Dynamics of Rye Translocations Frequency in Russian Common Wheat Triticum aestivum L. Cultivars
- Authors: Fisenko А.V.1, Lyapunova О.А.2, Zuev Е.V.2, Novoselskaya-Dragovich А.Y.1
-
Affiliations:
- Vavilov Institute of General Genetics, Russian Academy of Sciences
- Vavilov All-Russian Institute of Plant Genetic Resources (VIR)
- Issue: Vol 59, No 6 (2023)
- Pages: 648-658
- Section: ГЕНЕТИКА РАСТЕНИЙ
- URL: https://bakhtiniada.ru/0016-6758/article/view/134605
- DOI: https://doi.org/10.31857/S0016675823050053
- EDN: https://elibrary.ru/FNOUIG
- ID: 134605
Cite item
Full Text
Abstract
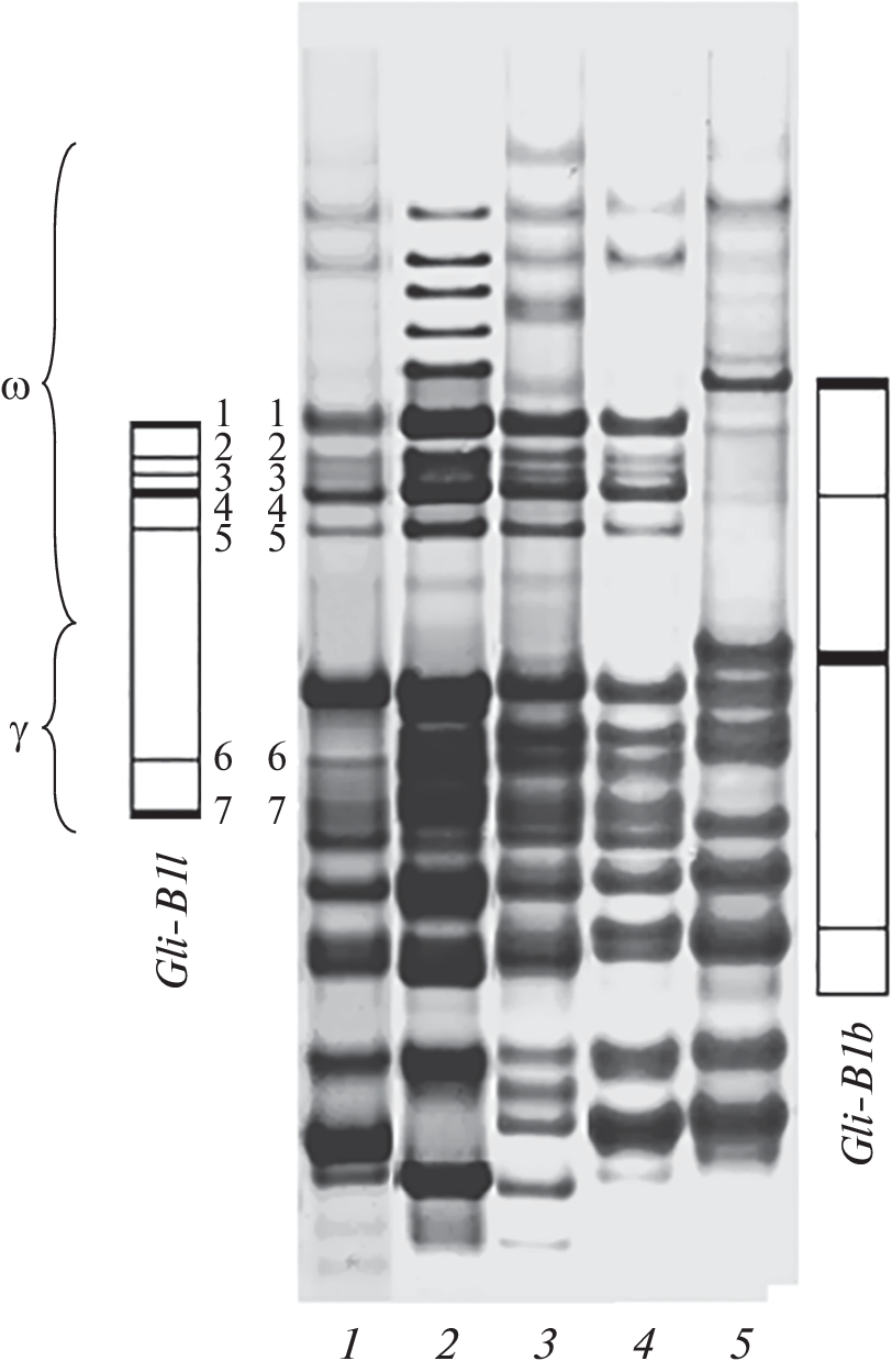
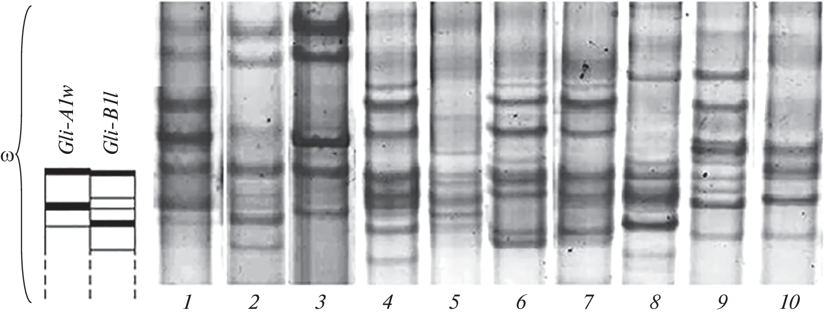
The widespread using 1RS/1BL and 1RS/1AL translocation cultivars in wheat breeding was due to their high complex resistance provided by genes on 1RS chromosomes. Numerous data on the emergence of new virulent pathogen races that caused the loss of protective properties by genes on 1RS make it relevant to analyse the prospects for using both rye translocations in modern breeding programs. The use of various genetic sources of the 1RS rye chromosome in introgressive hybridization poses the problem of studying the diversity of 1RS linkage groups. We have studied the rye translocations dynamics in 240 genotypes of the wheat cultivars from 3 breeding centers of the Russian Federation. Multiple alleles of storage protein genes specific for 1RS were used to mark 1RS. The effectiveness of 1RS resistance genes to a number of pathogens, in particular to powdery mildew and stem rust, has been established. The grain quality dynamics of the 1RS/1BL cultivars has been traced. A statistically significant grain quality improvement of winter wheat cultivars since the 2000s has been confirmed. The spring cultivars quality does not depend on the presence of rye translocations in the genotypes. Accumulation of cultivars with TR:1RS/1BL observed in all three centers. A high allelic diversity of the secalin coding locus on 1RS chromosome was shown. However, all cultivars with rye translocations, regardless of 1RS origin, carried the same allele. Possible reasons for this uniformity are discussed. Translocation 1RS/1AL was not detected in the studied cultivars. Possible reasons are discussed.
Keywords
About the authors
А. V. Fisenko
Vavilov Institute of General Genetics, Russian Academy of Sciences
Author for correspondence.
Email: fisenko800@mail.ru
Russia, 119991, Moscow
О. А. Lyapunova
Vavilov All-Russian Institute of Plant Genetic Resources (VIR)
Email: dragova@mail.ru
Russia, 190000, St. Petersburg
Е. V. Zuev
Vavilov All-Russian Institute of Plant Genetic Resources (VIR)
Email: dragova@mail.ru
Russia, 190000, St. Petersburg
А. Yu. Novoselskaya-Dragovich
Vavilov Institute of General Genetics, Russian Academy of Sciences
Author for correspondence.
Email: dragova@mail.ru
Russia, 119991, Moscow
References
- Rabinovich S.V. Importance of wheat-rye translocations for breeding modern cultivar of Triticum aestivum L. // Euphytica. 1998. V. 100. P. 323–340. https://doi.org/10.1023/A:10183618192
- Bauer E., Schmutzer T., Barilar I. et al. Towards a whole-genome sequence for rye (Secale cereale L.) // Plant J. 2017. V. 89. P. 853–869. https://doi.org/10.1111/tpj.13436
- Дорофеев В.Ф., Якубцинер М.М., Руденко М.И. и др. Пшеницы мира. Л.: 1976.
- Schlegel R. Current list of wheats with rye and alien introgression. V. 01.22. 2022. http://rye-gene-map.de/rye-introgression.
- McIntosh R.A., Hart G., Gale M. Catalogue of gene symbols for wheat // Proc. 8th Intern. Wheat Gen. Symp. / Eds Li Z., Xin Z.Y. Beijing, China: 1993. P. 1333–1500.
- Lee J.H., Graybosch R.A., Peterson C.J. Quality and biochemical effects of a 1RS.1BL wheat-rye translocation in wheat // Theor. Appl. Genet. 1995. V. 90. P. 105–112. https://doi.org/10.1007/BF00221002
- Kumlay A.M., Baenziger P.S., Gill K.S. et al. Understanding the effect of rye chromatin in bread wheat // Crop Sci. 2003. V. 43. № 5. P. 1643–1651. https://doi.org/10.2135/cropsci2003.1643
- Чуманова Е.В., Ефремова Т.Т., Трубачеева Н.В. и др. Хромосомный состав пшенично-ржаных линий и влияние хромосом ржи на устойчивость к болезням и на хозяйственно ценные признаки // Генетика. 2014. Т. 50. № 11. С. 1319–1328. https://doi.org/10.7868/S0016675814110034
- Sebesta E.E., Wood E.F. Transfer of greenbug resistance from rye to wheat with X-rays // Agronomy Abstracts. Madison, WI: 1978. P. 61–62.
- Burnett C.J., Lorenz K.J., Carver B.F. Effects of the 1B/1R translocation in wheat on composition and properties of grain and flour // Euphytica. 1995. V. 86. P. 159–166. https://doi.org/10.1007/BF00016353
- Li Z., Ren T., Yan B. et al. A mutant with expression deletion of gene Sec-1 in a 1RS.1BL line and its effect on production quality of wheat // PLoS One. 2016. V. 11(1). e0146943. https://doi.org/10.1371/journal.pone.014694
- Lundh G., MacRitchie F. Size exclusion HPLC characterization of gluten protein fractions varying in breadmaking potential // J. Cereal Sci. 1989. V. 10. P. 247–253.
- Liu C.-Y., Shepherd K.W. Inheritance of B subunits of glutenin and ω- and γ-gliadins in tetraploid wheats // Theor. Appl. Genet. 1995. V. 90. P. 1149–1157. https://doi.org/10.1007/BF00222936
- Новосельская-Драгович А.Ю. Генетика и геномика пшеницы: запасные белки, экологическая пластичность и иммунитет// Генетика. 2015. Т. 51. № 5. С. 1–16.
- Упелниек В.П., Новосельская-Драгович А.Ю., Шишкина А.А. и др. Лабораторный анализ белков семян пшеницы. M.: ООО “Ваш формат”, 2013. 173 с.
- Новосельская-Драгович А.Ю., Янковская А.А., Бадаева Е.Д. Интрогрессии и хромосомные перестройки не влияют на активность глиадинкодирующих генов в линиях гибридов Triticum aestivum L. × Aegilops columnaris Zhuk. // Вавилов. журн. генет. и селекции. 2018. Т. 22. № 5. С. 507–514. https://doi.org/18699/VJ18.388
- Metakovsky E.V. Gliadin allele identification on common wheat. II. Catalogue of gliadin allele in common wheat // J. Genet. & Breed. 1991. V. 45. P. 325–344.
- Козуб Н.А., Созинов И.А., Собко Т.А. и др. Идентификация ржаных транслокаций у сортов озимой мягкой пшеницы Богданка и Синтетик // Науч. ведомости. Серия Естественные науки. 2010. Т. 15. № 12. С. 47–54.
- Singh N.K., Shepherd K.W., McIntosh R.A. Linkage mapping of genes for resistance to leaf, stem and stripe rusts and ω-secalins on the short arm of rye chromosome 1R // Theor. Appl. Genet. 1990. V. 80. P. 609–616. https://doi.org/10.1007/s00122-004-1807-5
- Мельникова Е.Е., Букреева Г.И., Беспалова Л.А. и др. Динамика генетического разнообразия сортов и линий мягкой пшеницы краснодарской селекции по аллелям глиадинкодирующих локусов // Достижения науки и техники АПК. 2016. Т. 30. № 3. С. 51–53.
- Ren T.H., Yang Z.J., Yan B.J. et al. Development and characterization of a new 1BL.1RS translocation line with resistance to stripe rust and powdery mildew of wheat // Euphytica. 2009. V. 169. P. 207–213. https://doi.org/10.1007/s10681-009-9924-5
- Qi W., Tang Y., Zhu W. et al. Molecular cytogenetic characterization of a new wheat-rye 1BL/1RS translocation line expressing superior stripe rust resistance and enhanced grain yield // Planta. 2016. V. 244. P. 405–416. https://doi.org/10.1094/PDIS-93-2-0124
- Maraci Ö., Özkan H., Bilgin R. Phylogeny and genetic structure in the genus Secale // PLoS One. 2018. V. 13(7). https://doi.org/10.1371/journal.pone.0200825
- Landjeva S., Korzun V., Tsanev V. et al. Distribution of the wheat–rye translocation 1RS.1BL among bread wheat varieties of Bulgaria // Plant Breeding. 2006. V. 125. P. 102–104. https://doi.org/10.1111/j.1439-0523.2006.01142.x
- Yediay F.E., Baloch F.S., Kilian B., Özkan H. Testing of rye-specific markers located on 1RS chromosome and distribution of 1AL.RS and 1BL.RS translocations in Turkish wheat (Triticum aestivum L., T. durum Desf.) varieties and landraces // Genet. Res. Crop Evol. 2010. V. 57. P. 119–129. https://doi.org/10.1007/s10722-009-94569
- Трубачеева Н.В., Россеева Л.П., Белан И.А. и др. Особенности сортов яровой мягкой пшеницы Западной Сибири, несущих пшенично-ржаную транслокацию 1RS.1BL // Генетика. 2011. Т. 47. № 1. С. 18–24.
- GRIS. Genetic Resources Information System for Wheat and Triticale. http://wheatpedigree.net/ (Last update: 2017-01-09).
- Каталог. Сорта и гибриды КНИИСХ им. П.П. Лукьяненко. Краснодар: 2009. 67 с.
- Каталог. Сорта и гибриды НЦЗ им. П.П. Лукьяненко. Краснодар: 2021. 135 с.
- Государственный реестр селекционных достижений, допущенных к использованию. Т. 1. Сорта растений. М.: 2009 и 2021. https://reestr.gossortrf.ru/.
- Ren T.H., Chen F., Yan B.Ju. et al. Genetic diversity of wheat–rye 1BL.1RS translocation lines derived from different wheat and rye sources // Euphytica. 2012. V. 183. P. 133–146. https://doi.org/10.1007/s10681-011-0412-3
- Созинов А.А., Новосельская А.Ю., Лушникова А.А., Богданов Ю.Ф. Цитолого-биохимический анализ сортов мягкой пшеницы с замещениями и транслока-циями 1B/1R в кариотипе // Цитология и генетика. 1987. Т. 21. № 4. С. 256–261.
- McIntosh R.A., Yamazaki Y., Dubcovsky J. Catalogue of gene symbols for wheat // 11th Int. Wheat Genet. Symp. 24–29 August 2008. Brisbane, Australia: 2008. 137 р.
- He Zhong-Hu. High molecular weight glutenin subunit composition of Chinese bread wheats // Euphytica. 1992. V. 64. № 1. P. 11–20. https://doi.org/10.1002/cche.10290
- Hazen S.P., Zhu L., Kim H.-S. et al. Genetic diversity of winter wheat in Shaanxi province, China, and other common wheat germplasm pools // Genet. Resour. Crop Evol. 2002. V. 49. № 4. P. 437–445. https://doi.org/10.1023/A:1020670013249
- Булойчик А.А., Долматович Т.В., Борзяк В.С., Волуевич Е.А. Молекулярная идентификация и эффективность генов Lr26/Pm8 в сортообразцах мягкой пшеницы (Triticum aestivum) // Весцi НАН Беларусi. 2014. Т. 2. С. 60–63.
- Козуб Н.А., Созинов И.А., Созинов А.А. Сопряженность 1BL/1RS-транслокации с качественными и количественными признаками у мягкой пшеницы T. aestivum // Цитология и генетика. 2001. Т. 5. С. 74–80.
- Lukaszewski A.J. Manipulation of the 1RS.1BL translocation in wheat by induced homoeologous recombination // Crop Sci. 2000. V. 40. P. 216–225.
- Lukaszewski A.J. Introgressions between wheat and rye // Alien Introgression in Wheat. Cham, Switzerland. Springer, 2015. P. 163–189. https://doi.org/10.1007/978-3-319-23494-6_7
- Белан И.А., Россеева Л.П., Россеев В.М. и др. Изучение хозяйственно ценных и адаптивных признаков у линий сорта яровой мягкой пшеницы Омская 37, несущих транслокации 1RS.1BL и 7DL-7Ai // Вавилов. журн. генет. и селекции. 2012. Т. 16. № 1. С. 178–186.
- Шаманин В.П., Моргунов А.И., Петуховский С.Л. и др. Селекция яровой мягкой пшеницы на устойчивость к стеблевой ржавчине в Западной Сибири. Омск: ОмГАУ им. П.А. Столыпина, 2015. 175 с.
- Kozub N.O., Sozinov I.O., Chaika V.M. et al. Changes in allele frequencies at storage protein loci of winter common wheat under climate change // Cytol. and Genet. 2020. V. 54. № 4. P. 305–317. https://doi.org/10.3103/S0095452720040076
- Kumlay A.M., Baenziger P.S., Gill K.S. et al. Understanding the effect of rye chromatin in bread wheat // Crop Sci. 2003. V. 43. № 5. P. 1643–1651. https://doi.org/10.2135/cropsci2003.1643
- Liu H., Tang H., Ding P. et al. Effects of the 1BL/1RS translocation on 24 traits in a recombinant inbred line population // Cereal Res. Commun. 2020. V. 48. P. 225–232. https://doi.org/10.1007/s42976-020-00027-y
- Jang J.H., Jung W.J., Kim D.Y., Seo Y.W. cDNA-AFLP analysis of 1BL.1RS under water-deficit stress and development of wheat-rye translocation-specific markers // N. Zel. J. Crop Hortic. Sci. 2017. V. 45. P. 150–164. https://doi.org/10.1080/01140671.2016.1269018
- Moskal K., Kowalik S., Podyma W. et al. The pros and cons of rye chromatin introgression into wheat genome // Agronomy. 2021. V. 11. P. 456. https://doi.org/10.3390/agronomy11030456




