Analysis of ADCY8 и RYR3 Genes Polymorphism for Identification Wild and Domestic Animal of Species Canis lupus
- Authors: Kipen V.N.1, Patrin M.M.2, Snytkov E.V.1,3, Viarchuk A.N.1,4, Semak A.N.5
-
Affiliations:
- Institute of Genetics and Cytology of the National Academy of Sciences of Belarus
- Maxim Medical LLC
- International Sakharov Environmental Institute of Belarusian State University
- Scientific and Practical Center of the State Forensic Examination Committee of the Republic of Belarus
- WellVet LLC
- Issue: Vol 59, No 3 (2023)
- Pages: 336-344
- Section: ГЕНЕТИКА ЖИВОТНЫХ
- URL: https://bakhtiniada.ru/0016-6758/article/view/134570
- DOI: https://doi.org/10.31857/S0016675823030062
- EDN: https://elibrary.ru/IOHKSC
- ID: 134570
Cite item
Full Text
Abstract
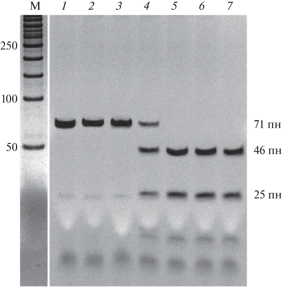
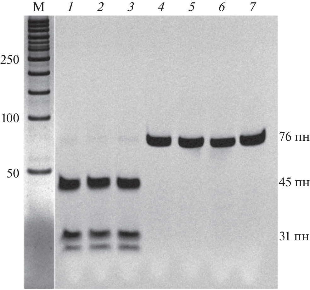
As a result of the study, we confirmed the high differentiating potential of polymorphic variants g.27748425T>C (ADCY8 gene) and g.1414373T>C (RYR3 gene). A test model of two polymorphisms for the differentiation of a wolf and a domestic dog is proposed, which is distinguished by high values of accuracy (96.2%), specificity (96.3%) and sensitivity (98.9%). Using KASP, a quick and simple approach to differentiation based on the proposed test model has been developed, which is designed to reduce the time and cost of molecular genetic analysis, as well as reduce the risk of cross-contamination, because the process is one-stage (restriction and electrophoresis stages are excluded).
About the authors
V. N. Kipen
Institute of Genetics and Cytology of the National Academyof Sciences of Belarus
Author for correspondence.
Email: v.kipen@igc.by
Republic of Belarus, 220072, Minsk
M. M. Patrin
Maxim Medical LLC
Email: v.kipen@igc.by
Russia, 123423, Moscow
E. V. Snytkov
Institute of Genetics and Cytology of the National Academyof Sciences of Belarus; International Sakharov Environmental Institute of Belarusian
State University
Email: v.kipen@igc.by
Republic of Belarus, 220072, Minsk; Republic of Belarus, 220070, Minsk
A. N. Viarchuk
Institute of Genetics and Cytology of the National Academyof Sciences of Belarus; Scientific and Practical Center of the State Forensic Examination
Committee of the Republic of Belarus
Email: v.kipen@igc.by
Republic of Belarus, 220072, Minsk; Republic of Belarus, 220073, Minsk
A. N. Semak
WellVet LLC
Email: v.kipen@igc.by
Republic of Belarus, 220013, Minsk
References
- Hindrikson M., Remm J., Pilot M. et al. Wolf population genetics in Europe: A systematic review, meta-analysis and suggestions for conservation and management // Biol. Rev. 2016. V. 92(3). P. 1601–1629. https://doi.org/10.1111/brv.12298
- Cronin M.A., Canovas A., Bannasch D.L. et al. Single nucleotide polymorphism (SNP) variation of wolves (Canis lupus) in Southeast Alaska and comparison with wolves, dogs, and coyotes in North America // J. Hered. 2015. V. 106(1). P. 26–36. https://doi.org/10.1093/jhered/esu075
- Vonholdt B.M., Pollinger J.P., Lohmueller K.E. et al. Genome-wide SNP and haplotype analyses reveal a rich history underlying dog domestication // Nature. 2010. V. 464(7290). P. 898–902. https://doi.org/10.1038/nature08837
- Гребенчук А.Е. Псовые как объект экспертного ДНК-анализа: криминалистические и генетические аспекты // Вопр. криминологии, криминалистики и судебной экспертизы. 2016. № 2 (40). С. 135–140.
- Хейдорова Е.Э., Шпак А.В., Гомель К.В. и др. Молекулярно-генетическая идентификация инвазивного вида – шакала азиатского (Canis aureus) на территории Беларуси // Докл. НАН Беларуси. 2018. Т. 62. № 1. С. 86–92. https://doi.org/10.29235/1561-8323-2018-62-1-86-92
- Кипень В.Н., Иванова Е.В., Снытков Е.В., Верчук А.Н. Анализ полиморфизма гена гефестина (HEPH) на Х-хромосоме для установления принадлежности биологических образцов к диким или домашним представителям вида Sus scrofa // Генетика. 2020. Т. 56. № 9. С. 1054–1064. https://doi.org/10.31857/S0016675820080068
- Кипень В.Н., Михалова М.Е., Снытков Е.В. и др. Биоинформатический анализ геномов коммерческих пород домашних свиней для идентификации породоспецифичных SNP // Весці Нац. акад. навук Беларусі. Серыя аграрных навук. 2021. Т. 59. № 4. С. 464–476. https://doi.org/10.29235/1817-7204-2021-59-4-464-476
- Ramos A.M. Identification of high utility SNPs for population assignment and traceability purposes in the pig using high-throughput sequencing // Anim. Genet. 2011. V. 42(6). P. 613–620. https://doi.org/10.1111/j.1365-2052.2011.02198.x
- Okonechnikov K., Golosova O., Fursov M. Unipro UGENE: A unified bioinformatics toolkit // Bioinformatics. 2012. V. 28. P. 1166–1167. https://doi.org/10.1093/bioinformatics/bts091
- Кипень В.Н., Снытков Е.В., Кривенко А.А., Патрин М.М. In silico анализ полиморфизма H3GA0051811 гена HEPH для животных вида Sus scrofa // VII Междунар. конф. молодых ученых: биофизиков, биотехнологов, молекулярных биологов и вирусологов в рамках площадки открытых коммуникаций OpenBio-2020. Новосибирск: 2020. С. 469–472.
- Ritchie M.D., Hahn L.W., Roodi N. et al. Multifactor-dimensionality reduction reveals high-order interactions among estrogen-metabolism genes in sporadic breast cancer // Am. J. Hum. Genet. 2001. V. 69(1). P. 138–147. https://doi.org/10.1086/321276
Supplementary files








