Физиолого-биохимические реакции Sorghum bicolor на бактеризацию и воздействие поллютантов
- Authors: Турковская О.В.1, Бондаренкова А.Д.1, Голубев С.Н.1, Позднякова Н.Н.1, Дубровская Е.В.1, Сунгурцева И.Ю.1, Муратова А.Ю.1
-
Affiliations:
- Федеральный исследовательский центр “Саратовский научный центр Российской академии наук”
- Issue: Vol 71, No 3 (2024)
- Pages: 356-368
- Section: ЭКСПЕРИМЕНТАЛЬНЫЕ СТАТЬИ
- URL: https://bakhtiniada.ru/0015-3303/article/view/266586
- DOI: https://doi.org/10.31857/S0015330324030108
- EDN: https://elibrary.ru/NLXXVF
- ID: 266586
Cite item
Full Text
Abstract
Исследованы физиолого-биохимические параметры сорго веничного (Sorghum bicolor L. Moench), характеризующие реакции его 3-недельных проростков на присутствие биотического (бактериальный штамм Gordonia sp. N7) и абиотических (никель и н-гексадекан) факторов. Исследованы такие показатели как выживаемость растений, биомасса корней и побегов, индексы толерантности, транслокационный фактор никеля, содержание фотосинтетических пигментов, спектр и активность пероксидаз в корневых экссудатах. Показано, что реакции сорго на комбинированное воздействие стрессоров отличались от таковых при их индивидуальном воздействии. Показано, что н-гексадекан и бактеризация по-отдельности и совместно оказывали стимулирующее влияние на прирост биомассы сорго. Напротив, никель в использованной концентрации (20 мг/кг) проявлял выраженное ингибирующее воздействие на изученные показатели. Комбинирование исследуемых компонентов изменяло некоторые показатели относительно индивидуальных, однако токсичность металла доминировала, существенно нивелируя стимулирующее влияние н-гексадекана и актинобактерий рода Gordonia на рост растения. Однако по состоянию фотосинтетического аппарата и активности пероксидаз в корневых экссудатах отмечены различающиеся реакции растений на комбинированный стресс. Существенные изменения происходили в процессах накопления никеля в органах растений: в присутствии н-гексадекана и особенно бактерии увеличивалась аккумуляция никеля в надземной части сорго – ТФ повышался более чем в 2 раза. Полученные результаты дают обоснование целесообразности использования штамма Gordonia sp. N7 как технологического приема, способствующего процессу фиторемедиации по извлечению никеля из загрязненного грунта с помощью Sorghum bicolor. В то же время, необходимо отметить, что выявленный эффект следует учитывать в сельскохозяйственном кормопроизводстве, поскольку он свидетельствует о повышении загрязнения растительной продукции тяжелым металлом.
Full Text
Сокращения: АБТС – 2,2’-азино-бис-(3-этилбензтиазолин-6-сульфокислоты) диаммониевая соль, ДАФ – 2.7-диаминофлуорен, ИТ – индекс толерантности, ИТП – индекс толерантности побегов, ИТК – индекс толерантности корней, ИТБ – индекс толерантности общей биомассы, ОДА – о-дианизидин, ТФ – транслокационный фактор, PGP – plant-growth promoting (стимулирующие рост растений), PGPR – plant-growth promoting rhizobacteria (ризобактерии, стимулирующие рост растений).
ВВЕДЕНИЕ
Сорго веничное (Sorghum bicolor L. Moench) является технической культурой, в связи с чем его использование в качестве растения-фиторемедианта привлекает особое внимание. Этому также способствуют такие его характеристики, как устойчивость к неблагоприятным экологическим факторам, в первую очередь к засухе, рост на некачественных и засоленных почвах, обильная биомасса и глубоко проникающая корневая система [1]. В сочетании с этими особенностями высокое содержание сахара и способность поглощать тяжелые металлы [2] делает это растение одним из лучших кандидатов для многоцелевого использования в биоэкономике – для фиторемедиации загрязненных земель и для производства биоэтанола или биогаза [3]. По имеющимся литературным данным сорго обладает хорошим потенциалом фитостабилизации, накапливая Ni2+ преимущественно на уровне корней [1, 2]. Несмотря на то, что транслокация этого металла в надземную часть невелика, благодаря высокой продуктивности сорго по зеленой биомассе – использование посевов этого растения в фиторемедиационной технологии способно обеспечить значительное удаление никеля из загрязненной почвы.
В последние годы появились работы, свидетельствующие о высоком потенциале ризобиоты сорго в плане деградации целого ряда органических поллютантов [1]. Это позволяет говорить об эффективности направленного формирования растительно-микробных комплексов путем внесения под растение-фиторемедиант микроорганизмов, обладающих деструктивной и/или фитостимулирующей активностью [4]. В последнее время в качестве идеальных кандидатов для биологической деградации углеводородов признаются актинобактерии рода Gordonia благодаря их способности разлагать широкий спектр органических соединений, устойчивости к металлам и повсеместному распространению в окружающей среде [4–6].
Низкая требовательность сорго к качеству почвы дает основания рассматривать возможность его использования на землях с мультизагрязнением, которым характеризуются большие природные и хозяйственные территории. Одновременное присутствие в почве нескольких поллютантов, например, металлов и углеводородов, зачастую приводит к повышению их токсичности и не просто является “отягчающим” обстоятельством для роста большинства растений, но и существенно осложняет процессы самоочищения экосистем и применение технологий рекультивации.
Природным мультизагрязнением является нефть, имеющая в своем составе не только широкий спектр различных углеводородов, но и тяжелые металлы [7]. Среди “нефтяных” металлов одним из наиболее значимых в экологическом плане является никель, относящийся к 2 классу опасности. Его содержание в нефти может достигать 100 мг/л [8].
Стрессовые условия, возникающие в загрязненной почве, влекут за собой изменения физиолого-биохимических процессов в растениях, формируя различные защитные реакции на поллютантный стресс. Ростстимулирующие бактерии при этом могут оказывать влияние на развитие и проявления этого стресса. Поскольку в настоящее время бактериальные препараты для стимуляции роста растений и очистки почвы от нефти применяются достаточно широко, представляется необходимым изучение обоснованности внесения подобных препаратов с целью повысить эффективность фиторемедиации при смешанном загрязнении. Вместе с тем, исследования адаптивных откликов растений в условиях смешанных загрязнений важны для пополнения фундаментальных знаний о стратегии выживания растений и могут помочь в разработке способов более эффективного применения технологии фиторемедиации загрязненных территорий.
Ранее нами выделен и охарактеризован ризосферный штамм Gordonia sp. N7, обладающий PGP свойствами, устойчивостью к тяжелым металлам (Cd2+ и Ni2+) и деструктивной активностью в отношении углеводородов дизельного топлива [9, 10]1. Проведены исследования с Sorghum bicolor, подтвердившие его фиторемедиационный потенциал [11]. Цель настоящей работы – изучение влияния смешанного загрязнения (никель + н-гексадекан) и инокуляции штаммом Gordonia sp. на ростовые и физиолого-биохимические характеристики фиторемедианта Sorghum bicolor.
МАТЕРИАЛЫ И МЕТОДЫ
Семенной материал сорго веничного (Sorghum bicolor L. Moench). был получен из ФГБНУ РосНИИСК “Россорго” (г. Саратов). Стерилизацию семян осуществляли гипохлоритом натрия (торговое название “Белизна”) в течение 20 мин после предварительной обработки мыльным раствором, затем трижды проводилась отмывка стерильной водопроводной водой. Стерильность проверялась путем проращивания семян на мясо-пептонном агаре в течение 2 сут.
Растения выращивали в модельных системах, представляющих собой колбы Эрленмейера (250 мл), заполненные 150 г стерилизованного крупного кварцевого песка (2 мм), на который помещали по 10 стерильных проросших семян сорго. Культивирование проводили в контролируемых условиях фитокомнаты в течение 3 недель при температуре 24/20°С и относительной влажности воздуха 70%. Продолжительность светового периода составляла 14, темнового – 10 ч, освещенность 8000 Люкс. Полив растений осуществляли средой Ruakara [12] до 80% от полной влагоемкости, определяя необходимое количество жидкости взвешиванием сосудов с растениями. Каждый вариант имел 5 повторностей.
Сорго культивировали в присутствии модельных загрязнителей н-гексадекана, широко используемого в качестве представителя н-парафинов в исследованиях по биодеградации нефти, и никеля – тяжелого металла, являющегося одновременно распространенным токсикантом и микроэлементом.
Перед посевом растений в каждую колбу с песком вносили загрязнители. Никель – из расчета 20 мг/кг (0.34 мМ) в виде раствора сульфата никеля, что соответствует 5 ПДК этого металла в почве [13]; н-Гексадекан (ч, ООО “Вектон”) – до концентрации 5 г/кг. После загрязнения песок тщательно перемешивали и через сутки осуществляли посев семян сорго.
В качестве микроорганизма-инокулянта использовали штамм Gordonia sp. N7 (IBPPM 496) из “Коллекции ризосферных микроорганизмов ИБФРМ РАН” (collection.ibppm.ru). Штамм выделен нами ранее из ризосферы тростника южного (Phragmites australis (Cav.) Trin. Ex Steud.), произрастающего на загрязненной нефтью и тяжелыми металлами почве. Идентификация микроорганизма осуществлена на основании результатов анализа нуклеотидной последовательности гена 16S рРНК (GenBank accession number OR157944), а также культуральных, морфологических и физиолого-биохимических характеристик. Авирулентность подтверждена в опытах на белых мышах. Для получения биомассы микроорганизма использовали следующие питательные среды: мясо-пептонный бульон и агар, среда LB, картофельный агар [14].
Бактеризацию проводили на 7 сут роста растений, поливая проростки сорго суспендированной в среде Ruakara 2-суточной LB-агаровой бактериальной культурой Gordonia sp. N7, предварительно отмытой физиологическим раствором центрифугированием при 8000 об./мин. Содержание бактерий в песке составляло 107 клеток/г.
Опыт ставился в 8 вариантах сочетаний исследуемых факторов (табл. 1) по пять сосудов на каждый вариант опыта. Влияние на сорго поллютантов и бактерий исследовали по следующим показателям: выживаемость растений, биомасса корней и побегов, содержание фотосинтетических пигментов, изоферментный состав и активность пероксидаз в корневых экссудатах. Количество аналитических повторностей составляло три для каждого сосуда.
Таблица 1. Варианты вегетационного опыта
Шифр варианта опыта | Вносимые компоненты | ||
Gordonia sp. N7, 107 клеток/г | н-Гексадекан, 5 г/кг | Ni2+, 0.02 г/кг | |
Ч | – | – | – |
Г | – | + | – |
М | – | – | + |
ГМ | – | + | + |
N7 | + | – | – |
N7Г | – | + | – |
N7М | + | – | + |
N7ГМ | + | + | + |
Примечание: Ч – чистый вариант, Г – н-гексадекан, М – металл (Ni2+), N7 – бактерии Gordonia sp. N7.
Выживаемость вычисляли как процент оставшихся в конце эксперимента растений от взошедших. Для определения биомассы у 3-недельных растений высушивали раздельно корни и побеги при 70°С и рассчитывали на 1 растение.
Индекс толерантности (ИТ) высчитывался как % отношения сухого веса растения, выращенного в присутствии стрессора, к биомассе контрольного растения. ИТ определяли для побегов (ИТП), корней (ИТК) и общей биомассы (ИТБ). При этом ИТ > 100% означает стимулирующее воздействие; ИТ = 100% – контроль; ИТ < 100% угнетающее влияние; ИТ = 50% – минимальный желательный объем биомассы при произрастании на загрязненной среде [15, 16].
Накопление никеля в сорго исследовали с использованием атомно-адсорбционного метода (CEM MARS Xpress microwave (Matthews, NC, USA)). Распределение металла по органам растения определяли, вычисляя транслокационный фактор (ТФ) как отношение концентрации металла в побегах к тому же в корнях [16, 23].
Содержание хлорофиллов a и b и каротиноидов анализировали в последних полностью развернувшихся листьях 3-недельных растений с использованием спектрофотометрического метода [17] на спектрофотометре Evolution 60 (“Thermo Scientific”, США) в кварцевых кюветах с длиной оптического пути 1 см.
Корневые экссудаты получали путем внесения 25 мл стерильной дистиллированной воды в колбы с растениями за 2 сут до окончания эксперимента (3 недели). Через 2 сут полученные корневые экссудаты центрифугировали при 10000 об./мин при температуре 12°С в течение 10 мин для осаждения песка, растительных остатков и микроорганизмов. Чистый раствор корневых экссудатов концентрировали методом ультрафильтрации на Amicon PM – 10 (“Millipore”, США).
Определение активности ферментов проводили на спектрофотометре Evolution 60 (“Thermo Scientific”, США) в кварцевых кюветах с длиной оптического пути 1 см. За единицу активности принимали количество фермента, катализирующего образование 1 мкмоль продукта окисления в мин. Удельную активность вычисляли как мкмоль/мин/мг белка и выражали в ед./мг белка. Содержание белка определяли по методу Брэдфорд [18]. В случае невозможности определения концентрации белка активность фермента выражали в условных единицах – мкмоль/мин/г корней (ед./г).
Для определения субстратной специфичности пероксидаз в качестве тестовых субстратов использовали: 2,2'-азино-бис-(3-этилбензтиазолин-6-сульфокислоты) диаммониевую соль (АБТС) – по образованию продукта при 436 нм [19]; о-дианизидин (ОДА) – по образованию продукта при 460 нм [20] и 2.7-диаминофлуорен (ДАФ) – по образованию продукта при 600 нм [21].
Пероксидазы в корневых экссудатах сорго выявляли методом неденатурирующего гель-электрофореза в 12% полиакриламидном геле с последующим окрашиванием ОДА в присутствии Н2О2 [22].
Для определения влияния никеля на активность пероксидаз была очищена доминирующая (катионная) пероксидаза из корней сорго. Активность определяли в реакции окисления ДАФ как описано выше [21]. В реакционную смесь вносили сульфат никеля в диапазоне концентраций 0–10 мМ (0–590 мг/л).
Все эксперименты выполнялись в пяти биологических и трех аналитических повторностях. Полученные данные подвергали статистической обработке, вычисляя средние значения, для сравнения которых использовали показатели стандартного отклонения, доверительного интервала при P ≤ 0.05. Вычисления проводили в программе Microsoft Excel 2007.
РЕЗУЛЬТАТЫ
В результате проведенных экспериментов получены данные, указывающие на существенные различия в ответных реакциях растений сорго веничного на отдельные биотические и абиотические факторы и их комплексное воздействие.
Выживаемость растений в чистой почве составляла 78% (рис. 1). Присутствие н-гексадекана достоверно стимулировало этот показатель на 15% относительно контроля. Влияние раздельно присутствующих никеля и штамма Gordonia sp. N7 (М и N7) было на уровне чистого контроля, так же, как и их сочетания с гексадеканом (ГМ и N7Г), однако бактеризация в присутствии никеля (N7M) приводила к заметному ингибированию – выживаемость снижалась почти на 20%. Наибольшим токсическим эффектом обладал вариант с присутствием всех трех стрессоров (N7ГM) – снижение относительно контроля составило 24%. Полученные данные позволяют заключить, что одновременное воздействие штамма-инокулянта и никеля на выживаемость растений сорго имело аддитивный ингибирующий характер, подавляющий стимулирующий эффект н-гексадекана (см. N7M и N7ГM).
Рис. 1. Выживаемость растений Sorghum bicolor в условиях вегетационного опыта. Полосы погрешностей означают доверительный интервал, рассчитанный для n ≥ 5 при P ≤ 0.05; одинаковыми буквами отмечены значения, достоверно не отличающиеся между собой при P ≤ 0.05. Ч – чистый вариант, Г – н-гексадекан, М – металл (Ni2+), N7 – бактерии Gordonia sp. N7.
Определение накопления биомассы побегов сорго выявило, что н-гексадекан и штамм N7 как по отдельности, так и в сочетании обладали существенным стимулирующим эффектом на этот показатель (на 45–51% относительно чистого контроля) (рис. 2). Никель, напротив, оказывал отчетливое токсическое влияние во всех вариантах с его присутствием (на 31–49%), полностью нивелируя стимулирующее влияние гексадекана и бактеризации.
Рис. 2. Биомасса побегов (1) и корней (2) 3-недельных растений Sorghum bicolor в разных вариантах вегетационного опыта. Полосы погрешностей означают доверительный интервал, рассчитанный для n ≥ 5 при P ≤ 0.05; одинаковыми заглавными буквами отмечены значения веса побегов, достоверно не отличающиеся между собой; одинаковыми строчными буквами отмечены значения веса корней, достоверно не отличающиеся между собой при P ≤ 0.05. Ч – чистый вариант, Г – н-гексадекан, М – металл (Ni2+), N7 – бактерии Gordonia sp. N7.
Аналогичная тенденция стимуляции и ингибирования наблюдалась и в случае биомассы корней сорго (рис. 2). н-Гексадекан и штамм N7 повышали этот показатель по-отдельности на 30 и 50% соответственно, а при их совместном присутствии – на 100%. Никель оказывал ингибирующий эффект во всех вариантах – на 50–70%, также нивелируя стимулирующие воздействие других компонентов.
Влияние исследуемых факторов на общую биомассу растений показало, что бактеризация увеличивала общее производство биомассы сорго на 47%, внесение н-гексадекана – на 43%, а их совместное присутствие – на 59%. Присутствие никеля, напротив, снижало продукцию растительной массы практически на те же значения (табл. 2).
Таблица 2. Индексы толерантности Sorghum bicolor по накоплению биомассы
Показатель, % | Ч | Г | М | ГМ | N7 | N7Г | N7М | N7ГМ |
ИТП | 100 | 145 | 67 | 67 | 147 | 151 | 59 | 51 |
ИТК | 100 | 130 | 30 | 30 | 150 | 200 | 50 | 40 |
ИТБ | 100 | 143 | 62 | 61 | 147 | 159 | 57 | 49 |
Примечание: ИТП – индекс толерантности побегов, ИТК – индекс толерантности корней, ИТБ – индекс толерантности общей биомассы. Ч – чистый вариант, Г – н-гексадекан, М – металл (Ni2+), N7 – бактерии Gordonia sp. N7.
В технологиях фиторемедиации показатели прироста биомассы в виде индексов толерантности (ИТ) используются для оценки эффективности применения растений. По этим показателям н-гексадекан и штамм N7 оказывали стимулирующее влияние на продукцию биомассы растений сорго – ИТ > 100%, особенно при их совместном использовании (ИТК 200) (табл. 2). Никель отчетливо снижал все показатели как индивидуально, так и в комплексе с другими компонентами, полностью нивелируя стимулирующее влияние н-гексадекана и бактеризации. Между тем, присутствие PGP-бактерии несколько повышало устойчивость растений к никелю в случае корней (ИТК 50 для N7М и ИТК 40 для N7ГМ). Однако следует отметить, что наименьший ИТ для общей биомассы наблюдался в варианте N7ГМ (ИТБ 49 – минимальный желательный объем биомассы при произрастании на загрязненной среде), указывая на сильное угнетение растений комплексным воздействием исследуемых факторов.
В результате атомно-адсорбционного анализа сухой биомассы побегов и корней сорго веничного было показано, что они аккумулировали никель в количестве от 208.2 до 1081.6 мг на кг сухого веса растений (рис. 3). В корнях никель накапливался значительно в больших количествах, чем в побегах (в 5 раз в случае монозагрязнения). Присутствие н-гексадекана снижало этот показатель почти в 1.5 раза, незначительно повышая накопление в побегах. Инокуляция штаммом Gordonia sp. N7 вызывала перераспределение металла в растении: содержание никеля повышалось в побегах не зависимо от присутствия н-гексадекана на 67–68% относительно соответствующих вариантов без инокуляции. В корнях наблюдалось понижение накопления металла на 73 и повышение на 17% без н-гексадекана и с н-гексадеканом соответственно. Вероятно, углеводород, являясь дополнительным источником углерода для микроорганизмов, увеличивал их численность, что могло оказывать влияние на проникновение никеля в растение.
Рис. 3. Накопление ионов никеля в побегах (1) и корнях (2) Sorghum bicolor и ТФ никеля (3). Полосы погрешностей означают ошибку среднего значения, не превышающую 5% для n ≥ 5; одинаковыми заглавными буквами отмечены значения для побегов, достоверно не отличающиеся между собой; одинаковыми строчными буквами отмечены значения для корней, достоверно не отличающиеся между собой при P ≤ 0.05. Г – н-гексадекан, М – металл (Ni2+), N7 – бактерии Gordonia sp. N7.
Для более четкой технологической трактовки полученных результатов мы использовали показатель транслокационного фактора (ТФ), который является важной характеристикой растений-фиторемедиантов. Значение ТФ меньше 1 свидетельствует об аккумуляции металлов преимущественно в корнях, ТФ больше 1 – в побегах [16, 23]. В нашем случае исходный ТФ никеля составил 0.19 (рис. 3). ТФ вариантов с комплексом поллютантов и бактеризацией повышался в 1.7–2.5 раз, свидетельствуя о смещении накопления металла из корня в надземную биомассу. Бактеризация в присутствии н-гексадекана повышала показатель ТФ до максимального значения – 0.46.
Изучение влияние никеля на содержание фотосинтетических пигментов показало (табл. 3) снижение концентрации хлорофилла а во всех вариантах с его присутствием относительно чистого контроля на 31–54%. н-Гексадекан как единственный стрессор практически не оказывал воздействия. Обращает на себя внимание стимулирующий эффект штамма-инокулянта в чистом грунте (10%) и ингибирующий эффект в его присутствии в вариантах с металлом и н-гексадеканом по отдельности (по 42%) и еще больший при сочетанном действии загрязнителей (54%), однако минимальная концентрация исследуемого пигмента наблюдалась под воздействием всего комплекса стрессоров – 53%.
Таблица 3. Содержание фотосинтетических пигментов в листьях Sorghum bicolor (мг/г сырой биомассы)
Пигменты | Варианты опыта | |||||||
Ч | Г | М | ГМ | N7 | N7Г | N7М | N7ГМ | |
Хлорофилл а | 0.71 ± 0.06 | 0.68 ± 0.19* | 0.49 ± 0.12* | 0.47 ± 0.09* | 0.78 ± 0.10 | 0.41 ± 0.15* | 0.41 ± 0.01* | 0.33 ± 0.13* |
Хлорофилл б | 0.27 ± 0.02 | 0.31 ± 0.11* | 0.26 ± 0.02 | 0.26 ± 0.06 | 0.18 ± 0.06* | 0.14 ± 0.01* | 0.19 ± 0.07* | 0.19 ± 0.03* |
Каротин + + ксантофил | 0.20 ± 0.04 | 0.19 ± 0.05 | 0.15 ± 0.04* | 0.14 ± 0.02* | 0.16 ± 0.04 | 0.12 ± 0.01* | 0.13 ± 0.04 | 0.09 ± 0.04* |
Примечание. В таблице приведены средние значения (n ≥ 3) ± стандартное отклонение; звездочкой обозначены значения, достоверно отличающиеся от контроля (Ч) при P ≤ 0.05. Ч – чистый вариант, Г – н-гексадекан, М – металл (Ni2+), N7 – бактерии Gordonia sp. N7.
В случае хлорофилла б исследуемые воздействия имели несколько иной характер: н-гексадекан стимулировал его синтез, присутствие только металла не оказывало влияния, но нивелировало стимулирующий эффект н-гексадекана, в то же время бактеризация растений ингибировала синтез хлорофилла б во всех вариантах (на 33–56%).
Никель оказывал серьезное воздействие на содержание каротиноидов, снижая его на 25% в отсутствие других факторов и еще больше в сочетании с микроорганизмом (35%), н-гексадеканом (30%) и при комплексе стрессоров (55%). н-Гексадекан, также как и бактеризация, по-отдельности не вызывали заметного влияния на каротиноиды, но при совместном присутствии снижали его на 40% (недостоверно), что, вероятно, может быть вызвано воздействием образующихся в этом варианте бактериальных метаболитов разрушения н-гексадекана.
С целью выяснения влияния загрязнителей и штамма-инокулянта на показатели антистрессовой защиты исследовали спектр и активность экссудируемых корнями сорго ферментов, в частности пероксидаз.
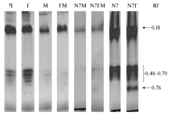
С помощью гель-электрофореза в неденатурирующих условиях установлено, что профиль пероксидаз в корневых экссудатах сорго был представлен как минимум двумя пероксидазами с Rf в диапазоне 0.18–0.70, одна из которых имела 5 изоформ (рис. 4). Обращает на себя внимание появление дополнительной пероксидазы с Rf 0.76 только в варианте N7Г – в случае совместного присутствия н-гексадекана и штамма. Влияние металла выражалось в снижении количества продуцируемых ферментов.
Рис. 4. Спектр пероксидаз в корневых экссудатах Sorghum bicolor в присутствии ионов металла (никеля), н-гексадекана и штамма Gordonia sp. N7. Ч – чистый вариант, Г – н-гексадекан, М – металл (Ni2+), N7 – бактерии Gordonia sp. N7.
Исследование субстратной специфичности пероксидаз, выделяемых сорго с корневыми экссудатами, показало различные активности этих ферментов по отношению к трем тестовым субстратам: АБТС, ОДА и ДАФ (рис. 5). Пероксидазная активность, определяемая с АБТС, была наиболее высокой в чистых условиях (4.6 мкмоль/мин/г корней) (рис. 5). Наличие в среде загрязнителей существенно ее снижало: на 68% в присутствии н-гексадекана и на 28% – никеля. При их совместном воздействии никель нивелировал влияние н-гексадекана. Инокуляция растения штаммом Gordonia sp. N7 наиболее заметно (на 90%) снижала активность фермента вплоть до ее полного ингибирования в присутствии металла и всего комплекса компонентов. В случае анализа с ДАФ (рис. 5) также наблюдалось снижение пероксидазной активности с некоторыми вариациями (на 35–80%), вызванное присутствием загрязнителей и еще в большей степени – бактерий. В случае совместного присутствия штамма и никеля ДАФ-пероксидазная активность не выявлялась.
Рис. 5. Активность пероксидаз из корневых экссудатов Sorghum bicolor в отношении тестовых субстратов: 1 – ОДА; 2 – ДАФ; 3 – АБТС. Одинаковыми заглавными буквами отмечены значения для ОДА, достоверно не отличающиеся между собой; одинаковыми строчными буквами отмечены значения для ДАФ, достоверно не отличающиеся между собой; одинаковыми символами отмечены значения для АБТС, достоверно не отличающиеся между собой при P ≤ 0.05. Ч – чистый вариант, Г – н-гексадекан, М – металл (Ni2+), N7 – бактерии Gordonia sp. N7.
В отличие от предыдущих тестовых субстратов использование ОДА (рис. 5) обнаружило повышение активности пероксидазы в присутствии никеля в качестве единственного компонента (на 24%). Это, вероятно, отразилось на детектировании пониженной, но достаточно отчетливой активности этой пероксидазы в вариантах N7М и N7ГМ, в которых активность других пероксидаз не выявлялась.
Изучение влияния ионов никеля на активность очищенной пероксидазы из корней сорго веничного показало, что в диапазоне концентраций 0–10 мМ (0–590 мг) никель не оказывал заметного влияния на активность фермента (рис. 6). Это позволяет предположить, что металл снижает не активность, а именно продукцию фермента, отчетливо выявляемую электрофорезом в неденатурирующих условиях (рис. 4).
Рис. 6. Влияние никеля в возрастающей концентрации на активность очищенной катионной пероксидазы из корней Sorghum bicolor (с ДАФ). По оси ординат активность фермента в % к варианту без никеля. При концентрации никеля 0 мМ активность принимали за 100%.
Таким образом, полученные данные свидетельствуют о существенных различиях во влиянии индивидуальных загрязнителей и их комплекса на исследованные параметры растения сорго веничного. Бактеризация способствовала лучшему развитию растений в условиях загрязнения, вызывая при этом определенные реакции фотосинтетического аппарата и ферментов антистрессовой защиты сорго. Наконец, повышение ТФ никеля в результате бактеризации явилось отчетливым свидетельством положительного влияния Gordonia sp. N7 на фиторемедиационный потенциал сорго.
ОБСУЖДЕНИЕ
Проведенное нами исследование на примере бинарной смеси никеля и н-гексадекана показало, что сорго веничное меняет свои биометрические и физиолого-биохимические показатели в условиях комбинированного загрязнения относительно воздействия индивидуальных поллютантов.
Известно, что никель, являясь микроэлементом, в небольших количествах необходим высшим растениям, являясь структурным элементом нескольких металлоферментов, таких как уреаза, супероксиддисмутаза, Ni-Fe гидрогеназа, ацетил-коэнзим-синтаза и др. [24]. Следовательно, он важен для окислительно-восстановительных реакций и осуществления различных клеточных функций. Однако в высоких концентрациях этот металл проявляет токсичность и изменяет нормальный метаболизм растений, вызывая клеточные повреждения и даже гибель [25]. Симптомы отравления никелем у растений включают хлороз, некроз, задержку роста корней и уменьшение площади листьев [24]. В нашем исследовании никель существенно снижал накопление биомассы побегов и корней, сохраняя практически такие же величины ингибирования и при комбинированном внесении загрязнителей.
н-Гексадекан увеличивал биомассу побегов и корней сорго, однако присутствие никеля нивелировало этот эффект. Стимулирующая активность углеводородов нефти на рост растений описана в литературе [24, 26]. Ряд авторов связывают ее с усилением биологической активности углеводородокисляющих микроорганизмов и стимулированием метаболических процессов в ризосферной зоне [26]. Однако в нашем случае условия культивирования растений изначально стерильные, что предполагает наличие иных причин. Следует отметить, что механизмы влияния именно н-гексадекана или других индивидуальных алифатических углеводородов на растения в литературе представлены довольно скупо. Известно, что н-гексадекан способен проникать в ткани растений и даже подвергаться там биохимическим модификациям под влиянием цитохрома P450 и пероксидаз [27].
Напротив, у микроорганизмов процессы контактов с н-парафинами и их деградации исследованы в достаточной степени [28]. Поскольку для инокуляции растений нами использовался штамм деструктор н-гексадекана Gordonia sp. N7, необходимо учитывать, что он взаимодействует с углеводородом как с питательным субстратом по известным механизмам: либо путем адгезии, либо солюбилизации. Оба варианта описаны для актинобактерий, в том числе и для рода Gordonia. В присутствии гидрофобных субстратов, в частности н-парафинов, эти бактерии повышают гидрофобность своей поверхности и сродство к углеводородам за счет высокого содержания липидов в клеточной стенке, либо синтезируют биосурфактанты, повышая биодоступность соединений за счет их эмульгирования [28, 29]. По этой причине воздействие н-гексадекана на растение в присутствии модифицирующих его бактерий может измениться.
Ионы никеля также способны взаимодействовать как с корнями растения, так и с бактериями, проявляя в определенной концентрации по отношению к ним токсические свойства. Интересным является тот факт, что синтезируемые при культивировании актинобактерий в углеводородсодержащей среде биосурфактанты, являясь потенциальными металлохелаторами, связываются с ионами тяжелых металлов, тем самым препятствуя их поступлению в бактериальные клетки, что в свою очередь сопровождается повышением устойчивости последних к данным ксенобиотикам. Например, резистентность к ионам тяжелых металлов актинобактерий, культивируемых в присутствии н-гексадекана, в 2–4 раза выше по сравнению с таковой культур, выращенных в богатой питательной среде [30].
Таким образом, все воздействующие на растения компоненты находятся в активном взаимодействии друг с другом, что меняет как их собственные характеристики, так и реакции растений. Вполне вероятно, что изменение поверхностных свойств бактерий в присутствии н-гексадекана и никеля может способствовать изменению контактных взаимодействий PGP-бактерии, каковой является Gordonia sp. N7, с корнями растения. Полученные нами результаты косвенно свидетельствуют об этом. Особенно ярко это выражалось на примере влияния никеля и бактерии на прирост биомассы сорго. Бактеризованные растения в чистых условиях накапливали значительно больше биомассы корней и побегов относительно контроля. Это может являться следствием проявления микроорганизмом-инокулянтом активности АЦК-деаминазы, которая, как известно, снижает образование фитогормона этилена и тем самым стимулирует рост растений [31]. В присутствии никеля эта стимулирующая активность штамма нивелировалась и наблюдалось существенное ингибирование роста побегов и корней, что можно объяснить ингибированием тяжелыми металлами активности бактериальной АЦК-деаминазы [31]. Однако если сравнить варианты индивидуального присутствия никеля и совместно с бактериальным штаммом, прирост биомассы корня в последнем случае недостоверно, но выше, что с осторожностью позволяет говорить о “смягчении” бактериями токсичности никеля в отношении корней. В литературе также описаны данные о проявлении стимуляции роста растений природным ризобактериальным изолятом в условиях мультизагрязнения металлами [32].
Обобщая вышеуказанные данные и используя такой показатель, как общее производство биомассы растений, можно заключить, что у сорго он повышался относительно контроля под влиянием исследуемых факторов в следующем ряду: н-гексадекан (43%), инокуляция штаммом (47%), н-гексадекан + штамм Gordonia sp. (59%). Никель, напротив, во всех вариантах его присутствия снижал этот показатель на 50–70%. Вычисленный нами на основе показателей продукции растительной биомассы индекс толерантности (ИТ), характеризующий степень устойчивости растения к стрессору, определил характер влияния никеля на сорго как сильное угнетение, незначительно варьирующее в присутствии других компонентов.
Важным аспектом нашей работы явилось выяснение поглощения растениями сорго ионов никеля, характеризующего фиторемедиационный потенциал растений [32]. Этот металл относится к элементам с высокой способностью проникновения в растение, но особый интерес с точки зрения технологических процессов представляло определить локализацию поглощенного никеля, поскольку надземную часть растений легче удалять с очищаемого участка.
Показано, что накопление никеля за 3 недели роста сорго на никельсодержащем песке происходило преимущественно в корнях. Дополнительные вносимые компоненты влияли на этот процесс. Вычисленный нами для всех вариантов опыта показатель ТФ, на основании которого можно судить о преимущественном накоплении металлов в корнях или побегах [16, 23] показал, что присутствие углеводородного загрязнения, а также инокуляция растений PGP-бактериями не только увеличивали содержание никеля в растении, но и смещали его локализацию в надземную часть. Максимальное значение ТФ получено в варианте никель + бактеризация + гексадекан, в котором бактерии имели дополнительный источник углерода для роста, увеличивающий их численность. Подобный эффект описан в работе [33], авторы которой считают, что повышение содержания никеля в надземных частях растений происходит за счет выделения устойчивыми к металлу ризосферными бактериями сидерофоров и органических кислот, в комплексе с которыми может осуществляться дальний транспорт ионов никеля по сосудам ксилемы.
Одним из самых значимых физиолого-биохимических показателей состояния растения является функционирование его фотосинтетического аппарата, который в условиях стрессового воздействия реагирует каскадом защитных реакций [34]. Негативное влияние тяжелых металлов связывают с их прямым ингибирующим воздействием на активность ферментов биосинтеза зеленых пигментов, что сказывается на содержании хлорофиллов а и б и каротиноидов. Кроме того, нарушение биосинтеза хлорофиллов в присутствии тяжелых металлов, в том числе Ni2+, может быть вызвано замещением ионов магния ионами этих металлов в молекулах пигмента [35].
В наших экспериментах никель отрицательно влиял на содержание хлорофилла а и каротиноидов, не оказывая воздействия на хлорофилл б. Присутствие только н-гексадекана проявлялось в повышении уровня хлорофилла б. Воздействие комплекса загрязнителей практически было равнозначным влиянию никеля, нивелирующего воздействие н-гексадекана. Интересно, что инокуляция актинобактериями рода Gordonia (штаммом N7) явилась серьезным ингибирующим фактором, существенно снижающим содержание исследованных фотосинтетических пигментов в листьях сорго. При этом присутствие загрязнителей в основном усиливало этот эффект. Наибольшее снижение хрофилла а и каротиноидов – более чем в 2 раза – происходило под воздействием композиции всех трех компонентов. Между тем, по литературным данным инокуляция семян пшеницы эндофитным штаммом Bacillus subtilis снижала токсический эффект никеля, что проявлялось в сохранении фотосинтетической активности и лучших показателях роста растений [36].
Хлорофилл а связан с реакционными центрами фотосистем, а форма б – со светособирающим комплексом фотосистемы II. Вызванное бактеризацией снижение содержания хлорофилла б может иметь в своей основе существенные изменения процессов поглощения света [34]. Об этом же свидетельствует уменьшение содержания каротиноидов, участвующих в нейтрализации активных форм кислорода в стрессовых условиях.
Представленные в литературе данные как положительного [37], так и отрицательного [38] влияния инокуляции PGP-бактериями растений на содержание фотосинтетических пигментов, предполагают, что распознавание хозяин-бактерия приводит к стресс-специфической модуляции реакции корня и дифференциальному независимому от стресса влиянию на фотосинтез [38].
Существенный интерес в ответных реакциях растений на стрессоры представляют пероксидазы, экссудируемые корнями. Физиологические функции этих ферментов связаны с механизмами защиты, метаболизмом ауксина и биосинтезом полимеров клеточной стенки, таких как лигнин и суберин, выполняющих функцию физического барьера при воздействии биотических и абиотических стрессовых факторов. Кроме того, с пероксидазами сорго связывают его термотолерантность и устойчивость к грибным инфекциям [39]. Широкая субстратная специфичность пероксидаз позволяет рассматривать их как важный инструмент детоксикации/деградации загрязнителей окружающей среды [11].
Как правило, пул ферментов, экссудируемых корнями, представлен несколькими ферментами и их изоформами. Считается, что именно варьируя изоформный состав пероксидаз растение обеспечивает необходимые биохимические реакции в ответ на какой-либо стресс. При этом, множественные молекулярные формы пероксидаз отличаются по ряду физико-химических свойств и локализации [40].
Полученные нами результаты показали присутствие в корневых экссудатах сорго в заданных условиях эксперимента как минимум двух пероксидаз, одна из которых имела несколько изоформ. Наибольший интерес представляет появление еще одной пероксидазы с самой высокой электрофоретической подвижностью (0.76) в варианте одновременного присутствия н-гексадекана и бактерий рода Gordonia N7, причем, добавление никеля к этим компонентам существенно уменьшало активность этой формы, но полного ингибирования не происходило. Функция выявленной пероксидазы не ясна, однако в связи с тем, что штамм-инокулянт является деструктором н-гексадекана, можно предположить, что это – реакция растения на биосурфактанты, продуцируемые бактериями в присутствии гидрофобного субстрата, либо на метаболиты и активные формы кислорода (АФК), образующиеся при микробном окислении углеводорода.
Активность пероксидаз сорго, исследованная нами в концентрированных корневых экссудатах, различалась в зависимости от использованного тестового субстрата. Однако во всех вариантах тенденция была одинаковой: активность относительно чистого контроля снижалась в присутствии как загрязнителей, так и штамма-инокулянта, достигая в отдельных случаях практически полного ингибирования (при воздействии всех трех компонентов). Присутствие бактерий вызывало наиболее понижающий эффект, причем, как индивидуально, так и в еще большей степени – в композиции с другими компонентами. Исключением явились результаты с тестовым субстратом ОДА, в которых никель (индивидуально) повышал пероксидазную активность на 25%. В целом, можно заключить, что из всех исследуемых факторов наиболее влияющим на пероксидазную активность корневых экссудатов сорго являлся биотический фактор – инокуляция штаммом Gordonia sp. N7. Возможно, что такой ответ растения на ризосферную бактерию, охарактеризованную нами как PGPR, является особенностью ее взаимодействия с корнями сорго, понижающего стрессовый отклик растения. Однако следует учитывать, что проведенный анализ дает картину активности ферментов на конец эксперимента – на 20 сут. Вполне вероятно, что в этот период растение уже адаптировалось к стрессовым условиям.
В присутствии никеля также отмечено снижение активности пероксидаз с использованием в качестве тестовых субстратов ДАФ и АБТС. Относительно ОДА этот эффект отсутствовал. В то же время, отдельным экспериментом показано, что никель в широком диапазоне концентраций не влиял на активность очищенной ДАФ-пероксидазы. Это может объясняться тем, что в корневых экссудатах содержится широкий набор пероксидаз и их изоформ, которые, естественно, имеют различное сродство к тестовым субстратам и по-разному подвержены влиянию никеля.
Таким образом, подводя итог проведенному эксперименту, можно констатировать, что исследованные стрессоры оказывали существенное влияние как на ростовые, так и физиолого-биохимические характеристики Sorghum bicolor. При индивидуальном присутствии их воздействие выглядело следующим образом.
н-Гексадекан повышал выживаемость сорго, биомассу корней и побегов, ИТ, накопление никеля в побегах, ТФ, содержание хлорофилла б, понижал активность пероксидаз в корневых экссудатах.
Бактеризация актинобактериями рода Gordonia N7 повышала прирост биомассы, ИТ, накопление никеля в побегах, ТФ, понижала содержание хлорофилла б, активность пероксидаз в корневых экссудатах.
Никель оказывал практически на все изученные параметры негативное воздействие: уменьшал биомассу, понижал ИТ, содержание хлорофилла а и каротиноидов, понижал активность пероксидаз в корневых экссудатах, аккумулировался в основном в корнях сорго.
Добавление других компонентов оказывало влияние на изучаемые параметры, однако токсическое воздействие никеля было доминирующим и нивелировало эффекты других факторов, например, стимулирующее влияние н-гексадекана и бактерий на прирост растительной биомассы. Тем не менее, влияние н-гексадекана и ризосферного штамма Gordonia sp. N7 на эффекты, вызванные никелем в сравнении с его индивидуальными показателями, были весьма отчетливыми.
В присутствии бактерий влияние никеля на растения менялось по всем показателям за исключением прироста биомассы: снижалась выживаемость, существенно повышался ИТ корней, ТФ увеличивался более чем в 2 раза, смещая накопление никеля в побеги, пероксидазная активность снижалась почти в 7 раз, уменьшалось содержание всех фотосинтетических пигментов, особенно хлорофилла б.
н-Гексадекан в меньшей степени, но влиял на ингибирующее воздействие никеля, отчетливо повышая ТФ и понижая пероксидазную активность в корневых экссудатах по отдельным тестовым субстратам.
Таким образом, смоделированный нами комбинированный стресс, сочетающий абиотические факторы с биотическим, продемонстрировал существенный эффект их сочетания на растения сорго, особенно со штаммом Gordonia sp. N7. Его внесение вызывало как положительные, так и отрицательные реакции сорго веничного, свидетельствующие об особенностях коммуникаций макро- и микропартнеров в условиях загрязненной среды и возможном участии в адаптивных реакциях растения в экстремальной среде. Полученные результаты дают обоснование эффективности использования актинобактерий как технологического приема, способствующего процессу фиторемедиации по извлечению никеля из загрязненного грунта. В то же время, необходимо отметить, что выявленный эффект следует учитывать в сельскохозяйственном кормопроизводстве, поскольку он свидетельствует о загрязнении растительной продукции тяжелыми металлами. Эти два аспекта взаимоисключаемы в названных технологических процессах и крайне важны в фундаментальном плане по исследованию влияния мультизагрязнений на растения.
В исследованиях использовалось оборудование Центра коллективного пользования (ЦКП) “Симбиоз” ИБФРМ РАН.
Работа выполнена в рамках государственного задания Министерства образования и науки Российской Федерации для Федерального исследовательского центра “Саратовский научный центр РАН”, тема № 1022040700974-4.
Авторы заявляют об отсутствии конфликта интересов.
Настоящая работа не содержит каких-либо исследований с участием людей и животных в качестве объектов исследования.
1 В указанных источниках штамм обозначен до его реклассификации как Rhodococcus ruber N7.
About the authors
О. В. Турковская
Федеральный исследовательский центр “Саратовский научный центр Российской академии наук”
Email: turkovskaya_o@ibppm.ru
Институт биохимии и физиологии растений и микроорганизмов
Russian Federation, СаратовА. Д. Бондаренкова
Федеральный исследовательский центр “Саратовский научный центр Российской академии наук”
Email: turkovskaya_o@ibppm.ru
Институт биохимии и физиологии растений и микроорганизмов
Russian Federation, СаратовС. Н. Голубев
Федеральный исследовательский центр “Саратовский научный центр Российской академии наук”
Email: turkovskaya_o@ibppm.ru
Институт биохимии и физиологии растений и микроорганизмов
Russian Federation, СаратовН. Н. Позднякова
Федеральный исследовательский центр “Саратовский научный центр Российской академии наук”
Author for correspondence.
Email: turkovskaya_o@ibppm.ru
Институт биохимии и физиологии растений и микроорганизмов
Russian Federation, СаратовЕ. В. Дубровская
Федеральный исследовательский центр “Саратовский научный центр Российской академии наук”
Email: turkovskaya_o@ibppm.ru
Институт биохимии и физиологии растений и микроорганизмов
Russian Federation, СаратовИ. Ю. Сунгурцева
Федеральный исследовательский центр “Саратовский научный центр Российской академии наук”
Email: turkovskaya_o@ibppm.ru
Институт биохимии и физиологии растений и микроорганизмов
Russian Federation, СаратовА. Ю. Муратова
Федеральный исследовательский центр “Саратовский научный центр Российской академии наук”
Email: turkovskaya_o@ibppm.ru
Институт биохимии и физиологии растений и микроорганизмов
Russian Federation, СаратовReferences
- Sathya A., Kanaganahalli V., Srinivas Rao P., Gopalakrishnan S. Cultivation of sweet sorghum on heavy metalcontaminated soils by phytoremediation approach for production of bioethanol // In: M.N.V. Prasad, ed., Bioremediation and Bioeconomy, Amsterdam: Elsevier, 2016. P. 271. http://dx.doi.org/10.1016/B978-0-12-802830-8.00012-5
- De Bernard A., Casucci C., Businelli D., D’Amato R., Beone G. M., Fontanella M.C., Vischetti C. Phytoremediation potential of crop plants in countering nickel contamination in carbonation lime // Plants. 2020. V. 9. P. 580. https://doi.org/10.3390/plants9050580
- Rao P.S., Reddy B.V.S., Reddy Ch.R., Blümmel M., Kumar A.A., Rao P.P., Basavaraj G. Utilizing co-products of the sweet sorghum based biofuel industry as livestock feed in decentralized systems // In: FAO. 2012. Biofuel co-products as livestock feed – Opportunities and challenges, edited by Harinder P.S. Makkar. Rome. P. 229.
- Hong S.H., Cho K.-S., Ryu H., Kim J. Rhizoremediation of diesel-contaminated soil using the plant growth-promoting rhizobacterium Gordonia sp. S2RP-17 // Biodegradation. 2011. V. 22. P. 593. https://doi.org/10.1007/s10532-010-9432-2
- Lo Piccolo L., De Pasquale C., Fodale R., Puglia A.M., Quatrini P. Involvement of an alkane hydroxylase system of Gordonia sp. strain SoCg in degradation of solid n-alkanes // Appl. Environ. Microbiol. 2011. V. 77. P. 1204. https://doi.org/10.1128/AEM.02180-10
- Litvinenko L.V. Ability of the Dietzia, Gordonia and Rhodococcus actinobacteria to accumulate nickel ions // Microbiol. 2019. V. 88. P. 207. https://doi.org/10.1134/S0026261719020061
- Atagana H.I. Bioremediation of co-contamination of crude oil and heavy metals in soil by phytoremediation using Chromolaena odorata (L) King & H.E. Robinson // Water Air Soil Pollut. 2011. V. 215. P. 261. https://doi.org/10.1007/s11270-010-0476-z
- Пиковский Ю.И. Трансформация техногенных потоков нефти в почвенных экосистемах // Восстановление нефтезагрязненных почвенных экосистем. Под ред. М.А. Глазовской. М.: Наука, 1988. С. 7.
- Muratova A., Lyubun Y., German K., Turkovskaya O. Effect of cadmium stress and inoculation with a heavy-metal-resistant bacterium on the growth and enzyme activity of Sorghum bicolor // Environ. Sci. Pollut. Res. 2015. V. 22. P. 16098. https://doi.org/10.1007/s11356-015-4798-7
- Бондаренкова А.Д. Стимулирующие рост растений ризобактерии в фиторемедиации почв, загрязненных углеводородами // Дисc. … канд. биол. наук. Саратов: ИБФРМ РАН, 2009. 162 с.
- Dubrovskaya E., Pozdnyakova N., Golubev S., Muratova A., Grinev V., Bondarenkova A., Turkovskaya O. Peroxidases from root exudates of Medicago sativa and Sorghum bicolor: catalytic properties and involvement in PAH degradation // Chemosphere. 2017. V. 169. P. 224. http://dx.doi.org/10.1016/j.chemosphere.2016.11.027
- Smith G.S., Johnston C.M., Cornforth I.S. Comparison of nutrient solutions for growth of plants in sand culture // New Phytol. 2006. V. 94. P. 537. https://doi.org/10.1111/j.1469-8137.1983.tb04863.x
- Предельно допустимые концентрации (ПДК) химических веществ в почве Гигиенические нормативы ГН 2.1.7.2041-06.
- Герхардт Ф. Методы общей бактериологии. М.: Мир, 1983. Т. 3. 536 с.
- Ali N.A., Berna M.P., Ater M. Tolerance and bioaccumulation of cadmium by Phragmites australis grown in the presence of elevated concentrations of cadmium, copper and zinc // Aquat. Bot. 2004. V. 80. P. 163. https://doi.org/10.1016/J.AQUABOT.2004.08.008
- Елизарьева Е.Н., Янбаев Ю.А., Кулагин А.Ю. Особенности выбора фиторемедиационных технологий очистки почв и сточных вод от ионов тяжелых металлов // Вестник удмуртского университета. Биология. Науки о Земле. 2016. Т. 26. С. 7.
- Методы биохимического анализа растений / В.В. Полевой и Г.Б. Максимов. Л.: Изд-во Ленинградского университета. 1978. 192 с.
- Bradford M.M. A rapid and sensitive method for the quantitation of microgram quantities of protein utilizing the principle of proteindye-binding // Anal Biochem. 1976. V. 72. P. 248. https://doi.org/10.1006/abio.1976.9999
- Niku-Paavola M.L., Karhunen E., Salola P., Raunio J. Ligninolytic enzymes of white-rot fungus Phlebia radiate // Biochem J. 1988. V. 254. P. 877. https://doi.org/10.1042/bj2540877
- Bartha R., Bordeleau L. Cell–free peroxidases in soil // Soil Biol. Biochem. 1969. V. 1. P. 139. https://doi.org/10.1016/0038-0717(69)90004-2
- Criquet S., Joner E., Leglize P., Leyval C. Anthracene and mycorrhiza affect the activity of oxidoreductases in the roots and the rhizosphere of lucerne (Medicago sativa L.) // Biotechnol. Lett. 2000. V. 22. P. 1733. https:// doi: 10.1023/A:1005604719909
- Laemmli U.K. Cleavage of structural proteins during the assembly of the head of bacteriophage T4 // Nature. 1970. V. 227. P. 680. https://doi.org/10.1038/227680a0
- Cao A., Cappai G., Carucci A., Muntoni A. Selection of plants for zinc and lead phytoremediation // J. Environ. Sci. Health. 2004. V. 39. P. 1011. https://doi.org/10.1081/ese-120028410
- Ahmad M.S.A., Ashraf M. Essential roles and hazardous effects of nickel in plants. In: Reviews of environmental contamination and toxicology, Whitacre D.M. (ed.). New York: Springer, 2011. P. 125. https://doi.org/10.1007/978-1-4614-0668-6_6
- Seregin I.V., Kozhevnikova A.D. Physiological role of nickel and its toxic effects on higher plants // Russ. J. Plant Physiol. 2006. V. 53. P. 257. https://doi.org/10.1134/S1021443706020178
- Khan S., Afzal M., Iqbal S., Khan Q.M. Plant-bacteria partnerships for the remediation of hydrocarbon contaminated soils // Chemosphere. 2013. V. 90. P. 1317. https://doi.org/10.1016/j.chemosphere.2012.09.045
- Vega-Jarquin C., Dendooven L., Magaña-Plaza I., Thalasso F., Ramos-Valdivia A. Biotransformation of n-hexadecane by cell suspension cultures of Cinchona robusta and Dioscorea composite // Environ. Toxicol. Chem. 2001. T. 20. P. 2670. https://doi.org/10.1002/etc.5620201203
- Solyanikova I.P., Golovleva L.A. Hexadecane and hexadecane-degrading bacteria: mechanisms of interaction // Microbiology. 2019. V. 88. P. 19. https://doi.org/10.1134/S0026261718060152
- Rubtsova E.V., Kuyukina M.S., Ivshina I.B. Effect of cultivation conditions on the adhesive activity of rhodococci towards n-hexadecane // Appl. Biochem. Microbiol. 2012. V. 48. P. 501. https://doi.org/10.1134/S0003683812050110
- Ivshina I.B., Kuyukina M.S., Kostina L.V. Adaptive mechanisms of nonspecific resistance to heavy metal ions in alkanotrophic actinobacteria // Rus. J. Ecol. (Ekologiya). 2013. P. 115. https://doi.org/10.1134/S1067413613020082
- Белимов А.А., Тихонович И.А. Микробиологические аспекты устойчивости и аккумуляции тяжелых металлов у растений (обзор) // Сельскохозяйственная биология. 2011. № 3. С. 10.
- Oh K., Cao T.H., Cheng H.Y., Liang X.H., Hu X.F., Yan L.J., Yonemochi S., Takahi S. Phytoremediation potential of sorghum as a biofuel crop and the enhancement effects with microbe inoculation in heavy metal contaminated soil // J. Biosci. Medic. 2015. V. 3. P. 9. http://dx.doi.org/10.4236/jbm.2015.36002
- Abou-Shanab R., Delorme T.A., Angle J.S., Chaney R.L., Ghanem K., Moawad H., Ghozlan H.A. Phenotypic characterization of microbes in the rhizosphere of Alyssum murale // Int. J. Phytoremediation. 2003. V. 5. P. 367. https://doi.org/10.1080/16226510390268766
- Kreslavski V.D., Carpentier R., Klimov V.V., Murata N., Allakhverdiev S.I. Molecular mechanisms of stress resistance of photosynthetic apparatus // Biochemistry (Moscow) Supplement Series A Membrane and Cell Biology. 2007. V. 1. P. 185. https://doi.org/10.1134/S1990747807030014
- Küpper H., Küpper F., Spiller M. Environmental relevance of heavy metal substituted chlorophylls using the example of water plants // J. Exp. Bot. 1996. V. 47. P. 259. https://doi.org/10.1093/jxb/47.2.259
- Смирнова Ю.В., Курамшина З.М., Гамоненко О.В. Влияние эндофитных бактерий Bacillus subtilis на содержание фотосинтетических пигментов в растениях пшеницы при воздействии никеля // Universum: Химия и биология: электрон. научн. журн. 2018. № 12. C. 54. http://7universum.com/ru/nature/archive/item/6661.
- Bashan Y., Bustillos J.J., Leyva L.A., Hernandez J. P., Bacilio M. Increase in auxiliary photoprotective photosynthetic pigments in wheat seedlings induced by Azospirillum brasilense // Biol. Fertil. Soils. 2006. V. 42. P. 279. https://doi.org/10.1007/s00374-005-0025-x
- Czarnes S., Mercier P.E., Lemoine D.G., Hamzaoui J., Legendre L. Impact of soil water content on maize responses to the plant growth promoting rhizobacterium Azospirillum lipoferum CRT1 // J. Agro Crop Sci. 2020. V. 206. P. 505. https://doi.org/10.1111/jac.12399
- Газарян И.Г., Хушпульян Д.М., Тишков В.И. Особенности структуры и механизма действия пероксидаз растений // Успехи биол. химии. 2006. Т. 46. С. 303.
- Граскова И.А., Боровский Г.Б., Владимирова С.В., Романенко А.С., Войников В.К. Изоферментные спектры пероксидаз картофеля при патогенезе кольцевой гнили // Доклады РАН. 2002. Т. 384. № 6. С. 844.
Supplementary files








