Experience in treating epithelial ingrowth after refractive surgery. A clinical case
- Authors: Solodkova E.G.1, Fokin V.Р.1, Breev V.A.1
-
Affiliations:
- Eye Microsurgery named after Academician S.N. Fedorov
- Issue: Vol 22, No 3 (2025)
- Pages: 179-185
- Section: Guide for General Practitioners
- URL: https://bakhtiniada.ru/1994-9480/article/view/348370
- DOI: https://doi.org/10.19163/1994-9480-2025-22-3-179-185
- ID: 348370
Cite item
Full Text
Abstract
Epithelial ingrowth (EI) is a rare complication of keratorefractive surgical procedures and is characterized by the migration and proliferation of epithelial cells into the intrastromal space from the periphery to the center. Epithelial ingrowth of the cornea after keratorefractive surgery requires a comprehensive approach to diagnosis and treatment. Among modern methods, the combined use of beta therapy with electrophoresis, careful mechanical removal, and YAG laser destruction are notable. The choice of method depends on the timing of detection, localization, and degree of damage. In the presented clinical case, EI developed after LASIK surgery on both eyes, intensified, and spread to the central optical zone of the cornea in the left eye following a revision of the corneal interface. The patient underwent two courses of brachytherapy. As a result of the treatment, complete elimination of epithelial cells in the corneal interface was achieved, resulting in the formation of cloud-like opacities and sustained remission throughout the observation period (18 months).
Full Text
Врастание эпителия (ВЭ) является одним из редких грозных осложнений после кераторефракционных операций, включая лазерный кератомилез in situ (ЛАЗИК) и его вариации, такие как ФемтоЛАЗИК и лентикулярные роговичные технологии. Частота встречаемости ВЭ после ЛАЗИК достигает 3,9 % с повышением риска возникновения до 10–20 % при повторных вмешательствах с поднятием роговичного лоскута [1]. Случаи врастания эпителия после кераторефракционных вмешательств с фемтосекундным лазерным сопровождением еще более редки – 0,5–2,0 % [2].
Врастание эпителия наблюдается вследствие случайной имплантации эпителиальных клеток во время хирургического вмешательства либо проникновения их через разрезы, особенно в раннем послеоперационном периоде, с последующим ростом в строме роговицы, что может привести к снижению остроты зрения, развитию нерегулярного астигматизма и формированию эпителиальных кист и помутнений [3]. Факторы риска включают механическую травму, нарушение целостности эпителия в зоне разреза (например, после трения глаз), длительное предшествующее ношение контактных линз и воспалительные заболевания переднего отрезка глазного яблока [4].
Существует несколько форм ВЭ, одна из которых выражается прорастанием эпителия в интрастромальное пространство от периферии к центру, что может быть связано с краевой дезадаптацией роговичного лоскута после клапанных роговичных технологий или роговичного разреза после лентикулярных рефракционных операций (диффузная форма), которая представляет собой разрастание в виде диффузной пластины, зачастую с зубчатыми краями и более агрессивным течением. Другая форма врастания – кистозная, определяется появлением изолированных островов эпителиальных клеток в роговичном интерфейсе, вследствие их случайной имплантации и встречающееся, по данным ряда авторов, от 0,2 до 4,7 %. Чаще всего эпителиальные кисты постепенно рассасываются самостоятельно в течение нескольких месяцев [5].
Несмотря на то, что в ряде случаев эти процессы могут регрессировать самостоятельно, при прогрессирующем росте необходимо вмешательство для предотвращения ухудшения зрительных функций и осложнений [6].
Способы лечения ВЭ включают механическое удаление и выскабливание зоны врастания эпителия, YAG-лазерное воздействие [2], транскорнеальную фотокоагуляцию аргоновым лазером (обычно используют при кистозной форме разрастания эпителия и реже – при лечении диффузной формы) [7], фармакологическое воздействие с использованием антиметаболитов и этанола [1], комбинированное лечение брахитерапией и рассасывающей терапией (Фокин В.П., Блинкова Е.С. Способ лечения врастания эпителия. Патент на изобретение RU 2402303 C1. 2010. 2009124583/14. 29.06.2009).
В связи с вышеизложенным, нам представилось интересным рассмотреть клинический случай лечения врастания роговичного эпителия после операции ЛАЗИК и безуспешной попытки механического удаления вросшего эпителия методом брахитерапии.
ЦЕЛЬ РАБОТЫ
Оценить эффективность лечения вросшего эпителия с применением брахитерапии после проведения многократных операций ЛАЗИК.
МЕТОДИКА ИССЛЕДОВАНИЯ
В отделение коррекции аномалий рефракции Волгоградского филиала ФГАУ «НМИЦ «МНТК «Микрохирургия глаза» им. акад. С.Н. Федорова» Минздрава России в 2024 г. обратилась пациентка К., 42 лет с жалобами на сниженное зрение, светобоязнь и чувство инородного тела в левом глазу. Со слов, в 2006 г. пациентке был выполнена операция ЛАЗИК на обоих глазах по поводу миопии высокой степени. В 2007 г. была проведена докоррекция остаточной аметропии на обоих глазах методом ЛАЗИК с механической отсепаровкой роговичных лоскутов. В 2020 г. дважды на OS проведена ревизия роговичного интерфейса с механическим удалением вросшего эпителия и наложением роговичного узлового шва.
Пациентке проведено полное офтальмологическое обследование, включающее визометрию, определение манифестной рефракции, авторефрактометрию, биометрию, пневмотонометрию, кератотопографию, выполненную с помощью Шаймпфлюг-анализатора переднего отрезка глазного яблока, оптическую когерентную томографию роговицы (ОКТ) в двух проекциях, конфокальную микроскопию с определением плотности эндотелиальных клеток (ПЭК), офтальмобиомикроскопию, в том числе, с помощью линзы Гольдмана в условиях медикаментозного мидриаза, фоторегистрацию переднего отрезка глазного яблока.
Офтальмостатус при поступлении:
OD: НКОЗ = 0,6; МКОЗ = 0,8 с sph +1,5 дптр cyl –2,0 дптр ax 75°, данные авторефрактометрии OD sph +2,0 дптр cyl –2,0 дптр ax 89°.
Длина переднее-заднего отрезка (ПЗО) правого глаза 28,45 мм.
Данные пневмотонометрии OD: 9,0 мм рт. ст.
При офтальмобиомикроскопии глаз спокоен, в роговичном интерфейсе по краю роговичного лоскута в нижнем отделе определяется сливная зона вросшего эпителия 2 × 3 мм, с распространением более мелких фрагментированных зон врастания эпителия в нижне-наружный и наружный отделы (рис. 1), что подтверждалось данными ОКТ роговицы (рис. 2). ПЭК OD: 2950 кл/мм2.
Рис. 1. Фото роговицы правого глаза до лечения
Рис. 2. Данные ОКТ роговицы правого глаза: а – горизонтальная проекция; б – фронтальная проекция
OS: НКОЗ 0,2 не корригирует, данные авторефрактометрии, биометрии и пневмотонометрии не определяются.
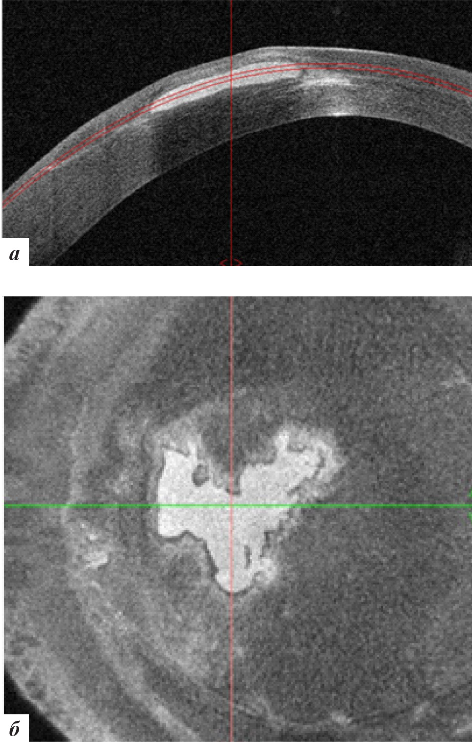
При офтальмобиомикроскопии глаз спокоен, в роговичном интерфейсе в центральной оптической зоне (ЦОЗ) и в параоптической зоне во внутреннем отделе определяется сливная зона вросшего эпителия 2 × 4 мм с зоной перифокального отека (рис. 3), что подтверждалось данными ОКТ роговицы (рис. 4). ПЭК OS: 2830 кл/мм2.
Рис. 3. Фото роговицы левого глаза до лечения
Рис. 4. Данные ОКТ роговицы левого глаза: а – горизонтальная проекция, б – фронтальная проекция
С учетом распространения эпителиальных клеток в ЦОЗ OS, плотность эпителиального конгломерата по данным объективных методов обследования и влияние его на НКОЗ и МКОЗ, пациентке был рекомендован курс из 5 сеансов брахитерапии по 10 Грей каждый в зоне вросшего в роговицу эпителия с использованием радиоактивного офтальмоаппликатора с радионуклидами стронций-90 и иттрий-90 производства ФГУП «ВНИИФТРИ», с активностью 104 МБк (рис. 5).
Рис. 5. Фото радиоактивных офтальмоаппликаторов с радионуклидами стронций-90 и иттрий-90
Во время сеанса брахитерапии при врастании эпителия под роговичный лоскут пациент находится в положении лежа. Лечение осуществляется под местной инстилляционной анестезией Sol. Oxybuprocaine 0,4 % в присутствии контактной среды Gel. Carbomeri 0,2 %. Офтальмоаппликатор закрепляется в специальном фиксаторе, устанавливаемом на голову пациента, и прикасается к роговице пациента. Продолжительность одного сеанса – 12 мин. После проведения процедуры назначается инстилляционная антибактериальная терапия и слезозаместительная терапия.
РЕЗУЛЬТАТЫ ИССЛЕДОВАНИЯ И ИХ ОБСУЖДЕНИЕ
Курс бета-терапии на OS прошел без особенностей, пациентка перенесла его хорошо. По окончании лечения в OS были назначены инстилляции антибиотика и кератопротектора на 10 дней.
Через 3 месяца пациентка прибыла на контрольный осмотр для оценки динамики состояния.
Субъективно отметила улучшение состояния левого глаза, уменьшение жалоб на чувство инородного тела в левом глазу, а также повышение остроты зрения OS.
Офтальмостатус при поступлении через 3 месяца после курса лечения:
OD – без отрицательной динамики клинико-функциональных показателей и распространения эпителиальных клеток в роговичном интерфейсе.
OS: НКОЗ = 0,3; МКОЗ = 0,5 с sph –1,0 дптр cyl –1,0 дптр ax 55°, данные авторефрактометрии OS: sph –1,75 дптр cyl –1,75 дптр ax 165°.
ПЭК OS: 2810 кл/мм2.
При офтальмобиомикроскопии глаз спокоен, в роговичном интерфейсе в ЦОЗ отмечена элиминация эпителиальных клеток с формированием стойкого облаковидного помутнения и сохранение единичных эпителиальных островков во внутреннем отделе (рис. 6) со значительным уменьшением перифокального отека.
Рис. 6. Фото роговицы левого глаза через 3 месяца после лечения
Высота вросшего эпителия по данным ОКТ роговицы уменьшилась (рис. 7). Пациентке было рекомендовано продолжение наблюдения.
Рис. 7. Данные ОКТ роговицы левого глаза через 3 месяца после лечения: а – горизонтальная проекция, б – фронтальная проекция
Спустя 9 месяцев после лечения при осмотре жалоб со стороны OS не предъявляла, отметила значительное улучшение остроты зрения.
При осмотре функциональные показатели и состояние правого глаза оставались без изменений.
OS: НКОЗ = 0,5; МКОЗ = 0,6 с sph, данные авторефрактометрии OS: sph +0,5 дптр cyl –2,25 дптр ax 25°.
Длина передне-заднего отрезка (ПЗО) левого глаза 28,79 мм.
Данные пневмотонометрии OS: 10,5 мм рт. ст.
ПЭК OS: 2850 кл/мм2.
При офтальмобиомикроскопии глаз спокоен, в роговичном интерфейсе в ЦОЗ и параоптической зоне отмечена элиминация эпителиальных клеток с формированием стойких облаковидных помутнений (рис. 8) с отсутствием перифокального отека. ОКТ-сканирование передней поверхности роговицы также подтвердило отсутствие признаков рецидива врастания (рис. 9). С рекомендациями использования слезозаменителей пациентка выписана по месту жительства.
Рис. 8. Фото роговицы левого глаза через 9 месяцев после лечения
Рис. 9. Данные ОКТ роговицы левого глаза через 9 месяцев после лечения: а – горизонтальная проекция, б – фронтальная проекция
При осмотре через 18 месяцев после проведенного лечения зрительные функции OU оставались стабильно высокими.
OS: НКОЗ = 0,6; МКОЗ = 0,7. Данные авторефрактометрии OS: sph +0,5 дптр cyl –1,5 дптр ax 20°. ПЗО OS: 28,79 мм. Данные пневмотонометрии OS: 10,0 мм рт. ст. ПЭК OS: 2855 кл/мм2.
При офтальмобиомикроскопии OS в роговичном интерфейсе в центральной оптической и параоптической зонах отмечалось стойкое облаковидное помутнение при отсутствии рецидива роста эпителиальных клеток (рис. 10), подтвержденное данными ОКТ роговицы (рис. 11).
Рис. 10. Фото роговицы левого глаза через 18 месяцев после лечения
Рис. 11. Данные ОКТ роговицы левого глаза через 18 месяцев после лечения: а – горизонтальная проекция, б – фронтальная проекция
Брахитерапия как монолечение на OS в представленном клиническом случае была наиболее предпочтительна. Вариант очередной ревизии роговичного интерфейса с механическим удалением вросшего эпителия не рассматривался по причине неэффективности предыдущего вмешательства.
YAG-лазерное воздействие могло бы стать вариантом выбора. Метод заключается в разрушении вросшего эпителия с помощью неодимового лазера на иттрий-алюминиевом гранате (ND:YAG). Лазер индуцирует кавитацию в слое роговицы, что вызывает избирательное разрушение эпителиальных клеток без повреждения окружающих тканей [2]. Однако в литературе приводятся сведения о неоднозначной эффективности метода, необходимости повторного лечения, а также возможных осложнениях, среди которых повышение внутриглазного давления, расплавление роговичной ткани, разрыв лоскута и создание ятрогенного канала [8].
Адъювантная терапия с использованием антиметаболитов (митомицина С, 5-фторурацила) также в данном случае не рассматривалась из-за риска осложнений [1].
Наиболее оправданным, на наш взгляд, в случае прорастания эпителия в ЦОЗ с формированием плотного клеточного конгломерата представлялся курс брахитерапии из 5 сеансов по 10 Грей. Бета-терапия позволяет эффективно разрушить вросшие клетки эпителия в интерфейсе роговицы без необходимости механического отделения роговичного лоскута и хирургического вмешательства.
Дозировка бета-излучения подобрана так, что воздействует преимущественно на клетки с высоким митотическим индексом (вросший эпителий), при этом минимально повреждаются здоровые ткани глаза. Поверхностное расположение клеток эпителия обеспечивает максимальное поглощение ими бета-излучения и минимальное вредное воздействие на окружающие структуры глаза. В литературе упоминается о возможности аппланации радиоактивных аппликаторов для подавления митотической активности эпителиальных клеток в роговичном интерфейсе. Однако авторы методики рекомендуют сочетать лечение брахитерапией и рассасывающую терапию с коллализином, с инстилляциями лидазы и дексаметазона (Фокин В.П., Блинкова Е.С. Способ лечения врастания эпителия. Патент на изобретение RU 2402303 C1. 2010. 2009124583/14. 29.06.2009). В представленном клиническом случае брахитерапия как монолечение ВЭ продемонстрировала высокую эффективность, безопасность и стабильный результат по отсутствию рецидивирования.
ЗАКЛЮЧЕНИЕ
Таким образом, брахитерапия является эффективным, безопасным и малоинвазивным методом лечения врастания роговичного эпителия с высокой вероятностью успешного исхода и минимальными осложнениями.
Преимуществом брахитерапии является простота выполнения, отсутствие необходимости в хирургических манипуляциях в интерфейсе, что особо актуально при центральном расположении зоны врастания эпителия, а также после проведения лентикулярных кераторефракционных операций.
Необходимо проводить профилактику врастания эпителия путем минимизации операционной травмы за счет совершенствования хирургической техники и инструментария, а также повышать осведомленность пациентов о необходимости соблюдения врачебных рекомендаций в раннем послеоперационном периоде.
About the authors
Elena G. Solodkova
Eye Microsurgery named after Academician S.N. Fedorov
Author for correspondence.
Email: solo23el@mail.ru
ORCID iD: 0000-0002-7786-5665
Volgograd Branch, Candidate of Medical Sciences, Deputy Director for Scientific Work
Russian Federation, VolgogradViktor Р. Fokin
Eye Microsurgery named after Academician S.N. Fedorov
Email: fokin@isee.ru
Volgograd Branch, Ophthalmologist
Russian Federation, VolgogradVladimir A. Breev
Eye Microsurgery named after Academician S.N. Fedorov
Email: sleep07@yandex.ru
ORCID iD: 0000-0002-3694-7066
Volgograd Branch, Head of the Department of Correction of Refractive Errors
Russian Federation, VolgogradReferences
- Крахмалева Д.А., Маложен С.А. Врастание эпителия после передней послойной кератопластики (клиническое наблюдение). Вестник офтальмологии. 2023;139(1):87–92. doi: 10.17116/otalma202313901187.
- Дутчин И.В., Пшеничнов М.В. Отдаленные результаты ИАГ-лазерной деструкции вросшего эпителия роговицы после Femto-LASIK и ReLEx Smile. Офтальмохирургия. 2023;2:20–27. doi: 10.25276/0235-4160-2023-2-20-27.
- Henry C.R., Canto A.P., Galor A. Epithelial ingrowth after LASIK: clinical characteristics, risk factors, and visual outcomes in patients requiring flap lift. Journal of Refractive Surgery. 2012;28:488–492. doi: 10.3928/1081597X-20120604-01.
- Ting D., Srinivasan S., Danjoux J.P. Epithelial ingrowth following laser in situ keratomileusis (LASIK): prevalence, risk factors, management and visual outcomes. BMJ Open Ophthalmology. 2018;3(1):e000133. doi: 10.1136/bmjophth-2017-000133.
- Yeung A., Faraj L., McIntosh O. Fibrin glue inhibits migration of ocular surface epithelial cells. Eye. 2016;30: 1389–1394. doi: 10.1038/eye.2016.127.
- Rojas M.C., Lumba J.D., Manche E.E. Treatment of epithelial ingrowth after laser in situ keratomileusis with mechanical debridement and flap suturing. Archives of ophthalmology. 2004;122(7):997–1001. doi: 10.1001/archopht.122.7.997.
- Han K.E., Kim C.Y., Chung J.L., Hong J.P., Sgrignoli B., Kim E.K. Successful argon laser photocoagulation of diffuse epithelial ingrowth following concomitant persistent pupillary membrane removal and phacoemulsification. Journal of Cataract & Refractive Surgery. 2012;38(5):906–911. doi: 10.1016/j.jcrs.2012.02.005.
- Ayala M.J., Alio J.L., Mulet M.E., De La Hoz F. Treatment of laser in situ keratomileusis interface epithelial ingrowth with neodymium: ytrium-aluminum-garnet laser. American Journal of Ophthalmology. 2008;4:630–634. doi: 10.1016/j.ajo.2007.11.022.
Supplementary files












