Вариабельность транзитного пептида фитоинсинтазы ZmPSY1 связана с белой окраской эндосперма зерна у инбредных линий кукурузы
- Авторы: Архестова Д.Х.1,2, Хаудов А.Д.2, Щенникова А.В.1, Кочиева Е.З.1,3
-
Учреждения:
- Федеральный исследовательский центр “Фундаментальные основы биотехнологии” Российской академии наук
- Институт сельского хозяйства – филиал Кабардино-Балкарского научного центра Российской академии наук
- Московский государственный университет им. М.В. Ломоносова
- Выпуск: Том 60, № 9 (2024)
- Страницы: 32-40
- Раздел: ГЕНЕТИКА РАСТЕНИЙ
- URL: https://bakhtiniada.ru/0016-6758/article/view/272549
- DOI: https://doi.org/10.31857/S0016675824090057
- EDN: https://elibrary.ru/aekknk
- ID: 272549
Цитировать
Полный текст
Аннотация
Желто-оранжевая окраска зерна кукурузы Zea mays L. определяется присутствием каротиноидов, первым ферментом пути биосинтеза которых является фитоинсинтаза PSY. В данной работе проведен анализ аллельных вариантов гена ZmPSY1 у образцов желтозерных и белозерных инбредных линий кукурузы отечественной селекции. У четырех линий с разной окраской зерна амплифицированы и секвенированы полноразмерные кДНК ZmPSY1 и охарактеризована их вариабельность. В последовательности кДНК ZmPSY1 белозерных линий обнаружено четыре несинонимичных однонуклеотидных полиморфизма (SNP), которые приводят к замещениям остатков четырех аминокислот (L47I, W52S, E53D и A54V) в N-концевом транзитном пептиде, ответственном за пластидную локализацию фермента. Разработана система праймеров для ПЦР-идентификации типа аллеля ZmPSY1 у образцов кукурузы. Тестирование праймеров на 44-х линиях кукурузы показало присутствие аллеля ZmPSY1 дикого типа и отсутствие мутантного аллеля в геноме всех анализируемых 22 желтозерных линий; также выявили, что мутантный аллель ZmPSY1 встречается с частотой 41%. Использование разработанной системы праймеров может иметь перспективы в селекции кукурузы с измененным содержанием каротиноидов в эндосперме зерна.
Полный текст
Вариабельность растительного генома – это не только инструмент эволюционной адаптации и возникновения новых видов, но и значимый фактор влияния при селекции сельскохозяйственных растений. Среди наиболее важных признаков, по которым ведется селекция культурных растений, находятся характеристики, ассоциированные со стрессоустойчивостью, урожайностью и качеством продукции. Часто признаки разной направленности взаимосвязаны. Особенно это касается содержания различных метаболитов, определяющих вкусовые, питательные и/или диетические свойства продукта и одновременно являющихся средствами защиты растения от стрессовых факторов.
Все известные хозяйственно-ценные признаки определяются генетически, и их экспрессивность связана с вариабельностью конкретных геномных локусов и/или генов. Определение аллельных вариантов генов и доноров этих аллелей способствует значительному ускорению процесса селекции улучшенных сортов агрокультур.
В качестве примера можно привести работы по поиску генов/локусов, сцепленных с хозяйственно-ценными признаками, с дальнейшей разработкой молекулярных маркеров на значимые аллельные варианты у важнейшей злаковой культуры – кукурузы Zea mays L. [1, 2]. Эта культура имеет самый высокий генетический потенциал урожайности среди зерновых и выращивается в различных агроэкологических регионах мира как на зерно, так и на силос. Зерно кукурузы является источником крахмала (65–70%), белка (16.5%), масел (3–5%), клетчатки (3%), растворимых сахаров (до 2%), а также каротиноидов (провитамина А и других каротиноидов) [1, 2]. Кукуруза – теплолюбивое растение преимущественно короткого дня и подвержена негативному влиянию различных стрессовых факторов [3–5]. Соответственно ведется поиск геномных локусов, мутаций и аллелей, которые сцеплены с качественными характеристиками зерна (включая содержание каротиноидов (в том числе провитамина А), зеинов, масел, амилопектинового крахмала и др.) и устойчивостью к патогенам и абиотическим стрессовым факторам.
На основе получаемых данных разрабатываются и используются в селекции молекулярные маркеры, ассоциированные с целевыми признаками у кукурузы. Так, выявлены аллельные варианты генов метаболизма крахмала waxy, amylose extender1 и sugary1, которые приводят к значительному увеличению содержания амилозы в составе крахмала [6]. Охарактеризован плейотропный эффект мутантного аллеля opaque2 (o2), присутствие которого увеличивает содержание незаменимых аминокислот лизина и триптофана в белковой фракции эндосперма зерна, однако снижает урожайность и повышает восприимчивость к болезням [1, 2]. В рамках работ по стрессоустойчивости разработаны маркеры признаков резистентности к фузариозной гнили початков (Fusarium verticillioides) и стеблей (F. graminearum) [3, 4]. Определена дифференциальная экспрессия генов транскрипционных факторов семейства DREB2 у растения кукурузы в ответ на воздействие различных абиотических факторов [5].
Другое современное направление в селекции кукурузы – увеличение содержания в эндосперме зерна каротиноидов, в том числе провитамина А (α-каротин, β-каротин и β-криптоксантин), количество которого у большинства желтозерных сортов/линий кукурузы в 10 раз меньше по сравнению с целевым уровнем (в рамках существующей программы биофортификации) [1, 2]. Выявлены аллельные варианты генов ликопин-ε-циклазы (LCYE) и β-каротингидроксилазы 1 (crtRB1), влияющие на концентрацию β-каротина. Маркеры, сцепленные с такими аллелями, способствуют выявлению доноров среди образцов кукурузы и ускорению селекции на повышенное содержание провитамина А в зерне. Более того, известны успешные попытки пирамидирования – объединения при отборе признаков увеличения количества провитамина А и незаменимых аминокислот лизина и триптофана в зерне [1, 2].
От присутствия и состава каротиноидов зависит окраска зерна. Обогащение эндосперма зерна зеаксантином или лютеином приводит соответственно к оранжевой или желтой окраске, в то время как отсутствие каротиноидов или только цветных каротиноидов – к белой окраске [7–9]. Хотя из-за дефицита каротиноидов в зерне пищевая ценность сортов белозерной кукурузы считается ниже, чем желтозерной, по другим качествам различий практически не выявлено. При этом именно мука и крупа белозерных сортов являются необходимым компонентом некоторых продуктов (чипсы, лепешки) и основой многих национальных блюд, особенно американской, мексиканской и кавказской кухни.
В связи с этим наметилась тенденция к увеличению сортимента и селекции сортов с различным содержанием каротиноидов (и соответственно различной окраской зерна). Для этого проводится анализ вариабельности генов каротиногенеза. Синтез каротиноидов начинается с активации гена фитоинсинтазы PSY и образования предшественника всех каротиноидов – 15-цис-фитоина [10]. Показано, что белая окраска зерна связана с различными мутациями в последовательности геномного локуса, содержащего ген ZmPSY1, которые приводят к дефициту каротиноидов в эндосперме, но не в зародыше [7, 11, 12]. К примеру, рецессивный мутантный аллель гена ZmPSY1 – yellow endosperm 1 (y1) оказывает упомянутый эффект на зерно, будучи и в гетерозиготном состоянии: эндосперм накапливает каротиноиды, но в незначительном количестве в сравнении с желтым и оранжевым зерном [9, 12, 13].
В настоящей работе были идентифицированы последовательности гомологов гена ZmPSY1 у четырех инбредных линий кукурузы отечественной селекции, контрастных по окраске зерна (белая и желтая). Проведенное структурное сравнение выявило полиморфный участок в экзоне I, различающий белозерные и желтозерные образцы. Соответствие аллельных вариантов окраске зерна было протестировано на 44 инбредных линиях кукурузы, включающих белозерные и желтозерные образцы.
МАТЕРИАЛЫ И МЕТОДЫ
Для работы использовали образцы 44 инбредных линий кукурузы отечественной селекции (ООО ИПА “Отбор”, Институт сельского хозяйства (ИСХ) КБНЦ РАН (КБР), ВИР (С.-Петербург)), 22 из которых белозерные и 22 – желтозерные (табл. 1). Зерна урожая 2020 г. (все 44 образца) проращивали в увлажненной почве и растили до стадии 3–4 листа в условиях экспериментальной установки искусственного климата (ЭУИК, ФИЦ Биотехнологии РАН; день/ночь – 16 ч/8 ч, 22 °С/16 °С; освещенность 190 мкМ/(м2с)).
Таблица 1. Инбредные линии кукурузы, использованные в работе
№ | Линия | Окраска эндосперма зерна | Аллель ZmPSY1 дикого типа | Аллель ZmPSY1 мутантного типа |
1 | МБК* | Белая | + | |
2 | КБЗ* | Белая | + | |
3 | 5740* | Белая с красными полосками | + | |
4 | 5254-1*** | Белая | + | |
5 | 6614-1*** | Белая | + | |
6 | 6063-1*** | Белая | + | |
7 | 6758-1*** | Белая | + | |
8 | 6349-1*** | Белая | + | |
9 | 5320-3*** | Белая | + | |
10 | 6038-1*** | Белая | + | |
11 | 5138-1*** | Белая | + | |
12 | 5254-3*** | Белая | + | |
13 | 5320-2*** | Белая | + | |
14 | 6097-1*** | Белая | + | |
15 | 5320-4*** | Белая | + | |
16 | К-5933** | Белая | + | |
17 | К-6734** | Белая | + | |
18 | К-6705** | Белая | + | |
19 | К-6696** | Белая | + | |
20 | К-6709** | Белая | + | |
21 | К-5935** | Белая | + | |
22 | К-5914** | Белая | + | |
23 | 5676* | Светло-желтая | + | |
24 | 1616* | Светло-желтая | + | |
25 | 5675* | Светло-желтая | + | |
26 | 5666* | Матовая светло-желтая | + | |
27 | 5739* | Матово-желтая | + | |
28 | 5692* | Матово-желтая | + | |
29 | 5696* | Желтая | + | |
№ | Линия | Окраска эндосперма зерна | Аллель ZmPSY1 дикого типа | Аллель ZmPSY1 мутантного типа |
30 | 5683* | Желтая | + | |
31 | 5684* | Желтая | + | |
32 | 5694* | Желтая | + | |
33 | 5674* | Желтая | + | |
34 | 5580-1*** | Желтая | + | |
35 | 2452-2*** | Желтая с красным кончиком | + | |
36 | 1543* | Насыщенно-желтая | + | |
37 | 5690* | Насыщенно-желтая | + | |
38 | 6339-1*** | Ярко-желтая | + | |
39 | 5671* | Темно-желтая | + | |
40 | 5677* | Оранжевая | + | |
41 | 5681* | Оранжевая | + | |
42 | 5272-6*** | Оранжевая | + | |
43 | 2138*** | Оранжевая | + | |
44 | 5687* | Оранжевая | + |
Примечание. Окраска зерна определялась оригинаторами инбредных линий: *ООО ИПА «Отбор»; **ВИР им. Н.И. Вавилова; ***ИСХ КБНЦ РАН.
Из 50–100 мг листовой ткани проростков, предварительно растертой в жидком азоте, выделяли суммарную РНК (RNeasy Plant Mini Kit, QIAGEN, Германия) с последующей очисткой от примесей геномной ДНК (RNase free DNasy set, QIAGEN, Германия). Полученные препараты РНК использовали для синтеза кДНК (GoScriptтм Reverse Transcription System, Promega, США). Качество РНК проверяли методом электрофореза в 1,5%-ном агарозном геле. Концентрацию РНК и кДНК определяли на флуориметре Qubit 4 (Thermo Fisher Scientific, США) с помощью соответствующих реактивов (Qubit RNA HS Assay Kit и Qubit DS DNA HS Assay Kit, Invitrogen, США).
Кодирующие последовательности гена ZmPSY1 амплифицировали с помощью ПЦР на препаратах кДНК двух белозерных и двух желтозерных образцов. Специфичные праймеры (forward 5´-tgttctgctgactggtctca-3´; reverse 5´-aacaacaattcaccaggttgtc-3´) подбирали на основе данных Генбанков NCBI (https://www.ncbi.nlm.nih.gov/) и MaizeGDB (https://maizegdb.org/). ПЦР проводили в следующих условиях: предварительная денатурация (95°С – 5 мин), амплификация в течение 35 циклов (95°С – 60 с, 60°С – 60 с, 72°С – 90 с), финальная достройка фрагментов (72°С – 5 мин). Ампликоны (ожидаемый размер 1419 пн) секвенировали с использованием тех же праймеров на ABI Prism 3730 DNA Analyzer (ЦКП Биоинженерия, ФИЦ Биотехнологии РАН).
Для ПЦР-амплификации полиморфного участка последовательности кДНК ZmPSY1 с разработанными праймерами использовали следующую программу: предварительная денатурация (15 мин при 95°C), 35 циклов (99°C – 45 с, 62°C – 45 с, 72°C – 45 с) и финальная достройка фрагментов (72°C – 2 мин).
Сравнительное выравнивание последовательностей проводили в программе MEGA 7.0.26 (https://www.megasoftware.net/). Транзитный и сигнальный пептиды, консервативные домены и мотивы в белках определяли с помощью SignalP-5.0 (https://services.healthtech.dtu.dk/services/SignalP-5.0/), NCBI-CDD (http://www.ncbi.nlm.nih.gov/Structure/), UniProt (https://www.uniprot.org/), а также литературных данных. Влияние замещений аминокислот на структуру белка предсказывали, используя PROVEAN (http://provean.jcvi.org/index.php; default threshold – –2.5).
Суммарное количество каротиноидов (мкг/г сырого веса) определяли спектрофотометрически в хлороформ-метанольных экстрактах, полученных из ~0.5 г предварительно измельченной в жидком азоте ткани эндосперма зерна белозерного и желтозерного образцов, согласно [14]. Спектры поглощения регистрировали с помощью Eppendorf BioSpectrometer® basic (Eppendorf, Германия).
Часть оборудования для данного исследования была обеспечена Программой развития МГУ им. М. В. Ломоносова (ПРМ-10) (комплект оборудования для геномных исследований).
РЕЗУЛЬТАТЫ И ОБСУЖДЕНИЕ
Для выявления возможных SNP в последовательности гена ZmPSY1, связанных с биосинтезом каротиноидов в эндосперме зерна, в работе были использованы инбредные линии кукурузы с белой и желтой/оранжевой окрасками зерна (табл. 1).
Поскольку желтый и оранжевый эндосперм накапливает в 5–100 раз больше каротиноидов, чем белый [8, 9], мы предварительно сравнили содержание каротиноидов в эндосперме желтого (образец 2452-2) и белого (6097-1) зерна. В результате было подтверждено почти полное отсутствие каротиноидов у белозерного образца и в то же время их присутствие в количестве 34.6 ± 2.4 мкг/г сырого веса у желтозерного образца.
Идентификация и структурный анализ кодирующей последовательности гена ZmPSY1 у белозерных и желтозерных инбредных линий кукурузы
С использованием доступных геномных данных кукурузы Z. mays spp. mays var. B73 была извлечена последовательность гена фитоинсинтазы ZmPSY1 (другие названия y1, pb1; идентификаторы – LOC100136882, GRMZM2G300348, Zm00001eb271860). Ген локализован на хромосоме 6 в позиции 91643180..91646525 (по текущей версии сборки генома Zm-B73-REFERENCE-NAM-5.0; NCBI) или 82179486..82185345/85060410..85065755 (предыдущие версии сборки; MaizeGDB). На основе последовательности мРНК гена были подобраны праймеры для амплификации и секвенирования полной кДНК.
Кодирующая последовательность ZmPSY1 была определена у двух желтозерных (2452-2, 5580-1) и двух белозерных (5254-3, 6097-1) инбредных линий кукурузы. Было показано, что кДНК гена у всех четырех образцов одинакова по длине (1233 пн). Последовательности кодируемых белков-гомологов (410 ао) содержат N-концевой транзитный пептид (в положении 1–62 ао, с сайтом отщепления V61/Y62, согласно UniProt), ответственный за пластидную локализацию фитоинсинтазы, а также консервативный домен head-to-head (HH)-IPPS (в положении 69–402 или 63–410 ао, согласно NCBI-CDD или UniProt). Присутствие сигнального пептида, определяющего транслокацию белка в пластиды и отщепляемого после прохождения мембраны органелл, было маловероятно (согласно SignalPeptide). Однако по версии [15] сигнальный пептид соответствует участку 1–19 ао на N-конце фермента и инвариантен между образцами (рис. 1).
Рис. 1. Выравнивание участка кДНК ZmPSY1 (а) и аминокислотной последовательности гомологов ZmPSY1 (б) у двух желтозерных (2452-2, 5580-1) и двух белозерных (5254-3, 6097-1) инбредных линий кукурузы в сравнении с референсом Z. mays var. B73 (LOC100136882; MN128624.1). Стрелкой указан участок нуклеотидной последовательности, выбранный для прямого праймера (на анализ аллельного варианта гена ZmPSY1). В аминокислотной последовательности выделен рамкой полиморфный участок транзитного пептида, содержащий замещения ао L47I, W52S, E53D и A54V, подчеркнуты консенсусы SQS и PSY (сплошными линиями) и участки YAKTF и RAYV, ограничивающие каталитически активный сайт (двойными линиями), а также указаны радикальные замещения ао (стрелками).
В последовательности гомологов ZmPSY1 были также идентифицированы два высоко консервативных консенсуса – скваленсинтазный (SQS) и фитоинсинтазный (PSY) (по [15]), подтверждающих функциональную принадлежность анализируемых белков. У четырех тестируемых образцов кукурузы консенсус SQS (CYYVAGTVGLMSVPVM, положение 238–253 ао) содержал одно замещение ао – G243A (у желтозерного образца 2452-2), а PSY (GIANQLTNILRDVGEDARRGRIYLPQ, положение 274–299 ао) имел один полиморфизм – G274R (у белозерного образца 6097-1). Участки YAKTF (129–133 ао) и RAYV (379–382 ао), ограничивающие каталитически активный сайт, у гомологов были идентичны (рис. 1, б).
Выравнивание идентифицированных нуклеотидных и аминокислотных последовательностей в сравнении с кДНК ZmPSY1 и соответствующим белком Z. mays var. B73 выявило высокий уровень консерватизма. Всего было обнаружено 19 SNPs, восемь из которых были специфичны для обоих белозерных образцов (g114→a, c139→a, g155→c, c161→t, t162→c, t168→c, с183→a, a798→g) (рис. 1, а). Оставшиеся SNPs были характерны для индивидуальных образцов: 6097-1 (с529→a, t753→a, a769→t, g819→a, g852→t), 2452-2 (g728→c), 5254-3 (a769→c, t811→c, g820→a, g852→c) и 2452-2/5580-1 (c1031→a).
В результате несинонимичных SNPs в последовательности кодируемых гомологов ZmPSY1 произошло замещение остатков восьми аминокислот (рис. 1, б). Четыре нейтральных (согласно PROVEAN) замещения L47I, W52S, E53D и A54V присутствовали только у анализируемых белозерных образцов кукурузы. Другие замещения были специфичны для одной желтозерной линии 2452-2 (G243A; радикальное), белозерного образца 5254-3 (нейтральное T257P и радикальное G274R) и двух желтозерных линий 2452-2 и 5580-1 (T344N; нейтральное). Радикальное замещение G243A в середине консенсуса SQS (рис. 1, б), судя по сохранению желтой окраски зерна, не повлияло на синтез каротиноидов.
Несмотря на нейтральный статус замещения треонина на пролин T257P у белозерного образца 5254-3 (рис. 1, б), данный полиморфизм (или его вариант T257S) ранее охарактеризован как сцепленный с внутриклеточной локализацией ZmPSY1 у 70% тестируемых белозерных линий [16]. Присутствие Pro-257 в сочетании с Asn-168 меняет не только локализацию ZmPSY1, но и морфологию 30% пластид [16]. Аллель Y1, который связывают с желтой окраской эндосперма, в 99% кодирует белок с Thr-257 в сочетании с Asn-168 [7, 15]. Можно предположить, что присутствие Pro-257/Asn-168 в последовательности ZmPSY1 в нашем исследовании может быть связано с белой окраской эндосперма у образца 5254-3. Интересно, что данный образец содержал и специфичное ему радикальное замещение G274R, которое соответствовало первому остатку консенсуса PSY (рис. 1, б). Ранее данный полиморфизм описан не был, но также может быть связан с белой окраской зерна у линии 5254-3.
Заметим, что в работе [16] авторами также обнаружены различия в последовательности транзитного пептида в положениях с 52 по 55. Однако данные в статье не приведены, поскольку транзитный пептид процессируется после импорта в хлоропласты и не должен влиять на активность фермента [16]. По всей вероятности, речь шла о замещениях W52S, E53D и A54V, которые были обнаружены нами в гомологах ZmPSY1 обоих анализируемых белозерных образцов (рис. 1, б).
Мы предположили, что замещения L47I, W52S, E53D и A54V могут быть сцеплены с белой окраской эндосперма зерна, хотя их нейтральный статус не предполагает каких-либо существенных нарушений фолдинга белка. Однако локализация замещений в С-концевой части транзитного пептида могла повлиять на корректность пластидной локализации фермента, а именно на его связывание с белками, узнающими транзитный пептид и участвующими в переносе фитоинсинтазы в пластиды.
При каротиногенезе происходит транслокация фитоинсинтазы в пластоглобулы пластид с помощью транзитного пептида, что показано на примере анализа работы транзитного пептида изофермента PSY2 в хлоропластах риса (Oryza sativa L.) [17]. В запасающих органах происходит преобразование хлоропластов в хромопласты и значительное увеличение количества белка PSY1 в пластоглобулах, что показано на примере плодов томата (Solanum lycopersicum L.) [18]. Поэтому отсутствие ZmPSY1 в пластоглобулах эндосперма зерна из-за замещений ао в транзитном пептиде может привести к отсутствию каротиноидов. При этом в фотосинтезирующей ткани или зародыше зерна данный эффект может нивелироваться активностью хлоропласт-специфичного изофермента ZmPSY2, геномный локус которого не содержит известных замещений ао, сцепленных с различиями (белый vs. желтый) в окраске эндосперма [7].
Разработка и тестирование праймеров на присутствие аллельных вариантов ZmPSY1 дикого и мутантного типов
С учетом замещений ао, специфичных для белозерных образцов кукурузы, была разработана система из трех праймеров. Последовательность обратного праймера (PSY155R: 5´-gccgctcctctgtcatcaac-3´, положение 512–531 в последовательности гена) была общей для аллеля дикого типа (желтозерные образцы) и мутантного аллеля (белозерные образцы). Последовательности двух прямых праймеров основывались на полиморфном участке кДНК PSY1 желтозерных (PSY155FG: 5´-ccttggcctccacccgtg-3´, положение 138–155 в последовательности гена) и белозерных (PSY155FC: 5´-cattggcctccacccgtc-3´, 138–155) образцов (рис. 1, а). Ожидаемый размер ПЦР-фрагмента – 394 пн. При амплификации с парами праймеров PSY155R/PSY155FG и PSY155R/PSY155FC на геномной ДНК растений кукурузы будет нарабатываться фрагмент, соответствующий аллелю дикого типа или мутантному аллелю ZmPSY1 соответственно.
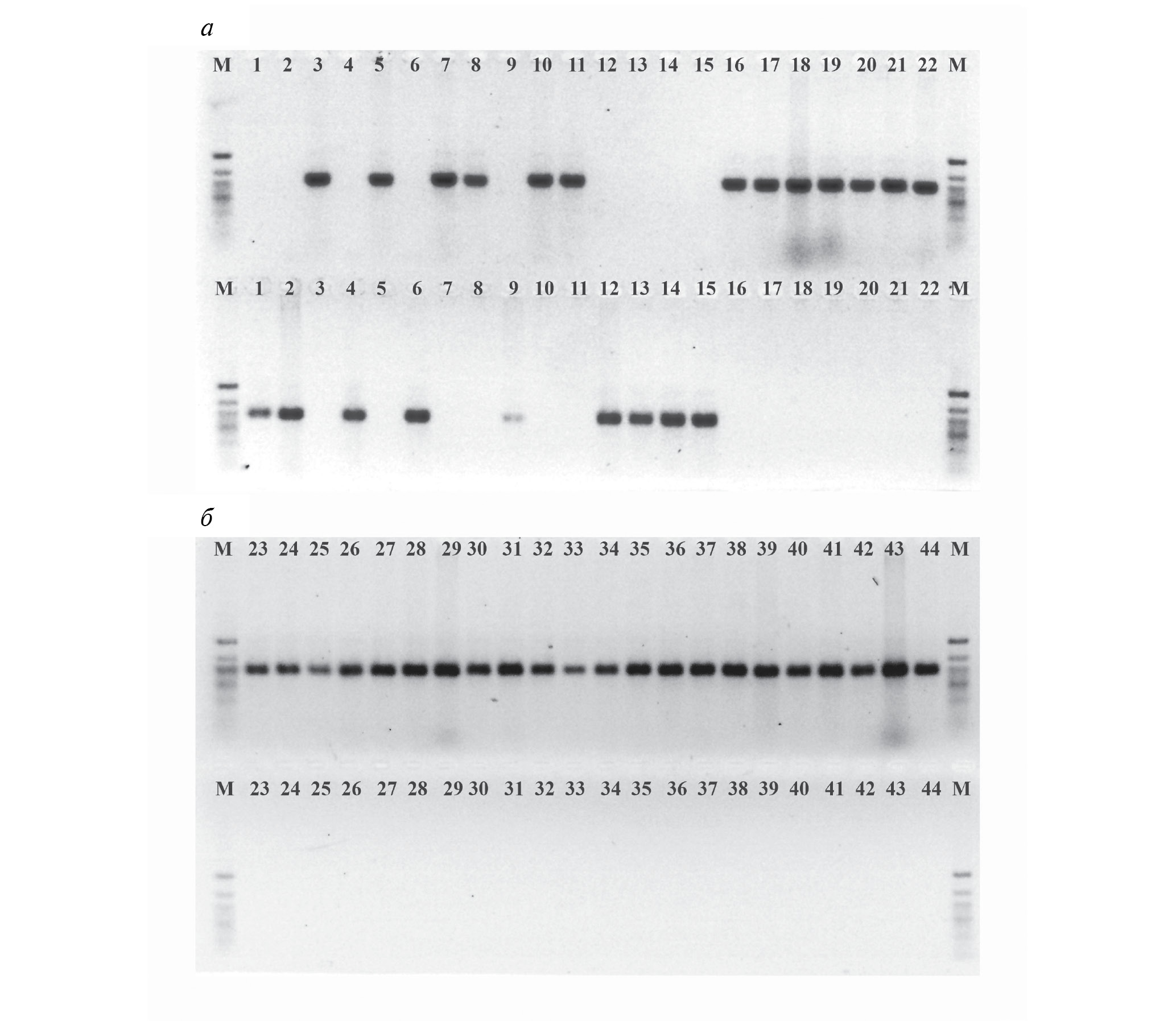
Анализ аллельных вариантов с использованием разработанных праймеров проводили на образцах 44 линий (22 белозерных и 22 желтозерных) кукурузы (табл. 1). В результате было показано, что фрагмент, соответствующий мутантному аллелю, нарабатывается у девяти образцов из 22 тестируемых белозерных линий; остальные 13 показывают присутствие в геноме аллеля дикого типа (рис. 2, а). У всех тестируемых желтозерных линий амплифицировался фрагмент аллеля дикого типа (рис. 2, б). Секвенирование ампликонов подтвердило, что амплифицируются ожидаемые варианты последовательности ZmPSY1.
Рис. 2. Электрофорез в 2.5%-ном агарозном геле продуктов (394 пн) ПЦР-амплификации на геномной ДНК 44 инбредных линий кукурузы с праймерами, разработанными для аллелей дикого (PSY155R/PSY155FG; верх каждого геля) и мутантного (PSY155R/PSY155FC; низ каждого геля) типа. а – белозерные линии (1–22). У девяти образцов обнаружен аллель ZmPSY1 дикого типа, и 13 образцов содержали мутантный аллель; б – желтозерные линии (23–44). У всех 22 образцов показано присутствие аллельного варианта ZmPSY1 дикого типа. Нанесение образцов соответствует порядковым номерам линий в таб. 1; М – маркер длин ДНК GeneRuler Low Range (первые четыре полосы сверху вниз: 700, 500, 400, 300 пн).
Отдельно отметим, что белок ZmPSY1 белозерного образца 5254-3, который содержит выше дискутируемые замещения T257P и G274R (рис. 1, б), ассоциированные согласно [16] с белой окраской эндосперма, одновременно характеризуется мутантным типом аллеля (рис. 2, а). В связи с этим белая окраска зерна линии 5254-3 может быть связана как с тестируемыми нами замещениями ао в транзитном пептиде, так и с замещениями T257P и G274R.
Таким образом, идентифицированный и рассматриваемый в настоящем исследовании ранее не описанный мутантный аллель ZmPSY1 был характерен только для белозерных линий кукурузы, что свидетельствует о его возможной связи с дефицитом каротиноидов в эндосперме зерна. Присутствие аллеля дикого (по целевому участку кДНК/транзитному пептиду) типа у половины тестируемых белозерных линий может объясняться наличием в геномном локусе ZmPSY1 данных образцов других замещений ао, сцепленных с дефицитом каротиноидов в зерне [7, 16].
Работа выполнена при финансовой поддержке подпрограммы ФНТП «Развитие селекции и семеноводства кукурузы».
Настоящая статья не содержит каких-либо исследований с использованием в качестве объекта животных.
Настоящая статья не содержит каких-либо исследований с участием в качестве объекта людей.
Авторы заявляют об отсутствии конфликта интересов.
Об авторах
Д. Х. Архестова
Федеральный исследовательский центр “Фундаментальные основы биотехнологии” Российской академии наук; Институт сельского хозяйства – филиал Кабардино-Балкарского научного центра Российской академии наук
Автор, ответственный за переписку.
Email: shchennikova@yandex.ru
Россия, Москва, 119071; Нальчик, 360004
А. Д. Хаудов
Институт сельского хозяйства – филиал Кабардино-Балкарского научного центра Российской академии наук
Email: shchennikova@yandex.ru
Россия, Нальчик, 360004
А. В. Щенникова
Федеральный исследовательский центр “Фундаментальные основы биотехнологии” Российской академии наук
Email: shchennikova@yandex.ru
Россия, Москва, 119071
Е. З. Кочиева
Федеральный исследовательский центр “Фундаментальные основы биотехнологии” Российской академии наук; Московский государственный университет им. М.В. Ломоносова
Email: shchennikova@yandex.ru
Россия, Москва, 119071; Москва, 119234
Список литературы
- Chandrasekharan N., Ramanathan N., Pukalenthy B. et al. Development of β-carotene, lysine, and tryptophan-rich maize (Zea mays) inbreds through marker-assisted gene pyramiding // Sci. Rep. 2022. V. 12(1). 8551. doi: 10.1038/s41598-022-11585-y
- Singh J., Sharma S., Kaur A. et al. Marker-assisted pyramiding of lycopene-ε-cyclase, β-carotene hydroxylase1 and opaque2 genes for development of biofortified maize hybrids // Sci. Rep. 2021. V. 11(1). 12642. doi: 10.1038/s41598-021-92010-8
- Abdel-Rahman M.M., Bayoumi S.R., Barakat M.N. Identification of molecular markers linked to Fusarium ear rot genes in maize plants Zea mays L. // Biotechnology & Biotechnological Equipment. 2016. V. 30(4). P. 692–699. doi: 10.1080/13102818.2016.1181987
- Yang D.E., Zhang C.L., Zhang D.S. et al. Genetic analysis and molecular mapping of maize (Zea mays L.) stalk rot resistant gene Rfg1 // Theor. Appl. Genet. 2004. V. 108(4). P. 706–711. doi: 10.1007/s00122-003-1466-y
- Filyushin M.A., Kochieva E.Z., Shchennikova A.V. ZmDREB2.9 gene in maize (Zea mays L.): genome-wide identification, characterization, expression, and stress response // Plants (Basel). 2022. V. 11(22). doi: 10.3390/plants11223060
- Yu J.K., Moon Y.S. Corn starch: quality and quantity improvement for industrial uses // Plants (Basel). 2021. V. 11(1). doi: 10.3390/plants11010092
- Palaisa K.A., Morgante M., Williams M. et al. Contrasting effects of selection on sequence diversity and linkage disequilibrium at two phytoene synthase loci // Plant Cell. 2003. V. 15(8). P. 1795–1806. doi: 10.1105/tpc.012526
- Ranilla L.G., Zolla G., Afaray-Carazas A. et al. Integrated metabolite analysis and health-relevant in vitro functionality of white, red, and orange maize (Zea mays L.) from the Peruvian Andean race Cabanita at different maturity stages // Front. Nutr. 2023. V. 10. doi: 10.3389/fnut.2023.1132228
- Burt A.J., Grainger C.M., Smid M.P. et al. Allele mining of exotic maize germplasm to enhance macular carotenoids // Crop Science. 2011. V. 51(3). P. 991–1004. doi: 10.2135/cropsci2010.06.0335
- Sierra J., McQuinn R.P., Leon P. The role of carotenoids as a source of retrograde signals: Impact on plant development and stress responses // J. Exp. Bot. 2022. V. 73(21). P. 7139–7154. doi: 10.1093/jxb/erac292
- Buckner B., Kelson T.L., Robertson D.S. Cloning of the y1 locus of maize, a gene involved in the biosynthesis of carotenoids // Plant Cell. 1990. V. 2(9). P. 867–876. doi: 10.1105/tpc.2.9.867
- Buckner B., Miguel P.S., Janick-Buckner D. et al. The y1 gene of maize codes for phytoene synthase // Genetics. 1996. V. 143(1). P. 479–488. doi: 10.1093/genetics/143.1.479
- Egesel C.E.M., Wong J.C., Lambert R.J. et al. Gene dosage effects on carotenoid concentration in maize grain // Maydica. 2003. V. 48(3). P. 183–190.
- Филюшин М.А., Джос Е.А., Щенникова А.В. и др. Зависимость окраски плодов перца от соотношения основных пигментов и профиля экспрессии генов биосинтеза каротиноидов и антоцианов // Физиология растений. 2020. Т. 67. C. 644–653. doi: 10.31857/S0015330320050048
- Fu Z., Yan J., Zheng Y. et al. Nucleotide diversity and molecular evolution of the PSY1 gene in Zea mays compared to some other grass species // Theor. Appl. Genet. 2010. V. 120(4). P. 709–720. doi: 10.1007/s00122-009-1188-x
- Shumskaya M., Bradbury L.M., Monaco R.R. et al. Plastid localization of the key carotenoid enzyme phytoene synthase is altered by isozyme, allelic variation, and activity // Plant Cell. 2012. V. 24. P. 3725–3741. doi: 10.1105/tpc.112.10417
- You M.K., Kim J.H., Lee Y.J. et al. Plastoglobule-targeting competence of a putative transit peptide sequence from rice phytoene synthase 2 in plastids // Int. J. Mol. Sci. 2016. V. 18(1). doi: 10.3390/ijms18010018
- Zita W., Bressoud S., Glauser G. et al. Chromoplast plastoglobules recruit the carotenoid biosynthetic pathway and contribute to carotenoid accumulation during tomato fruit maturation // PLoS One. 2022. V. 17(12). doi: 10.1371/journal.pone.0277774
Дополнительные файлы




