Uterine layers hypervascularization in atypical placentation: the comparison of magnetic resonance imaging with vascular pathomorphology
- Авторлар: Kulabukhova P.V.1, Nizyaeva N.V.1,2, Milovanov A.P.2, Artemyeva K.A.2, Mhitarov V.A.2, Bychenko V.G.1
-
Мекемелер:
- V.I. Kulakov National Medical Research Center for Obstetrics, Gynecology and Perinatology
- A.P. Avtsyn Research Institute of Human Morphology of B.V. Petrovsky National Research Centre of Surgery
- Шығарылым: Том 52, № 4 (2024)
- Беттер: 197-212
- Бөлім: ARTICLES
- URL: https://bakhtiniada.ru/2072-0505/article/view/266417
- DOI: https://doi.org/10.18786/2072-0505-2024-52-020
- ID: 266417
Дәйексөз келтіру
Толық мәтін
Аннотация
Rationale: One in five women worldwide delivers through cesarean section, which is associated to a high rate of placenta previa and abnormal placenta attachment to the uterine wall. The grade of placenta accreta spectrum (PAS) correlates with blood loss volume, which could be related to vascularization characteristics. Up to now, there have been no studies on the diagnostic value of magnetic resonance criteria for hypervascularization of the uterine wall and their correlation with an assumed grade of PAS according to the International Federation of Gynecology and Obstetrics (FIGO) classification. Also, abnormal vessels location and their wall structure have not been studied with state-of-the-art pathomorphological methods.
Aim: To develop a classification for various types of the uterine wall hypervascularization depending on the depth of placental invasion assessed by magnetic resonance imaging (MRI).
Methods: We retrospectively analyzed medical files of 66 patients aged 18 to 45 years, who were assumed to have PAS based on their sonography results. To clarify the extent and localization of the placental invasion, all patients had MRI performed at 24 to 32 weeks of gestation. In all patients, the PAS grade was verified pathologically; in 30 of them (45,5%), a detailed pathological examination was additionally performed. The PAS grades were classified according to Morbidly Adherent Placenta Imaging Reporting and Data System (MAPI-RADS). The MRI data were correlated with the PAS (FIGO) grade estimated from intraoperative data and with intraoperative blood loss. At the final study step, the MRI data was correlated with abnormal pathomorphology, with the assessment of the degree of vascularization and the visual picture of abnormal uteroplacental vasculature.
Results: We have proposed a classification of MRI signs of hypervascularization in the lower uterine segment correlating with the depth of placenta accreta.
Type 1. Single small vessels in the myometrium, medium caliber arteries in the projection of the uterine serosa (normal variation for the 3rd trimester of gestation).
Type 2. Numerous small confluent vessels, mainly in the uteroplacental region, and retroplacental hematomas (typical for placenta accreta, or FIGO PAS 1).
Type 3. Intrauterine hypervascularization with a deficient myometrium thickness, predominantly vessels of the middle layer (typical for placenta increta, or FIGO PAS 2).
Type 4. Thinning of the lower uterine segment due to significant bulging of the placenta in the presence of curved anastomosing vessels of vast caliber over 4 mm (typical for placenta increta – FIGO PAS 2, as well as placenta percreta – FIGO PAS 3a).
Type 5. Hypervascularization outside the uterus, over its surface and in the parametrial tissues: at the border with the bladder, uterine isthmus, including signs of fibrosis and growing into the posterior bladder wall (typical for various grades of placenta percreta – FIGO PAS 3b, 3c).
Conclusion: The proposed classification of uterine wall hypervascularization in accordance with the grades of placenta accreta spectrum (FIGO PAS) could be useful for its practical implementation by radiologists.
Негізгі сөздер
Толық мәтін
Во всем мире отмечается устойчивая тенденция роста числа операций кесарева сечения (КС). Анализ данных по 154 странам за период с 1990 по 2018 г. с совокупным охватом 94,5% всех родившихся живыми на планете показал, что с помощью КС были родоразрешены 21,1% женщин [1]. По прогнозам, к 2030 г. доля КС возрастет до 28,5% (38 млн); в Европе каждая четвертая беременность будет завершаться КС [1]. Именно оперативный способ родоразрешения считается основной причиной увеличения частоты предлежания и патологии прикрепления плаценты к стенке матки. Так, у пациенток, перенесших от 1 до 5 КС, риск данной патологии составляет 3, 11, 40, 61 и 67% соответственно [2]. Частота приращений плаценты увеличивается с 10 на 1000 родов после единичной операции КС до 28 на 1000 родов после 3 и более операций КС, выполненных у 1 пациентки [3–5].
В соответствии с терминологией, используемой в Международной статистической классификации болезней 10-го пересмотра, патологическая плантация различных степеней проникновения ворсин хориона (плаценты) в стенку матки (код заболевания O43.2) обозначается как спектр приращения плаценты (placenta accreta spectrum, PAS). Тяжесть оперативного вмешательства и, соответственно, объем интраоперационной кровопотери прямо коррелируют с глубиной проникновения ворсин. В качестве причинных факторов обсуждаются варианты строения сосудов и типы васкуляризации, а также наличие коллатерализации кровотока при глубоких вариантах инвазии плаценты. В диагностических целях для метода магнитно-резонансной томографии (МРТ) неоднократно предпринимались попытки систематизации кровоснабжения плаценты, стенки матки и органов малого таза [6]. В числе общих признаков МРТ, описываемых при разных степенях приращения плаценты, упоминается так называемое сочетание выпячивания плаценты за пределы контура матки с наличием необычной картины множества извитых анастомозирующих друг с другом сосудов в стенке матке и по ее поверхности [7, 8]. Эти признаки обнаруживаются и подтверждаются методом ультразвукового исследования (УЗИ) [9].
Вместе с тем опубликованы единичные работы, в которых сопоставлены картина МРТ и интраоперационные данные с описанием гиперваскуляризации стенки матки при приращении плаценты. Наблюдались множественные анастомозы основных питающих артериальных и венозных сосудов между маткой и окружающими органами, при этом сосуды имели различное строение в зависимости не только от глубины, но и от локализации зоны инвазии. Высказано предположение, что это обусловлено анатомическими особенностями кровоснабжения нижнего сегмента матки, перешейка и параметрия [10].
Несмотря на то что в экспертном консенсусе SAR/ESUR (англ. Society of Abdominal Radiology / European Society of Urogenital Radiology – Общество абдоминальной радиологии / Европейское общество урогенитальной радиологии) гиперваскуляризация стенки матки признана одним из значимых признаков приращения плаценты [11], до настоящего времени не проводилось исследований, посвященных диагностической ценности магнитно-резонансных (МР) критериев гиперваскуляризации стенки матки и их соотнесению с предполагаемыми степенями приращения плаценты согласно классификации PAS по FIGO (англ. International Federation of Gynecology and Obstetrics – Международная федерация акушеров и гинекологов). Не изучали также локализацию и строение стенок патологических сосудов современными патоморфологическими методами. В этой связи целью нашего исследования была разработка классификации вариантов гиперваскуляризации стенки матки в зависимости от глубины инвазии плаценты с использованием метода МРТ.
Материал и методы
Ретроспективно проанализированы данные 66 беременных в возрасте от 18 до 45 лет (средний возраст – 31,6 года), у которых по данным УЗИ был предположен диагноз приращения плаценты. Пациентки были обследованы и родоразрешены в ФГБУ «Национальный медицинский исследовательский центр акушерства, гинекологии и перинатологии им. академика В.И. Кулакова» Минздрава России (ФГБУ «НМИЦ АГП им. В.И. Кулакова» Минздрава России) в период с 2022 по 2023 г. Диагноз приращения плаценты был морфологически верифицирован.
Критерии включения: одноплодная беременность, срок от 24 недель, подозрение на приращение плаценты по данным УЗИ и МРТ, родоразрешение в ФГБУ «НМИЦ АГП им. В.И. Кулакова» Минздрава России и последующая морфологическая верификация диагноза, соответствие интраоперационной глубины инвазии плаценты степеням приращения, определенным с помощью МРТ.
Критерии исключения: начавшаяся родовая деятельность или кровотечение, преэклампсия, многоплодная беременность, инфекционные заболевания матери и обострения хронических заболеваний, родоразрешение в другом лечебном учреждении, общие противопоказания к выполнению МРТ, верифицированная патология свертывания крови, синдром диссеминированного внутрисосудистого свертывания, несоответствие предполагаемой степени приращения плаценты по данным МРТ и интраоперационной картины.
МРТ выполняли с целью детализации зоны и степени приращения плаценты на сроке беременности от 24 до 32 недель (средний срок – 28,3 недели). МРТ проведена в отделении лучевой диагностики на МР-томографах GE Signa 1.5T (General Electric, США) и Toshiba Vantage Titan 1.5T (Toshiba, Япония) в режимах Т1-взвешенного изображения (ВИ), Т2ВИ, Т2 с подавлением сигнала от жировой ткани (Т2FS), FIESTA в сагиттальной, фронтальной и аксиальной плоскостях относительно полости таза; толщина срезов – от 3 до 6 мм. Врастание плаценты классифицировали с использованием разработанной в ФГБУ «НМИЦ АГП им. В.И. Кулакова» Минздрава России балльной системы MAPI-RADS (англ. Morbidly Adherent Placenta Imaging Reporting and Data System – система унифицированного подхода к интерпретации МРТ при диагностике патологического прикрепления плаценты) [12], предполагающей 5 степеней (grade – gr) приращения плаценты: gr 1 – отсутствие врастания (аналог нормы); gr 2 – частичное плотное прикрепление плаценты; gr 3 (pl. accreta, PAS 1 по FIGO) – поверхностное приращение к миометрию; gr 4 (pl. increta, PAS 2 по FIGO) – прорастание мышечного слоя; gr 5 (pl. percreta, PAS 3 по FIGO) – прорастание за пределы серозного покрова матки и в смежные органы. Данные МРТ были сопоставлены с интраоперационно определяемой степенью инвазии плаценты, а также с данными об интраоперационной кровопотере, полученными из медицинской документации.
Во всех 66 наблюдениях выполнена патоморфологическая верификация степени приращения плаценты. Из них в 30 случаях проведено углубленное патоморфологическое исследование в Научно-исследовательском институте морфологии человека имени академика А.П. Авцына ФГБНУ «Российский научный центр хирургии имени академика Б.В. Петровского». Изучали удаленный материал (иссеченный фрагмент мио- метрия в области врастания как этап подготовки к метропластике), при вырезке производили не менее 10 кусочков маточно-плацентарной области, включая фрагменты соседнего миометрия и истонченного нижнего маточного сегмента. После стандартной проводки готовили срезы, депарафинизировали их и окрашивали гематоксилином и эозином, азокармином по Маллори (для оценки мышечных и соединительнотканных элементов), фуксином (эластические волокна). На дополнительных срезах применяли иммунопероксидазную технологию с использованием иммуномаркеров на эндотелий сосудов (СD34) и инвазивные клетки (цитокератин 8). С учетом задач исследования давали описательную характеристику сосудов стенки матки. На заключительном этапе исследования осуществляли сопоставление визуальной картины сосудов, обнаруженных при МРТ, с патоморфологической картиной с анализом особенностей строения сосудов и их локализации. Был выполнен анализ различных вариантов васкуляризации плацентарной площадки в зависимости от глубины приращения плаценты (gr 2, gr 3, gr4, gr5) в соответствии с классификацией МАPI-RADS [12].
Исследование одобрено этическим комитетом ФГБУ «НМИЦ АГП им. В.И. Кулакова» Минздрава России» (протокол № 4 от 04.04.2022). Пациентки подписали информированное согласие на публикацию своих данных и МР-изображений.
Статистический анализ проводили с использованием программы StatTech v. 3.1.10 (разработчик – ООО «Статтех», Россия). Количественные показатели оценивали на предмет соответствия нормальному распределению с помощью критерия Шапиро – Уилка (при числе исследуемых менее 50) или критерия Колмогорова – Смирнова (при числе исследуемых более 50). В случае отсутствия нормального распределения количественные данные описывали с помощью медианы (Me) и нижнего и верхнего квартилей [Q1; Q3]. Категориальные данные представляли с указанием абсолютных значений и процентных долей. Сравнение 3 и более групп по количественному показателю, распределение которого отличалось от нормального, выполняли с помощью критерия Краскела – Уоллиса, апостериорные сравнения – с помощью критерия Данна с поправкой Холма. Для сравнения процентных долей при анализе многопольных таблиц сопряженности применяли критерий хи-квадрат Пирсона. При проверке статистических гипотез нулевые гипотезы отвергали при p < 0,05.
Результаты
В таблице обобщены результаты МРТ, выполненной у 66 беременных с приращением плаценты. Диагноз плотного прикрепления плаценты (pl. adherenta) без приращения к стенке матки предположен у 7 (10,6%) пациенток, поверхностного приращения к миометрию (pl. accreta) – у 17 (25,8%), врастания плаценты в миометрий (pl. increta) – у 24 (36,4%). Диагноз прорастания плаценты сквозь стенку матки по типу pl. percreta по данным МРТ предположен у 18 (27,3%) пациенток, в их число вошли пациентки с распространением плаценты до серозного покрова матки в области истонченного сегмента (21,2%), а также случаи распространения плаценты за ее пределы (по данным МРТ). В 9 случаях наблюдалось вовлечение задней стенки мочевого пузыря, в 2 – вовлечение перешейка матки и выраженный спаечный процесс в переднем параметрии.
Распределение пациенток в соответствии с предполагаемой степенью приращения плаценты и вовлечением смежных органов по данным магнитно-резонансной томографии
Характеристика / PAS по FIGO | Количество пациентов (N = 66) | 95% ДИ | |
абс. | % | ||
Grade MAPI-RADS*: | |||
gr 2 (плотное прикрепление) | 7 | 10,6 | 4,4–20,6 |
gr 3 (pl. accreta) / PAS 1 | 17 | 25,8 | 15,8–38,0 |
gr 4 (pl. increta) / PAS 2 | 24 | 36,4 | 24,9–49,1 |
gr 5 (pl. percreta) / PAS 3 | 18 | 27,3 | 17,0–39,6 |
Распространение плаценты на соседние органы: | |||
нет | 41 | 62,1 | 49,3–73,8 |
прорастание до серозной оболочки / PAS 3a | 14 | 21,2 | 12,1–33,0 |
вовлечение стенки мочевого пузыря / PAS 3b | 9 | 13,6 | 6,4–24,3 |
вовлечение перешейка матки, спаечный процесс в переднем параметрии / PAS 3c | 2 | 3,0 | 0,4–10,5 |
FIGO (International Federation of Gynecology and Obstetrics) – Международная федерация акушеров и гинекологов; МАPI-RADS (Morbidly Adherent Placenta Imaging Reporting and Data System) – система унифицированного подхода к интерпретации магнитно-резонансной томографии при диагностике патологического прикрепления плаценты; PAS (placenta accretа spectrum) – степень приращения плаценты; ДИ – доверительный интервал
* Степени приращения плаценты (grade – gr) в соответствии с классификацией МАPI-RADS [12] и их соотнесение с глубиной инвазии плаценты по классификации PAS (FIGO)
C целью определения точности предполагаемой при МРТ степени приращения плаценты (gr 1–5) в соответствии с системой МAPI-RADS выполнено сравнение каждой группы с полученными интраоперационными данными (рис. 1). В нашем исследовании глубина инвазии плаценты, определявшаяся акушерами-гинекологами интраоперационно, коррелировала с объемом интраоперационной кровопотери. Подчеркнем, что пациентки, имевшие патологию свертывания крови либо сочетанную патологию, которая может повышать риски массивного кровотечения, не были включены в исследование. Медиана объема кровопотери у пациенток с плотным прикреплением плаценты (gr 2 по МAPI-RADS) составила 200 мл [200; 600]; у пациенток c pl. accreta (gr 3 / PAS 1) – 600 мл [250; 750]; у пациенток с pl. increta (gr 4 / PAS 2) – 800 мл [750; 900]; у пациенток с pl. percreta (gr 5 / PAS 3а, 3b, 3c) – 1950 мл [1500; 2300] (p < 0,001, критерий Краскела – Уоллиса).
Рис. 1. Объем интраоперационной кровопотери в зависимости от степени приращения плаценты в соответствии с grade МАPI-RADS; p < 0,001 (критерий Краскела – Уоллиса); значения р для апостериорных попарных сравнений (критерий Данна с поправкой Холма): pgr 2 – gr 4 = 0,003, pgr 2 – gr 5 < 0,001, pgr 3 – gr 4 = 0,018, pgr 3 – gr 4 < 0,001, pgr 4 – gr 5 = 0,016
Детальному патоморфологическому исследованию с прицельным изучением маточно-плацентарной области подвергли удаленный хирургическим путем материал 30 (45,5%) пациенток: у 3 из них по данным МРТ диагностировано плотное прикрепление, у 10 – pl. accreta, у 3 – pl. increta и у 14 – pl. percreta. Мы сопоставили данные гистологического исследования и МРТ-картину. Получены следующие результаты патоморфологического исследования: отсутствие патологического прикрепления плаценты установлено у 6 (20%) пациенток, pl. accreta – у 9 (30%), pl. increta – у 13 (43,3%), pl. percreta – только у 2 (6,7%) пациенток. Pl. percreta представляла собой спайки и сращения между поверхностью матки и задней стенкой мочевого пузыря на фоне истонченного маточного сегмента. Признаков прорастания и выхода плаценты за пределы маточной стенки и в другие органы по данным гистологического исследования не отмечалось ни в одном случае.
При детальном патоморфологическом исследовании сосудов ретроплацентарной области мы выделили 5 вариантов строения сосудов. Подробная таблица с описанием частот встречаемости различных вариантов строения сосудов вынесена в приложение.
Сосуды 1-го типа. Единичные сосуды в миометрии и пограничных отделах в маточно-плацентарной области (рис. 2).
Рис. 2. Беременность 32 недели, центральное предлежание плаценты без признаков приращения. На магнитно-резонансных томограммах в режиме Т2-взвешенного изображения (Т2ВИ) в сагиттальной плоскости (А) и Т2ВИ с подавлением сигнала от жировой ткани во фронтальной плоскости (Б) видны мелкие ретроплацентарные сосуды, расположенные на границе плаценты и рубца на матке от кесарева сечения (белая стрелка) либо плаценты и миометрия (желтые стрелки; плацентарная площадка указана белой пунктирной линией). Фото микропрепарата: В – визуализируются мелкие артерии и вены в составе серозной оболочки, стрелкой указан слой мезотелия (окраска азокармином по Маллори; × 50); Г – маточно-плацентарный сегмент, стрелкой указан сосуд в толще миометрия на границе с плацентой (окрашивание гематоксилином и эозином; × 50)
В смежных участках строение стенки матки было представлено миометрием с разной ориентацией мышечных пучков и тонкими соединительнотканными прослойками. Сосудистая система состояла из синусоидов – тонких полостей в срединном слое миометрия, а также пре- имущественно мелких артерий в составе серозной оболочки. Только единичные из них визуализировались на МРТ, так как данным методом ввиду технических особенностей невозможно визуализировать самые мелкие сосуды и серозную оболочку матки из-за ее малой толщины. Тем не менее это важно для сравнения картины нормы с последующей гиперваскуляризацией при различных степенях PAS.
Анализ частоты встречаемости сосудов 1-го типа в зависимости от степени приращения плаценты показал, что данный тип сосудов не всегда обнаруживался в каждом из возможных вариантов приращения плаценты, в том числе при плотном прикреплении без приращения (рис. 3). При сравнении процентных долей при анализе многопольных таблиц сопряженности с помощью критерия хи-квадрат Пирсона получены статистически значимые различия между группами gr 2, gr 3, gr 4, gr 5 (p = 0,019).
Рис. 3. Частота встречаемости сосудов 1-го типа при различной глубине приращения плаценты (grade МАPI-RADS)
Сосуды 2-го типа. Единичные сливающиеся сосудистые полости в маточно-плацентарной области, мелкие ретроплацентарные гематомы, участки с белковым содержимым по МР-сигналу в зоне контакта ворсин со стенкой матки (рис. 4).
Рис. 4. Беременность 32 недели, pl. accreta, PAS 1 по FIGO. На магнитно-резонансных томограммах в режиме Т2-взвешенного изображения в сагиттальной (А) и аксиальной (Б) плоскостях видны сосуды на границе маточно-плацентарной области, сливающиеся между собой (белые стрелки), без выраженного дефицита толщины миометрия и рубца от кесарева сечения, без признаков выбухания стенки матки. На Т1-взвешенном изображении в режиме подавления сигнала от жировой ткани в аксиальной плоскости (В) выявляется наличие участков повышенного сигнала (желтые стрелки) на границе маточно-плацентарной области, что соответствует геморрагическому компоненту в подострой/хронической стадии (ретроплацентарные гематомы) либо белковому содержимому (фибриноид)
Непосредственное сравнение МР-картины с операционным материалом подтвердило, что полости с геморрагическим компонентом соответствовали ретрохориальным гематомам различной давности, чаще подострой и хронической стадий, которые состояли из гемолизированных эритроцитов, нитей фибрина сетчатого строения, а также замурованных атрофичных ворсин (рис. 5). Следовательно, констатация на МРТ фиксированных геморрагических полостей в маточно-плацентарной области отражает не гиперваскуляризацию стенки матки, а наличие ретрохориальных гематом в подострой/хронической стадии, что следует учитывать в клинической практике.
Рис. 5. Сосуды 2-го типа при гиперваскуляризации стенки матки при патологической инвазии: А – организованная ретрохориальная гематома в маточно-плацентарной области, в ее составе много инволютивных якорных ворсин (окраска по Маллори; × 100); Б – в составе гематомы видна пролиферация цитотрофобласта (иммуногистохимическое исследование, маркер цитокератин 8; × 100)
Как видно на рис. 6, сосуды 2-го типа не встречались в норме и при плотном прикреплении плаценты (gr 2), с одинаковой частотой наблюдались при pl. accreta (gr 3) и pl. increta (gr 4) и были обнаружены у 94,4% пациенток с pl. percreta (gr 5) (р < 0,001, хи-квадрат Пирсона).
Рис. 6. Частота встречаемости сосудов 2-го типа при различной глубине приращения плаценты (grade МАPI-RADS)
Сосуды 3-го типа. Внутриматочная гиперваскуляризация с дефицитом толщины миометрия, преимущественно сосуды срединного слоя, аналог pl. increta PAS 2, гестационная перестройка радиальных артерий (рис. 7).
Рис. 7. Беременность 34 недели, pl. increta, PAS 2 по FIGO. На магнитно-резонансных томограммах в режиме Т2-взвешенного изображения в сагиттальной (A, Б) и фронтальной (В) плоскостях определяется внутриматочная гиперваскуляризация с наличием многочисленных сливающихся сосудов в толще стенки матки, в области плацентарной площадки (белые стрелки); в нижнем маточном сегменте – выраженное истончение стенки матки, рубца от кесарева сечения с формированием маточной грыжи (желтые стрелки)
При pl. increta наличие патологических сосудов на изображениях МРТ связано с неполной гестационной перестройкой радиальных артерий, расположенных в срединном слое миометрия. Так, при окраске по Маллори они определяются как сжатые комплексы артерий среднего калибра, с частичным замещением внутренних слоев стенки матки, темно-красными фрагментами плодного фибриноида. На серийных срезах видно, что в этой артерии присутствует достаточное количество инвазивного цитотрофобласта (маркер цитокератин 8), но предыдущий срез подтверждает замещение мышечной оболочки фиброзной тканью как в стенке радиальной артерии, так и в периартериальном пространстве (рис. 8).
Рис. 8. Сосуды 3-го типа при гиперваскуляризации стенки матки при патологической инвазии. Внутриматочная гиперваскуляризация с дефицитом толщины миометрия, наличием рубцовой ткани, недостаточная гестационная перестройка радиальных артерий (аналог pl. increta, PAS 2 по FIGO). А – неполная гестационная перестройка радиальной артерии в составе миометрия (окраска по Маллори; × 50); в верхней части просвета артерии виден слой фибриноида, замещающего эндотелий, такой же фрагмент – в нижней части артерии (стрелка); Б – серийный срез той же радиальной артерии с визуализацией инвазирующего цитотрофобласта (маркер цитокератин 8; × 50); В – серийный срез той же радиальной артерии, при окраске на выявление эластических волокон видна полная дезорганизация эластического каркаса вместо нормальных внутренней и внешней эластических мембран, результат действия инвазирующего цитотрофобласта (окраска по Вейгерту; × 50)
При анализе частоты встречаемости сосудов 3-го типа в зависимости от степени приращения плаценты (рис. 9) отмечается преобладание данного типа сосудов при глубоких вариантах инвазии плаценты – pl. increta (gr 4), pl. percreta (gr 5) – и отсутствие их при плотном прикреплении плаценты (gr 2) и поверхностном приращении (pl. accretа, gr 3) (р < 0,001, хи-квадрат Пирсона).
Рис. 9. Частота встречаемости сосудов 3-го типа при различной глубине приращения плаценты (grade МАPI-RADS)
Сосуды 4-го типа. Наличие крупных извитых анастомозирующих сосудов, преимущественно по поверхности матки (в составе серозной оболочки матки) в сочетании с выраженным истончением нижнего сегмента матки (рис. 10).
Рис. 10. Беременность 33 недели, pl. percreta, PAS 3a по FIGO. На магнитно-резонансных томограммах в режиме Т2-взвешенного изображения в сагиттальной (A) и фронтальной (Б, В) плоскостях определяется внутриматочная гиперваскуляризация (желтые стрелки) и гиперваскуляризация в области выраженно истонченного нижнего маточного сегмента, с наличием многочисленных анастомозирующих сосудов по поверхности матки (белые стрелки); стенка матки в данной области представлена ретроплацентарными сосудами
Главным отличием крупных сосудов в составе серозной оболочки является то, что морфологически они находятся в пределах стенки матки. Об этом свидетельствует наличие в операционном материале тонкого поверхностного слоя мезотелия, отделяющего матку от брюшной полости (рис. 11). Его невозможно визуализировать методом МРТ из-за особенностей метода и толщины получаемых срезов.
Рис. 11. Сосуды 4-го типа при гиперваскуляризации стенки матки при патологической инвазии: А – крупный сосуд в составе серозной оболочки матки: справа видны единичные цитотрофобластические клетки (стрелки), не достигающие стенки артерии (иммуногистохимическое исследование, маркер цитокератин 8; × 50); Б – крупные сосуды в составе серозной оболочки: наличие внутреннего слоя эндотелиоцитов (иммуногистохимическое исследование, маркер СD34; × 50)
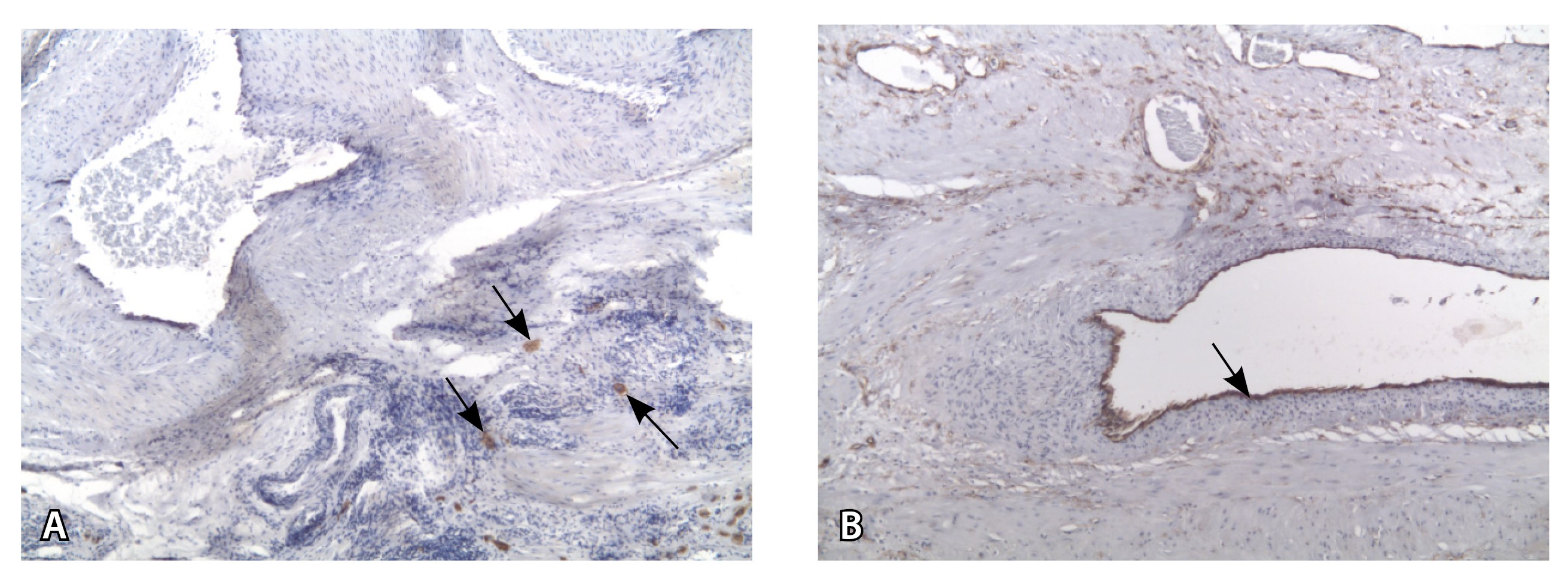
На микропрепаратах васкуляризация серозной оболочки представлена множеством крупных сосудов, идущих в разных направлениях и анастомозирующих друг с другом. Возможно, имеются артериовенозные соустья. На серийных срезах также видно, что в стенках артерий трудно различимы два слоя миоцитов (продольный и поперечный). Со стороны адвентиции они окружены толстым «футляром» из грубоволокнистой голубой ткани (при окраске по Маллори). Она проникает в стенку артерий, замещая мышечный слой (рис. 12).
Рис. 12. Истончение миометрия; в составе серозной оболочки видна крупная артерия, окруженная плотной соединительной тканью. А – cосуды в составе серозной оболочки (окраска по Маллори; × 200), не дифференцированная на мышечные оболочки стенка артерии, справа – вена, оба сосуда покрыты фиброзной оболочкой, внизу виден слой мезотелия в составе серозной оболочки; Б – серийный срез тех же сосудов при окраске на выявление эластических волокон, сосуд с соединительнотканной муфтой (окраска по Вейгерту; × 50): определяется полная дезорганизация эластичного материала в стенке; стрелкой указан мезотелий (аналог pl. increta, PAS 2 по FIGO)
Эластический каркас представлен сетью тонких волокон, без концентрации на внутреннюю и внешнюю мембраны. Однако маркер СD34 констатирует сохранение эндотелия, что свидетельствует о том, что по артериям циркулирует кровь, не сворачиваясь (рис. 13).
Рис. 13. Самые крупные сосуды в пределах серозной оболочки стенки матки: А, Б – серийные срезы артерии; × 50. При окраске по Маллори (А) видна тонкая полоска мезотелия (черная стрелка), слабо дифференцированная мышечная стенка артерии, вокруг нее – плотная коллагеновая оболочка (желтая стрелка), в просвете определяются тромботические массы. При окраске по Вейгерту (Б) наблюдается полная потеря внутренней и внешней эластических мембран
Анализ частоты встречаемости сосудов 4-го типа при различных степенях приращения плаценты (рис. 14) показал: при плотном прикреплении плаценты (gr 2) и поверхностном приращении (gr 3) сосуды данного типа не выявлены, при pl. increta (gr 4) частота встречаемости незначительная – 16,7%, а при глубокой инвазии плаценты (pl. percreta, gr 5) сосуды этого типа преобладают (р < 0,001, хи-квадрат Пирсона).
Рис. 14. Частота встречаемости сосудов 4-го типа при различной глубине приращения плаценты (grade МАPI-RADS)
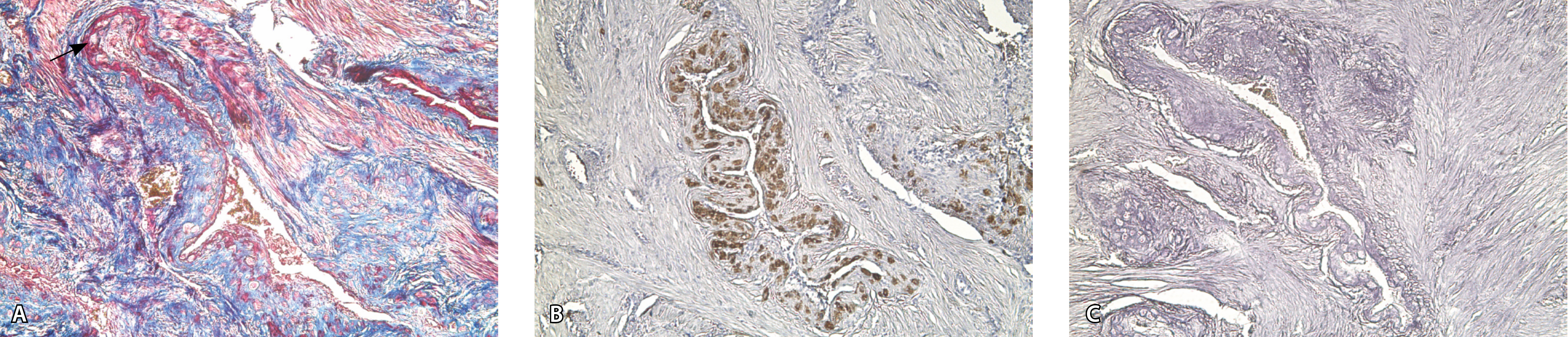
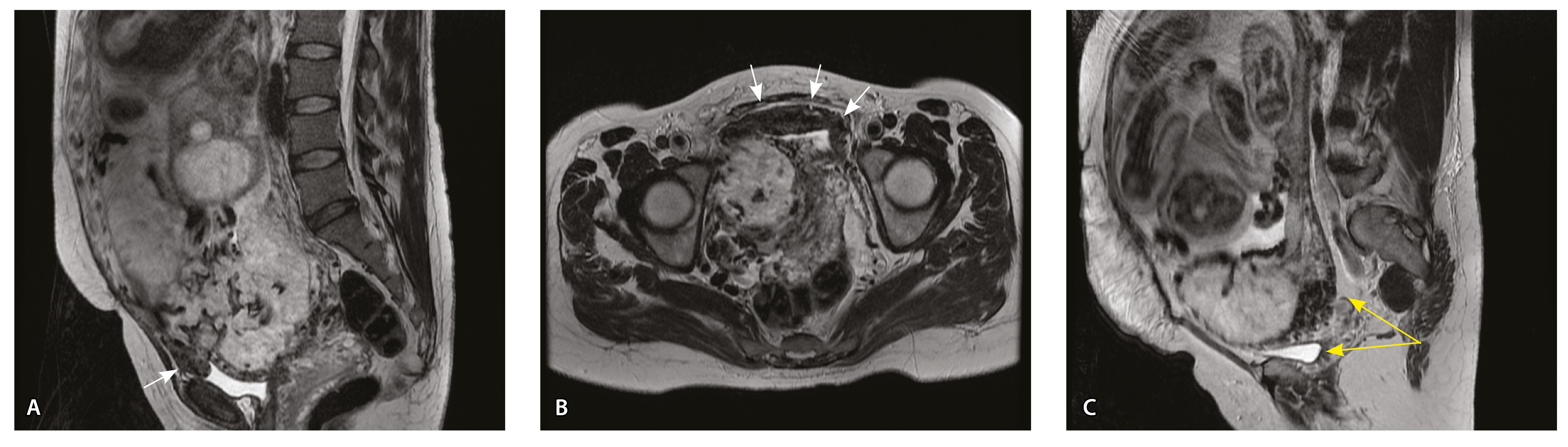
Сосуды 5-го типа. Наличие гиперваскуляризации за пределами матки по данным МРТ, на границе с мочевым пузырем с вовлечением его стенки, сосуды в области перешейка матки, параметрия, в том числе в сочетании с признаками фиброза, наличием рубцово-спаечных изменений и др. Можно предположить, что сосуды 5-го типа являются аналогом pl. рercreta PAS 3b, 3c (рис. 15).
Рис. 15. Беременность 34 недели, pl. percreta, PAS 3b по FIGO (A, Б), PAS 3c по FIGO (В). На магнитно-резонансных томограммах в режиме Т2-взвешенного изображения в сагиттальной (A, В) и аксиальной (Б) плоскостях определяется гиперваскуляризация в области выраженно истонченного нижнего маточного сегмента с распространением сосудов на заднюю стенку мочевого пузыря в области дна (белые стрелки), в область перешейка матки (желтые стрелки)
Данный вариант в патоморфологической картине наиболее сложен для оценки ввиду того, что такие структуры, как параметрий, перешеек матки, стенка мочевого пузыря, обычно не предоставляются в виде макропрепаратов, поэтому визуальные методы, в частности МРТ, могут с большей точностью оценить вовлеченность смежных структур. На микропрепаратах данный вариант инвазии плаценты сочетается с рубцово-спаечными изменениями задней стенки мочевого пузыря с нижним маточным сегментом (рис. 16).
Рис. 16. Гистологическое исследование маточно-плацентарного сегмента при pl. percreta, определенной по данным магнитно-резонансной томографии. Окраска пикрофуксином по Маллори (красный цвет – мышечные волокна, голубой – соединительная ткань). Стенка мочевого пузыря плотно сращена с истонченным маточным сегментом, характеризуется наличием кровеносных сосудов (синяя стрелка). Фиброз задней стенки мочевого пузыря, разобщенные мышечные пучки, замурованные в соединительную ткань (поле отмечено пунктиром). Инвазия ворсин плаценты в бухты миометрия (помечена черным треугольником). Слизистая мочевого пузыря показана стрелкой. Ретроплацентарная гематома помечена звездочкой. Коллаж из 12 фото при увеличении × 100
Как видно на рис. 17, сосуды 5-го типа встречались только при глубокой инвазии плаценты по типу pl. percreta (gr 5) (р < 0,001, хи-квадрат Пирсона).
Рис. 17. Частота встречаемости сосудов 5-го типа при различной глубине приращения плаценты (grade МАPI-RADS)
В результате выполненного анализа нами предложена классификация МР-признаков с учетом вариантов гиперваскуляризации по слоям стенки матки, а также особенностей строения артериальных сосудов в зависимости от глубины инвазии плаценты.
Тип 1. Единичные мелкие сосуды в миометрии, артерии среднего калибра в проекции серозной оболочки матки (аналог нормы в III триместре беременности).
Тип 2. Многочисленные мелкие сливающиеся сосуды, преимущественно в маточно-плацентарной области (место взаимодействия терминальных ворсин со стенкой матки), возможно обнаружение ретроплацентарных гематом (характерно для pl. accretа, PAS 1 по FIGO).
Тип 3. Внутриматочная гиперваскуляризация с дефицитом толщины миометрия, наличием рубцовой ткани, недостаточная гестационная перестройка радиальных артерий (характерно для pl. increta, PAS 2 по FIGO).
Тип 4. Истончение нижнего сегмента матки вследствие значительного выбухания плаценты, повреждения, некроза и некробиоза миометрия, достижения ворсинами серозного покрова матки, в сочетании с наличием извитых анастомозирующих артерий калибром 3–4 мм по поверхности матки, наиболее вероятно, в составе серозной оболочки (характерно для pl. increta, PAS 2 по FIGO, а также pl. percreta, PAS 3a по FIGO).
Тип 5. Наличие гиперваскуляризации за пределами матки: на границе с мочевым пузырем, перешейком матки, параметрием, в том числе с признаками фиброза (характерно для pl. рercreta различных степеней – PAS 3b, 3c по FIGO).
Обсуждение
Приращение плаценты обычно ассоциировано с наличием у женщины рубца на матке после КС, что можно считать ятрогенным фактором [13, 14]. При pl. accreta (PAS 1) наблюдается прикрепление одиночных ворсин к пограничному слою плодного фибриноида без проникновения их вглубь миометрия при небольшом объеме рубцовой ткани. При рl. increta (PAS 2), которая встречается чаще остальных патологических видов инвазии плаценты, происходит проникновение ворсин с фибриноидом в пределах нижней трети миометрия с увеличением объема рубцовой ткани. Частое проявление PAS 2 – резкое истончение нижнего сегмента матки вследствие значительного выбухания плаценты в сторону истонченной стенки матки, проникновение ворсин почти до серозной оболочки с полным замещением миометрия тонкой полоской рубцовой ткани. В настоящее время эта патология в практике акушеров-гинекологов обозначается как PAS 3a (pl. percreta с распространением плаценты на всю толщу стенки матки до серозного слоя). Для прорастания плаценты по типу PAS 3b, 3c в соответствии с клинической классификацией (FIGO) характерно также развитие ангиогенеза в виде гиперваскуляризации, выраженного фиброза и спаек с окружающими тканями, чаще всего с мочевым пузырем. Наиболее опасными считаются случаи pl. percreta с наличием фиброза и сосудистой сети, вовлекающей перешеек матки, шейку матки, а также заднюю стенку мочевого пузыря и параметрий.
Гипердиагностика этих состояний при использовании лучевых методов, по-видимому, объясняется ограниченным разрешением аппарата МРТ и невозможностью изучения объектов менее 1 мм, что создает визуальную иллюзию выхода ворсин плаценты за пределы контура матки. Кроме того, во время беременности стенка матки растягивается и в норме ее толщина составляет 1–2 мм. При наличии рубца на матке после ранее проведенного КС толщина стенки может составлять до 1 мм. Наряду с этим патоморфологическое исследование сосудов параметрия, а также сосудов малого таза в целом ограничено или невозможно, что затрудняет как оценку риска массивного кровотечения, так и уточнение акушерской тактики. Как следствие, в нашем наблюдении под pl. percreta понимали истончение маточного сегмента в сочетании со спаечным процессом в переднем параметрии.
Представляется важным учитывать особенности строения стенки матки и ее кровоснабжения в III триместре беременности при приращении плаценты. При pl. accreta внутренняя поверхность матки образована пограничным слоем фибриноида, к которому прилежат ворсины плаценты. В случае pl. incretа ворсины проникают в миометрий, состоящий из разнонаправленных пучков миоцитов, которые образуют основной компонент нижнего сегмента матки. Со стороны брюшной полости стенка матки представлена серозной оболочкой в виде тонкого слоя мезотелия. Сосудистая система матки подвергается значительным гестационным изменениям в конце беременности. Так, рядом со слоем фибриноида располагаются многочисленные широкие устья спиральных артериол со стенками, замещенными фибриноидом. В нижней трети миометрия определяются более крупные радиальные артерии – основной объект второй волны цитотрофобластической инвазии. В конце III триместра беременности они полностью или частично замещены фибриноидом. Спиральные артерии и радиальные артерии образуют маточно-плацентарный контур в составе серозной оболочки матки, по которому артериальная кровь поступает из выше расположенной сети аркуатных артерий и ветвей двух маточных артерий. Венозная система транспортирует артериализированную в межворсинчатом пространстве плаценты кровь через венозные синусоиды миометрия в сопутствующие коллекторы на поверхности матки, а затем в нижнюю полую вену, составляя плацентарно-венозный контур. В этом случае помимо сосудов из бассейна мaточных артерий определяются коллатерали из более мелких артерий полости таза. В клинической практике именно такие случаи сопровождались массивной кровопотерей, достигавшей в нашем исследовании 7900 мл. На данный момент не установлено, что более значимо с точки зрения риска массивной кровопотери – наличие многочисленных мелких сосудов или широких сосудов с ригидными стенками либо сочетание данных изменений с фиброзом [13, 14].
Этими данными была обусловлена цель настоящего исследования – классифицировать степени васкуляризации стенки матки и нижнего маточного сегмента при различных степенях PAS с помощью МРТ. Метод позволяет получать четкие топографо-анатомические изображения стенки матки, плаценты и маточно-плацентарной области, проводить дифференциальную диагностику различных степеней приращения плаценты, которые в настоящем исследовании подтверждались интраоперационными данными. Нами были установлены статистически значимые межгрупповые различия в объеме интраоперационной кровопотери при различных степенях приращения плаценты, с пропорциональным увеличением глубины инвазии (p < 0,001, критерий Краскела – Уоллиса). Мы также впервые представили визуальную картину гиперваскуляризации, включая патоморфологические изображения. Ранее многими авторами были предприняты попытки оценить степень и локализацию зоны гиперваскуляризации. В частности, C. Bourgioti и соавт., проанализировав данные МРТ 160 пациенток, придали ведущее значение диаметру сосудов, визуализируемых в плаценте и ретроплацентарной области (2 мм и более). Имелось интраоперационное подтверждение PAS. Следует упомянуть, что оценку сосудов проводили на удаленных тканях, то есть сосуды были в спавшемся состоянии. При pl. percreta и интраоперационной кровопотере более 2000 мл авторы фиксировали наличие сосудов диаметром 3 мм и более [15]. Однако в данной работе не проводили морфологическую оценку особенностей строения стенки сосуда. В консенсусном заявлении SAR/ESUR также отмечено, что патологическая перестройка сосудов в области плацентарного ложа с наличием расширенных сосудов, анастомозирующих между собой, по ходу серозной оболочки матки, стенки мочевого пузыря является важным признаком приращения плаценты. Вместе с тем генез этих сосудов изучен недостаточно, и ряд авторов считает, что возможны особенности строения сосудов с их патологической перестройкой в истонченном нижнем маточном сегменте в области рубца от КС [16]. В исследовании Е.Д. Вышедкевич и соавт. изучена локализация патологических сосудов и выделена внутриматочная (ретроплацентарная, интрамуральная, субсерозная) и внематочная гиперваскуляризация (параметральная и парацервикальная васкуляризация, зона маточно-яичникового анастомоза). По мнению авторов, признак патологической перестройки сосудов в области плацентарной площадки обладает наибольшей чувствительностью и специфичностью в сравнении с остальными признаками приращения плаценты [6]. В то же время в работе [6] не проанализирована встречаемость того или иного варианта гиперваскуляризации при различных степенях приращения плаценты. Кроме того, это исследование было ориентировано на другую клиническую задачу – оценку особенностей сосудистой системы малого таза в целом для планирования способов остановки интраоперационного кровотечения.
Нами проведен анализ визуальной картины МРТ и патоморфологических данных с оценкой гиперваскуляризации в рамках PАS по слоям стенки матки (что представляется наиболее близким к основному клиническому и патоморфологическому подходу) с определением глубины проникновения ворсин плаценты, а также для уточнения локализации маточных сосудов с расширенными просветами. Сосуды, расположенные на наружной поверхности матки, лучше визуализируются посредством инструментальных методов. Предложено 5 вариантов строения сосудов при различных степенях приращения плаценты, установлены существенные статистические различия, демонстрирующие корреляцию степени приращения плаценты с преобладанием определенного типа сосудов в маточно-плацентарной области.
Сосуды 1-го типа обнаруживались в смежных участках маточно-плацентарной области, на границе плаценты и стенки матки (миометрия либо рубца от КС) и визуализировались в виде тонких синусоидов, полостей в срединном слое миометрия, а также преимущественно мелких артерий до 3 мм в составе серозной оболочки. На МРТ ряд этих сосудов не визуализировался ввиду их малого диаметра и определялись лишь единичные из них, попадавшие в зону сканирования. Данный тип сосудов встречался во всех группах, в том числе при отсутствии приращения плаценты с ее плотным прикреплением к стенке матки, что говорит об их неспецифичности и может являться аналогом нормы.
Сосуды 2-го типа не встречались в норме и при плотном прикреплении плаценты, что говорит об их специфичности для приращения плаценты. Данные сосуды выявлялись при pl. accreta (52,9%), pl. increta (50%) и pl. percreta (94,4%). Они представляли собой сливающиеся сосудистые полости в маточно-плацентарной области, мелкие ретрохориальные (ретроплацентарные) гематомы, участки с белковым содержимым, что, по данным патоморфологического исследования, может соответствовать увеличению количества плодного фибриноида. Считается, что именно фибриноид служит дополнительным фактором, способствующим инвазии трофобласта и активному ангиогенезу в стенке матки [16]. Учитывая, что данный тип сосудов встречался чаще остальных вариантов сосудов в группе пациенток с pl. accretа, полагаем, что он является патогномоничным для данной глубины врастания плаценты. В то же время при глубокой инвазии по типу pl. increta и pl. percreta характерно сочетание данного типа сосудов с сосудами, описанными ниже.
Сосуды 3-го типа встречались только при глубоких вариантах инвазии плаценты – pl. increta (50%) и pl. percreta до серозного слоя матки (100%) (PAS 2, PAS 3а по FIGO) – и характеризовались сочетанием внутриматочной гиперваскуляризации с дефицитом толщины миометрия. По данным патоморфологического исследования, это были преимущественно сосуды срединного слоя с гестационной перестройкой радиальных артерий. При патоморфологическом исследовании в таких артериях обнаруживают инвазивный цитотрофобласт, а также замещение мышечной оболочки сосуда фиброзной тканью, характерен также фиброз по контуру стенки сосуда.
Сосуды 4-го типа встречались как при pl. increta (16,7%) (PAS 2 по FIGO), так и при pl. percreta (100%) в пределах серозного слоя матки (PАS 3a по FIGO). Обнаружено наличие крупных извитых анастомозирующих сосудов, преимущественно по поверхности матки, в сочетании с выраженным истончением рубца от КС. Главное отличие сосудов этого типа – локализация в пределах серозного слоя матки, с наличием тонкого поверхностного слоя мезотелия на микропрепаратах по их поверхности. Этот феномен можно объяснить тем, что в случае прикрепления трофобласта и затем плаценты к рубцу от КС при прогрессировании беременности плацента оказывает паракринное влияние в том числе посредством факторов ангиогенеза, в результате чего нельзя исключить рост сосудов из бассейнов маточных артерий с целью обеспечения трофической функции матки и сохранения беременности. Указанный патогенетический механизм также подтверждают описанные в литературе случаи брюшинной беременности [17]. Кроме того, нельзя исключить, что локальная ишемия стенки матки в области врастания может способствовать увеличению ангиогенеза и васкулогенеза. При выполнении МРТ невозможно достоверно визуализировать серозный слой матки из-за его малой толщины, поэтому создается впечатление о локализации сосудов за пределами стенки матки. По данным патоморфологического исследования, для этого типа характерно наличие крупных сосудов, анастомозирующих друг с другом. В стенках артерий трудно различимы 2 слоя миоцитов, по наружной поверхности сосуды окружены толстым «футляром» из грубоволокнистой соединительной ткани, которая проникает в стенку артерий и замещает мышечный слой. Эластический каркас представлен сетью тонких волокон, без концентрации на внутреннюю и внешнюю мембраны. Генез возникновения таких сосудов до конца не изучен. В ряде исследований, посвященных беременности, расположенной в проекции рубца от КС, отмечается наличие артериовенозных соустий по типу мальформации в данной области даже на ранних сроках беременности, которые, возможно, продолжают функционировать и на более поздних сроках и становятся еще более полнокровными [18–20].
Сосуды 5-го типа определялись только у пациенток с pl. percreta (77,8%) по данным МРТ (PAS 3b, 3c по FIGO). Визуальная картина была обусловлена наличием гиперваскуляризации по поверхности матки в том числе на границе с мочевым пузырем, перешейком матки и параметрием. Нередко подобные изменения сочетались с признаками фиброза. При патоморфологическом исследовании в этой группе пациенток признаком pl. percreta считался рубцово-спаечный процесс с задней стенкой мочевого пузыря, в том числе в сочетании с сосудами 4-го типа, что было обнаружено всего у 2 пациенток. В то же время в литературе рl. percreta описана как редкое проникновение ворсин за пределы серозной оболочки матки в соседние органы (заднюю стенку мочевого пузыря, перешеек матки, параметрий), подтвержденное патоморфологически, хотя представленные случаи достаточно дискутабельны и не имеют четкого патоморфологического подтверждения [21, 22]. В нашем исследовании не удалось обнаружить ворсины хориона за пределами матки в смежных органах ни в одном из наблюдений. По нашему мнению, истонченный нижний маточный сегмент вместе с различного рода гиперваскуляризацией серозной оболочки матки не может быть единственным достоверным признаком pl. percreta, так как в составе стенки определяется атрофичный миометрий с рубцовой тканью и серозная оболочка матки оказывается неповрежденной. При этом такие структуры, как параметрий, перешеек матки, стенка мочевого пузыря, обычно не предоставляются для исследования в виде макропрепаратов, а в процессе операции удаляется лишь часть стенки матки. Ввиду этого сосуды на наружной поверхности матки лучше визуализируются при инструментальных методах исследования, а не при гистологическом исследовании. В ходе оперативного лечения сосуды могут быть повреждены, также они спадаются, меняется их кровенаполнение, поэтому картина МРТ может существенно отличаться от патоморфологической. Тем не менее проведенный нами анализ сосудов стенки матки показал четкую корреляцию между увеличением диаметра и количества сосудов как в миометрии, так и в составе серозного покрова матки с увеличением степени приращения плаценты. Ряд патоморфологов по-прежнему считает pl. percreta мифом. Но в клинической практике и в практике врачей-рентгенологов на основании МР-признаков данный вариант приращения выделяется и занимает важное место. Для наиболее точной диагностики данные патоморфологического исследования, визуальных методов диагностики, в частности МРТ, интраоперационная картина должны быть оценены не по отдельности, а в совокупности [23].
Заключение
В результате сопоставления данных МРТ и патоморфологической картины при различных степенях приращения плаценты получены статистически значимые различия в строении и локализации патологических сосудов. Предложена классификация гиперваскуляризации. Установлено, что основной отличительной особенностью pl. percreta от pl. increta является наличие по данным МРТ большого количества различных патологических сосудов в зоне приращения, в том числе с формированием сливных зон неоангиогенеза, с наличием коллатералей и формированием в параметрии сосудистых шунтов с вовлечением перешейка и шейки матки, задней стенки мочевого пузыря, параметрия. Для pl. percreta характерно также наличие сосудов большого диаметра в пределах серозного покрова матки и в толще миометрия, локализованных, по данным патоморфологического исследования, в составе серозной оболочки. Такие сосуды имеют атипичное строение: слабо дифференцированную мышечную стенку и полную потерю внутренней и внешней эластических мембран, наличие вокруг сосуда плотной коллагеновой оболочки, что делает его стенки ригидными, чем можно объяснить тяжелые интраоперационные кровотечения в этой группе пациенток.
Приложение
Анализ наличия сосудов различного вида в зависимости от степени приращения плаценты (grade) в соответствии с классификацией MAPI-RADS
Тип сосудов | Сосуды выявлены | Grade MAPI-RADS | Значение p | |||
gr 2 (плотное прикрепление) | gr 3 (PAS 1) | gr 4 (PAS 2) | gr 5 (PAS 3а, 3b, 3c) | |||
Сосуды 1-го типа | нет | 5 (71,4) | 7 (41,2) | 3 (12,5) | 6 (33,3) | p = 0,019 pgr 2 – gr 4 = 0,010 |
да | 2 (28,6) | 10 (58,8) | 21 (87,5) | 12 (66,7) | ||
Сосуды 2-го типа | нет | 7 (100,0) | 8 (47,1) | 12 (50,0) | 1 (5,6) | p < 0,001 pgr 2 – gr 3 = 0,045 pgr 2 – gr 4 = 0,045 pgr 2 – gr 5 < 0,001 pgr 3 – gr 5 = 0,020 pgr 4 – gr 5 = 0,010 |
да | 0 (0,0) | 9 (52,9) | 12 (50,0) | 17 (94,4) | ||
Сосуды 3-го типа | нет | 7 (100,0) | 17 (100,0) | 12 (50,0) | 0 (0,0) | p < 0,001 pgr 2 – gr 4 = 0,034 pgr 2 – gr 5 < 0,001 pgr 3 – gr 4 = 0,002 pgr 3 – gr 5 < 0,001 pgr 4 – gr 5 = 0,002 |
да | 0 (0,0) | 0 (0,0) | 12 (50,0) | 18 (100,0) | ||
Сосуды 4-го типа | нет | 7 (100,0) | 17 (100,0) | 20 (83,3) | 0 (0,0) | p < 0,001 pgr 2 – gr 5 < 0,001 pgr 3 – gr 5 < 0,001 pgr 4 – gr 5 < 0,001 |
да | 0 (0,0) | 0 (0,0) | 4 (16,7) | 18 (100,0) | ||
Сосуды 5-го типа | нет | 7 (100,0) | 17 (100,0) | 24 (100,0) | 4 (22,2) | p < 0,001 pgr 2 – gr 5 = 0,002 pgr 3 – gr 5 < 0,001 pgr 4 – gr 5 < 0,001 |
да | 0 (0,0) | 0 (0,0) | 0 (0,0) | 14 (77,8) | ||
МАPI-RADS (Morbidly Adherent Placenta Imaging Reporting and Data System) – система унифицированного подхода к интерпретации магнитно-резонансной томографии при диагностике патологического прикрепления плаценты; PAS (placenta accretа spectrum) – степень приращения плаценты
Данные представлены в виде абсолютного числа сосудов и их доли от общего числа в группе (%). p – значение р для критерия хи-квадрат для полной таблицы сопряженности (2 × 4), pgr2 – gr3 – значения р для апостериорных попарных сравнений (таблицы 2 × 2)
Дополнительная информация
Финансирование
Исследование проводилось без дополнительного финансирования.
Конфликт интересов
Авторы заявляют об отсутствии конфликта интересов.
Участие авторов
П.В. Кулабухова – проведение магнитно-резонансной томографии, написание протоколов и заключений, обнаружение критериев врастания плаценты, концепция и дизайн исследования, сбор и обработка материалов, анализ полученных данных, написание текста; В.Г. Быченко – концепция и дизайн статьи, редактирование текста, утверждение итогового варианта текста рукописи; Н.В. Низяева – проведение патоморфологического исследования, концепция и дизайн исследования, сбор и обработка материалов, анализ полученных данных, написание текста; А.П. Милованов – проведение патоморфологического исследования полученного материала, редактирование текста, утверждение итогового варианта текста рукописи; К.А. Артемьева, В.А. Мхитаров – редактирование текста, утверждение итогового варианта текста рукописи. Все авторы прочли и одобрили финальную версию статьи перед публикацией, согласны нести ответственность за все аспекты работы и гарантируют, что ими надлежащим образом были рассмотрены и решены вопросы, связанные с точностью и добросовестностью всех частей работы.
Авторлар туралы
Polina Kulabukhova
V.I. Kulakov National Medical Research Center for Obstetrics, Gynecology and Perinatology
Хат алмасуға жауапты Автор.
Email: kulpola@mail.ru
ORCID iD: 0000-0002-0363-3669
Radiologist, Junior Research Fellow, Radiology Department
Ресей, ul. Academika Oparina 4, Moscow, 117997Natalia Nizyaeva
V.I. Kulakov National Medical Research Center for Obstetrics, Gynecology and Perinatology; A.P. Avtsyn Research Institute of Human Morphology of B.V. Petrovsky National Research Centre of Surgery
Email: niziaeva@gmail.com
ORCID iD: 0000-0001-5592-5690
MD, PhD, Head of the Laboratory of Reproduction Pathology
Ресей, ul. Academika Oparina 4, Moscow, 117997; ul. Tsyurupy 3, Moscow, 117418Andrey Milovanov
A.P. Avtsyn Research Institute of Human Morphology of B.V. Petrovsky National Research Centre of Surgery
Email: a_p_milovanov@mail.ru
ORCID iD: 0000-0001-8804-0258
MD, PhD, Professor, Chief Research Fellow, Laboratory of Reproduction Pathology
Ресей, ul. Tsyurupy 3, Moscow, 117418Ksenia Artemyeva
A.P. Avtsyn Research Institute of Human Morphology of B.V. Petrovsky National Research Centre of Surgery
Email: artemjeva_ksenia@mail.ru
ORCID iD: 0000-0002-1014-752X
MD, PhD, Senior Research Fellow, Laboratory of Reproduction Pathology
Ресей, ul. Tsyurupy 3, Moscow, 117418Vladimir Mhitarov
A.P. Avtsyn Research Institute of Human Morphology of B.V. Petrovsky National Research Centre of Surgery
Email: mkhitarov@mail.ru
ORCID iD: 0000-0002-4427-1991
PhD (in Biol.), Leading Research Fellow, Laboratory of Reproduction Pathology
Ресей, ul. Tsyurupy 3, Moscow, 117418Vladimir Bychenko
V.I. Kulakov National Medical Research Center for Obstetrics, Gynecology and Perinatology
Email: v_bychenko@oparina4.ru
ORCID iD: 0000-0002-1459-4124
MD, PhD, Radiologist, Head of Radiology Department
Ресей, ul. Academika Oparina 4, Moscow, 117997Әдебиет тізімі
- Betran AP, Ye J, Moller AB, Souza JP, Zhang J. Trends and projections of caesarean section rates: global and regional estimates. BMJ Glob Health. 2021;6(6):e005671. doi: 10.1136/bmjgh-2021-005671.
- Jauniaux E, Grønbeck L, Bunce C, Langhoff-Roos J, Collins SL. Epidemiology of placenta previa accreta: A systematic review and meta-analysis. BMJ Open. 2019;9(11):e031193. doi: 10.1136/bmjopen-2019-031193.
- De Mucio B, Serruya S, Alemán A, Castellano G, Sosa CG. A systematic review and meta-analysis of cesarean delivery and other uterine surgery as risk factors for placenta accreta. Int J Gynaecol Obstet. 2019;147(3):281–291. doi: 10.1002/ijgo.12948.
- Jauniaux E, Burton GJ. Placenta accreta spectrum: a need for more research on its aetiopathogenesis. BJOG. 2018;125(11):1449–1450. doi: 10.1111/1471-0528.15194.
- Morlando M, Sarno L, Napolitano R, Capone A, Tessitore G, Maruotti GM, Martinelli P. Placenta accreta: incidence and risk factors in an area with a particularly high rate of cesarean section. Acta Obstet Gynecol Scand. 2013;92(4):457–460. doi: 10.1111/aogs.12080.
- Vyshedkevich ED, Semenova ES, Mashchenko IA, Tilloev TA, Medenikov AA, Shefer AS, Trufanov GE. [Methodological aspects of the development of topographic-anatomical segmentation of the uterus in the second and third trimesters of pregnancy on MRI.] Translational Medicine. 2021;8(1):51–59. Russian. doi: 10.18705/2311-4495-2021-8-1-51-59.
- Jauniaux E, Ayres-de-Campos D, Langhoff-Roos J, Fox KA, Collins S; FIGO Placenta Accreta Diagnosis and Management Expert Consensus Panel. FIGO classification for the clinical diagnosis of placenta accreta spectrum disorders. Int J Gynaecol Obstet. 2019;146(1):20–24. doi: 10.1002/ijgo.12761.
- Chen E, Mar WA, Horowitz JM, Allen A, Jha P, Cantrell DR, Cai K. Texture analysis of placental MRI: can it aid in the prenatal diagnosis of placenta accreta spectrum? Abdom Radiol (NY). 2019;44(9):3175–3184. doi: 10.1007/s00261-019-02104-1.
- Chou MM, Ho ES, Lee YH. Prenatal diagnosis of placenta previa accreta by transabdominal color Doppler ultrasound. Ultrasound Obstet Gynecol. 2000;15(1):28–35. doi: 10.1046/j.1469-0705.2000.00018.x.
- Palacios-Jaraquemada JM, D'Antonio F, Buca D, Fiorillo A, Larraza P. Systematic review on near miss cases of placenta accreta spectrum disorders: correlation with invasion topography, prenatal imaging, and surgical outcome. J Matern Fetal Neonatal Med. 2020;33(19):3377–3384. doi: 10.1080/14767058.2019.1570494.
- Hecht JL, Baergen R, Ernst LM, Katzman PJ, Jacques SM, Jauniaux E, Khong TY, Metlay LA, Poder L, Qureshi F, Rabban JT 3rd, Roberts DJ, Shainker S, Heller DS. Classification and reporting guidelines for the pathology diagnosis of placenta accreta spectrum (PAS) disorders: Recommendations from an expert panel. Mod Pathol. 2020;33(12):2382–2396. doi: 10.1038/s41379-020-0569-1.
- Uchevatkina PV, Bychenko VG, Kulabukhova EA, Luzhinа IA, Shmakov RG. [System of a unified approach to interpretation of magnetic resonance tomography in diagnostics of pathological placental attachment "MAPI-RADS" (morbidly adherent placenta imaging reporting and data system).] REJR. 2021;11(1):174–190. Russian. doi: 10.21569/2222-7415- 2021-11-1-174-190.
- Milovanov AP, Aksenenko VA, Lukashevich AA, Fokina TV, Stepanova II, Tikhonova NB. [The leading role of scars after the caesarian section in the pathogenesis of placenta previa accreta.] Clinical and Experimental Morphology. Russian. 2019;8(1):10–18. doi: 10.31088/2226-5988-2019-29-1-10-18.
- Milovanov AP, Nizyaeva NV, Fokina TV, Tikhonova NB, Kulikov IA, Shmakov RG. [Clinical and morphological characteristics of the atypical placentation spectrum in the uterus.] Russian Arkh Patol. 2023;85(2):13–20. Russian. doi: 10.17116/patol20238502113
- Bourgioti C, Konstantinidou AE, Zafeiropoulou K, Antoniou A, Fotopoulos S, Theodora M, Daskalakis G, Nikolaidou ME, Tzavara C, Letsika A, Martzoukos EA, Moulopoulos LA. Intraplacental fetal vessel diameter may help predict for placental invasiveness in pregnant women at high risk for placenta accreta spectrum disorders. Radiology. 2021;298(2):403–412. doi: 10.1148/radiol.2020200273.
- Jha P, Pōder L, Bourgioti C, Bharwani N, Lewis S, Kamath A, Nougaret S, Soyer P, Weston M, Castillo RP, Kido A, Forstner R, Masselli G. Society of Abdominal Radiology (SAR) and European Society of Urogenital Radiology (ESUR) joint consensus statement for MR imaging of placenta accreta spectrum disorders. Eur Radiol. 2020;30(5):2604–2615. doi: 10.1007/s00330-019-06617-7.
- Kulikov IA, Nizyaeva NV, Sukhacheva TV, Serov RA, Tikhonova NB, Fokina TV, Milovanov AP, Belousova TN, Milyutina EP, Mikhaleva LM. [Comparative morphological characteristics of the uteroplacental area in abnormal placentation.] Acta Biomedica Scientifica. 2023;8(4):68–79. Russian. doi: 10.29413/ABS.2023-8.4.8.
- Demidov VN, Sarkisov SE, Demidov AV. [Abdominal pregnancy: Clinical picture, diagnosis, outcomes.] Obstetrics and Gynegology. 2014;12:94–99. Russian.
- Timor-Tritsch IE, Khatib N, Monteagudo A, Ramos J, Berg R, Kovács S. Cesarean scar pregnancies: Experience of 60 cases. J Ultrasound Med. 2015;34(4):601–610. doi: 10.7863/ ultra.34.4.601.
- Barinova IV, Kondrikov NI, Voloshchuk IN, Chechneva MA, Shchukina NA, Petrukhin VA. [Features of the pathogenesis of the placenta growing in the scar after cesarean section.] Arkh Patol. 2018;80(2):18–23. Russian. doi: 10.17116/patol201880218-23.
- Shafqat G, Khan A, Basharat S. Uterine arteriovenous malformation complicating a scar ectopic pregnancy. Radiol Case Rep. 2022;17(5):1670–1673. doi: 10.1016/j.radcr.2022.02.063.
- Abbas F, Talati J, Wasti S, Akram S, Ghaffar S, Qureshi R. Placenta percreta with bladder invasion as a cause of life threatening hemorrhage. J Urol. 2000;164(4):1270–1274. doi: 10.1016/S0022-5347(05)67153-4.
- Palacios-Jaraquemada JM, Bruno CH, Martín E. MRI in the diagnosis and surgical management of abnormal placentation. Acta Obstet Gynecol Scand. 2013;92(4):392–397. doi: 10.1111/j.1600-0412.2012.01527.x.
Қосымша файлдар



































