Идентификация гибридных особей скальных ящериц Darevskia armeniaca × Darevskia valentini на основе микросателлитного генотипирования
- Авторы: Гирнык А.Е.1, Вергун А.А.1,2, Рысков А.П.1
-
Учреждения:
- Институт биологии гена Российской академии наук
- Московский педагогический государственный университет
- Выпуск: Том 59, № 6 (2023)
- Страницы: 723-727
- Раздел: КРАТКИЕ СООБЩЕНИЯ
- URL: https://bakhtiniada.ru/0016-6758/article/view/134612
- DOI: https://doi.org/10.31857/S0016675823060073
- EDN: https://elibrary.ru/SSLMKR
- ID: 134612
Цитировать
Полный текст
Аннотация
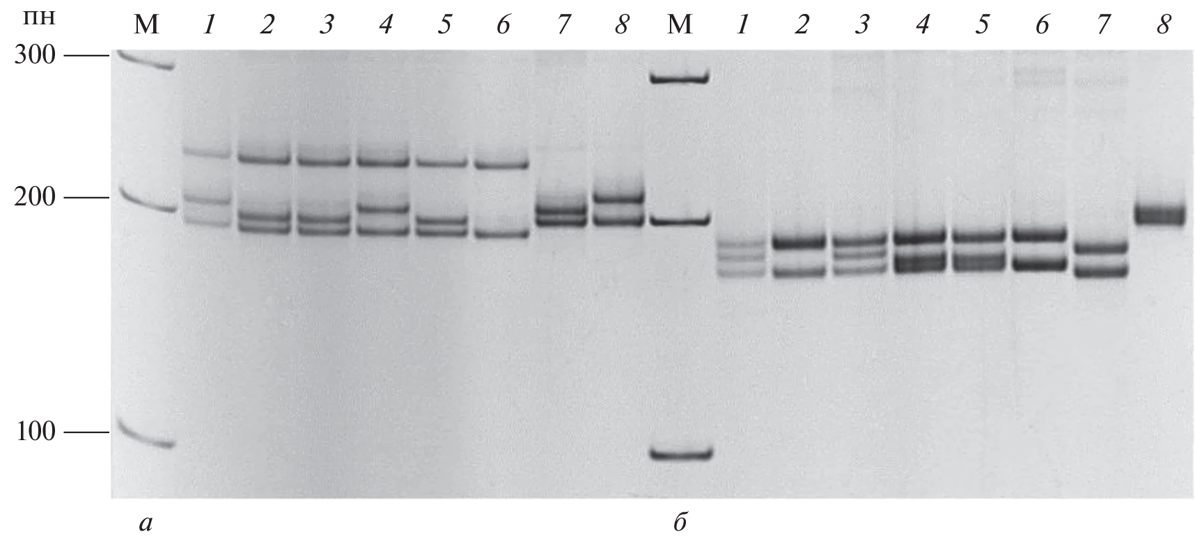
В работе представлены результаты микросателлитного генотипирования гибридных ящериц D. armeniaca × D. valentini из симпатрических популяций Армении. По совокупности локусов Du281 и Du47G идентифицированы триплоидные особи и определено их происхождение. Показано, что гибриды содержат как аллели материнского партеновида – D. armeniaca, так и аллели отцовского вида – D. valentini.
Ключевые слова
Об авторах
А. Е. Гирнык
Институт биологии гена Российской академии наук
Автор, ответственный за переписку.
Email: aegirnyk@mail.ru
Россия, 119334, Москва
А. А. Вергун
Институт биологии гена Российской академии наук; Московский педагогический государственный университет
Email: aegirnyk@mail.ru
Россия, 119334, Москва; Россия, 119991, Москва
А. П. Рысков
Институт биологии гена Российской академии наук
Email: aegirnyk@mail.ru
Россия, 119334, Москва
Список литературы
- Dobzhansky Th. Genetic nature of species differences // Am. Natur. 1937. V. 71. № 735. P. 404–420. https://doi.org/10.1086/280726
- Uetz P., Freed P., Aguilar R., Hošek J. The Reptile Database (Online resource) // URL: http://www.reptile-database.org (accessed 10.10.2022)
- Danielayn F., Arakelyan M., Stepanyan I. The progress of microevolution in hybrids of rock lizards of genus Darevskia // Biol. Z. Armen. 2008. V. 60. № 1–2. P. 147–156.
- Spangenberg V., Arakelyan M., Galoyan E. et al. Reticulate evolution of the rock lizards: Meiotic chromosome dynamics and spermatogenesis in diploid and triploid males of the genus Darevskia // Genes. 2017. V. 8. № 6. P. 149. https://doi.org/10.3390/genes8060149
- Moritz C.C., Wright J.W., Brown W.M. Mitochondrial DNA analyses and the origin and relative age of parthenogenetic lizards (genus Cnemidophorus). III. C. velox and C. exsanguis // Evolution. 1989. V. 43. № 5. P. 958–968. https://doi.org/10.1111/j.1558-5646.1989.tb02542.x
- Taylor H.L., Walker J.M., Cole C.J., Dessauer H.C. Morphological divergence and genetic variation in the triploid parthenogenetic teiid lizard, Aspidoscelis neotesselata // J. Herp. 2015. V. 49. № 3. P. 491–501. https://doi.org/10.1670/14-057
- Araya-Donoso R., Véliz D., Vidal M., Lamborot M. Relationships of the morphological variation in diploids, triploids and mosaics of Liolaemus chiliensis (Sauria: Liolaemidae) // Amphib. Reptil. 2017. V. 38. № 4. P. 503–515. https://doi.org/10.1163/15685381-00003132
- Kluge A.G., Eckardt M.J. Hemidactylus garnotii Dumeril and Bibron, a triploid all-female species of gekkonid lizard // Copeia. 1969. № 4. P. 651–664. https://doi.org/10.2307/1441789
- Даревский И.С., Куликова В.Н. Систематические признаки и некоторые особенности оогенеза гибридов между обоеполой и партеногенетическими формами скальной ящерицы // Цитология. 1962. Т. 4. № 2. С. 160–170.
- Darevsky I.S., Danielyan F.D. Diploid and triploid progeny arising from natural mating of parthenogenetic Lacerta armeniaca and L. unisexualis with bisexual L. saxicola valentini // J. Herp. 1968. V. 2. № 3–4. P. 65–69. https://doi.org/10.2307/1563104
- Petrosyan V.G., Osipov F.A., Bobrov V.V. et al. New records and geographic distribution of the sympatric zones of unisexual and bisexual rock lizards of the genus Darevskia in Armenia and adjacent territories // Biodivers. Data J. 2020. V. 8. P. 1–30. https://doi.org/10.3897/BDJ.8.e56030
- Arakelyan M.S., Danielyan F.D., Corti C. et al. Herpetofauna of Armenia and Nagoro-Karabakh. Salt Lake City: Society for Study of Amphibians and Reptiles, 2011. 149 p.
- Freitas S.N., Harris D.J., Sillero N. et al. The role of hybridisation in the origin and evolutionary persistence of vertebrate parthenogens: a case study of Darevskia lizards // Heredity. 2019. V. 123. № 6. P. 795–808. https://doi.org/10.1038/s41437-019-0256-5
- Carretero M., García-Muñoz E., Argaña E. et al. Parthenogenetic Darevskia lizards mate frequently if they have the chance: A quantitative analysis of copulation marks in a sympatric zone // J. Nat. Hist. 2018. V. 52. № 7–8. P. 405–413. https://doi.org/10.1080/00222933.2018.1435832
- Galoyan E., Bolshakova A., Abrahamyan M. et al. Natural history of Valentin’s rock lizard (Darevskia valentini) in Armenia // Zool. Res. 2019. V. 40. № 4. P. 277–292. https://doi.org/10.24272/j.issn.2095-8137.2019.036
- Даревский И.С., Даниелян Ф.Д. Естественная аллотриплоидия у некоторых видов скальных ящериц Кавказа и вероятное эволюционное значение этого феномена // Эволюция, экология, видообразование. Материалы конференции памяти Н.Н. Воронцова (1934–2000). М.: УНЦ ДО, 2001. С. 131–133.
- Гирнык А.Е., Вергун А.А., Аракелян М.С., Рысков А.П. Молекулярно-генетическая идентификация триплоидных гибридов Darevskia unisexualis × D. valentini из симпатрических популяций Армении // Мол. генетика, микробиология и вирусология. 2021. Т. 39. № 3. С. 46–48. https://doi.org/10.17116/molgen20213903146
- Гирнык А.Е., Вергун А.А., Омельченко А.В. и др. Молекулярно-генетическая характеристика аллельных вариантов микросателлитных локусов Du215, Du281, Du323 и Du47G у партеногенетических ящериц Darevskia armeniaca (сем. Lacertidae) // Генетика. 2017. Т. 53. № 4. С. 468–479.
- Mathew C.G.P. The isolation of high molecular weight eukaryotic DNA // Nucleic Acids. Methods in Molecular Biology. United States: Humana Press, 1984. V. 2. P. 31–34. https://doi.org/10.1385/0-89603-064-4:31
- Korchagin V.I., Badaeva T.N., Tokarskaya O.N. et al. Molecular characterization of allelic variants of (GATA)n microsatellite loci in parthenogenetic lizards Darevskia unisexualis (Lacertidae) // Gene. 2007. V. 392. № 1–2. P. 126–133. https://doi.org/10.1016/j.gene.2006.11.020
- Girnyk A.E., Vergun A.A., Semyenova S.K. et al. Multiple interspecific hybridization and microsatellite mutations provide clonal diversity in the parthenogenetic rock lizard Darevskia armeniaca // BMC Genomics. 2018. V. 19. № 1. P. 1–12. https://doi.org/10.1186/s12864-018-5359-5
- Vergun A.A., Girnyk A.E., Korchagin V.I. et al. Origin, clonal diversity, and evolution of the parthenogenetic lizard Darevskia unisexualis // BMC Genomics. 2020. V. 21. № 351. P. 1–10. https://doi.org/10.1186/s12864-020-6759-x
Дополнительные файлы



