Fibrin- and Fibrinogenolytic Effect of Extracellular Proteinases of Microfungi Aspergillus alliaceus 7dN1 and A. terreus 2
- 作者: Osmolovskiy A.A.1,2, Klyagin S.D.1, Vashkevich T.V.1, Kurakov A.V.1, Kreyer V.G.1
-
隶属关系:
- Faculty of Biology of M.V. Lomonosov Moscow State University
- Faculty of Biotechnology of M.V. Lomonosov Moscow State University
- 期: 卷 57, 编号 4 (2023)
- 页面: 298-300
- 栏目: SHORT COMMUNICATIONS
- URL: https://bakhtiniada.ru/0026-3648/article/view/138097
- DOI: https://doi.org/10.31857/S0026364823040086
- EDN: https://elibrary.ru/VVADYR
- ID: 138097
如何引用文章
全文:
详细
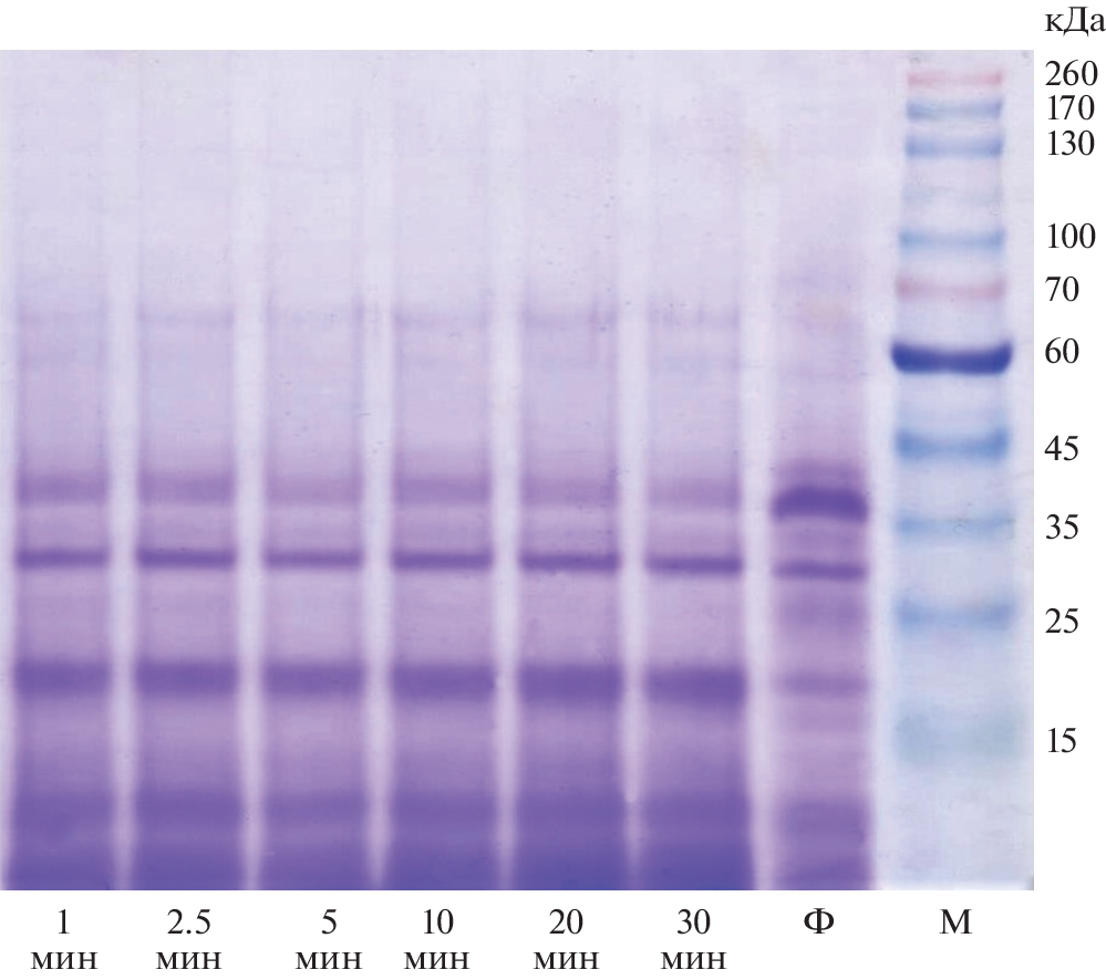
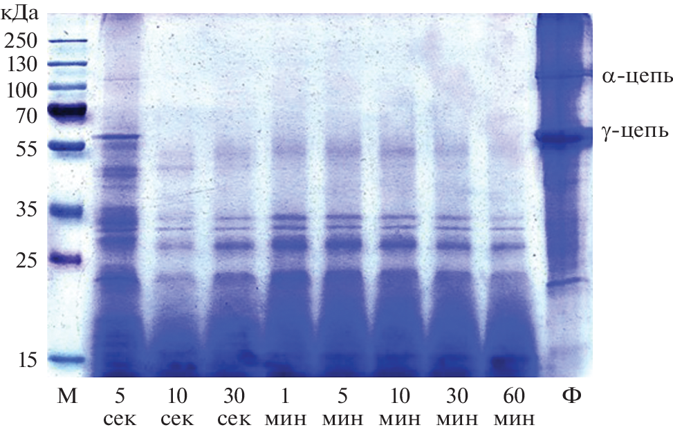
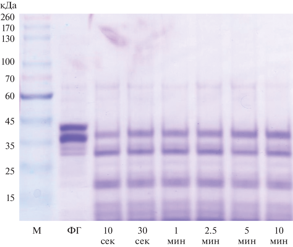
Proteolytic cleavage of fibrin and fibrinogen under the action of proteases of microfungi Aspergillus alliaceus 7dN1 and A. terreus 2 was carried out. It was shown that both enzymes can have strong α-fibrinogenase and moderate β-fibrinogenase activity, practically without affecting the γ-chains of these molecules. The products of cleavage in the time interval up to 60 min are polypeptides with a molecular weight of 15 kDa or less.
作者简介
A. Osmolovskiy
Faculty of Biology of M.V. Lomonosov Moscow State University; Faculty of Biotechnology of M.V. Lomonosov Moscow State University
编辑信件的主要联系方式.
Email: aosmol@mail.ru
Russia, Moscow; Russia, Moscow
S. Klyagin
Faculty of Biology of M.V. Lomonosov Moscow State University
编辑信件的主要联系方式.
Email: sergey_klyagin@mail.ru
Russia, Moscow
T. Vashkevich
Faculty of Biology of M.V. Lomonosov Moscow State University
编辑信件的主要联系方式.
Email: 12878853t@gmail.com
Russia, Moscow
A. Kurakov
Faculty of Biology of M.V. Lomonosov Moscow State University
编辑信件的主要联系方式.
Email: kurakov57@mail.ru
Russia, Moscow
V. Kreyer
Faculty of Biology of M.V. Lomonosov Moscow State University
编辑信件的主要联系方式.
Email: vkreyer@yandex.ru
Russia, Moscow
参考
- Batomunkueva B.P., Egorov N.S. Preparations of extracellular proteinases from Aspergillus ochraceus 513 and Aspergillus alliaceus 7dN1. Mikrobiologiya. 2002. V. 71. № 1. P. 56–58.
- Lal V. Fibrinolytic drug therapy in the management of intravascular thrombosis, especially acute myocardial infarction. A review. Asian J. Pharm. Clin. Res. 2017. V. 2. A. 555593. https://doi.org/10.19080/JPCR.2017.02.555593
- Osmolovskiy A.A., Zvonareva E.S., Kreyer V.G. et al. Thrombolytic potential of the extracellular proteinase of micromycete Aspergillus terreus 2. Mikologiya i fitopatologiya. 2021. V. 55 (3). P. 225–228 (in Russ.). https://doi.org/10.31857/S0026364821030089
- Osmolovskiy A.A., Zvonareva E.S., Kreyer V.G. et al. The effect of micromycete extracellular proteases of Aspergillus genus on the proteins of haemostatic system. Russ. J. Bioorg. Chem. 2014. V. 40 (6). P. 634–639.
- Petraglia T., Latronico T., Liuzzi G.M. et al. Edible mushrooms as source of fibrin(ogen)olytic enzymes: Comparison between four cultivated species. Molecules. 2022. V. 27. A. 8145. https://doi.org/10.3390/molecules27238145
- Zvonareva E.S., Osmolovskiy A.A., Kreier V.G. et al. Production of proteinase with plasmin-like and prekallikrein activating activity by the micromycete Aspergillus terreus. Appl. Biochem. Microbiol. 2018. V. 54 (2). P. 206–210. https://doi.org/10.1134/S0003683818020151
- Осмоловский А.А., Звонарева Е.С., Крейер В.Г. и др. (Osmolovskiy et al.) Секреция протеиназ с фибринолитической активностью микромицетами рода Aspergillus // Вестник Моск. ун-та. Сер. 16. Биол. 2018. Т. 73 (1). С. 39–42.
- Осмоловский А.А., Звонарева Е.С., Крейер В.Г. и др. (Osmolovskiy et al.) Тромболитический потенциал внеклеточной протеиназы микромицета Aspergillus terreus 2 // Микология и фитопатология. 2021. Т. 55. № 3. С. 225–228.
补充文件






