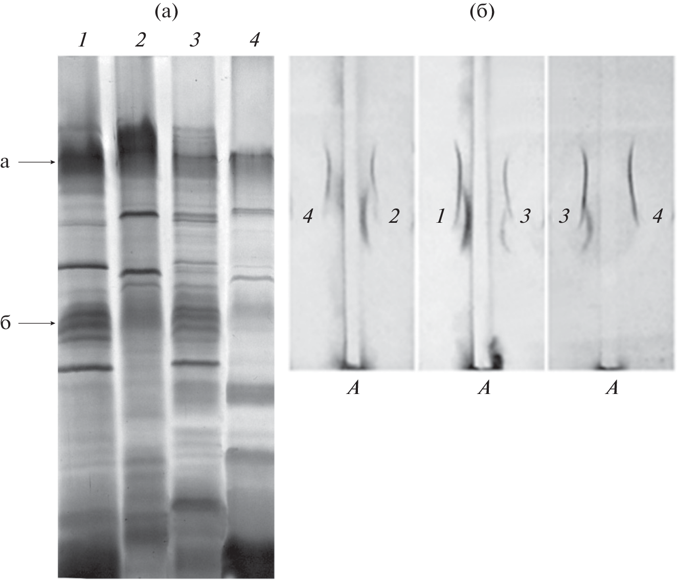
Inactivation of one of the genes (CDS AZOBR_p60123) of the ABC transporter ATP-binding protein Wzt in the p60123::aphAI mutant of Azospirillum baldaniorum Sp245 and the introduction of an additional copy of this gene into the parent or mutant strain affected the chain-length heterogeneity of O polysaccharides (OPSs) and lipopolysaccharides (LPSs), the OPS and LPS immunochemical characteristics, and the strain properties related to polysaccharide production (biofilm construction). Biofilms of the p60123::aphAI mutant Sp245.4-1-1 accumulated two times less biomass than those of Sp245. Introduction of pRK415-p60123 into the cells of Sp245.4-1-1 or Sp245 resulted in a respective increase or decrease in the ability of the resulting derivative strains to accumulate biofilm biomass, as compared with the original strains.
About the authors
L. P. Petrova
Institute of Biochemistry and Physiology of Plants and Microorganisms, Saratov Scientific Center,Russian Academy of Sciences
Author for correspondence.
Email: petrova_lp@mail.ru
Russia, 410049, Saratov
S. S. Evstigneeva
Institute of Biochemistry and Physiology of Plants and Microorganisms, Saratov Scientific Center,Russian Academy of Sciences
Email: shel71@yandex.ru
Russia, 410049, Saratov
Y. A. Filip’echeva
Institute of Biochemistry and Physiology of Plants and Microorganisms, Saratov Scientific Center,Russian Academy of Sciences
Email: shel71@yandex.ru
Russia, 410049, Saratov
I. V. Volokhina
Institute of Biochemistry and Physiology of Plants and Microorganisms, Saratov Scientific Center,Russian Academy of Sciences
Email: shel71@yandex.ru
Russia, 410049, Saratov
G. L. Burygin
Institute of Biochemistry and Physiology of Plants and Microorganisms, Saratov Scientific Center,Russian Academy of Sciences
Email: shel71@yandex.ru
Russia, 410049, Saratov
L. Y. Matora
Institute of Biochemistry and Physiology of Plants and Microorganisms, Saratov Scientific Center,Russian Academy of Sciences
Email: shel71@yandex.ru
Russia, 410049, Saratov
A. V. Shelud’ko
Institute of Biochemistry and Physiology of Plants and Microorganisms, Saratov Scientific Center,Russian Academy of Sciences
Author for correspondence.
Email: shel71@yandex.ru
Russia, 410049, Saratov
References
- Евстигнеева С.С., Сигида Е.Н., Федоненко Ю.П., Коннова С.А., Игнатов В.В. Структурные особенности капсульных и О-полисахаридов бактерий Azospirillum brasilense Sp245 при изменении условий культивирования // Микробиология. 2016. Т. 85. С. 643‒651. https://doi.org/10.7868/S0026365616060094
- Yevstigneyeva S.S., Sigida E.N., Fedonenko Y.P., Konnova S.A., Ignatov V.V. Structural properties of capsular and O-specific polysaccharides of Azospirillum brasilense Sp245 under varying cultivation conditions // Microbiology (Moscow). 2016. V. 85. P. 664–671. https://doi.org/10.1134/S0026261716060096
- Матора Л.Ю., Шварцбурд Б.И., Щеголев С.Ю. Иммунохимический анализ О-специфических полисахаридов почвенных азотфиксирующих бактерий Azospirillum brasilense // Микробиология. 1998. Т. 67. С. 815–820.
- Matora L.Yu., Shvartsburd B.I., Shchegolev S.Yu. Immunochemical analysis of O-specific polysaccharides from the soil nitrogen-fixing bacteria Azospirillum brasilense // Microbiology (Moscow). 1998. V. 67. P. 677–681.
- Матора Л.Ю., Щеголев С.Ю. Антигенная идентичность липополисахаридов, капсулы и экзополисахаридов Azospirillum brasilense // Микробиология. 2002. Т. 71. С. 211–214.
- Matora L.Y., Shchegolev S.Y. Antigenic identity of the capsule lipopolysaccharides, exopolysaccharides, and O-specific polysaccharides in Azospirillum brasilense // Microbiology (Moscow). 2002. V. 71. P. 178–181. https://doi.org/10.1023/A:1015146104397
- Петрова Л.П., Прилипов А.Г., Кацы Е.И. Выявление предполагаемых генов биосинтеза полисахаридов у штаммов Azospirillum brasilense из серогрупп I и II // Генетика. 2017. Т. 53. С. 31–42. https://doi.org/10.7868/S0016675816110102
- Petrova L.P., Prilipov A.G., Katsy E.I. Detection of putative polysaccharide biosynthesis genes in Azospirillum brasilense strains from serogroups I and II // Russ. J. Genet. 2017. V. 53. P. 39–48. https://doi.org/10.1134/S1022795416110107
- Шелудько А.В., Кулибякина О.В., Широков А.А., Петрова Л.П., Матора Л.Ю., Кацы Е.И. Влияние мутаций в синтезе липополисахаридов и полисахаридов, связывающих калькофлуор, на формирование биопленок Azospirillum brasilense // Микробиология. 2008. Т. 77. С. 358–363.
- Sheludko A.V., Kulibyakina O.V., Shirokov A.A., Petrova L.P., Matora L.Yu., Katsy E.I. The effect of mutations affecting synthesis of lipopolysaccharides and calcofluor-binding polysaccharides on biofilm formation by Azospirillum brasilense // Microbiology (Moscow). 2008. V. 77. P. 313–317. https://doi.org/10.1134/S0026261708030107
- Шелудько А.В., Филипьечева Ю.А., Телешева Е.М. Буров А.М., Евстигнеева С.С., Бурыгин Г.Л., Петрова Л.П. Характеристика углеводсодержащих компонентов биопленок Azospirillum brasilense Sp245 // Микробиология. 2018. Т. 87. С. 483–494. https://doi.org/10.1134/S0026365618050166
- Shelud’ko A.V., Filip’echeva Y.A., Telesheva E.M., Burov A.M., Evstigneeva S.S., Burygin G.L., Petrova L.P. Characterization of carbohydrate-containing components of Azospirillum brasilense Sp245 biofilms // Microbiology (Moscow). 2018. V. 87. P. 610–620. https://doi.org/10.1134/S0026261718050156
- Шелудько А.В., Филипьечева Ю.А., Шумилова Е.М., Хлебцов Б.Н., Буров А.М., Петрова Л.П., Кацы Е.И. Изменения в формировании биопленок у flhB1 мутанта бактерии Azospirillum brasilense Sp245, лишенного жгутиков // Микробиология. 2015. Т. 84. С. 175–183. https://doi.org/10.7868/s0026365615010127
- Shelud’ko A.V., Filip’echeva Y.A., Shumilova E.M., Khlebtsov B.N., Burov A.M., Petrova L.P., Katsy E.I. Changes in biofilm formation in the nonflagellated flhB1 mutant of Azospirillum brasilense Sp245 // Microbiology (Moscow). 2015. V. 84. P. 144–151. https://doi.org/10.1134/S0026261715010129
- Федоненко Ю.П., Здоровенко Э.Л., Коннова С.А. Игнатов В.В., Шляхтин Г.В. Сравнительная характеристика липополисахаридов и О-специфических полисахаридов Azospirillum brasilense Sp245 и его омегон-Km мутантов KM018 и KM252 // Микробиология. 2004. Т. 73. С. 180–187.
- Fedonenko Yu.P., Zdorovenko E.L., Konnova S.A., Ignatov V.V., Shlyakhtin G.V. A comparison of the lipopolysaccharides and O-specific polysaccharides of Azospirillum brasilense Sp245 and its Omegon-Km mutants KM018 and KM252 // Microbiology (Moscow). 2004. V. 73. P. 143–149.
- Atabek A., Camesano T.A. Atomic force microscopy study of the effect of lipopolysaccharides and extracellular polymers on adhesion of Pseudomonas aeruginosa // J. Bacteriol. 2007. V. 18 . P. 8503‒8509. https://doi.org/10.1128/JB.00769-07
- Camesano T.A., Abu-Lail N.I. Heterogeneity in bacterial surface polysaccharides, probed on a single-molecule basis // Biomacromolecules. 2002. V. 3. P. 661–667. https://doi.org/10.1021/bm015648y
- Döbereiner J., Day J.M. Associative symbiosis in tropical grass: characterization of microorganisms and dinitrogen fixing sites // Symposium on Nitrogen Fixation / Ed. Newton W.E., Nijmans C.J. Pullman: Washington State University Press, 1976. P. 518–538. https://doi.org/10.12691/aees-4-4-1
- Dos Santos Ferreira N., Sant’Anna F.H., Reis V.M., et al. Genome-based reclassification of Azospirillum brasilense Sp245 as the type strain of Azospirillum baldaniorum sp. nov. // Int. J. Syst. Evol. Microbiol. 2020. V. 70. https://doi.org/10.1099/ijsem.0.004517
- Fedonenko Y.P., Zatonsky G.V., Konnova S.A. Zdorovenko E.L., Ignatov V.V. Structure of the O-specific polysaccharide of the lipopolysaccharide of Azospirillum brasilense Sp245 // Carbohydr. Res. 2002. V. 337. P. 869–872. https://doi.org/10.1016/s0008-6215(02)00061-7
- Figurski D.H., Helinski D.R. Replication of an origin-containing derivative of plasmid RK2 dependent on a plasmid function provided in trans // Proc. Natl. Acad. Sci. USA. 1979 V. 76. P. 1648–1652. https://doi.org/10.1073/pnas.76.4.1648
- Hendriksen N.B. Microbial biostimulants – the need for clarification in EU regulation // Trends Microbiol. 2022. V. 30. P. 311‒313. https://doi.org/10.1016/j.tim.2022.01.008
- Hitchcock P.J., Brown T.M. Morphological heterogeneity among Salmonella lipopolysaccharide chemotypes in silver-stained polyacrylamide gels // J. Bacteriol. 1983. V. 154. P. 269‒277. https://doi.org/10.1128/jb.154.1.269-277.1983
- Hoang T.T., Karkhoff-Schweizer R.R., Kutchma A.J., Sc-hweizer H.P. A broad-host-range Flp-FRT recombination system for site-specific excision of chromosomally-located DNA sequences: application for isolation of unmarked Pseudomonas aeruginosa mutants // Gene. 1998. V. 212. P. 77–86. https://doi.org/10.1016/s0378-1119(98)00130-9
- Holguin G., Glick B.R. Expression of the ACC deaminase gene from Enterobacter cloacae UW4 in Azospirillum brasilense // Microb. Ecol. 2001. V. 41. P. 281–288. https://doi.org/10.1007/s002480000040
- Jucker B.A., Harms H., Hug S.J., Zehnder A.J.B. Adsorption of bacterial surface polysaccharides on mineral oxides is mediated by hydrogen bonds // Colloids Surf. B Biointerfaces. 1997. V. 9. P. 331–343. https://doi.org/10.1016/S0927-7765(97)00038-6
- Katzy E.I., Matora L.Y., Serebrennikova O.B., Scheludko A.V. Involvement of a 120-MDa plasmid of Azospirillum brasilense Sp245 in production of lipopolysaccharides // Plasmid. 1998. V. 40. P. 73–83. https://doi.org/10.1006/plas.1998.1353
- Keen N.T., Tamaki S., Kobayashi D., Trollinger D. Improved broad-host-range plasmids for DNA cloning in Gram-negative bacteria // Gene. 1980. V. 70. P. 191–197. https://doi.org/10.1016/0378-1119(88)90117-5
- Kumar S., Rai A.K., Mishra M.N., Shukla M., Singh P.K., Tripathi A.K. RpoH2 sigma factor controls the photooxidative stress response in a nonphotosynthetic rhizobacterium, Azospirillum brasilense Sp7 // Microbiology (SGM). 2012. V. 158. P. 2891–2902. https://doi.org/10.1099/mic.0.062380-0
- Lerner A., Okon Y., Burdman S. The wzm gene located on the pRhico plasmid of Azospirillum brasilense Sp7 is involved in lipopolysaccharide synthesis // Microbiology (SGM). 2009. V. 155. P. 791–804. https://doi.org/10.1099/mic.0.021824-0
- Liston S.D., Mann E., Whitfield C. Glycolipid substrates for ABC transporters required for the assembly of bacterial cell-envelope and cell-surface glycoconjugates // Biochim. Biophys. Acta. 2017. V. 1862. P. 1394–1403. https://doi.org/10.1016/j.bbalip.2016.10.008
- Livak K.J., Schmittgen T.D. Analysis of relative gene expression data using real-time quantitative PCR and the 2–ΔΔCT Method // Methods. 2001. V. 25. P. 402–408. https://doi.org/10.1006/meth.2001.1262
- Nakao R., Senpuku H., Watanabe H. Porphyromonas gingivalis galE is involved in lipopolysaccharide O-antigen synthesis and biofilm formation // Infect. Immun. 2006. V. 74. P. 6145–6153. https://doi.org/10.1128/IAI.00261-06
- Ouchterlony O., Nilsson L.A. Immunodiffusion and immunoelectrophoresis // Handbook of Experimental Immunology / Ed. Weiz D.M. Oxford: Alden Press, 1979. V. 1. P. 19–33.
- Petrova L.P., Yevstigneeva S.S., Borisov I.V., Shelud’ko A.V., Burygin G.L, Katsy E.I. Plasmid gene AZOBR_p60126 impacts biosynthesis of lipopolysaccharide II and swarming motility in Azospirillum brasilense Sp245 // J. Basic Microbiol. 2020 V. 60. P. 613–623. https://doi.org/10.1002/jobm.201900635
- Sambrook J., Fritsch E.F., Maniatis T. Molecular Cloning: A Laboratory Manual, 2nd edn. N.Y.: Cold Spring Harbor Laboratory, 1989.
- Valvano M.A., Furlong S.E., Patel K.B. Genetics, biosynthesis and assembly of O-antigen // Bacterial Lipopolysaccharides: Structure, Chemical Synthesis, Biogenesis and Interaction with Host Cells / Eds. Knirel Y.A., Valvano M.A. Wien: Springer, 2011. P. 275–310. https://doi.org/10.1016/j.carres.2003.07.009
- Vieira J., Messing J. The pUC plasmids, an M13mp7-derived system for insertion mutagenesis and sequencing with synthetic universal primers // Gene. 1982. V. 19. P. 259–268. https://doi.org/10.1016/0378-1119(82)90015-4
- Wisniewski-Dyé F., Borziak K., Khalsa-Moyers G., et al. Azospirillum genomes reveal transition of bacteria from aquatic to terrestrial environments // PLoS Genet. 2011. V. 7. P. e1002430. https://doi.org/10.1371/journal.pgen.1002430
- Zdorovenko E.L., Shashkov A.S., Zhurina M.V., Plakunov V.K., Knirel Y.A. Structure of the O-specific polysaccharides from planktonic and biofilm cultures of Pseudomonas chlororaphis 449 // Carbohydr. Res. 2015. V. 404. P. 93‒97. https://doi.org/10.1016/j.carres.2014.10.020
Supplementary files





